About   Help   FAQ
Gene Expression Data
Assay Details
Assay
Reference: J:228563 Koscielny G, et al., The International Mouse Phenotyping Consortium Web Portal, a unified point of access for knockout mice and related phenotyping data. Nucleic Acids Res. 2014 Jan;42(Database issue):D802-9
Assay type: In situ reporter (knock in)
MGI Accession ID: MGI:6691979
Gene symbol: Tmem106b
Gene name: transmembrane protein 106B
Reporter: lacZ
Direct Detection
Results
Specimen UC Davis_1866738: postnatal adult; Tmem106btm2b(KOMP)Wtsi/Tmem106b+ (more )
Structure Level Pattern Image Note
TS28: submandibular gland Present UC Davis_1866738

Specimen UC Davis_1866739: postnatal adult; Tmem106btm2b(KOMP)Wtsi/Tmem106b+ (more )
Structure Level Pattern Image Note
TS28: submandibular gland Present UC Davis_1866739

Specimen UC Davis_1866740: postnatal adult; Tmem106btm2b(KOMP)Wtsi/Tmem106b+ (more )
Structure Level Pattern Image Note
TS28: sublingual gland Present UC Davis_1866740

Specimen UC Davis_1866741: postnatal adult; Tmem106btm2b(KOMP)Wtsi/Tmem106b+ (more )
Structure Level Pattern Image Note
TS28: parotid gland Present UC Davis_1866741

Specimen UC Davis_1866742: postnatal adult; Tmem106btm2b(KOMP)Wtsi/Tmem106b+ (more )
Structure Level Pattern Image Note
TS28: trachea Present UC Davis_1866742

Specimen UC Davis_1866743: postnatal adult; Tmem106btm2b(KOMP)Wtsi/Tmem106b+ (more )
Structure Level Pattern Image Note
TS28: esophagus Present UC Davis_1866743

Specimen UC Davis_1866744: postnatal adult; Tmem106btm2b(KOMP)Wtsi/Tmem106b+ (more )
Structure Level Pattern Image Note
TS28: thyroid gland Present UC Davis_1866744

Specimen UC Davis_1866745: postnatal adult; Tmem106btm2b(KOMP)Wtsi/Tmem106b+ (more )
Structure Level Pattern Image Note
TS28: parathyroid gland Present UC Davis_1866745

Specimen UC Davis_1866746: postnatal adult; Tmem106btm2b(KOMP)Wtsi/Tmem106b+ (more )
Structure Level Pattern Image Note
TS28: aorta Present UC Davis_1866746

Specimen UC Davis_1866747: postnatal adult; Tmem106btm2b(KOMP)Wtsi/Tmem106b+ (more )
Structure Level Pattern Image Note
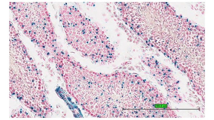
TS28: thymus Present UC Davis_1866747

Specimen UC Davis_1866752: postnatal adult; Tmem106btm2b(KOMP)Wtsi/Tmem106b+ (more )
Structure Level Pattern Image Note
TS28: stomach Present UC Davis_1866752

Specimen UC Davis_1866753: postnatal adult; Tmem106btm2b(KOMP)Wtsi/Tmem106b+ (more )
Structure Level Pattern Image Note
TS28: stomach Present UC Davis_1866753

Specimen UC Davis_1866754: postnatal adult; Tmem106btm2b(KOMP)Wtsi/Tmem106b+ (more )
Structure Level Pattern Image Note
TS28: stomach Present UC Davis_1866754

Specimen UC Davis_1866755: postnatal adult; Tmem106btm2b(KOMP)Wtsi/Tmem106b+ (more )
Structure Level Pattern Image Note
TS28: jejunum Present UC Davis_1866755

Specimen UC Davis_1866756: postnatal adult; Tmem106btm2b(KOMP)Wtsi/Tmem106b+ (more )
Structure Level Pattern Image Note
TS28: ileum Present UC Davis_1866756

