About   Help   FAQ
Gene Expression Data
Assay Details
Assay
Reference: J:228563 Koscielny G, et al., The International Mouse Phenotyping Consortium Web Portal, a unified point of access for knockout mice and related phenotyping data. Nucleic Acids Res. 2014 Jan;42(Database issue):D802-9
Assay type: In situ reporter (knock in)
MGI Accession ID: MGI:6692092
Gene symbol: Plpp6
Gene name: phospholipid phosphatase 6
Reporter: lacZ
Direct Detection
Results
Specimen UC Davis_1875851: postnatal adult; Plpp6tm1.1(KOMP)Vlcg/Plpp6+ (more )
Structure Level Pattern Image Note
TS28: trachea Present UC Davis_1875851

Specimen UC Davis_1875852: postnatal adult; Plpp6tm1.1(KOMP)Vlcg/Plpp6+ (more )
Structure Level Pattern Image Note
TS28: trachea Present UC Davis_1875852

Specimen UC Davis_1875853: postnatal adult; Plpp6tm1.1(KOMP)Vlcg/Plpp6+ (more )
Structure Level Pattern Image Note
TS28: esophagus Present UC Davis_1875853

Specimen UC Davis_1875854: postnatal adult; Plpp6tm1.1(KOMP)Vlcg/Plpp6+ (more )
Structure Level Pattern Image Note
TS28: lung Present UC Davis_1875854

Specimen UC Davis_1875855: postnatal adult; Plpp6tm1.1(KOMP)Vlcg/Plpp6+ (more )
Structure Level Pattern Image Note
TS28: thymus Present UC Davis_1875855

Specimen UC Davis_1875858: postnatal adult; Plpp6tm1.1(KOMP)Vlcg/Plpp6+ (more )
Structure Level Pattern Image Note
TS28: stomach Present UC Davis_1875858

Specimen UC Davis_1875859: postnatal adult; Plpp6tm1.1(KOMP)Vlcg/Plpp6+ (more )
Structure Level Pattern Image Note
TS28: stomach Present UC Davis_1875859

Specimen UC Davis_1875860: postnatal adult; Plpp6tm1.1(KOMP)Vlcg/Plpp6+ (more )
Structure Level Pattern Image Note
TS28: stomach Present UC Davis_1875860

Specimen UC Davis_1875861: postnatal adult; Plpp6tm1.1(KOMP)Vlcg/Plpp6+ (more )
Structure Level Pattern Image Note
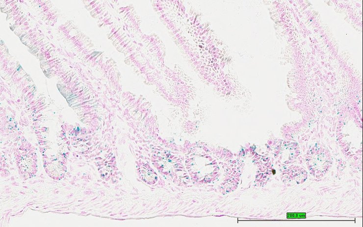
TS28: duodenum Present UC Davis_1875861

Specimen UC Davis_1875862: postnatal adult; Plpp6tm1.1(KOMP)Vlcg/Plpp6+ (more )
Structure Level Pattern Image Note
TS28: jejunum Present UC Davis_1875862

Specimen UC Davis_1875863: postnatal adult; Plpp6tm1.1(KOMP)Vlcg/Plpp6+ (more )
Structure Level Pattern Image Note
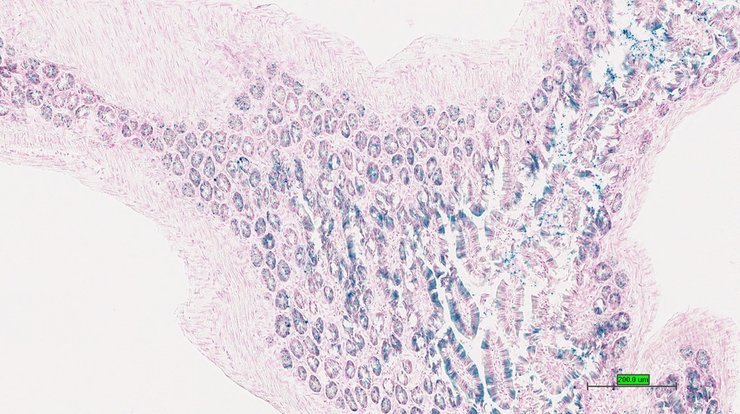
TS28: colon Present UC Davis_1875863

