About   Help   FAQ
Gene Expression Data
Assay Details
Assay
Reference: J:228563 Koscielny G, et al., The International Mouse Phenotyping Consortium Web Portal, a unified point of access for knockout mice and related phenotyping data. Nucleic Acids Res. 2014 Jan;42(Database issue):D802-9
Assay type: In situ reporter (knock in)
MGI Accession ID: MGI:6692060
Gene symbol: Tmtc4
Gene name: transmembrane and tetratricopeptide repeat containing 4
Reporter: lacZ
Direct Detection
Results
Specimen UC Davis_1885458: postnatal adult; Tmtc4tm1.1(KOMP)Vlcg/Tmtc4+ (more )
Structure Level Pattern Image Note
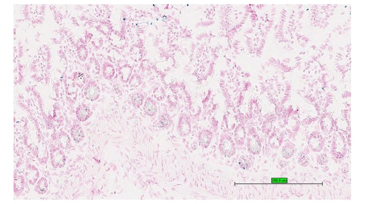
TS28: ileum Present UC Davis_1885458

Specimen UC Davis_1885459: postnatal adult; Tmtc4tm1.1(KOMP)Vlcg/Tmtc4+ (more )
Structure Level Pattern Image Note
TS28: ileum Present UC Davis_1885459

Specimen UC Davis_1885460: postnatal adult; Tmtc4tm1.1(KOMP)Vlcg/Tmtc4+ (more )
Structure Level Pattern Image Note
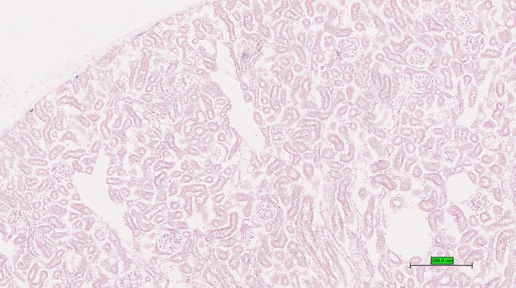
TS28: metanephros Present UC Davis_1885460 kidney

Specimen UC Davis_1885461: postnatal adult; Tmtc4tm1.1(KOMP)Vlcg/Tmtc4+ (more )
Structure Level Pattern Image Note
TS28: metanephros Present UC Davis_1885461 kidney

Specimen UC Davis_1885462: postnatal adult; Tmtc4tm1.1(KOMP)Vlcg/Tmtc4+ (more )
Structure Level Pattern Image Note
TS28: metanephros Present UC Davis_1885462 kidney

Specimen UC Davis_1885463: postnatal adult; Tmtc4tm1.1(KOMP)Vlcg/Tmtc4+ (more )
Structure Level Pattern Image Note
TS28: tongue Present UC Davis_1885463

Specimen UC Davis_1885464: postnatal adult; Tmtc4tm1.1(KOMP)Vlcg/Tmtc4+ (more )
Structure Level Pattern Image Note
TS28: spinal cord Present UC Davis_1885464

Specimen UC Davis_1885465: postnatal adult; Tmtc4tm1.1(KOMP)Vlcg/Tmtc4+ (more )
Structure Level Pattern Image Note
TS28: spinal cord Present UC Davis_1885465

Specimen UC Davis_1885466: postnatal adult; Tmtc4tm1.1(KOMP)Vlcg/Tmtc4+ (more )
Structure Level Pattern Image Note
TS28: eye Present UC Davis_1885466

Specimen UC Davis_1885467: postnatal adult; Tmtc4tm1.1(KOMP)Vlcg/Tmtc4+ (more )
Structure Level Pattern Image Note
TS28: Harderian gland Present UC Davis_1885467

Specimen UC Davis_1885468: postnatal adult; Tmtc4tm1.1(KOMP)Vlcg/Tmtc4+ (more )
Structure Level Pattern Image Note
TS28: Harderian gland Present UC Davis_1885468

Specimen UC Davis_1885469: postnatal adult; Tmtc4tm1.1(KOMP)Vlcg/Tmtc4+ (more )
Structure Level Pattern Image Note
TS28: skin Present UC Davis_1885469