Specimen UC Davis_1866757: postnatal adult; Tmem106btm2b(KOMP)Wtsi/Tmem106b+ (more )
Structure Level Pattern Image Note
TS28: colon Present UC Davis_1866757

Specimen UC Davis_1866758: postnatal adult; Tmem106btm2b(KOMP)Wtsi/Tmem106b+ (more )
Structure Level Pattern Image Note
TS28: colon Present UC Davis_1866758

Specimen UC Davis_1866759: postnatal adult; Tmem106btm2b(KOMP)Wtsi/Tmem106b+ (more )
Structure Level Pattern Image Note
TS28: cecum Present UC Davis_1866759

Specimen UC Davis_1866760: postnatal adult; Tmem106btm2b(KOMP)Wtsi/Tmem106b+ (more )
Structure Level Pattern Image Note
TS28: liver Present UC Davis_1866760

Specimen UC Davis_1866761: postnatal adult; Tmem106btm2b(KOMP)Wtsi/Tmem106b+ (more )
Structure Level Pattern Image Note
TS28: liver Present UC Davis_1866761

Specimen UC Davis_1866762: postnatal adult; Tmem106btm2b(KOMP)Wtsi/Tmem106b+ (more )
Structure Level Pattern Image Note
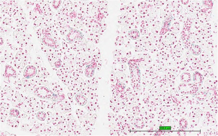
TS28: metanephros Present UC Davis_1866762 kidney

Specimen UC Davis_1866763: postnatal adult; Tmem106btm2b(KOMP)Wtsi/Tmem106b+ (more )
Structure Level Pattern Image Note
TS28: metanephros Present UC Davis_1866763 kidney

Specimen UC Davis_1866764: postnatal adult; Tmem106btm2b(KOMP)Wtsi/Tmem106b+ (more )
Structure Level Pattern Image Note
TS28: metanephros Present UC Davis_1866764 kidney

Specimen UC Davis_1866765: postnatal adult; Tmem106btm2b(KOMP)Wtsi/Tmem106b+ (more )
Structure Level Pattern Image Note
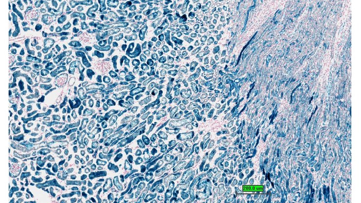
TS28: quadriceps femoris muscle Present UC Davis_1866765

Specimen UC Davis_1866766: postnatal adult; Tmem106btm2b(KOMP)Wtsi/Tmem106b+ (more )
Structure Level Pattern Image Note
TS28: quadriceps femoris muscle Present UC Davis_1866766

Specimen UC Davis_1866767: postnatal adult; Tmem106btm2b(KOMP)Wtsi/Tmem106b+ (more )
Structure Level Pattern Image Note
TS28: quadriceps femoris muscle Present UC Davis_1866767

Specimen UC Davis_1866768: postnatal adult; Tmem106btm2b(KOMP)Wtsi/Tmem106b+ (more )
Structure Level Pattern Image Note
TS28: tongue Present UC Davis_1866768

Specimen UC Davis_1866769: postnatal adult; Tmem106btm2b(KOMP)Wtsi/Tmem106b+ (more )
Structure Level Pattern Image Note
TS28: tongue Present UC Davis_1866769

Specimen UC Davis_1866770: postnatal adult; Tmem106btm2b(KOMP)Wtsi/Tmem106b+ (more )
Structure Level Pattern Image Note
TS28: tongue Present UC Davis_1866770

Specimen UC Davis_1866771: postnatal adult; Tmem106btm2b(KOMP)Wtsi/Tmem106b+ (more )
Structure Level Pattern Image Note
TS28: diaphragm Present UC Davis_1866771

Specimen UC Davis_1866772: postnatal adult; Tmem106btm2b(KOMP)Wtsi/Tmem106b+ (more )
Structure Level Pattern Image Note
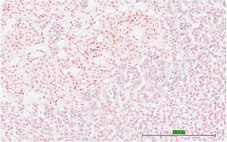
TS28: adrenal gland Present UC Davis_1866772

