About   Help   FAQ
Gene Expression Data
Assay Details
Assay
Reference: J:228563 Koscielny G, et al., The International Mouse Phenotyping Consortium Web Portal, a unified point of access for knockout mice and related phenotyping data. Nucleic Acids Res. 2014 Jan;42(Database issue):D802-9
Assay type: In situ reporter (knock in)
MGI Accession ID: MGI:6692103
Gene symbol: Mrpl47
Gene name: mitochondrial ribosomal protein L47
Reporter: lacZ
Direct Detection
Results
Specimen TCP_1465858: postnatal adult; Mrpl47tm1.1(KOMP)Vlcg/Mrpl47+ (more )
Structure Level Pattern Image Note
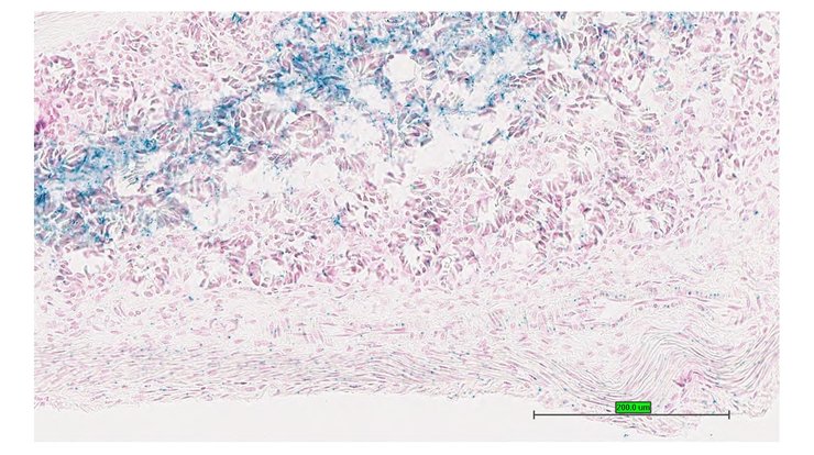
TS28: vascular system Present TCP_1465858

Specimen TCP_1465859: postnatal adult; Mrpl47tm1.1(KOMP)Vlcg/Mrpl47+ (more )
Structure Level Pattern Image Note
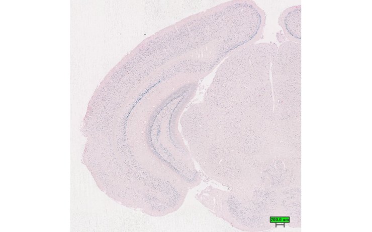
TS28: brain Present TCP_1465859

Specimen TCP_1465860: postnatal adult; Mrpl47tm1.1(KOMP)Vlcg/Mrpl47+ (more )
Structure Level Pattern Image Note
TS28: brainstem Present TCP_1465860

Specimen TCP_1465861: postnatal adult; Mrpl47tm1.1(KOMP)Vlcg/Mrpl47+ (more )
Structure Level Pattern Image Note
TS28: brown fat Present TCP_1465861

Specimen TCP_1465862: postnatal adult; Mrpl47tm1.1(KOMP)Vlcg/Mrpl47+ (more )
Structure Level Pattern Image Note
TS28: heart Present TCP_1465862

Specimen TCP_1465863: postnatal adult; Mrpl47tm1.1(KOMP)Vlcg/Mrpl47+ (more )
Structure Level Pattern Image Note
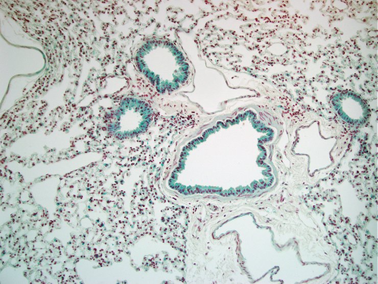
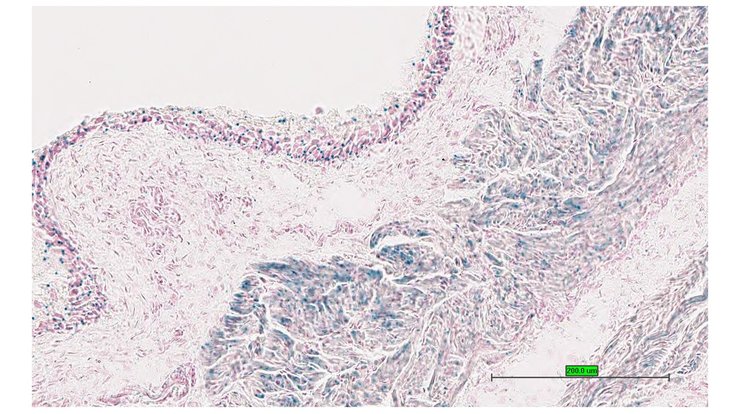
TS28: lung Present TCP_1465863

Specimen TCP_1465864: postnatal adult; Mrpl47tm1.1(KOMP)Vlcg/Mrpl47+ (more )
Structure Level Pattern Image Note
TS28: skeletal muscle tissue Present TCP_1465864

