About   Help   FAQ
Gene Expression Data
Assay Details
Assay
Reference: J:228563 Koscielny G, et al., The International Mouse Phenotyping Consortium Web Portal, a unified point of access for knockout mice and related phenotyping data. Nucleic Acids Res. 2014 Jan;42(Database issue):D802-9
Assay type: In situ reporter (knock in)
MGI Accession ID: MGI:6692023
Gene symbol: Mettl28
Gene name: methyltransferase like 28
Reporter: lacZ
Direct Detection
Results
Specimen UC Davis_1866342: postnatal adult; Mettl28tm1.1(KOMP)Vlcg/Mettl28+ (more )
Structure Level Pattern Image Note
TS28: submandibular gland Present UC Davis_1866342

Specimen UC Davis_1866343: postnatal adult; Mettl28tm1.1(KOMP)Vlcg/Mettl28+ (more )
Structure Level Pattern Image Note
TS28: submandibular gland Present UC Davis_1866343

Specimen UC Davis_1866344: postnatal adult; Mettl28tm1.1(KOMP)Vlcg/Mettl28+ (more )
Structure Level Pattern Image Note
TS28: sublingual gland Present UC Davis_1866344

Specimen UC Davis_1866345: postnatal adult; Mettl28tm1.1(KOMP)Vlcg/Mettl28+ (more )
Structure Level Pattern Image Note
TS28: sublingual gland Present UC Davis_1866345

Specimen UC Davis_1866346: postnatal adult; Mettl28tm1.1(KOMP)Vlcg/Mettl28+ (more )
Structure Level Pattern Image Note
TS28: parotid gland Present UC Davis_1866346

Specimen UC Davis_1866347: postnatal adult; Mettl28tm1.1(KOMP)Vlcg/Mettl28+ (more )
Structure Level Pattern Image Note
TS28: parotid gland Present UC Davis_1866347

Specimen UC Davis_1866349: postnatal adult; Mettl28tm1.1(KOMP)Vlcg/Mettl28+ (more )
Structure Level Pattern Image Note
TS28: trachea Present UC Davis_1866349

Specimen UC Davis_1866350: postnatal adult; Mettl28tm1.1(KOMP)Vlcg/Mettl28+ (more )
Structure Level Pattern Image Note
TS28: trachea Present UC Davis_1866350

Specimen UC Davis_1866351: postnatal adult; Mettl28tm1.1(KOMP)Vlcg/Mettl28+ (more )
Structure Level Pattern Image Note
TS28: aorta Present UC Davis_1866351

Specimen UC Davis_1866352: postnatal adult; Mettl28tm1.1(KOMP)Vlcg/Mettl28+ (more )
Structure Level Pattern Image Note
TS28: lung Present UC Davis_1866352

Specimen UC Davis_1866353: postnatal adult; Mettl28tm1.1(KOMP)Vlcg/Mettl28+ (more )
Structure Level Pattern Image Note
TS28: lung Present UC Davis_1866353

Specimen UC Davis_1866354: postnatal adult; Mettl28tm1.1(KOMP)Vlcg/Mettl28+ (more )
Structure Level Pattern Image Note
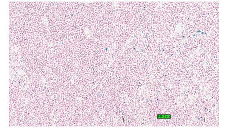
TS28: thymus Present UC Davis_1866354

Specimen UC Davis_1866355: postnatal adult; Mettl28tm1.1(KOMP)Vlcg/Mettl28+ (more )
Structure Level Pattern Image Note
TS28: thymus Present UC Davis_1866355

Specimen UC Davis_1866360: postnatal adult; Mettl28tm1.1(KOMP)Vlcg/Mettl28+ (more )
Structure Level Pattern Image Note
TS28: mesenteric lymph node Present UC Davis_1866360

Specimen UC Davis_1866361: postnatal adult; Mettl28tm1.1(KOMP)Vlcg/Mettl28+ (more )
Structure Level Pattern Image Note
TS28: stomach Present UC Davis_1866361

Specimen UC Davis_1866362: postnatal adult; Mettl28tm1.1(KOMP)Vlcg/Mettl28+ (more )
Structure Level Pattern Image Note
TS28: stomach Present UC Davis_1866362

Specimen UC Davis_1866363: postnatal adult; Mettl28tm1.1(KOMP)Vlcg/Mettl28+ (more )
Structure Level Pattern Image Note
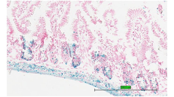
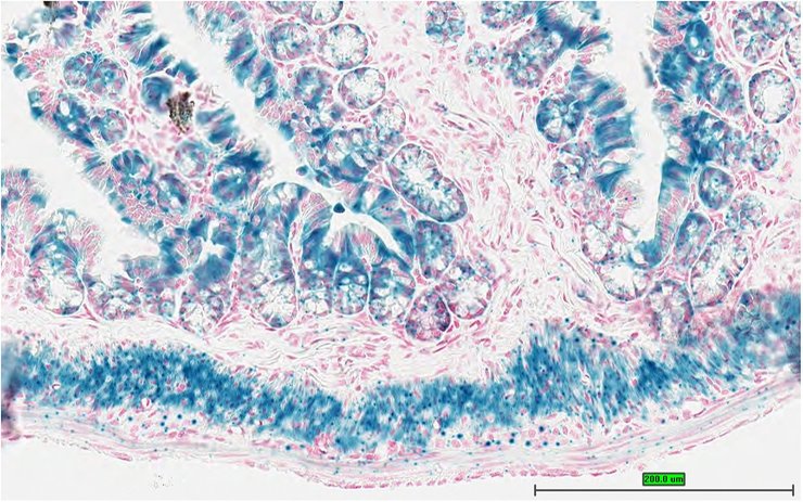
TS28: duodenum Present UC Davis_1866363

