About   Help   FAQ
Gene Expression Data
Assay Details
Assay
Reference: J:228563 Koscielny G, et al., The International Mouse Phenotyping Consortium Web Portal, a unified point of access for knockout mice and related phenotyping data. Nucleic Acids Res. 2014 Jan;42(Database issue):D802-9
Assay type: In situ reporter (knock in)
MGI Accession ID: MGI:6691977
Gene symbol: Epn3
Gene name: epsin 3
Reporter: lacZ
Direct Detection
Results
Specimen UC Davis_1855663: postnatal adult; Epn3tm1b(KOMP)Wtsi/Epn3+ (more )
Structure Level Pattern Image Note
TS28: submandibular gland Present UC Davis_1855663

Specimen UC Davis_1855664: postnatal adult; Epn3tm1b(KOMP)Wtsi/Epn3+ (more )
Structure Level Pattern Image Note
TS28: submandibular gland Present UC Davis_1855664

Specimen UC Davis_1855665: postnatal adult; Epn3tm1b(KOMP)Wtsi/Epn3+ (more )
Structure Level Pattern Image Note
TS28: submandibular gland Present UC Davis_1855665

Specimen UC Davis_1855666: postnatal adult; Epn3tm1b(KOMP)Wtsi/Epn3+ (more )
Structure Level Pattern Image Note
TS28: sublingual gland Present UC Davis_1855666

Specimen UC Davis_1855667: postnatal adult; Epn3tm1b(KOMP)Wtsi/Epn3+ (more )
Structure Level Pattern Image Note
TS28: sublingual gland Present UC Davis_1855667

Specimen UC Davis_1855668: postnatal adult; Epn3tm1b(KOMP)Wtsi/Epn3+ (more )
Structure Level Pattern Image Note
TS28: sublingual gland Present UC Davis_1855668

Specimen UC Davis_1855669: postnatal adult; Epn3tm1b(KOMP)Wtsi/Epn3+ (more )
Structure Level Pattern Image Note
TS28: parotid gland Present UC Davis_1855669

Specimen UC Davis_1855670: postnatal adult; Epn3tm1b(KOMP)Wtsi/Epn3+ (more )
Structure Level Pattern Image Note
TS28: esophagus Present UC Davis_1855670

Specimen UC Davis_1855671: postnatal adult; Epn3tm1b(KOMP)Wtsi/Epn3+ (more )
Structure Level Pattern Image Note
TS28: esophagus Present UC Davis_1855671

Specimen UC Davis_1855672: postnatal adult; Epn3tm1b(KOMP)Wtsi/Epn3+ (more )
Structure Level Pattern Image Note
TS28: esophagus Present UC Davis_1855672

Specimen UC Davis_1855673: postnatal adult; Epn3tm1b(KOMP)Wtsi/Epn3+ (more )
Structure Level Pattern Image Note
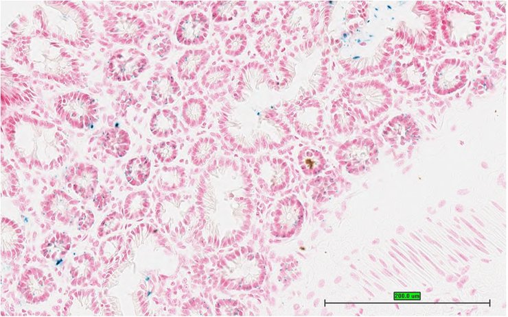
TS28: stomach Present UC Davis_1855673

Specimen UC Davis_1855674: postnatal adult; Epn3tm1b(KOMP)Wtsi/Epn3+ (more )
Structure Level Pattern Image Note
TS28: stomach Present UC Davis_1855674

Specimen UC Davis_1855675: postnatal adult; Epn3tm1b(KOMP)Wtsi/Epn3+ (more )
Structure Level Pattern Image Note
TS28: stomach Present UC Davis_1855675

