About   Help   FAQ
Gene Expression Data
Assay Details
Assay
Reference: J:228563 Koscielny G, et al., The International Mouse Phenotyping Consortium Web Portal, a unified point of access for knockout mice and related phenotyping data. Nucleic Acids Res. 2014 Jan;42(Database issue):D802-9
Assay type: In situ reporter (knock in)
MGI Accession ID: MGI:6692099
Gene symbol: Tnks2
Gene name: tankyrase, TRF1-interacting ankyrin-related ADP-ribose polymerase 2
Reporter: lacZ
Direct Detection
Results
Specimen JAX_1127939: embryonic day 12.5; Tnks2tm1b(KOMP)Wtsi/Tnks2+ (more )
Structure Level Pattern Image Note
TS20: embryo Present JAX_1127939

Specimen JAX_1127941: embryonic day 12.5; Tnks2tm1b(KOMP)Wtsi/Tnks2+ (more )
Structure Level Pattern Image Note
TS20: embryo Present JAX_1127941

Specimen JAX_1127943: embryonic day 12.5; Tnks2tm1b(KOMP)Wtsi/Tnks2+ (more )
Structure Level Pattern Image Note
TS20: embryo Present JAX_1127943

Specimen JAX_1127945: embryonic day 12.5; Tnks2tm1b(KOMP)Wtsi/Tnks2+ (more )
Structure Level Pattern Image Note
TS20: embryo Present JAX_1127945

Specimen JAX_1127947: embryonic day 12.5; Tnks2tm1b(KOMP)Wtsi/Tnks2+ (more )
Structure Level Pattern Image Note
TS20: embryo Present JAX_1127947

Specimen JAX_1127949: embryonic day 12.5; Tnks2tm1b(KOMP)Wtsi/Tnks2+ (more )
Structure Level Pattern Image Note
TS20: embryo Present JAX_1127949

Specimen JAX_1127951: embryonic day 12.5; Tnks2tm1b(KOMP)Wtsi/Tnks2+ (more )
Structure Level Pattern Image Note
TS20: embryo Present JAX_1127951

Specimen JAX_1127953: embryonic day 12.5; Tnks2tm1b(KOMP)Wtsi/Tnks2+ (more )
Structure Level Pattern Image Note
TS20: embryo Present JAX_1127953

Specimen JAX_1626801: postnatal adult; Tnks2tm1b(KOMP)Wtsi/Tnks2+ (more )
Structure Level Pattern Image Note
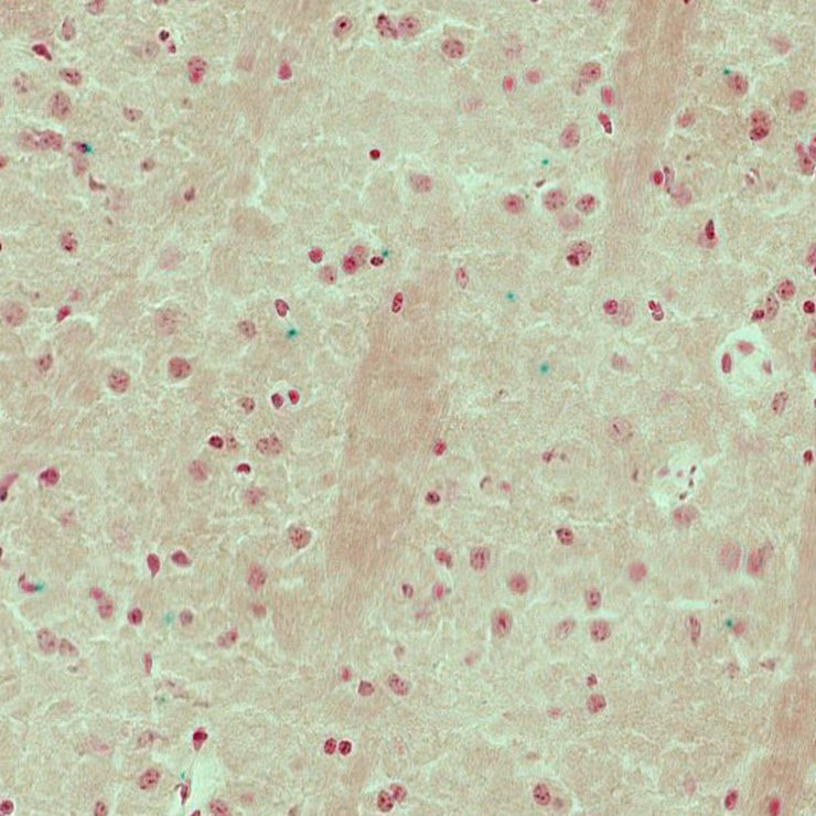
TS28: peripheral nervous system Present JAX_1626801

Specimen JAX_1626802: postnatal adult; Tnks2tm1b(KOMP)Wtsi/Tnks2+ (more )
Structure Level Pattern Image Note
TS28: hypothalamus Present JAX_1626802

