About   Help   FAQ
Gene Expression Data
Assay Details
Assay
Reference: J:228563 Koscielny G, et al., The International Mouse Phenotyping Consortium Web Portal, a unified point of access for knockout mice and related phenotyping data. Nucleic Acids Res. 2014 Jan;42(Database issue):D802-9
Assay type: In situ reporter (knock in)
MGI Accession ID: MGI:6691952
Gene symbol: Ppp6r2
Gene name: protein phosphatase 6, regulatory subunit 2
Reporter: lacZ
Direct Detection
Results
Specimen JAX_1049509: embryonic day 12.5; Ppp6r2tm1.1(KOMP)Vlcg/Ppp6r2+ (more )
Structure Level Pattern Image Note
TS20: embryo Present JAX_1049509

Specimen JAX_1049511: embryonic day 12.5; Ppp6r2tm1.1(KOMP)Vlcg/Ppp6r2+ (more )
Structure Level Pattern Image Note
TS20: embryo Present JAX_1049511

Specimen JAX_1049513: embryonic day 12.5; Ppp6r2tm1.1(KOMP)Vlcg/Ppp6r2+ (more )
Structure Level Pattern Image Note
TS20: embryo Present JAX_1049513

Specimen JAX_1049515: embryonic day 12.5; Ppp6r2tm1.1(KOMP)Vlcg/Ppp6r2+ (more )
Structure Level Pattern Image Note
TS20: embryo Present JAX_1049515

Specimen JAX_1125493: embryonic day 12.5; Ppp6r2tm1.1(KOMP)Vlcg/Ppp6r2+ (more )
Structure Level Pattern Image Note
TS20: embryo Present JAX_1125493

Specimen JAX_1125495: embryonic day 12.5; Ppp6r2tm1.1(KOMP)Vlcg/Ppp6r2+ (more )
Structure Level Pattern Image Note
TS20: embryo Present JAX_1125495

Specimen JAX_1125497: embryonic day 12.5; Ppp6r2tm1.1(KOMP)Vlcg/Ppp6r2+ (more )
Structure Level Pattern Image Note
TS20: embryo Present JAX_1125497

Specimen JAX_1125499: embryonic day 12.5; Ppp6r2tm1.1(KOMP)Vlcg/Ppp6r2+ (more )
Structure Level Pattern Image Note
TS20: embryo Present JAX_1125499

Specimen JAX_1371112: postnatal adult; Ppp6r2tm1.1(KOMP)Vlcg/Ppp6r2+ (more )
Structure Level Pattern Image Note
TS28: thalamus Present JAX_1371112

Specimen JAX_1371113: postnatal adult; Ppp6r2tm1.1(KOMP)Vlcg/Ppp6r2+ (more )
Structure Level Pattern Image Note
TS28: midbrain Present JAX_1371113

Specimen JAX_1371114: postnatal adult; Ppp6r2tm1.1(KOMP)Vlcg/Ppp6r2+ (more )
Structure Level Pattern Image Note
TS28: submandibular gland Present JAX_1371114

Specimen JAX_1371115: postnatal adult; Ppp6r2tm1.1(KOMP)Vlcg/Ppp6r2+ (more )
Structure Level Pattern Image Note
TS28: brown fat Present JAX_1371115

Specimen JAX_1371116: postnatal adult; Ppp6r2tm1.1(KOMP)Vlcg/Ppp6r2+ (more )
Structure Level Pattern Image Note
TS28: bladder Present JAX_1371116

Specimen JAX_1371117: postnatal adult; Ppp6r2tm1.1(KOMP)Vlcg/Ppp6r2+ (more )
Structure Level Pattern Image Note
TS28: corpus striatum Present JAX_1371117

Specimen JAX_1371118: postnatal adult; Ppp6r2tm1.1(KOMP)Vlcg/Ppp6r2+ (more )
Structure Level Pattern Image Note
TS28: olfactory lobe Present JAX_1371118

Specimen JAX_1371119: postnatal adult; Ppp6r2tm1.1(KOMP)Vlcg/Ppp6r2+ (more )
Structure Level Pattern Image Note
TS28: hypothalamus Present JAX_1371119

Specimen JAX_1371120: postnatal adult; Ppp6r2tm1.1(KOMP)Vlcg/Ppp6r2+ (more )
Structure Level Pattern Image Note
TS28: hippocampus Present JAX_1371120

Specimen JAX_1371121: postnatal adult; Ppp6r2tm1.1(KOMP)Vlcg/Ppp6r2+ (more )
Structure Level Pattern Image Note
TS28: cerebellum Present JAX_1371121

Specimen JAX_1371122: postnatal adult; Ppp6r2tm1.1(KOMP)Vlcg/Ppp6r2+ (more )
Structure Level Pattern Image Note
TS28: cerebral cortex Present JAX_1371122

Specimen JAX_1371123: postnatal adult; Ppp6r2tm1.1(KOMP)Vlcg/Ppp6r2+ (more )
Structure Level Pattern Image Note
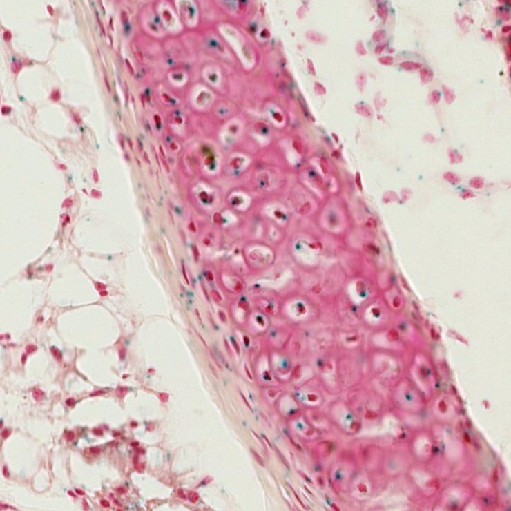
TS28: cartilage Present JAX_1371123

