About   Help   FAQ
Gene Expression Data
Assay Details
Assay
Reference: J:228563 Koscielny G, et al., The International Mouse Phenotyping Consortium Web Portal, a unified point of access for knockout mice and related phenotyping data. Nucleic Acids Res. 2014 Jan;42(Database issue):D802-9
Assay type: In situ reporter (knock in)
MGI Accession ID: MGI:6692074
Gene symbol: Stra6l
Gene name: STRA6-like
Reporter: lacZ
Direct Detection
Results
Specimen UC Davis_1863291: postnatal adult; Stra6ltm1b(KOMP)Wtsi/Stra6l+ (more )
Structure Level Pattern Image Note
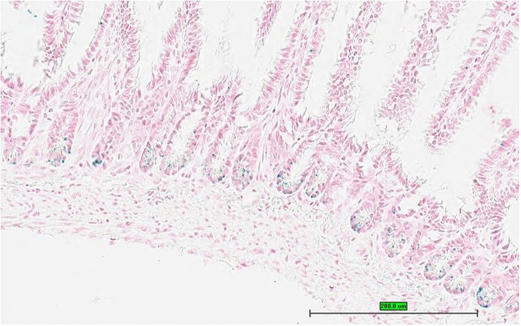
TS28: ileum Present UC Davis_1863291

Specimen UC Davis_1863292: postnatal adult; Stra6ltm1b(KOMP)Wtsi/Stra6l+ (more )
Structure Level Pattern Image Note
TS28: liver Present UC Davis_1863292

Specimen UC Davis_1863293: postnatal adult; Stra6ltm1b(KOMP)Wtsi/Stra6l+ (more )
Structure Level Pattern Image Note
TS28: liver Present UC Davis_1863293

Specimen UC Davis_1863294: postnatal adult; Stra6ltm1b(KOMP)Wtsi/Stra6l+ (more )
Structure Level Pattern Image Note
TS28: uterus Present UC Davis_1863294

Specimen UC Davis_1863295: postnatal adult; Stra6ltm1b(KOMP)Wtsi/Stra6l+ (more )
Structure Level Pattern Image Note
TS28: uterus Present UC Davis_1863295

Specimen UC Davis_1863304: postnatal adult; Stra6ltm1b(KOMP)Wtsi/Stra6l+ (more )
Structure Level Pattern Image Note
TS28: uterus Present UC Davis_1863304

Specimen UC Davis_1863280: postnatal adult; Stra6ltm1b(KOMP)Wtsi/Stra6l+ (more )
Structure Level Pattern Image Note
TS28: esophagus Present UC Davis_1863280

Specimen UC Davis_1863282: postnatal adult; Stra6ltm1b(KOMP)Wtsi/Stra6l+ (more )
Structure Level Pattern Image Note
TS28: duodenum Present UC Davis_1863282

Specimen UC Davis_1863283: postnatal adult; Stra6ltm1b(KOMP)Wtsi/Stra6l+ (more )
Structure Level Pattern Image Note
TS28: ileum Present UC Davis_1863283

Specimen UC Davis_1863284: postnatal adult; Stra6ltm1b(KOMP)Wtsi/Stra6l+ (more )
Structure Level Pattern Image Note
TS28: colon Present UC Davis_1863284

Specimen UC Davis_1863285: postnatal adult; Stra6ltm1b(KOMP)Wtsi/Stra6l+ (more )
Structure Level Pattern Image Note
TS28: colon Present UC Davis_1863285

Specimen UC Davis_1863286: postnatal adult; Stra6ltm1b(KOMP)Wtsi/Stra6l+ (more )
Structure Level Pattern Image Note
TS28: testis Present UC Davis_1863286

Specimen UC Davis_1863287: postnatal adult; Stra6ltm1b(KOMP)Wtsi/Stra6l+ (more )
Structure Level Pattern Image Note
TS28: testis Present UC Davis_1863287

Specimen UC Davis_1863288: postnatal adult; Stra6ltm1b(KOMP)Wtsi/Stra6l+ (more )
Structure Level Pattern Image Note
TS28: epididymis Present UC Davis_1863288

Specimen UC Davis_1863289: postnatal adult; Stra6ltm1b(KOMP)Wtsi/Stra6l+ (more )
Structure Level Pattern Image Note
TS28: prostate gland Present UC Davis_1863289

Specimen UC Davis_1863290: postnatal adult; Stra6ltm1b(KOMP)Wtsi/Stra6l+ (more )
Structure Level Pattern Image Note
TS28: ductus deferens Present UC Davis_1863290 vas deferens

Specimen UC Davis_1863296: postnatal adult; Stra6ltm1b(KOMP)Wtsi/Stra6l+ (more )
Structure Level Pattern Image Note
TS28: metanephros Present UC Davis_1863296 kidney

Specimen UC Davis_1863297: postnatal adult; Stra6ltm1b(KOMP)Wtsi/Stra6l+ (more )
Structure Level Pattern Image Note
TS28: liver Present UC Davis_1863297

Specimen UC Davis_1863298: postnatal adult; Stra6ltm1b(KOMP)Wtsi/Stra6l+ (more )
Structure Level Pattern Image Note
TS28: thyroid gland Present UC Davis_1863298

Specimen UC Davis_1863299: postnatal adult; Stra6ltm1b(KOMP)Wtsi/Stra6l+ (more )
Structure Level Pattern Image Note
TS28: Harderian gland Present UC Davis_1863299

Specimen UC Davis_1863300: postnatal adult; Stra6ltm1b(KOMP)Wtsi/Stra6l+ (more )
Structure Level Pattern Image Note
TS28: testis Present UC Davis_1863300

Specimen UC Davis_1863301: postnatal adult; Stra6ltm1b(KOMP)Wtsi/Stra6l+ (more )
Structure Level Pattern Image Note
TS28: ductus deferens Present UC Davis_1863301 vas deferens


Contributing Projects:
Mouse Genome Database (MGD), Gene Expression Database (GXD), Mouse Models of Human Cancer database (MMHCdb) (formerly Mouse Tumor Biology (MTB)), Gene Ontology (GO)
Citing These Resources
Funding Information
Warranty Disclaimer, Privacy Notice, Licensing, & Copyright
Send questions and comments to User Support.
last database update
01/28/2026
MGI 6.24
The Jackson Laboratory