Specimen TCP_1465865: postnatal adult; Mrpl47tm1.1(KOMP)Vlcg/Mrpl47+ (more )
Structure Level Pattern Image Note
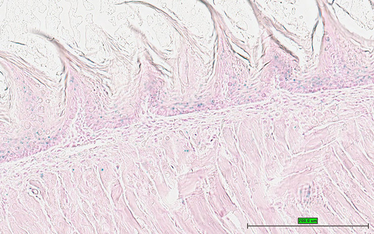
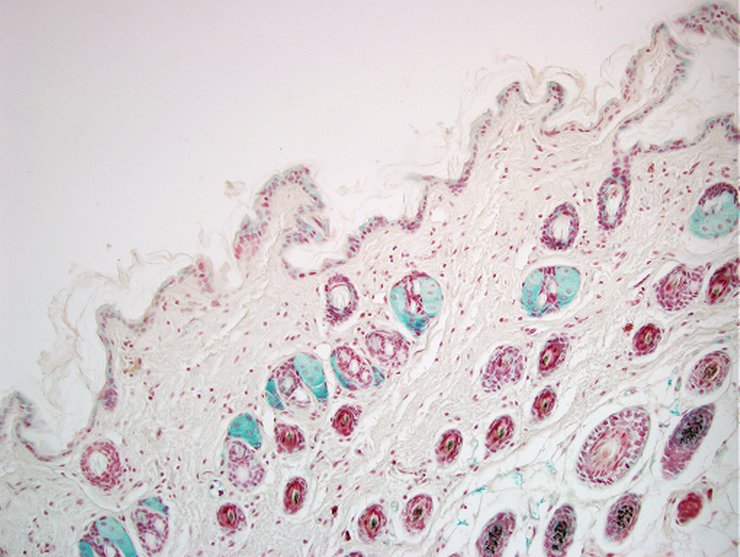
TS28: skin Present TCP_1465865

Specimen TCP_1465866: postnatal adult; Mrpl47tm1.1(KOMP)Vlcg/Mrpl47+ (more )
Structure Level Pattern Image Note
TS28: spinal cord Present TCP_1465866

Specimen UC Davis_1882349: postnatal adult; Mrpl47tm1.1(KOMP)Vlcg/Mrpl47+ (more )
Structure Level Pattern Image Note
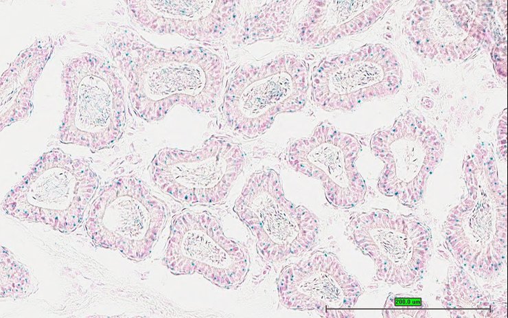
TS28: submandibular gland Present UC Davis_1882349

Specimen UC Davis_1882350: postnatal adult; Mrpl47tm1.1(KOMP)Vlcg/Mrpl47+ (more )
Structure Level Pattern Image Note
TS28: sublingual gland Present UC Davis_1882350

Specimen UC Davis_1882351: postnatal adult; Mrpl47tm1.1(KOMP)Vlcg/Mrpl47+ (more )
Structure Level Pattern Image Note
TS28: parotid gland Present UC Davis_1882351

Specimen UC Davis_1882352: postnatal adult; Mrpl47tm1.1(KOMP)Vlcg/Mrpl47+ (more )
Structure Level Pattern Image Note
TS28: trachea Present UC Davis_1882352

Specimen UC Davis_1882353: postnatal adult; Mrpl47tm1.1(KOMP)Vlcg/Mrpl47+ (more )
Structure Level Pattern Image Note
TS28: trachea Present UC Davis_1882353

Specimen UC Davis_1882354: postnatal adult; Mrpl47tm1.1(KOMP)Vlcg/Mrpl47+ (more )
Structure Level Pattern Image Note
TS28: trachea Present UC Davis_1882354

Specimen UC Davis_1882355: postnatal adult; Mrpl47tm1.1(KOMP)Vlcg/Mrpl47+ (more )
Structure Level Pattern Image Note
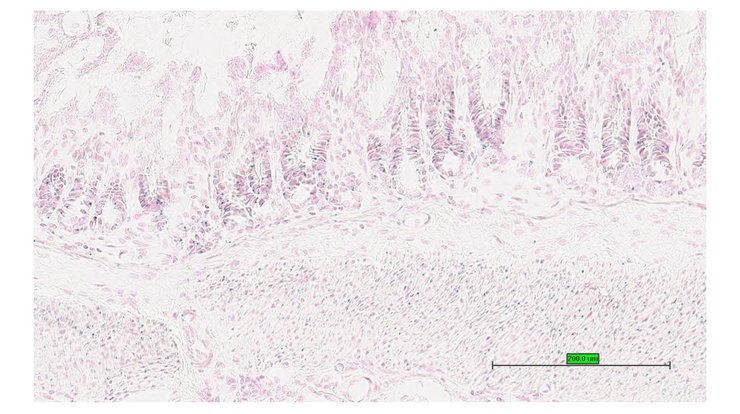
TS28: esophagus Present UC Davis_1882355

Specimen UC Davis_1882356: postnatal adult; Mrpl47tm1.1(KOMP)Vlcg/Mrpl47+ (more )
Structure Level Pattern Image Note
TS28: lung Present UC Davis_1882356

