About   Help   FAQ
Gene Expression Data
Assay Details
Assay
Reference: J:228563 Koscielny G, et al., The International Mouse Phenotyping Consortium Web Portal, a unified point of access for knockout mice and related phenotyping data. Nucleic Acids Res. 2014 Jan;42(Database issue):D802-9
Assay type: In situ reporter (knock in)
MGI Accession ID: MGI:6691991
Gene symbol: Fndc3b
Gene name: fibronectin type III domain containing 3B
Reporter: lacZ
Direct Detection
Results
Specimen UC Davis_1888863: postnatal adult; Fndc3btm1.1(KOMP)Vlcg/Fndc3b+ (more )
Structure Level Pattern Image Note
TS28: sublingual gland Present UC Davis_1888863

Specimen UC Davis_1888864: postnatal adult; Fndc3btm1.1(KOMP)Vlcg/Fndc3b+ (more )
Structure Level Pattern Image Note
TS28: sublingual gland Present UC Davis_1888864

Specimen UC Davis_1888865: postnatal adult; Fndc3btm1.1(KOMP)Vlcg/Fndc3b+ (more )
Structure Level Pattern Image Note
TS28: sublingual gland Present UC Davis_1888865

Specimen UC Davis_1888866: postnatal adult; Fndc3btm1.1(KOMP)Vlcg/Fndc3b+ (more )
Structure Level Pattern Image Note
TS28: trachea Present UC Davis_1888866

Specimen UC Davis_1888867: postnatal adult; Fndc3btm1.1(KOMP)Vlcg/Fndc3b+ (more )
Structure Level Pattern Image Note
TS28: esophagus Present UC Davis_1888867

Specimen UC Davis_1888868: postnatal adult; Fndc3btm1.1(KOMP)Vlcg/Fndc3b+ (more )
Structure Level Pattern Image Note
TS28: esophagus Present UC Davis_1888868

Specimen UC Davis_1888869: postnatal adult; Fndc3btm1.1(KOMP)Vlcg/Fndc3b+ (more )
Structure Level Pattern Image Note
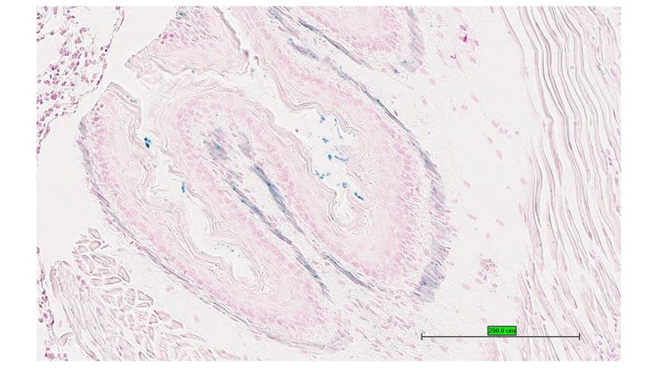
TS28: aorta Absent UC Davis_1888869

Specimen UC Davis_1888870: postnatal adult; Fndc3btm1.1(KOMP)Vlcg/Fndc3b+ (more )
Structure Level Pattern Image Note
TS28: lung Present UC Davis_1888870

Specimen UC Davis_1888871: postnatal adult; Fndc3btm1.1(KOMP)Vlcg/Fndc3b+ (more )
Structure Level Pattern Image Note
TS28: lung Present UC Davis_1888871

Specimen UC Davis_1888875: postnatal adult; Fndc3btm1.1(KOMP)Vlcg/Fndc3b+ (more )
Structure Level Pattern Image Note
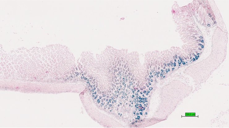
TS28: stomach Present UC Davis_1888875

Specimen UC Davis_1888876: postnatal adult; Fndc3btm1.1(KOMP)Vlcg/Fndc3b+ (more )
Structure Level Pattern Image Note
TS28: stomach Present UC Davis_1888876

