About   Help   FAQ
Gene Expression Data
Assay Details
Assay
Reference: J:228563 Koscielny G, et al., The International Mouse Phenotyping Consortium Web Portal, a unified point of access for knockout mice and related phenotyping data. Nucleic Acids Res. 2014 Jan;42(Database issue):D802-9
Assay type: In situ reporter (knock in)
MGI Accession ID: MGI:6691975
Gene symbol: Acsl5
Gene name: acyl-CoA synthetase long-chain family member 5
Reporter: lacZ
Direct Detection
Results
Specimen UC Davis_1859181: postnatal adult; Acsl5tm1.1(KOMP)Vlcg/Acsl5+ (more )
Structure Level Pattern Image Note
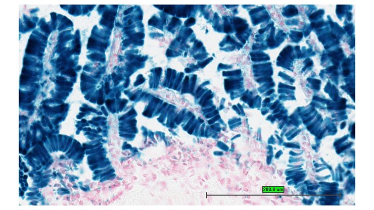
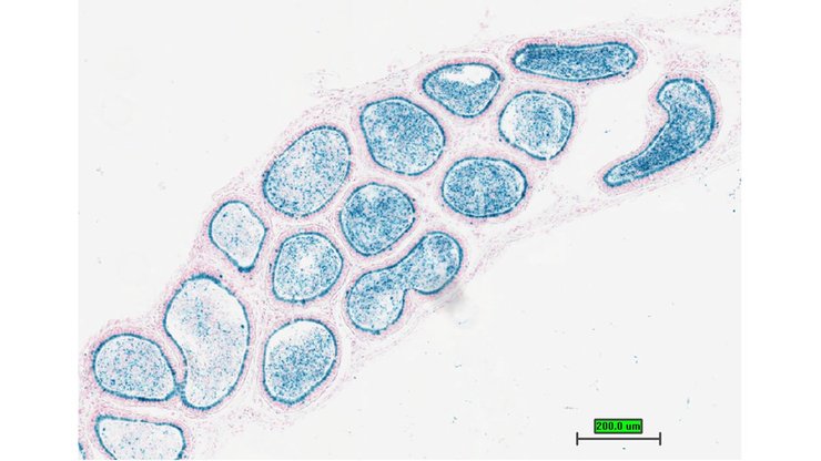
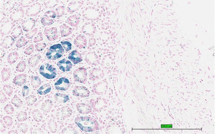
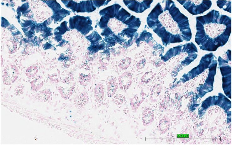
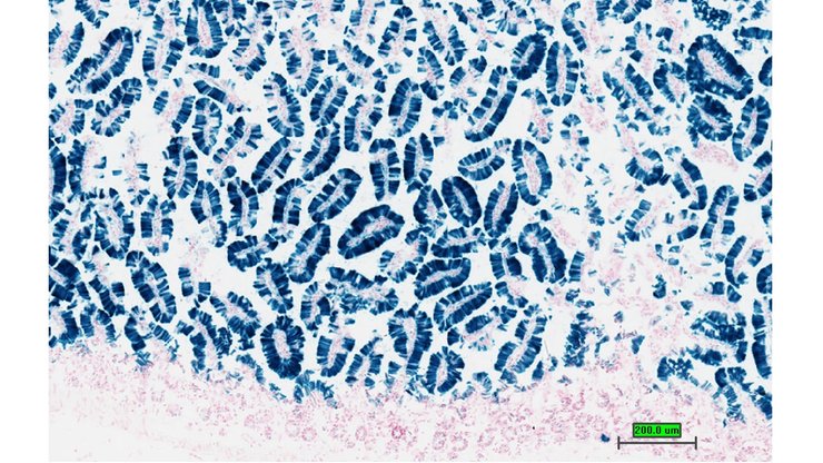
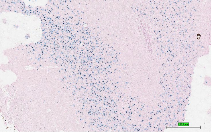
TS28: submandibular gland Present UC Davis_1859181

Specimen UC Davis_1859182: postnatal adult; Acsl5tm1.1(KOMP)Vlcg/Acsl5+ (more )
Structure Level Pattern Image Note
TS28: submandibular gland Present UC Davis_1859182

Specimen UC Davis_1859183: postnatal adult; Acsl5tm1.1(KOMP)Vlcg/Acsl5+ (more )
Structure Level Pattern Image Note
TS28: submandibular gland Present UC Davis_1859183

Specimen UC Davis_1859184: postnatal adult; Acsl5tm1.1(KOMP)Vlcg/Acsl5+ (more )
Structure Level Pattern Image Note
TS28: sublingual gland Present UC Davis_1859184

Specimen UC Davis_1859185: postnatal adult; Acsl5tm1.1(KOMP)Vlcg/Acsl5+ (more )
Structure Level Pattern Image Note
TS28: sublingual gland Present UC Davis_1859185

Specimen UC Davis_1859186: postnatal adult; Acsl5tm1.1(KOMP)Vlcg/Acsl5+ (more )
Structure Level Pattern Image Note
TS28: parotid gland Present UC Davis_1859186

Specimen UC Davis_1859187: postnatal adult; Acsl5tm1.1(KOMP)Vlcg/Acsl5+ (more )
Structure Level Pattern Image Note
TS28: parotid gland Present UC Davis_1859187

Specimen UC Davis_1859190: postnatal adult; Acsl5tm1.1(KOMP)Vlcg/Acsl5+ (more )
Structure Level Pattern Image Note
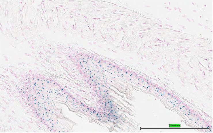
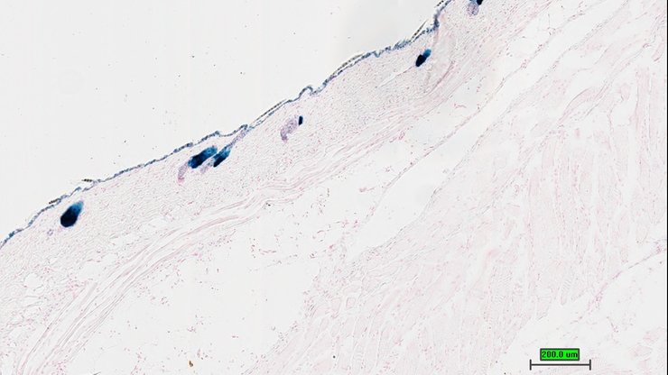
TS28: trachea Present UC Davis_1859190

Specimen UC Davis_1859191: postnatal adult; Acsl5tm1.1(KOMP)Vlcg/Acsl5+ (more )
Structure Level Pattern Image Note
TS28: trachea Present UC Davis_1859191

Specimen UC Davis_1859192: postnatal adult; Acsl5tm1.1(KOMP)Vlcg/Acsl5+ (more )
Structure Level Pattern Image Note
TS28: esophagus Present UC Davis_1859192

Specimen UC Davis_1859193: postnatal adult; Acsl5tm1.1(KOMP)Vlcg/Acsl5+ (more )
Structure Level Pattern Image Note
TS28: esophagus Present UC Davis_1859193

Specimen UC Davis_1859194: postnatal adult; Acsl5tm1.1(KOMP)Vlcg/Acsl5+ (more )
Structure Level Pattern Image Note
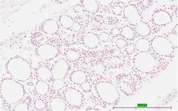
TS28: thyroid gland Present UC Davis_1859194

