About   Help   FAQ
Gene Expression Data
Assay Details
Assay
Reference: J:228563 Koscielny G, et al., The International Mouse Phenotyping Consortium Web Portal, a unified point of access for knockout mice and related phenotyping data. Nucleic Acids Res. 2014 Jan;42(Database issue):D802-9
Assay type: In situ reporter (knock in)
MGI Accession ID: MGI:6692047
Gene symbol: C9orf72
Gene name: C9orf72, member of C9orf72-SMCR8 complex
Reporter: lacZ
Direct Detection
Results
Specimen UC Davis_1861910: postnatal adult; C9orf72tm1.1(KOMP)Mbp/C9orf72+ (more )
Note: The IMPC refers to this as a tm1b allele; when using standard nomenclature conventions, however, it is a tm1.1 allele.
Structure Level Pattern Image Note
TS28: submandibular gland Present UC Davis_1861910

Specimen UC Davis_1861911: postnatal adult; C9orf72tm1.1(KOMP)Mbp/C9orf72+ (more )
Note: The IMPC refers to this as a tm1b allele; when using standard nomenclature conventions, however, it is a tm1.1 allele.
Structure Level Pattern Image Note
TS28: submandibular gland Present UC Davis_1861911

Specimen UC Davis_1861912: postnatal adult; C9orf72tm1.1(KOMP)Mbp/C9orf72+ (more )
Note: The IMPC refers to this as a tm1b allele; when using standard nomenclature conventions, however, it is a tm1.1 allele.
Structure Level Pattern Image Note
TS28: submandibular gland Present UC Davis_1861912

Specimen UC Davis_1861913: postnatal adult; C9orf72tm1.1(KOMP)Mbp/C9orf72+ (more )
Note: The IMPC refers to this as a tm1b allele; when using standard nomenclature conventions, however, it is a tm1.1 allele.
Structure Level Pattern Image Note
TS28: sublingual gland Present UC Davis_1861913

Specimen UC Davis_1861914: postnatal adult; C9orf72tm1.1(KOMP)Mbp/C9orf72+ (more )
Note: The IMPC refers to this as a tm1b allele; when using standard nomenclature conventions, however, it is a tm1.1 allele.
Structure Level Pattern Image Note
TS28: sublingual gland Present UC Davis_1861914

Specimen UC Davis_1861915: postnatal adult; C9orf72tm1.1(KOMP)Mbp/C9orf72+ (more )
Note: The IMPC refers to this as a tm1b allele; when using standard nomenclature conventions, however, it is a tm1.1 allele.
Structure Level Pattern Image Note
TS28: parotid gland Present UC Davis_1861915

Specimen UC Davis_1861916: postnatal adult; C9orf72tm1.1(KOMP)Mbp/C9orf72+ (more )
Note: The IMPC refers to this as a tm1b allele; when using standard nomenclature conventions, however, it is a tm1.1 allele.
Structure Level Pattern Image Note
TS28: parotid gland Present UC Davis_1861916

Specimen UC Davis_1861919: postnatal adult; C9orf72tm1.1(KOMP)Mbp/C9orf72+ (more )
Note: The IMPC refers to this as a tm1b allele; when using standard nomenclature conventions, however, it is a tm1.1 allele.
Structure Level Pattern Image Note
TS28: trachea Present UC Davis_1861919

Specimen UC Davis_1861920: postnatal adult; C9orf72tm1.1(KOMP)Mbp/C9orf72+ (more )
Note: The IMPC refers to this as a tm1b allele; when using standard nomenclature conventions, however, it is a tm1.1 allele.
Structure Level Pattern Image Note
TS28: esophagus Present UC Davis_1861920

Specimen UC Davis_1861921: postnatal adult; C9orf72tm1.1(KOMP)Mbp/C9orf72+ (more )
Note: The IMPC refers to this as a tm1b allele; when using standard nomenclature conventions, however, it is a tm1.1 allele.
Structure Level Pattern Image Note
TS28: esophagus Present UC Davis_1861921

Specimen UC Davis_1861922: postnatal adult; C9orf72tm1.1(KOMP)Mbp/C9orf72+ (more )
Note: The IMPC refers to this as a tm1b allele; when using standard nomenclature conventions, however, it is a tm1.1 allele.
Structure Level Pattern Image Note
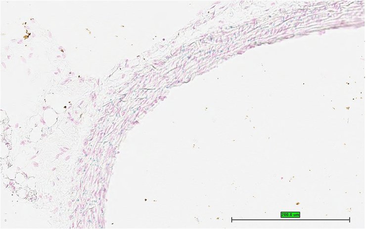
TS28: aorta Present UC Davis_1861922

Specimen UC Davis_1861923: postnatal adult; C9orf72tm1.1(KOMP)Mbp/C9orf72+ (more )
Note: The IMPC refers to this as a tm1b allele; when using standard nomenclature conventions, however, it is a tm1.1 allele.
Structure Level Pattern Image Note
TS28: aorta Present UC Davis_1861923

Specimen UC Davis_1861924: postnatal adult; C9orf72tm1.1(KOMP)Mbp/C9orf72+ (more )
Note: The IMPC refers to this as a tm1b allele; when using standard nomenclature conventions, however, it is a tm1.1 allele.
Structure Level Pattern Image Note
TS28: lung Present UC Davis_1861924

Specimen UC Davis_1861925: postnatal adult; C9orf72tm1.1(KOMP)Mbp/C9orf72+ (more )
Note: The IMPC refers to this as a tm1b allele; when using standard nomenclature conventions, however, it is a tm1.1 allele.
Structure Level Pattern Image Note
TS28: lung Present UC Davis_1861925

Specimen UC Davis_1861926: postnatal adult; C9orf72tm1.1(KOMP)Mbp/C9orf72+ (more )
Note: The IMPC refers to this as a tm1b allele; when using standard nomenclature conventions, however, it is a tm1.1 allele.
Structure Level Pattern Image Note
TS28: lung Present UC Davis_1861926

Specimen UC Davis_1861927: postnatal adult; C9orf72tm1.1(KOMP)Mbp/C9orf72+ (more )
Note: The IMPC refers to this as a tm1b allele; when using standard nomenclature conventions, however, it is a tm1.1 allele.
Structure Level Pattern Image Note
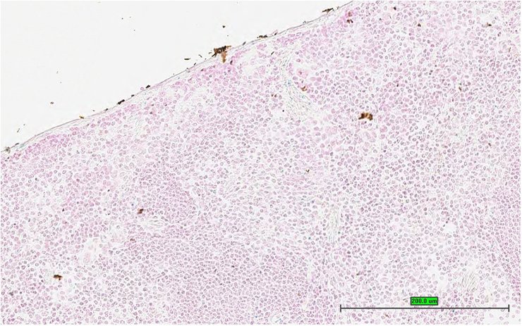
TS28: thymus Present UC Davis_1861927

Specimen UC Davis_1861928: postnatal adult; C9orf72tm1.1(KOMP)Mbp/C9orf72+ (more )
Note: The IMPC refers to this as a tm1b allele; when using standard nomenclature conventions, however, it is a tm1.1 allele.
Structure Level Pattern Image Note
TS28: thymus Present UC Davis_1861928