Specimen JAX_1626803: postnatal adult; Tnks2tm1b(KOMP)Wtsi/Tnks2+ (more )
Structure Level Pattern Image Note
TS28: cerebellum Present JAX_1626803

Specimen JAX_1626804: postnatal adult; Tnks2tm1b(KOMP)Wtsi/Tnks2+ (more )
Structure Level Pattern Image Note
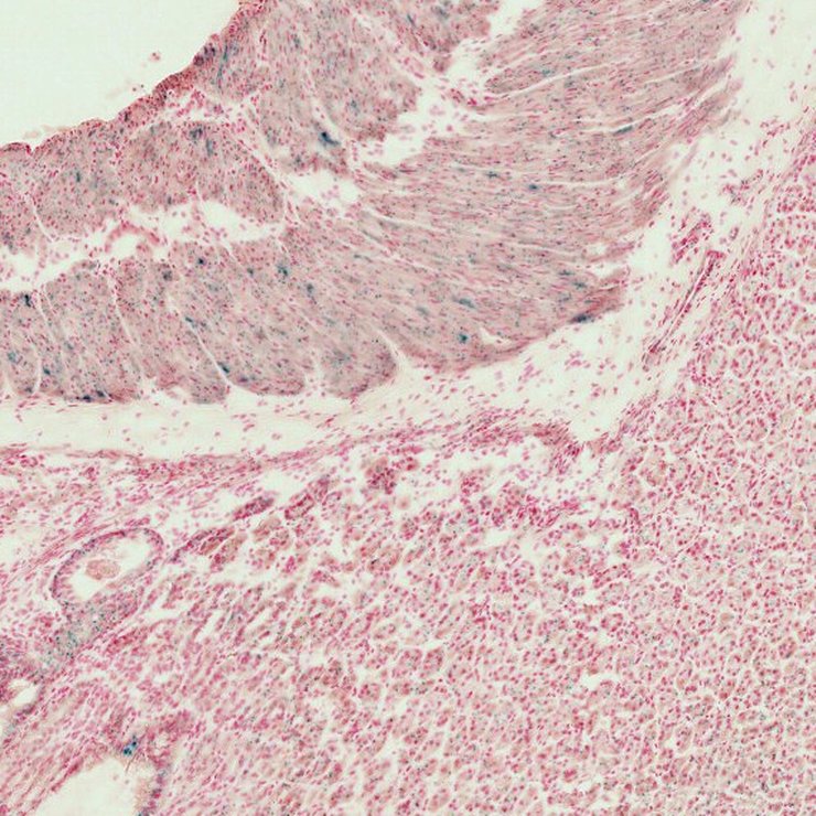
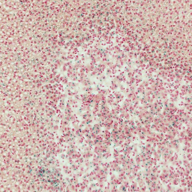
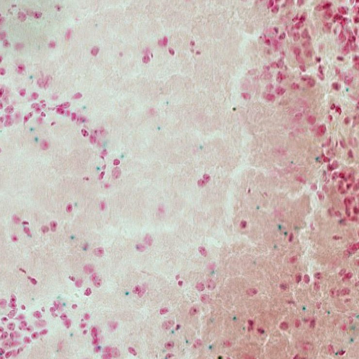
TS28: spleen Present JAX_1626804

Specimen JAX_1626805: postnatal adult; Tnks2tm1b(KOMP)Wtsi/Tnks2+ (more )
Structure Level Pattern Image Note
TS28: pancreas Present JAX_1626805

Specimen JAX_1626806: postnatal adult; Tnks2tm1b(KOMP)Wtsi/Tnks2+ (more )
Structure Level Pattern Image Note
TS28: pituitary gland Present JAX_1626806

Specimen JAX_1626807: postnatal adult; Tnks2tm1b(KOMP)Wtsi/Tnks2+ (more )
Structure Level Pattern Image Note
TS28: spinal cord Present JAX_1626807

Specimen JAX_1626808: postnatal adult; Tnks2tm1b(KOMP)Wtsi/Tnks2+ (more )
Structure Level Pattern Image Note
TS28: esophagus Present JAX_1626808

Specimen JAX_1626809: postnatal adult; Tnks2tm1b(KOMP)Wtsi/Tnks2+ (more )
Structure Level Pattern Image Note
TS28: uterus Present JAX_1626809

Specimen JAX_1626810: postnatal adult; Tnks2tm1b(KOMP)Wtsi/Tnks2+ (more )
Structure Level Pattern Image Note
TS28: oviduct Present JAX_1626810

Specimen JAX_1626811: postnatal adult; Tnks2tm1b(KOMP)Wtsi/Tnks2+ (more )
Structure Level Pattern Image Note
TS28: ovary Present JAX_1626811

Specimen JAX_1626812: postnatal adult; Tnks2tm1b(KOMP)Wtsi/Tnks2+ (more )
Structure Level Pattern Image Note
TS28: mammary gland Present JAX_1626812

