About   Help   FAQ
Gene Expression Data
Assay Details
Assay
Reference: J:228563 Koscielny G, et al., The International Mouse Phenotyping Consortium Web Portal, a unified point of access for knockout mice and related phenotyping data. Nucleic Acids Res. 2014 Jan;42(Database issue):D802-9
Assay type: In situ reporter (knock in)
MGI Accession ID: MGI:6692032
Gene symbol: Cox15
Gene name: cytochrome c oxidase assembly protein 15
Reporter: lacZ
Direct Detection
Results
Specimen UC Davis_1873151: postnatal adult; Cox15tm1.1(KOMP)Vlcg/Cox15+ (more )
Structure Level Pattern Image Note
TS28: submandibular gland Present UC Davis_1873151

Specimen UC Davis_1873152: postnatal adult; Cox15tm1.1(KOMP)Vlcg/Cox15+ (more )
Structure Level Pattern Image Note
TS28: submandibular gland Present UC Davis_1873152

Specimen UC Davis_1873153: postnatal adult; Cox15tm1.1(KOMP)Vlcg/Cox15+ (more )
Structure Level Pattern Image Note
TS28: sublingual gland Present UC Davis_1873153

Specimen UC Davis_1873154: postnatal adult; Cox15tm1.1(KOMP)Vlcg/Cox15+ (more )
Structure Level Pattern Image Note
TS28: sublingual gland Present UC Davis_1873154

Specimen UC Davis_1873155: postnatal adult; Cox15tm1.1(KOMP)Vlcg/Cox15+ (more )
Structure Level Pattern Image Note
TS28: parotid gland Present UC Davis_1873155

Specimen UC Davis_1873156: postnatal adult; Cox15tm1.1(KOMP)Vlcg/Cox15+ (more )
Structure Level Pattern Image Note
TS28: esophagus Present UC Davis_1873156

Specimen UC Davis_1873157: postnatal adult; Cox15tm1.1(KOMP)Vlcg/Cox15+ (more )
Structure Level Pattern Image Note
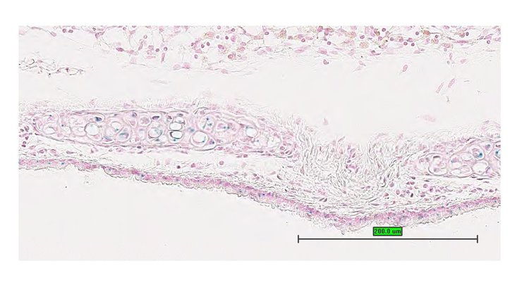
TS28: aorta Present UC Davis_1873157

Specimen UC Davis_1873158: postnatal adult; Cox15tm1.1(KOMP)Vlcg/Cox15+ (more )
Structure Level Pattern Image Note
TS28: lung Present UC Davis_1873158

Specimen UC Davis_1873159: postnatal adult; Cox15tm1.1(KOMP)Vlcg/Cox15+ (more )
Structure Level Pattern Image Note
TS28: lung Present UC Davis_1873159

Specimen UC Davis_1873163: postnatal adult; Cox15tm1.1(KOMP)Vlcg/Cox15+ (more )
Structure Level Pattern Image Note
TS28: stomach Present UC Davis_1873163

Specimen UC Davis_1873164: postnatal adult; Cox15tm1.1(KOMP)Vlcg/Cox15+ (more )
Structure Level Pattern Image Note
TS28: stomach Present UC Davis_1873164

Specimen UC Davis_1873165: postnatal adult; Cox15tm1.1(KOMP)Vlcg/Cox15+ (more )
Structure Level Pattern Image Note
TS28: duodenum Present UC Davis_1873165

Specimen UC Davis_1873166: postnatal adult; Cox15tm1.1(KOMP)Vlcg/Cox15+ (more )
Structure Level Pattern Image Note
TS28: duodenum Present UC Davis_1873166