Specimen UC Davis_1866364: postnatal adult; Mettl28tm1.1(KOMP)Vlcg/Mettl28+ (more )
Structure Level Pattern Image Note
TS28: duodenum Present UC Davis_1866364

Specimen UC Davis_1866365: postnatal adult; Mettl28tm1.1(KOMP)Vlcg/Mettl28+ (more )
Structure Level Pattern Image Note
TS28: ileum Present UC Davis_1866365

Specimen UC Davis_1866366: postnatal adult; Mettl28tm1.1(KOMP)Vlcg/Mettl28+ (more )
Structure Level Pattern Image Note
TS28: ileum Present UC Davis_1866366

Specimen UC Davis_1866367: postnatal adult; Mettl28tm1.1(KOMP)Vlcg/Mettl28+ (more )
Structure Level Pattern Image Note
TS28: colon Present UC Davis_1866367

Specimen UC Davis_1866368: postnatal adult; Mettl28tm1.1(KOMP)Vlcg/Mettl28+ (more )
Structure Level Pattern Image Note
TS28: colon Present UC Davis_1866368

Specimen UC Davis_1866369: postnatal adult; Mettl28tm1.1(KOMP)Vlcg/Mettl28+ (more )
Structure Level Pattern Image Note
TS28: cecum Present UC Davis_1866369

Specimen UC Davis_1866370: postnatal adult; Mettl28tm1.1(KOMP)Vlcg/Mettl28+ (more )
Structure Level Pattern Image Note
TS28: cecum Present UC Davis_1866370

Specimen UC Davis_1866371: postnatal adult; Mettl28tm1.1(KOMP)Vlcg/Mettl28+ (more )
Structure Level Pattern Image Note
TS28: spleen Present UC Davis_1866371

Specimen UC Davis_1866372: postnatal adult; Mettl28tm1.1(KOMP)Vlcg/Mettl28+ (more )
Structure Level Pattern Image Note
TS28: spleen Present UC Davis_1866372

Specimen UC Davis_1866373: postnatal adult; Mettl28tm1.1(KOMP)Vlcg/Mettl28+ (more )
Structure Level Pattern Image Note
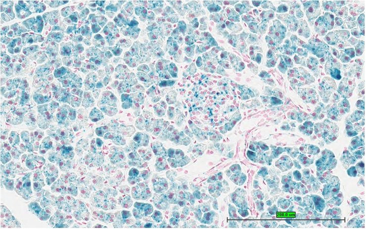
TS28: pancreas Present UC Davis_1866373

Specimen UC Davis_1866374: postnatal adult; Mettl28tm1.1(KOMP)Vlcg/Mettl28+ (more )
Structure Level Pattern Image Note
TS28: pancreas Present UC Davis_1866374

Specimen UC Davis_1866375: postnatal adult; Mettl28tm1.1(KOMP)Vlcg/Mettl28+ (more )
Structure Level Pattern Image Note
TS28: liver Present UC Davis_1866375

Specimen UC Davis_1866376: postnatal adult; Mettl28tm1.1(KOMP)Vlcg/Mettl28+ (more )
Structure Level Pattern Image Note
TS28: liver Present UC Davis_1866376

Specimen UC Davis_1866377: postnatal adult; Mettl28tm1.1(KOMP)Vlcg/Mettl28+ (more )
Structure Level Pattern Image Note
TS28: metanephros Present UC Davis_1866377 kidney

Specimen UC Davis_1866378: postnatal adult; Mettl28tm1.1(KOMP)Vlcg/Mettl28+ (more )
Structure Level Pattern Image Note
TS28: metanephros Present UC Davis_1866378 kidney

Specimen UC Davis_1866379: postnatal adult; Mettl28tm1.1(KOMP)Vlcg/Mettl28+ (more )
Structure Level Pattern Image Note
TS28: metanephros Present UC Davis_1866379 kidney

Specimen UC Davis_1866380: postnatal adult; Mettl28tm1.1(KOMP)Vlcg/Mettl28+ (more )
Structure Level Pattern Image Note
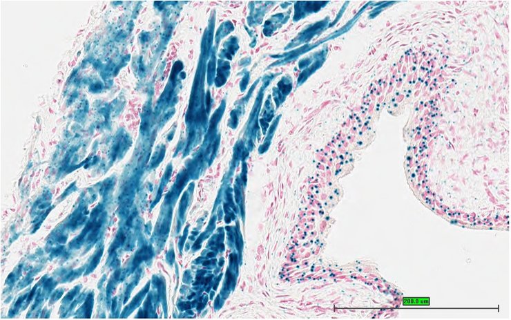
TS28: quadriceps femoris muscle Present UC Davis_1866380

