About   Help   FAQ
Gene Expression Data
Assay Details
Assay
Reference: J:228563 Koscielny G, et al., The International Mouse Phenotyping Consortium Web Portal, a unified point of access for knockout mice and related phenotyping data. Nucleic Acids Res. 2014 Jan;42(Database issue):D802-9
Assay type: In situ reporter (knock in)
MGI Accession ID: MGI:6691972
Gene symbol: Fbxo30
Gene name: F-box protein 30
Reporter: lacZ
Direct Detection
Results
Specimen JAX_1268159: embryonic day 12.5; Fbxo30tm1b(KOMP)Wtsi/Fbxo30+ (more )
Structure Level Pattern Image Note
TS20: embryo Present JAX_1268159

Specimen JAX_1268161: embryonic day 12.5; Fbxo30tm1b(KOMP)Wtsi/Fbxo30+ (more )
Structure Level Pattern Image Note
TS20: embryo Present JAX_1268161

Specimen JAX_1268163: embryonic day 12.5; Fbxo30tm1b(KOMP)Wtsi/Fbxo30+ (more )
Structure Level Pattern Image Note
TS20: embryo Present JAX_1268163

Specimen JAX_1268165: embryonic day 12.5; Fbxo30tm1b(KOMP)Wtsi/Fbxo30+ (more )
Structure Level Pattern Image Note
TS20: embryo Present JAX_1268165

Specimen JAX_1268151: embryonic day 12.5; Fbxo30tm1b(KOMP)Wtsi/Fbxo30+ (more )
Structure Level Pattern Image Note
TS20: embryo Present JAX_1268151

Specimen JAX_1268153: embryonic day 12.5; Fbxo30tm1b(KOMP)Wtsi/Fbxo30+ (more )
Structure Level Pattern Image Note
TS20: embryo Present JAX_1268153

Specimen JAX_1268155: embryonic day 12.5; Fbxo30tm1b(KOMP)Wtsi/Fbxo30+ (more )
Structure Level Pattern Image Note
TS20: embryo Present JAX_1268155

Specimen JAX_1268157: embryonic day 12.5; Fbxo30tm1b(KOMP)Wtsi/Fbxo30+ (more )
Structure Level Pattern Image Note
TS20: embryo Present JAX_1268157

Specimen JAX_1373582: postnatal adult; Fbxo30tm1b(KOMP)Wtsi/Fbxo30+ (more )
Structure Level Pattern Image Note
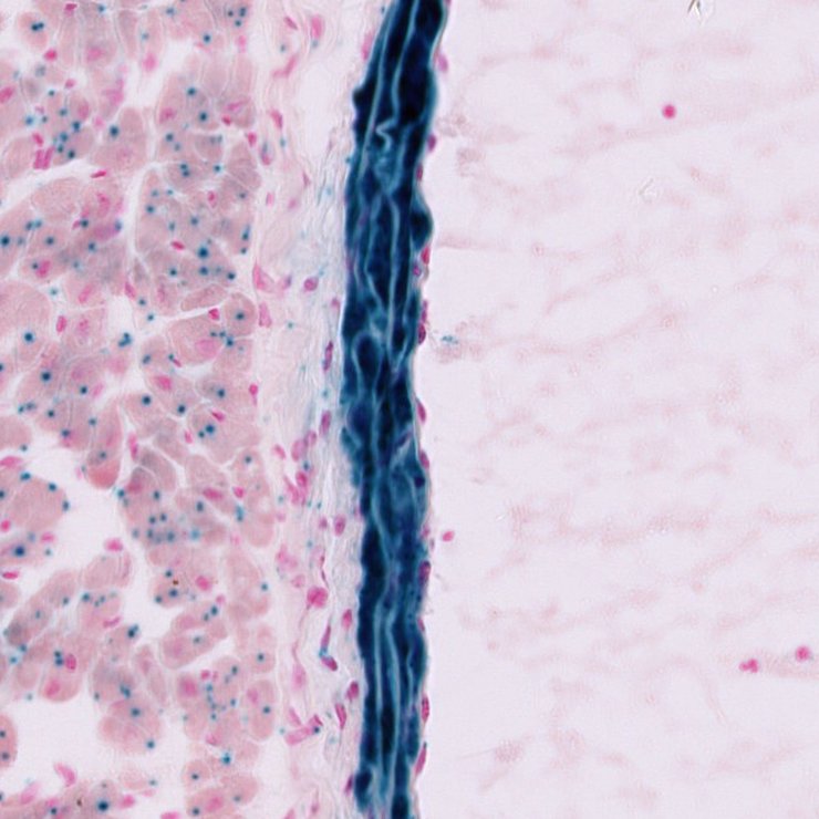
TS28: bladder Present JAX_1373582