Specimen UC Davis_1882357: postnatal adult; Mrpl47tm1.1(KOMP)Vlcg/Mrpl47+ (more )
Structure Level Pattern Image Note
TS28: lung Present UC Davis_1882357

Specimen UC Davis_1882358: postnatal adult; Mrpl47tm1.1(KOMP)Vlcg/Mrpl47+ (more )
Structure Level Pattern Image Note
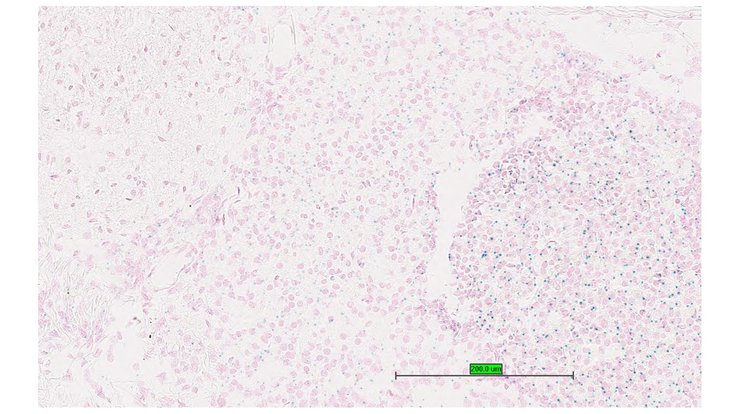
TS28: thymus Present UC Davis_1882358

Specimen UC Davis_1882359: postnatal adult; Mrpl47tm1.1(KOMP)Vlcg/Mrpl47+ (more )
Structure Level Pattern Image Note
TS28: thymus Present UC Davis_1882359

Specimen UC Davis_1882362: postnatal adult; Mrpl47tm1.1(KOMP)Vlcg/Mrpl47+ (more )
Structure Level Pattern Image Note
TS28: stomach Present UC Davis_1882362

Specimen UC Davis_1882363: postnatal adult; Mrpl47tm1.1(KOMP)Vlcg/Mrpl47+ (more )
Structure Level Pattern Image Note
TS28: stomach Present UC Davis_1882363

Specimen UC Davis_1882364: postnatal adult; Mrpl47tm1.1(KOMP)Vlcg/Mrpl47+ (more )
Structure Level Pattern Image Note
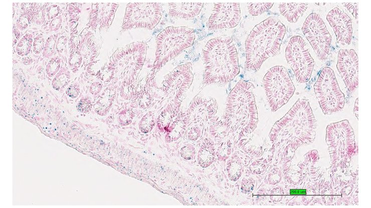
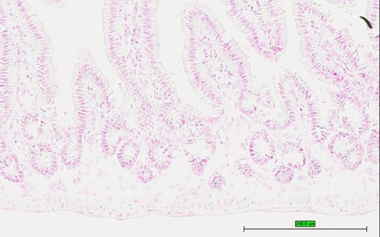
TS28: duodenum Present UC Davis_1882364

Specimen UC Davis_1882365: postnatal adult; Mrpl47tm1.1(KOMP)Vlcg/Mrpl47+ (more )
Structure Level Pattern Image Note
TS28: jejunum Present UC Davis_1882365

Specimen UC Davis_1882366: postnatal adult; Mrpl47tm1.1(KOMP)Vlcg/Mrpl47+ (more )
Structure Level Pattern Image Note
TS28: ileum Present UC Davis_1882366

Specimen UC Davis_1882367: postnatal adult; Mrpl47tm1.1(KOMP)Vlcg/Mrpl47+ (more )
Structure Level Pattern Image Note
TS28: colon Present UC Davis_1882367

Specimen UC Davis_1882368: postnatal adult; Mrpl47tm1.1(KOMP)Vlcg/Mrpl47+ (more )
Structure Level Pattern Image Note
TS28: cecum Present UC Davis_1882368

Specimen UC Davis_1882369: postnatal adult; Mrpl47tm1.1(KOMP)Vlcg/Mrpl47+ (more )
Structure Level Pattern Image Note
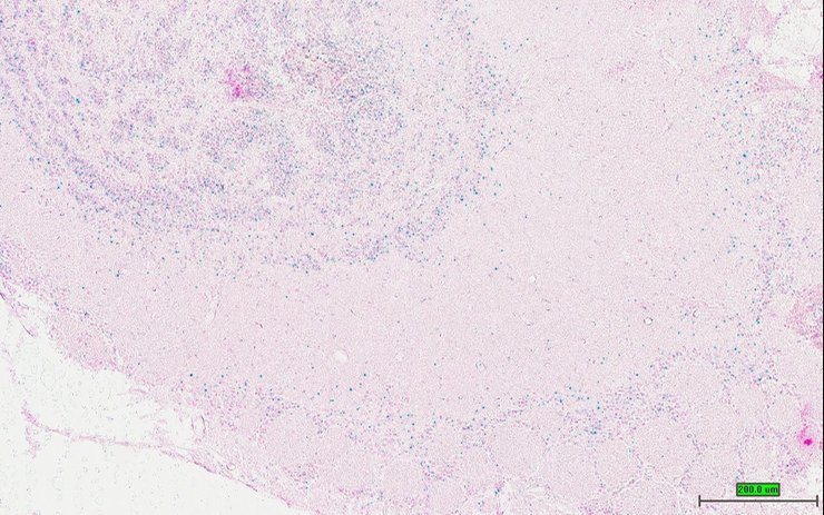
TS28: spleen Present UC Davis_1882369

