About   Help   FAQ
Gene Expression Data
Assay Details
Assay
Reference: J:228563 Koscielny G, et al., The International Mouse Phenotyping Consortium Web Portal, a unified point of access for knockout mice and related phenotyping data. Nucleic Acids Res. 2014 Jan;42(Database issue):D802-9
Assay type: In situ reporter (knock in)
MGI Accession ID: MGI:6691985
Gene symbol: Cers5
Gene name: ceramide synthase 5
Reporter: lacZ
Direct Detection
Results
Specimen JAX_619711: embryonic day 12.5; Cers5tm2b(KOMP)Mbp/Cers5+ (more )
Structure Level Pattern Image Note
TS20: embryo Present JAX_619711

Specimen JAX_619713: embryonic day 12.5; Cers5tm2b(KOMP)Mbp/Cers5+ (more )
Structure Level Pattern Image Note
TS20: embryo Present JAX_619713

Specimen JAX_619715: embryonic day 12.5; Cers5tm2b(KOMP)Mbp/Cers5+ (more )
Structure Level Pattern Image Note
TS20: embryo Present JAX_619715

Specimen JAX_619717: embryonic day 12.5; Cers5tm2b(KOMP)Mbp/Cers5+ (more )
Structure Level Pattern Image Note
TS20: embryo Present JAX_619717

Specimen JAX_1801404: postnatal adult; Cers5tm2b(KOMP)Mbp/Cers5+ (more )
Structure Level Pattern Image Note
TS28: vascular system Present JAX_1801404

Specimen JAX_1801405: postnatal adult; Cers5tm2b(KOMP)Mbp/Cers5+ (more )
Structure Level Pattern Image Note
TS28: corpus striatum Present JAX_1801405

Specimen JAX_1801406: postnatal adult; Cers5tm2b(KOMP)Mbp/Cers5+ (more )
Structure Level Pattern Image Note
TS28: peripheral nervous system Present JAX_1801406

Specimen JAX_1801407: postnatal adult; Cers5tm2b(KOMP)Mbp/Cers5+ (more )
Structure Level Pattern Image Note
TS28: aorta Present JAX_1801407

Specimen JAX_1801408: postnatal adult; Cers5tm2b(KOMP)Mbp/Cers5+ (more )
Structure Level Pattern Image Note
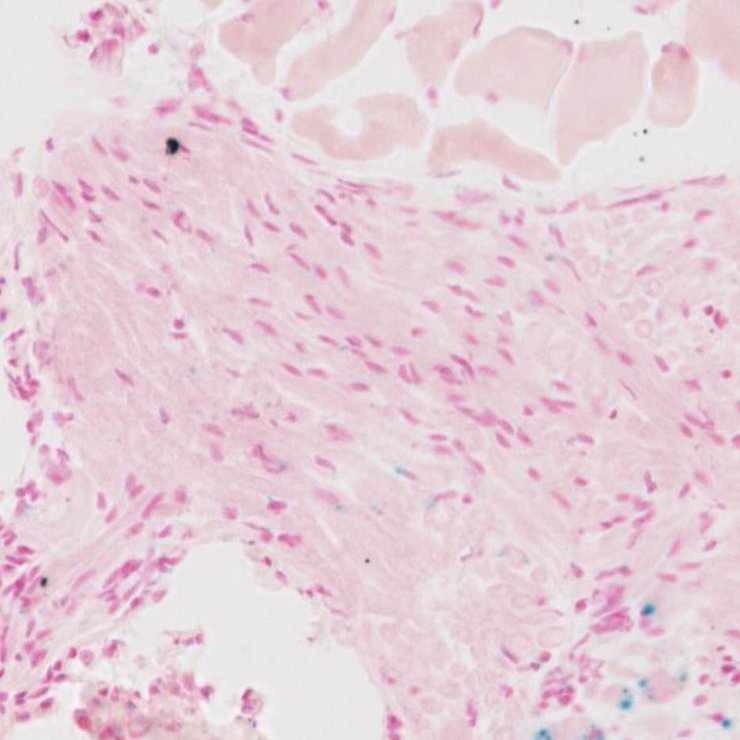
TS28: lung Present JAX_1801408

Specimen JAX_1801409: postnatal adult; Cers5tm2b(KOMP)Mbp/Cers5+ (more )
Structure Level Pattern Image Note
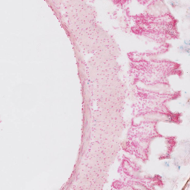
TS28: small intestine Present JAX_1801409

Specimen JAX_1801410: postnatal adult; Cers5tm2b(KOMP)Mbp/Cers5+ (more )
Structure Level Pattern Image Note
TS28: spinal cord Present JAX_1801410

Specimen JAX_1801411: postnatal adult; Cers5tm2b(KOMP)Mbp/Cers5+ (more )
Structure Level Pattern Image Note
TS28: esophagus Present JAX_1801411

Specimen JAX_1801412: postnatal adult; Cers5tm2b(KOMP)Mbp/Cers5+ (more )
Structure Level Pattern Image Note
TS28: uterus Present JAX_1801412