Specimen UC Davis_1888877: postnatal adult; Fndc3btm1.1(KOMP)Vlcg/Fndc3b+ (more )
Structure Level Pattern Image Note
TS28: stomach Present UC Davis_1888877

Specimen UC Davis_1888878: postnatal adult; Fndc3btm1.1(KOMP)Vlcg/Fndc3b+ (more )
Structure Level Pattern Image Note
TS28: stomach Present UC Davis_1888878

Specimen UC Davis_1888879: postnatal adult; Fndc3btm1.1(KOMP)Vlcg/Fndc3b+ (more )
Structure Level Pattern Image Note
TS28: ileum Present UC Davis_1888879

Specimen UC Davis_1888880: postnatal adult; Fndc3btm1.1(KOMP)Vlcg/Fndc3b+ (more )
Structure Level Pattern Image Note
TS28: ileum Present UC Davis_1888880

Specimen UC Davis_1888881: postnatal adult; Fndc3btm1.1(KOMP)Vlcg/Fndc3b+ (more )
Structure Level Pattern Image Note
TS28: colon Present UC Davis_1888881

Specimen UC Davis_1888882: postnatal adult; Fndc3btm1.1(KOMP)Vlcg/Fndc3b+ (more )
Structure Level Pattern Image Note
TS28: colon Present UC Davis_1888882

Specimen UC Davis_1888883: postnatal adult; Fndc3btm1.1(KOMP)Vlcg/Fndc3b+ (more )
Structure Level Pattern Image Note
TS28: colon Present UC Davis_1888883

Specimen UC Davis_1888884: postnatal adult; Fndc3btm1.1(KOMP)Vlcg/Fndc3b+ (more )
Structure Level Pattern Image Note
TS28: colon Present UC Davis_1888884

Specimen UC Davis_1888885: postnatal adult; Fndc3btm1.1(KOMP)Vlcg/Fndc3b+ (more )
Structure Level Pattern Image Note
TS28: cecum Present UC Davis_1888885

Specimen UC Davis_1888886: postnatal adult; Fndc3btm1.1(KOMP)Vlcg/Fndc3b+ (more )
Structure Level Pattern Image Note
TS28: pancreas Present UC Davis_1888886

Specimen UC Davis_1888887: postnatal adult; Fndc3btm1.1(KOMP)Vlcg/Fndc3b+ (more )
Structure Level Pattern Image Note
TS28: metanephros Present UC Davis_1888887 kidney

Specimen UC Davis_1888888: postnatal adult; Fndc3btm1.1(KOMP)Vlcg/Fndc3b+ (more )
Structure Level Pattern Image Note
TS28: metanephros Present UC Davis_1888888 kidney

Specimen UC Davis_1888889: postnatal adult; Fndc3btm1.1(KOMP)Vlcg/Fndc3b+ (more )
Structure Level Pattern Image Note
TS28: metanephros Present UC Davis_1888889 kidney

Specimen UC Davis_1888890: postnatal adult; Fndc3btm1.1(KOMP)Vlcg/Fndc3b+ (more )
Structure Level Pattern Image Note
TS28: quadriceps femoris muscle Present UC Davis_1888890

Specimen UC Davis_1888891: postnatal adult; Fndc3btm1.1(KOMP)Vlcg/Fndc3b+ (more )
Structure Level Pattern Image Note
TS28: quadriceps femoris muscle Present UC Davis_1888891

Specimen UC Davis_1888892: postnatal adult; Fndc3btm1.1(KOMP)Vlcg/Fndc3b+ (more )
Structure Level Pattern Image Note
TS28: tongue Present UC Davis_1888892

Specimen UC Davis_1888893: postnatal adult; Fndc3btm1.1(KOMP)Vlcg/Fndc3b+ (more )
Structure Level Pattern Image Note
TS28: tongue Present UC Davis_1888893

