About   Help   FAQ
Gene Expression Data
Assay Details
Assay
Reference: J:228563 Koscielny G, et al., The International Mouse Phenotyping Consortium Web Portal, a unified point of access for knockout mice and related phenotyping data. Nucleic Acids Res. 2014 Jan;42(Database issue):D802-9
Assay type: In situ reporter (knock in)
MGI Accession ID: MGI:6691969
Gene symbol: Zbtb43
Gene name: zinc finger and BTB domain containing 43
Reporter: lacZ
Direct Detection
Results
Specimen JAX_1126921: embryonic day 12.5; Zbtb43tm1b(KOMP)Mbp/Zbtb43+ (more )
Structure Level Pattern Image Note
TS20: embryo Present JAX_1126921

Specimen JAX_1126923: embryonic day 12.5; Zbtb43tm1b(KOMP)Mbp/Zbtb43+ (more )
Structure Level Pattern Image Note
TS20: embryo Present JAX_1126923

Specimen JAX_1126925: embryonic day 12.5; Zbtb43tm1b(KOMP)Mbp/Zbtb43+ (more )
Structure Level Pattern Image Note
TS20: embryo Present JAX_1126925

Specimen JAX_1126927: embryonic day 12.5; Zbtb43tm1b(KOMP)Mbp/Zbtb43+ (more )
Structure Level Pattern Image Note
TS20: embryo Present JAX_1126927

Specimen JAX_1470395: embryonic day 12.5; Zbtb43tm1b(KOMP)Mbp/Zbtb43+ (more )
Structure Level Pattern Image Note
TS20: embryo Present JAX_1470395

Specimen JAX_1470396: embryonic day 12.5; Zbtb43tm1b(KOMP)Mbp/Zbtb43+ (more )
Structure Level Pattern Image Note
TS20: embryo Present JAX_1470396

Specimen JAX_1470397: embryonic day 12.5; Zbtb43tm1b(KOMP)Mbp/Zbtb43+ (more )
Structure Level Pattern Image Note
TS20: embryo Present JAX_1470397

Specimen JAX_1470398: embryonic day 12.5; Zbtb43tm1b(KOMP)Mbp/Zbtb43+ (more )
Structure Level Pattern Image Note
TS20: embryo Present JAX_1470398

Specimen JAX_1622415: postnatal adult; Zbtb43tm1b(KOMP)Mbp/Zbtb43+ (more )
Structure Level Pattern Image Note
TS28: thalamus Present JAX_1622415

Specimen JAX_1622416: postnatal adult; Zbtb43tm1b(KOMP)Mbp/Zbtb43+ (more )
Structure Level Pattern Image Note
TS28: midbrain Present JAX_1622416

Specimen JAX_1622417: postnatal adult; Zbtb43tm1b(KOMP)Mbp/Zbtb43+ (more )
Structure Level Pattern Image Note
TS28: vascular system Present JAX_1622417

Specimen JAX_1622418: postnatal adult; Zbtb43tm1b(KOMP)Mbp/Zbtb43+ (more )
Structure Level Pattern Image Note
TS28: submandibular gland Present JAX_1622418

Specimen JAX_1622419: postnatal adult; Zbtb43tm1b(KOMP)Mbp/Zbtb43+ (more )
Structure Level Pattern Image Note
TS28: bladder Present JAX_1622419

Specimen JAX_1622420: postnatal adult; Zbtb43tm1b(KOMP)Mbp/Zbtb43+ (more )
Structure Level Pattern Image Note
TS28: corpus striatum Present JAX_1622420

Specimen JAX_1622421: postnatal adult; Zbtb43tm1b(KOMP)Mbp/Zbtb43+ (more )
Structure Level Pattern Image Note
TS28: olfactory lobe Present JAX_1622421

Specimen JAX_1622422: postnatal adult; Zbtb43tm1b(KOMP)Mbp/Zbtb43+ (more )
Structure Level Pattern Image Note
TS28: hypothalamus Present JAX_1622422

Specimen JAX_1622423: postnatal adult; Zbtb43tm1b(KOMP)Mbp/Zbtb43+ (more )
Structure Level Pattern Image Note
TS28: hippocampus Present JAX_1622423

Specimen JAX_1622424: postnatal adult; Zbtb43tm1b(KOMP)Mbp/Zbtb43+ (more )
Structure Level Pattern Image Note
TS28: cerebellum Present JAX_1622424

Specimen JAX_1622425: postnatal adult; Zbtb43tm1b(KOMP)Mbp/Zbtb43+ (more )
Structure Level Pattern Image Note
TS28: cerebral cortex Present JAX_1622425

Specimen JAX_1622426: postnatal adult; Zbtb43tm1b(KOMP)Mbp/Zbtb43+ (more )
Structure Level Pattern Image Note
TS28: brainstem Present JAX_1622426

Specimen JAX_1622427: postnatal adult; Zbtb43tm1b(KOMP)Mbp/Zbtb43+ (more )
Structure Level Pattern Image Note
TS28: white fat Present JAX_1622427