Specimen UC Davis_1875864: postnatal adult; Plpp6tm1.1(KOMP)Vlcg/Plpp6+ (more )
Structure Level Pattern Image Note
TS28: cecum Present UC Davis_1875864

Specimen UC Davis_1875865: postnatal adult; Plpp6tm1.1(KOMP)Vlcg/Plpp6+ (more )
Structure Level Pattern Image Note
TS28: liver Present UC Davis_1875865

Specimen UC Davis_1875866: postnatal adult; Plpp6tm1.1(KOMP)Vlcg/Plpp6+ (more )
Structure Level Pattern Image Note
TS28: metanephros Present UC Davis_1875866 kidney

Specimen UC Davis_1875867: postnatal adult; Plpp6tm1.1(KOMP)Vlcg/Plpp6+ (more )
Structure Level Pattern Image Note
TS28: metanephros Present UC Davis_1875867 kidney

Specimen UC Davis_1875868: postnatal adult; Plpp6tm1.1(KOMP)Vlcg/Plpp6+ (more )
Structure Level Pattern Image Note
TS28: metanephros Present UC Davis_1875868 kidney

Specimen UC Davis_1875869: postnatal adult; Plpp6tm1.1(KOMP)Vlcg/Plpp6+ (more )
Structure Level Pattern Image Note
TS28: metanephros Present UC Davis_1875869 kidney

Specimen UC Davis_1875870: postnatal adult; Plpp6tm1.1(KOMP)Vlcg/Plpp6+ (more )
Structure Level Pattern Image Note
TS28: tongue Present UC Davis_1875870

Specimen UC Davis_1875871: postnatal adult; Plpp6tm1.1(KOMP)Vlcg/Plpp6+ (more )
Structure Level Pattern Image Note
TS28: tongue Present UC Davis_1875871

Specimen UC Davis_1875872: postnatal adult; Plpp6tm1.1(KOMP)Vlcg/Plpp6+ (more )
Structure Level Pattern Image Note
TS28: spinal cord Present UC Davis_1875872

Specimen UC Davis_1875873: postnatal adult; Plpp6tm1.1(KOMP)Vlcg/Plpp6+ (more )
Structure Level Pattern Image Note
TS28: spinal cord Present UC Davis_1875873

Specimen UC Davis_1875874: postnatal adult; Plpp6tm1.1(KOMP)Vlcg/Plpp6+ (more )
Structure Level Pattern Image Note
TS28: eye Present UC Davis_1875874

Specimen UC Davis_1875875: postnatal adult; Plpp6tm1.1(KOMP)Vlcg/Plpp6+ (more )
Structure Level Pattern Image Note
TS28: eye Present UC Davis_1875875

Specimen UC Davis_1875876: postnatal adult; Plpp6tm1.1(KOMP)Vlcg/Plpp6+ (more )
Structure Level Pattern Image Note
TS28: Harderian gland Present UC Davis_1875876

Specimen UC Davis_1875877: postnatal adult; Plpp6tm1.1(KOMP)Vlcg/Plpp6+ (more )
Structure Level Pattern Image Note
TS28: Harderian gland Present UC Davis_1875877

Specimen UC Davis_1875878: postnatal adult; Plpp6tm1.1(KOMP)Vlcg/Plpp6+ (more )
Structure Level Pattern Image Note
TS28: skin Present UC Davis_1875878

Specimen UC Davis_1875879: postnatal adult; Plpp6tm1.1(KOMP)Vlcg/Plpp6+ (more )
Structure Level Pattern Image Note
TS28: skin Present UC Davis_1875879

Specimen UC Davis_1875880: postnatal adult; Plpp6tm1.1(KOMP)Vlcg/Plpp6+ (more )
Structure Level Pattern Image Note
TS28: skin Present UC Davis_1875880

Specimen UC Davis_1875881: postnatal adult; Plpp6tm1.1(KOMP)Vlcg/Plpp6+ (more )
Structure Level Pattern Image Note
TS28: brown fat Present UC Davis_1875881