Specimen UC Davis_1859195: postnatal adult; Acsl5tm1.1(KOMP)Vlcg/Acsl5+ (more )
Structure Level Pattern Image Note
TS28: parathyroid gland Present UC Davis_1859195

Specimen UC Davis_1859196: postnatal adult; Acsl5tm1.1(KOMP)Vlcg/Acsl5+ (more )
Structure Level Pattern Image Note
TS28: aorta Present UC Davis_1859196

Specimen UC Davis_1859197: postnatal adult; Acsl5tm1.1(KOMP)Vlcg/Acsl5+ (more )
Structure Level Pattern Image Note
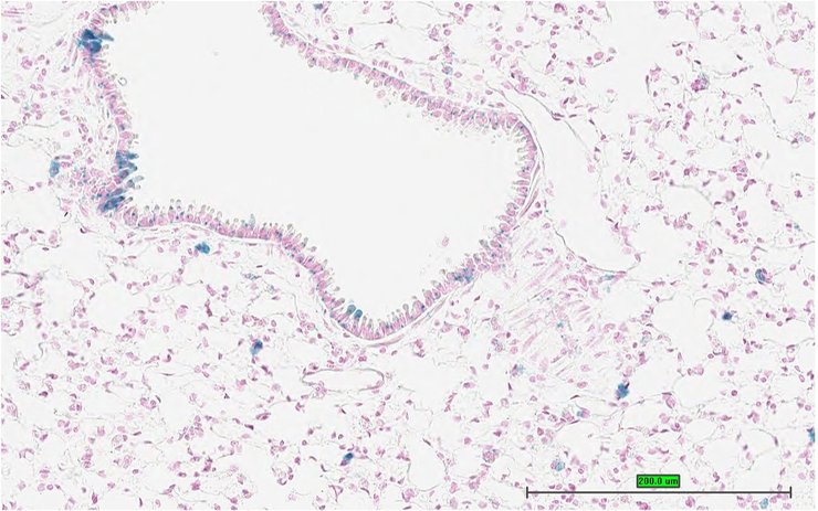
TS28: lung Present UC Davis_1859197

Specimen UC Davis_1859198: postnatal adult; Acsl5tm1.1(KOMP)Vlcg/Acsl5+ (more )
Structure Level Pattern Image Note
TS28: lung Present UC Davis_1859198

Specimen UC Davis_1859199: postnatal adult; Acsl5tm1.1(KOMP)Vlcg/Acsl5+ (more )
Structure Level Pattern Image Note
TS28: lung Present UC Davis_1859199

Specimen UC Davis_1859200: postnatal adult; Acsl5tm1.1(KOMP)Vlcg/Acsl5+ (more )
Structure Level Pattern Image Note
TS28: lung Present UC Davis_1859200

Specimen UC Davis_1859201: postnatal adult; Acsl5tm1.1(KOMP)Vlcg/Acsl5+ (more )
Structure Level Pattern Image Note
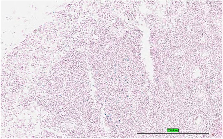
TS28: thymus Present UC Davis_1859201

Specimen UC Davis_1859202: postnatal adult; Acsl5tm1.1(KOMP)Vlcg/Acsl5+ (more )
Structure Level Pattern Image Note
TS28: thymus Present UC Davis_1859202

Specimen UC Davis_1859203: postnatal adult; Acsl5tm1.1(KOMP)Vlcg/Acsl5+ (more )
Structure Level Pattern Image Note
TS28: thymus Present UC Davis_1859203

Specimen UC Davis_1859204: postnatal adult; Acsl5tm1.1(KOMP)Vlcg/Acsl5+ (more )
Structure Level Pattern Image Note
TS28: mesenteric lymph node Present UC Davis_1859204

Specimen UC Davis_1859205: postnatal adult; Acsl5tm1.1(KOMP)Vlcg/Acsl5+ (more )
Structure Level Pattern Image Note
TS28: mesenteric lymph node Present UC Davis_1859205

Specimen UC Davis_1859206: postnatal adult; Acsl5tm1.1(KOMP)Vlcg/Acsl5+ (more )
Structure Level Pattern Image Note
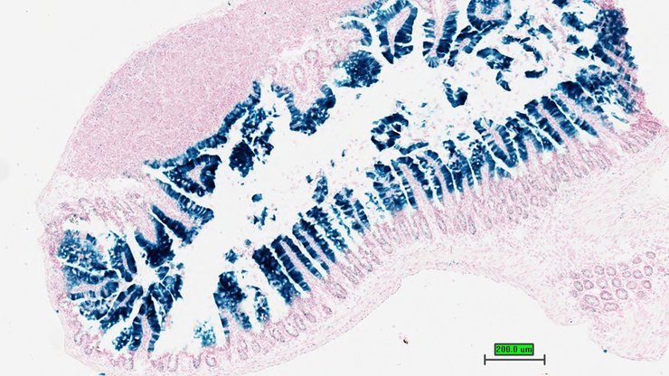
TS28: stomach Present UC Davis_1859206

Specimen UC Davis_1859207: postnatal adult; Acsl5tm1.1(KOMP)Vlcg/Acsl5+ (more )
Structure Level Pattern Image Note
TS28: stomach Present UC Davis_1859207

Specimen UC Davis_1859208: postnatal adult; Acsl5tm1.1(KOMP)Vlcg/Acsl5+ (more )
Structure Level Pattern Image Note
TS28: stomach Present UC Davis_1859208

Specimen UC Davis_1859209: postnatal adult; Acsl5tm1.1(KOMP)Vlcg/Acsl5+ (more )
Structure Level Pattern Image Note
TS28: stomach Present UC Davis_1859209

Specimen UC Davis_1859210: postnatal adult; Acsl5tm1.1(KOMP)Vlcg/Acsl5+ (more )
Structure Level Pattern Image Note
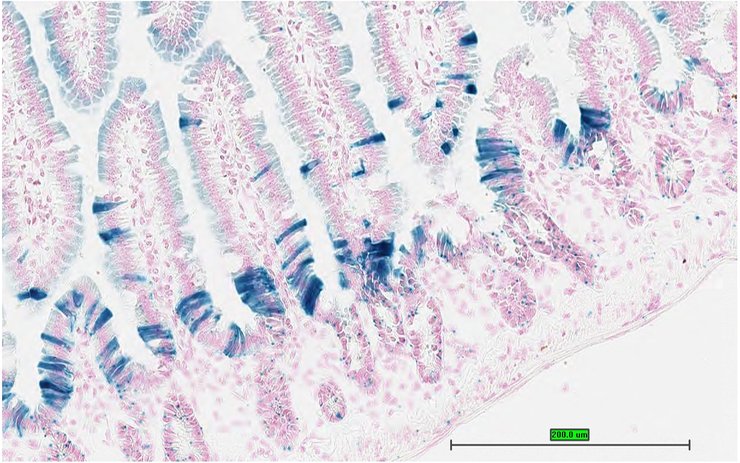
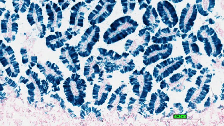
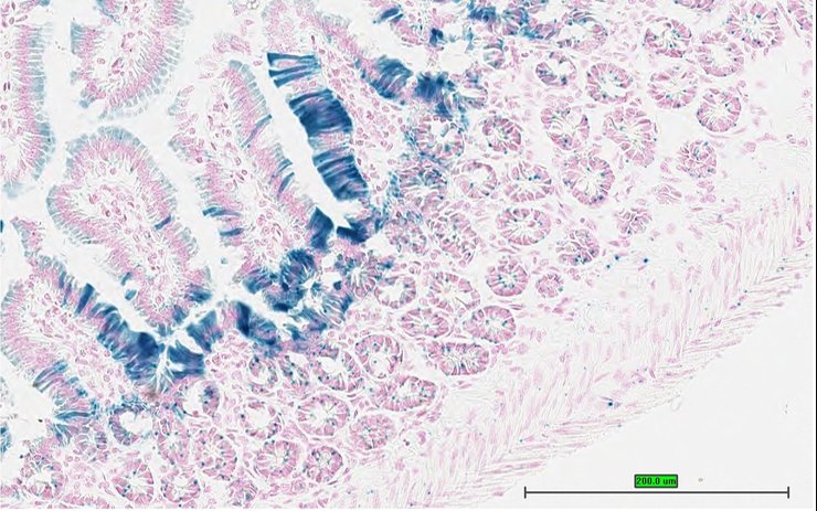
TS28: duodenum Present UC Davis_1859210