Specimen UC Davis_1888894: postnatal adult; Fndc3btm1.1(KOMP)Vlcg/Fndc3b+ (more )
Structure Level Pattern Image Note
TS28: adrenal gland Present UC Davis_1888894

Specimen UC Davis_1888895: postnatal adult; Fndc3btm1.1(KOMP)Vlcg/Fndc3b+ (more )
Structure Level Pattern Image Note
TS28: adrenal gland Present UC Davis_1888895

Specimen UC Davis_1888896: postnatal adult; Fndc3btm1.1(KOMP)Vlcg/Fndc3b+ (more )
Structure Level Pattern Image Note
TS28: pituitary gland Present UC Davis_1888896

Specimen UC Davis_1888897: postnatal adult; Fndc3btm1.1(KOMP)Vlcg/Fndc3b+ (more )
Structure Level Pattern Image Note
TS28: spinal cord Present UC Davis_1888897

Specimen UC Davis_1888898: postnatal adult; Fndc3btm1.1(KOMP)Vlcg/Fndc3b+ (more )
Structure Level Pattern Image Note
TS28: gonadal fat pad Present UC Davis_1888898

Specimen UC Davis_1888899: postnatal adult; Fndc3btm1.1(KOMP)Vlcg/Fndc3b+ (more )
Structure Level Pattern Image Note
TS28: gonadal fat pad Present UC Davis_1888899

Specimen UC Davis_1888900: postnatal adult; Fndc3btm1.1(KOMP)Vlcg/Fndc3b+ (more )
Structure Level Pattern Image Note
TS28: mesenteric adipose tissue Present UC Davis_1888900

Specimen UC Davis_1888901: postnatal adult; Fndc3btm1.1(KOMP)Vlcg/Fndc3b+ (more )
Structure Level Pattern Image Note
TS28: mesenteric adipose tissue Present UC Davis_1888901

Specimen UC Davis_1888902: postnatal adult; Fndc3btm1.1(KOMP)Vlcg/Fndc3b+ (more )
Structure Level Pattern Image Note
TS28: skin Present UC Davis_1888902

Specimen UC Davis_1888903: postnatal adult; Fndc3btm1.1(KOMP)Vlcg/Fndc3b+ (more )
Structure Level Pattern Image Note
TS28: skin Present UC Davis_1888903

Specimen UC Davis_1888904: postnatal adult; Fndc3btm1.1(KOMP)Vlcg/Fndc3b+ (more )
Structure Level Pattern Image Note
TS28: skin Present UC Davis_1888904

Specimen UC Davis_1888905: postnatal adult; Fndc3btm1.1(KOMP)Vlcg/Fndc3b+ (more )
Structure Level Pattern Image Note
TS28: brown fat Present UC Davis_1888905

Specimen UC Davis_1888906: postnatal adult; Fndc3btm1.1(KOMP)Vlcg/Fndc3b+ (more )
Structure Level Pattern Image Note
TS28: olfactory lobe Present UC Davis_1888906

Specimen UC Davis_1888910: postnatal adult; Fndc3btm1.1(KOMP)Vlcg/Fndc3b+ (more )
Structure Level Pattern Image Note
TS28: midbrain Present UC Davis_1888910

Specimen UC Davis_1888911: postnatal adult; Fndc3btm1.1(KOMP)Vlcg/Fndc3b+ (more )
Structure Level Pattern Image Note
TS28: trigeminal nerve Present UC Davis_1888911

Specimen UC Davis_1888912: postnatal adult; Fndc3btm1.1(KOMP)Vlcg/Fndc3b+ (more )
Structure Level Pattern Image Note
TS28: ovary Present UC Davis_1888912

Specimen UC Davis_1888913: postnatal adult; Fndc3btm1.1(KOMP)Vlcg/Fndc3b+ (more )
Structure Level Pattern Image Note
TS28: ovary Present UC Davis_1888913

Specimen UC Davis_1888914: postnatal adult; Fndc3btm1.1(KOMP)Vlcg/Fndc3b+ (more )
Structure Level Pattern Image Note
TS28: oviduct Present UC Davis_1888914