Specimen JAX_1622428: postnatal adult; Zbtb43tm1b(KOMP)Mbp/Zbtb43+ (more )
Structure Level Pattern Image Note
TS28: skeletal muscle tissue Present JAX_1622428

Specimen JAX_1622429: postnatal adult; Zbtb43tm1b(KOMP)Mbp/Zbtb43+ (more )
Structure Level Pattern Image Note
TS28: pituitary gland Present JAX_1622429

Specimen JAX_1622430: postnatal adult; Zbtb43tm1b(KOMP)Mbp/Zbtb43+ (more )
Structure Level Pattern Image Note
TS28: esophagus Present JAX_1622430

Specimen JAX_1622431: postnatal adult; Zbtb43tm1b(KOMP)Mbp/Zbtb43+ (more )
Structure Level Pattern Image Note
TS28: large intestine Present JAX_1622431

Specimen JAX_1622432: postnatal adult; Zbtb43tm1b(KOMP)Mbp/Zbtb43+ (more )
Structure Level Pattern Image Note
TS28: uterus Present JAX_1622432

Specimen JAX_1622433: postnatal adult; Zbtb43tm1b(KOMP)Mbp/Zbtb43+ (more )
Structure Level Pattern Image Note
TS28: trachea Present JAX_1622433

Specimen JAX_1622434: postnatal adult; Zbtb43tm1b(KOMP)Mbp/Zbtb43+ (more )
Structure Level Pattern Image Note
TS28: thymus Present JAX_1622434

Specimen JAX_1622435: postnatal adult; Zbtb43tm1b(KOMP)Mbp/Zbtb43+ (more )
Structure Level Pattern Image Note
TS28: oviduct Present JAX_1622435

Specimen JAX_1622436: postnatal adult; Zbtb43tm1b(KOMP)Mbp/Zbtb43+ (more )
Structure Level Pattern Image Note
TS28: ovary Present JAX_1622436

Specimen JAX_1622437: postnatal adult; Zbtb43tm1b(KOMP)Mbp/Zbtb43+ (more )
Structure Level Pattern Image Note
TS28: mammary gland Present JAX_1622437

Specimen JAX_1622438: postnatal adult; Zbtb43tm1b(KOMP)Mbp/Zbtb43+ (more )
Structure Level Pattern Image Note
TS28: lymph node Present JAX_1622438

Specimen JAX_1622439: postnatal adult; Zbtb43tm1b(KOMP)Mbp/Zbtb43+ (more )
Structure Level Pattern Image Note
TS28: heart Present JAX_1622439

Specimen JAX_1622440: postnatal adult; Zbtb43tm1b(KOMP)Mbp/Zbtb43+ (more )
Structure Level Pattern Image Note
TS28: brain Present JAX_1622440

Specimen JAX_1622441: postnatal adult; Zbtb43tm1b(KOMP)Mbp/Zbtb43+ (more )
Structure Level Pattern Image Note
TS28: adrenal gland Present JAX_1622441

Specimen JAX_1622396: postnatal adult; Zbtb43tm1b(KOMP)Mbp/Zbtb43+ (more )
Structure Level Pattern Image Note
TS28: epididymis Present JAX_1622396

Specimen JAX_1622397: postnatal adult; Zbtb43tm1b(KOMP)Mbp/Zbtb43+ (more )
Structure Level Pattern Image Note
TS28: brown fat Present JAX_1622397

Specimen JAX_1622398: postnatal adult; Zbtb43tm1b(KOMP)Mbp/Zbtb43+ (more )
Structure Level Pattern Image Note
TS28: bone Present JAX_1622398

Specimen JAX_1622399: postnatal adult; Zbtb43tm1b(KOMP)Mbp/Zbtb43+ (more )
Structure Level Pattern Image Note
TS28: Peyer's patch Present JAX_1622399

Specimen JAX_1622400: postnatal adult; Zbtb43tm1b(KOMP)Mbp/Zbtb43+ (more )
Structure Level Pattern Image Note
TS28: peripheral nervous system Present JAX_1622400

Specimen JAX_1622401: postnatal adult; Zbtb43tm1b(KOMP)Mbp/Zbtb43+ (more )
Structure Level Pattern Image Note
TS28: cartilage Present JAX_1622401

Specimen JAX_1622402: postnatal adult; Zbtb43tm1b(KOMP)Mbp/Zbtb43+ (more )
Structure Level Pattern Image Note
TS28: spleen Present JAX_1622402

Specimen JAX_1622403: postnatal adult; Zbtb43tm1b(KOMP)Mbp/Zbtb43+ (more )
Structure Level Pattern Image Note
TS28: pancreas Present JAX_1622403

Specimen JAX_1622404: postnatal adult; Zbtb43tm1b(KOMP)Mbp/Zbtb43+ (more )
Structure Level Pattern Image Note
TS28: aorta Present JAX_1622404

Specimen JAX_1622405: postnatal adult; Zbtb43tm1b(KOMP)Mbp/Zbtb43+ (more )
Structure Level Pattern Image Note
TS28: lung Present JAX_1622405