Specimen UC Davis_1859211: postnatal adult; Acsl5tm1.1(KOMP)Vlcg/Acsl5+ (more )
Structure Level Pattern Image Note
TS28: duodenum Present UC Davis_1859211

Specimen UC Davis_1859212: postnatal adult; Acsl5tm1.1(KOMP)Vlcg/Acsl5+ (more )
Structure Level Pattern Image Note
TS28: jejunum Present UC Davis_1859212

Specimen UC Davis_1859213: postnatal adult; Acsl5tm1.1(KOMP)Vlcg/Acsl5+ (more )
Structure Level Pattern Image Note
TS28: ileum Present UC Davis_1859213

Specimen UC Davis_1859214: postnatal adult; Acsl5tm1.1(KOMP)Vlcg/Acsl5+ (more )
Structure Level Pattern Image Note
TS28: ileum Present UC Davis_1859214

Specimen UC Davis_1859215: postnatal adult; Acsl5tm1.1(KOMP)Vlcg/Acsl5+ (more )
Structure Level Pattern Image Note
TS28: colon Present UC Davis_1859215

Specimen UC Davis_1859216: postnatal adult; Acsl5tm1.1(KOMP)Vlcg/Acsl5+ (more )
Structure Level Pattern Image Note
TS28: colon Present UC Davis_1859216

Specimen UC Davis_1859217: postnatal adult; Acsl5tm1.1(KOMP)Vlcg/Acsl5+ (more )
Structure Level Pattern Image Note
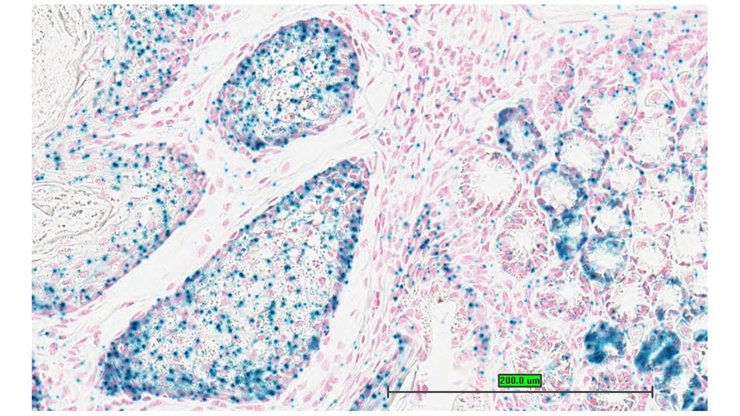
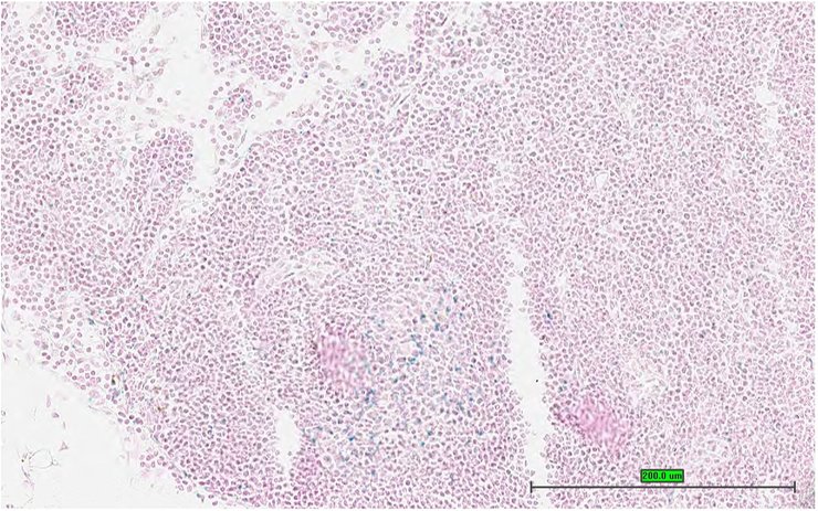
TS28: spleen Present UC Davis_1859217

Specimen UC Davis_1859218: postnatal adult; Acsl5tm1.1(KOMP)Vlcg/Acsl5+ (more )
Structure Level Pattern Image Note
TS28: spleen Present UC Davis_1859218

Specimen UC Davis_1859219: postnatal adult; Acsl5tm1.1(KOMP)Vlcg/Acsl5+ (more )
Structure Level Pattern Image Note
TS28: spleen Present UC Davis_1859219

Specimen UC Davis_1859220: postnatal adult; Acsl5tm1.1(KOMP)Vlcg/Acsl5+ (more )
Structure Level Pattern Image Note
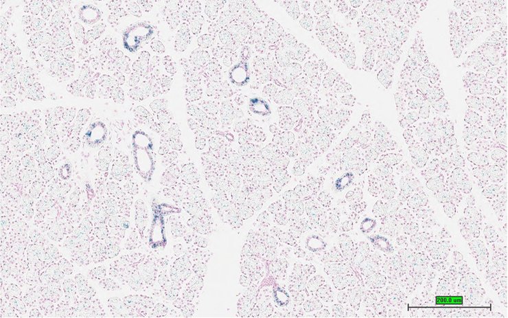
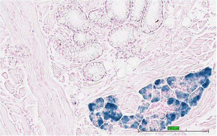
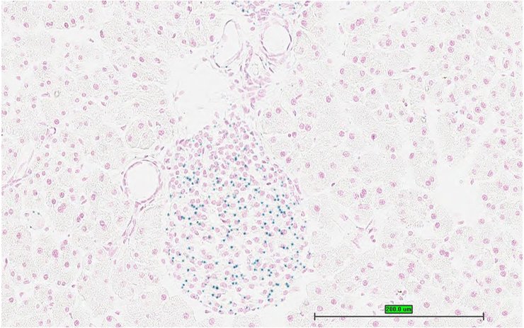
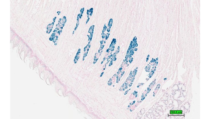
TS28: pancreas Present UC Davis_1859220

Specimen UC Davis_1859221: postnatal adult; Acsl5tm1.1(KOMP)Vlcg/Acsl5+ (more )
Structure Level Pattern Image Note
TS28: pancreas Present UC Davis_1859221

Specimen UC Davis_1859222: postnatal adult; Acsl5tm1.1(KOMP)Vlcg/Acsl5+ (more )
Structure Level Pattern Image Note
TS28: pancreas Present UC Davis_1859222

