About   Help   FAQ
Gene Expression Data
Assay Details
Assay
Reference: J:228563 Koscielny G, et al., The International Mouse Phenotyping Consortium Web Portal, a unified point of access for knockout mice and related phenotyping data. Nucleic Acids Res. 2014 Jan;42(Database issue):D802-9
Assay type: In situ reporter (knock in)
MGI Accession ID: MGI:6691983
Gene symbol: Borcs6
Gene name: BLOC-1 related complex subunit 6
Reporter: lacZ
Direct Detection
Results
Specimen JAX_1314563: embryonic day 12.5; Borcs6tm1.1(KOMP)Vlcg/Borcs6+ (more )
Structure Level Pattern Image Note
TS20: embryo Present JAX_1314563

Specimen JAX_1314564: embryonic day 12.5; Borcs6tm1.1(KOMP)Vlcg/Borcs6+ (more )
Structure Level Pattern Image Note
TS20: embryo Present JAX_1314564

Specimen JAX_1314565: embryonic day 12.5; Borcs6tm1.1(KOMP)Vlcg/Borcs6+ (more )
Structure Level Pattern Image Note
TS20: embryo Present JAX_1314565

Specimen JAX_1314566: embryonic day 12.5; Borcs6tm1.1(KOMP)Vlcg/Borcs6+ (more )
Structure Level Pattern Image Note
TS20: embryo Present JAX_1314566

Specimen JAX_1314567: embryonic day 12.5; Borcs6tm1.1(KOMP)Vlcg/Borcs6+ (more )
Structure Level Pattern Image Note
TS20: embryo Present JAX_1314567

Specimen JAX_1314568: embryonic day 12.5; Borcs6tm1.1(KOMP)Vlcg/Borcs6+ (more )
Structure Level Pattern Image Note
TS20: embryo Present JAX_1314568

Specimen JAX_1314569: embryonic day 12.5; Borcs6tm1.1(KOMP)Vlcg/Borcs6+ (more )
Structure Level Pattern Image Note
TS20: embryo Present JAX_1314569

Specimen JAX_1314570: embryonic day 12.5; Borcs6tm1.1(KOMP)Vlcg/Borcs6+ (more )
Structure Level Pattern Image Note
TS20: embryo Present JAX_1314570

Specimen JAX_1373801: postnatal adult; Borcs6tm1.1(KOMP)Vlcg/Borcs6+ (more )
Structure Level Pattern Image Note
TS28: thalamus Present JAX_1373801

Specimen JAX_1373802: postnatal adult; Borcs6tm1.1(KOMP)Vlcg/Borcs6+ (more )
Structure Level Pattern Image Note
TS28: midbrain Present JAX_1373802

Specimen JAX_1373803: postnatal adult; Borcs6tm1.1(KOMP)Vlcg/Borcs6+ (more )
Structure Level Pattern Image Note
TS28: corpus striatum Present JAX_1373803

Specimen JAX_1373804: postnatal adult; Borcs6tm1.1(KOMP)Vlcg/Borcs6+ (more )
Structure Level Pattern Image Note
TS28: olfactory lobe Present JAX_1373804

Specimen JAX_1373805: postnatal adult; Borcs6tm1.1(KOMP)Vlcg/Borcs6+ (more )
Structure Level Pattern Image Note
TS28: hypothalamus Present JAX_1373805

Specimen JAX_1373806: postnatal adult; Borcs6tm1.1(KOMP)Vlcg/Borcs6+ (more )
Structure Level Pattern Image Note
TS28: hippocampus Present JAX_1373806

Specimen JAX_1373807: postnatal adult; Borcs6tm1.1(KOMP)Vlcg/Borcs6+ (more )
Structure Level Pattern Image Note
TS28: cerebellum Present JAX_1373807

Specimen JAX_1373808: postnatal adult; Borcs6tm1.1(KOMP)Vlcg/Borcs6+ (more )
Structure Level Pattern Image Note
TS28: cerebral cortex Present JAX_1373808

Specimen JAX_1373809: postnatal adult; Borcs6tm1.1(KOMP)Vlcg/Borcs6+ (more )
Structure Level Pattern Image Note
TS28: brainstem Present JAX_1373809