Specimen JAX_1373583: postnatal adult; Fbxo30tm1b(KOMP)Wtsi/Fbxo30+ (more )
Structure Level Pattern Image Note
TS28: Peyer's patch Present JAX_1373583

Specimen JAX_1373584: postnatal adult; Fbxo30tm1b(KOMP)Wtsi/Fbxo30+ (more )
Structure Level Pattern Image Note
TS28: cerebral cortex Present JAX_1373584

Specimen JAX_1373585: postnatal adult; Fbxo30tm1b(KOMP)Wtsi/Fbxo30+ (more )
Structure Level Pattern Image Note
TS28: cartilage Present JAX_1373585

Specimen JAX_1373586: postnatal adult; Fbxo30tm1b(KOMP)Wtsi/Fbxo30+ (more )
Structure Level Pattern Image Note
TS28: lung Present JAX_1373586

Specimen JAX_1373587: postnatal adult; Fbxo30tm1b(KOMP)Wtsi/Fbxo30+ (more )
Structure Level Pattern Image Note
TS28: white fat Present JAX_1373587

Specimen JAX_1373588: postnatal adult; Fbxo30tm1b(KOMP)Wtsi/Fbxo30+ (more )
Structure Level Pattern Image Note
TS28: small intestine Present JAX_1373588

Specimen JAX_1373589: postnatal adult; Fbxo30tm1b(KOMP)Wtsi/Fbxo30+ (more )
Structure Level Pattern Image Note
TS28: spinal cord Present JAX_1373589

Specimen JAX_1373590: postnatal adult; Fbxo30tm1b(KOMP)Wtsi/Fbxo30+ (more )
Structure Level Pattern Image Note
TS28: esophagus Present JAX_1373590

Specimen JAX_1373591: postnatal adult; Fbxo30tm1b(KOMP)Wtsi/Fbxo30+ (more )
Structure Level Pattern Image Note
TS28: uterus Present JAX_1373591

Specimen JAX_1373592: postnatal adult; Fbxo30tm1b(KOMP)Wtsi/Fbxo30+ (more )
Structure Level Pattern Image Note
TS28: trachea Present JAX_1373592

Specimen JAX_1373593: postnatal adult; Fbxo30tm1b(KOMP)Wtsi/Fbxo30+ (more )
Structure Level Pattern Image Note
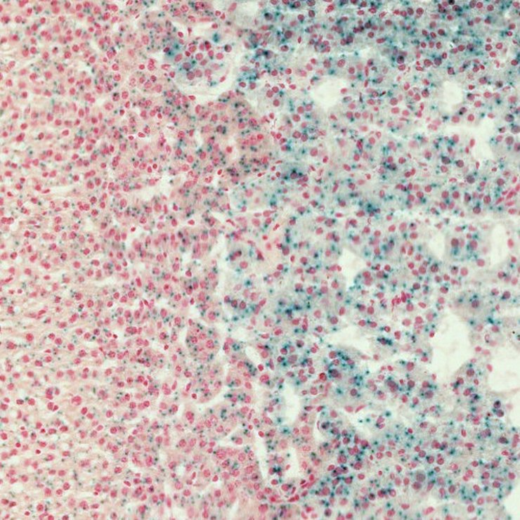
TS28: thymus Present JAX_1373593

Specimen JAX_1373594: postnatal adult; Fbxo30tm1b(KOMP)Wtsi/Fbxo30+ (more )
Structure Level Pattern Image Note
TS28: stomach Present JAX_1373594

Specimen JAX_1373595: postnatal adult; Fbxo30tm1b(KOMP)Wtsi/Fbxo30+ (more )
Structure Level Pattern Image Note
TS28: oviduct Present JAX_1373595