Specimen JAX_1626813: postnatal adult; Tnks2tm1b(KOMP)Wtsi/Tnks2+ (more )
Structure Level Pattern Image Note
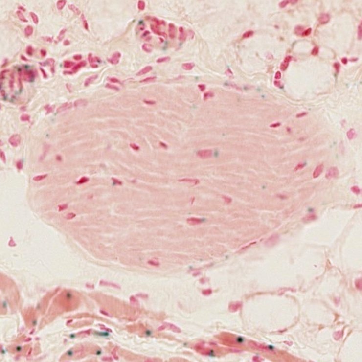
TS28: heart Present JAX_1626813

Specimen JAX_1626814: postnatal adult; Tnks2tm1b(KOMP)Wtsi/Tnks2+ (more )
Structure Level Pattern Image Note
TS28: adrenal gland Present JAX_1626814

Specimen JAX_1626775: postnatal adult; Tnks2tm1b(KOMP)Wtsi/Tnks2+ (more )
Structure Level Pattern Image Note
TS28: thalamus Present JAX_1626775

Specimen JAX_1626776: postnatal adult; Tnks2tm1b(KOMP)Wtsi/Tnks2+ (more )
Structure Level Pattern Image Note
TS28: midbrain Present JAX_1626776

Specimen JAX_1626777: postnatal adult; Tnks2tm1b(KOMP)Wtsi/Tnks2+ (more )
Structure Level Pattern Image Note
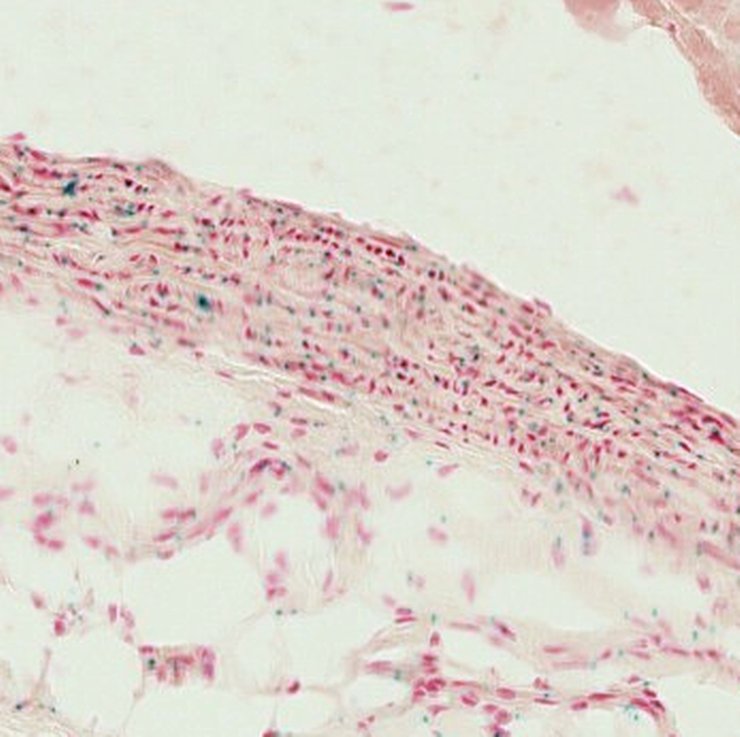
TS28: vascular system Present JAX_1626777

Specimen JAX_1626778: postnatal adult; Tnks2tm1b(KOMP)Wtsi/Tnks2+ (more )
Structure Level Pattern Image Note
TS28: epididymis Present JAX_1626778

Specimen JAX_1626779: postnatal adult; Tnks2tm1b(KOMP)Wtsi/Tnks2+ (more )
Structure Level Pattern Image Note
TS28: submandibular gland Present JAX_1626779

Specimen JAX_1626780: postnatal adult; Tnks2tm1b(KOMP)Wtsi/Tnks2+ (more )
Structure Level Pattern Image Note
TS28: brown fat Present JAX_1626780

Specimen JAX_1626781: postnatal adult; Tnks2tm1b(KOMP)Wtsi/Tnks2+ (more )
Structure Level Pattern Image Note
TS28: bladder Present JAX_1626781

Specimen JAX_1626782: postnatal adult; Tnks2tm1b(KOMP)Wtsi/Tnks2+ (more )
Structure Level Pattern Image Note
TS28: corpus striatum Present JAX_1626782

Specimen JAX_1626783: postnatal adult; Tnks2tm1b(KOMP)Wtsi/Tnks2+ (more )
Structure Level Pattern Image Note
TS28: olfactory lobe Present JAX_1626783

Specimen JAX_1626784: postnatal adult; Tnks2tm1b(KOMP)Wtsi/Tnks2+ (more )
Structure Level Pattern Image Note
TS28: hippocampus Present JAX_1626784