Specimen UC Davis_1885470: postnatal adult; Tmtc4tm1.1(KOMP)Vlcg/Tmtc4+ (more )
Structure Level Pattern Image Note
TS28: skin Present UC Davis_1885470

Specimen UC Davis_1885471: postnatal adult; Tmtc4tm1.1(KOMP)Vlcg/Tmtc4+ (more )
Structure Level Pattern Image Note
TS28: skin Present UC Davis_1885471

Specimen UC Davis_1885472: postnatal adult; Tmtc4tm1.1(KOMP)Vlcg/Tmtc4+ (more )
Structure Level Pattern Image Note
TS28: olfactory lobe Present UC Davis_1885472

Specimen UC Davis_1885476: postnatal adult; Tmtc4tm1.1(KOMP)Vlcg/Tmtc4+ (more )
Structure Level Pattern Image Note
TS28: midbrain Present UC Davis_1885476

Specimen UC Davis_1885478: postnatal adult; Tmtc4tm1.1(KOMP)Vlcg/Tmtc4+ (more )
Structure Level Pattern Image Note
TS28: cerebellum Present UC Davis_1885478

Specimen UC Davis_1885479: postnatal adult; Tmtc4tm1.1(KOMP)Vlcg/Tmtc4+ (more )
Structure Level Pattern Image Note
TS28: trigeminal nerve Present UC Davis_1885479

Specimen UC Davis_1885480: postnatal adult; Tmtc4tm1.1(KOMP)Vlcg/Tmtc4+ (more )
Structure Level Pattern Image Note
TS28: trigeminal nerve Present UC Davis_1885480

Specimen UC Davis_1885481: postnatal adult; Tmtc4tm1.1(KOMP)Vlcg/Tmtc4+ (more )
Structure Level Pattern Image Note
TS28: oviduct Present UC Davis_1885481

Specimen UC Davis_1885482: postnatal adult; Tmtc4tm1.1(KOMP)Vlcg/Tmtc4+ (more )
Structure Level Pattern Image Note
TS28: oviduct Present UC Davis_1885482

Specimen UC Davis_1885483: postnatal adult; Tmtc4tm1.1(KOMP)Vlcg/Tmtc4+ (more )
Structure Level Pattern Image Note
TS28: vagina Present UC Davis_1885483

Specimen UC Davis_1885484: postnatal adult; Tmtc4tm1.1(KOMP)Vlcg/Tmtc4+ (more )
Structure Level Pattern Image Note
TS28: vagina Present UC Davis_1885484

Specimen UC Davis_1885487: postnatal adult; Tmtc4tm1.1(KOMP)Vlcg/Tmtc4+ (more )
Structure Level Pattern Image Note
TS28: submandibular gland Present UC Davis_1885487

Specimen UC Davis_1885488: postnatal adult; Tmtc4tm1.1(KOMP)Vlcg/Tmtc4+ (more )
Structure Level Pattern Image Note
TS28: sublingual gland Present UC Davis_1885488

Specimen UC Davis_1885489: postnatal adult; Tmtc4tm1.1(KOMP)Vlcg/Tmtc4+ (more )
Structure Level Pattern Image Note
TS28: parotid gland Present UC Davis_1885489

Specimen UC Davis_1885491: postnatal adult; Tmtc4tm1.1(KOMP)Vlcg/Tmtc4+ (more )
Structure Level Pattern Image Note
TS28: lung Present UC Davis_1885491

Specimen UC Davis_1885492: postnatal adult; Tmtc4tm1.1(KOMP)Vlcg/Tmtc4+ (more )
Structure Level Pattern Image Note
TS28: thymus Present UC Davis_1885492