Specimen UC Davis_1855676: postnatal adult; Epn3tm1b(KOMP)Wtsi/Epn3+ (more )
Structure Level Pattern Image Note
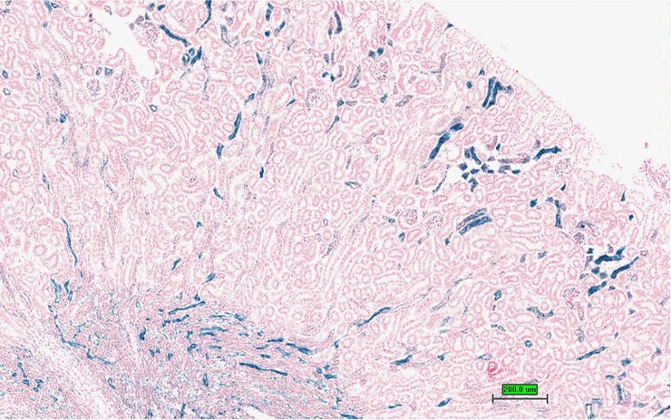
TS28: metanephros Absent UC Davis_1855676 kidney

Specimen UC Davis_1855677: postnatal adult; Epn3tm1b(KOMP)Wtsi/Epn3+ (more )
Structure Level Pattern Image Note
TS28: metanephros Absent UC Davis_1855677 kidney

Specimen UC Davis_1855678: postnatal adult; Epn3tm1b(KOMP)Wtsi/Epn3+ (more )
Structure Level Pattern Image Note
TS28: metanephros Absent UC Davis_1855678 kidney

Specimen UC Davis_1855679: postnatal adult; Epn3tm1b(KOMP)Wtsi/Epn3+ (more )
Structure Level Pattern Image Note
TS28: metanephros Absent UC Davis_1855679 kidney

Specimen UC Davis_1855680: postnatal adult; Epn3tm1b(KOMP)Wtsi/Epn3+ (more )
Structure Level Pattern Image Note
TS28: tongue Present UC Davis_1855680

Specimen UC Davis_1855681: postnatal adult; Epn3tm1b(KOMP)Wtsi/Epn3+ (more )
Structure Level Pattern Image Note
TS28: tongue Present UC Davis_1855681

Specimen UC Davis_1855682: postnatal adult; Epn3tm1b(KOMP)Wtsi/Epn3+ (more )
Structure Level Pattern Image Note
TS28: tongue Present UC Davis_1855682

Specimen UC Davis_1855683: postnatal adult; Epn3tm1b(KOMP)Wtsi/Epn3+ (more )
Structure Level Pattern Image Note
TS28: eye Present UC Davis_1855683

Specimen UC Davis_1855684: postnatal adult; Epn3tm1b(KOMP)Wtsi/Epn3+ (more )
Structure Level Pattern Image Note
TS28: eye Present UC Davis_1855684

Specimen UC Davis_1855685: postnatal adult; Epn3tm1b(KOMP)Wtsi/Epn3+ (more )
Structure Level Pattern Image Note
TS28: eye Present UC Davis_1855685

Specimen UC Davis_1855686: postnatal adult; Epn3tm1b(KOMP)Wtsi/Epn3+ (more )
Structure Level Pattern Image Note
TS28: Harderian gland Absent UC Davis_1855686

Specimen UC Davis_1855687: postnatal adult; Epn3tm1b(KOMP)Wtsi/Epn3+ (more )
Structure Level Pattern Image Note
TS28: Harderian gland Absent UC Davis_1855687

Specimen UC Davis_1855688: postnatal adult; Epn3tm1b(KOMP)Wtsi/Epn3+ (more )
Structure Level Pattern Image Note
TS28: Harderian gland Absent UC Davis_1855688

Specimen UC Davis_1855689: postnatal adult; Epn3tm1b(KOMP)Wtsi/Epn3+ (more )
Structure Level Pattern Image Note
TS28: skin Present UC Davis_1855689

Specimen UC Davis_1855690: postnatal adult; Epn3tm1b(KOMP)Wtsi/Epn3+ (more )
Structure Level Pattern Image Note
TS28: skin Present UC Davis_1855690

Specimen UC Davis_1855691: postnatal adult; Epn3tm1b(KOMP)Wtsi/Epn3+ (more )
Structure Level Pattern Image Note
TS28: skin Present UC Davis_1855691