Specimen UC Davis_1866773: postnatal adult; Tmem106btm2b(KOMP)Wtsi/Tmem106b+ (more )
Structure Level Pattern Image Note
TS28: adrenal gland Present UC Davis_1866773

Specimen UC Davis_1866774: postnatal adult; Tmem106btm2b(KOMP)Wtsi/Tmem106b+ (more )
Structure Level Pattern Image Note
TS28: adrenal gland Present UC Davis_1866774

Specimen UC Davis_1866775: postnatal adult; Tmem106btm2b(KOMP)Wtsi/Tmem106b+ (more )
Structure Level Pattern Image Note
TS28: spinal cord Present UC Davis_1866775

Specimen UC Davis_1866776: postnatal adult; Tmem106btm2b(KOMP)Wtsi/Tmem106b+ (more )
Structure Level Pattern Image Note
TS28: spinal cord Present UC Davis_1866776

Specimen UC Davis_1866777: postnatal adult; Tmem106btm2b(KOMP)Wtsi/Tmem106b+ (more )
Structure Level Pattern Image Note
TS28: eye Present UC Davis_1866777

Specimen UC Davis_1866778: postnatal adult; Tmem106btm2b(KOMP)Wtsi/Tmem106b+ (more )
Structure Level Pattern Image Note
TS28: eye Present UC Davis_1866778

Specimen UC Davis_1866779: postnatal adult; Tmem106btm2b(KOMP)Wtsi/Tmem106b+ (more )
Structure Level Pattern Image Note
TS28: eye Present UC Davis_1866779

Specimen UC Davis_1866780: postnatal adult; Tmem106btm2b(KOMP)Wtsi/Tmem106b+ (more )
Structure Level Pattern Image Note
TS28: Harderian gland Present UC Davis_1866780

Specimen UC Davis_1866781: postnatal adult; Tmem106btm2b(KOMP)Wtsi/Tmem106b+ (more )
Structure Level Pattern Image Note
TS28: Harderian gland Present UC Davis_1866781

Specimen UC Davis_1866782: postnatal adult; Tmem106btm2b(KOMP)Wtsi/Tmem106b+ (more )
Structure Level Pattern Image Note
TS28: gonadal fat pad Present UC Davis_1866782

Specimen UC Davis_1866783: postnatal adult; Tmem106btm2b(KOMP)Wtsi/Tmem106b+ (more )
Structure Level Pattern Image Note
TS28: skin Present UC Davis_1866783

Specimen UC Davis_1866784: postnatal adult; Tmem106btm2b(KOMP)Wtsi/Tmem106b+ (more )
Structure Level Pattern Image Note
TS28: skin Present UC Davis_1866784

Specimen UC Davis_1866785: postnatal adult; Tmem106btm2b(KOMP)Wtsi/Tmem106b+ (more )
Structure Level Pattern Image Note
TS28: olfactory lobe Present UC Davis_1866785

Specimen UC Davis_1866788: postnatal adult; Tmem106btm2b(KOMP)Wtsi/Tmem106b+ (more )
Structure Level Pattern Image Note
TS28: midbrain Present UC Davis_1866788

Specimen UC Davis_1866790: postnatal adult; Tmem106btm2b(KOMP)Wtsi/Tmem106b+ (more )
Structure Level Pattern Image Note
TS28: cerebellum Present UC Davis_1866790

Specimen UC Davis_1866791: postnatal adult; Tmem106btm2b(KOMP)Wtsi/Tmem106b+ (more )
Structure Level Pattern Image Note
TS28: trigeminal nerve Present UC Davis_1866791

Specimen UC Davis_1866792: postnatal adult; Tmem106btm2b(KOMP)Wtsi/Tmem106b+ (more )
Structure Level Pattern Image Note
TS28: uterus Present UC Davis_1866792

Specimen UC Davis_1866793: postnatal adult; Tmem106btm2b(KOMP)Wtsi/Tmem106b+ (more )
Structure Level Pattern Image Note
TS28: uterus Present UC Davis_1866793