Specimen JAX_1626785: postnatal adult; Tnks2tm1b(KOMP)Wtsi/Tnks2+ (more )
Structure Level Pattern Image Note
TS28: cerebral cortex Present JAX_1626785

Specimen JAX_1626786: postnatal adult; Tnks2tm1b(KOMP)Wtsi/Tnks2+ (more )
Structure Level Pattern Image Note
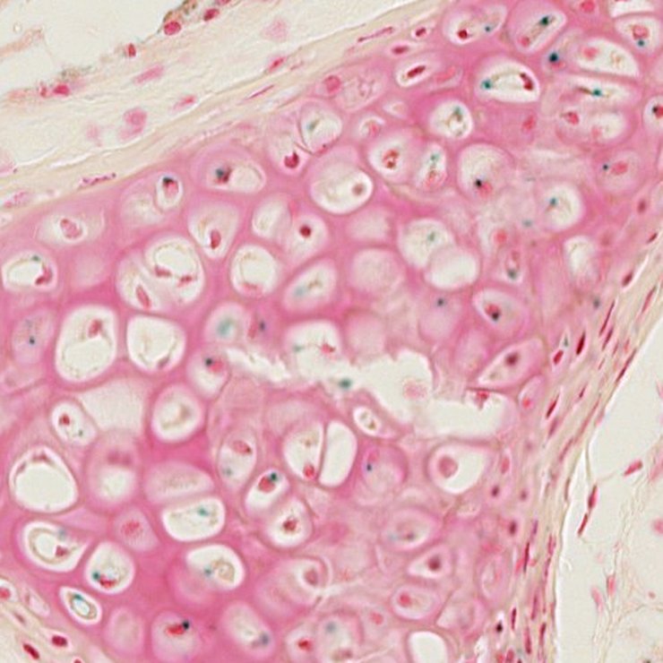
TS28: cartilage Present JAX_1626786

Specimen JAX_1626787: postnatal adult; Tnks2tm1b(KOMP)Wtsi/Tnks2+ (more )
Structure Level Pattern Image Note
TS28: brainstem Present JAX_1626787

Specimen JAX_1626788: postnatal adult; Tnks2tm1b(KOMP)Wtsi/Tnks2+ (more )
Structure Level Pattern Image Note
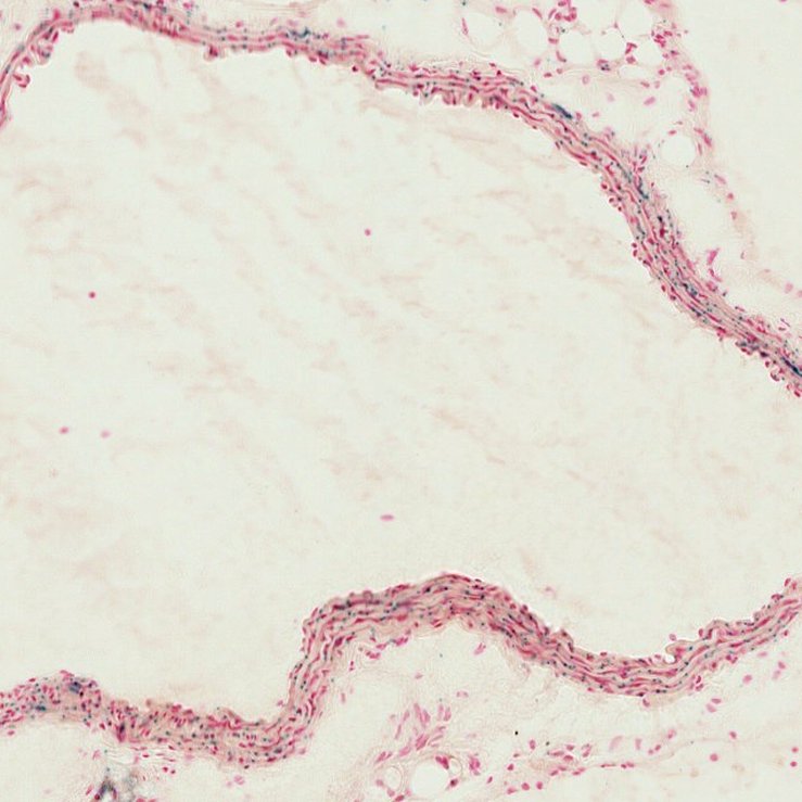
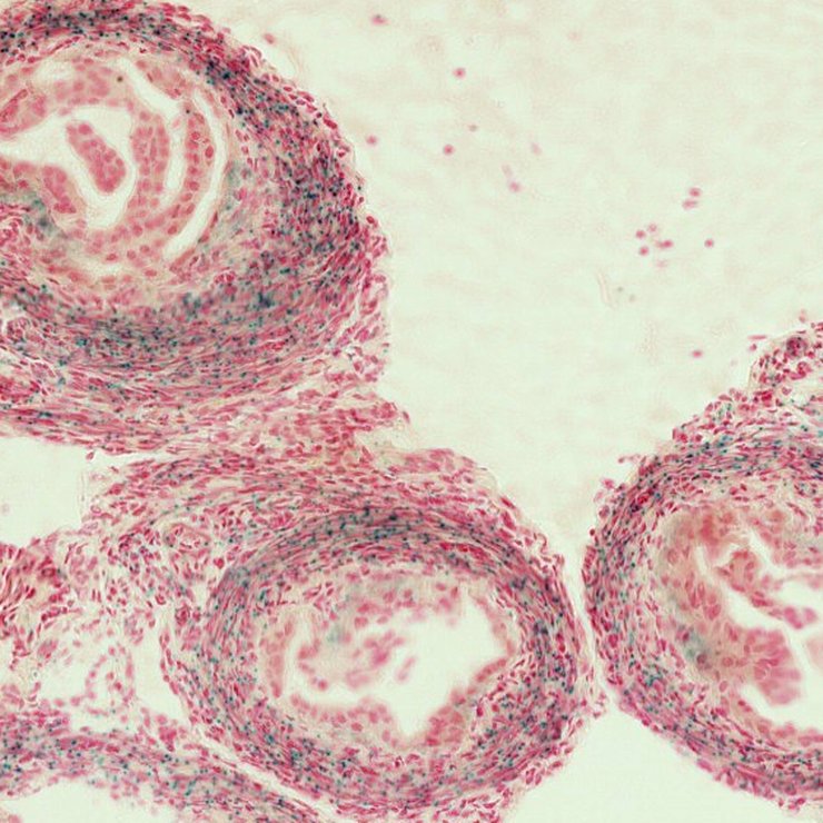
TS28: aorta Present JAX_1626788