Specimen UC Davis_1861933: postnatal adult; C9orf72tm1.1(KOMP)Mbp/C9orf72+ (more )
Note: The IMPC refers to this as a tm1b allele; when using standard nomenclature conventions, however, it is a tm1.1 allele.
Structure Level Pattern Image Note
TS28: mesenteric lymph node Present UC Davis_1861933

Specimen UC Davis_1861934: postnatal adult; C9orf72tm1.1(KOMP)Mbp/C9orf72+ (more )
Note: The IMPC refers to this as a tm1b allele; when using standard nomenclature conventions, however, it is a tm1.1 allele.
Structure Level Pattern Image Note
TS28: stomach Present UC Davis_1861934

Specimen UC Davis_1861935: postnatal adult; C9orf72tm1.1(KOMP)Mbp/C9orf72+ (more )
Note: The IMPC refers to this as a tm1b allele; when using standard nomenclature conventions, however, it is a tm1.1 allele.
Structure Level Pattern Image Note
TS28: stomach Present UC Davis_1861935

Specimen UC Davis_1861936: postnatal adult; C9orf72tm1.1(KOMP)Mbp/C9orf72+ (more )
Note: The IMPC refers to this as a tm1b allele; when using standard nomenclature conventions, however, it is a tm1.1 allele.
Structure Level Pattern Image Note
TS28: stomach Present UC Davis_1861936

Specimen UC Davis_1861937: postnatal adult; C9orf72tm1.1(KOMP)Mbp/C9orf72+ (more )
Note: The IMPC refers to this as a tm1b allele; when using standard nomenclature conventions, however, it is a tm1.1 allele.
Structure Level Pattern Image Note
TS28: stomach Present UC Davis_1861937

Specimen UC Davis_1861938: postnatal adult; C9orf72tm1.1(KOMP)Mbp/C9orf72+ (more )
Note: The IMPC refers to this as a tm1b allele; when using standard nomenclature conventions, however, it is a tm1.1 allele.
Structure Level Pattern Image Note
TS28: duodenum Present UC Davis_1861938

Specimen UC Davis_1861939: postnatal adult; C9orf72tm1.1(KOMP)Mbp/C9orf72+ (more )
Note: The IMPC refers to this as a tm1b allele; when using standard nomenclature conventions, however, it is a tm1.1 allele.
Structure Level Pattern Image Note
TS28: duodenum Present UC Davis_1861939

Specimen UC Davis_1861940: postnatal adult; C9orf72tm1.1(KOMP)Mbp/C9orf72+ (more )
Note: The IMPC refers to this as a tm1b allele; when using standard nomenclature conventions, however, it is a tm1.1 allele.
Structure Level Pattern Image Note
TS28: jejunum Present UC Davis_1861940

Specimen UC Davis_1861941: postnatal adult; C9orf72tm1.1(KOMP)Mbp/C9orf72+ (more )
Note: The IMPC refers to this as a tm1b allele; when using standard nomenclature conventions, however, it is a tm1.1 allele.
Structure Level Pattern Image Note
TS28: ileum Present UC Davis_1861941

Specimen UC Davis_1861942: postnatal adult; C9orf72tm1.1(KOMP)Mbp/C9orf72+ (more )
Note: The IMPC refers to this as a tm1b allele; when using standard nomenclature conventions, however, it is a tm1.1 allele.
Structure Level Pattern Image Note
TS28: ileum Present UC Davis_1861942

Specimen UC Davis_1861943: postnatal adult; C9orf72tm1.1(KOMP)Mbp/C9orf72+ (more )
Note: The IMPC refers to this as a tm1b allele; when using standard nomenclature conventions, however, it is a tm1.1 allele.
Structure Level Pattern Image Note
TS28: colon Present UC Davis_1861943

Specimen UC Davis_1861944: postnatal adult; C9orf72tm1.1(KOMP)Mbp/C9orf72+ (more )
Note: The IMPC refers to this as a tm1b allele; when using standard nomenclature conventions, however, it is a tm1.1 allele.
Structure Level Pattern Image Note
TS28: colon Present UC Davis_1861944

Specimen UC Davis_1861945: postnatal adult; C9orf72tm1.1(KOMP)Mbp/C9orf72+ (more )
Note: The IMPC refers to this as a tm1b allele; when using standard nomenclature conventions, however, it is a tm1.1 allele.
Structure Level Pattern Image Note
TS28: cecum Present UC Davis_1861945

Specimen UC Davis_1861946: postnatal adult; C9orf72tm1.1(KOMP)Mbp/C9orf72+ (more )
Note: The IMPC refers to this as a tm1b allele; when using standard nomenclature conventions, however, it is a tm1.1 allele.
Structure Level Pattern Image Note
TS28: cecum Present UC Davis_1861946

Specimen UC Davis_1861947: postnatal adult; C9orf72tm1.1(KOMP)Mbp/C9orf72+ (more )
Note: The IMPC refers to this as a tm1b allele; when using standard nomenclature conventions, however, it is a tm1.1 allele.
Structure Level Pattern Image Note
TS28: spleen Present UC Davis_1861947

Specimen UC Davis_1861948: postnatal adult; C9orf72tm1.1(KOMP)Mbp/C9orf72+ (more )
Note: The IMPC refers to this as a tm1b allele; when using standard nomenclature conventions, however, it is a tm1.1 allele.
Structure Level Pattern Image Note
TS28: spleen Present UC Davis_1861948

Specimen UC Davis_1861949: postnatal adult; C9orf72tm1.1(KOMP)Mbp/C9orf72+ (more )
Note: The IMPC refers to this as a tm1b allele; when using standard nomenclature conventions, however, it is a tm1.1 allele.
Structure Level Pattern Image Note
TS28: spleen Present UC Davis_1861949

Specimen UC Davis_1861950: postnatal adult; C9orf72tm1.1(KOMP)Mbp/C9orf72+ (more )
Note: The IMPC refers to this as a tm1b allele; when using standard nomenclature conventions, however, it is a tm1.1 allele.
Structure Level Pattern Image Note
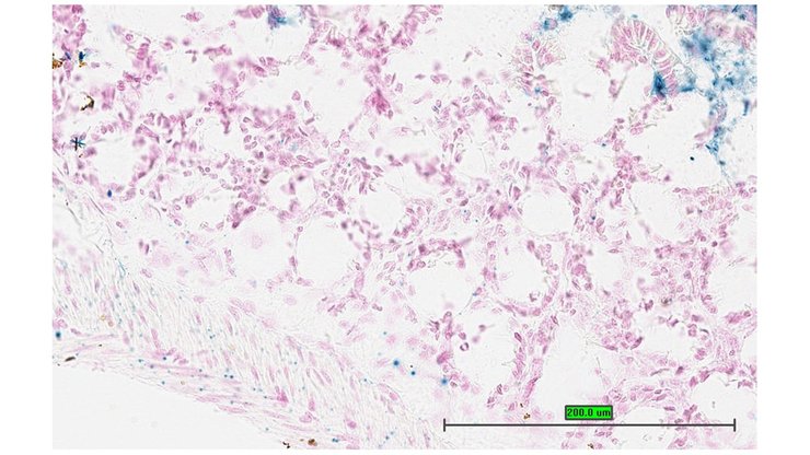
TS28: pancreas Present UC Davis_1861950

Specimen UC Davis_1861951: postnatal adult; C9orf72tm1.1(KOMP)Mbp/C9orf72+ (more )
Note: The IMPC refers to this as a tm1b allele; when using standard nomenclature conventions, however, it is a tm1.1 allele.
Structure Level Pattern Image Note
TS28: pancreas Present UC Davis_1861951