Specimen UC Davis_1885493: postnatal adult; Tmtc4tm1.1(KOMP)Vlcg/Tmtc4+ (more )
Structure Level Pattern Image Note
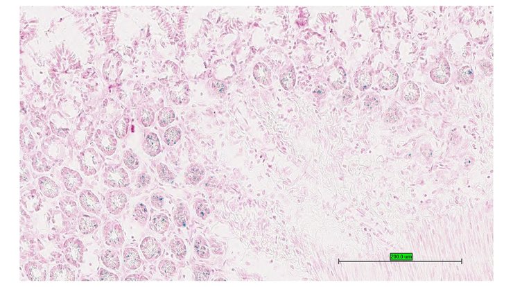
TS28: stomach Present UC Davis_1885493

Specimen UC Davis_1885494: postnatal adult; Tmtc4tm1.1(KOMP)Vlcg/Tmtc4+ (more )
Structure Level Pattern Image Note
TS28: stomach Present UC Davis_1885494

Specimen UC Davis_1885495: postnatal adult; Tmtc4tm1.1(KOMP)Vlcg/Tmtc4+ (more )
Structure Level Pattern Image Note
TS28: ileum Present UC Davis_1885495

Specimen UC Davis_1885496: postnatal adult; Tmtc4tm1.1(KOMP)Vlcg/Tmtc4+ (more )
Structure Level Pattern Image Note
TS28: colon Present UC Davis_1885496

Specimen UC Davis_1885497: postnatal adult; Tmtc4tm1.1(KOMP)Vlcg/Tmtc4+ (more )
Structure Level Pattern Image Note
TS28: colon Present UC Davis_1885497

Specimen UC Davis_1885498: postnatal adult; Tmtc4tm1.1(KOMP)Vlcg/Tmtc4+ (more )
Structure Level Pattern Image Note
TS28: metanephros Present UC Davis_1885498 kidney

Specimen UC Davis_1885499: postnatal adult; Tmtc4tm1.1(KOMP)Vlcg/Tmtc4+ (more )
Structure Level Pattern Image Note
TS28: metanephros Present UC Davis_1885499 kidney

Specimen UC Davis_1885500: postnatal adult; Tmtc4tm1.1(KOMP)Vlcg/Tmtc4+ (more )
Structure Level Pattern Image Note
TS28: metanephros Present UC Davis_1885500 kidney

Specimen UC Davis_1885501: postnatal adult; Tmtc4tm1.1(KOMP)Vlcg/Tmtc4+ (more )
Structure Level Pattern Image Note
TS28: tongue Present UC Davis_1885501

Specimen UC Davis_1885502: postnatal adult; Tmtc4tm1.1(KOMP)Vlcg/Tmtc4+ (more )
Structure Level Pattern Image Note
TS28: adrenal gland Present UC Davis_1885502

Specimen UC Davis_1885503: postnatal adult; Tmtc4tm1.1(KOMP)Vlcg/Tmtc4+ (more )
Structure Level Pattern Image Note
TS28: adrenal gland Present UC Davis_1885503

Specimen UC Davis_1885504: postnatal adult; Tmtc4tm1.1(KOMP)Vlcg/Tmtc4+ (more )
Structure Level Pattern Image Note
TS28: pituitary gland Present UC Davis_1885504

Specimen UC Davis_1885505: postnatal adult; Tmtc4tm1.1(KOMP)Vlcg/Tmtc4+ (more )
Structure Level Pattern Image Note
TS28: spinal cord Present UC Davis_1885505

Specimen UC Davis_1885506: postnatal adult; Tmtc4tm1.1(KOMP)Vlcg/Tmtc4+ (more )
Structure Level Pattern Image Note
TS28: spinal cord Present UC Davis_1885506

Specimen UC Davis_1885507: postnatal adult; Tmtc4tm1.1(KOMP)Vlcg/Tmtc4+ (more )
Structure Level Pattern Image Note
TS28: eye Present UC Davis_1885507

Specimen UC Davis_1885508: postnatal adult; Tmtc4tm1.1(KOMP)Vlcg/Tmtc4+ (more )
Structure Level Pattern Image Note
TS28: eye Present UC Davis_1885508

