About   Help   FAQ
Gene Expression Data
Assay Details
Assay
Reference: J:228563 Koscielny G, et al., The International Mouse Phenotyping Consortium Web Portal, a unified point of access for knockout mice and related phenotyping data. Nucleic Acids Res. 2014 Jan;42(Database issue):D802-9
Assay type: In situ reporter (knock in)
MGI Accession ID: MGI:6691960
Gene symbol: Tmem248
Gene name: transmembrane protein 248
Reporter: lacZ
Direct Detection
Results
Specimen UC Davis_1878875: postnatal adult; Tmem248tm1.1(KOMP)Vlcg/Tmem248+ (more )
Structure Level Pattern Image Note
TS28: esophagus Present UC Davis_1878875

Specimen UC Davis_1878876: postnatal adult; Tmem248tm1.1(KOMP)Vlcg/Tmem248+ (more )
Structure Level Pattern Image Note
TS28: ileum Present UC Davis_1878876

Specimen UC Davis_1878877: postnatal adult; Tmem248tm1.1(KOMP)Vlcg/Tmem248+ (more )
Structure Level Pattern Image Note
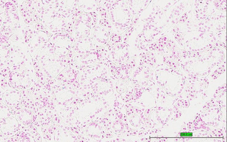
TS28: metanephros Present UC Davis_1878877 kidney

Specimen UC Davis_1878878: postnatal adult; Tmem248tm1.1(KOMP)Vlcg/Tmem248+ (more )
Structure Level Pattern Image Note
TS28: metanephros Present UC Davis_1878878 kidney

Specimen UC Davis_1878879: postnatal adult; Tmem248tm1.1(KOMP)Vlcg/Tmem248+ (more )
Structure Level Pattern Image Note
TS28: adrenal gland Present UC Davis_1878879

Specimen UC Davis_1878880: postnatal adult; Tmem248tm1.1(KOMP)Vlcg/Tmem248+ (more )
Structure Level Pattern Image Note
TS28: eye Present UC Davis_1878880

Specimen UC Davis_1878881: postnatal adult; Tmem248tm1.1(KOMP)Vlcg/Tmem248+ (more )
Structure Level Pattern Image Note
TS28: midbrain Present UC Davis_1878881

Specimen UC Davis_1878882: postnatal adult; Tmem248tm1.1(KOMP)Vlcg/Tmem248+ (more )
Structure Level Pattern Image Note
TS28: midbrain Present UC Davis_1878882

Specimen UC Davis_1878883: postnatal adult; Tmem248tm1.1(KOMP)Vlcg/Tmem248+ (more )
Structure Level Pattern Image Note
TS28: trigeminal nerve Present UC Davis_1878883

Specimen UC Davis_1878884: postnatal adult; Tmem248tm1.1(KOMP)Vlcg/Tmem248+ (more )
Structure Level Pattern Image Note
TS28: oviduct Present UC Davis_1878884

Specimen UC Davis_1878885: postnatal adult; Tmem248tm1.1(KOMP)Vlcg/Tmem248+ (more )
Structure Level Pattern Image Note
TS28: uterus Present UC Davis_1878885

Specimen UC Davis_1878886: postnatal adult; Tmem248tm1.1(KOMP)Vlcg/Tmem248+ (more )
Structure Level Pattern Image Note
TS28: vagina Present UC Davis_1878886

Specimen UC Davis_1878887: postnatal adult; Tmem248tm1.1(KOMP)Vlcg/Tmem248+ (more )
Structure Level Pattern Image Note
TS28: vagina Present UC Davis_1878887

Specimen UC Davis_1878888: postnatal adult; Tmem248tm1.1(KOMP)Vlcg/Tmem248+ (more )
Structure Level Pattern Image Note
TS28: bladder Present UC Davis_1878888

Specimen UC Davis_1878889: postnatal adult; Tmem248tm1.1(KOMP)Vlcg/Tmem248+ (more )
Structure Level Pattern Image Note
TS28: bladder Present UC Davis_1878889

Specimen UC Davis_1878830: postnatal adult; Tmem248tm1.1(KOMP)Vlcg/Tmem248+ (more )
Structure Level Pattern Image Note
TS28: submandibular gland Present UC Davis_1878830

Specimen UC Davis_1878831: postnatal adult; Tmem248tm1.1(KOMP)Vlcg/Tmem248+ (more )
Structure Level Pattern Image Note
TS28: esophagus Present UC Davis_1878831