Specimen JAX_1373596: postnatal adult; Fbxo30tm1b(KOMP)Wtsi/Fbxo30+ (more )
Structure Level Pattern Image Note
TS28: ovary Present JAX_1373596

Specimen JAX_1373597: postnatal adult; Fbxo30tm1b(KOMP)Wtsi/Fbxo30+ (more )
Structure Level Pattern Image Note
TS28: mammary gland Present JAX_1373597

Specimen JAX_1373598: postnatal adult; Fbxo30tm1b(KOMP)Wtsi/Fbxo30+ (more )
Structure Level Pattern Image Note
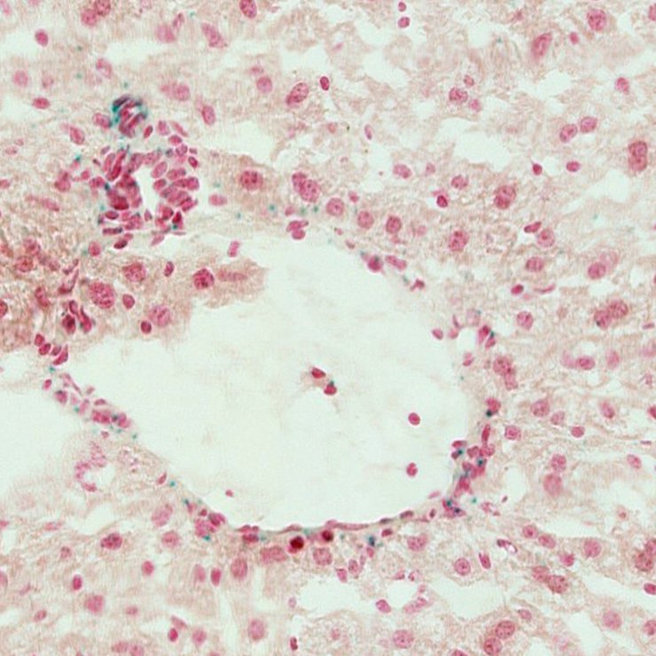
TS28: liver Present JAX_1373598

Specimen JAX_1373599: postnatal adult; Fbxo30tm1b(KOMP)Wtsi/Fbxo30+ (more )
Structure Level Pattern Image Note
TS28: metanephros Present JAX_1373599 kidney

Specimen JAX_1373600: postnatal adult; Fbxo30tm1b(KOMP)Wtsi/Fbxo30+ (more )
Structure Level Pattern Image Note
TS28: heart Present JAX_1373600

Specimen JAX_1373601: postnatal adult; Fbxo30tm1b(KOMP)Wtsi/Fbxo30+ (more )
Structure Level Pattern Image Note
TS28: eye Present JAX_1373601

Specimen JAX_1373602: postnatal adult; Fbxo30tm1b(KOMP)Wtsi/Fbxo30+ (more )
Structure Level Pattern Image Note
TS28: adrenal gland Present JAX_1373602

Specimen JAX_1373558: postnatal adult; Fbxo30tm1b(KOMP)Wtsi/Fbxo30+ (more )
Structure Level Pattern Image Note
TS28: thalamus Present JAX_1373558

Specimen JAX_1373559: postnatal adult; Fbxo30tm1b(KOMP)Wtsi/Fbxo30+ (more )
Structure Level Pattern Image Note
TS28: midbrain Present JAX_1373559

Specimen JAX_1373560: postnatal adult; Fbxo30tm1b(KOMP)Wtsi/Fbxo30+ (more )
Structure Level Pattern Image Note
TS28: vascular system Present JAX_1373560

Specimen JAX_1373561: postnatal adult; Fbxo30tm1b(KOMP)Wtsi/Fbxo30+ (more )
Structure Level Pattern Image Note
TS28: epididymis Present JAX_1373561

Specimen JAX_1373562: postnatal adult; Fbxo30tm1b(KOMP)Wtsi/Fbxo30+ (more )
Structure Level Pattern Image Note
TS28: submandibular gland Present JAX_1373562

Specimen JAX_1373563: postnatal adult; Fbxo30tm1b(KOMP)Wtsi/Fbxo30+ (more )
Structure Level Pattern Image Note
TS28: brown fat Present JAX_1373563