Specimen UC Davis_1866794: postnatal adult; Tmem106btm2b(KOMP)Wtsi/Tmem106b+ (more )
Structure Level Pattern Image Note
TS28: uterus Present UC Davis_1866794

Specimen UC Davis_1866795: postnatal adult; Tmem106btm2b(KOMP)Wtsi/Tmem106b+ (more )
Structure Level Pattern Image Note
TS28: bladder Present UC Davis_1866795

Specimen UC Davis_1866796: postnatal adult; Tmem106btm2b(KOMP)Wtsi/Tmem106b+ (more )
Structure Level Pattern Image Note
TS28: bladder Present UC Davis_1866796

Specimen UC Davis_1866797: postnatal adult; Tmem106btm2b(KOMP)Wtsi/Tmem106b+ (more )
Structure Level Pattern Image Note
TS28: mammary gland Present UC Davis_1866797

Specimen UC Davis_1866662: postnatal adult; Tmem106btm2b(KOMP)Wtsi/Tmem106b+ (more )
Structure Level Pattern Image Note
TS28: submandibular gland Present UC Davis_1866662

Specimen UC Davis_1866663: postnatal adult; Tmem106btm2b(KOMP)Wtsi/Tmem106b+ (more )
Structure Level Pattern Image Note
TS28: submandibular gland Present UC Davis_1866663

Specimen UC Davis_1866664: postnatal adult; Tmem106btm2b(KOMP)Wtsi/Tmem106b+ (more )
Structure Level Pattern Image Note
TS28: sublingual gland Present UC Davis_1866664

Specimen UC Davis_1866665: postnatal adult; Tmem106btm2b(KOMP)Wtsi/Tmem106b+ (more )
Structure Level Pattern Image Note
TS28: sublingual gland Present UC Davis_1866665

Specimen UC Davis_1866666: postnatal adult; Tmem106btm2b(KOMP)Wtsi/Tmem106b+ (more )
Structure Level Pattern Image Note
TS28: parotid gland Present UC Davis_1866666

Specimen UC Davis_1866667: postnatal adult; Tmem106btm2b(KOMP)Wtsi/Tmem106b+ (more )
Structure Level Pattern Image Note
TS28: parotid gland Present UC Davis_1866667

Specimen UC Davis_1866668: postnatal adult; Tmem106btm2b(KOMP)Wtsi/Tmem106b+ (more )
Structure Level Pattern Image Note
TS28: trachea Present UC Davis_1866668

Specimen UC Davis_1866669: postnatal adult; Tmem106btm2b(KOMP)Wtsi/Tmem106b+ (more )
Structure Level Pattern Image Note
TS28: trachea Present UC Davis_1866669

Specimen UC Davis_1866670: postnatal adult; Tmem106btm2b(KOMP)Wtsi/Tmem106b+ (more )
Structure Level Pattern Image Note
TS28: esophagus Present UC Davis_1866670

Specimen UC Davis_1866671: postnatal adult; Tmem106btm2b(KOMP)Wtsi/Tmem106b+ (more )
Structure Level Pattern Image Note
TS28: esophagus Present UC Davis_1866671

Specimen UC Davis_1866674: postnatal adult; Tmem106btm2b(KOMP)Wtsi/Tmem106b+ (more )
Structure Level Pattern Image Note
TS28: aorta Present UC Davis_1866674

Specimen UC Davis_1866675: postnatal adult; Tmem106btm2b(KOMP)Wtsi/Tmem106b+ (more )
Structure Level Pattern Image Note
TS28: aorta Present UC Davis_1866675

Specimen UC Davis_1866676: postnatal adult; Tmem106btm2b(KOMP)Wtsi/Tmem106b+ (more )
Structure Level Pattern Image Note
TS28: lung Present UC Davis_1866676

Specimen UC Davis_1866677: postnatal adult; Tmem106btm2b(KOMP)Wtsi/Tmem106b+ (more )
Structure Level Pattern Image Note
TS28: thymus Present UC Davis_1866677