Specimen UC Davis_1861952: postnatal adult; C9orf72tm1.1(KOMP)Mbp/C9orf72+ (more )
Note: The IMPC refers to this as a tm1b allele; when using standard nomenclature conventions, however, it is a tm1.1 allele.
Structure Level Pattern Image Note
TS28: pancreas Present UC Davis_1861952

Specimen UC Davis_1861953: postnatal adult; C9orf72tm1.1(KOMP)Mbp/C9orf72+ (more )
Note: The IMPC refers to this as a tm1b allele; when using standard nomenclature conventions, however, it is a tm1.1 allele.
Structure Level Pattern Image Note
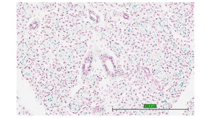
TS28: metanephros Present UC Davis_1861953 kidney

Specimen UC Davis_1861954: postnatal adult; C9orf72tm1.1(KOMP)Mbp/C9orf72+ (more )
Note: The IMPC refers to this as a tm1b allele; when using standard nomenclature conventions, however, it is a tm1.1 allele.
Structure Level Pattern Image Note
TS28: metanephros Present UC Davis_1861954 kidney

Specimen UC Davis_1861955: postnatal adult; C9orf72tm1.1(KOMP)Mbp/C9orf72+ (more )
Note: The IMPC refers to this as a tm1b allele; when using standard nomenclature conventions, however, it is a tm1.1 allele.
Structure Level Pattern Image Note
TS28: metanephros Present UC Davis_1861955 kidney

Specimen UC Davis_1861956: postnatal adult; C9orf72tm1.1(KOMP)Mbp/C9orf72+ (more )
Note: The IMPC refers to this as a tm1b allele; when using standard nomenclature conventions, however, it is a tm1.1 allele.
Structure Level Pattern Image Note
TS28: metanephros Present UC Davis_1861956 kidney

Specimen UC Davis_1861957: postnatal adult; C9orf72tm1.1(KOMP)Mbp/C9orf72+ (more )
Note: The IMPC refers to this as a tm1b allele; when using standard nomenclature conventions, however, it is a tm1.1 allele.
Structure Level Pattern Image Note
TS28: metanephros Present UC Davis_1861957 kidney

Specimen UC Davis_1861958: postnatal adult; C9orf72tm1.1(KOMP)Mbp/C9orf72+ (more )
Note: The IMPC refers to this as a tm1b allele; when using standard nomenclature conventions, however, it is a tm1.1 allele.
Structure Level Pattern Image Note
TS28: quadriceps femoris muscle Present UC Davis_1861958

Specimen UC Davis_1861959: postnatal adult; C9orf72tm1.1(KOMP)Mbp/C9orf72+ (more )
Note: The IMPC refers to this as a tm1b allele; when using standard nomenclature conventions, however, it is a tm1.1 allele.
Structure Level Pattern Image Note
TS28: quadriceps femoris muscle Present UC Davis_1861959

Specimen UC Davis_1861960: postnatal adult; C9orf72tm1.1(KOMP)Mbp/C9orf72+ (more )
Note: The IMPC refers to this as a tm1b allele; when using standard nomenclature conventions, however, it is a tm1.1 allele.
Structure Level Pattern Image Note
TS28: quadriceps femoris muscle Present UC Davis_1861960

Specimen UC Davis_1861961: postnatal adult; C9orf72tm1.1(KOMP)Mbp/C9orf72+ (more )
Note: The IMPC refers to this as a tm1b allele; when using standard nomenclature conventions, however, it is a tm1.1 allele.
Structure Level Pattern Image Note
TS28: quadriceps femoris muscle Present UC Davis_1861961

Specimen UC Davis_1861962: postnatal adult; C9orf72tm1.1(KOMP)Mbp/C9orf72+ (more )
Note: The IMPC refers to this as a tm1b allele; when using standard nomenclature conventions, however, it is a tm1.1 allele.
Structure Level Pattern Image Note
TS28: tongue Present UC Davis_1861962

Specimen UC Davis_1861963: postnatal adult; C9orf72tm1.1(KOMP)Mbp/C9orf72+ (more )
Note: The IMPC refers to this as a tm1b allele; when using standard nomenclature conventions, however, it is a tm1.1 allele.
Structure Level Pattern Image Note
TS28: tongue Present UC Davis_1861963

Specimen UC Davis_1861964: postnatal adult; C9orf72tm1.1(KOMP)Mbp/C9orf72+ (more )
Note: The IMPC refers to this as a tm1b allele; when using standard nomenclature conventions, however, it is a tm1.1 allele.
Structure Level Pattern Image Note
TS28: tongue Present UC Davis_1861964

Specimen UC Davis_1861965: postnatal adult; C9orf72tm1.1(KOMP)Mbp/C9orf72+ (more )
Note: The IMPC refers to this as a tm1b allele; when using standard nomenclature conventions, however, it is a tm1.1 allele.
Structure Level Pattern Image Note
TS28: tongue Present UC Davis_1861965

Specimen UC Davis_1861966: postnatal adult; C9orf72tm1.1(KOMP)Mbp/C9orf72+ (more )
Note: The IMPC refers to this as a tm1b allele; when using standard nomenclature conventions, however, it is a tm1.1 allele.
Structure Level Pattern Image Note
TS28: adrenal gland Present UC Davis_1861966

Specimen UC Davis_1861967: postnatal adult; C9orf72tm1.1(KOMP)Mbp/C9orf72+ (more )
Note: The IMPC refers to this as a tm1b allele; when using standard nomenclature conventions, however, it is a tm1.1 allele.
Structure Level Pattern Image Note
TS28: adrenal gland Present UC Davis_1861967

Specimen UC Davis_1861968: postnatal adult; C9orf72tm1.1(KOMP)Mbp/C9orf72+ (more )
Note: The IMPC refers to this as a tm1b allele; when using standard nomenclature conventions, however, it is a tm1.1 allele.
Structure Level Pattern Image Note
TS28: pituitary gland Present UC Davis_1861968

Specimen UC Davis_1861969: postnatal adult; C9orf72tm1.1(KOMP)Mbp/C9orf72+ (more )
Note: The IMPC refers to this as a tm1b allele; when using standard nomenclature conventions, however, it is a tm1.1 allele.
Structure Level Pattern Image Note
TS28: pituitary gland Present UC Davis_1861969

Specimen UC Davis_1861970: postnatal adult; C9orf72tm1.1(KOMP)Mbp/C9orf72+ (more )
Note: The IMPC refers to this as a tm1b allele; when using standard nomenclature conventions, however, it is a tm1.1 allele.
Structure Level Pattern Image Note
TS28: spinal cord Present UC Davis_1861970

Specimen UC Davis_1861971: postnatal adult; C9orf72tm1.1(KOMP)Mbp/C9orf72+ (more )
Note: The IMPC refers to this as a tm1b allele; when using standard nomenclature conventions, however, it is a tm1.1 allele.
Structure Level Pattern Image Note
TS28: spinal cord Present UC Davis_1861971

Specimen UC Davis_1861972: postnatal adult; C9orf72tm1.1(KOMP)Mbp/C9orf72+ (more )
Note: The IMPC refers to this as a tm1b allele; when using standard nomenclature conventions, however, it is a tm1.1 allele.
Structure Level Pattern Image Note
TS28: spinal cord Present UC Davis_1861972