Specimen UC Davis_1888915: postnatal adult; Fndc3btm1.1(KOMP)Vlcg/Fndc3b+ (more )
Structure Level Pattern Image Note
TS28: oviduct Present UC Davis_1888915

Specimen UC Davis_1888916: postnatal adult; Fndc3btm1.1(KOMP)Vlcg/Fndc3b+ (more )
Structure Level Pattern Image Note
TS28: uterus Present UC Davis_1888916

Specimen UC Davis_1888917: postnatal adult; Fndc3btm1.1(KOMP)Vlcg/Fndc3b+ (more )
Structure Level Pattern Image Note
TS28: uterus Present UC Davis_1888917

Specimen UC Davis_1888918: postnatal adult; Fndc3btm1.1(KOMP)Vlcg/Fndc3b+ (more )
Structure Level Pattern Image Note
TS28: bladder Present UC Davis_1888918

Specimen UC Davis_1888919: postnatal adult; Fndc3btm1.1(KOMP)Vlcg/Fndc3b+ (more )
Structure Level Pattern Image Note
TS28: bladder Present UC Davis_1888919

Specimen UC Davis_1888920: postnatal adult; Fndc3btm1.1(KOMP)Vlcg/Fndc3b+ (more )
Structure Level Pattern Image Note
TS28: mammary gland Present UC Davis_1888920

Specimen UC Davis_1888923: postnatal adult; Fndc3btm1.1(KOMP)Vlcg/Fndc3b+ (more )
Structure Level Pattern Image Note
TS28: sublingual gland Present UC Davis_1888923

Specimen UC Davis_1888925: postnatal adult; Fndc3btm1.1(KOMP)Vlcg/Fndc3b+ (more )
Structure Level Pattern Image Note
TS28: trachea Present UC Davis_1888925

Specimen UC Davis_1888926: postnatal adult; Fndc3btm1.1(KOMP)Vlcg/Fndc3b+ (more )
Structure Level Pattern Image Note
TS28: esophagus Present UC Davis_1888926

Specimen UC Davis_1888928: postnatal adult; Fndc3btm1.1(KOMP)Vlcg/Fndc3b+ (more )
Structure Level Pattern Image Note
TS28: aorta Present UC Davis_1888928

Specimen UC Davis_1888929: postnatal adult; Fndc3btm1.1(KOMP)Vlcg/Fndc3b+ (more )
Structure Level Pattern Image Note
TS28: lung Present UC Davis_1888929

Specimen UC Davis_1888930: postnatal adult; Fndc3btm1.1(KOMP)Vlcg/Fndc3b+ (more )
Structure Level Pattern Image Note
TS28: lung Present UC Davis_1888930

Specimen UC Davis_1888933: postnatal adult; Fndc3btm1.1(KOMP)Vlcg/Fndc3b+ (more )
Structure Level Pattern Image Note
TS28: stomach Present UC Davis_1888933

Specimen UC Davis_1888934: postnatal adult; Fndc3btm1.1(KOMP)Vlcg/Fndc3b+ (more )
Structure Level Pattern Image Note
TS28: stomach Present UC Davis_1888934

Specimen UC Davis_1888935: postnatal adult; Fndc3btm1.1(KOMP)Vlcg/Fndc3b+ (more )
Structure Level Pattern Image Note
TS28: ileum Present UC Davis_1888935

Specimen UC Davis_1888936: postnatal adult; Fndc3btm1.1(KOMP)Vlcg/Fndc3b+ (more )
Structure Level Pattern Image Note
TS28: colon Present UC Davis_1888936

Specimen UC Davis_1888937: postnatal adult; Fndc3btm1.1(KOMP)Vlcg/Fndc3b+ (more )
Structure Level Pattern Image Note
TS28: spleen Present UC Davis_1888937

