About   Help   FAQ
Gene Expression Data
Assay Details
Assay
Reference: J:228563 Koscielny G, et al., The International Mouse Phenotyping Consortium Web Portal, a unified point of access for knockout mice and related phenotyping data. Nucleic Acids Res. 2014 Jan;42(Database issue):D802-9
Assay type: In situ reporter (knock in)
MGI Accession ID: MGI:6691995
Gene symbol: Tmub2
Gene name: transmembrane and ubiquitin-like domain containing 2
Reporter: lacZ
Direct Detection
Results
Specimen UC Davis_1889397: postnatal adult; Tmub2tm1b(KOMP)Wtsi/Tmub2+ (more )
Structure Level Pattern Image Note
TS28: submandibular gland Present UC Davis_1889397

Specimen UC Davis_1889398: postnatal adult; Tmub2tm1b(KOMP)Wtsi/Tmub2+ (more )
Structure Level Pattern Image Note
TS28: submandibular gland Present UC Davis_1889398

Specimen UC Davis_1889399: postnatal adult; Tmub2tm1b(KOMP)Wtsi/Tmub2+ (more )
Structure Level Pattern Image Note
TS28: sublingual gland Present UC Davis_1889399

Specimen UC Davis_1889400: postnatal adult; Tmub2tm1b(KOMP)Wtsi/Tmub2+ (more )
Structure Level Pattern Image Note
TS28: parotid gland Present UC Davis_1889400

Specimen UC Davis_1889402: postnatal adult; Tmub2tm1b(KOMP)Wtsi/Tmub2+ (more )
Structure Level Pattern Image Note
TS28: trachea Present UC Davis_1889402

Specimen UC Davis_1889403: postnatal adult; Tmub2tm1b(KOMP)Wtsi/Tmub2+ (more )
Structure Level Pattern Image Note
TS28: esophagus Present UC Davis_1889403

Specimen UC Davis_1889404: postnatal adult; Tmub2tm1b(KOMP)Wtsi/Tmub2+ (more )
Structure Level Pattern Image Note
TS28: esophagus Present UC Davis_1889404

Specimen UC Davis_1889405: postnatal adult; Tmub2tm1b(KOMP)Wtsi/Tmub2+ (more )
Structure Level Pattern Image Note
TS28: thyroid gland Present UC Davis_1889405

Specimen UC Davis_1889406: postnatal adult; Tmub2tm1b(KOMP)Wtsi/Tmub2+ (more )
Structure Level Pattern Image Note
TS28: aorta Present UC Davis_1889406

Specimen UC Davis_1889407: postnatal adult; Tmub2tm1b(KOMP)Wtsi/Tmub2+ (more )
Structure Level Pattern Image Note
TS28: lung Present UC Davis_1889407

Specimen UC Davis_1889408: postnatal adult; Tmub2tm1b(KOMP)Wtsi/Tmub2+ (more )
Structure Level Pattern Image Note
TS28: lung Present UC Davis_1889408

Specimen UC Davis_1889412: postnatal adult; Tmub2tm1b(KOMP)Wtsi/Tmub2+ (more )
Structure Level Pattern Image Note
TS28: mesenteric lymph node Present UC Davis_1889412

Specimen UC Davis_1889413: postnatal adult; Tmub2tm1b(KOMP)Wtsi/Tmub2+ (more )
Structure Level Pattern Image Note
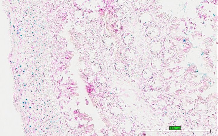
TS28: stomach Present UC Davis_1889413

Specimen UC Davis_1889414: postnatal adult; Tmub2tm1b(KOMP)Wtsi/Tmub2+ (more )
Structure Level Pattern Image Note
TS28: stomach Present UC Davis_1889414

Specimen UC Davis_1889415: postnatal adult; Tmub2tm1b(KOMP)Wtsi/Tmub2+ (more )
Structure Level Pattern Image Note
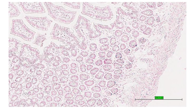
TS28: ileum Present UC Davis_1889415