Specimen UC Davis_1866381: postnatal adult; Mettl28tm1.1(KOMP)Vlcg/Mettl28+ (more )
Structure Level Pattern Image Note
TS28: quadriceps femoris muscle Present UC Davis_1866381

Specimen UC Davis_1866382: postnatal adult; Mettl28tm1.1(KOMP)Vlcg/Mettl28+ (more )
Structure Level Pattern Image Note
TS28: sciatic nerve Present UC Davis_1866382

Specimen UC Davis_1866383: postnatal adult; Mettl28tm1.1(KOMP)Vlcg/Mettl28+ (more )
Structure Level Pattern Image Note
TS28: tongue Present UC Davis_1866383

Specimen UC Davis_1866384: postnatal adult; Mettl28tm1.1(KOMP)Vlcg/Mettl28+ (more )
Structure Level Pattern Image Note
TS28: tongue Present UC Davis_1866384

Specimen UC Davis_1866385: postnatal adult; Mettl28tm1.1(KOMP)Vlcg/Mettl28+ (more )
Structure Level Pattern Image Note
TS28: tongue Present UC Davis_1866385

Specimen UC Davis_1866386: postnatal adult; Mettl28tm1.1(KOMP)Vlcg/Mettl28+ (more )
Structure Level Pattern Image Note
TS28: diaphragm Present UC Davis_1866386

Specimen UC Davis_1866387: postnatal adult; Mettl28tm1.1(KOMP)Vlcg/Mettl28+ (more )
Structure Level Pattern Image Note
TS28: adrenal gland Present UC Davis_1866387

Specimen UC Davis_1866388: postnatal adult; Mettl28tm1.1(KOMP)Vlcg/Mettl28+ (more )
Structure Level Pattern Image Note
TS28: adrenal gland Present UC Davis_1866388

Specimen UC Davis_1866389: postnatal adult; Mettl28tm1.1(KOMP)Vlcg/Mettl28+ (more )
Structure Level Pattern Image Note
TS28: adrenal gland Present UC Davis_1866389

Specimen UC Davis_1866390: postnatal adult; Mettl28tm1.1(KOMP)Vlcg/Mettl28+ (more )
Structure Level Pattern Image Note
TS28: pituitary gland Present UC Davis_1866390

Specimen UC Davis_1866391: postnatal adult; Mettl28tm1.1(KOMP)Vlcg/Mettl28+ (more )
Structure Level Pattern Image Note
TS28: pituitary gland Present UC Davis_1866391

Specimen UC Davis_1866392: postnatal adult; Mettl28tm1.1(KOMP)Vlcg/Mettl28+ (more )
Structure Level Pattern Image Note
TS28: spinal cord Present UC Davis_1866392

Specimen UC Davis_1866393: postnatal adult; Mettl28tm1.1(KOMP)Vlcg/Mettl28+ (more )
Structure Level Pattern Image Note
TS28: spinal cord Present UC Davis_1866393

Specimen UC Davis_1866394: postnatal adult; Mettl28tm1.1(KOMP)Vlcg/Mettl28+ (more )
Structure Level Pattern Image Note
TS28: eye Present UC Davis_1866394

Specimen UC Davis_1866397: postnatal adult; Mettl28tm1.1(KOMP)Vlcg/Mettl28+ (more )
Structure Level Pattern Image Note
TS28: Harderian gland Present UC Davis_1866397

Specimen UC Davis_1866398: postnatal adult; Mettl28tm1.1(KOMP)Vlcg/Mettl28+ (more )
Structure Level Pattern Image Note
TS28: Harderian gland Present UC Davis_1866398

Specimen UC Davis_1866399: postnatal adult; Mettl28tm1.1(KOMP)Vlcg/Mettl28+ (more )
Structure Level Pattern Image Note
TS28: gonadal fat pad Present UC Davis_1866399

Specimen UC Davis_1866400: postnatal adult; Mettl28tm1.1(KOMP)Vlcg/Mettl28+ (more )
Structure Level Pattern Image Note
TS28: gonadal fat pad Present UC Davis_1866400

Specimen UC Davis_1866401: postnatal adult; Mettl28tm1.1(KOMP)Vlcg/Mettl28+ (more )
Structure Level Pattern Image Note
TS28: mesenteric adipose tissue Present UC Davis_1866401

Specimen UC Davis_1866402: postnatal adult; Mettl28tm1.1(KOMP)Vlcg/Mettl28+ (more )
Structure Level Pattern Image Note
TS28: mesenteric adipose tissue Present UC Davis_1866402

Specimen UC Davis_1866403: postnatal adult; Mettl28tm1.1(KOMP)Vlcg/Mettl28+ (more )
Structure Level Pattern Image Note
TS28: skin Present UC Davis_1866403

Specimen UC Davis_1866404: postnatal adult; Mettl28tm1.1(KOMP)Vlcg/Mettl28+ (more )
Structure Level Pattern Image Note
TS28: skin Present UC Davis_1866404