Specimen UC Davis_1861973: postnatal adult; C9orf72tm1.1(KOMP)Mbp/C9orf72+ (more )
Note: The IMPC refers to this as a tm1b allele; when using standard nomenclature conventions, however, it is a tm1.1 allele.
Structure Level Pattern Image Note
TS28: eye Present UC Davis_1861973

Specimen UC Davis_1861974: postnatal adult; C9orf72tm1.1(KOMP)Mbp/C9orf72+ (more )
Note: The IMPC refers to this as a tm1b allele; when using standard nomenclature conventions, however, it is a tm1.1 allele.
Structure Level Pattern Image Note
TS28: eye Present UC Davis_1861974

Specimen UC Davis_1861975: postnatal adult; C9orf72tm1.1(KOMP)Mbp/C9orf72+ (more )
Note: The IMPC refers to this as a tm1b allele; when using standard nomenclature conventions, however, it is a tm1.1 allele.
Structure Level Pattern Image Note
TS28: eye Present UC Davis_1861975

Specimen UC Davis_1861976: postnatal adult; C9orf72tm1.1(KOMP)Mbp/C9orf72+ (more )
Note: The IMPC refers to this as a tm1b allele; when using standard nomenclature conventions, however, it is a tm1.1 allele.
Structure Level Pattern Image Note
TS28: eye Present UC Davis_1861976

Specimen UC Davis_1861977: postnatal adult; C9orf72tm1.1(KOMP)Mbp/C9orf72+ (more )
Note: The IMPC refers to this as a tm1b allele; when using standard nomenclature conventions, however, it is a tm1.1 allele.
Structure Level Pattern Image Note
TS28: gonadal fat pad Present UC Davis_1861977

Specimen UC Davis_1861978: postnatal adult; C9orf72tm1.1(KOMP)Mbp/C9orf72+ (more )
Note: The IMPC refers to this as a tm1b allele; when using standard nomenclature conventions, however, it is a tm1.1 allele.
Structure Level Pattern Image Note
TS28: gonadal fat pad Present UC Davis_1861978

Specimen UC Davis_1861979: postnatal adult; C9orf72tm1.1(KOMP)Mbp/C9orf72+ (more )
Note: The IMPC refers to this as a tm1b allele; when using standard nomenclature conventions, however, it is a tm1.1 allele.
Structure Level Pattern Image Note
TS28: mesenteric adipose tissue Present UC Davis_1861979

Specimen UC Davis_1861980: postnatal adult; C9orf72tm1.1(KOMP)Mbp/C9orf72+ (more )
Note: The IMPC refers to this as a tm1b allele; when using standard nomenclature conventions, however, it is a tm1.1 allele.
Structure Level Pattern Image Note
TS28: mesenteric adipose tissue Present UC Davis_1861980

Specimen UC Davis_1861981: postnatal adult; C9orf72tm1.1(KOMP)Mbp/C9orf72+ (more )
Note: The IMPC refers to this as a tm1b allele; when using standard nomenclature conventions, however, it is a tm1.1 allele.
Structure Level Pattern Image Note
TS28: skin Present UC Davis_1861981

Specimen UC Davis_1861982: postnatal adult; C9orf72tm1.1(KOMP)Mbp/C9orf72+ (more )
Note: The IMPC refers to this as a tm1b allele; when using standard nomenclature conventions, however, it is a tm1.1 allele.
Structure Level Pattern Image Note
TS28: skin Present UC Davis_1861982

Specimen UC Davis_1861983: postnatal adult; C9orf72tm1.1(KOMP)Mbp/C9orf72+ (more )
Note: The IMPC refers to this as a tm1b allele; when using standard nomenclature conventions, however, it is a tm1.1 allele.
Structure Level Pattern Image Note
TS28: brown fat Present UC Davis_1861983

Specimen UC Davis_1861984: postnatal adult; C9orf72tm1.1(KOMP)Mbp/C9orf72+ (more )
Note: The IMPC refers to this as a tm1b allele; when using standard nomenclature conventions, however, it is a tm1.1 allele.
Structure Level Pattern Image Note
TS28: olfactory lobe Present UC Davis_1861984

Specimen UC Davis_1861988: postnatal adult; C9orf72tm1.1(KOMP)Mbp/C9orf72+ (more )
Note: The IMPC refers to this as a tm1b allele; when using standard nomenclature conventions, however, it is a tm1.1 allele.
Structure Level Pattern Image Note
TS28: midbrain Present UC Davis_1861988

Specimen UC Davis_1861990: postnatal adult; C9orf72tm1.1(KOMP)Mbp/C9orf72+ (more )
Note: The IMPC refers to this as a tm1b allele; when using standard nomenclature conventions, however, it is a tm1.1 allele.
Structure Level Pattern Image Note
TS28: cerebellum Present UC Davis_1861990

Specimen UC Davis_1861991: postnatal adult; C9orf72tm1.1(KOMP)Mbp/C9orf72+ (more )
Note: The IMPC refers to this as a tm1b allele; when using standard nomenclature conventions, however, it is a tm1.1 allele.
Structure Level Pattern Image Note
TS28: cerebellum Present UC Davis_1861991

Specimen UC Davis_1861992: postnatal adult; C9orf72tm1.1(KOMP)Mbp/C9orf72+ (more )
Note: The IMPC refers to this as a tm1b allele; when using standard nomenclature conventions, however, it is a tm1.1 allele.
Structure Level Pattern Image Note
TS28: trigeminal nerve Present UC Davis_1861992

Specimen UC Davis_1861993: postnatal adult; C9orf72tm1.1(KOMP)Mbp/C9orf72+ (more )
Note: The IMPC refers to this as a tm1b allele; when using standard nomenclature conventions, however, it is a tm1.1 allele.
Structure Level Pattern Image Note
TS28: trigeminal nerve Present UC Davis_1861993

Specimen UC Davis_1861994: postnatal adult; C9orf72tm1.1(KOMP)Mbp/C9orf72+ (more )
Note: The IMPC refers to this as a tm1b allele; when using standard nomenclature conventions, however, it is a tm1.1 allele.
Structure Level Pattern Image Note
TS28: ovary Present UC Davis_1861994

Specimen UC Davis_1861995: postnatal adult; C9orf72tm1.1(KOMP)Mbp/C9orf72+ (more )
Note: The IMPC refers to this as a tm1b allele; when using standard nomenclature conventions, however, it is a tm1.1 allele.
Structure Level Pattern Image Note
TS28: ovary Present UC Davis_1861995

Specimen UC Davis_1861996: postnatal adult; C9orf72tm1.1(KOMP)Mbp/C9orf72+ (more )
Note: The IMPC refers to this as a tm1b allele; when using standard nomenclature conventions, however, it is a tm1.1 allele.
Structure Level Pattern Image Note
TS28: oviduct Present UC Davis_1861996

Specimen UC Davis_1861997: postnatal adult; C9orf72tm1.1(KOMP)Mbp/C9orf72+ (more )
Note: The IMPC refers to this as a tm1b allele; when using standard nomenclature conventions, however, it is a tm1.1 allele.
Structure Level Pattern Image Note
TS28: oviduct Present UC Davis_1861997