Specimen JAX_1622406: postnatal adult; Zbtb43tm1b(KOMP)Mbp/Zbtb43+ (more )
Structure Level Pattern Image Note
TS28: small intestine Present JAX_1622406

Specimen JAX_1622407: postnatal adult; Zbtb43tm1b(KOMP)Mbp/Zbtb43+ (more )
Structure Level Pattern Image Note
TS28: thyroid gland Present JAX_1622407

Specimen JAX_1622408: postnatal adult; Zbtb43tm1b(KOMP)Mbp/Zbtb43+ (more )
Structure Level Pattern Image Note
TS28: spinal cord Present JAX_1622408

Specimen JAX_1622409: postnatal adult; Zbtb43tm1b(KOMP)Mbp/Zbtb43+ (more )
Structure Level Pattern Image Note
TS28: testis Present JAX_1622409

Specimen JAX_1622410: postnatal adult; Zbtb43tm1b(KOMP)Mbp/Zbtb43+ (more )
Structure Level Pattern Image Note
TS28: stomach Present JAX_1622410

Specimen JAX_1622411: postnatal adult; Zbtb43tm1b(KOMP)Mbp/Zbtb43+ (more )
Structure Level Pattern Image Note
TS28: skin Present JAX_1622411

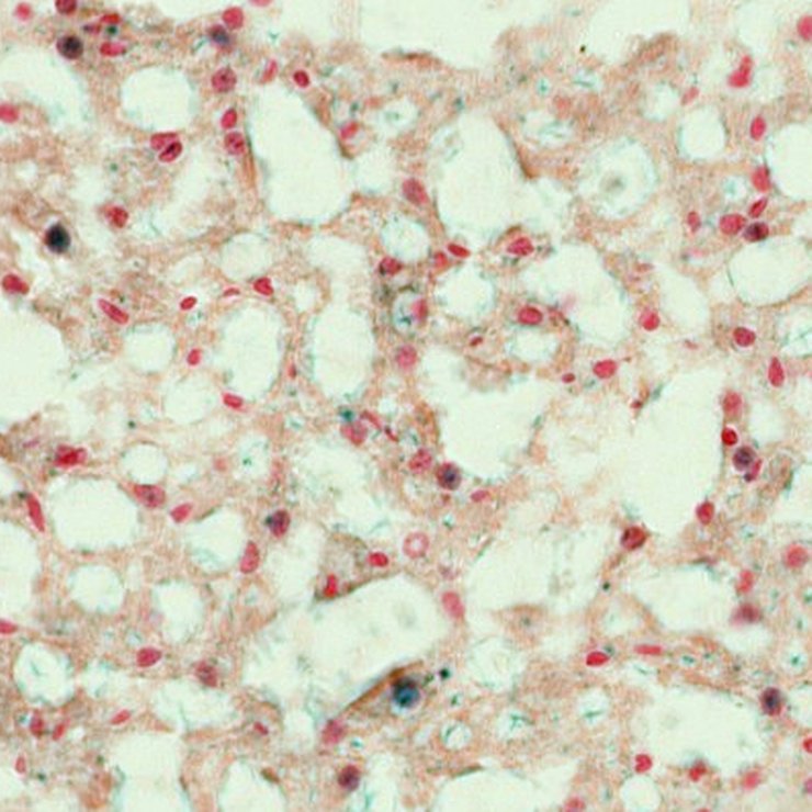
Specimen JAX_1622412: postnatal adult; Zbtb43tm1b(KOMP)Mbp/Zbtb43+ (more )
Structure Level Pattern Image Note
TS28: liver Present JAX_1622412

Specimen JAX_1622413: postnatal adult; Zbtb43tm1b(KOMP)Mbp/Zbtb43+ (more )
Structure Level Pattern Image Note
TS28: metanephros Present JAX_1622413 kidney

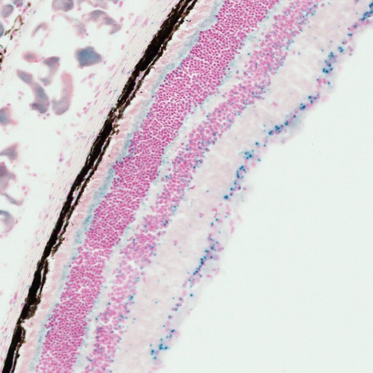
Specimen JAX_1622414: postnatal adult; Zbtb43tm1b(KOMP)Mbp/Zbtb43+ (more )
Structure Level Pattern Image Note
TS28: eye Present JAX_1622414


Contributing Projects:
Mouse Genome Database (MGD), Gene Expression Database (GXD), Mouse Models of Human Cancer database (MMHCdb) (formerly Mouse Tumor Biology (MTB)), Gene Ontology (GO)
Citing These Resources
Funding Information
Warranty Disclaimer, Privacy Notice, Licensing, & Copyright
Send questions and comments to User Support.
last database update
12/30/2025
MGI 6.24
The Jackson Laboratory