Specimen UC Davis_1866405: postnatal adult; Mettl28tm1.1(KOMP)Vlcg/Mettl28+ (more )
Structure Level Pattern Image Note
TS28: brown fat Present UC Davis_1866405

Specimen UC Davis_1866406: postnatal adult; Mettl28tm1.1(KOMP)Vlcg/Mettl28+ (more )
Structure Level Pattern Image Note
TS28: brown fat Present UC Davis_1866406

Specimen UC Davis_1866407: postnatal adult; Mettl28tm1.1(KOMP)Vlcg/Mettl28+ (more )
Structure Level Pattern Image Note
TS28: olfactory lobe Present UC Davis_1866407

Specimen UC Davis_1866410: postnatal adult; Mettl28tm1.1(KOMP)Vlcg/Mettl28+ (more )
Structure Level Pattern Image Note
TS28: midbrain Present UC Davis_1866410

Specimen UC Davis_1866412: postnatal adult; Mettl28tm1.1(KOMP)Vlcg/Mettl28+ (more )
Structure Level Pattern Image Note
TS28: cerebellum Present UC Davis_1866412

Specimen UC Davis_1866413: postnatal adult; Mettl28tm1.1(KOMP)Vlcg/Mettl28+ (more )
Structure Level Pattern Image Note
TS28: trigeminal nerve Present UC Davis_1866413

Specimen UC Davis_1866414: postnatal adult; Mettl28tm1.1(KOMP)Vlcg/Mettl28+ (more )
Structure Level Pattern Image Note
TS28: trigeminal nerve Present UC Davis_1866414

Specimen UC Davis_1866415: postnatal adult; Mettl28tm1.1(KOMP)Vlcg/Mettl28+ (more )
Structure Level Pattern Image Note
TS28: ovary Present UC Davis_1866415

Specimen UC Davis_1866416: postnatal adult; Mettl28tm1.1(KOMP)Vlcg/Mettl28+ (more )
Structure Level Pattern Image Note
TS28: ovary Present UC Davis_1866416

Specimen UC Davis_1866417: postnatal adult; Mettl28tm1.1(KOMP)Vlcg/Mettl28+ (more )
Structure Level Pattern Image Note
TS28: oviduct Present UC Davis_1866417

Specimen UC Davis_1866418: postnatal adult; Mettl28tm1.1(KOMP)Vlcg/Mettl28+ (more )
Structure Level Pattern Image Note
TS28: oviduct Present UC Davis_1866418

Specimen UC Davis_1866419: postnatal adult; Mettl28tm1.1(KOMP)Vlcg/Mettl28+ (more )
Structure Level Pattern Image Note
TS28: uterus Present UC Davis_1866419

Specimen UC Davis_1866420: postnatal adult; Mettl28tm1.1(KOMP)Vlcg/Mettl28+ (more )
Structure Level Pattern Image Note
TS28: uterus Present UC Davis_1866420

Specimen UC Davis_1866421: postnatal adult; Mettl28tm1.1(KOMP)Vlcg/Mettl28+ (more )
Structure Level Pattern Image Note
TS28: bone marrow Present UC Davis_1866421

Specimen UC Davis_1866422: postnatal adult; Mettl28tm1.1(KOMP)Vlcg/Mettl28+ (more )
Structure Level Pattern Image Note
TS28: bone marrow Present UC Davis_1866422

Specimen UC Davis_1866425: postnatal adult; Mettl28tm1.1(KOMP)Vlcg/Mettl28+ (more )
Structure Level Pattern Image Note
TS28: mammary gland Present UC Davis_1866425

Specimen UC Davis_1866426: postnatal adult; Mettl28tm1.1(KOMP)Vlcg/Mettl28+ (more )
Structure Level Pattern Image Note
TS28: mammary gland Present UC Davis_1866426

Specimen UC Davis_1866239: postnatal adult; Mettl28tm1.1(KOMP)Vlcg/Mettl28+ (more )
Structure Level Pattern Image Note
TS28: submandibular gland Present UC Davis_1866239

Specimen UC Davis_1866240: postnatal adult; Mettl28tm1.1(KOMP)Vlcg/Mettl28+ (more )
Structure Level Pattern Image Note
TS28: submandibular gland Present UC Davis_1866240

Specimen UC Davis_1866241: postnatal adult; Mettl28tm1.1(KOMP)Vlcg/Mettl28+ (more )
Structure Level Pattern Image Note
TS28: sublingual gland Present UC Davis_1866241

Specimen UC Davis_1866242: postnatal adult; Mettl28tm1.1(KOMP)Vlcg/Mettl28+ (more )
Structure Level Pattern Image Note
TS28: sublingual gland Present UC Davis_1866242

Specimen UC Davis_1866243: postnatal adult; Mettl28tm1.1(KOMP)Vlcg/Mettl28+ (more )
Structure Level Pattern Image Note
TS28: parotid gland Present UC Davis_1866243