Specimen UC Davis_1875882: postnatal adult; Plpp6tm1.1(KOMP)Vlcg/Plpp6+ (more )
Structure Level Pattern Image Note
TS28: brown fat Present UC Davis_1875882

Specimen UC Davis_1875883: postnatal adult; Plpp6tm1.1(KOMP)Vlcg/Plpp6+ (more )
Structure Level Pattern Image Note
TS28: brown fat Present UC Davis_1875883

Specimen UC Davis_1875884: postnatal adult; Plpp6tm1.1(KOMP)Vlcg/Plpp6+ (more )
Structure Level Pattern Image Note
TS28: olfactory lobe Present UC Davis_1875884

Specimen UC Davis_1875888: postnatal adult; Plpp6tm1.1(KOMP)Vlcg/Plpp6+ (more )
Structure Level Pattern Image Note
TS28: midbrain Present UC Davis_1875888

Specimen UC Davis_1875890: postnatal adult; Plpp6tm1.1(KOMP)Vlcg/Plpp6+ (more )
Structure Level Pattern Image Note
TS28: cerebellum Present UC Davis_1875890

Specimen UC Davis_1875891: postnatal adult; Plpp6tm1.1(KOMP)Vlcg/Plpp6+ (more )
Structure Level Pattern Image Note
TS28: cerebellum Present UC Davis_1875891

Specimen UC Davis_1875892: postnatal adult; Plpp6tm1.1(KOMP)Vlcg/Plpp6+ (more )
Structure Level Pattern Image Note
TS28: ovary Present UC Davis_1875892

Specimen UC Davis_1875893: postnatal adult; Plpp6tm1.1(KOMP)Vlcg/Plpp6+ (more )
Structure Level Pattern Image Note
TS28: oviduct Present UC Davis_1875893

Specimen UC Davis_1875894: postnatal adult; Plpp6tm1.1(KOMP)Vlcg/Plpp6+ (more )
Structure Level Pattern Image Note
TS28: uterus Present UC Davis_1875894

Specimen UC Davis_1875895: postnatal adult; Plpp6tm1.1(KOMP)Vlcg/Plpp6+ (more )
Structure Level Pattern Image Note
TS28: uterus Present UC Davis_1875895

Specimen UC Davis_1875896: postnatal adult; Plpp6tm1.1(KOMP)Vlcg/Plpp6+ (more )
Structure Level Pattern Image Note
TS28: bladder Present UC Davis_1875896

Specimen UC Davis_1875798: postnatal adult; Plpp6tm1.1(KOMP)Vlcg/Plpp6+ (more )
Structure Level Pattern Image Note
TS28: thymus Absent UC Davis_1875798

Specimen UC Davis_1875799: postnatal adult; Plpp6tm1.1(KOMP)Vlcg/Plpp6+ (more )
Structure Level Pattern Image Note
TS28: thymus Absent UC Davis_1875799

Specimen UC Davis_1875803: postnatal adult; Plpp6tm1.1(KOMP)Vlcg/Plpp6+ (more )
Structure Level Pattern Image Note
TS28: stomach Present UC Davis_1875803

Specimen UC Davis_1875804: postnatal adult; Plpp6tm1.1(KOMP)Vlcg/Plpp6+ (more )
Structure Level Pattern Image Note
TS28: duodenum Present UC Davis_1875804

Specimen UC Davis_1875805: postnatal adult; Plpp6tm1.1(KOMP)Vlcg/Plpp6+ (more )
Structure Level Pattern Image Note
TS28: jejunum Present UC Davis_1875805

Specimen UC Davis_1875806: postnatal adult; Plpp6tm1.1(KOMP)Vlcg/Plpp6+ (more )
Structure Level Pattern Image Note
TS28: jejunum Present UC Davis_1875806

Specimen UC Davis_1875807: postnatal adult; Plpp6tm1.1(KOMP)Vlcg/Plpp6+ (more )
Structure Level Pattern Image Note
TS28: ileum Present UC Davis_1875807

Specimen UC Davis_1875808: postnatal adult; Plpp6tm1.1(KOMP)Vlcg/Plpp6+ (more )
Structure Level Pattern Image Note
TS28: ileum Present UC Davis_1875808