Specimen JAX_1626789: postnatal adult; Tnks2tm1b(KOMP)Wtsi/Tnks2+ (more )
Structure Level Pattern Image Note
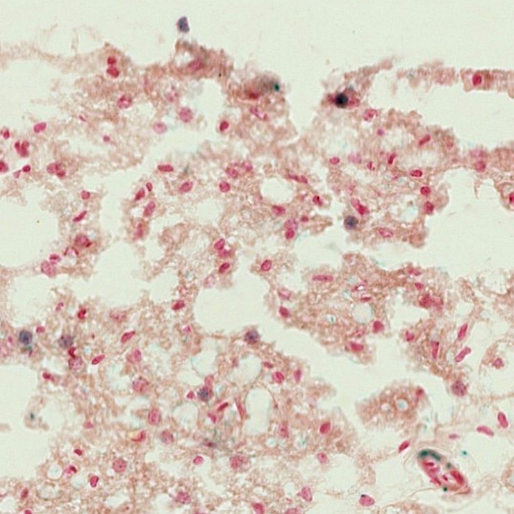
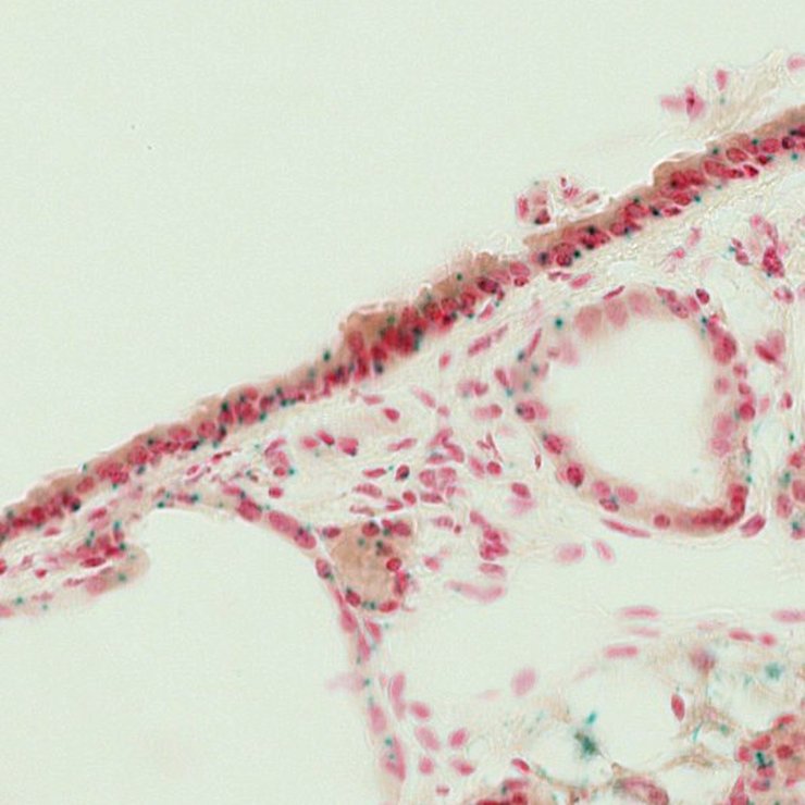
TS28: lung Present JAX_1626789