Specimen UC Davis_1866245: postnatal adult; Mettl28tm1.1(KOMP)Vlcg/Mettl28+ (more )
Structure Level Pattern Image Note
TS28: trachea Present UC Davis_1866245

Specimen UC Davis_1866246: postnatal adult; Mettl28tm1.1(KOMP)Vlcg/Mettl28+ (more )
Structure Level Pattern Image Note
TS28: trachea Present UC Davis_1866246

Specimen UC Davis_1866247: postnatal adult; Mettl28tm1.1(KOMP)Vlcg/Mettl28+ (more )
Structure Level Pattern Image Note
TS28: esophagus Present UC Davis_1866247

Specimen UC Davis_1866248: postnatal adult; Mettl28tm1.1(KOMP)Vlcg/Mettl28+ (more )
Structure Level Pattern Image Note
TS28: esophagus Present UC Davis_1866248

Specimen UC Davis_1866249: postnatal adult; Mettl28tm1.1(KOMP)Vlcg/Mettl28+ (more )
Structure Level Pattern Image Note
TS28: thyroid gland Present UC Davis_1866249

Specimen UC Davis_1866252: postnatal adult; Mettl28tm1.1(KOMP)Vlcg/Mettl28+ (more )
Structure Level Pattern Image Note
TS28: aorta Present UC Davis_1866252

Specimen UC Davis_1866253: postnatal adult; Mettl28tm1.1(KOMP)Vlcg/Mettl28+ (more )
Structure Level Pattern Image Note
TS28: lung Present UC Davis_1866253

Specimen UC Davis_1866254: postnatal adult; Mettl28tm1.1(KOMP)Vlcg/Mettl28+ (more )
Structure Level Pattern Image Note
TS28: lung Present UC Davis_1866254

Specimen UC Davis_1866255: postnatal adult; Mettl28tm1.1(KOMP)Vlcg/Mettl28+ (more )
Structure Level Pattern Image Note
TS28: lung Present UC Davis_1866255

Specimen UC Davis_1866256: postnatal adult; Mettl28tm1.1(KOMP)Vlcg/Mettl28+ (more )
Structure Level Pattern Image Note
TS28: thymus Present UC Davis_1866256

Specimen UC Davis_1866257: postnatal adult; Mettl28tm1.1(KOMP)Vlcg/Mettl28+ (more )
Structure Level Pattern Image Note
TS28: thymus Present UC Davis_1866257

Specimen UC Davis_1866261: postnatal adult; Mettl28tm1.1(KOMP)Vlcg/Mettl28+ (more )
Structure Level Pattern Image Note
TS28: mesenteric lymph node Present UC Davis_1866261

Specimen UC Davis_1866262: postnatal adult; Mettl28tm1.1(KOMP)Vlcg/Mettl28+ (more )
Structure Level Pattern Image Note
TS28: stomach Present UC Davis_1866262

Specimen UC Davis_1866263: postnatal adult; Mettl28tm1.1(KOMP)Vlcg/Mettl28+ (more )
Structure Level Pattern Image Note
TS28: stomach Present UC Davis_1866263

Specimen UC Davis_1866264: postnatal adult; Mettl28tm1.1(KOMP)Vlcg/Mettl28+ (more )
Structure Level Pattern Image Note
TS28: stomach Present UC Davis_1866264

Specimen UC Davis_1866265: postnatal adult; Mettl28tm1.1(KOMP)Vlcg/Mettl28+ (more )
Structure Level Pattern Image Note
TS28: duodenum Present UC Davis_1866265

Specimen UC Davis_1866266: postnatal adult; Mettl28tm1.1(KOMP)Vlcg/Mettl28+ (more )
Structure Level Pattern Image Note
TS28: duodenum Present UC Davis_1866266

Specimen UC Davis_1866267: postnatal adult; Mettl28tm1.1(KOMP)Vlcg/Mettl28+ (more )
Structure Level Pattern Image Note
TS28: ileum Present UC Davis_1866267

Specimen UC Davis_1866268: postnatal adult; Mettl28tm1.1(KOMP)Vlcg/Mettl28+ (more )
Structure Level Pattern Image Note
TS28: ileum Present UC Davis_1866268

Specimen UC Davis_1866269: postnatal adult; Mettl28tm1.1(KOMP)Vlcg/Mettl28+ (more )
Structure Level Pattern Image Note
TS28: colon Present UC Davis_1866269

Specimen UC Davis_1866270: postnatal adult; Mettl28tm1.1(KOMP)Vlcg/Mettl28+ (more )
Structure Level Pattern Image Note
TS28: colon Present UC Davis_1866270

Specimen UC Davis_1866271: postnatal adult; Mettl28tm1.1(KOMP)Vlcg/Mettl28+ (more )
Structure Level Pattern Image Note
TS28: cecum Present UC Davis_1866271

Specimen UC Davis_1866272: postnatal adult; Mettl28tm1.1(KOMP)Vlcg/Mettl28+ (more )
Structure Level Pattern Image Note
TS28: spleen Present UC Davis_1866272

Specimen UC Davis_1866273: postnatal adult; Mettl28tm1.1(KOMP)Vlcg/Mettl28+ (more )
Structure Level Pattern Image Note
TS28: spleen Present UC Davis_1866273