Specimen UC Davis_1866682: postnatal adult; Tmem106btm2b(KOMP)Wtsi/Tmem106b+ (more )
Structure Level Pattern Image Note
TS28: stomach Present UC Davis_1866682

Specimen UC Davis_1866683: postnatal adult; Tmem106btm2b(KOMP)Wtsi/Tmem106b+ (more )
Structure Level Pattern Image Note
TS28: stomach Present UC Davis_1866683

Specimen UC Davis_1866684: postnatal adult; Tmem106btm2b(KOMP)Wtsi/Tmem106b+ (more )
Structure Level Pattern Image Note
TS28: stomach Present UC Davis_1866684

Specimen UC Davis_1866685: postnatal adult; Tmem106btm2b(KOMP)Wtsi/Tmem106b+ (more )
Structure Level Pattern Image Note
TS28: stomach Present UC Davis_1866685

Specimen UC Davis_1866686: postnatal adult; Tmem106btm2b(KOMP)Wtsi/Tmem106b+ (more )
Structure Level Pattern Image Note
TS28: duodenum Present UC Davis_1866686

Specimen UC Davis_1866687: postnatal adult; Tmem106btm2b(KOMP)Wtsi/Tmem106b+ (more )
Structure Level Pattern Image Note
TS28: ileum Present UC Davis_1866687

Specimen UC Davis_1866688: postnatal adult; Tmem106btm2b(KOMP)Wtsi/Tmem106b+ (more )
Structure Level Pattern Image Note
TS28: ileum Present UC Davis_1866688

Specimen UC Davis_1866689: postnatal adult; Tmem106btm2b(KOMP)Wtsi/Tmem106b+ (more )
Structure Level Pattern Image Note
TS28: colon Present UC Davis_1866689

Specimen UC Davis_1866690: postnatal adult; Tmem106btm2b(KOMP)Wtsi/Tmem106b+ (more )
Structure Level Pattern Image Note
TS28: cecum Present UC Davis_1866690

Specimen UC Davis_1866691: postnatal adult; Tmem106btm2b(KOMP)Wtsi/Tmem106b+ (more )
Structure Level Pattern Image Note
TS28: spleen Present UC Davis_1866691

Specimen UC Davis_1866692: postnatal adult; Tmem106btm2b(KOMP)Wtsi/Tmem106b+ (more )
Structure Level Pattern Image Note
TS28: pancreas Present UC Davis_1866692

Specimen UC Davis_1866693: postnatal adult; Tmem106btm2b(KOMP)Wtsi/Tmem106b+ (more )
Structure Level Pattern Image Note
TS28: liver Present UC Davis_1866693

Specimen UC Davis_1866694: postnatal adult; Tmem106btm2b(KOMP)Wtsi/Tmem106b+ (more )
Structure Level Pattern Image Note
TS28: liver Present UC Davis_1866694

Specimen UC Davis_1866695: postnatal adult; Tmem106btm2b(KOMP)Wtsi/Tmem106b+ (more )
Structure Level Pattern Image Note
TS28: metanephros Absent UC Davis_1866695 kidney

Specimen UC Davis_1866696: postnatal adult; Tmem106btm2b(KOMP)Wtsi/Tmem106b+ (more )
Structure Level Pattern Image Note
TS28: metanephros Absent UC Davis_1866696 kidney

Specimen UC Davis_1866697: postnatal adult; Tmem106btm2b(KOMP)Wtsi/Tmem106b+ (more )
Structure Level Pattern Image Note
TS28: metanephros Absent UC Davis_1866697 kidney

Specimen UC Davis_1866698: postnatal adult; Tmem106btm2b(KOMP)Wtsi/Tmem106b+ (more )
Structure Level Pattern Image Note
TS28: quadriceps femoris muscle Present UC Davis_1866698

Specimen UC Davis_1866699: postnatal adult; Tmem106btm2b(KOMP)Wtsi/Tmem106b+ (more )
Structure Level Pattern Image Note
TS28: quadriceps femoris muscle Present UC Davis_1866699