Specimen UC Davis_1855692: postnatal adult; Epn3tm1b(KOMP)Wtsi/Epn3+ (more )
Structure Level Pattern Image Note
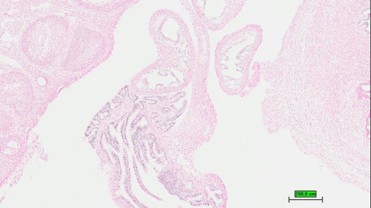
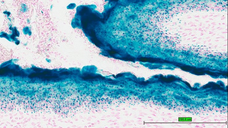
TS28: oviduct Present UC Davis_1855692

Specimen UC Davis_1855693: postnatal adult; Epn3tm1b(KOMP)Wtsi/Epn3+ (more )
Structure Level Pattern Image Note
TS28: oviduct Present UC Davis_1855693

Specimen UC Davis_1855694: postnatal adult; Epn3tm1b(KOMP)Wtsi/Epn3+ (more )
Structure Level Pattern Image Note
TS28: oviduct Present UC Davis_1855694

Specimen UC Davis_1855695: postnatal adult; Epn3tm1b(KOMP)Wtsi/Epn3+ (more )
Structure Level Pattern Image Note
TS28: uterus Present UC Davis_1855695

Specimen UC Davis_1855696: postnatal adult; Epn3tm1b(KOMP)Wtsi/Epn3+ (more )
Structure Level Pattern Image Note
TS28: uterus Present UC Davis_1855696

Specimen UC Davis_1855697: postnatal adult; Epn3tm1b(KOMP)Wtsi/Epn3+ (more )
Structure Level Pattern Image Note
TS28: uterus Present UC Davis_1855697

Specimen UC Davis_1855698: postnatal adult; Epn3tm1b(KOMP)Wtsi/Epn3+ (more )
Structure Level Pattern Image Note
TS28: vagina Present UC Davis_1855698

Specimen UC Davis_1855699: postnatal adult; Epn3tm1b(KOMP)Wtsi/Epn3+ (more )
Structure Level Pattern Image Note
TS28: vagina Present UC Davis_1855699

Specimen UC Davis_1855700: postnatal adult; Epn3tm1b(KOMP)Wtsi/Epn3+ (more )
Structure Level Pattern Image Note
TS28: vagina Present UC Davis_1855700

Specimen UC Davis_1855701: postnatal adult; Epn3tm1b(KOMP)Wtsi/Epn3+ (more )
Structure Level Pattern Image Note
TS28: bladder Present UC Davis_1855701

Specimen UC Davis_1855702: postnatal adult; Epn3tm1b(KOMP)Wtsi/Epn3+ (more )
Structure Level Pattern Image Note
TS28: bladder Present UC Davis_1855702

Specimen UC Davis_1855703: postnatal adult; Epn3tm1b(KOMP)Wtsi/Epn3+ (more )
Structure Level Pattern Image Note
TS28: bladder Present UC Davis_1855703

Specimen UC Davis_1855704: postnatal adult; Epn3tm1b(KOMP)Wtsi/Epn3+ (more )
Structure Level Pattern Image Note
TS28: bladder Present UC Davis_1855704

Specimen UC Davis_1855734: postnatal adult; Epn3tm1b(KOMP)Wtsi/Epn3+ (more )
Structure Level Pattern Image Note
TS28: metanephros Present UC Davis_1855734 kidney

Specimen UC Davis_1855735: postnatal adult; Epn3tm1b(KOMP)Wtsi/Epn3+ (more )
Structure Level Pattern Image Note
TS28: Harderian gland Present UC Davis_1855735

Specimen UC Davis_1855736: postnatal adult; Epn3tm1b(KOMP)Wtsi/Epn3+ (more )
Structure Level Pattern Image Note
TS28: ovary Present UC Davis_1855736

Specimen UC Davis_1855737: postnatal adult; Epn3tm1b(KOMP)Wtsi/Epn3+ (more )
Structure Level Pattern Image Note
TS28: oviduct Present UC Davis_1855737

Specimen UC Davis_1855738: postnatal adult; Epn3tm1b(KOMP)Wtsi/Epn3+ (more )
Structure Level Pattern Image Note
TS28: uterus Present UC Davis_1855738