Specimen UC Davis_1861998: postnatal adult; C9orf72tm1.1(KOMP)Mbp/C9orf72+ (more )
Note: The IMPC refers to this as a tm1b allele; when using standard nomenclature conventions, however, it is a tm1.1 allele.
Structure Level Pattern Image Note
TS28: uterus Present UC Davis_1861998

Specimen UC Davis_1861999: postnatal adult; C9orf72tm1.1(KOMP)Mbp/C9orf72+ (more )
Note: The IMPC refers to this as a tm1b allele; when using standard nomenclature conventions, however, it is a tm1.1 allele.
Structure Level Pattern Image Note
TS28: uterus Present UC Davis_1861999

Specimen UC Davis_1862000: postnatal adult; C9orf72tm1.1(KOMP)Mbp/C9orf72+ (more )
Note: The IMPC refers to this as a tm1b allele; when using standard nomenclature conventions, however, it is a tm1.1 allele.
Structure Level Pattern Image Note
TS28: vagina Present UC Davis_1862000

Specimen UC Davis_1862001: postnatal adult; C9orf72tm1.1(KOMP)Mbp/C9orf72+ (more )
Note: The IMPC refers to this as a tm1b allele; when using standard nomenclature conventions, however, it is a tm1.1 allele.
Structure Level Pattern Image Note
TS28: vagina Present UC Davis_1862001

Specimen UC Davis_1862002: postnatal adult; C9orf72tm1.1(KOMP)Mbp/C9orf72+ (more )
Note: The IMPC refers to this as a tm1b allele; when using standard nomenclature conventions, however, it is a tm1.1 allele.
Structure Level Pattern Image Note
TS28: bladder Present UC Davis_1862002

Specimen UC Davis_1862003: postnatal adult; C9orf72tm1.1(KOMP)Mbp/C9orf72+ (more )
Note: The IMPC refers to this as a tm1b allele; when using standard nomenclature conventions, however, it is a tm1.1 allele.
Structure Level Pattern Image Note
TS28: bladder Present UC Davis_1862003

Specimen UC Davis_1862005: postnatal adult; C9orf72tm1.1(KOMP)Mbp/C9orf72+ (more )
Note: The IMPC refers to this as a tm1b allele; when using standard nomenclature conventions, however, it is a tm1.1 allele.
Structure Level Pattern Image Note
TS28: mammary gland Present UC Davis_1862005

Specimen UC Davis_1862006: postnatal adult; C9orf72tm1.1(KOMP)Mbp/C9orf72+ (more )
Note: The IMPC refers to this as a tm1b allele; when using standard nomenclature conventions, however, it is a tm1.1 allele.
Structure Level Pattern Image Note
TS28: mammary gland Present UC Davis_1862006

Specimen UC Davis_1862007: postnatal adult; C9orf72tm1.1(KOMP)Mbp/C9orf72+ (more )
Note: The IMPC refers to this as a tm1b allele; when using standard nomenclature conventions, however, it is a tm1.1 allele.
Structure Level Pattern Image Note
TS28: mammary gland Present UC Davis_1862007

Specimen UC Davis_1862100: postnatal adult; C9orf72tm1.1(KOMP)Mbp/C9orf72+ (more )
Note: The IMPC refers to this as a tm1b allele; when using standard nomenclature conventions, however, it is a tm1.1 allele.
Structure Level Pattern Image Note
TS28: ovary Present UC Davis_1862100

Specimen UC Davis_1862101: postnatal adult; C9orf72tm1.1(KOMP)Mbp/C9orf72+ (more )
Note: The IMPC refers to this as a tm1b allele; when using standard nomenclature conventions, however, it is a tm1.1 allele.
Structure Level Pattern Image Note
TS28: oviduct Present UC Davis_1862101

Specimen UC Davis_1862008: postnatal adult; C9orf72tm1.1(KOMP)Mbp/C9orf72+ (more )
Note: The IMPC refers to this as a tm1b allele; when using standard nomenclature conventions, however, it is a tm1.1 allele.
Structure Level Pattern Image Note
TS28: submandibular gland Present UC Davis_1862008

Specimen UC Davis_1862009: postnatal adult; C9orf72tm1.1(KOMP)Mbp/C9orf72+ (more )
Note: The IMPC refers to this as a tm1b allele; when using standard nomenclature conventions, however, it is a tm1.1 allele.
Structure Level Pattern Image Note
TS28: sublingual gland Present UC Davis_1862009

Specimen UC Davis_1862010: postnatal adult; C9orf72tm1.1(KOMP)Mbp/C9orf72+ (more )
Note: The IMPC refers to this as a tm1b allele; when using standard nomenclature conventions, however, it is a tm1.1 allele.
Structure Level Pattern Image Note
TS28: sublingual gland Present UC Davis_1862010

Specimen UC Davis_1862011: postnatal adult; C9orf72tm1.1(KOMP)Mbp/C9orf72+ (more )
Note: The IMPC refers to this as a tm1b allele; when using standard nomenclature conventions, however, it is a tm1.1 allele.
Structure Level Pattern Image Note
TS28: sublingual gland Present UC Davis_1862011

Specimen UC Davis_1862012: postnatal adult; C9orf72tm1.1(KOMP)Mbp/C9orf72+ (more )
Note: The IMPC refers to this as a tm1b allele; when using standard nomenclature conventions, however, it is a tm1.1 allele.
Structure Level Pattern Image Note
TS28: parotid gland Present UC Davis_1862012

Specimen UC Davis_1862014: postnatal adult; C9orf72tm1.1(KOMP)Mbp/C9orf72+ (more )
Note: The IMPC refers to this as a tm1b allele; when using standard nomenclature conventions, however, it is a tm1.1 allele.
Structure Level Pattern Image Note
TS28: trachea Present UC Davis_1862014

Specimen UC Davis_1862015: postnatal adult; C9orf72tm1.1(KOMP)Mbp/C9orf72+ (more )
Note: The IMPC refers to this as a tm1b allele; when using standard nomenclature conventions, however, it is a tm1.1 allele.
Structure Level Pattern Image Note
TS28: trachea Present UC Davis_1862015

Specimen UC Davis_1862016: postnatal adult; C9orf72tm1.1(KOMP)Mbp/C9orf72+ (more )
Note: The IMPC refers to this as a tm1b allele; when using standard nomenclature conventions, however, it is a tm1.1 allele.
Structure Level Pattern Image Note
TS28: esophagus Present UC Davis_1862016

Specimen UC Davis_1862019: postnatal adult; C9orf72tm1.1(KOMP)Mbp/C9orf72+ (more )
Note: The IMPC refers to this as a tm1b allele; when using standard nomenclature conventions, however, it is a tm1.1 allele.
Structure Level Pattern Image Note
TS28: lung Present UC Davis_1862019

Specimen UC Davis_1862020: postnatal adult; C9orf72tm1.1(KOMP)Mbp/C9orf72+ (more )
Note: The IMPC refers to this as a tm1b allele; when using standard nomenclature conventions, however, it is a tm1.1 allele.
Structure Level Pattern Image Note
TS28: lung Present UC Davis_1862020

Specimen UC Davis_1862021: postnatal adult; C9orf72tm1.1(KOMP)Mbp/C9orf72+ (more )
Note: The IMPC refers to this as a tm1b allele; when using standard nomenclature conventions, however, it is a tm1.1 allele.
Structure Level Pattern Image Note
TS28: thymus Present UC Davis_1862021