Specimen UC Davis_1866700: postnatal adult; Tmem106btm2b(KOMP)Wtsi/Tmem106b+ (more )
Structure Level Pattern Image Note
TS28: quadriceps femoris muscle Present UC Davis_1866700

Specimen UC Davis_1866701: postnatal adult; Tmem106btm2b(KOMP)Wtsi/Tmem106b+ (more )
Structure Level Pattern Image Note
TS28: tongue Present UC Davis_1866701

Specimen UC Davis_1866702: postnatal adult; Tmem106btm2b(KOMP)Wtsi/Tmem106b+ (more )
Structure Level Pattern Image Note
TS28: tongue Present UC Davis_1866702

Specimen UC Davis_1866703: postnatal adult; Tmem106btm2b(KOMP)Wtsi/Tmem106b+ (more )
Structure Level Pattern Image Note
TS28: tongue Present UC Davis_1866703

Specimen UC Davis_1866704: postnatal adult; Tmem106btm2b(KOMP)Wtsi/Tmem106b+ (more )
Structure Level Pattern Image Note
TS28: diaphragm Present UC Davis_1866704

Specimen UC Davis_1866705: postnatal adult; Tmem106btm2b(KOMP)Wtsi/Tmem106b+ (more )
Structure Level Pattern Image Note
TS28: diaphragm Present UC Davis_1866705

Specimen UC Davis_1866706: postnatal adult; Tmem106btm2b(KOMP)Wtsi/Tmem106b+ (more )
Structure Level Pattern Image Note
TS28: adrenal gland Present UC Davis_1866706

Specimen UC Davis_1866707: postnatal adult; Tmem106btm2b(KOMP)Wtsi/Tmem106b+ (more )
Structure Level Pattern Image Note
TS28: adrenal gland Present UC Davis_1866707

Specimen UC Davis_1866708: postnatal adult; Tmem106btm2b(KOMP)Wtsi/Tmem106b+ (more )
Structure Level Pattern Image Note
TS28: spinal cord Present UC Davis_1866708

Specimen UC Davis_1866709: postnatal adult; Tmem106btm2b(KOMP)Wtsi/Tmem106b+ (more )
Structure Level Pattern Image Note
TS28: spinal cord Present UC Davis_1866709

Specimen UC Davis_1866710: postnatal adult; Tmem106btm2b(KOMP)Wtsi/Tmem106b+ (more )
Structure Level Pattern Image Note
TS28: eye Present UC Davis_1866710

Specimen UC Davis_1866711: postnatal adult; Tmem106btm2b(KOMP)Wtsi/Tmem106b+ (more )
Structure Level Pattern Image Note
TS28: eye Present UC Davis_1866711

Specimen UC Davis_1866712: postnatal adult; Tmem106btm2b(KOMP)Wtsi/Tmem106b+ (more )
Structure Level Pattern Image Note
TS28: Harderian gland Present UC Davis_1866712

Specimen UC Davis_1866713: postnatal adult; Tmem106btm2b(KOMP)Wtsi/Tmem106b+ (more )
Structure Level Pattern Image Note
TS28: Harderian gland Present UC Davis_1866713

Specimen UC Davis_1866714: postnatal adult; Tmem106btm2b(KOMP)Wtsi/Tmem106b+ (more )
Structure Level Pattern Image Note
TS28: skin Present UC Davis_1866714

Specimen UC Davis_1866715: postnatal adult; Tmem106btm2b(KOMP)Wtsi/Tmem106b+ (more )
Structure Level Pattern Image Note
TS28: skin Present UC Davis_1866715

Specimen UC Davis_1866716: postnatal adult; Tmem106btm2b(KOMP)Wtsi/Tmem106b+ (more )
Structure Level Pattern Image Note
TS28: brown fat Present UC Davis_1866716

Specimen UC Davis_1866717: postnatal adult; Tmem106btm2b(KOMP)Wtsi/Tmem106b+ (more )
Structure Level Pattern Image Note
TS28: brown fat Present UC Davis_1866717