Specimen UC Davis_1859223: postnatal adult; Acsl5tm1.1(KOMP)Vlcg/Acsl5+ (more )
Structure Level Pattern Image Note
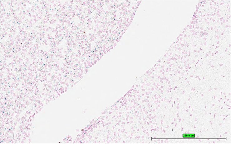
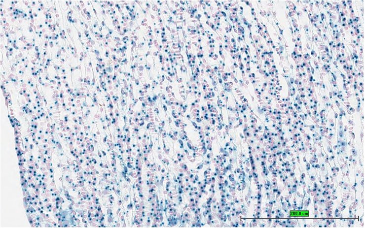
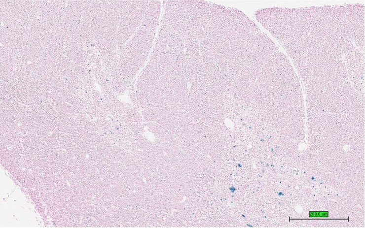
TS28: liver Present UC Davis_1859223

Specimen UC Davis_1859224: postnatal adult; Acsl5tm1.1(KOMP)Vlcg/Acsl5+ (more )
Structure Level Pattern Image Note
TS28: liver Present UC Davis_1859224

Specimen UC Davis_1859225: postnatal adult; Acsl5tm1.1(KOMP)Vlcg/Acsl5+ (more )
Structure Level Pattern Image Note
TS28: liver Present UC Davis_1859225

Specimen UC Davis_1859226: postnatal adult; Acsl5tm1.1(KOMP)Vlcg/Acsl5+ (more )
Structure Level Pattern Image Note
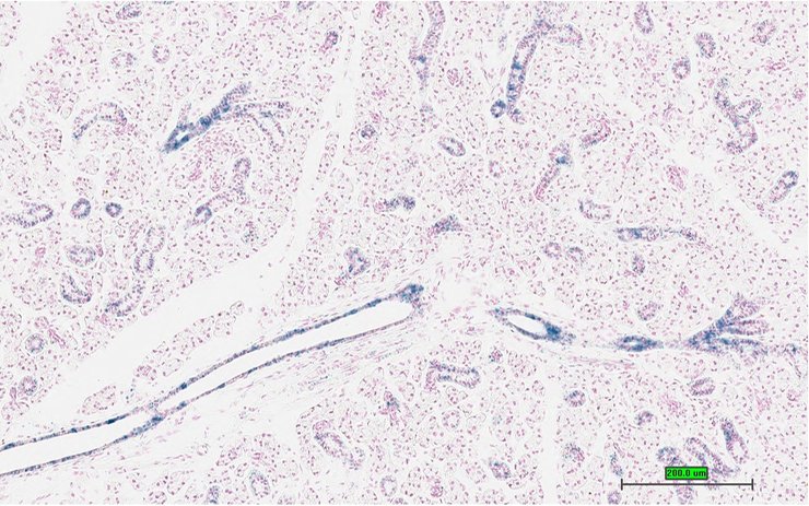
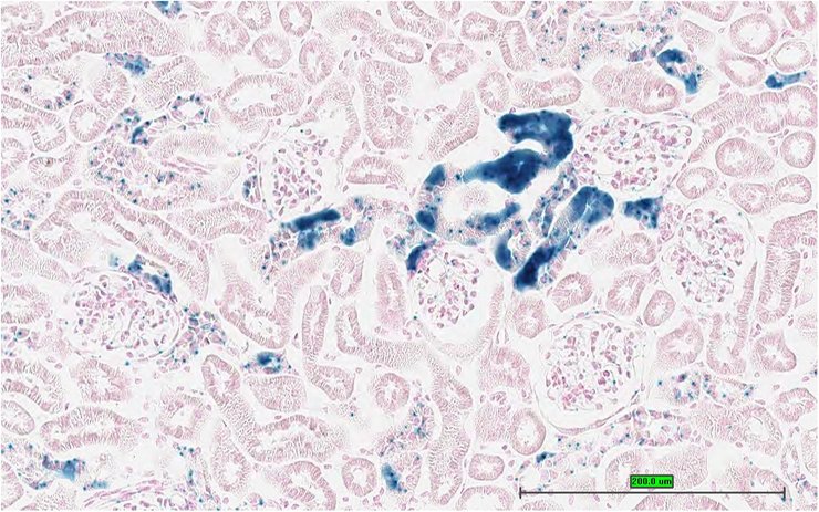
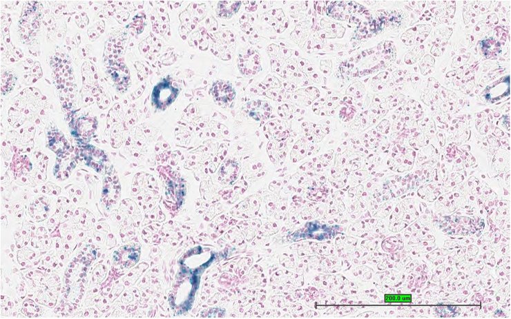
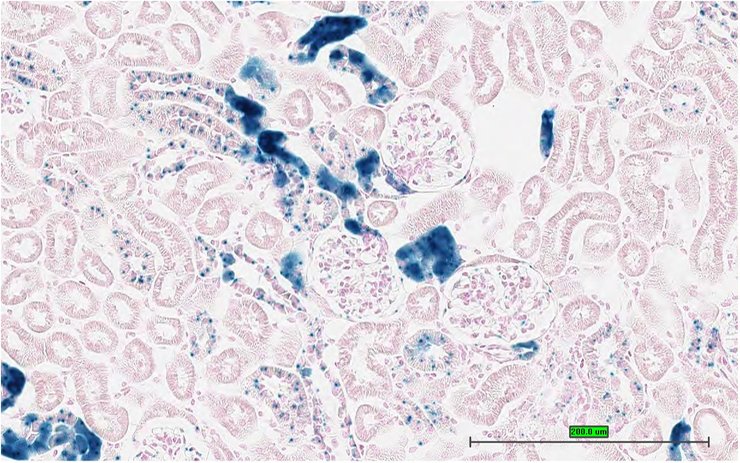
TS28: metanephros Present UC Davis_1859226 kidney

Specimen UC Davis_1859227: postnatal adult; Acsl5tm1.1(KOMP)Vlcg/Acsl5+ (more )
Structure Level Pattern Image Note
TS28: metanephros Present UC Davis_1859227 kidney

Specimen UC Davis_1859228: postnatal adult; Acsl5tm1.1(KOMP)Vlcg/Acsl5+ (more )
Structure Level Pattern Image Note
TS28: metanephros Present UC Davis_1859228 kidney

Specimen UC Davis_1859229: postnatal adult; Acsl5tm1.1(KOMP)Vlcg/Acsl5+ (more )
Structure Level Pattern Image Note
TS28: metanephros Present UC Davis_1859229 kidney

Specimen UC Davis_1859230: postnatal adult; Acsl5tm1.1(KOMP)Vlcg/Acsl5+ (more )
Structure Level Pattern Image Note
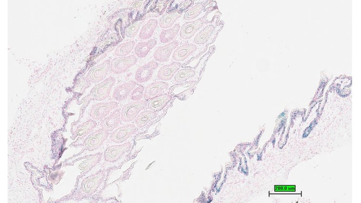
TS28: tongue Present UC Davis_1859230

Specimen UC Davis_1859231: postnatal adult; Acsl5tm1.1(KOMP)Vlcg/Acsl5+ (more )
Structure Level Pattern Image Note
TS28: tongue Present UC Davis_1859231