Specimen UC Davis_1873167: postnatal adult; Cox15tm1.1(KOMP)Vlcg/Cox15+ (more )
Structure Level Pattern Image Note
TS28: ileum Present UC Davis_1873167

Specimen UC Davis_1873168: postnatal adult; Cox15tm1.1(KOMP)Vlcg/Cox15+ (more )
Structure Level Pattern Image Note
TS28: colon Present UC Davis_1873168

Specimen UC Davis_1873169: postnatal adult; Cox15tm1.1(KOMP)Vlcg/Cox15+ (more )
Structure Level Pattern Image Note
TS28: cecum Present UC Davis_1873169

Specimen UC Davis_1873170: postnatal adult; Cox15tm1.1(KOMP)Vlcg/Cox15+ (more )
Structure Level Pattern Image Note
TS28: spleen Present UC Davis_1873170

Specimen UC Davis_1873171: postnatal adult; Cox15tm1.1(KOMP)Vlcg/Cox15+ (more )
Structure Level Pattern Image Note
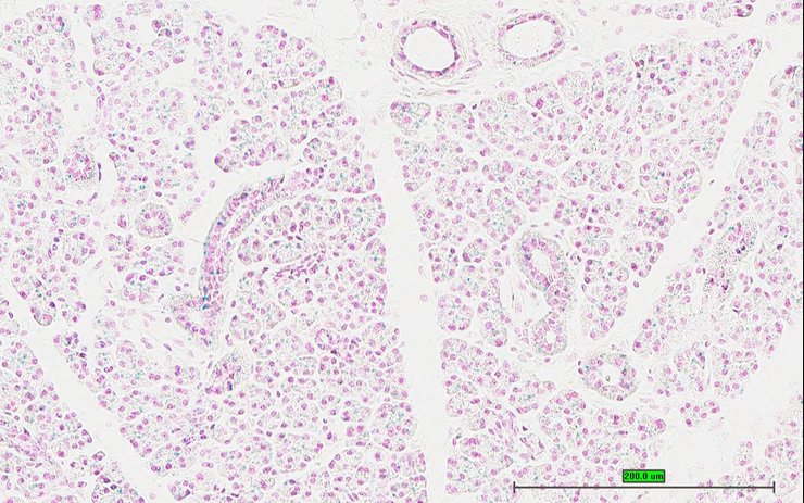
TS28: pancreas Present UC Davis_1873171

Specimen UC Davis_1873172: postnatal adult; Cox15tm1.1(KOMP)Vlcg/Cox15+ (more )
Structure Level Pattern Image Note
TS28: pancreas Present UC Davis_1873172

Specimen UC Davis_1873173: postnatal adult; Cox15tm1.1(KOMP)Vlcg/Cox15+ (more )
Structure Level Pattern Image Note
TS28: liver Present UC Davis_1873173

Specimen UC Davis_1873174: postnatal adult; Cox15tm1.1(KOMP)Vlcg/Cox15+ (more )
Structure Level Pattern Image Note
TS28: liver Present UC Davis_1873174

Specimen UC Davis_1873175: postnatal adult; Cox15tm1.1(KOMP)Vlcg/Cox15+ (more )
Structure Level Pattern Image Note
TS28: metanephros Present UC Davis_1873175 kidney

Specimen UC Davis_1873176: postnatal adult; Cox15tm1.1(KOMP)Vlcg/Cox15+ (more )
Structure Level Pattern Image Note
TS28: metanephros Present UC Davis_1873176 kidney

Specimen UC Davis_1873177: postnatal adult; Cox15tm1.1(KOMP)Vlcg/Cox15+ (more )
Structure Level Pattern Image Note
TS28: metanephros Present UC Davis_1873177 kidney

Specimen UC Davis_1873178: postnatal adult; Cox15tm1.1(KOMP)Vlcg/Cox15+ (more )
Structure Level Pattern Image Note
TS28: quadriceps femoris muscle Present UC Davis_1873178