Specimen JAX_1801413: postnatal adult; Cers5tm2b(KOMP)Mbp/Cers5+ (more )
Structure Level Pattern Image Note
TS28: stomach Present JAX_1801413

Specimen JAX_1801414: postnatal adult; Cers5tm2b(KOMP)Mbp/Cers5+ (more )
Structure Level Pattern Image Note
TS28: skin Present JAX_1801414

Specimen JAX_1801415: postnatal adult; Cers5tm2b(KOMP)Mbp/Cers5+ (more )
Structure Level Pattern Image Note
TS28: oviduct Present JAX_1801415

Specimen JAX_1801416: postnatal adult; Cers5tm2b(KOMP)Mbp/Cers5+ (more )
Structure Level Pattern Image Note
TS28: ovary Present JAX_1801416

Specimen JAX_1801417: postnatal adult; Cers5tm2b(KOMP)Mbp/Cers5+ (more )
Structure Level Pattern Image Note
TS28: metanephros Present JAX_1801417 kidney

Specimen JAX_1801418: postnatal adult; Cers5tm2b(KOMP)Mbp/Cers5+ (more )
Structure Level Pattern Image Note
TS28: heart Present JAX_1801418

Specimen JAX_1801419: postnatal adult; Cers5tm2b(KOMP)Mbp/Cers5+ (more )
Structure Level Pattern Image Note
TS28: brain Present JAX_1801419

Specimen JAX_1801420: postnatal adult; Cers5tm2b(KOMP)Mbp/Cers5+ (more )
Structure Level Pattern Image Note
TS28: adrenal gland Present JAX_1801420

Specimen JAX_1801387: postnatal adult; Cers5tm2b(KOMP)Mbp/Cers5+ (more )
Structure Level Pattern Image Note
TS28: thalamus Present JAX_1801387

Specimen JAX_1801388: postnatal adult; Cers5tm2b(KOMP)Mbp/Cers5+ (more )
Structure Level Pattern Image Note
TS28: midbrain Present JAX_1801388

Specimen JAX_1801389: postnatal adult; Cers5tm2b(KOMP)Mbp/Cers5+ (more )
Structure Level Pattern Image Note
TS28: epididymis Present JAX_1801389

Specimen JAX_1801390: postnatal adult; Cers5tm2b(KOMP)Mbp/Cers5+ (more )
Structure Level Pattern Image Note
TS28: bladder Present JAX_1801390

Specimen JAX_1801391: postnatal adult; Cers5tm2b(KOMP)Mbp/Cers5+ (more )
Structure Level Pattern Image Note
TS28: olfactory lobe Present JAX_1801391

Specimen JAX_1801392: postnatal adult; Cers5tm2b(KOMP)Mbp/Cers5+ (more )
Structure Level Pattern Image Note
TS28: hypothalamus Present JAX_1801392

Specimen JAX_1801393: postnatal adult; Cers5tm2b(KOMP)Mbp/Cers5+ (more )
Structure Level Pattern Image Note
TS28: hippocampus Present JAX_1801393

Specimen JAX_1801394: postnatal adult; Cers5tm2b(KOMP)Mbp/Cers5+ (more )
Structure Level Pattern Image Note
TS28: cerebellum Present JAX_1801394

Specimen JAX_1801395: postnatal adult; Cers5tm2b(KOMP)Mbp/Cers5+ (more )
Structure Level Pattern Image Note
TS28: cerebral cortex Present JAX_1801395

Specimen JAX_1801396: postnatal adult; Cers5tm2b(KOMP)Mbp/Cers5+ (more )
Structure Level Pattern Image Note
TS28: cartilage Present JAX_1801396

Specimen JAX_1801397: postnatal adult; Cers5tm2b(KOMP)Mbp/Cers5+ (more )
Structure Level Pattern Image Note
TS28: brainstem Present JAX_1801397

Specimen JAX_1801398: postnatal adult; Cers5tm2b(KOMP)Mbp/Cers5+ (more )
Structure Level Pattern Image Note
TS28: pituitary gland Present JAX_1801398

Specimen JAX_1801399: postnatal adult; Cers5tm2b(KOMP)Mbp/Cers5+ (more )
Structure Level Pattern Image Note
TS28: large intestine Present JAX_1801399

Specimen JAX_1801400: postnatal adult; Cers5tm2b(KOMP)Mbp/Cers5+ (more )
Structure Level Pattern Image Note
TS28: trachea Present JAX_1801400

Specimen JAX_1801401: postnatal adult; Cers5tm2b(KOMP)Mbp/Cers5+ (more )
Structure Level Pattern Image Note
TS28: testis Present JAX_1801401

Specimen JAX_1801403: postnatal adult; Cers5tm2b(KOMP)Mbp/Cers5+ (more )
Structure Level Pattern Image Note
TS28: eye Present JAX_1801403


Contributing Projects:
Mouse Genome Database (MGD), Gene Expression Database (GXD), Mouse Models of Human Cancer database (MMHCdb) (formerly Mouse Tumor Biology (MTB)), Gene Ontology (GO)
Citing These Resources
Funding Information
Warranty Disclaimer, Privacy Notice, Licensing, & Copyright
Send questions and comments to User Support.
last database update
01/20/2026
MGI 6.24
The Jackson Laboratory