Specimen UC Davis_1859232: postnatal adult; Acsl5tm1.1(KOMP)Vlcg/Acsl5+ (more )
Structure Level Pattern Image Note
TS28: tongue Present UC Davis_1859232

Specimen UC Davis_1859233: postnatal adult; Acsl5tm1.1(KOMP)Vlcg/Acsl5+ (more )
Structure Level Pattern Image Note
TS28: tongue Present UC Davis_1859233

Specimen UC Davis_1859234: postnatal adult; Acsl5tm1.1(KOMP)Vlcg/Acsl5+ (more )
Structure Level Pattern Image Note
TS28: adrenal gland Present UC Davis_1859234

Specimen UC Davis_1859235: postnatal adult; Acsl5tm1.1(KOMP)Vlcg/Acsl5+ (more )
Structure Level Pattern Image Note
TS28: adrenal gland Present UC Davis_1859235

Specimen UC Davis_1859236: postnatal adult; Acsl5tm1.1(KOMP)Vlcg/Acsl5+ (more )
Structure Level Pattern Image Note
TS28: pituitary gland Present UC Davis_1859236

Specimen UC Davis_1859237: postnatal adult; Acsl5tm1.1(KOMP)Vlcg/Acsl5+ (more )
Structure Level Pattern Image Note
TS28: pituitary gland Present UC Davis_1859237

Specimen UC Davis_1859238: postnatal adult; Acsl5tm1.1(KOMP)Vlcg/Acsl5+ (more )
Structure Level Pattern Image Note
TS28: pituitary gland Present UC Davis_1859238

Specimen UC Davis_1859239: postnatal adult; Acsl5tm1.1(KOMP)Vlcg/Acsl5+ (more )
Structure Level Pattern Image Note
TS28: eye Present UC Davis_1859239

Specimen UC Davis_1859240: postnatal adult; Acsl5tm1.1(KOMP)Vlcg/Acsl5+ (more )
Structure Level Pattern Image Note
TS28: eye Present UC Davis_1859240

Specimen UC Davis_1859241: postnatal adult; Acsl5tm1.1(KOMP)Vlcg/Acsl5+ (more )
Structure Level Pattern Image Note
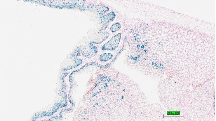
TS28: Harderian gland Present UC Davis_1859241

Specimen UC Davis_1859242: postnatal adult; Acsl5tm1.1(KOMP)Vlcg/Acsl5+ (more )
Structure Level Pattern Image Note
TS28: Harderian gland Present UC Davis_1859242

Specimen UC Davis_1859243: postnatal adult; Acsl5tm1.1(KOMP)Vlcg/Acsl5+ (more )
Structure Level Pattern Image Note
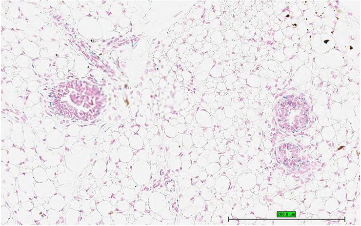
TS28: mesenteric adipose tissue Present UC Davis_1859243

Specimen UC Davis_1859244: postnatal adult; Acsl5tm1.1(KOMP)Vlcg/Acsl5+ (more )
Structure Level Pattern Image Note
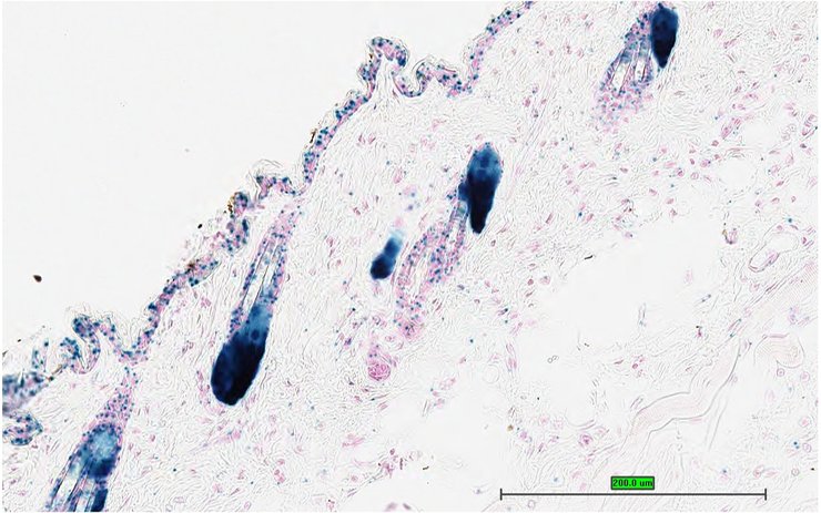
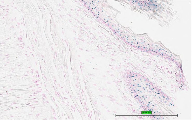
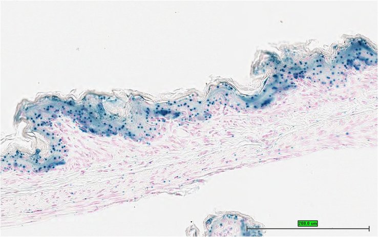
TS28: skin Present UC Davis_1859244

Specimen UC Davis_1859245: postnatal adult; Acsl5tm1.1(KOMP)Vlcg/Acsl5+ (more )
Structure Level Pattern Image Note
TS28: skin Present UC Davis_1859245

Specimen UC Davis_1859246: postnatal adult; Acsl5tm1.1(KOMP)Vlcg/Acsl5+ (more )
Structure Level Pattern Image Note
TS28: skin Present UC Davis_1859246

Specimen UC Davis_1859247: postnatal adult; Acsl5tm1.1(KOMP)Vlcg/Acsl5+ (more )
Structure Level Pattern Image Note
TS28: brown fat Present UC Davis_1859247

Specimen UC Davis_1859248: postnatal adult; Acsl5tm1.1(KOMP)Vlcg/Acsl5+ (more )
Structure Level Pattern Image Note
TS28: olfactory lobe Present UC Davis_1859248

Specimen UC Davis_1859251: postnatal adult; Acsl5tm1.1(KOMP)Vlcg/Acsl5+ (more )
Structure Level Pattern Image Note
TS28: midbrain Present UC Davis_1859251

Specimen UC Davis_1859253: postnatal adult; Acsl5tm1.1(KOMP)Vlcg/Acsl5+ (more )
Structure Level Pattern Image Note
TS28: cerebellum Present UC Davis_1859253

Specimen UC Davis_1859254: postnatal adult; Acsl5tm1.1(KOMP)Vlcg/Acsl5+ (more )
Structure Level Pattern Image Note
TS28: trigeminal nerve Present UC Davis_1859254

Specimen UC Davis_1859255: postnatal adult; Acsl5tm1.1(KOMP)Vlcg/Acsl5+ (more )
Structure Level Pattern Image Note
TS28: trigeminal nerve Present UC Davis_1859255

Specimen UC Davis_1859256: postnatal adult; Acsl5tm1.1(KOMP)Vlcg/Acsl5+ (more )
Structure Level Pattern Image Note
TS28: ovary Present UC Davis_1859256

Specimen UC Davis_1859257: postnatal adult; Acsl5tm1.1(KOMP)Vlcg/Acsl5+ (more )
Structure Level Pattern Image Note
TS28: ovary Present UC Davis_1859257