Specimen UC Davis_1878832: postnatal adult; Tmem248tm1.1(KOMP)Vlcg/Tmem248+ (more )
Structure Level Pattern Image Note
TS28: esophagus Present UC Davis_1878832

Specimen UC Davis_1878833: postnatal adult; Tmem248tm1.1(KOMP)Vlcg/Tmem248+ (more )
Structure Level Pattern Image Note
TS28: thyroid gland Present UC Davis_1878833

Specimen UC Davis_1878835: postnatal adult; Tmem248tm1.1(KOMP)Vlcg/Tmem248+ (more )
Structure Level Pattern Image Note
TS28: parathyroid gland Present UC Davis_1878835

Specimen UC Davis_1878836: postnatal adult; Tmem248tm1.1(KOMP)Vlcg/Tmem248+ (more )
Structure Level Pattern Image Note
TS28: aorta Present UC Davis_1878836

Specimen UC Davis_1878837: postnatal adult; Tmem248tm1.1(KOMP)Vlcg/Tmem248+ (more )
Structure Level Pattern Image Note
TS28: lung Present UC Davis_1878837

Specimen UC Davis_1878838: postnatal adult; Tmem248tm1.1(KOMP)Vlcg/Tmem248+ (more )
Structure Level Pattern Image Note
TS28: thymus Present UC Davis_1878838

Specimen UC Davis_1878841: postnatal adult; Tmem248tm1.1(KOMP)Vlcg/Tmem248+ (more )
Structure Level Pattern Image Note
TS28: stomach Present UC Davis_1878841

Specimen UC Davis_1878842: postnatal adult; Tmem248tm1.1(KOMP)Vlcg/Tmem248+ (more )
Structure Level Pattern Image Note
TS28: stomach Present UC Davis_1878842

Specimen UC Davis_1878843: postnatal adult; Tmem248tm1.1(KOMP)Vlcg/Tmem248+ (more )
Structure Level Pattern Image Note
TS28: jejunum Present UC Davis_1878843

Specimen UC Davis_1878844: postnatal adult; Tmem248tm1.1(KOMP)Vlcg/Tmem248+ (more )
Structure Level Pattern Image Note
TS28: ileum Present UC Davis_1878844

Specimen UC Davis_1878845: postnatal adult; Tmem248tm1.1(KOMP)Vlcg/Tmem248+ (more )
Structure Level Pattern Image Note
TS28: colon Present UC Davis_1878845

Specimen UC Davis_1878846: postnatal adult; Tmem248tm1.1(KOMP)Vlcg/Tmem248+ (more )
Structure Level Pattern Image Note
TS28: cecum Present UC Davis_1878846

Specimen UC Davis_1878847: postnatal adult; Tmem248tm1.1(KOMP)Vlcg/Tmem248+ (more )
Structure Level Pattern Image Note
TS28: spleen Present UC Davis_1878847

Specimen UC Davis_1878848: postnatal adult; Tmem248tm1.1(KOMP)Vlcg/Tmem248+ (more )
Structure Level Pattern Image Note
TS28: metanephros Present UC Davis_1878848 kidney

Specimen UC Davis_1878849: postnatal adult; Tmem248tm1.1(KOMP)Vlcg/Tmem248+ (more )
Structure Level Pattern Image Note
TS28: metanephros Present UC Davis_1878849 kidney

Specimen UC Davis_1878850: postnatal adult; Tmem248tm1.1(KOMP)Vlcg/Tmem248+ (more )
Structure Level Pattern Image Note
TS28: tongue Present UC Davis_1878850

Specimen UC Davis_1878851: postnatal adult; Tmem248tm1.1(KOMP)Vlcg/Tmem248+ (more )
Structure Level Pattern Image Note
TS28: tongue Present UC Davis_1878851

Specimen UC Davis_1878852: postnatal adult; Tmem248tm1.1(KOMP)Vlcg/Tmem248+ (more )
Structure Level Pattern Image Note
TS28: tongue Present UC Davis_1878852

Specimen UC Davis_1878853: postnatal adult; Tmem248tm1.1(KOMP)Vlcg/Tmem248+ (more )
Structure Level Pattern Image Note
TS28: pituitary gland Present UC Davis_1878853

Specimen UC Davis_1878854: postnatal adult; Tmem248tm1.1(KOMP)Vlcg/Tmem248+ (more )
Structure Level Pattern Image Note
TS28: eye Present UC Davis_1878854