Specimen UC Davis_1889416: postnatal adult; Tmub2tm1b(KOMP)Wtsi/Tmub2+ (more )
Structure Level Pattern Image Note
TS28: colon Present UC Davis_1889416

Specimen UC Davis_1889417: postnatal adult; Tmub2tm1b(KOMP)Wtsi/Tmub2+ (more )
Structure Level Pattern Image Note
TS28: pancreas Present UC Davis_1889417

Specimen UC Davis_1889418: postnatal adult; Tmub2tm1b(KOMP)Wtsi/Tmub2+ (more )
Structure Level Pattern Image Note
TS28: metanephros Present UC Davis_1889418 kidney

Specimen UC Davis_1889419: postnatal adult; Tmub2tm1b(KOMP)Wtsi/Tmub2+ (more )
Structure Level Pattern Image Note
TS28: metanephros Present UC Davis_1889419 kidney

Specimen UC Davis_1889420: postnatal adult; Tmub2tm1b(KOMP)Wtsi/Tmub2+ (more )
Structure Level Pattern Image Note
TS28: metanephros Present UC Davis_1889420 kidney

Specimen UC Davis_1889421: postnatal adult; Tmub2tm1b(KOMP)Wtsi/Tmub2+ (more )
Structure Level Pattern Image Note
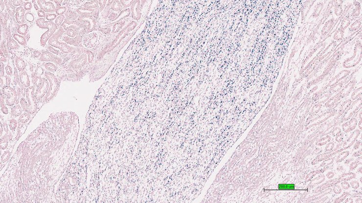
TS28: quadriceps femoris muscle Present UC Davis_1889421

Specimen UC Davis_1889422: postnatal adult; Tmub2tm1b(KOMP)Wtsi/Tmub2+ (more )
Structure Level Pattern Image Note
TS28: tongue Present UC Davis_1889422

Specimen UC Davis_1889423: postnatal adult; Tmub2tm1b(KOMP)Wtsi/Tmub2+ (more )
Structure Level Pattern Image Note
TS28: adrenal gland Present UC Davis_1889423

Specimen UC Davis_1889424: postnatal adult; Tmub2tm1b(KOMP)Wtsi/Tmub2+ (more )
Structure Level Pattern Image Note
TS28: spinal cord Present UC Davis_1889424

Specimen UC Davis_1889425: postnatal adult; Tmub2tm1b(KOMP)Wtsi/Tmub2+ (more )
Structure Level Pattern Image Note
TS28: spinal cord Present UC Davis_1889425

Specimen UC Davis_1889426: postnatal adult; Tmub2tm1b(KOMP)Wtsi/Tmub2+ (more )
Structure Level Pattern Image Note
TS28: eye Present UC Davis_1889426

Specimen UC Davis_1889427: postnatal adult; Tmub2tm1b(KOMP)Wtsi/Tmub2+ (more )
Structure Level Pattern Image Note
TS28: eye Present UC Davis_1889427

Specimen UC Davis_1889428: postnatal adult; Tmub2tm1b(KOMP)Wtsi/Tmub2+ (more )
Structure Level Pattern Image Note
TS28: eye Present UC Davis_1889428

Specimen UC Davis_1889429: postnatal adult; Tmub2tm1b(KOMP)Wtsi/Tmub2+ (more )
Structure Level Pattern Image Note
TS28: Harderian gland Present UC Davis_1889429

Specimen UC Davis_1889430: postnatal adult; Tmub2tm1b(KOMP)Wtsi/Tmub2+ (more )
Structure Level Pattern Image Note
TS28: gonadal fat pad Present UC Davis_1889430

Specimen UC Davis_1889431: postnatal adult; Tmub2tm1b(KOMP)Wtsi/Tmub2+ (more )
Structure Level Pattern Image Note
TS28: mesenteric adipose tissue Present UC Davis_1889431

Specimen UC Davis_1889432: postnatal adult; Tmub2tm1b(KOMP)Wtsi/Tmub2+ (more )
Structure Level Pattern Image Note
TS28: skin Present UC Davis_1889432