Specimen UC Davis_1866718: postnatal adult; Tmem106btm2b(KOMP)Wtsi/Tmem106b+ (more )
Structure Level Pattern Image Note
TS28: olfactory lobe Present UC Davis_1866718

Specimen UC Davis_1866720: postnatal adult; Tmem106btm2b(KOMP)Wtsi/Tmem106b+ (more )
Structure Level Pattern Image Note
TS28: midbrain Present UC Davis_1866720

Specimen UC Davis_1866722: postnatal adult; Tmem106btm2b(KOMP)Wtsi/Tmem106b+ (more )
Structure Level Pattern Image Note
TS28: cerebellum Present UC Davis_1866722

Specimen UC Davis_1866723: postnatal adult; Tmem106btm2b(KOMP)Wtsi/Tmem106b+ (more )
Structure Level Pattern Image Note
TS28: trigeminal nerve Present UC Davis_1866723

Specimen UC Davis_1866724: postnatal adult; Tmem106btm2b(KOMP)Wtsi/Tmem106b+ (more )
Structure Level Pattern Image Note
TS28: testis Present UC Davis_1866724

Specimen UC Davis_1866725: postnatal adult; Tmem106btm2b(KOMP)Wtsi/Tmem106b+ (more )
Structure Level Pattern Image Note
TS28: testis Present UC Davis_1866725

Specimen UC Davis_1866726: postnatal adult; Tmem106btm2b(KOMP)Wtsi/Tmem106b+ (more )
Structure Level Pattern Image Note
TS28: epididymis Present UC Davis_1866726

Specimen UC Davis_1866727: postnatal adult; Tmem106btm2b(KOMP)Wtsi/Tmem106b+ (more )
Structure Level Pattern Image Note
TS28: epididymis Present UC Davis_1866727

Specimen UC Davis_1866728: postnatal adult; Tmem106btm2b(KOMP)Wtsi/Tmem106b+ (more )
Structure Level Pattern Image Note
TS28: prostate gland Present UC Davis_1866728

Specimen UC Davis_1866729: postnatal adult; Tmem106btm2b(KOMP)Wtsi/Tmem106b+ (more )
Structure Level Pattern Image Note
TS28: prostate gland Present UC Davis_1866729

Specimen UC Davis_1866730: postnatal adult; Tmem106btm2b(KOMP)Wtsi/Tmem106b+ (more )
Structure Level Pattern Image Note
TS28: penis Present UC Davis_1866730

Specimen UC Davis_1866731: postnatal adult; Tmem106btm2b(KOMP)Wtsi/Tmem106b+ (more )
Structure Level Pattern Image Note
TS28: penis Present UC Davis_1866731

Specimen UC Davis_1866733: postnatal adult; Tmem106btm2b(KOMP)Wtsi/Tmem106b+ (more )
Structure Level Pattern Image Note
TS28: ductus deferens Present UC Davis_1866733 vas deferens

Specimen UC Davis_1866734: postnatal adult; Tmem106btm2b(KOMP)Wtsi/Tmem106b+ (more )
Structure Level Pattern Image Note
TS28: ductus deferens Present UC Davis_1866734 vas deferens

Specimen UC Davis_1866736: postnatal adult; Tmem106btm2b(KOMP)Wtsi/Tmem106b+ (more )
Structure Level Pattern Image Note
TS28: seminal vesicle Present UC Davis_1866736 vesicular gland

Specimen UC Davis_1866737: postnatal adult; Tmem106btm2b(KOMP)Wtsi/Tmem106b+ (more )
Structure Level Pattern Image Note
TS28: seminal vesicle Present UC Davis_1866737 vesicular gland


Contributing Projects:
Mouse Genome Database (MGD), Gene Expression Database (GXD), Mouse Models of Human Cancer database (MMHCdb) (formerly Mouse Tumor Biology (MTB)), Gene Ontology (GO)
Citing These Resources
Funding Information
Warranty Disclaimer, Privacy Notice, Licensing, & Copyright
Send questions and comments to User Support.
last database update
01/20/2026
MGI 6.24
The Jackson Laboratory