Specimen JAX_1373810: postnatal adult; Borcs6tm1.1(KOMP)Vlcg/Borcs6+ (more )
Structure Level Pattern Image Note
TS28: white fat Present JAX_1373810

Specimen JAX_1373811: postnatal adult; Borcs6tm1.1(KOMP)Vlcg/Borcs6+ (more )
Structure Level Pattern Image Note
TS28: pituitary gland Present JAX_1373811

Specimen JAX_1373812: postnatal adult; Borcs6tm1.1(KOMP)Vlcg/Borcs6+ (more )
Structure Level Pattern Image Note
TS28: thyroid gland Present JAX_1373812

Specimen JAX_1373813: postnatal adult; Borcs6tm1.1(KOMP)Vlcg/Borcs6+ (more )
Structure Level Pattern Image Note
TS28: uterus Present JAX_1373813

Specimen JAX_1373814: postnatal adult; Borcs6tm1.1(KOMP)Vlcg/Borcs6+ (more )
Structure Level Pattern Image Note
TS28: oviduct Present JAX_1373814

Specimen JAX_1373815: postnatal adult; Borcs6tm1.1(KOMP)Vlcg/Borcs6+ (more )
Structure Level Pattern Image Note
TS28: ovary Present JAX_1373815

Specimen JAX_1373816: postnatal adult; Borcs6tm1.1(KOMP)Vlcg/Borcs6+ (more )
Structure Level Pattern Image Note
TS28: mammary gland Present JAX_1373816

Specimen JAX_1373817: postnatal adult; Borcs6tm1.1(KOMP)Vlcg/Borcs6+ (more )
Structure Level Pattern Image Note
TS28: lymph node Present JAX_1373817

Specimen JAX_1373818: postnatal adult; Borcs6tm1.1(KOMP)Vlcg/Borcs6+ (more )
Structure Level Pattern Image Note
TS28: eye Present JAX_1373818

Specimen JAX_1373819: postnatal adult; Borcs6tm1.1(KOMP)Vlcg/Borcs6+ (more )
Structure Level Pattern Image Note
TS28: brain Present JAX_1373819

Specimen JAX_1373775: postnatal adult; Borcs6tm1.1(KOMP)Vlcg/Borcs6+ (more )
Structure Level Pattern Image Note
TS28: vascular system Present JAX_1373775

Specimen JAX_1373776: postnatal adult; Borcs6tm1.1(KOMP)Vlcg/Borcs6+ (more )
Structure Level Pattern Image Note
TS28: epididymis Present JAX_1373776

Specimen JAX_1373777: postnatal adult; Borcs6tm1.1(KOMP)Vlcg/Borcs6+ (more )
Structure Level Pattern Image Note
TS28: submandibular gland Present JAX_1373777

Specimen JAX_1373778: postnatal adult; Borcs6tm1.1(KOMP)Vlcg/Borcs6+ (more )
Structure Level Pattern Image Note
TS28: brown fat Present JAX_1373778

Specimen JAX_1373779: postnatal adult; Borcs6tm1.1(KOMP)Vlcg/Borcs6+ (more )
Structure Level Pattern Image Note
TS28: bladder Present JAX_1373779

Specimen JAX_1373780: postnatal adult; Borcs6tm1.1(KOMP)Vlcg/Borcs6+ (more )
Structure Level Pattern Image Note
TS28: Peyer's patch Present JAX_1373780

Specimen JAX_1373781: postnatal adult; Borcs6tm1.1(KOMP)Vlcg/Borcs6+ (more )
Structure Level Pattern Image Note
TS28: peripheral nervous system Present JAX_1373781

Specimen JAX_1373782: postnatal adult; Borcs6tm1.1(KOMP)Vlcg/Borcs6+ (more )
Structure Level Pattern Image Note
TS28: cartilage Present JAX_1373782

Specimen JAX_1373783: postnatal adult; Borcs6tm1.1(KOMP)Vlcg/Borcs6+ (more )
Structure Level Pattern Image Note
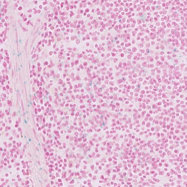
TS28: spleen Present JAX_1373783