Specimen JAX_1626790: postnatal adult; Tnks2tm1b(KOMP)Wtsi/Tnks2+ (more )
Structure Level Pattern Image Note
TS28: white fat Present JAX_1626790

Specimen JAX_1626791: postnatal adult; Tnks2tm1b(KOMP)Wtsi/Tnks2+ (more )
Structure Level Pattern Image Note
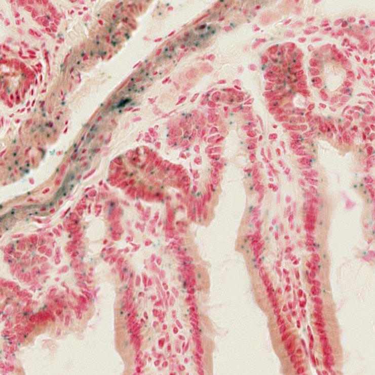
TS28: small intestine Present JAX_1626791

Specimen JAX_1626792: postnatal adult; Tnks2tm1b(KOMP)Wtsi/Tnks2+ (more )
Structure Level Pattern Image Note
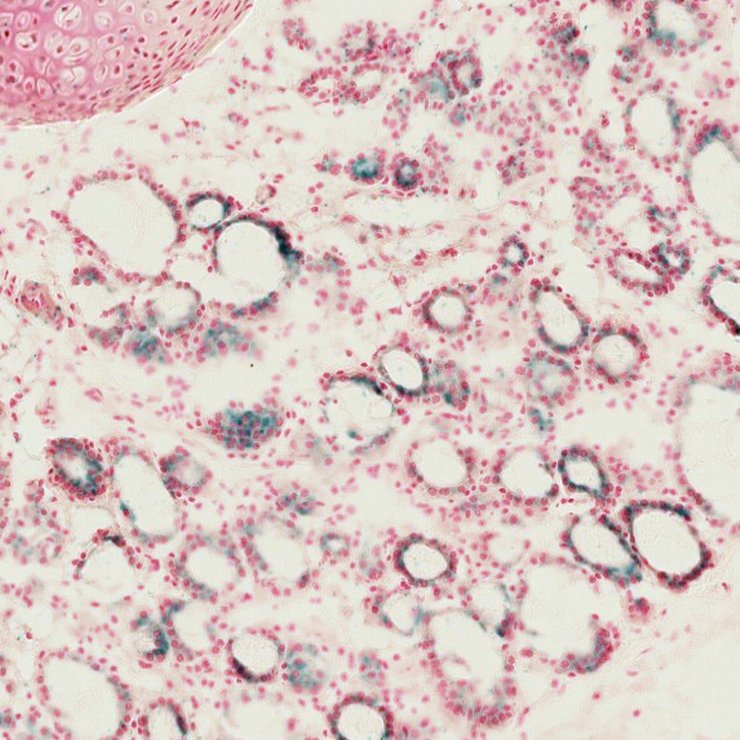
TS28: thyroid gland Present JAX_1626792

Specimen JAX_1626793: postnatal adult; Tnks2tm1b(KOMP)Wtsi/Tnks2+ (more )
Structure Level Pattern Image Note
TS28: large intestine Present JAX_1626793

Specimen JAX_1626794: postnatal adult; Tnks2tm1b(KOMP)Wtsi/Tnks2+ (more )
Structure Level Pattern Image Note
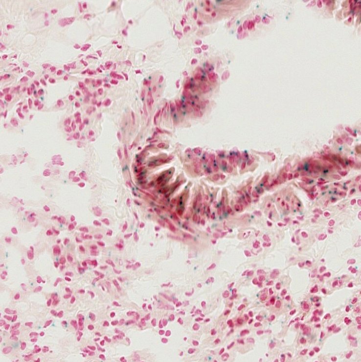
TS28: trachea Present JAX_1626794