Specimen UC Davis_1873179: postnatal adult; Cox15tm1.1(KOMP)Vlcg/Cox15+ (more )
Structure Level Pattern Image Note
TS28: quadriceps femoris muscle Present UC Davis_1873179

Specimen UC Davis_1873180: postnatal adult; Cox15tm1.1(KOMP)Vlcg/Cox15+ (more )
Structure Level Pattern Image Note
TS28: tongue Present UC Davis_1873180

Specimen UC Davis_1873181: postnatal adult; Cox15tm1.1(KOMP)Vlcg/Cox15+ (more )
Structure Level Pattern Image Note
TS28: tongue Present UC Davis_1873181

Specimen UC Davis_1873182: postnatal adult; Cox15tm1.1(KOMP)Vlcg/Cox15+ (more )
Structure Level Pattern Image Note
TS28: tongue Present UC Davis_1873182

Specimen UC Davis_1873183: postnatal adult; Cox15tm1.1(KOMP)Vlcg/Cox15+ (more )
Structure Level Pattern Image Note
TS28: tongue Present UC Davis_1873183

Specimen UC Davis_1873184: postnatal adult; Cox15tm1.1(KOMP)Vlcg/Cox15+ (more )
Structure Level Pattern Image Note
TS28: diaphragm Present UC Davis_1873184

Specimen UC Davis_1873185: postnatal adult; Cox15tm1.1(KOMP)Vlcg/Cox15+ (more )
Structure Level Pattern Image Note
TS28: adrenal gland Present UC Davis_1873185

Specimen UC Davis_1873186: postnatal adult; Cox15tm1.1(KOMP)Vlcg/Cox15+ (more )
Structure Level Pattern Image Note
TS28: adrenal gland Present UC Davis_1873186

Specimen UC Davis_1873187: postnatal adult; Cox15tm1.1(KOMP)Vlcg/Cox15+ (more )
Structure Level Pattern Image Note
TS28: pituitary gland Present UC Davis_1873187

Specimen UC Davis_1873188: postnatal adult; Cox15tm1.1(KOMP)Vlcg/Cox15+ (more )
Structure Level Pattern Image Note
TS28: spinal cord Present UC Davis_1873188

Specimen UC Davis_1873189: postnatal adult; Cox15tm1.1(KOMP)Vlcg/Cox15+ (more )
Structure Level Pattern Image Note
TS28: spinal cord Present UC Davis_1873189

Specimen UC Davis_1873190: postnatal adult; Cox15tm1.1(KOMP)Vlcg/Cox15+ (more )
Structure Level Pattern Image Note
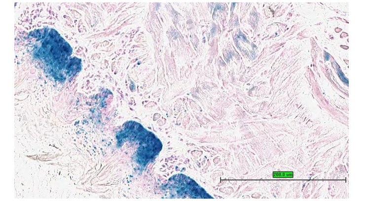
TS28: Harderian gland Present UC Davis_1873190

Specimen UC Davis_1873191: postnatal adult; Cox15tm1.1(KOMP)Vlcg/Cox15+ (more )
Structure Level Pattern Image Note
TS28: gonadal fat pad Present UC Davis_1873191

Specimen UC Davis_1873192: postnatal adult; Cox15tm1.1(KOMP)Vlcg/Cox15+ (more )
Structure Level Pattern Image Note
TS28: mesenteric adipose tissue Present UC Davis_1873192

Specimen UC Davis_1873193: postnatal adult; Cox15tm1.1(KOMP)Vlcg/Cox15+ (more )
Structure Level Pattern Image Note
TS28: skin Present UC Davis_1873193

Specimen UC Davis_1873194: postnatal adult; Cox15tm1.1(KOMP)Vlcg/Cox15+ (more )
Structure Level Pattern Image Note
TS28: skin Present UC Davis_1873194