Specimen JAX_1373784: postnatal adult; Borcs6tm1.1(KOMP)Vlcg/Borcs6+ (more )
Structure Level Pattern Image Note
TS28: pancreas Present JAX_1373784

Specimen JAX_1373785: postnatal adult; Borcs6tm1.1(KOMP)Vlcg/Borcs6+ (more )
Structure Level Pattern Image Note
TS28: aorta Present JAX_1373785

Specimen JAX_1373786: postnatal adult; Borcs6tm1.1(KOMP)Vlcg/Borcs6+ (more )
Structure Level Pattern Image Note
TS28: lung Present JAX_1373786

Specimen JAX_1373787: postnatal adult; Borcs6tm1.1(KOMP)Vlcg/Borcs6+ (more )
Structure Level Pattern Image Note
TS28: small intestine Present JAX_1373787

Specimen JAX_1373788: postnatal adult; Borcs6tm1.1(KOMP)Vlcg/Borcs6+ (more )
Structure Level Pattern Image Note
TS28: skeletal muscle tissue Present JAX_1373788

Specimen JAX_1373789: postnatal adult; Borcs6tm1.1(KOMP)Vlcg/Borcs6+ (more )
Structure Level Pattern Image Note
TS28: spinal cord Present JAX_1373789

Specimen JAX_1373790: postnatal adult; Borcs6tm1.1(KOMP)Vlcg/Borcs6+ (more )
Structure Level Pattern Image Note
TS28: esophagus Present JAX_1373790

Specimen JAX_1373791: postnatal adult; Borcs6tm1.1(KOMP)Vlcg/Borcs6+ (more )
Structure Level Pattern Image Note
TS28: large intestine Present JAX_1373791

Specimen JAX_1373792: postnatal adult; Borcs6tm1.1(KOMP)Vlcg/Borcs6+ (more )
Structure Level Pattern Image Note
TS28: trachea Present JAX_1373792

Specimen JAX_1373793: postnatal adult; Borcs6tm1.1(KOMP)Vlcg/Borcs6+ (more )
Structure Level Pattern Image Note
TS28: thymus Present JAX_1373793

Specimen JAX_1373794: postnatal adult; Borcs6tm1.1(KOMP)Vlcg/Borcs6+ (more )
Structure Level Pattern Image Note
TS28: testis Present JAX_1373794

Specimen JAX_1373795: postnatal adult; Borcs6tm1.1(KOMP)Vlcg/Borcs6+ (more )
Structure Level Pattern Image Note
TS28: stomach Present JAX_1373795

Specimen JAX_1373796: postnatal adult; Borcs6tm1.1(KOMP)Vlcg/Borcs6+ (more )
Structure Level Pattern Image Note
TS28: skin Present JAX_1373796

Specimen JAX_1373797: postnatal adult; Borcs6tm1.1(KOMP)Vlcg/Borcs6+ (more )
Structure Level Pattern Image Note
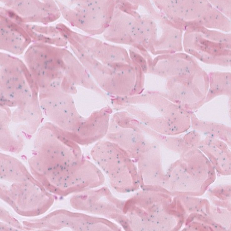
TS28: liver Present JAX_1373797

Specimen JAX_1373798: postnatal adult; Borcs6tm1.1(KOMP)Vlcg/Borcs6+ (more )
Structure Level Pattern Image Note
TS28: metanephros Present JAX_1373798 kidney

Specimen JAX_1373799: postnatal adult; Borcs6tm1.1(KOMP)Vlcg/Borcs6+ (more )
Structure Level Pattern Image Note
TS28: heart Present JAX_1373799

Specimen JAX_1373800: postnatal adult; Borcs6tm1.1(KOMP)Vlcg/Borcs6+ (more )
Structure Level Pattern Image Note
TS28: adrenal gland Present JAX_1373800


Contributing Projects:
Mouse Genome Database (MGD), Gene Expression Database (GXD), Mouse Models of Human Cancer database (MMHCdb) (formerly Mouse Tumor Biology (MTB)), Gene Ontology (GO)
Citing These Resources
Funding Information
Warranty Disclaimer, Privacy Notice, Licensing, & Copyright
Send questions and comments to User Support.
last database update
01/20/2026
MGI 6.24
The Jackson Laboratory