Specimen UC Davis_1862022: postnatal adult; C9orf72tm1.1(KOMP)Mbp/C9orf72+ (more )
Note: The IMPC refers to this as a tm1b allele; when using standard nomenclature conventions, however, it is a tm1.1 allele.
Structure Level Pattern Image Note
TS28: thymus Present UC Davis_1862022

Specimen UC Davis_1862025: postnatal adult; C9orf72tm1.1(KOMP)Mbp/C9orf72+ (more )
Note: The IMPC refers to this as a tm1b allele; when using standard nomenclature conventions, however, it is a tm1.1 allele.
Structure Level Pattern Image Note
TS28: mesenteric lymph node Present UC Davis_1862025

Specimen UC Davis_1862026: postnatal adult; C9orf72tm1.1(KOMP)Mbp/C9orf72+ (more )
Note: The IMPC refers to this as a tm1b allele; when using standard nomenclature conventions, however, it is a tm1.1 allele.
Structure Level Pattern Image Note
TS28: stomach Present UC Davis_1862026

Specimen UC Davis_1862027: postnatal adult; C9orf72tm1.1(KOMP)Mbp/C9orf72+ (more )
Note: The IMPC refers to this as a tm1b allele; when using standard nomenclature conventions, however, it is a tm1.1 allele.
Structure Level Pattern Image Note
TS28: stomach Present UC Davis_1862027

Specimen UC Davis_1862028: postnatal adult; C9orf72tm1.1(KOMP)Mbp/C9orf72+ (more )
Note: The IMPC refers to this as a tm1b allele; when using standard nomenclature conventions, however, it is a tm1.1 allele.
Structure Level Pattern Image Note
TS28: jejunum Present UC Davis_1862028

Specimen UC Davis_1862029: postnatal adult; C9orf72tm1.1(KOMP)Mbp/C9orf72+ (more )
Note: The IMPC refers to this as a tm1b allele; when using standard nomenclature conventions, however, it is a tm1.1 allele.
Structure Level Pattern Image Note
TS28: ileum Present UC Davis_1862029

Specimen UC Davis_1862030: postnatal adult; C9orf72tm1.1(KOMP)Mbp/C9orf72+ (more )
Note: The IMPC refers to this as a tm1b allele; when using standard nomenclature conventions, however, it is a tm1.1 allele.
Structure Level Pattern Image Note
TS28: colon Present UC Davis_1862030

Specimen UC Davis_1862031: postnatal adult; C9orf72tm1.1(KOMP)Mbp/C9orf72+ (more )
Note: The IMPC refers to this as a tm1b allele; when using standard nomenclature conventions, however, it is a tm1.1 allele.
Structure Level Pattern Image Note
TS28: colon Present UC Davis_1862031

Specimen UC Davis_1862032: postnatal adult; C9orf72tm1.1(KOMP)Mbp/C9orf72+ (more )
Note: The IMPC refers to this as a tm1b allele; when using standard nomenclature conventions, however, it is a tm1.1 allele.
Structure Level Pattern Image Note
TS28: cecum Present UC Davis_1862032

Specimen UC Davis_1862033: postnatal adult; C9orf72tm1.1(KOMP)Mbp/C9orf72+ (more )
Note: The IMPC refers to this as a tm1b allele; when using standard nomenclature conventions, however, it is a tm1.1 allele.
Structure Level Pattern Image Note
TS28: cecum Present UC Davis_1862033

Specimen UC Davis_1862034: postnatal adult; C9orf72tm1.1(KOMP)Mbp/C9orf72+ (more )
Note: The IMPC refers to this as a tm1b allele; when using standard nomenclature conventions, however, it is a tm1.1 allele.
Structure Level Pattern Image Note
TS28: spleen Present UC Davis_1862034

Specimen UC Davis_1862035: postnatal adult; C9orf72tm1.1(KOMP)Mbp/C9orf72+ (more )
Note: The IMPC refers to this as a tm1b allele; when using standard nomenclature conventions, however, it is a tm1.1 allele.
Structure Level Pattern Image Note
TS28: spleen Present UC Davis_1862035

Specimen UC Davis_1862036: postnatal adult; C9orf72tm1.1(KOMP)Mbp/C9orf72+ (more )
Note: The IMPC refers to this as a tm1b allele; when using standard nomenclature conventions, however, it is a tm1.1 allele.
Structure Level Pattern Image Note
TS28: pancreas Present UC Davis_1862036

Specimen UC Davis_1862037: postnatal adult; C9orf72tm1.1(KOMP)Mbp/C9orf72+ (more )
Note: The IMPC refers to this as a tm1b allele; when using standard nomenclature conventions, however, it is a tm1.1 allele.
Structure Level Pattern Image Note
TS28: metanephros Present UC Davis_1862037 kidney

Specimen UC Davis_1862038: postnatal adult; C9orf72tm1.1(KOMP)Mbp/C9orf72+ (more )
Note: The IMPC refers to this as a tm1b allele; when using standard nomenclature conventions, however, it is a tm1.1 allele.
Structure Level Pattern Image Note
TS28: metanephros Present UC Davis_1862038 kidney

Specimen UC Davis_1862039: postnatal adult; C9orf72tm1.1(KOMP)Mbp/C9orf72+ (more )
Note: The IMPC refers to this as a tm1b allele; when using standard nomenclature conventions, however, it is a tm1.1 allele.
Structure Level Pattern Image Note
TS28: adrenal gland Present UC Davis_1862039

Specimen UC Davis_1862040: postnatal adult; C9orf72tm1.1(KOMP)Mbp/C9orf72+ (more )
Note: The IMPC refers to this as a tm1b allele; when using standard nomenclature conventions, however, it is a tm1.1 allele.
Structure Level Pattern Image Note
TS28: pituitary gland Present UC Davis_1862040

Specimen UC Davis_1862041: postnatal adult; C9orf72tm1.1(KOMP)Mbp/C9orf72+ (more )
Note: The IMPC refers to this as a tm1b allele; when using standard nomenclature conventions, however, it is a tm1.1 allele.
Structure Level Pattern Image Note
TS28: pituitary gland Present UC Davis_1862041

Specimen UC Davis_1862042: postnatal adult; C9orf72tm1.1(KOMP)Mbp/C9orf72+ (more )
Note: The IMPC refers to this as a tm1b allele; when using standard nomenclature conventions, however, it is a tm1.1 allele.
Structure Level Pattern Image Note
TS28: pituitary gland Present UC Davis_1862042

Specimen UC Davis_1862043: postnatal adult; C9orf72tm1.1(KOMP)Mbp/C9orf72+ (more )
Note: The IMPC refers to this as a tm1b allele; when using standard nomenclature conventions, however, it is a tm1.1 allele.
Structure Level Pattern Image Note
TS28: spinal cord Present UC Davis_1862043

Specimen UC Davis_1862044: postnatal adult; C9orf72tm1.1(KOMP)Mbp/C9orf72+ (more )
Note: The IMPC refers to this as a tm1b allele; when using standard nomenclature conventions, however, it is a tm1.1 allele.
Structure Level Pattern Image Note
TS28: spinal cord Present UC Davis_1862044