Specimen UC Davis_1873195: postnatal adult; Cox15tm1.1(KOMP)Vlcg/Cox15+ (more )
Structure Level Pattern Image Note
TS28: brown fat Present UC Davis_1873195

Specimen UC Davis_1873196: postnatal adult; Cox15tm1.1(KOMP)Vlcg/Cox15+ (more )
Structure Level Pattern Image Note
TS28: olfactory lobe Present UC Davis_1873196

Specimen UC Davis_1873200: postnatal adult; Cox15tm1.1(KOMP)Vlcg/Cox15+ (more )
Structure Level Pattern Image Note
TS28: midbrain Present UC Davis_1873200

Specimen UC Davis_1873202: postnatal adult; Cox15tm1.1(KOMP)Vlcg/Cox15+ (more )
Structure Level Pattern Image Note
TS28: cerebellum Present UC Davis_1873202

Specimen UC Davis_1873203: postnatal adult; Cox15tm1.1(KOMP)Vlcg/Cox15+ (more )
Structure Level Pattern Image Note
TS28: trigeminal nerve Present UC Davis_1873203

Specimen UC Davis_1873204: postnatal adult; Cox15tm1.1(KOMP)Vlcg/Cox15+ (more )
Structure Level Pattern Image Note
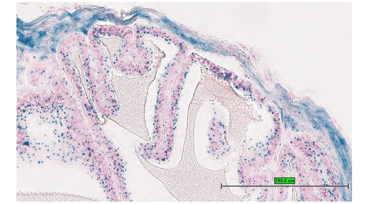
TS28: ovary Present UC Davis_1873204

Specimen UC Davis_1873205: postnatal adult; Cox15tm1.1(KOMP)Vlcg/Cox15+ (more )
Structure Level Pattern Image Note
TS28: ovary Present UC Davis_1873205

Specimen UC Davis_1873206: postnatal adult; Cox15tm1.1(KOMP)Vlcg/Cox15+ (more )
Structure Level Pattern Image Note
TS28: uterus Present UC Davis_1873206

Specimen UC Davis_1873207: postnatal adult; Cox15tm1.1(KOMP)Vlcg/Cox15+ (more )
Structure Level Pattern Image Note
TS28: uterus Present UC Davis_1873207

Specimen UC Davis_1873208: postnatal adult; Cox15tm1.1(KOMP)Vlcg/Cox15+ (more )
Structure Level Pattern Image Note
TS28: vagina Present UC Davis_1873208

Specimen UC Davis_1873209: postnatal adult; Cox15tm1.1(KOMP)Vlcg/Cox15+ (more )
Structure Level Pattern Image Note
TS28: bladder Present UC Davis_1873209

Specimen UC Davis_1873210: postnatal adult; Cox15tm1.1(KOMP)Vlcg/Cox15+ (more )
Structure Level Pattern Image Note
TS28: bone marrow Present UC Davis_1873210

Specimen UC Davis_1873211: postnatal adult; Cox15tm1.1(KOMP)Vlcg/Cox15+ (more )
Structure Level Pattern Image Note
TS28: mammary gland Present UC Davis_1873211

Specimen UC Davis_1873212: postnatal adult; Cox15tm1.1(KOMP)Vlcg/Cox15+ (more )
Structure Level Pattern Image Note
TS28: mammary gland Present UC Davis_1873212

Specimen UC Davis_1873074: postnatal adult; Cox15tm1.1(KOMP)Vlcg/Cox15+ (more )
Structure Level Pattern Image Note
TS28: submandibular gland Present UC Davis_1873074

Specimen UC Davis_1873075: postnatal adult; Cox15tm1.1(KOMP)Vlcg/Cox15+ (more )
Structure Level Pattern Image Note
TS28: submandibular gland Present UC Davis_1873075