Specimen JAX_1626795: postnatal adult; Tnks2tm1b(KOMP)Wtsi/Tnks2+ (more )
Structure Level Pattern Image Note
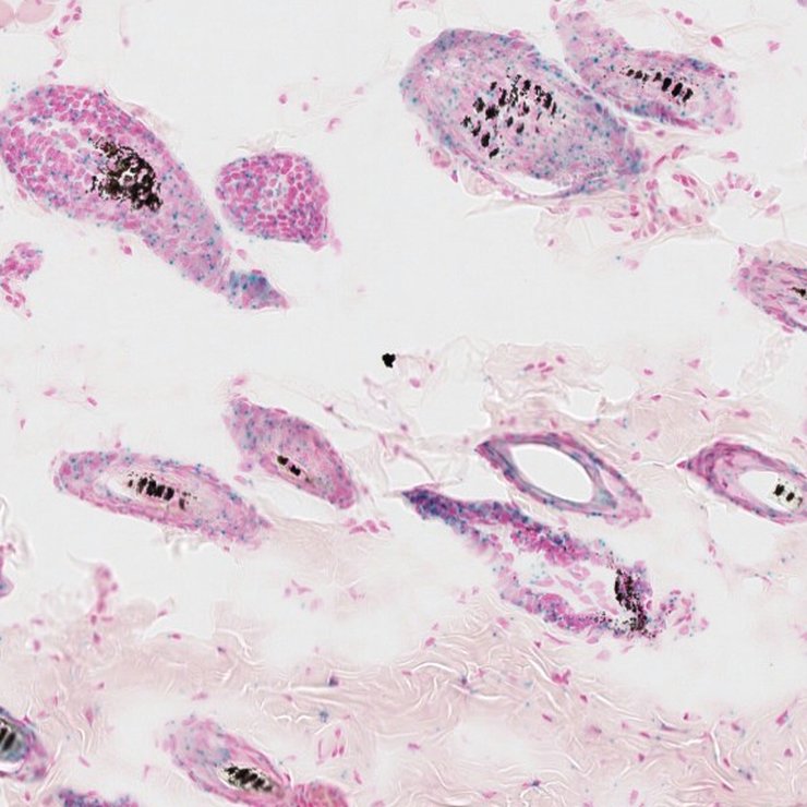
TS28: testis Present JAX_1626795

Specimen JAX_1626796: postnatal adult; Tnks2tm1b(KOMP)Wtsi/Tnks2+ (more )
Structure Level Pattern Image Note
TS28: stomach Present JAX_1626796

Specimen JAX_1626797: postnatal adult; Tnks2tm1b(KOMP)Wtsi/Tnks2+ (more )
Structure Level Pattern Image Note
TS28: skin Present JAX_1626797

Specimen JAX_1626798: postnatal adult; Tnks2tm1b(KOMP)Wtsi/Tnks2+ (more )
Structure Level Pattern Image Note
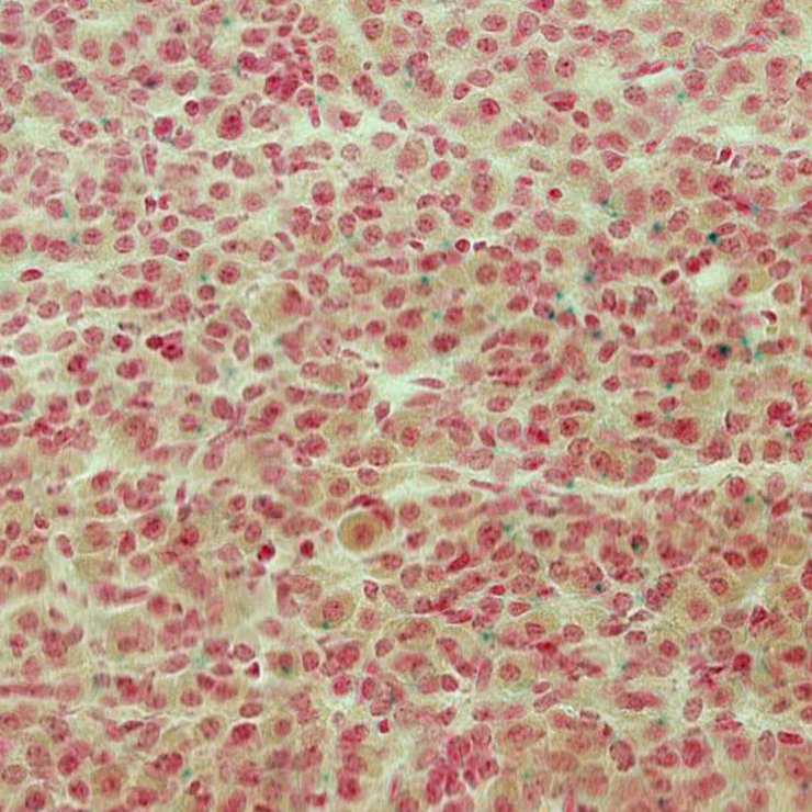
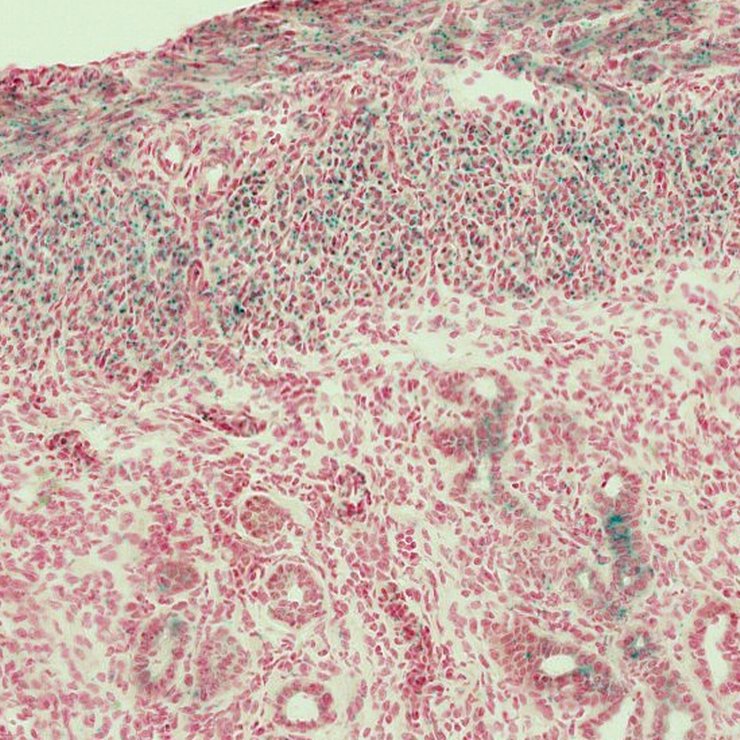
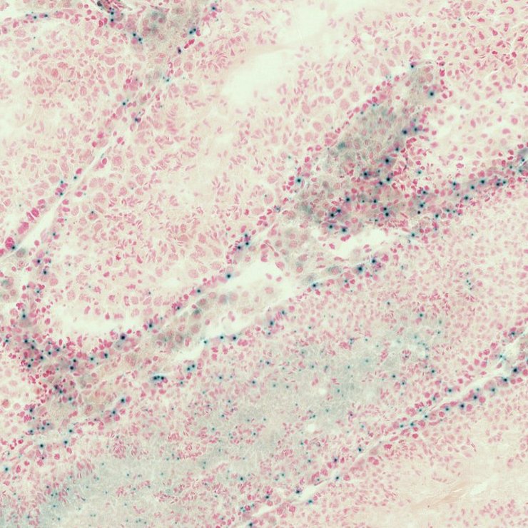
TS28: liver Present JAX_1626798