Specimen UC Davis_1855609: postnatal adult; Epn3tm1b(KOMP)Wtsi/Epn3+ (more )
Structure Level Pattern Image Note
TS28: submandibular gland Present UC Davis_1855609

Specimen UC Davis_1855610: postnatal adult; Epn3tm1b(KOMP)Wtsi/Epn3+ (more )
Structure Level Pattern Image Note
TS28: submandibular gland Present UC Davis_1855610

Specimen UC Davis_1855611: postnatal adult; Epn3tm1b(KOMP)Wtsi/Epn3+ (more )
Structure Level Pattern Image Note
TS28: submandibular gland Present UC Davis_1855611

Specimen UC Davis_1855612: postnatal adult; Epn3tm1b(KOMP)Wtsi/Epn3+ (more )
Structure Level Pattern Image Note
TS28: sublingual gland Present UC Davis_1855612

Specimen UC Davis_1855613: postnatal adult; Epn3tm1b(KOMP)Wtsi/Epn3+ (more )
Structure Level Pattern Image Note
TS28: sublingual gland Present UC Davis_1855613

Specimen UC Davis_1855614: postnatal adult; Epn3tm1b(KOMP)Wtsi/Epn3+ (more )
Structure Level Pattern Image Note
TS28: parotid gland Present UC Davis_1855614

Specimen UC Davis_1855615: postnatal adult; Epn3tm1b(KOMP)Wtsi/Epn3+ (more )
Structure Level Pattern Image Note
TS28: parotid gland Present UC Davis_1855615

Specimen UC Davis_1855616: postnatal adult; Epn3tm1b(KOMP)Wtsi/Epn3+ (more )
Structure Level Pattern Image Note
TS28: trachea Present UC Davis_1855616

Specimen UC Davis_1855617: postnatal adult; Epn3tm1b(KOMP)Wtsi/Epn3+ (more )
Structure Level Pattern Image Note
TS28: esophagus Present UC Davis_1855617

Specimen UC Davis_1855618: postnatal adult; Epn3tm1b(KOMP)Wtsi/Epn3+ (more )
Structure Level Pattern Image Note
TS28: esophagus Present UC Davis_1855618

Specimen UC Davis_1855619: postnatal adult; Epn3tm1b(KOMP)Wtsi/Epn3+ (more )
Structure Level Pattern Image Note
TS28: esophagus Present UC Davis_1855619

Specimen UC Davis_1855620: postnatal adult; Epn3tm1b(KOMP)Wtsi/Epn3+ (more )
Structure Level Pattern Image Note
TS28: thyroid gland Present UC Davis_1855620

Specimen UC Davis_1855622: postnatal adult; Epn3tm1b(KOMP)Wtsi/Epn3+ (more )
Structure Level Pattern Image Note
TS28: lung Present UC Davis_1855622

Specimen UC Davis_1855623: postnatal adult; Epn3tm1b(KOMP)Wtsi/Epn3+ (more )
Structure Level Pattern Image Note
TS28: lung Present UC Davis_1855623

Specimen UC Davis_1855624: postnatal adult; Epn3tm1b(KOMP)Wtsi/Epn3+ (more )
Structure Level Pattern Image Note
TS28: lung Present UC Davis_1855624

Specimen UC Davis_1855625: postnatal adult; Epn3tm1b(KOMP)Wtsi/Epn3+ (more )
Structure Level Pattern Image Note
TS28: lung Present UC Davis_1855625

Specimen UC Davis_1855626: postnatal adult; Epn3tm1b(KOMP)Wtsi/Epn3+ (more )
Structure Level Pattern Image Note
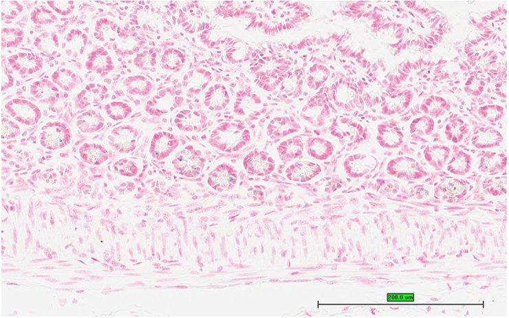
TS28: stomach Present UC Davis_1855626