Specimen UC Davis_1873076: postnatal adult; Cox15tm1.1(KOMP)Vlcg/Cox15+ (more )
Structure Level Pattern Image Note
TS28: submandibular gland Present UC Davis_1873076

Specimen UC Davis_1873077: postnatal adult; Cox15tm1.1(KOMP)Vlcg/Cox15+ (more )
Structure Level Pattern Image Note
TS28: sublingual gland Present UC Davis_1873077

Specimen UC Davis_1873078: postnatal adult; Cox15tm1.1(KOMP)Vlcg/Cox15+ (more )
Structure Level Pattern Image Note
TS28: sublingual gland Present UC Davis_1873078

Specimen UC Davis_1873079: postnatal adult; Cox15tm1.1(KOMP)Vlcg/Cox15+ (more )
Structure Level Pattern Image Note
TS28: sublingual gland Present UC Davis_1873079

Specimen UC Davis_1873080: postnatal adult; Cox15tm1.1(KOMP)Vlcg/Cox15+ (more )
Structure Level Pattern Image Note
TS28: parotid gland Present UC Davis_1873080

Specimen UC Davis_1873082: postnatal adult; Cox15tm1.1(KOMP)Vlcg/Cox15+ (more )
Structure Level Pattern Image Note
TS28: trachea Present UC Davis_1873082

Specimen UC Davis_1873083: postnatal adult; Cox15tm1.1(KOMP)Vlcg/Cox15+ (more )
Structure Level Pattern Image Note
TS28: trachea Present UC Davis_1873083

Specimen UC Davis_1873084: postnatal adult; Cox15tm1.1(KOMP)Vlcg/Cox15+ (more )
Structure Level Pattern Image Note
TS28: trachea Present UC Davis_1873084

Specimen UC Davis_1873085: postnatal adult; Cox15tm1.1(KOMP)Vlcg/Cox15+ (more )
Structure Level Pattern Image Note
TS28: esophagus Present UC Davis_1873085

Specimen UC Davis_1873086: postnatal adult; Cox15tm1.1(KOMP)Vlcg/Cox15+ (more )
Structure Level Pattern Image Note
TS28: esophagus Present UC Davis_1873086

Specimen UC Davis_1873089: postnatal adult; Cox15tm1.1(KOMP)Vlcg/Cox15+ (more )
Structure Level Pattern Image Note
TS28: aorta Present UC Davis_1873089

Specimen UC Davis_1873090: postnatal adult; Cox15tm1.1(KOMP)Vlcg/Cox15+ (more )
Structure Level Pattern Image Note
TS28: lung Present UC Davis_1873090

Specimen UC Davis_1873093: postnatal adult; Cox15tm1.1(KOMP)Vlcg/Cox15+ (more )
Structure Level Pattern Image Note
TS28: stomach Present UC Davis_1873093

Specimen UC Davis_1873094: postnatal adult; Cox15tm1.1(KOMP)Vlcg/Cox15+ (more )
Structure Level Pattern Image Note
TS28: stomach Present UC Davis_1873094

Specimen UC Davis_1873095: postnatal adult; Cox15tm1.1(KOMP)Vlcg/Cox15+ (more )
Structure Level Pattern Image Note
TS28: duodenum Present UC Davis_1873095

Specimen UC Davis_1873096: postnatal adult; Cox15tm1.1(KOMP)Vlcg/Cox15+ (more )
Structure Level Pattern Image Note
TS28: duodenum Present UC Davis_1873096

Specimen UC Davis_1873097: postnatal adult; Cox15tm1.1(KOMP)Vlcg/Cox15+ (more )
Structure Level Pattern Image Note
TS28: jejunum Present UC Davis_1873097

Specimen UC Davis_1873098: postnatal adult; Cox15tm1.1(KOMP)Vlcg/Cox15+ (more )
Structure Level Pattern Image Note
TS28: ileum Present UC Davis_1873098