Specimen UC Davis_1882370: postnatal adult; Mrpl47tm1.1(KOMP)Vlcg/Mrpl47+ (more )
Structure Level Pattern Image Note
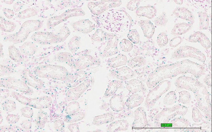
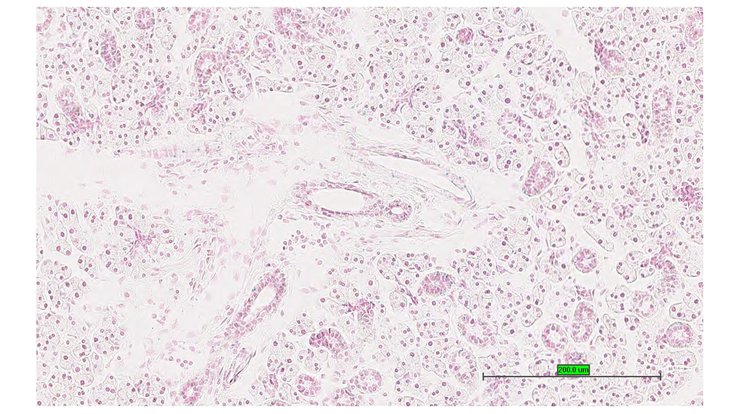
TS28: metanephros Present UC Davis_1882370 kidney

Specimen UC Davis_1882371: postnatal adult; Mrpl47tm1.1(KOMP)Vlcg/Mrpl47+ (more )
Structure Level Pattern Image Note
TS28: metanephros Present UC Davis_1882371 kidney

Specimen UC Davis_1882372: postnatal adult; Mrpl47tm1.1(KOMP)Vlcg/Mrpl47+ (more )
Structure Level Pattern Image Note
TS28: metanephros Present UC Davis_1882372 kidney

Specimen UC Davis_1882373: postnatal adult; Mrpl47tm1.1(KOMP)Vlcg/Mrpl47+ (more )
Structure Level Pattern Image Note
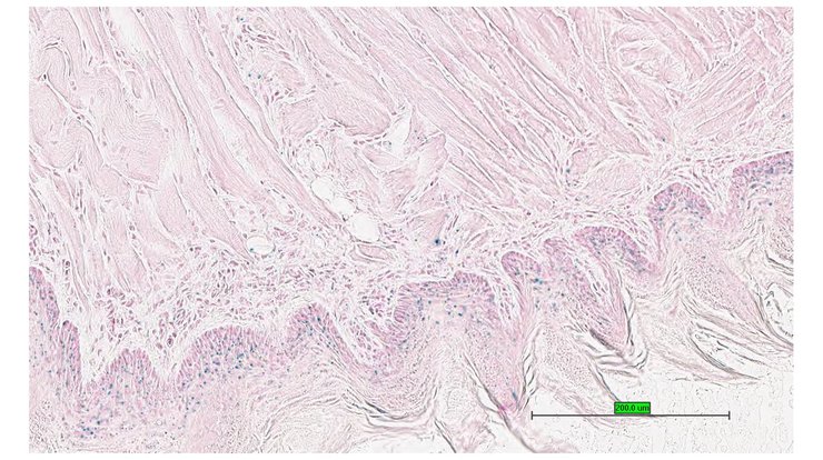
TS28: tongue Present UC Davis_1882373

Specimen UC Davis_1882374: postnatal adult; Mrpl47tm1.1(KOMP)Vlcg/Mrpl47+ (more )
Structure Level Pattern Image Note
TS28: tongue Present UC Davis_1882374

Specimen UC Davis_1882375: postnatal adult; Mrpl47tm1.1(KOMP)Vlcg/Mrpl47+ (more )
Structure Level Pattern Image Note
TS28: adrenal gland Present UC Davis_1882375

Specimen UC Davis_1882376: postnatal adult; Mrpl47tm1.1(KOMP)Vlcg/Mrpl47+ (more )
Structure Level Pattern Image Note
TS28: adrenal gland Present UC Davis_1882376

Specimen UC Davis_1882377: postnatal adult; Mrpl47tm1.1(KOMP)Vlcg/Mrpl47+ (more )
Structure Level Pattern Image Note
TS28: pituitary gland Present UC Davis_1882377

Specimen UC Davis_1882378: postnatal adult; Mrpl47tm1.1(KOMP)Vlcg/Mrpl47+ (more )
Structure Level Pattern Image Note
TS28: spinal cord Present UC Davis_1882378

Specimen UC Davis_1882379: postnatal adult; Mrpl47tm1.1(KOMP)Vlcg/Mrpl47+ (more )
Structure Level Pattern Image Note
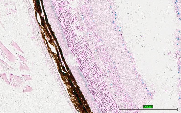
TS28: eye Present UC Davis_1882379

Specimen UC Davis_1882380: postnatal adult; Mrpl47tm1.1(KOMP)Vlcg/Mrpl47+ (more )
Structure Level Pattern Image Note
TS28: Harderian gland Present UC Davis_1882380

Specimen UC Davis_1882381: postnatal adult; Mrpl47tm1.1(KOMP)Vlcg/Mrpl47+ (more )
Structure Level Pattern Image Note
TS28: skin Present UC Davis_1882381