Specimen UC Davis_1866274: postnatal adult; Mettl28tm1.1(KOMP)Vlcg/Mettl28+ (more )
Structure Level Pattern Image Note
TS28: spleen Present UC Davis_1866274

Specimen UC Davis_1866275: postnatal adult; Mettl28tm1.1(KOMP)Vlcg/Mettl28+ (more )
Structure Level Pattern Image Note
TS28: spleen Present UC Davis_1866275

Specimen UC Davis_1866276: postnatal adult; Mettl28tm1.1(KOMP)Vlcg/Mettl28+ (more )
Structure Level Pattern Image Note
TS28: pancreas Present UC Davis_1866276

Specimen UC Davis_1866277: postnatal adult; Mettl28tm1.1(KOMP)Vlcg/Mettl28+ (more )
Structure Level Pattern Image Note
TS28: pancreas Present UC Davis_1866277

Specimen UC Davis_1866278: postnatal adult; Mettl28tm1.1(KOMP)Vlcg/Mettl28+ (more )
Structure Level Pattern Image Note
TS28: liver Present UC Davis_1866278

Specimen UC Davis_1866279: postnatal adult; Mettl28tm1.1(KOMP)Vlcg/Mettl28+ (more )
Structure Level Pattern Image Note
TS28: liver Present UC Davis_1866279

Specimen UC Davis_1866280: postnatal adult; Mettl28tm1.1(KOMP)Vlcg/Mettl28+ (more )
Structure Level Pattern Image Note
TS28: liver Present UC Davis_1866280

Specimen UC Davis_1866281: postnatal adult; Mettl28tm1.1(KOMP)Vlcg/Mettl28+ (more )
Structure Level Pattern Image Note
TS28: metanephros Present UC Davis_1866281 kidney

Specimen UC Davis_1866282: postnatal adult; Mettl28tm1.1(KOMP)Vlcg/Mettl28+ (more )
Structure Level Pattern Image Note
TS28: metanephros Present UC Davis_1866282 kidney

Specimen UC Davis_1866283: postnatal adult; Mettl28tm1.1(KOMP)Vlcg/Mettl28+ (more )
Structure Level Pattern Image Note
TS28: metanephros Present UC Davis_1866283 kidney

Specimen UC Davis_1866284: postnatal adult; Mettl28tm1.1(KOMP)Vlcg/Mettl28+ (more )
Structure Level Pattern Image Note
TS28: metanephros Present UC Davis_1866284 kidney

Specimen UC Davis_1866285: postnatal adult; Mettl28tm1.1(KOMP)Vlcg/Mettl28+ (more )
Structure Level Pattern Image Note
TS28: metanephros Present UC Davis_1866285 kidney

Specimen UC Davis_1866286: postnatal adult; Mettl28tm1.1(KOMP)Vlcg/Mettl28+ (more )
Structure Level Pattern Image Note
TS28: metanephros Present UC Davis_1866286 kidney

Specimen UC Davis_1866287: postnatal adult; Mettl28tm1.1(KOMP)Vlcg/Mettl28+ (more )
Structure Level Pattern Image Note
TS28: quadriceps femoris muscle Present UC Davis_1866287

Specimen UC Davis_1866288: postnatal adult; Mettl28tm1.1(KOMP)Vlcg/Mettl28+ (more )
Structure Level Pattern Image Note
TS28: quadriceps femoris muscle Present UC Davis_1866288

Specimen UC Davis_1866289: postnatal adult; Mettl28tm1.1(KOMP)Vlcg/Mettl28+ (more )
Structure Level Pattern Image Note
TS28: sciatic nerve Present UC Davis_1866289

Specimen UC Davis_1866290: postnatal adult; Mettl28tm1.1(KOMP)Vlcg/Mettl28+ (more )
Structure Level Pattern Image Note
TS28: tongue Present UC Davis_1866290

Specimen UC Davis_1866291: postnatal adult; Mettl28tm1.1(KOMP)Vlcg/Mettl28+ (more )
Structure Level Pattern Image Note
TS28: tongue Present UC Davis_1866291

Specimen UC Davis_1866292: postnatal adult; Mettl28tm1.1(KOMP)Vlcg/Mettl28+ (more )
Structure Level Pattern Image Note
TS28: tongue Present UC Davis_1866292

Specimen UC Davis_1866293: postnatal adult; Mettl28tm1.1(KOMP)Vlcg/Mettl28+ (more )
Structure Level Pattern Image Note
TS28: diaphragm Present UC Davis_1866293

Specimen UC Davis_1866294: postnatal adult; Mettl28tm1.1(KOMP)Vlcg/Mettl28+ (more )
Structure Level Pattern Image Note
TS28: adrenal gland Present UC Davis_1866294

Specimen UC Davis_1866295: postnatal adult; Mettl28tm1.1(KOMP)Vlcg/Mettl28+ (more )
Structure Level Pattern Image Note
TS28: pituitary gland Present UC Davis_1866295

Specimen UC Davis_1866296: postnatal adult; Mettl28tm1.1(KOMP)Vlcg/Mettl28+ (more )
Structure Level Pattern Image Note
TS28: pituitary gland Present UC Davis_1866296