Specimen UC Davis_1875809: postnatal adult; Plpp6tm1.1(KOMP)Vlcg/Plpp6+ (more )
Structure Level Pattern Image Note
TS28: colon Present UC Davis_1875809

Specimen UC Davis_1875810: postnatal adult; Plpp6tm1.1(KOMP)Vlcg/Plpp6+ (more )
Structure Level Pattern Image Note
TS28: colon Present UC Davis_1875810

Specimen UC Davis_1875811: postnatal adult; Plpp6tm1.1(KOMP)Vlcg/Plpp6+ (more )
Structure Level Pattern Image Note
TS28: colon Present UC Davis_1875811

Specimen UC Davis_1875812: postnatal adult; Plpp6tm1.1(KOMP)Vlcg/Plpp6+ (more )
Structure Level Pattern Image Note
TS28: cecum Present UC Davis_1875812

Specimen UC Davis_1875813: postnatal adult; Plpp6tm1.1(KOMP)Vlcg/Plpp6+ (more )
Structure Level Pattern Image Note
TS28: cecum Present UC Davis_1875813

Specimen UC Davis_1875814: postnatal adult; Plpp6tm1.1(KOMP)Vlcg/Plpp6+ (more )
Structure Level Pattern Image Note
TS28: metanephros Present UC Davis_1875814 kidney

Specimen UC Davis_1875815: postnatal adult; Plpp6tm1.1(KOMP)Vlcg/Plpp6+ (more )
Structure Level Pattern Image Note
TS28: metanephros Present UC Davis_1875815 kidney

Specimen UC Davis_1875816: postnatal adult; Plpp6tm1.1(KOMP)Vlcg/Plpp6+ (more )
Structure Level Pattern Image Note
TS28: metanephros Present UC Davis_1875816 kidney

Specimen UC Davis_1875817: postnatal adult; Plpp6tm1.1(KOMP)Vlcg/Plpp6+ (more )
Structure Level Pattern Image Note
TS28: tongue Present UC Davis_1875817

Specimen UC Davis_1875818: postnatal adult; Plpp6tm1.1(KOMP)Vlcg/Plpp6+ (more )
Structure Level Pattern Image Note
TS28: tongue Present UC Davis_1875818

Specimen UC Davis_1875819: postnatal adult; Plpp6tm1.1(KOMP)Vlcg/Plpp6+ (more )
Structure Level Pattern Image Note
TS28: pituitary gland Present UC Davis_1875819

Specimen UC Davis_1875820: postnatal adult; Plpp6tm1.1(KOMP)Vlcg/Plpp6+ (more )
Structure Level Pattern Image Note
TS28: spinal cord Present UC Davis_1875820

Specimen UC Davis_1875821: postnatal adult; Plpp6tm1.1(KOMP)Vlcg/Plpp6+ (more )
Structure Level Pattern Image Note
TS28: eye Present UC Davis_1875821

Specimen UC Davis_1875822: postnatal adult; Plpp6tm1.1(KOMP)Vlcg/Plpp6+ (more )
Structure Level Pattern Image Note
TS28: eye Present UC Davis_1875822

Specimen UC Davis_1875823: postnatal adult; Plpp6tm1.1(KOMP)Vlcg/Plpp6+ (more )
Structure Level Pattern Image Note
TS28: Harderian gland Present UC Davis_1875823

Specimen UC Davis_1875824: postnatal adult; Plpp6tm1.1(KOMP)Vlcg/Plpp6+ (more )
Structure Level Pattern Image Note
TS28: Harderian gland Present UC Davis_1875824

Specimen UC Davis_1875825: postnatal adult; Plpp6tm1.1(KOMP)Vlcg/Plpp6+ (more )
Structure Level Pattern Image Note
TS28: skin Present UC Davis_1875825

Specimen UC Davis_1875826: postnatal adult; Plpp6tm1.1(KOMP)Vlcg/Plpp6+ (more )
Structure Level Pattern Image Note
TS28: skin Present UC Davis_1875826

Specimen UC Davis_1875827: postnatal adult; Plpp6tm1.1(KOMP)Vlcg/Plpp6+ (more )
Structure Level Pattern Image Note
TS28: brown fat Present UC Davis_1875827