Specimen JAX_1373564: postnatal adult; Fbxo30tm1b(KOMP)Wtsi/Fbxo30+ (more )
Structure Level Pattern Image Note
TS28: corpus striatum Present JAX_1373564

Specimen JAX_1373565: postnatal adult; Fbxo30tm1b(KOMP)Wtsi/Fbxo30+ (more )
Structure Level Pattern Image Note
TS28: peripheral nervous system Present JAX_1373565

Specimen JAX_1373566: postnatal adult; Fbxo30tm1b(KOMP)Wtsi/Fbxo30+ (more )
Structure Level Pattern Image Note
TS28: olfactory lobe Present JAX_1373566

Specimen JAX_1373567: postnatal adult; Fbxo30tm1b(KOMP)Wtsi/Fbxo30+ (more )
Structure Level Pattern Image Note
TS28: hypothalamus Present JAX_1373567

Specimen JAX_1373568: postnatal adult; Fbxo30tm1b(KOMP)Wtsi/Fbxo30+ (more )
Structure Level Pattern Image Note
TS28: hippocampus Present JAX_1373568

Specimen JAX_1373569: postnatal adult; Fbxo30tm1b(KOMP)Wtsi/Fbxo30+ (more )
Structure Level Pattern Image Note
TS28: cerebellum Present JAX_1373569

Specimen JAX_1373570: postnatal adult; Fbxo30tm1b(KOMP)Wtsi/Fbxo30+ (more )
Structure Level Pattern Image Note
TS28: brainstem Present JAX_1373570

Specimen JAX_1373571: postnatal adult; Fbxo30tm1b(KOMP)Wtsi/Fbxo30+ (more )
Structure Level Pattern Image Note
TS28: spleen Present JAX_1373571

Specimen JAX_1373572: postnatal adult; Fbxo30tm1b(KOMP)Wtsi/Fbxo30+ (more )
Structure Level Pattern Image Note
TS28: pancreas Present JAX_1373572

Specimen JAX_1373573: postnatal adult; Fbxo30tm1b(KOMP)Wtsi/Fbxo30+ (more )
Structure Level Pattern Image Note
TS28: aorta Present JAX_1373573

Specimen JAX_1373574: postnatal adult; Fbxo30tm1b(KOMP)Wtsi/Fbxo30+ (more )
Structure Level Pattern Image Note
TS28: skeletal muscle tissue Present JAX_1373574

Specimen JAX_1373575: postnatal adult; Fbxo30tm1b(KOMP)Wtsi/Fbxo30+ (more )
Structure Level Pattern Image Note
TS28: pituitary gland Present JAX_1373575

Specimen JAX_1373576: postnatal adult; Fbxo30tm1b(KOMP)Wtsi/Fbxo30+ (more )
Structure Level Pattern Image Note
TS28: thyroid gland Present JAX_1373576

Specimen JAX_1373577: postnatal adult; Fbxo30tm1b(KOMP)Wtsi/Fbxo30+ (more )
Structure Level Pattern Image Note
TS28: large intestine Present JAX_1373577

Specimen JAX_1373578: postnatal adult; Fbxo30tm1b(KOMP)Wtsi/Fbxo30+ (more )
Structure Level Pattern Image Note
TS28: testis Present JAX_1373578

Specimen JAX_1373579: postnatal adult; Fbxo30tm1b(KOMP)Wtsi/Fbxo30+ (more )
Structure Level Pattern Image Note
TS28: skin Present JAX_1373579

Specimen JAX_1373580: postnatal adult; Fbxo30tm1b(KOMP)Wtsi/Fbxo30+ (more )
Structure Level Pattern Image Note
TS28: lymph node Present JAX_1373580

Specimen JAX_1373581: postnatal adult; Fbxo30tm1b(KOMP)Wtsi/Fbxo30+ (more )
Structure Level Pattern Image Note
TS28: brain Present JAX_1373581


Contributing Projects:
Mouse Genome Database (MGD), Gene Expression Database (GXD), Mouse Models of Human Cancer database (MMHCdb) (formerly Mouse Tumor Biology (MTB)), Gene Ontology (GO)
Citing These Resources
Funding Information
Warranty Disclaimer, Privacy Notice, Licensing, & Copyright
Send questions and comments to User Support.
last database update
01/06/2026
MGI 6.24
The Jackson Laboratory