Specimen UC Davis_1888938: postnatal adult; Fndc3btm1.1(KOMP)Vlcg/Fndc3b+ (more )
Structure Level Pattern Image Note
TS28: pancreas Present UC Davis_1888938

Specimen UC Davis_1888939: postnatal adult; Fndc3btm1.1(KOMP)Vlcg/Fndc3b+ (more )
Structure Level Pattern Image Note
TS28: liver Present UC Davis_1888939

Specimen UC Davis_1888940: postnatal adult; Fndc3btm1.1(KOMP)Vlcg/Fndc3b+ (more )
Structure Level Pattern Image Note
TS28: liver Present UC Davis_1888940

Specimen UC Davis_1888941: postnatal adult; Fndc3btm1.1(KOMP)Vlcg/Fndc3b+ (more )
Structure Level Pattern Image Note
TS28: metanephros Present UC Davis_1888941 kidney

Specimen UC Davis_1888942: postnatal adult; Fndc3btm1.1(KOMP)Vlcg/Fndc3b+ (more )
Structure Level Pattern Image Note
TS28: metanephros Present UC Davis_1888942 kidney

Specimen UC Davis_1888943: postnatal adult; Fndc3btm1.1(KOMP)Vlcg/Fndc3b+ (more )
Structure Level Pattern Image Note
TS28: quadriceps femoris muscle Present UC Davis_1888943

Specimen UC Davis_1888944: postnatal adult; Fndc3btm1.1(KOMP)Vlcg/Fndc3b+ (more )
Structure Level Pattern Image Note
TS28: quadriceps femoris muscle Present UC Davis_1888944

Specimen UC Davis_1888945: postnatal adult; Fndc3btm1.1(KOMP)Vlcg/Fndc3b+ (more )
Structure Level Pattern Image Note
TS28: sciatic nerve Present UC Davis_1888945

Specimen UC Davis_1888946: postnatal adult; Fndc3btm1.1(KOMP)Vlcg/Fndc3b+ (more )
Structure Level Pattern Image Note
TS28: tongue Present UC Davis_1888946

Specimen UC Davis_1888947: postnatal adult; Fndc3btm1.1(KOMP)Vlcg/Fndc3b+ (more )
Structure Level Pattern Image Note
TS28: tongue Present UC Davis_1888947

Specimen UC Davis_1888948: postnatal adult; Fndc3btm1.1(KOMP)Vlcg/Fndc3b+ (more )
Structure Level Pattern Image Note
TS28: tongue Present UC Davis_1888948

Specimen UC Davis_1888949: postnatal adult; Fndc3btm1.1(KOMP)Vlcg/Fndc3b+ (more )
Structure Level Pattern Image Note
TS28: diaphragm Present UC Davis_1888949

Specimen UC Davis_1888950: postnatal adult; Fndc3btm1.1(KOMP)Vlcg/Fndc3b+ (more )
Structure Level Pattern Image Note
TS28: adrenal gland Present UC Davis_1888950

Specimen UC Davis_1888951: postnatal adult; Fndc3btm1.1(KOMP)Vlcg/Fndc3b+ (more )
Structure Level Pattern Image Note
TS28: pituitary gland Present UC Davis_1888951

Specimen UC Davis_1888952: postnatal adult; Fndc3btm1.1(KOMP)Vlcg/Fndc3b+ (more )
Structure Level Pattern Image Note
TS28: spinal cord Present UC Davis_1888952

Specimen UC Davis_1888953: postnatal adult; Fndc3btm1.1(KOMP)Vlcg/Fndc3b+ (more )
Structure Level Pattern Image Note
TS28: spinal cord Present UC Davis_1888953

Specimen UC Davis_1888954: postnatal adult; Fndc3btm1.1(KOMP)Vlcg/Fndc3b+ (more )
Structure Level Pattern Image Note
TS28: eye Present UC Davis_1888954

Specimen UC Davis_1888955: postnatal adult; Fndc3btm1.1(KOMP)Vlcg/Fndc3b+ (more )
Structure Level Pattern Image Note
TS28: eye Present UC Davis_1888955