Specimen UC Davis_1855627: postnatal adult; Epn3tm1b(KOMP)Wtsi/Epn3+ (more )
Structure Level Pattern Image Note
TS28: stomach Present UC Davis_1855627

Specimen UC Davis_1855628: postnatal adult; Epn3tm1b(KOMP)Wtsi/Epn3+ (more )
Structure Level Pattern Image Note
TS28: stomach Present UC Davis_1855628

Specimen UC Davis_1855629: postnatal adult; Epn3tm1b(KOMP)Wtsi/Epn3+ (more )
Structure Level Pattern Image Note
TS28: stomach Present UC Davis_1855629

Specimen UC Davis_1855630: postnatal adult; Epn3tm1b(KOMP)Wtsi/Epn3+ (more )
Structure Level Pattern Image Note
TS28: stomach Present UC Davis_1855630

Specimen UC Davis_1855631: postnatal adult; Epn3tm1b(KOMP)Wtsi/Epn3+ (more )
Structure Level Pattern Image Note
TS28: duodenum Present UC Davis_1855631

Specimen UC Davis_1855632: postnatal adult; Epn3tm1b(KOMP)Wtsi/Epn3+ (more )
Structure Level Pattern Image Note
TS28: ileum Present UC Davis_1855632

Specimen UC Davis_1855633: postnatal adult; Epn3tm1b(KOMP)Wtsi/Epn3+ (more )
Structure Level Pattern Image Note
TS28: colon Present UC Davis_1855633

Specimen UC Davis_1855634: postnatal adult; Epn3tm1b(KOMP)Wtsi/Epn3+ (more )
Structure Level Pattern Image Note
TS28: cecum Present UC Davis_1855634

Specimen UC Davis_1855635: postnatal adult; Epn3tm1b(KOMP)Wtsi/Epn3+ (more )
Structure Level Pattern Image Note
TS28: metanephros Present UC Davis_1855635 kidney

Specimen UC Davis_1855636: postnatal adult; Epn3tm1b(KOMP)Wtsi/Epn3+ (more )
Structure Level Pattern Image Note
TS28: metanephros Present UC Davis_1855636 kidney

Specimen UC Davis_1855637: postnatal adult; Epn3tm1b(KOMP)Wtsi/Epn3+ (more )
Structure Level Pattern Image Note
TS28: metanephros Present UC Davis_1855637 kidney

Specimen UC Davis_1855638: postnatal adult; Epn3tm1b(KOMP)Wtsi/Epn3+ (more )
Structure Level Pattern Image Note
TS28: metanephros Present UC Davis_1855638 kidney

Specimen UC Davis_1855639: postnatal adult; Epn3tm1b(KOMP)Wtsi/Epn3+ (more )
Structure Level Pattern Image Note
TS28: metanephros Present UC Davis_1855639 kidney

Specimen UC Davis_1855640: postnatal adult; Epn3tm1b(KOMP)Wtsi/Epn3+ (more )
Structure Level Pattern Image Note
TS28: metanephros Present UC Davis_1855640 kidney

Specimen UC Davis_1855641: postnatal adult; Epn3tm1b(KOMP)Wtsi/Epn3+ (more )
Structure Level Pattern Image Note
TS28: metanephros Present UC Davis_1855641 kidney

Specimen UC Davis_1855642: postnatal adult; Epn3tm1b(KOMP)Wtsi/Epn3+ (more )
Structure Level Pattern Image Note
TS28: tongue Present UC Davis_1855642

Specimen UC Davis_1855643: postnatal adult; Epn3tm1b(KOMP)Wtsi/Epn3+ (more )
Structure Level Pattern Image Note
TS28: tongue Present UC Davis_1855643

Specimen UC Davis_1855644: postnatal adult; Epn3tm1b(KOMP)Wtsi/Epn3+ (more )
Structure Level Pattern Image Note
TS28: tongue Present UC Davis_1855644