Specimen UC Davis_1859258: postnatal adult; Acsl5tm1.1(KOMP)Vlcg/Acsl5+ (more )
Structure Level Pattern Image Note
TS28: ovary Present UC Davis_1859258

Specimen UC Davis_1859259: postnatal adult; Acsl5tm1.1(KOMP)Vlcg/Acsl5+ (more )
Structure Level Pattern Image Note
TS28: ovary Present UC Davis_1859259

Specimen UC Davis_1859260: postnatal adult; Acsl5tm1.1(KOMP)Vlcg/Acsl5+ (more )
Structure Level Pattern Image Note
TS28: oviduct Present UC Davis_1859260

Specimen UC Davis_1859261: postnatal adult; Acsl5tm1.1(KOMP)Vlcg/Acsl5+ (more )
Structure Level Pattern Image Note
TS28: uterus Present UC Davis_1859261

Specimen UC Davis_1859262: postnatal adult; Acsl5tm1.1(KOMP)Vlcg/Acsl5+ (more )
Structure Level Pattern Image Note
TS28: uterus Present UC Davis_1859262

Specimen UC Davis_1859263: postnatal adult; Acsl5tm1.1(KOMP)Vlcg/Acsl5+ (more )
Structure Level Pattern Image Note
TS28: bladder Present UC Davis_1859263

Specimen UC Davis_1859264: postnatal adult; Acsl5tm1.1(KOMP)Vlcg/Acsl5+ (more )
Structure Level Pattern Image Note
TS28: bladder Present UC Davis_1859264

Specimen UC Davis_1859265: postnatal adult; Acsl5tm1.1(KOMP)Vlcg/Acsl5+ (more )
Structure Level Pattern Image Note
TS28: bone marrow Present UC Davis_1859265

Specimen UC Davis_1859266: postnatal adult; Acsl5tm1.1(KOMP)Vlcg/Acsl5+ (more )
Structure Level Pattern Image Note
TS28: mammary gland Present UC Davis_1859266

Specimen UC Davis_1859267: postnatal adult; Acsl5tm1.1(KOMP)Vlcg/Acsl5+ (more )
Structure Level Pattern Image Note
TS28: mammary gland Present UC Davis_1859267

Specimen UC Davis_1859268: postnatal adult; Acsl5tm1.1(KOMP)Vlcg/Acsl5+ (more )
Structure Level Pattern Image Note
TS28: sublingual gland Present UC Davis_1859268

Specimen UC Davis_1859269: postnatal adult; Acsl5tm1.1(KOMP)Vlcg/Acsl5+ (more )
Structure Level Pattern Image Note
TS28: sublingual gland Present UC Davis_1859269

Specimen UC Davis_1859270: postnatal adult; Acsl5tm1.1(KOMP)Vlcg/Acsl5+ (more )
Structure Level Pattern Image Note
TS28: trachea Present UC Davis_1859270

Specimen UC Davis_1859271: postnatal adult; Acsl5tm1.1(KOMP)Vlcg/Acsl5+ (more )
Structure Level Pattern Image Note
TS28: trachea Present UC Davis_1859271

Specimen UC Davis_1859272: postnatal adult; Acsl5tm1.1(KOMP)Vlcg/Acsl5+ (more )
Structure Level Pattern Image Note
TS28: esophagus Present UC Davis_1859272

Specimen UC Davis_1859273: postnatal adult; Acsl5tm1.1(KOMP)Vlcg/Acsl5+ (more )
Structure Level Pattern Image Note
TS28: esophagus Present UC Davis_1859273

Specimen UC Davis_1859276: postnatal adult; Acsl5tm1.1(KOMP)Vlcg/Acsl5+ (more )
Structure Level Pattern Image Note
TS28: aorta Present UC Davis_1859276

Specimen UC Davis_1859277: postnatal adult; Acsl5tm1.1(KOMP)Vlcg/Acsl5+ (more )
Structure Level Pattern Image Note
TS28: lung Present UC Davis_1859277

Specimen UC Davis_1859278: postnatal adult; Acsl5tm1.1(KOMP)Vlcg/Acsl5+ (more )
Structure Level Pattern Image Note
TS28: lung Present UC Davis_1859278

Specimen UC Davis_1859279: postnatal adult; Acsl5tm1.1(KOMP)Vlcg/Acsl5+ (more )
Structure Level Pattern Image Note
TS28: lung Present UC Davis_1859279

Specimen UC Davis_1859280: postnatal adult; Acsl5tm1.1(KOMP)Vlcg/Acsl5+ (more )
Structure Level Pattern Image Note
TS28: thymus Present UC Davis_1859280

Specimen UC Davis_1859281: postnatal adult; Acsl5tm1.1(KOMP)Vlcg/Acsl5+ (more )
Structure Level Pattern Image Note
TS28: thymus Present UC Davis_1859281

Specimen UC Davis_1859282: postnatal adult; Acsl5tm1.1(KOMP)Vlcg/Acsl5+ (more )
Structure Level Pattern Image Note
TS28: thymus Present UC Davis_1859282

Specimen UC Davis_1859284: postnatal adult; Acsl5tm1.1(KOMP)Vlcg/Acsl5+ (more )
Structure Level Pattern Image Note
TS28: stomach Present UC Davis_1859284

Specimen UC Davis_1859285: postnatal adult; Acsl5tm1.1(KOMP)Vlcg/Acsl5+ (more )
Structure Level Pattern Image Note
TS28: stomach Present UC Davis_1859285

Specimen UC Davis_1859286: postnatal adult; Acsl5tm1.1(KOMP)Vlcg/Acsl5+ (more )
Structure Level Pattern Image Note
TS28: stomach Present UC Davis_1859286

Specimen UC Davis_1859287: postnatal adult; Acsl5tm1.1(KOMP)Vlcg/Acsl5+ (more )
Structure Level Pattern Image Note
TS28: duodenum Present UC Davis_1859287

Specimen UC Davis_1859288: postnatal adult; Acsl5tm1.1(KOMP)Vlcg/Acsl5+ (more )
Structure Level Pattern Image Note
TS28: duodenum Present UC Davis_1859288

Specimen UC Davis_1859289: postnatal adult; Acsl5tm1.1(KOMP)Vlcg/Acsl5+ (more )
Structure Level Pattern Image Note
TS28: duodenum Present UC Davis_1859289

Specimen UC Davis_1859290: postnatal adult; Acsl5tm1.1(KOMP)Vlcg/Acsl5+ (more )
Structure Level Pattern Image Note
TS28: jejunum Present UC Davis_1859290

Specimen UC Davis_1859291: postnatal adult; Acsl5tm1.1(KOMP)Vlcg/Acsl5+ (more )
Structure Level Pattern Image Note
TS28: jejunum Present UC Davis_1859291

Specimen UC Davis_1859292: postnatal adult; Acsl5tm1.1(KOMP)Vlcg/Acsl5+ (more )
Structure Level Pattern Image Note
TS28: jejunum Present UC Davis_1859292

Specimen UC Davis_1859293: postnatal adult; Acsl5tm1.1(KOMP)Vlcg/Acsl5+ (more )
Structure Level Pattern Image Note
TS28: ileum Present UC Davis_1859293

Specimen UC Davis_1859294: postnatal adult; Acsl5tm1.1(KOMP)Vlcg/Acsl5+ (more )
Structure Level Pattern Image Note
TS28: ileum Present UC Davis_1859294

Specimen UC Davis_1859295: postnatal adult; Acsl5tm1.1(KOMP)Vlcg/Acsl5+ (more )
Structure Level Pattern Image Note
TS28: ileum Present UC Davis_1859295