Specimen UC Davis_1878855: postnatal adult; Tmem248tm1.1(KOMP)Vlcg/Tmem248+ (more )
Structure Level Pattern Image Note
TS28: eye Present UC Davis_1878855

Specimen UC Davis_1878856: postnatal adult; Tmem248tm1.1(KOMP)Vlcg/Tmem248+ (more )
Structure Level Pattern Image Note
TS28: eye Present UC Davis_1878856

Specimen UC Davis_1878857: postnatal adult; Tmem248tm1.1(KOMP)Vlcg/Tmem248+ (more )
Structure Level Pattern Image Note
TS28: eye Present UC Davis_1878857

Specimen UC Davis_1878858: postnatal adult; Tmem248tm1.1(KOMP)Vlcg/Tmem248+ (more )
Structure Level Pattern Image Note
TS28: mesenteric adipose tissue Present UC Davis_1878858

Specimen UC Davis_1878859: postnatal adult; Tmem248tm1.1(KOMP)Vlcg/Tmem248+ (more )
Structure Level Pattern Image Note
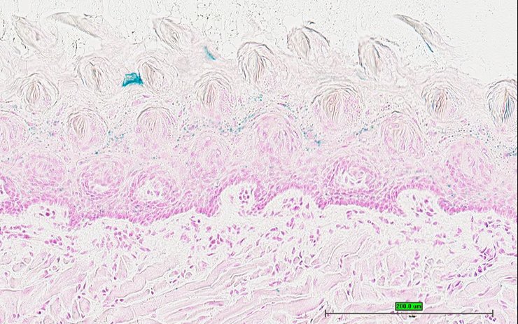
TS28: skin Present UC Davis_1878859

Specimen UC Davis_1878862: postnatal adult; Tmem248tm1.1(KOMP)Vlcg/Tmem248+ (more )
Structure Level Pattern Image Note
TS28: midbrain Present UC Davis_1878862

Specimen UC Davis_1878864: postnatal adult; Tmem248tm1.1(KOMP)Vlcg/Tmem248+ (more )
Structure Level Pattern Image Note
TS28: cerebellum Present UC Davis_1878864

Specimen UC Davis_1878865: postnatal adult; Tmem248tm1.1(KOMP)Vlcg/Tmem248+ (more )
Structure Level Pattern Image Note
TS28: trigeminal nerve Present UC Davis_1878865

Specimen UC Davis_1878866: postnatal adult; Tmem248tm1.1(KOMP)Vlcg/Tmem248+ (more )
Structure Level Pattern Image Note
TS28: bladder Present UC Davis_1878866

Specimen UC Davis_1878867: postnatal adult; Tmem248tm1.1(KOMP)Vlcg/Tmem248+ (more )
Structure Level Pattern Image Note
TS28: testis Present UC Davis_1878867

Specimen UC Davis_1878868: postnatal adult; Tmem248tm1.1(KOMP)Vlcg/Tmem248+ (more )
Structure Level Pattern Image Note
TS28: testis Present UC Davis_1878868

Specimen UC Davis_1878869: postnatal adult; Tmem248tm1.1(KOMP)Vlcg/Tmem248+ (more )
Structure Level Pattern Image Note
TS28: epididymis Present UC Davis_1878869

Specimen UC Davis_1878870: postnatal adult; Tmem248tm1.1(KOMP)Vlcg/Tmem248+ (more )
Structure Level Pattern Image Note
TS28: prostate gland Present UC Davis_1878870

Specimen UC Davis_1878871: postnatal adult; Tmem248tm1.1(KOMP)Vlcg/Tmem248+ (more )
Structure Level Pattern Image Note
TS28: penis Present UC Davis_1878871

Specimen UC Davis_1878872: postnatal adult; Tmem248tm1.1(KOMP)Vlcg/Tmem248+ (more )
Structure Level Pattern Image Note
TS28: penis Present UC Davis_1878872

Specimen UC Davis_1878873: postnatal adult; Tmem248tm1.1(KOMP)Vlcg/Tmem248+ (more )
Structure Level Pattern Image Note
TS28: ductus deferens Present UC Davis_1878873 vas deferens


Contributing Projects:
Mouse Genome Database (MGD), Gene Expression Database (GXD), Mouse Models of Human Cancer database (MMHCdb) (formerly Mouse Tumor Biology (MTB)), Gene Ontology (GO)
Citing These Resources
Funding Information
Warranty Disclaimer, Privacy Notice, Licensing, & Copyright
Send questions and comments to User Support.
last database update
01/06/2026
MGI 6.24
The Jackson Laboratory