Specimen UC Davis_1882382: postnatal adult; Mrpl47tm1.1(KOMP)Vlcg/Mrpl47+ (more )
Structure Level Pattern Image Note
TS28: olfactory lobe Present UC Davis_1882382

Specimen UC Davis_1882385: postnatal adult; Mrpl47tm1.1(KOMP)Vlcg/Mrpl47+ (more )
Structure Level Pattern Image Note
TS28: midbrain Present UC Davis_1882385

Specimen UC Davis_1882387: postnatal adult; Mrpl47tm1.1(KOMP)Vlcg/Mrpl47+ (more )
Structure Level Pattern Image Note
TS28: cerebellum Present UC Davis_1882387

Specimen UC Davis_1882388: postnatal adult; Mrpl47tm1.1(KOMP)Vlcg/Mrpl47+ (more )
Structure Level Pattern Image Note
TS28: trigeminal nerve Present UC Davis_1882388

Specimen UC Davis_1882389: postnatal adult; Mrpl47tm1.1(KOMP)Vlcg/Mrpl47+ (more )
Structure Level Pattern Image Note
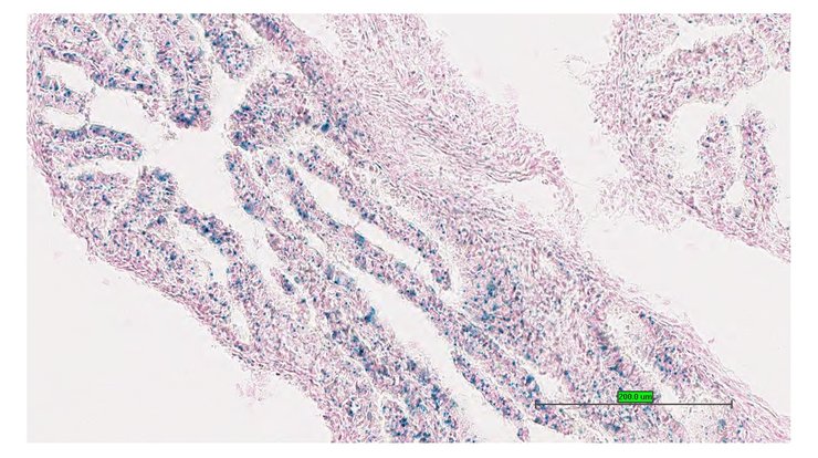
TS28: ovary Present UC Davis_1882389

Specimen UC Davis_1882390: postnatal adult; Mrpl47tm1.1(KOMP)Vlcg/Mrpl47+ (more )
Structure Level Pattern Image Note
TS28: oviduct Present UC Davis_1882390

Specimen UC Davis_1882391: postnatal adult; Mrpl47tm1.1(KOMP)Vlcg/Mrpl47+ (more )
Structure Level Pattern Image Note
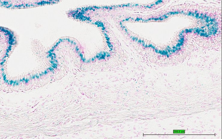
TS28: uterus Present UC Davis_1882391

Specimen UC Davis_1882392: postnatal adult; Mrpl47tm1.1(KOMP)Vlcg/Mrpl47+ (more )
Structure Level Pattern Image Note
TS28: vagina Present UC Davis_1882392

Specimen UC Davis_1882393: postnatal adult; Mrpl47tm1.1(KOMP)Vlcg/Mrpl47+ (more )
Structure Level Pattern Image Note
TS28: vagina Present UC Davis_1882393

Specimen UC Davis_1882394: postnatal adult; Mrpl47tm1.1(KOMP)Vlcg/Mrpl47+ (more )
Structure Level Pattern Image Note
TS28: bladder Present UC Davis_1882394

Specimen UC Davis_1882395: postnatal adult; Mrpl47tm1.1(KOMP)Vlcg/Mrpl47+ (more )
Structure Level Pattern Image Note
TS28: bladder Present UC Davis_1882395

Specimen UC Davis_1882396: postnatal adult; Mrpl47tm1.1(KOMP)Vlcg/Mrpl47+ (more )
Structure Level Pattern Image Note
TS28: mammary gland Present UC Davis_1882396

Specimen TCP_1465867: postnatal adult; Mrpl47tm1.1(KOMP)Vlcg/Mrpl47+ (more )
Structure Level Pattern Image Note
TS28: vascular system Present TCP_1465867

Specimen TCP_1465868: postnatal adult; Mrpl47tm1.1(KOMP)Vlcg/Mrpl47+ (more )
Structure Level Pattern Image Note
TS28: brain Present TCP_1465868

Specimen TCP_1465869: postnatal adult; Mrpl47tm1.1(KOMP)Vlcg/Mrpl47+ (more )
Structure Level Pattern Image Note
TS28: brainstem Present TCP_1465869

Specimen TCP_1465870: postnatal adult; Mrpl47tm1.1(KOMP)Vlcg/Mrpl47+ (more )
Structure Level Pattern Image Note
TS28: brown fat Present TCP_1465870

Specimen TCP_1465871: postnatal adult; Mrpl47tm1.1(KOMP)Vlcg/Mrpl47+ (more )
Structure Level Pattern Image Note
TS28: heart Present TCP_1465871