Specimen UC Davis_1873099: postnatal adult; Cox15tm1.1(KOMP)Vlcg/Cox15+ (more )
Structure Level Pattern Image Note
TS28: ileum Present UC Davis_1873099

Specimen UC Davis_1873100: postnatal adult; Cox15tm1.1(KOMP)Vlcg/Cox15+ (more )
Structure Level Pattern Image Note
TS28: ileum Present UC Davis_1873100

Specimen UC Davis_1873101: postnatal adult; Cox15tm1.1(KOMP)Vlcg/Cox15+ (more )
Structure Level Pattern Image Note
TS28: colon Present UC Davis_1873101

Specimen UC Davis_1873102: postnatal adult; Cox15tm1.1(KOMP)Vlcg/Cox15+ (more )
Structure Level Pattern Image Note
TS28: colon Present UC Davis_1873102

Specimen UC Davis_1873103: postnatal adult; Cox15tm1.1(KOMP)Vlcg/Cox15+ (more )
Structure Level Pattern Image Note
TS28: spleen Present UC Davis_1873103

Specimen UC Davis_1873104: postnatal adult; Cox15tm1.1(KOMP)Vlcg/Cox15+ (more )
Structure Level Pattern Image Note
TS28: spleen Present UC Davis_1873104

Specimen UC Davis_1873105: postnatal adult; Cox15tm1.1(KOMP)Vlcg/Cox15+ (more )
Structure Level Pattern Image Note
TS28: pancreas Present UC Davis_1873105

Specimen UC Davis_1873106: postnatal adult; Cox15tm1.1(KOMP)Vlcg/Cox15+ (more )
Structure Level Pattern Image Note
TS28: pancreas Present UC Davis_1873106

Specimen UC Davis_1873107: postnatal adult; Cox15tm1.1(KOMP)Vlcg/Cox15+ (more )
Structure Level Pattern Image Note
TS28: liver Present UC Davis_1873107

Specimen UC Davis_1873108: postnatal adult; Cox15tm1.1(KOMP)Vlcg/Cox15+ (more )
Structure Level Pattern Image Note
TS28: liver Present UC Davis_1873108

Specimen UC Davis_1873109: postnatal adult; Cox15tm1.1(KOMP)Vlcg/Cox15+ (more )
Structure Level Pattern Image Note
TS28: metanephros Present UC Davis_1873109 kidney

Specimen UC Davis_1873110: postnatal adult; Cox15tm1.1(KOMP)Vlcg/Cox15+ (more )
Structure Level Pattern Image Note
TS28: metanephros Present UC Davis_1873110 kidney

Specimen UC Davis_1873111: postnatal adult; Cox15tm1.1(KOMP)Vlcg/Cox15+ (more )
Structure Level Pattern Image Note
TS28: metanephros Present UC Davis_1873111 kidney

Specimen UC Davis_1873112: postnatal adult; Cox15tm1.1(KOMP)Vlcg/Cox15+ (more )
Structure Level Pattern Image Note
TS28: quadriceps femoris muscle Present UC Davis_1873112

Specimen UC Davis_1873113: postnatal adult; Cox15tm1.1(KOMP)Vlcg/Cox15+ (more )
Structure Level Pattern Image Note
TS28: quadriceps femoris muscle Present UC Davis_1873113

Specimen UC Davis_1873114: postnatal adult; Cox15tm1.1(KOMP)Vlcg/Cox15+ (more )
Structure Level Pattern Image Note
TS28: quadriceps femoris muscle Present UC Davis_1873114

Specimen UC Davis_1873115: postnatal adult; Cox15tm1.1(KOMP)Vlcg/Cox15+ (more )
Structure Level Pattern Image Note
TS28: sciatic nerve Present UC Davis_1873115

Specimen UC Davis_1873116: postnatal adult; Cox15tm1.1(KOMP)Vlcg/Cox15+ (more )
Structure Level Pattern Image Note
TS28: tongue Present UC Davis_1873116