Specimen UC Davis_1859296: postnatal adult; Acsl5tm1.1(KOMP)Vlcg/Acsl5+ (more )
Structure Level Pattern Image Note
TS28: spleen Present UC Davis_1859296

Specimen UC Davis_1859297: postnatal adult; Acsl5tm1.1(KOMP)Vlcg/Acsl5+ (more )
Structure Level Pattern Image Note
TS28: spleen Present UC Davis_1859297

Specimen UC Davis_1859298: postnatal adult; Acsl5tm1.1(KOMP)Vlcg/Acsl5+ (more )
Structure Level Pattern Image Note
TS28: liver Present UC Davis_1859298

Specimen UC Davis_1859299: postnatal adult; Acsl5tm1.1(KOMP)Vlcg/Acsl5+ (more )
Structure Level Pattern Image Note
TS28: liver Present UC Davis_1859299

Specimen UC Davis_1859300: postnatal adult; Acsl5tm1.1(KOMP)Vlcg/Acsl5+ (more )
Structure Level Pattern Image Note
TS28: liver Present UC Davis_1859300

Specimen UC Davis_1859301: postnatal adult; Acsl5tm1.1(KOMP)Vlcg/Acsl5+ (more )
Structure Level Pattern Image Note
TS28: metanephros Present UC Davis_1859301 kidney

Specimen UC Davis_1859302: postnatal adult; Acsl5tm1.1(KOMP)Vlcg/Acsl5+ (more )
Structure Level Pattern Image Note
TS28: metanephros Present UC Davis_1859302 kidney

Specimen UC Davis_1859303: postnatal adult; Acsl5tm1.1(KOMP)Vlcg/Acsl5+ (more )
Structure Level Pattern Image Note
TS28: metanephros Present UC Davis_1859303 kidney

Specimen UC Davis_1859304: postnatal adult; Acsl5tm1.1(KOMP)Vlcg/Acsl5+ (more )
Structure Level Pattern Image Note
TS28: tongue Present UC Davis_1859304

Specimen UC Davis_1859305: postnatal adult; Acsl5tm1.1(KOMP)Vlcg/Acsl5+ (more )
Structure Level Pattern Image Note
TS28: tongue Present UC Davis_1859305

Specimen UC Davis_1859306: postnatal adult; Acsl5tm1.1(KOMP)Vlcg/Acsl5+ (more )
Structure Level Pattern Image Note
TS28: tongue Present UC Davis_1859306

Specimen UC Davis_1859307: postnatal adult; Acsl5tm1.1(KOMP)Vlcg/Acsl5+ (more )
Structure Level Pattern Image Note
TS28: adrenal gland Present UC Davis_1859307

Specimen UC Davis_1859308: postnatal adult; Acsl5tm1.1(KOMP)Vlcg/Acsl5+ (more )
Structure Level Pattern Image Note
TS28: pituitary gland Present UC Davis_1859308

Specimen UC Davis_1859309: postnatal adult; Acsl5tm1.1(KOMP)Vlcg/Acsl5+ (more )
Structure Level Pattern Image Note
TS28: pituitary gland Present UC Davis_1859309

Specimen UC Davis_1859310: postnatal adult; Acsl5tm1.1(KOMP)Vlcg/Acsl5+ (more )
Structure Level Pattern Image Note
TS28: spinal cord Present UC Davis_1859310

Specimen UC Davis_1859311: postnatal adult; Acsl5tm1.1(KOMP)Vlcg/Acsl5+ (more )
Structure Level Pattern Image Note
TS28: spinal cord Present UC Davis_1859311

Specimen UC Davis_1859312: postnatal adult; Acsl5tm1.1(KOMP)Vlcg/Acsl5+ (more )
Structure Level Pattern Image Note
TS28: eye Present UC Davis_1859312

Specimen UC Davis_1859315: postnatal adult; Acsl5tm1.1(KOMP)Vlcg/Acsl5+ (more )
Structure Level Pattern Image Note
TS28: Harderian gland Present UC Davis_1859315

Specimen UC Davis_1859316: postnatal adult; Acsl5tm1.1(KOMP)Vlcg/Acsl5+ (more )
Structure Level Pattern Image Note
TS28: Harderian gland Present UC Davis_1859316

Specimen UC Davis_1859317: postnatal adult; Acsl5tm1.1(KOMP)Vlcg/Acsl5+ (more )
Structure Level Pattern Image Note
TS28: skin Present UC Davis_1859317

Specimen UC Davis_1859318: postnatal adult; Acsl5tm1.1(KOMP)Vlcg/Acsl5+ (more )
Structure Level Pattern Image Note
TS28: skin Present UC Davis_1859318

Specimen UC Davis_1859321: postnatal adult; Acsl5tm1.1(KOMP)Vlcg/Acsl5+ (more )
Structure Level Pattern Image Note
TS28: midbrain Present UC Davis_1859321

Specimen UC Davis_1859323: postnatal adult; Acsl5tm1.1(KOMP)Vlcg/Acsl5+ (more )
Structure Level Pattern Image Note
TS28: testis Present UC Davis_1859323

Specimen UC Davis_1859324: postnatal adult; Acsl5tm1.1(KOMP)Vlcg/Acsl5+ (more )
Structure Level Pattern Image Note
TS28: testis Present UC Davis_1859324

Specimen UC Davis_1859325: postnatal adult; Acsl5tm1.1(KOMP)Vlcg/Acsl5+ (more )
Structure Level Pattern Image Note
TS28: epididymis Present UC Davis_1859325

Specimen UC Davis_1859326: postnatal adult; Acsl5tm1.1(KOMP)Vlcg/Acsl5+ (more )
Structure Level Pattern Image Note
TS28: epididymis Present UC Davis_1859326

Specimen UC Davis_1859327: postnatal adult; Acsl5tm1.1(KOMP)Vlcg/Acsl5+ (more )
Structure Level Pattern Image Note
TS28: penis Present UC Davis_1859327

Specimen UC Davis_1859328: postnatal adult; Acsl5tm1.1(KOMP)Vlcg/Acsl5+ (more )
Structure Level Pattern Image Note
TS28: penis Present UC Davis_1859328

Specimen UC Davis_1859329: postnatal adult; Acsl5tm1.1(KOMP)Vlcg/Acsl5+ (more )
Structure Level Pattern Image Note
TS28: bone marrow Present UC Davis_1859329

Specimen UC Davis_1859330: postnatal adult; Acsl5tm1.1(KOMP)Vlcg/Acsl5+ (more )
Structure Level Pattern Image Note
TS28: ductus deferens Present UC Davis_1859330 vas deferens

Specimen UC Davis_1859331: postnatal adult; Acsl5tm1.1(KOMP)Vlcg/Acsl5+ (more )
Structure Level Pattern Image Note
TS28: ductus deferens Present UC Davis_1859331 vas deferens

Specimen UC Davis_1859336: postnatal adult; Acsl5tm1.1(KOMP)Vlcg/Acsl5+ (more )
Structure Level Pattern Image Note
TS28: tongue Present UC Davis_1859336

Specimen UC Davis_1859337: postnatal adult; Acsl5tm1.1(KOMP)Vlcg/Acsl5+ (more )
Structure Level Pattern Image Note
TS28: spleen Present UC Davis_1859337