Specimen UC Davis_1866297: postnatal adult; Mettl28tm1.1(KOMP)Vlcg/Mettl28+ (more )
Structure Level Pattern Image Note
TS28: pituitary gland Present UC Davis_1866297

Specimen UC Davis_1866298: postnatal adult; Mettl28tm1.1(KOMP)Vlcg/Mettl28+ (more )
Structure Level Pattern Image Note
TS28: spinal cord Present UC Davis_1866298

Specimen UC Davis_1866299: postnatal adult; Mettl28tm1.1(KOMP)Vlcg/Mettl28+ (more )
Structure Level Pattern Image Note
TS28: spinal cord Present UC Davis_1866299

Specimen UC Davis_1866300: postnatal adult; Mettl28tm1.1(KOMP)Vlcg/Mettl28+ (more )
Structure Level Pattern Image Note
TS28: eye Present UC Davis_1866300

Specimen UC Davis_1866301: postnatal adult; Mettl28tm1.1(KOMP)Vlcg/Mettl28+ (more )
Structure Level Pattern Image Note
TS28: eye Present UC Davis_1866301

Specimen UC Davis_1866302: postnatal adult; Mettl28tm1.1(KOMP)Vlcg/Mettl28+ (more )
Structure Level Pattern Image Note
TS28: eye Present UC Davis_1866302

Specimen UC Davis_1866303: postnatal adult; Mettl28tm1.1(KOMP)Vlcg/Mettl28+ (more )
Structure Level Pattern Image Note
TS28: eye Present UC Davis_1866303

Specimen UC Davis_1866304: postnatal adult; Mettl28tm1.1(KOMP)Vlcg/Mettl28+ (more )
Structure Level Pattern Image Note
TS28: eye Present UC Davis_1866304

Specimen UC Davis_1866305: postnatal adult; Mettl28tm1.1(KOMP)Vlcg/Mettl28+ (more )
Structure Level Pattern Image Note
TS28: Harderian gland Present UC Davis_1866305

Specimen UC Davis_1866306: postnatal adult; Mettl28tm1.1(KOMP)Vlcg/Mettl28+ (more )
Structure Level Pattern Image Note
TS28: gonadal fat pad Present UC Davis_1866306

Specimen UC Davis_1866307: postnatal adult; Mettl28tm1.1(KOMP)Vlcg/Mettl28+ (more )
Structure Level Pattern Image Note
TS28: mesenteric adipose tissue Present UC Davis_1866307

Specimen UC Davis_1866308: postnatal adult; Mettl28tm1.1(KOMP)Vlcg/Mettl28+ (more )
Structure Level Pattern Image Note
TS28: skin Present UC Davis_1866308

Specimen UC Davis_1866309: postnatal adult; Mettl28tm1.1(KOMP)Vlcg/Mettl28+ (more )
Structure Level Pattern Image Note
TS28: skin Present UC Davis_1866309

Specimen UC Davis_1866310: postnatal adult; Mettl28tm1.1(KOMP)Vlcg/Mettl28+ (more )
Structure Level Pattern Image Note
TS28: brown fat Present UC Davis_1866310

Specimen UC Davis_1866311: postnatal adult; Mettl28tm1.1(KOMP)Vlcg/Mettl28+ (more )
Structure Level Pattern Image Note
TS28: brown fat Present UC Davis_1866311

Specimen UC Davis_1866312: postnatal adult; Mettl28tm1.1(KOMP)Vlcg/Mettl28+ (more )
Structure Level Pattern Image Note
TS28: brown fat Present UC Davis_1866312

Specimen UC Davis_1866313: postnatal adult; Mettl28tm1.1(KOMP)Vlcg/Mettl28+ (more )
Structure Level Pattern Image Note
TS28: olfactory lobe Present UC Davis_1866313

Specimen UC Davis_1866317: postnatal adult; Mettl28tm1.1(KOMP)Vlcg/Mettl28+ (more )
Structure Level Pattern Image Note
TS28: midbrain Present UC Davis_1866317

Specimen UC Davis_1866319: postnatal adult; Mettl28tm1.1(KOMP)Vlcg/Mettl28+ (more )
Structure Level Pattern Image Note
TS28: cerebellum Present UC Davis_1866319

Specimen UC Davis_1866320: postnatal adult; Mettl28tm1.1(KOMP)Vlcg/Mettl28+ (more )
Structure Level Pattern Image Note
TS28: trigeminal nerve Present UC Davis_1866320

Specimen UC Davis_1866321: postnatal adult; Mettl28tm1.1(KOMP)Vlcg/Mettl28+ (more )
Structure Level Pattern Image Note
TS28: trigeminal nerve Present UC Davis_1866321

Specimen UC Davis_1866322: postnatal adult; Mettl28tm1.1(KOMP)Vlcg/Mettl28+ (more )
Structure Level Pattern Image Note
TS28: bladder Present UC Davis_1866322