Specimen UC Davis_1862045: postnatal adult; C9orf72tm1.1(KOMP)Mbp/C9orf72+ (more )
Note: The IMPC refers to this as a tm1b allele; when using standard nomenclature conventions, however, it is a tm1.1 allele.
Structure Level Pattern Image Note
TS28: spinal cord Present UC Davis_1862045

Specimen UC Davis_1862046: postnatal adult; C9orf72tm1.1(KOMP)Mbp/C9orf72+ (more )
Note: The IMPC refers to this as a tm1b allele; when using standard nomenclature conventions, however, it is a tm1.1 allele.
Structure Level Pattern Image Note
TS28: eye Present UC Davis_1862046

Specimen UC Davis_1862047: postnatal adult; C9orf72tm1.1(KOMP)Mbp/C9orf72+ (more )
Note: The IMPC refers to this as a tm1b allele; when using standard nomenclature conventions, however, it is a tm1.1 allele.
Structure Level Pattern Image Note
TS28: gonadal fat pad Present UC Davis_1862047

Specimen UC Davis_1862048: postnatal adult; C9orf72tm1.1(KOMP)Mbp/C9orf72+ (more )
Note: The IMPC refers to this as a tm1b allele; when using standard nomenclature conventions, however, it is a tm1.1 allele.
Structure Level Pattern Image Note
TS28: skin Present UC Davis_1862048

Specimen UC Davis_1862049: postnatal adult; C9orf72tm1.1(KOMP)Mbp/C9orf72+ (more )
Note: The IMPC refers to this as a tm1b allele; when using standard nomenclature conventions, however, it is a tm1.1 allele.
Structure Level Pattern Image Note
TS28: skin Present UC Davis_1862049

Specimen UC Davis_1862050: postnatal adult; C9orf72tm1.1(KOMP)Mbp/C9orf72+ (more )
Note: The IMPC refers to this as a tm1b allele; when using standard nomenclature conventions, however, it is a tm1.1 allele.
Structure Level Pattern Image Note
TS28: skin Present UC Davis_1862050

Specimen UC Davis_1862051: postnatal adult; C9orf72tm1.1(KOMP)Mbp/C9orf72+ (more )
Note: The IMPC refers to this as a tm1b allele; when using standard nomenclature conventions, however, it is a tm1.1 allele.
Structure Level Pattern Image Note
TS28: olfactory lobe Present UC Davis_1862051

Specimen UC Davis_1862054: postnatal adult; C9orf72tm1.1(KOMP)Mbp/C9orf72+ (more )
Note: The IMPC refers to this as a tm1b allele; when using standard nomenclature conventions, however, it is a tm1.1 allele.
Structure Level Pattern Image Note
TS28: midbrain Present UC Davis_1862054

Specimen UC Davis_1862056: postnatal adult; C9orf72tm1.1(KOMP)Mbp/C9orf72+ (more )
Note: The IMPC refers to this as a tm1b allele; when using standard nomenclature conventions, however, it is a tm1.1 allele.
Structure Level Pattern Image Note
TS28: cerebellum Present UC Davis_1862056

Specimen UC Davis_1862057: postnatal adult; C9orf72tm1.1(KOMP)Mbp/C9orf72+ (more )
Note: The IMPC refers to this as a tm1b allele; when using standard nomenclature conventions, however, it is a tm1.1 allele.
Structure Level Pattern Image Note
TS28: trigeminal nerve Present UC Davis_1862057

Specimen UC Davis_1862058: postnatal adult; C9orf72tm1.1(KOMP)Mbp/C9orf72+ (more )
Note: The IMPC refers to this as a tm1b allele; when using standard nomenclature conventions, however, it is a tm1.1 allele.
Structure Level Pattern Image Note
TS28: trigeminal nerve Present UC Davis_1862058

Specimen UC Davis_1862059: postnatal adult; C9orf72tm1.1(KOMP)Mbp/C9orf72+ (more )
Note: The IMPC refers to this as a tm1b allele; when using standard nomenclature conventions, however, it is a tm1.1 allele.
Structure Level Pattern Image Note
TS28: trigeminal nerve Present UC Davis_1862059

Specimen UC Davis_1862060: postnatal adult; C9orf72tm1.1(KOMP)Mbp/C9orf72+ (more )
Note: The IMPC refers to this as a tm1b allele; when using standard nomenclature conventions, however, it is a tm1.1 allele.
Structure Level Pattern Image Note
TS28: bladder Present UC Davis_1862060

Specimen UC Davis_1862061: postnatal adult; C9orf72tm1.1(KOMP)Mbp/C9orf72+ (more )
Note: The IMPC refers to this as a tm1b allele; when using standard nomenclature conventions, however, it is a tm1.1 allele.
Structure Level Pattern Image Note
TS28: bladder Present UC Davis_1862061

Specimen UC Davis_1862062: postnatal adult; C9orf72tm1.1(KOMP)Mbp/C9orf72+ (more )
Note: The IMPC refers to this as a tm1b allele; when using standard nomenclature conventions, however, it is a tm1.1 allele.
Structure Level Pattern Image Note
TS28: testis Present UC Davis_1862062

Specimen UC Davis_1862063: postnatal adult; C9orf72tm1.1(KOMP)Mbp/C9orf72+ (more )
Note: The IMPC refers to this as a tm1b allele; when using standard nomenclature conventions, however, it is a tm1.1 allele.
Structure Level Pattern Image Note
TS28: testis Present UC Davis_1862063

Specimen UC Davis_1862064: postnatal adult; C9orf72tm1.1(KOMP)Mbp/C9orf72+ (more )
Note: The IMPC refers to this as a tm1b allele; when using standard nomenclature conventions, however, it is a tm1.1 allele.
Structure Level Pattern Image Note
TS28: epididymis Present UC Davis_1862064

Specimen UC Davis_1862065: postnatal adult; C9orf72tm1.1(KOMP)Mbp/C9orf72+ (more )
Note: The IMPC refers to this as a tm1b allele; when using standard nomenclature conventions, however, it is a tm1.1 allele.
Structure Level Pattern Image Note
TS28: epididymis Present UC Davis_1862065

Specimen UC Davis_1862066: postnatal adult; C9orf72tm1.1(KOMP)Mbp/C9orf72+ (more )
Note: The IMPC refers to this as a tm1b allele; when using standard nomenclature conventions, however, it is a tm1.1 allele.
Structure Level Pattern Image Note
TS28: prostate gland Present UC Davis_1862066

Specimen UC Davis_1862067: postnatal adult; C9orf72tm1.1(KOMP)Mbp/C9orf72+ (more )
Note: The IMPC refers to this as a tm1b allele; when using standard nomenclature conventions, however, it is a tm1.1 allele.
Structure Level Pattern Image Note
TS28: penis Present UC Davis_1862067

Specimen UC Davis_1862070: postnatal adult; C9orf72tm1.1(KOMP)Mbp/C9orf72+ (more )
Note: The IMPC refers to this as a tm1b allele; when using standard nomenclature conventions, however, it is a tm1.1 allele.
Structure Level Pattern Image Note
TS28: ductus deferens Present UC Davis_1862070 vas deferens

Specimen UC Davis_1862071: postnatal adult; C9orf72tm1.1(KOMP)Mbp/C9orf72+ (more )
Note: The IMPC refers to this as a tm1b allele; when using standard nomenclature conventions, however, it is a tm1.1 allele.
Structure Level Pattern Image Note
TS28: seminal vesicle Present UC Davis_1862071 vesicular gland