Specimen TCP_1465872: postnatal adult; Mrpl47tm1.1(KOMP)Vlcg/Mrpl47+ (more )
Structure Level Pattern Image Note
TS28: lung Present TCP_1465872

Specimen TCP_1465873: postnatal adult; Mrpl47tm1.1(KOMP)Vlcg/Mrpl47+ (more )
Structure Level Pattern Image Note
TS28: skeletal muscle tissue Present TCP_1465873

Specimen TCP_1465874: postnatal adult; Mrpl47tm1.1(KOMP)Vlcg/Mrpl47+ (more )
Structure Level Pattern Image Note
TS28: skin Present TCP_1465874

Specimen TCP_1465875: postnatal adult; Mrpl47tm1.1(KOMP)Vlcg/Mrpl47+ (more )
Structure Level Pattern Image Note
TS28: spinal cord Present TCP_1465875

Specimen UC Davis_1882399: postnatal adult; Mrpl47tm1.1(KOMP)Vlcg/Mrpl47+ (more )
Structure Level Pattern Image Note
TS28: sublingual gland Present UC Davis_1882399

Specimen UC Davis_1882400: postnatal adult; Mrpl47tm1.1(KOMP)Vlcg/Mrpl47+ (more )
Structure Level Pattern Image Note
TS28: parotid gland Present UC Davis_1882400

Specimen UC Davis_1882401: postnatal adult; Mrpl47tm1.1(KOMP)Vlcg/Mrpl47+ (more )
Structure Level Pattern Image Note
TS28: trachea Present UC Davis_1882401

Specimen UC Davis_1882402: postnatal adult; Mrpl47tm1.1(KOMP)Vlcg/Mrpl47+ (more )
Structure Level Pattern Image Note
TS28: esophagus Present UC Davis_1882402

Specimen UC Davis_1882403: postnatal adult; Mrpl47tm1.1(KOMP)Vlcg/Mrpl47+ (more )
Structure Level Pattern Image Note
TS28: thyroid gland Present UC Davis_1882403

Specimen UC Davis_1882405: postnatal adult; Mrpl47tm1.1(KOMP)Vlcg/Mrpl47+ (more )
Structure Level Pattern Image Note
TS28: parathyroid gland Present UC Davis_1882405

Specimen UC Davis_1882406: postnatal adult; Mrpl47tm1.1(KOMP)Vlcg/Mrpl47+ (more )
Structure Level Pattern Image Note
TS28: aorta Present UC Davis_1882406

Specimen UC Davis_1882407: postnatal adult; Mrpl47tm1.1(KOMP)Vlcg/Mrpl47+ (more )
Structure Level Pattern Image Note
TS28: lung Present UC Davis_1882407

Specimen UC Davis_1882408: postnatal adult; Mrpl47tm1.1(KOMP)Vlcg/Mrpl47+ (more )
Structure Level Pattern Image Note
TS28: lung Present UC Davis_1882408

Specimen UC Davis_1882409: postnatal adult; Mrpl47tm1.1(KOMP)Vlcg/Mrpl47+ (more )
Structure Level Pattern Image Note
TS28: thymus Present UC Davis_1882409

Specimen UC Davis_1882410: postnatal adult; Mrpl47tm1.1(KOMP)Vlcg/Mrpl47+ (more )
Structure Level Pattern Image Note
TS28: thymus Present UC Davis_1882410

Specimen UC Davis_1882413: postnatal adult; Mrpl47tm1.1(KOMP)Vlcg/Mrpl47+ (more )
Structure Level Pattern Image Note
TS28: stomach Present UC Davis_1882413

Specimen UC Davis_1882414: postnatal adult; Mrpl47tm1.1(KOMP)Vlcg/Mrpl47+ (more )
Structure Level Pattern Image Note
TS28: stomach Present UC Davis_1882414

Specimen UC Davis_1882415: postnatal adult; Mrpl47tm1.1(KOMP)Vlcg/Mrpl47+ (more )
Structure Level Pattern Image Note
TS28: duodenum Present UC Davis_1882415

Specimen UC Davis_1882416: postnatal adult; Mrpl47tm1.1(KOMP)Vlcg/Mrpl47+ (more )
Structure Level Pattern Image Note
TS28: jejunum Present UC Davis_1882416

Specimen UC Davis_1882417: postnatal adult; Mrpl47tm1.1(KOMP)Vlcg/Mrpl47+ (more )
Structure Level Pattern Image Note
TS28: ileum Present UC Davis_1882417

Specimen UC Davis_1882418: postnatal adult; Mrpl47tm1.1(KOMP)Vlcg/Mrpl47+ (more )
Structure Level Pattern Image Note
TS28: colon Present UC Davis_1882418

Specimen UC Davis_1882419: postnatal adult; Mrpl47tm1.1(KOMP)Vlcg/Mrpl47+ (more )
Structure Level Pattern Image Note
TS28: colon Present UC Davis_1882419

Specimen UC Davis_1882420: postnatal adult; Mrpl47tm1.1(KOMP)Vlcg/Mrpl47+ (more )
Structure Level Pattern Image Note
TS28: spleen Present UC Davis_1882420

Specimen UC Davis_1882421: postnatal adult; Mrpl47tm1.1(KOMP)Vlcg/Mrpl47+ (more )
Structure Level Pattern Image Note
TS28: spleen Present UC Davis_1882421