Specimen UC Davis_1866323: postnatal adult; Mettl28tm1.1(KOMP)Vlcg/Mettl28+ (more )
Structure Level Pattern Image Note
TS28: bladder Present UC Davis_1866323

Specimen UC Davis_1866324: postnatal adult; Mettl28tm1.1(KOMP)Vlcg/Mettl28+ (more )
Structure Level Pattern Image Note
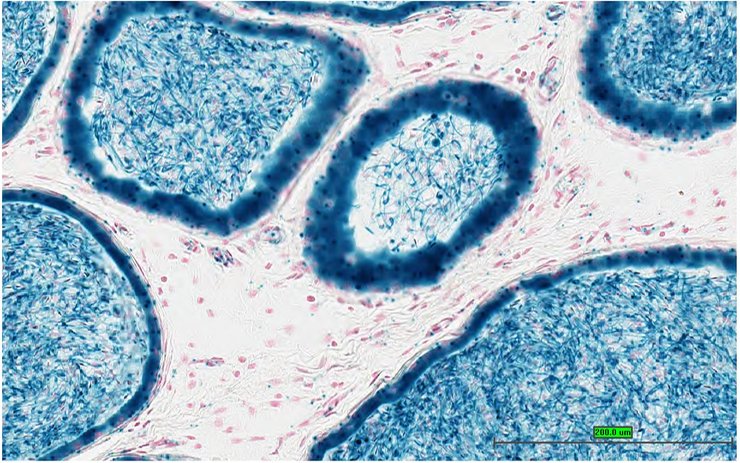
TS28: testis Present UC Davis_1866324

Specimen UC Davis_1866325: postnatal adult; Mettl28tm1.1(KOMP)Vlcg/Mettl28+ (more )
Structure Level Pattern Image Note
TS28: testis Present UC Davis_1866325

Specimen UC Davis_1866326: postnatal adult; Mettl28tm1.1(KOMP)Vlcg/Mettl28+ (more )
Structure Level Pattern Image Note
TS28: epididymis Present UC Davis_1866326

Specimen UC Davis_1866327: postnatal adult; Mettl28tm1.1(KOMP)Vlcg/Mettl28+ (more )
Structure Level Pattern Image Note
TS28: epididymis Present UC Davis_1866327

Specimen UC Davis_1866328: postnatal adult; Mettl28tm1.1(KOMP)Vlcg/Mettl28+ (more )
Structure Level Pattern Image Note
TS28: prostate gland Present UC Davis_1866328

Specimen UC Davis_1866329: postnatal adult; Mettl28tm1.1(KOMP)Vlcg/Mettl28+ (more )
Structure Level Pattern Image Note
TS28: prostate gland Present UC Davis_1866329

Specimen UC Davis_1866330: postnatal adult; Mettl28tm1.1(KOMP)Vlcg/Mettl28+ (more )
Structure Level Pattern Image Note
TS28: penis Present UC Davis_1866330

Specimen UC Davis_1866331: postnatal adult; Mettl28tm1.1(KOMP)Vlcg/Mettl28+ (more )
Structure Level Pattern Image Note
TS28: penis Present UC Davis_1866331

Specimen UC Davis_1866332: postnatal adult; Mettl28tm1.1(KOMP)Vlcg/Mettl28+ (more )
Structure Level Pattern Image Note
TS28: penis Present UC Davis_1866332

Specimen UC Davis_1866334: postnatal adult; Mettl28tm1.1(KOMP)Vlcg/Mettl28+ (more )
Structure Level Pattern Image Note
TS28: bone marrow Present UC Davis_1866334

Specimen UC Davis_1866335: postnatal adult; Mettl28tm1.1(KOMP)Vlcg/Mettl28+ (more )
Structure Level Pattern Image Note
TS28: bone marrow Present UC Davis_1866335

Specimen UC Davis_1866336: postnatal adult; Mettl28tm1.1(KOMP)Vlcg/Mettl28+ (more )
Structure Level Pattern Image Note
TS28: ductus deferens Present UC Davis_1866336 vas deferens

Specimen UC Davis_1866337: postnatal adult; Mettl28tm1.1(KOMP)Vlcg/Mettl28+ (more )
Structure Level Pattern Image Note
TS28: ductus deferens Present UC Davis_1866337 vas deferens

Specimen UC Davis_1866340: postnatal adult; Mettl28tm1.1(KOMP)Vlcg/Mettl28+ (more )
Structure Level Pattern Image Note
TS28: seminal vesicle Present UC Davis_1866340 vesicular gland

Specimen UC Davis_1866341: postnatal adult; Mettl28tm1.1(KOMP)Vlcg/Mettl28+ (more )
Structure Level Pattern Image Note
TS28: seminal vesicle Present UC Davis_1866341 vesicular gland


Contributing Projects:
Mouse Genome Database (MGD), Gene Expression Database (GXD), Mouse Models of Human Cancer database (MMHCdb) (formerly Mouse Tumor Biology (MTB)), Gene Ontology (GO)
Citing These Resources
Funding Information
Warranty Disclaimer, Privacy Notice, Licensing, & Copyright
Send questions and comments to User Support.
last database update
01/28/2026
MGI 6.24
The Jackson Laboratory