Specimen JAX_1626799: postnatal adult; Tnks2tm1b(KOMP)Wtsi/Tnks2+ (more )
Structure Level Pattern Image Note
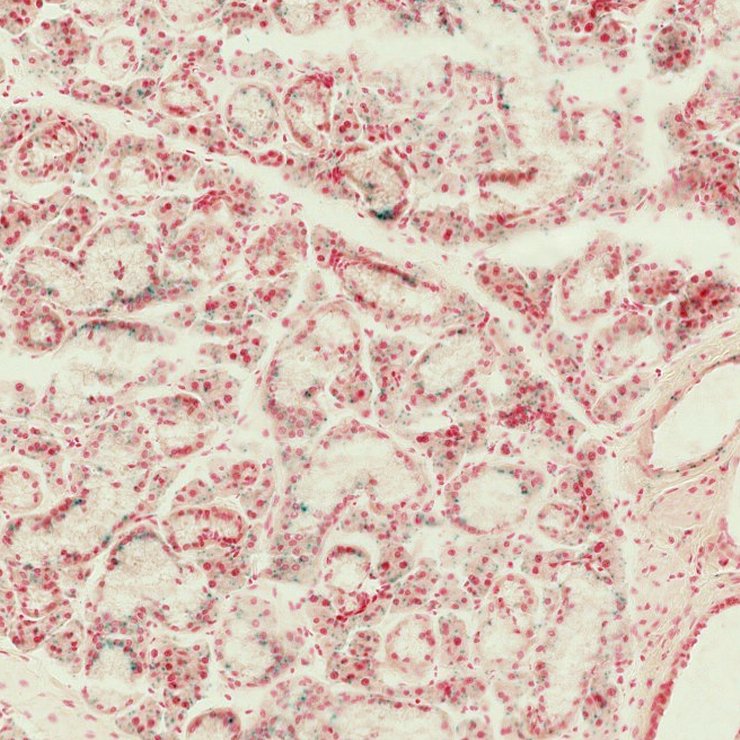
TS28: metanephros Present JAX_1626799 kidney

Specimen JAX_1626800: postnatal adult; Tnks2tm1b(KOMP)Wtsi/Tnks2+ (more )
Structure Level Pattern Image Note
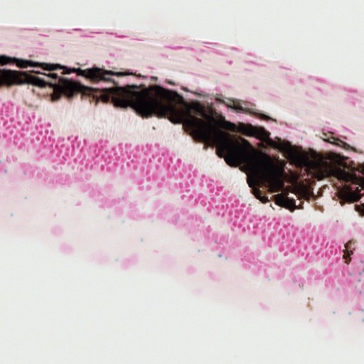
TS28: eye Present JAX_1626800


Contributing Projects:
Mouse Genome Database (MGD), Gene Expression Database (GXD), Mouse Models of Human Cancer database (MMHCdb) (formerly Mouse Tumor Biology (MTB)), Gene Ontology (GO)
Citing These Resources
Funding Information
Warranty Disclaimer, Privacy Notice, Licensing, & Copyright
Send questions and comments to User Support.
last database update
12/30/2025
MGI 6.24
The Jackson Laboratory