Specimen UC Davis_1862072: postnatal adult; C9orf72tm1.1(KOMP)Mbp/C9orf72+ (more )
Note: The IMPC refers to this as a tm1b allele; when using standard nomenclature conventions, however, it is a tm1.1 allele.
Structure Level Pattern Image Note
TS28: tongue Present UC Davis_1862072

Specimen UC Davis_1862073: postnatal adult; C9orf72tm1.1(KOMP)Mbp/C9orf72+ (more )
Note: The IMPC refers to this as a tm1b allele; when using standard nomenclature conventions, however, it is a tm1.1 allele.
Structure Level Pattern Image Note
TS28: pancreas Present UC Davis_1862073

Specimen UC Davis_1862074: postnatal adult; C9orf72tm1.1(KOMP)Mbp/C9orf72+ (more )
Note: The IMPC refers to this as a tm1b allele; when using standard nomenclature conventions, however, it is a tm1.1 allele.
Structure Level Pattern Image Note
TS28: olfactory lobe Absent UC Davis_1862074

Specimen UC Davis_1862077: postnatal adult; C9orf72tm1.1(KOMP)Mbp/C9orf72+ (more )
Note: The IMPC refers to this as a tm1b allele; when using standard nomenclature conventions, however, it is a tm1.1 allele.
Structure Level Pattern Image Note
TS28: midbrain Absent UC Davis_1862077

Specimen UC Davis_1862079: postnatal adult; C9orf72tm1.1(KOMP)Mbp/C9orf72+ (more )
Note: The IMPC refers to this as a tm1b allele; when using standard nomenclature conventions, however, it is a tm1.1 allele.
Structure Level Pattern Image Note
TS28: cerebellum Absent UC Davis_1862079

Specimen UC Davis_1862080: postnatal adult; C9orf72tm1.1(KOMP)Mbp/C9orf72+ (more )
Note: The IMPC refers to this as a tm1b allele; when using standard nomenclature conventions, however, it is a tm1.1 allele.
Structure Level Pattern Image Note
TS28: brain Absent UC Davis_1862080

Specimen UC Davis_1862082: postnatal adult; C9orf72tm1.1(KOMP)Mbp/C9orf72+ (more )
Note: The IMPC refers to this as a tm1b allele; when using standard nomenclature conventions, however, it is a tm1.1 allele.
Structure Level Pattern Image Note
TS28: aorta Present UC Davis_1862082

Specimen UC Davis_1862084: postnatal adult; C9orf72tm1.1(KOMP)Mbp/C9orf72+ (more )
Note: The IMPC refers to this as a tm1b allele; when using standard nomenclature conventions, however, it is a tm1.1 allele.
Structure Level Pattern Image Note
TS28: thymus Present UC Davis_1862084

Specimen UC Davis_1862085: postnatal adult; C9orf72tm1.1(KOMP)Mbp/C9orf72+ (more )
Note: The IMPC refers to this as a tm1b allele; when using standard nomenclature conventions, however, it is a tm1.1 allele.
Structure Level Pattern Image Note
TS28: metanephros Present UC Davis_1862085 kidney

Specimen UC Davis_1862086: postnatal adult; C9orf72tm1.1(KOMP)Mbp/C9orf72+ (more )
Note: The IMPC refers to this as a tm1b allele; when using standard nomenclature conventions, however, it is a tm1.1 allele.
Structure Level Pattern Image Note
TS28: adrenal gland Present UC Davis_1862086

Specimen UC Davis_1862087: postnatal adult; C9orf72tm1.1(KOMP)Mbp/C9orf72+ (more )
Note: The IMPC refers to this as a tm1b allele; when using standard nomenclature conventions, however, it is a tm1.1 allele.
Structure Level Pattern Image Note
TS28: skin Present UC Davis_1862087

Specimen UC Davis_1862089: postnatal adult; C9orf72tm1.1(KOMP)Mbp/C9orf72+ (more )
Note: The IMPC refers to this as a tm1b allele; when using standard nomenclature conventions, however, it is a tm1.1 allele.
Structure Level Pattern Image Note
TS28: trachea Present UC Davis_1862089

Specimen UC Davis_1862090: postnatal adult; C9orf72tm1.1(KOMP)Mbp/C9orf72+ (more )
Note: The IMPC refers to this as a tm1b allele; when using standard nomenclature conventions, however, it is a tm1.1 allele.
Structure Level Pattern Image Note
TS28: spinal cord Present UC Davis_1862090

Specimen UC Davis_1862091: postnatal adult; C9orf72tm1.1(KOMP)Mbp/C9orf72+ (more )
Note: The IMPC refers to this as a tm1b allele; when using standard nomenclature conventions, however, it is a tm1.1 allele.
Structure Level Pattern Image Note
TS28: pituitary gland Present UC Davis_1862091

Specimen UC Davis_1862092: postnatal adult; C9orf72tm1.1(KOMP)Mbp/C9orf72+ (more )
Note: The IMPC refers to this as a tm1b allele; when using standard nomenclature conventions, however, it is a tm1.1 allele.
Structure Level Pattern Image Note
TS28: mesenteric adipose tissue Present UC Davis_1862092

Specimen UC Davis_1862093: postnatal adult; C9orf72tm1.1(KOMP)Mbp/C9orf72+ (more )
Note: The IMPC refers to this as a tm1b allele; when using standard nomenclature conventions, however, it is a tm1.1 allele.
Structure Level Pattern Image Note
TS28: gonadal fat pad Present UC Davis_1862093

Specimen UC Davis_1862094: postnatal adult; C9orf72tm1.1(KOMP)Mbp/C9orf72+ (more )
Note: The IMPC refers to this as a tm1b allele; when using standard nomenclature conventions, however, it is a tm1.1 allele.
Structure Level Pattern Image Note
TS28: testis Present UC Davis_1862094

Specimen UC Davis_1862095: postnatal adult; C9orf72tm1.1(KOMP)Mbp/C9orf72+ (more )
Note: The IMPC refers to this as a tm1b allele; when using standard nomenclature conventions, however, it is a tm1.1 allele.
Structure Level Pattern Image Note
TS28: seminal vesicle Present UC Davis_1862095 vesicular gland

Specimen UC Davis_1862097: postnatal adult; C9orf72tm1.1(KOMP)Mbp/C9orf72+ (more )
Note: The IMPC refers to this as a tm1b allele; when using standard nomenclature conventions, however, it is a tm1.1 allele.
Structure Level Pattern Image Note
TS28: gallbladder Present UC Davis_1862097

Specimen UC Davis_1862098: postnatal adult; C9orf72tm1.1(KOMP)Mbp/C9orf72+ (more )
Note: The IMPC refers to this as a tm1b allele; when using standard nomenclature conventions, however, it is a tm1.1 allele.
Structure Level Pattern Image Note
TS28: thoracic segment skeleton Present UC Davis_1862098 chest bone


Contributing Projects:
Mouse Genome Database (MGD), Gene Expression Database (GXD), Mouse Models of Human Cancer database (MMHCdb) (formerly Mouse Tumor Biology (MTB)), Gene Ontology (GO)
Citing These Resources
Funding Information
Warranty Disclaimer, Privacy Notice, Licensing, & Copyright
Send questions and comments to User Support.
last database update
12/30/2025
MGI 6.24
The Jackson Laboratory