Specimen UC Davis_1873117: postnatal adult; Cox15tm1.1(KOMP)Vlcg/Cox15+ (more )
Structure Level Pattern Image Note
TS28: tongue Present UC Davis_1873117

Specimen UC Davis_1873118: postnatal adult; Cox15tm1.1(KOMP)Vlcg/Cox15+ (more )
Structure Level Pattern Image Note
TS28: diaphragm Present UC Davis_1873118

Specimen UC Davis_1873119: postnatal adult; Cox15tm1.1(KOMP)Vlcg/Cox15+ (more )
Structure Level Pattern Image Note
TS28: adrenal gland Present UC Davis_1873119

Specimen UC Davis_1873120: postnatal adult; Cox15tm1.1(KOMP)Vlcg/Cox15+ (more )
Structure Level Pattern Image Note
TS28: adrenal gland Present UC Davis_1873120

Specimen UC Davis_1873121: postnatal adult; Cox15tm1.1(KOMP)Vlcg/Cox15+ (more )
Structure Level Pattern Image Note
TS28: pituitary gland Present UC Davis_1873121

Specimen UC Davis_1873122: postnatal adult; Cox15tm1.1(KOMP)Vlcg/Cox15+ (more )
Structure Level Pattern Image Note
TS28: pituitary gland Present UC Davis_1873122

Specimen UC Davis_1873123: postnatal adult; Cox15tm1.1(KOMP)Vlcg/Cox15+ (more )
Structure Level Pattern Image Note
TS28: spinal cord Present UC Davis_1873123

Specimen UC Davis_1873124: postnatal adult; Cox15tm1.1(KOMP)Vlcg/Cox15+ (more )
Structure Level Pattern Image Note
TS28: spinal cord Present UC Davis_1873124

Specimen UC Davis_1873125: postnatal adult; Cox15tm1.1(KOMP)Vlcg/Cox15+ (more )
Structure Level Pattern Image Note
TS28: eye Present UC Davis_1873125

Specimen UC Davis_1873126: postnatal adult; Cox15tm1.1(KOMP)Vlcg/Cox15+ (more )
Structure Level Pattern Image Note
TS28: eye Present UC Davis_1873126

Specimen UC Davis_1873127: postnatal adult; Cox15tm1.1(KOMP)Vlcg/Cox15+ (more )
Structure Level Pattern Image Note
TS28: Harderian gland Present UC Davis_1873127

Specimen UC Davis_1873128: postnatal adult; Cox15tm1.1(KOMP)Vlcg/Cox15+ (more )
Structure Level Pattern Image Note
TS28: Harderian gland Present UC Davis_1873128

Specimen UC Davis_1873129: postnatal adult; Cox15tm1.1(KOMP)Vlcg/Cox15+ (more )
Structure Level Pattern Image Note
TS28: skin Present UC Davis_1873129

Specimen UC Davis_1873130: postnatal adult; Cox15tm1.1(KOMP)Vlcg/Cox15+ (more )
Structure Level Pattern Image Note
TS28: skin Present UC Davis_1873130

Specimen UC Davis_1873131: postnatal adult; Cox15tm1.1(KOMP)Vlcg/Cox15+ (more )
Structure Level Pattern Image Note
TS28: trigeminal nerve Present UC Davis_1873131

Specimen UC Davis_1873132: postnatal adult; Cox15tm1.1(KOMP)Vlcg/Cox15+ (more )
Structure Level Pattern Image Note
TS28: trigeminal nerve Present UC Davis_1873132

Specimen UC Davis_1873133: postnatal adult; Cox15tm1.1(KOMP)Vlcg/Cox15+ (more )
Structure Level Pattern Image Note
TS28: bladder Present UC Davis_1873133

Specimen UC Davis_1873134: postnatal adult; Cox15tm1.1(KOMP)Vlcg/Cox15+ (more )
Structure Level Pattern Image Note
TS28: bladder Present UC Davis_1873134