Specimen UC Davis_1855645: postnatal adult; Epn3tm1b(KOMP)Wtsi/Epn3+ (more )
Structure Level Pattern Image Note
TS28: eye Present UC Davis_1855645

Specimen UC Davis_1855646: postnatal adult; Epn3tm1b(KOMP)Wtsi/Epn3+ (more )
Structure Level Pattern Image Note
TS28: Harderian gland Present UC Davis_1855646

Specimen UC Davis_1855647: postnatal adult; Epn3tm1b(KOMP)Wtsi/Epn3+ (more )
Structure Level Pattern Image Note
TS28: Harderian gland Present UC Davis_1855647

Specimen UC Davis_1855648: postnatal adult; Epn3tm1b(KOMP)Wtsi/Epn3+ (more )
Structure Level Pattern Image Note
TS28: Harderian gland Present UC Davis_1855648

Specimen UC Davis_1855649: postnatal adult; Epn3tm1b(KOMP)Wtsi/Epn3+ (more )
Structure Level Pattern Image Note
TS28: skin Present UC Davis_1855649

Specimen UC Davis_1855650: postnatal adult; Epn3tm1b(KOMP)Wtsi/Epn3+ (more )
Structure Level Pattern Image Note
TS28: skin Present UC Davis_1855650

Specimen UC Davis_1855651: postnatal adult; Epn3tm1b(KOMP)Wtsi/Epn3+ (more )
Structure Level Pattern Image Note
TS28: bladder Present UC Davis_1855651

Specimen UC Davis_1855652: postnatal adult; Epn3tm1b(KOMP)Wtsi/Epn3+ (more )
Structure Level Pattern Image Note
TS28: testis Present UC Davis_1855652

Specimen UC Davis_1855653: postnatal adult; Epn3tm1b(KOMP)Wtsi/Epn3+ (more )
Structure Level Pattern Image Note
TS28: epididymis Present UC Davis_1855653

Specimen UC Davis_1855654: postnatal adult; Epn3tm1b(KOMP)Wtsi/Epn3+ (more )
Structure Level Pattern Image Note
TS28: epididymis Present UC Davis_1855654

Specimen UC Davis_1855655: postnatal adult; Epn3tm1b(KOMP)Wtsi/Epn3+ (more )
Structure Level Pattern Image Note
TS28: prostate gland Present UC Davis_1855655

Specimen UC Davis_1855656: postnatal adult; Epn3tm1b(KOMP)Wtsi/Epn3+ (more )
Structure Level Pattern Image Note
TS28: penis Present UC Davis_1855656

Specimen UC Davis_1855657: postnatal adult; Epn3tm1b(KOMP)Wtsi/Epn3+ (more )
Structure Level Pattern Image Note
TS28: penis Present UC Davis_1855657

Specimen UC Davis_1855658: postnatal adult; Epn3tm1b(KOMP)Wtsi/Epn3+ (more )
Structure Level Pattern Image Note
TS28: penis Present UC Davis_1855658

Specimen UC Davis_1855659: postnatal adult; Epn3tm1b(KOMP)Wtsi/Epn3+ (more )
Structure Level Pattern Image Note
TS28: ductus deferens Present UC Davis_1855659 vas deferens

Specimen UC Davis_1855662: postnatal adult; Epn3tm1b(KOMP)Wtsi/Epn3+ (more )
Structure Level Pattern Image Note
TS28: seminal vesicle Present UC Davis_1855662 vesicular gland

Specimen UC Davis_1855705: postnatal adult; Epn3tm1b(KOMP)Wtsi/Epn3+ (more )
Structure Level Pattern Image Note
TS28: tongue Present UC Davis_1855705

Specimen UC Davis_1855706: postnatal adult; Epn3tm1b(KOMP)Wtsi/Epn3+ (more )
Structure Level Pattern Image Note
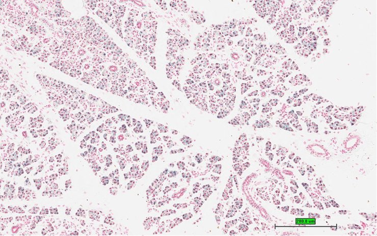
TS28: pancreas Present UC Davis_1855706