Specimen UC Davis_1889433: postnatal adult; Tmub2tm1b(KOMP)Wtsi/Tmub2+ (more )
Structure Level Pattern Image Note
TS28: skin Present UC Davis_1889433

Specimen UC Davis_1889434: postnatal adult; Tmub2tm1b(KOMP)Wtsi/Tmub2+ (more )
Structure Level Pattern Image Note
TS28: brown fat Present UC Davis_1889434

Specimen UC Davis_1889435: postnatal adult; Tmub2tm1b(KOMP)Wtsi/Tmub2+ (more )
Structure Level Pattern Image Note
TS28: olfactory lobe Present UC Davis_1889435

Specimen UC Davis_1889439: postnatal adult; Tmub2tm1b(KOMP)Wtsi/Tmub2+ (more )
Structure Level Pattern Image Note
TS28: midbrain Present UC Davis_1889439

Specimen UC Davis_1889441: postnatal adult; Tmub2tm1b(KOMP)Wtsi/Tmub2+ (more )
Structure Level Pattern Image Note
TS28: cerebellum Present UC Davis_1889441

Specimen UC Davis_1889442: postnatal adult; Tmub2tm1b(KOMP)Wtsi/Tmub2+ (more )
Structure Level Pattern Image Note
TS28: trigeminal nerve Present UC Davis_1889442

Specimen UC Davis_1889443: postnatal adult; Tmub2tm1b(KOMP)Wtsi/Tmub2+ (more )
Structure Level Pattern Image Note
TS28: ovary Present UC Davis_1889443

Specimen UC Davis_1889444: postnatal adult; Tmub2tm1b(KOMP)Wtsi/Tmub2+ (more )
Structure Level Pattern Image Note
TS28: ovary Present UC Davis_1889444

Specimen UC Davis_1889445: postnatal adult; Tmub2tm1b(KOMP)Wtsi/Tmub2+ (more )
Structure Level Pattern Image Note
TS28: oviduct Present UC Davis_1889445

Specimen UC Davis_1889446: postnatal adult; Tmub2tm1b(KOMP)Wtsi/Tmub2+ (more )
Structure Level Pattern Image Note
TS28: uterus Present UC Davis_1889446

Specimen UC Davis_1889447: postnatal adult; Tmub2tm1b(KOMP)Wtsi/Tmub2+ (more )
Structure Level Pattern Image Note
TS28: uterus Present UC Davis_1889447

Specimen UC Davis_1889448: postnatal adult; Tmub2tm1b(KOMP)Wtsi/Tmub2+ (more )
Structure Level Pattern Image Note
TS28: vagina Present UC Davis_1889448

Specimen UC Davis_1889449: postnatal adult; Tmub2tm1b(KOMP)Wtsi/Tmub2+ (more )
Structure Level Pattern Image Note
TS28: bladder Present UC Davis_1889449

Specimen UC Davis_1889450: postnatal adult; Tmub2tm1b(KOMP)Wtsi/Tmub2+ (more )
Structure Level Pattern Image Note
TS28: mammary gland Present UC Davis_1889450

Specimen UC Davis_1889451: postnatal adult; Tmub2tm1b(KOMP)Wtsi/Tmub2+ (more )
Structure Level Pattern Image Note
TS28: mammary gland Present UC Davis_1889451

Specimen UC Davis_1889452: postnatal adult; Tmub2tm1b(KOMP)Wtsi/Tmub2+ (more )
Structure Level Pattern Image Note
TS28: mammary gland Present UC Davis_1889452

Specimen UC Davis_1889353: postnatal adult; Tmub2tm1b(KOMP)Wtsi/Tmub2+ (more )
Structure Level Pattern Image Note
TS28: sublingual gland Present UC Davis_1889353

Specimen UC Davis_1889354: postnatal adult; Tmub2tm1b(KOMP)Wtsi/Tmub2+ (more )
Structure Level Pattern Image Note
TS28: trachea Present UC Davis_1889354

Specimen UC Davis_1889355: postnatal adult; Tmub2tm1b(KOMP)Wtsi/Tmub2+ (more )
Structure Level Pattern Image Note
TS28: trachea Present UC Davis_1889355