Specimen UC Davis_1882422: postnatal adult; Mrpl47tm1.1(KOMP)Vlcg/Mrpl47+ (more )
Structure Level Pattern Image Note
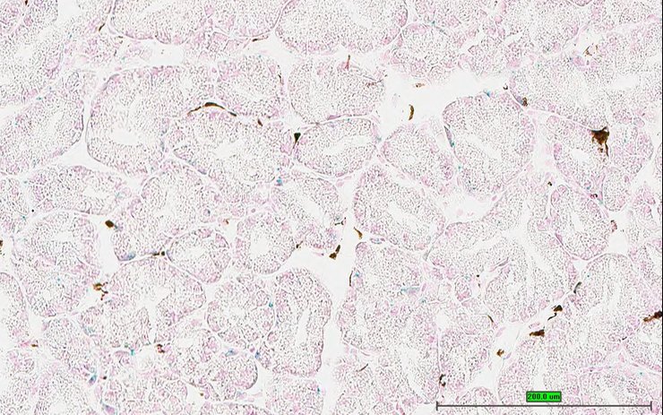
TS28: pancreas Present UC Davis_1882422

Specimen UC Davis_1882423: postnatal adult; Mrpl47tm1.1(KOMP)Vlcg/Mrpl47+ (more )
Structure Level Pattern Image Note
TS28: pancreas Present UC Davis_1882423

Specimen UC Davis_1882424: postnatal adult; Mrpl47tm1.1(KOMP)Vlcg/Mrpl47+ (more )
Structure Level Pattern Image Note
TS28: liver Present UC Davis_1882424

Specimen UC Davis_1882425: postnatal adult; Mrpl47tm1.1(KOMP)Vlcg/Mrpl47+ (more )
Structure Level Pattern Image Note
TS28: metanephros Present UC Davis_1882425 kidney

Specimen UC Davis_1882426: postnatal adult; Mrpl47tm1.1(KOMP)Vlcg/Mrpl47+ (more )
Structure Level Pattern Image Note
TS28: metanephros Present UC Davis_1882426 kidney

Specimen UC Davis_1882427: postnatal adult; Mrpl47tm1.1(KOMP)Vlcg/Mrpl47+ (more )
Structure Level Pattern Image Note
TS28: metanephros Present UC Davis_1882427 kidney

Specimen UC Davis_1882428: postnatal adult; Mrpl47tm1.1(KOMP)Vlcg/Mrpl47+ (more )
Structure Level Pattern Image Note
TS28: quadriceps femoris muscle Present UC Davis_1882428

Specimen UC Davis_1882429: postnatal adult; Mrpl47tm1.1(KOMP)Vlcg/Mrpl47+ (more )
Structure Level Pattern Image Note
TS28: quadriceps femoris muscle Present UC Davis_1882429

Specimen UC Davis_1882430: postnatal adult; Mrpl47tm1.1(KOMP)Vlcg/Mrpl47+ (more )
Structure Level Pattern Image Note
TS28: tongue Present UC Davis_1882430

Specimen UC Davis_1882431: postnatal adult; Mrpl47tm1.1(KOMP)Vlcg/Mrpl47+ (more )
Structure Level Pattern Image Note
TS28: tongue Present UC Davis_1882431

Specimen UC Davis_1882432: postnatal adult; Mrpl47tm1.1(KOMP)Vlcg/Mrpl47+ (more )
Structure Level Pattern Image Note
TS28: diaphragm Present UC Davis_1882432

Specimen UC Davis_1882433: postnatal adult; Mrpl47tm1.1(KOMP)Vlcg/Mrpl47+ (more )
Structure Level Pattern Image Note
TS28: adrenal gland Present UC Davis_1882433

Specimen UC Davis_1882434: postnatal adult; Mrpl47tm1.1(KOMP)Vlcg/Mrpl47+ (more )
Structure Level Pattern Image Note
TS28: pituitary gland Present UC Davis_1882434

Specimen UC Davis_1882435: postnatal adult; Mrpl47tm1.1(KOMP)Vlcg/Mrpl47+ (more )
Structure Level Pattern Image Note
TS28: spinal cord Present UC Davis_1882435

Specimen UC Davis_1882436: postnatal adult; Mrpl47tm1.1(KOMP)Vlcg/Mrpl47+ (more )
Structure Level Pattern Image Note
TS28: spinal cord Present UC Davis_1882436

Specimen UC Davis_1882437: postnatal adult; Mrpl47tm1.1(KOMP)Vlcg/Mrpl47+ (more )
Structure Level Pattern Image Note
TS28: eye Present UC Davis_1882437

Specimen UC Davis_1882438: postnatal adult; Mrpl47tm1.1(KOMP)Vlcg/Mrpl47+ (more )
Structure Level Pattern Image Note
TS28: eye Present UC Davis_1882438

Specimen UC Davis_1882440: postnatal adult; Mrpl47tm1.1(KOMP)Vlcg/Mrpl47+ (more )
Structure Level Pattern Image Note
TS28: Harderian gland Present UC Davis_1882440

Specimen UC Davis_1882441: postnatal adult; Mrpl47tm1.1(KOMP)Vlcg/Mrpl47+ (more )
Structure Level Pattern Image Note
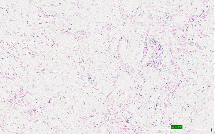
TS28: mesenteric adipose tissue Present UC Davis_1882441