Specimen UC Davis_1888956: postnatal adult; Fndc3btm1.1(KOMP)Vlcg/Fndc3b+ (more )
Structure Level Pattern Image Note
TS28: mesenteric adipose tissue Present UC Davis_1888956

Specimen UC Davis_1888957: postnatal adult; Fndc3btm1.1(KOMP)Vlcg/Fndc3b+ (more )
Structure Level Pattern Image Note
TS28: skin Present UC Davis_1888957

Specimen UC Davis_1888958: postnatal adult; Fndc3btm1.1(KOMP)Vlcg/Fndc3b+ (more )
Structure Level Pattern Image Note
TS28: brown fat Present UC Davis_1888958

Specimen UC Davis_1888959: postnatal adult; Fndc3btm1.1(KOMP)Vlcg/Fndc3b+ (more )
Structure Level Pattern Image Note
TS28: brown fat Present UC Davis_1888959

Specimen UC Davis_1888960: postnatal adult; Fndc3btm1.1(KOMP)Vlcg/Fndc3b+ (more )
Structure Level Pattern Image Note
TS28: olfactory lobe Present UC Davis_1888960

Specimen UC Davis_1888964: postnatal adult; Fndc3btm1.1(KOMP)Vlcg/Fndc3b+ (more )
Structure Level Pattern Image Note
TS28: midbrain Present UC Davis_1888964

Specimen UC Davis_1888966: postnatal adult; Fndc3btm1.1(KOMP)Vlcg/Fndc3b+ (more )
Structure Level Pattern Image Note
TS28: trigeminal nerve Present UC Davis_1888966

Specimen UC Davis_1888967: postnatal adult; Fndc3btm1.1(KOMP)Vlcg/Fndc3b+ (more )
Structure Level Pattern Image Note
TS28: bladder Present UC Davis_1888967

Specimen UC Davis_1888968: postnatal adult; Fndc3btm1.1(KOMP)Vlcg/Fndc3b+ (more )
Structure Level Pattern Image Note
TS28: testis Present UC Davis_1888968

Specimen UC Davis_1888969: postnatal adult; Fndc3btm1.1(KOMP)Vlcg/Fndc3b+ (more )
Structure Level Pattern Image Note
TS28: testis Present UC Davis_1888969

Specimen UC Davis_1888970: postnatal adult; Fndc3btm1.1(KOMP)Vlcg/Fndc3b+ (more )
Structure Level Pattern Image Note
TS28: epididymis Present UC Davis_1888970

Specimen UC Davis_1888971: postnatal adult; Fndc3btm1.1(KOMP)Vlcg/Fndc3b+ (more )
Structure Level Pattern Image Note
TS28: epididymis Present UC Davis_1888971

Specimen UC Davis_1888972: postnatal adult; Fndc3btm1.1(KOMP)Vlcg/Fndc3b+ (more )
Structure Level Pattern Image Note
TS28: penis Present UC Davis_1888972

Specimen UC Davis_1888973: postnatal adult; Fndc3btm1.1(KOMP)Vlcg/Fndc3b+ (more )
Structure Level Pattern Image Note
TS28: penis Present UC Davis_1888973

Specimen UC Davis_1888975: postnatal adult; Fndc3btm1.1(KOMP)Vlcg/Fndc3b+ (more )
Structure Level Pattern Image Note
TS28: seminal vesicle Present UC Davis_1888975 vesicular gland


Contributing Projects:
Mouse Genome Database (MGD), Gene Expression Database (GXD), Mouse Models of Human Cancer database (MMHCdb) (formerly Mouse Tumor Biology (MTB)), Gene Ontology (GO)
Citing These Resources
Funding Information
Warranty Disclaimer, Privacy Notice, Licensing, & Copyright
Send questions and comments to User Support.
last database update
01/28/2026
MGI 6.24
The Jackson Laboratory