About   Help   FAQ
Gene Expression Data
Assay Details
Assay
Reference: J:228563 Koscielny G, et al., The International Mouse Phenotyping Consortium Web Portal, a unified point of access for knockout mice and related phenotyping data. Nucleic Acids Res. 2014 Jan;42(Database issue):D802-9
Assay type: In situ reporter (knock in)
MGI Accession ID: MGI:6692087
Gene symbol: Moxd1
Gene name: monooxygenase, DBH-like 1
Reporter: lacZ
Direct Detection
Results
Specimen JAX_1329899: embryonic day 12.5; Moxd1tm2b(KOMP)Wtsi/Moxd1+ (more )
Structure Level Pattern Image Note
TS20: embryo Present JAX_1329899

Specimen JAX_1329900: embryonic day 12.5; Moxd1tm2b(KOMP)Wtsi/Moxd1+ (more )
Structure Level Pattern Image Note
TS20: embryo Present JAX_1329900

Specimen JAX_1329901: embryonic day 12.5; Moxd1tm2b(KOMP)Wtsi/Moxd1+ (more )
Structure Level Pattern Image Note
TS20: embryo Present JAX_1329901

Specimen JAX_1329902: embryonic day 12.5; Moxd1tm2b(KOMP)Wtsi/Moxd1+ (more )
Structure Level Pattern Image Note
TS20: embryo Present JAX_1329902

Specimen JAX_619791: embryonic day 12.5; Moxd1tm2b(KOMP)Wtsi/Moxd1+ (more )
Structure Level Pattern Image Note
TS20: embryo Present JAX_619791

Specimen JAX_619793: embryonic day 12.5; Moxd1tm2b(KOMP)Wtsi/Moxd1+ (more )
Structure Level Pattern Image Note
TS20: embryo Present JAX_619793

Specimen JAX_619795: embryonic day 12.5; Moxd1tm2b(KOMP)Wtsi/Moxd1+ (more )
Structure Level Pattern Image Note
TS20: embryo Present JAX_619795

Specimen JAX_619797: embryonic day 12.5; Moxd1tm2b(KOMP)Wtsi/Moxd1+ (more )
Structure Level Pattern Image Note
TS20: embryo Present JAX_619797

Specimen JAX_1802093: postnatal adult; Moxd1tm2b(KOMP)Wtsi/Moxd1+ (more )
Structure Level Pattern Image Note
TS28: midbrain Present JAX_1802093

Specimen JAX_1802094: postnatal adult; Moxd1tm2b(KOMP)Wtsi/Moxd1+ (more )
Structure Level Pattern Image Note
TS28: corpus striatum Present JAX_1802094

Specimen JAX_1802095: postnatal adult; Moxd1tm2b(KOMP)Wtsi/Moxd1+ (more )
Structure Level Pattern Image Note
TS28: cerebellum Present JAX_1802095

Specimen JAX_1802096: postnatal adult; Moxd1tm2b(KOMP)Wtsi/Moxd1+ (more )
Structure Level Pattern Image Note
TS28: brainstem Present JAX_1802096

Specimen JAX_1802097: postnatal adult; Moxd1tm2b(KOMP)Wtsi/Moxd1+ (more )
Structure Level Pattern Image Note
TS28: small intestine Present JAX_1802097

Specimen JAX_1802098: postnatal adult; Moxd1tm2b(KOMP)Wtsi/Moxd1+ (more )
Structure Level Pattern Image Note
TS28: uterus Present JAX_1802098

Specimen JAX_1802099: postnatal adult; Moxd1tm2b(KOMP)Wtsi/Moxd1+ (more )
Structure Level Pattern Image Note
TS28: skin Present JAX_1802099

Specimen JAX_1802100: postnatal adult; Moxd1tm2b(KOMP)Wtsi/Moxd1+ (more )
Structure Level Pattern Image Note
TS28: oviduct Present JAX_1802100

Specimen JAX_1802101: postnatal adult; Moxd1tm2b(KOMP)Wtsi/Moxd1+ (more )
Structure Level Pattern Image Note
TS28: ovary Present JAX_1802101

Specimen JAX_1802102: postnatal adult; Moxd1tm2b(KOMP)Wtsi/Moxd1+ (more )
Structure Level Pattern Image Note
TS28: mammary gland Present JAX_1802102