Specimen UC Davis_1855708: postnatal adult; Epn3tm1b(KOMP)Wtsi/Epn3+ (more )
Structure Level Pattern Image Note
TS28: midbrain Present UC Davis_1855708

Specimen UC Davis_1855710: postnatal adult; Epn3tm1b(KOMP)Wtsi/Epn3+ (more )
Structure Level Pattern Image Note
TS28: brain Present UC Davis_1855710

Specimen UC Davis_1855711: postnatal adult; Epn3tm1b(KOMP)Wtsi/Epn3+ (more )
Structure Level Pattern Image Note
TS28: lung Present UC Davis_1855711

Specimen UC Davis_1855712: postnatal adult; Epn3tm1b(KOMP)Wtsi/Epn3+ (more )
Structure Level Pattern Image Note
TS28: metanephros Present UC Davis_1855712 kidney

Specimen UC Davis_1855713: postnatal adult; Epn3tm1b(KOMP)Wtsi/Epn3+ (more )
Structure Level Pattern Image Note
TS28: skin Present UC Davis_1855713

Specimen UC Davis_1855715: postnatal adult; Epn3tm1b(KOMP)Wtsi/Epn3+ (more )
Structure Level Pattern Image Note
TS28: trachea Present UC Davis_1855715

Specimen UC Davis_1855717: postnatal adult; Epn3tm1b(KOMP)Wtsi/Epn3+ (more )
Structure Level Pattern Image Note
TS28: esophagus Present UC Davis_1855717

Specimen UC Davis_1855718: postnatal adult; Epn3tm1b(KOMP)Wtsi/Epn3+ (more )
Structure Level Pattern Image Note
TS28: thyroid gland Present UC Davis_1855718

Specimen UC Davis_1855719: postnatal adult; Epn3tm1b(KOMP)Wtsi/Epn3+ (more )
Structure Level Pattern Image Note
TS28: Harderian gland Present UC Davis_1855719

Specimen UC Davis_1855721: postnatal adult; Epn3tm1b(KOMP)Wtsi/Epn3+ (more )
Structure Level Pattern Image Note
TS28: stomach Present UC Davis_1855721

Specimen UC Davis_1855722: postnatal adult; Epn3tm1b(KOMP)Wtsi/Epn3+ (more )
Structure Level Pattern Image Note
TS28: bladder Present UC Davis_1855722

Specimen UC Davis_1855723: postnatal adult; Epn3tm1b(KOMP)Wtsi/Epn3+ (more )
Structure Level Pattern Image Note
TS28: testis Present UC Davis_1855723

Specimen UC Davis_1855724: postnatal adult; Epn3tm1b(KOMP)Wtsi/Epn3+ (more )
Structure Level Pattern Image Note
TS28: prostate gland Present UC Davis_1855724

Specimen UC Davis_1855725: postnatal adult; Epn3tm1b(KOMP)Wtsi/Epn3+ (more )
Structure Level Pattern Image Note
TS28: seminal vesicle Present UC Davis_1855725 vesicular gland

Specimen UC Davis_1855726: postnatal adult; Epn3tm1b(KOMP)Wtsi/Epn3+ (more )
Structure Level Pattern Image Note
TS28: epididymis Present UC Davis_1855726

Specimen UC Davis_1855727: postnatal adult; Epn3tm1b(KOMP)Wtsi/Epn3+ (more )
Structure Level Pattern Image Note
TS28: gallbladder Present UC Davis_1855727

Specimen UC Davis_1855732: postnatal adult; Epn3tm1b(KOMP)Wtsi/Epn3+ (more )
Structure Level Pattern Image Note
TS28: parathyroid gland Present UC Davis_1855732


Contributing Projects:
Mouse Genome Database (MGD), Gene Expression Database (GXD), Mouse Models of Human Cancer database (MMHCdb) (formerly Mouse Tumor Biology (MTB)), Gene Ontology (GO)
Citing These Resources
Funding Information
Warranty Disclaimer, Privacy Notice, Licensing, & Copyright
Send questions and comments to User Support.
last database update
01/06/2026
MGI 6.24
The Jackson Laboratory