Specimen UC Davis_1882442: postnatal adult; Mrpl47tm1.1(KOMP)Vlcg/Mrpl47+ (more )
Structure Level Pattern Image Note
TS28: skin Present UC Davis_1882442

Specimen UC Davis_1882443: postnatal adult; Mrpl47tm1.1(KOMP)Vlcg/Mrpl47+ (more )
Structure Level Pattern Image Note
TS28: brown fat Present UC Davis_1882443

Specimen UC Davis_1882444: postnatal adult; Mrpl47tm1.1(KOMP)Vlcg/Mrpl47+ (more )
Structure Level Pattern Image Note
TS28: olfactory lobe Present UC Davis_1882444

Specimen UC Davis_1882448: postnatal adult; Mrpl47tm1.1(KOMP)Vlcg/Mrpl47+ (more )
Structure Level Pattern Image Note
TS28: midbrain Present UC Davis_1882448

Specimen UC Davis_1882450: postnatal adult; Mrpl47tm1.1(KOMP)Vlcg/Mrpl47+ (more )
Structure Level Pattern Image Note
TS28: cerebellum Present UC Davis_1882450

Specimen UC Davis_1882451: postnatal adult; Mrpl47tm1.1(KOMP)Vlcg/Mrpl47+ (more )
Structure Level Pattern Image Note
TS28: trigeminal nerve Present UC Davis_1882451

Specimen UC Davis_1882452: postnatal adult; Mrpl47tm1.1(KOMP)Vlcg/Mrpl47+ (more )
Structure Level Pattern Image Note
TS28: bladder Present UC Davis_1882452

Specimen UC Davis_1882453: postnatal adult; Mrpl47tm1.1(KOMP)Vlcg/Mrpl47+ (more )
Structure Level Pattern Image Note
TS28: bladder Present UC Davis_1882453

Specimen UC Davis_1882454: postnatal adult; Mrpl47tm1.1(KOMP)Vlcg/Mrpl47+ (more )
Structure Level Pattern Image Note
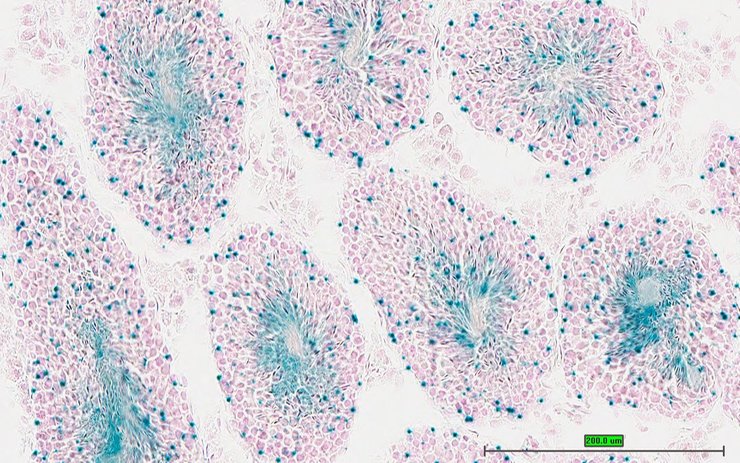
TS28: testis Present UC Davis_1882454

Specimen UC Davis_1882455: postnatal adult; Mrpl47tm1.1(KOMP)Vlcg/Mrpl47+ (more )
Structure Level Pattern Image Note
TS28: epididymis Present UC Davis_1882455

Specimen UC Davis_1882456: postnatal adult; Mrpl47tm1.1(KOMP)Vlcg/Mrpl47+ (more )
Structure Level Pattern Image Note
TS28: epididymis Present UC Davis_1882456

Specimen UC Davis_1882457: postnatal adult; Mrpl47tm1.1(KOMP)Vlcg/Mrpl47+ (more )
Structure Level Pattern Image Note
TS28: prostate gland Present UC Davis_1882457

Specimen UC Davis_1882458: postnatal adult; Mrpl47tm1.1(KOMP)Vlcg/Mrpl47+ (more )
Structure Level Pattern Image Note
TS28: penis Present UC Davis_1882458

Specimen UC Davis_1882459: postnatal adult; Mrpl47tm1.1(KOMP)Vlcg/Mrpl47+ (more )
Structure Level Pattern Image Note
TS28: penis Present UC Davis_1882459

Specimen UC Davis_1882460: postnatal adult; Mrpl47tm1.1(KOMP)Vlcg/Mrpl47+ (more )
Structure Level Pattern Image Note
TS28: ductus deferens Present UC Davis_1882460 vas deferens

Specimen UC Davis_1882462: postnatal adult; Mrpl47tm1.1(KOMP)Vlcg/Mrpl47+ (more )
Structure Level Pattern Image Note
TS28: seminal vesicle Present UC Davis_1882462 vesicular gland


Contributing Projects:
Mouse Genome Database (MGD), Gene Expression Database (GXD), Mouse Models of Human Cancer database (MMHCdb) (formerly Mouse Tumor Biology (MTB)), Gene Ontology (GO)
Citing These Resources
Funding Information
Warranty Disclaimer, Privacy Notice, Licensing, & Copyright
Send questions and comments to User Support.
last database update
12/30/2025
MGI 6.24
The Jackson Laboratory