Specimen UC Davis_1873135: postnatal adult; Cox15tm1.1(KOMP)Vlcg/Cox15+ (more )
Structure Level Pattern Image Note
TS28: testis Present UC Davis_1873135

Specimen UC Davis_1873136: postnatal adult; Cox15tm1.1(KOMP)Vlcg/Cox15+ (more )
Structure Level Pattern Image Note
TS28: testis Present UC Davis_1873136

Specimen UC Davis_1873137: postnatal adult; Cox15tm1.1(KOMP)Vlcg/Cox15+ (more )
Structure Level Pattern Image Note
TS28: epididymis Present UC Davis_1873137

Specimen UC Davis_1873138: postnatal adult; Cox15tm1.1(KOMP)Vlcg/Cox15+ (more )
Structure Level Pattern Image Note
TS28: epididymis Present UC Davis_1873138

Specimen UC Davis_1873139: postnatal adult; Cox15tm1.1(KOMP)Vlcg/Cox15+ (more )
Structure Level Pattern Image Note
TS28: epididymis Present UC Davis_1873139

Specimen UC Davis_1873140: postnatal adult; Cox15tm1.1(KOMP)Vlcg/Cox15+ (more )
Structure Level Pattern Image Note
TS28: epididymis Present UC Davis_1873140

Specimen UC Davis_1873141: postnatal adult; Cox15tm1.1(KOMP)Vlcg/Cox15+ (more )
Structure Level Pattern Image Note
TS28: prostate gland Present UC Davis_1873141

Specimen UC Davis_1873142: postnatal adult; Cox15tm1.1(KOMP)Vlcg/Cox15+ (more )
Structure Level Pattern Image Note
TS28: prostate gland Present UC Davis_1873142

Specimen UC Davis_1873143: postnatal adult; Cox15tm1.1(KOMP)Vlcg/Cox15+ (more )
Structure Level Pattern Image Note
TS28: penis Present UC Davis_1873143

Specimen UC Davis_1873144: postnatal adult; Cox15tm1.1(KOMP)Vlcg/Cox15+ (more )
Structure Level Pattern Image Note
TS28: penis Present UC Davis_1873144

Specimen UC Davis_1873145: postnatal adult; Cox15tm1.1(KOMP)Vlcg/Cox15+ (more )
Structure Level Pattern Image Note
TS28: bone marrow Present UC Davis_1873145

Specimen UC Davis_1873146: postnatal adult; Cox15tm1.1(KOMP)Vlcg/Cox15+ (more )
Structure Level Pattern Image Note
TS28: ductus deferens Present UC Davis_1873146 vas deferens

Specimen UC Davis_1873147: postnatal adult; Cox15tm1.1(KOMP)Vlcg/Cox15+ (more )
Structure Level Pattern Image Note
TS28: ductus deferens Present UC Davis_1873147 vas deferens

Specimen UC Davis_1873149: postnatal adult; Cox15tm1.1(KOMP)Vlcg/Cox15+ (more )
Structure Level Pattern Image Note
TS28: seminal vesicle Present UC Davis_1873149 vesicular gland

Specimen UC Davis_1873150: postnatal adult; Cox15tm1.1(KOMP)Vlcg/Cox15+ (more )
Structure Level Pattern Image Note
TS28: seminal vesicle Present UC Davis_1873150 vesicular gland


Contributing Projects:
Mouse Genome Database (MGD), Gene Expression Database (GXD), Mouse Models of Human Cancer database (MMHCdb) (formerly Mouse Tumor Biology (MTB)), Gene Ontology (GO)
Citing These Resources
Funding Information
Warranty Disclaimer, Privacy Notice, Licensing, & Copyright
Send questions and comments to User Support.
last database update
03/24/2026
MGI 6.24
The Jackson Laboratory