Specimen JAX_1802103: postnatal adult; Moxd1tm2b(KOMP)Wtsi/Moxd1+ (more )
Structure Level Pattern Image Note
TS28: metanephros Present JAX_1802103 kidney

Specimen JAX_1802104: postnatal adult; Moxd1tm2b(KOMP)Wtsi/Moxd1+ (more )
Structure Level Pattern Image Note
TS28: eye Present JAX_1802104

Specimen JAX_1802105: postnatal adult; Moxd1tm2b(KOMP)Wtsi/Moxd1+ (more )
Structure Level Pattern Image Note
TS28: brain Present JAX_1802105

Specimen JAX_1802106: postnatal adult; Moxd1tm2b(KOMP)Wtsi/Moxd1+ (more )
Structure Level Pattern Image Note
TS28: adrenal gland Present JAX_1802106

Specimen JAX_1802107: postnatal adult; Moxd1tm2b(KOMP)Wtsi/Moxd1+ (more )
Structure Level Pattern Image Note
TS28: epididymis Present JAX_1802107

Specimen JAX_1802108: postnatal adult; Moxd1tm2b(KOMP)Wtsi/Moxd1+ (more )
Structure Level Pattern Image Note
TS28: submandibular gland Present JAX_1802108

Specimen JAX_1802109: postnatal adult; Moxd1tm2b(KOMP)Wtsi/Moxd1+ (more )
Structure Level Pattern Image Note
TS28: cartilage Present JAX_1802109

Specimen JAX_1802110: postnatal adult; Moxd1tm2b(KOMP)Wtsi/Moxd1+ (more )
Structure Level Pattern Image Note
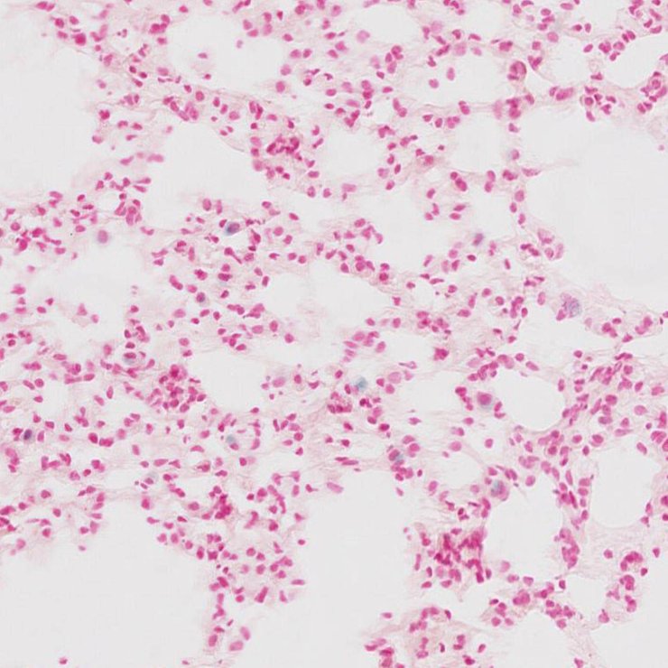
TS28: lung Present JAX_1802110

Specimen JAX_1802111: postnatal adult; Moxd1tm2b(KOMP)Wtsi/Moxd1+ (more )
Structure Level Pattern Image Note
TS28: spinal cord Present JAX_1802111

Specimen JAX_1802112: postnatal adult; Moxd1tm2b(KOMP)Wtsi/Moxd1+ (more )
Structure Level Pattern Image Note
TS28: trachea Present JAX_1802112

Specimen JAX_1802113: postnatal adult; Moxd1tm2b(KOMP)Wtsi/Moxd1+ (more )
Structure Level Pattern Image Note
TS28: testis Present JAX_1802113


Contributing Projects:
Mouse Genome Database (MGD), Gene Expression Database (GXD), Mouse Models of Human Cancer database (MMHCdb) (formerly Mouse Tumor Biology (MTB)), Gene Ontology (GO)
Citing These Resources
Funding Information
Warranty Disclaimer, Privacy Notice, Licensing, & Copyright
Send questions and comments to User Support.
last database update
01/20/2026
MGI 6.24
The Jackson Laboratory