Specimen UC Davis_1889356: postnatal adult; Tmub2tm1b(KOMP)Wtsi/Tmub2+ (more )
Structure Level Pattern Image Note
TS28: esophagus Present UC Davis_1889356

Specimen UC Davis_1889357: postnatal adult; Tmub2tm1b(KOMP)Wtsi/Tmub2+ (more )
Structure Level Pattern Image Note
TS28: thyroid gland Present UC Davis_1889357

Specimen UC Davis_1889359: postnatal adult; Tmub2tm1b(KOMP)Wtsi/Tmub2+ (more )
Structure Level Pattern Image Note
TS28: lung Present UC Davis_1889359

Specimen UC Davis_1889360: postnatal adult; Tmub2tm1b(KOMP)Wtsi/Tmub2+ (more )
Structure Level Pattern Image Note
TS28: lung Present UC Davis_1889360

Specimen UC Davis_1889361: postnatal adult; Tmub2tm1b(KOMP)Wtsi/Tmub2+ (more )
Structure Level Pattern Image Note
TS28: stomach Present UC Davis_1889361

Specimen UC Davis_1889362: postnatal adult; Tmub2tm1b(KOMP)Wtsi/Tmub2+ (more )
Structure Level Pattern Image Note
TS28: stomach Present UC Davis_1889362

Specimen UC Davis_1889363: postnatal adult; Tmub2tm1b(KOMP)Wtsi/Tmub2+ (more )
Structure Level Pattern Image Note
TS28: duodenum Present UC Davis_1889363

Specimen UC Davis_1889364: postnatal adult; Tmub2tm1b(KOMP)Wtsi/Tmub2+ (more )
Structure Level Pattern Image Note
TS28: ileum Present UC Davis_1889364

Specimen UC Davis_1889365: postnatal adult; Tmub2tm1b(KOMP)Wtsi/Tmub2+ (more )
Structure Level Pattern Image Note
TS28: colon Present UC Davis_1889365

Specimen UC Davis_1889366: postnatal adult; Tmub2tm1b(KOMP)Wtsi/Tmub2+ (more )
Structure Level Pattern Image Note
TS28: cecum Present UC Davis_1889366

Specimen UC Davis_1889367: postnatal adult; Tmub2tm1b(KOMP)Wtsi/Tmub2+ (more )
Structure Level Pattern Image Note
TS28: metanephros Present UC Davis_1889367 kidney

Specimen UC Davis_1889368: postnatal adult; Tmub2tm1b(KOMP)Wtsi/Tmub2+ (more )
Structure Level Pattern Image Note
TS28: metanephros Present UC Davis_1889368 kidney

Specimen UC Davis_1889369: postnatal adult; Tmub2tm1b(KOMP)Wtsi/Tmub2+ (more )
Structure Level Pattern Image Note
TS28: metanephros Present UC Davis_1889369 kidney

Specimen UC Davis_1889370: postnatal adult; Tmub2tm1b(KOMP)Wtsi/Tmub2+ (more )
Structure Level Pattern Image Note
TS28: metanephros Present UC Davis_1889370 kidney

Specimen UC Davis_1889371: postnatal adult; Tmub2tm1b(KOMP)Wtsi/Tmub2+ (more )
Structure Level Pattern Image Note
TS28: quadriceps femoris muscle Present UC Davis_1889371

Specimen UC Davis_1889372: postnatal adult; Tmub2tm1b(KOMP)Wtsi/Tmub2+ (more )
Structure Level Pattern Image Note
TS28: adrenal gland Present UC Davis_1889372

Specimen UC Davis_1889373: postnatal adult; Tmub2tm1b(KOMP)Wtsi/Tmub2+ (more )
Structure Level Pattern Image Note
TS28: adrenal gland Present UC Davis_1889373

Specimen UC Davis_1889374: postnatal adult; Tmub2tm1b(KOMP)Wtsi/Tmub2+ (more )
Structure Level Pattern Image Note
TS28: pituitary gland Present UC Davis_1889374