Specimen UC Davis_1885509: postnatal adult; Tmtc4tm1.1(KOMP)Vlcg/Tmtc4+ (more )
Structure Level Pattern Image Note
TS28: Harderian gland Present UC Davis_1885509

Specimen UC Davis_1885510: postnatal adult; Tmtc4tm1.1(KOMP)Vlcg/Tmtc4+ (more )
Structure Level Pattern Image Note
TS28: skin Present UC Davis_1885510

Specimen UC Davis_1885511: postnatal adult; Tmtc4tm1.1(KOMP)Vlcg/Tmtc4+ (more )
Structure Level Pattern Image Note
TS28: olfactory lobe Present UC Davis_1885511

Specimen UC Davis_1885515: postnatal adult; Tmtc4tm1.1(KOMP)Vlcg/Tmtc4+ (more )
Structure Level Pattern Image Note
TS28: midbrain Present UC Davis_1885515

Specimen UC Davis_1885517: postnatal adult; Tmtc4tm1.1(KOMP)Vlcg/Tmtc4+ (more )
Structure Level Pattern Image Note
TS28: cerebellum Present UC Davis_1885517

Specimen UC Davis_1885518: postnatal adult; Tmtc4tm1.1(KOMP)Vlcg/Tmtc4+ (more )
Structure Level Pattern Image Note
TS28: trigeminal nerve Present UC Davis_1885518

Specimen UC Davis_1885519: postnatal adult; Tmtc4tm1.1(KOMP)Vlcg/Tmtc4+ (more )
Structure Level Pattern Image Note
TS28: bladder Present UC Davis_1885519

Specimen UC Davis_1885520: postnatal adult; Tmtc4tm1.1(KOMP)Vlcg/Tmtc4+ (more )
Structure Level Pattern Image Note
TS28: testis Present UC Davis_1885520

Specimen UC Davis_1885521: postnatal adult; Tmtc4tm1.1(KOMP)Vlcg/Tmtc4+ (more )
Structure Level Pattern Image Note
TS28: testis Present UC Davis_1885521

Specimen UC Davis_1885522: postnatal adult; Tmtc4tm1.1(KOMP)Vlcg/Tmtc4+ (more )
Structure Level Pattern Image Note
TS28: epididymis Present UC Davis_1885522

Specimen UC Davis_1885523: postnatal adult; Tmtc4tm1.1(KOMP)Vlcg/Tmtc4+ (more )
Structure Level Pattern Image Note
TS28: epididymis Present UC Davis_1885523

Specimen UC Davis_1885524: postnatal adult; Tmtc4tm1.1(KOMP)Vlcg/Tmtc4+ (more )
Structure Level Pattern Image Note
TS28: prostate gland Present UC Davis_1885524

Specimen UC Davis_1885525: postnatal adult; Tmtc4tm1.1(KOMP)Vlcg/Tmtc4+ (more )
Structure Level Pattern Image Note
TS28: penis Present UC Davis_1885525

Specimen UC Davis_1885526: postnatal adult; Tmtc4tm1.1(KOMP)Vlcg/Tmtc4+ (more )
Structure Level Pattern Image Note
TS28: penis Present UC Davis_1885526

Specimen UC Davis_1885527: postnatal adult; Tmtc4tm1.1(KOMP)Vlcg/Tmtc4+ (more )
Structure Level Pattern Image Note
TS28: ductus deferens Present UC Davis_1885527 vas deferens

Specimen UC Davis_1885530: postnatal adult; Tmtc4tm1.1(KOMP)Vlcg/Tmtc4+ (more )
Structure Level Pattern Image Note
TS28: seminal vesicle Present UC Davis_1885530 vesicular gland


Contributing Projects:
Mouse Genome Database (MGD), Gene Expression Database (GXD), Mouse Models of Human Cancer database (MMHCdb) (formerly Mouse Tumor Biology (MTB)), Gene Ontology (GO)
Citing These Resources
Funding Information
Warranty Disclaimer, Privacy Notice, Licensing, & Copyright
Send questions and comments to User Support.
last database update
12/30/2025
MGI 6.24
The Jackson Laboratory