Specimen UC Davis_1875828: postnatal adult; Plpp6tm1.1(KOMP)Vlcg/Plpp6+ (more )
Structure Level Pattern Image Note
TS28: olfactory lobe Present UC Davis_1875828

Specimen UC Davis_1875832: postnatal adult; Plpp6tm1.1(KOMP)Vlcg/Plpp6+ (more )
Structure Level Pattern Image Note
TS28: midbrain Present UC Davis_1875832

Specimen UC Davis_1875834: postnatal adult; Plpp6tm1.1(KOMP)Vlcg/Plpp6+ (more )
Structure Level Pattern Image Note
TS28: cerebellum Present UC Davis_1875834

Specimen UC Davis_1875835: postnatal adult; Plpp6tm1.1(KOMP)Vlcg/Plpp6+ (more )
Structure Level Pattern Image Note
TS28: trigeminal nerve Present UC Davis_1875835

Specimen UC Davis_1875836: postnatal adult; Plpp6tm1.1(KOMP)Vlcg/Plpp6+ (more )
Structure Level Pattern Image Note
TS28: bladder Present UC Davis_1875836

Specimen UC Davis_1875837: postnatal adult; Plpp6tm1.1(KOMP)Vlcg/Plpp6+ (more )
Structure Level Pattern Image Note
TS28: testis Present UC Davis_1875837

Specimen UC Davis_1875838: postnatal adult; Plpp6tm1.1(KOMP)Vlcg/Plpp6+ (more )
Structure Level Pattern Image Note
TS28: testis Present UC Davis_1875838

Specimen UC Davis_1875839: postnatal adult; Plpp6tm1.1(KOMP)Vlcg/Plpp6+ (more )
Structure Level Pattern Image Note
TS28: epididymis Present UC Davis_1875839

Specimen UC Davis_1875840: postnatal adult; Plpp6tm1.1(KOMP)Vlcg/Plpp6+ (more )
Structure Level Pattern Image Note
TS28: epididymis Present UC Davis_1875840

Specimen UC Davis_1875841: postnatal adult; Plpp6tm1.1(KOMP)Vlcg/Plpp6+ (more )
Structure Level Pattern Image Note
TS28: prostate gland Present UC Davis_1875841

Specimen UC Davis_1875842: postnatal adult; Plpp6tm1.1(KOMP)Vlcg/Plpp6+ (more )
Structure Level Pattern Image Note
TS28: prostate gland Present UC Davis_1875842

Specimen UC Davis_1875843: postnatal adult; Plpp6tm1.1(KOMP)Vlcg/Plpp6+ (more )
Structure Level Pattern Image Note
TS28: penis Present UC Davis_1875843

Specimen UC Davis_1875844: postnatal adult; Plpp6tm1.1(KOMP)Vlcg/Plpp6+ (more )
Structure Level Pattern Image Note
TS28: penis Present UC Davis_1875844

Specimen UC Davis_1875846: postnatal adult; Plpp6tm1.1(KOMP)Vlcg/Plpp6+ (more )
Structure Level Pattern Image Note
TS28: ductus deferens Present UC Davis_1875846 vas deferens

Specimen UC Davis_1875849: postnatal adult; Plpp6tm1.1(KOMP)Vlcg/Plpp6+ (more )
Structure Level Pattern Image Note
TS28: seminal vesicle Present UC Davis_1875849 vesicular gland

Specimen UC Davis_1875850: postnatal adult; Plpp6tm1.1(KOMP)Vlcg/Plpp6+ (more )
Structure Level Pattern Image Note
TS28: seminal vesicle Present UC Davis_1875850 vesicular gland


Contributing Projects:
Mouse Genome Database (MGD), Gene Expression Database (GXD), Mouse Models of Human Cancer database (MMHCdb) (formerly Mouse Tumor Biology (MTB)), Gene Ontology (GO)
Citing These Resources
Funding Information
Warranty Disclaimer, Privacy Notice, Licensing, & Copyright
Send questions and comments to User Support.
last database update
01/20/2026
MGI 6.24
The Jackson Laboratory