Specimen UC Davis_1889375: postnatal adult; Tmub2tm1b(KOMP)Wtsi/Tmub2+ (more )
Structure Level Pattern Image Note
TS28: spinal cord Present UC Davis_1889375

Specimen UC Davis_1889376: postnatal adult; Tmub2tm1b(KOMP)Wtsi/Tmub2+ (more )
Structure Level Pattern Image Note
TS28: eye Present UC Davis_1889376

Specimen UC Davis_1889377: postnatal adult; Tmub2tm1b(KOMP)Wtsi/Tmub2+ (more )
Structure Level Pattern Image Note
TS28: Harderian gland Present UC Davis_1889377

Specimen UC Davis_1889378: postnatal adult; Tmub2tm1b(KOMP)Wtsi/Tmub2+ (more )
Structure Level Pattern Image Note
TS28: Harderian gland Present UC Davis_1889378

Specimen UC Davis_1889379: postnatal adult; Tmub2tm1b(KOMP)Wtsi/Tmub2+ (more )
Structure Level Pattern Image Note
TS28: skin Present UC Davis_1889379

Specimen UC Davis_1889380: postnatal adult; Tmub2tm1b(KOMP)Wtsi/Tmub2+ (more )
Structure Level Pattern Image Note
TS28: olfactory lobe Present UC Davis_1889380

Specimen UC Davis_1889382: postnatal adult; Tmub2tm1b(KOMP)Wtsi/Tmub2+ (more )
Structure Level Pattern Image Note
TS28: midbrain Present UC Davis_1889382

Specimen UC Davis_1889384: postnatal adult; Tmub2tm1b(KOMP)Wtsi/Tmub2+ (more )
Structure Level Pattern Image Note
TS28: cerebellum Present UC Davis_1889384

Specimen UC Davis_1889385: postnatal adult; Tmub2tm1b(KOMP)Wtsi/Tmub2+ (more )
Structure Level Pattern Image Note
TS28: trigeminal nerve Present UC Davis_1889385

Specimen UC Davis_1889386: postnatal adult; Tmub2tm1b(KOMP)Wtsi/Tmub2+ (more )
Structure Level Pattern Image Note
TS28: bladder Present UC Davis_1889386

Specimen UC Davis_1889387: postnatal adult; Tmub2tm1b(KOMP)Wtsi/Tmub2+ (more )
Structure Level Pattern Image Note
TS28: testis Present UC Davis_1889387

Specimen UC Davis_1889388: postnatal adult; Tmub2tm1b(KOMP)Wtsi/Tmub2+ (more )
Structure Level Pattern Image Note
TS28: epididymis Present UC Davis_1889388

Specimen UC Davis_1889389: postnatal adult; Tmub2tm1b(KOMP)Wtsi/Tmub2+ (more )
Structure Level Pattern Image Note
TS28: penis Present UC Davis_1889389

Specimen UC Davis_1889390: postnatal adult; Tmub2tm1b(KOMP)Wtsi/Tmub2+ (more )
Structure Level Pattern Image Note
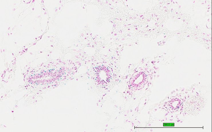
TS28: ductus deferens Present UC Davis_1889390 vas deferens

Specimen UC Davis_1889395: postnatal adult; Tmub2tm1b(KOMP)Wtsi/Tmub2+ (more )
Structure Level Pattern Image Note
TS28: seminal vesicle Present UC Davis_1889395 vesicular gland

Specimen UC Davis_1889396: postnatal adult; Tmub2tm1b(KOMP)Wtsi/Tmub2+ (more )
Structure Level Pattern Image Note
TS28: seminal vesicle Present UC Davis_1889396 vesicular gland


Contributing Projects:
Mouse Genome Database (MGD), Gene Expression Database (GXD), Mouse Models of Human Cancer database (MMHCdb) (formerly Mouse Tumor Biology (MTB)), Gene Ontology (GO)
Citing These Resources
Funding Information
Warranty Disclaimer, Privacy Notice, Licensing, & Copyright
Send questions and comments to User Support.
last database update
01/06/2026
MGI 6.24
The Jackson Laboratory