Specimen UC Davis_1859338: postnatal adult; Acsl5tm1.1(KOMP)Vlcg/Acsl5+ (more )
Structure Level Pattern Image Note
TS28: pancreas Present UC Davis_1859338

Specimen UC Davis_1859339: postnatal adult; Acsl5tm1.1(KOMP)Vlcg/Acsl5+ (more )
Structure Level Pattern Image Note
TS28: olfactory lobe Present UC Davis_1859339

Specimen UC Davis_1859342: postnatal adult; Acsl5tm1.1(KOMP)Vlcg/Acsl5+ (more )
Structure Level Pattern Image Note
TS28: midbrain Present UC Davis_1859342

Specimen UC Davis_1859344: postnatal adult; Acsl5tm1.1(KOMP)Vlcg/Acsl5+ (more )
Structure Level Pattern Image Note
TS28: cerebellum Present UC Davis_1859344

Specimen UC Davis_1859345: postnatal adult; Acsl5tm1.1(KOMP)Vlcg/Acsl5+ (more )
Structure Level Pattern Image Note
TS28: brain Present UC Davis_1859345

Specimen UC Davis_1859347: postnatal adult; Acsl5tm1.1(KOMP)Vlcg/Acsl5+ (more )
Structure Level Pattern Image Note
TS28: lung Present UC Davis_1859347

Specimen UC Davis_1859349: postnatal adult; Acsl5tm1.1(KOMP)Vlcg/Acsl5+ (more )
Structure Level Pattern Image Note
TS28: thymus Present UC Davis_1859349

Specimen UC Davis_1859350: postnatal adult; Acsl5tm1.1(KOMP)Vlcg/Acsl5+ (more )
Structure Level Pattern Image Note
TS28: metanephros Present UC Davis_1859350 kidney

Specimen UC Davis_1859351: postnatal adult; Acsl5tm1.1(KOMP)Vlcg/Acsl5+ (more )
Structure Level Pattern Image Note
TS28: adrenal gland Present UC Davis_1859351

Specimen UC Davis_1859352: postnatal adult; Acsl5tm1.1(KOMP)Vlcg/Acsl5+ (more )
Structure Level Pattern Image Note
TS28: liver Present UC Davis_1859352

Specimen UC Davis_1859353: postnatal adult; Acsl5tm1.1(KOMP)Vlcg/Acsl5+ (more )
Structure Level Pattern Image Note
TS28: diaphragm Present UC Davis_1859353

Specimen UC Davis_1859354: postnatal adult; Acsl5tm1.1(KOMP)Vlcg/Acsl5+ (more )
Structure Level Pattern Image Note
TS28: skin Present UC Davis_1859354

Specimen UC Davis_1859356: postnatal adult; Acsl5tm1.1(KOMP)Vlcg/Acsl5+ (more )
Structure Level Pattern Image Note
TS28: trachea Present UC Davis_1859356

Specimen UC Davis_1859358: postnatal adult; Acsl5tm1.1(KOMP)Vlcg/Acsl5+ (more )
Structure Level Pattern Image Note
TS28: esophagus Present UC Davis_1859358

Specimen UC Davis_1859359: postnatal adult; Acsl5tm1.1(KOMP)Vlcg/Acsl5+ (more )
Structure Level Pattern Image Note
TS28: thyroid gland Present UC Davis_1859359

Specimen UC Davis_1859360: postnatal adult; Acsl5tm1.1(KOMP)Vlcg/Acsl5+ (more )
Structure Level Pattern Image Note
TS28: spinal cord Present UC Davis_1859360

Specimen UC Davis_1859361: postnatal adult; Acsl5tm1.1(KOMP)Vlcg/Acsl5+ (more )
Structure Level Pattern Image Note
TS28: eye Present UC Davis_1859361

Specimen UC Davis_1859362: postnatal adult; Acsl5tm1.1(KOMP)Vlcg/Acsl5+ (more )
Structure Level Pattern Image Note
TS28: Harderian gland Present UC Davis_1859362

Specimen UC Davis_1859363: postnatal adult; Acsl5tm1.1(KOMP)Vlcg/Acsl5+ (more )
Structure Level Pattern Image Note
TS28: stomach Present UC Davis_1859363

Specimen UC Davis_1859364: postnatal adult; Acsl5tm1.1(KOMP)Vlcg/Acsl5+ (more )
Structure Level Pattern Image Note
TS28: duodenum Present UC Davis_1859364

Specimen UC Davis_1859365: postnatal adult; Acsl5tm1.1(KOMP)Vlcg/Acsl5+ (more )
Structure Level Pattern Image Note
TS28: jejunum Present UC Davis_1859365

Specimen UC Davis_1859366: postnatal adult; Acsl5tm1.1(KOMP)Vlcg/Acsl5+ (more )
Structure Level Pattern Image Note
TS28: ileum Present UC Davis_1859366

Specimen UC Davis_1859367: postnatal adult; Acsl5tm1.1(KOMP)Vlcg/Acsl5+ (more )
Structure Level Pattern Image Note
TS28: mesenteric lymph node Present UC Davis_1859367

Specimen UC Davis_1859368: postnatal adult; Acsl5tm1.1(KOMP)Vlcg/Acsl5+ (more )
Structure Level Pattern Image Note
TS28: mesenteric adipose tissue Present UC Davis_1859368

Specimen UC Davis_1859369: postnatal adult; Acsl5tm1.1(KOMP)Vlcg/Acsl5+ (more )
Structure Level Pattern Image Note
TS28: bladder Present UC Davis_1859369

Specimen UC Davis_1859370: postnatal adult; Acsl5tm1.1(KOMP)Vlcg/Acsl5+ (more )
Structure Level Pattern Image Note
TS28: testis Present UC Davis_1859370

Specimen UC Davis_1859371: postnatal adult; Acsl5tm1.1(KOMP)Vlcg/Acsl5+ (more )
Structure Level Pattern Image Note
TS28: prostate gland Present UC Davis_1859371

Specimen UC Davis_1859372: postnatal adult; Acsl5tm1.1(KOMP)Vlcg/Acsl5+ (more )
Structure Level Pattern Image Note
TS28: seminal vesicle Present UC Davis_1859372 vesicular gland

Specimen UC Davis_1859373: postnatal adult; Acsl5tm1.1(KOMP)Vlcg/Acsl5+ (more )
Structure Level Pattern Image Note
TS28: epididymis Present UC Davis_1859373

Specimen UC Davis_1859375: postnatal adult; Acsl5tm1.1(KOMP)Vlcg/Acsl5+ (more )
Structure Level Pattern Image Note
TS28: gallbladder Present UC Davis_1859375

Specimen UC Davis_1859377: postnatal adult; Acsl5tm1.1(KOMP)Vlcg/Acsl5+ (more )
Structure Level Pattern Image Note
TS28: thoracic segment skeleton Present UC Davis_1859377 chest bone

Specimen UC Davis_1859379: postnatal adult; Acsl5tm1.1(KOMP)Vlcg/Acsl5+ (more )
Structure Level Pattern Image Note
TS28: parathyroid gland Present UC Davis_1859379


Contributing Projects:
Mouse Genome Database (MGD), Gene Expression Database (GXD), Mouse Models of Human Cancer database (MMHCdb) (formerly Mouse Tumor Biology (MTB)), Gene Ontology (GO)
Citing These Resources
Funding Information
Warranty Disclaimer, Privacy Notice, Licensing, & Copyright
Send questions and comments to User Support.
last database update
03/24/2026
MGI 6.24
The Jackson Laboratory