Specimen JAX_1371124: postnatal adult; Ppp6r2tm1.1(KOMP)Vlcg/Ppp6r2+ (more )
Structure Level Pattern Image Note
TS28: brainstem Present JAX_1371124

Specimen JAX_1371125: postnatal adult; Ppp6r2tm1.1(KOMP)Vlcg/Ppp6r2+ (more )
Structure Level Pattern Image Note
TS28: pancreas Present JAX_1371125

Specimen JAX_1371126: postnatal adult; Ppp6r2tm1.1(KOMP)Vlcg/Ppp6r2+ (more )
Structure Level Pattern Image Note
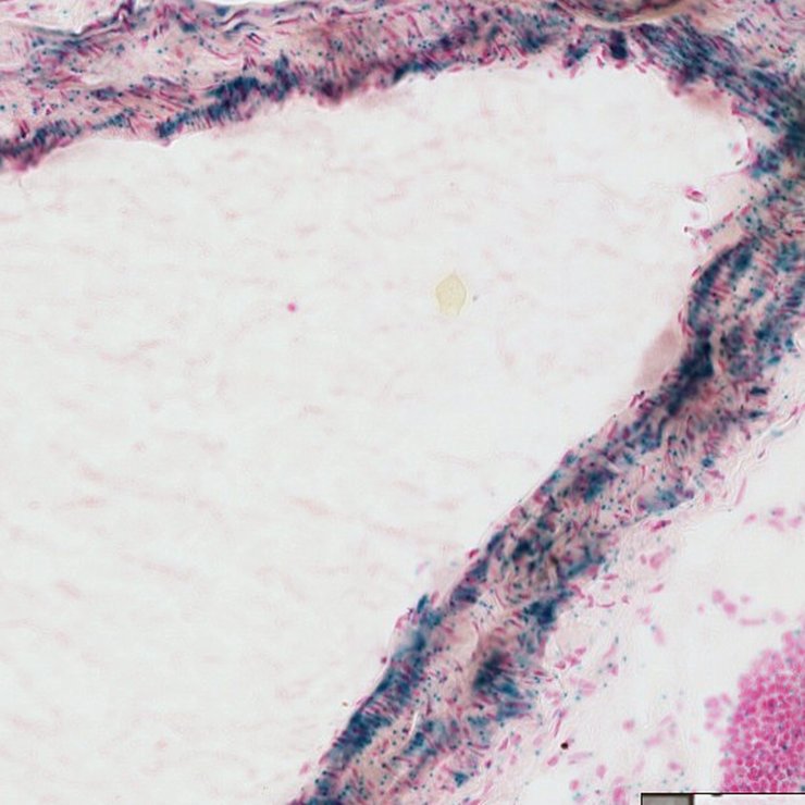
TS28: aorta Present JAX_1371126

Specimen JAX_1371127: postnatal adult; Ppp6r2tm1.1(KOMP)Vlcg/Ppp6r2+ (more )
Structure Level Pattern Image Note
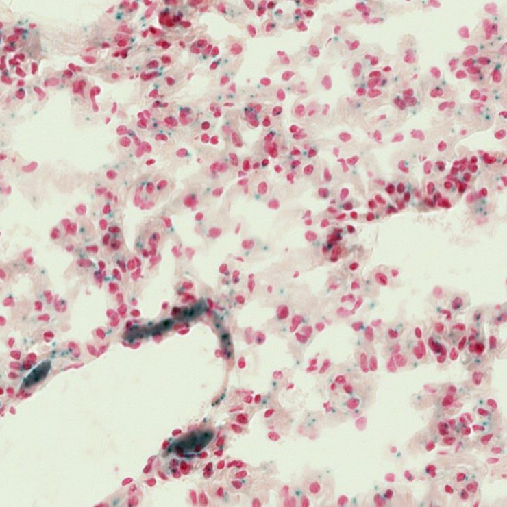
TS28: lung Present JAX_1371127

Specimen JAX_1371128: postnatal adult; Ppp6r2tm1.1(KOMP)Vlcg/Ppp6r2+ (more )
Structure Level Pattern Image Note
TS28: white fat Present JAX_1371128

Specimen JAX_1371129: postnatal adult; Ppp6r2tm1.1(KOMP)Vlcg/Ppp6r2+ (more )
Structure Level Pattern Image Note
TS28: pituitary gland Present JAX_1371129

Specimen JAX_1371130: postnatal adult; Ppp6r2tm1.1(KOMP)Vlcg/Ppp6r2+ (more )
Structure Level Pattern Image Note
TS28: thyroid gland Present JAX_1371130

Specimen JAX_1371131: postnatal adult; Ppp6r2tm1.1(KOMP)Vlcg/Ppp6r2+ (more )
Structure Level Pattern Image Note
TS28: spinal cord Present JAX_1371131

Specimen JAX_1371132: postnatal adult; Ppp6r2tm1.1(KOMP)Vlcg/Ppp6r2+ (more )
Structure Level Pattern Image Note
TS28: esophagus Present JAX_1371132

Specimen JAX_1371133: postnatal adult; Ppp6r2tm1.1(KOMP)Vlcg/Ppp6r2+ (more )
Structure Level Pattern Image Note
TS28: stomach Present JAX_1371133

Specimen JAX_1371134: postnatal adult; Ppp6r2tm1.1(KOMP)Vlcg/Ppp6r2+ (more )
Structure Level Pattern Image Note
TS28: ovary Present JAX_1371134

Specimen JAX_1371135: postnatal adult; Ppp6r2tm1.1(KOMP)Vlcg/Ppp6r2+ (more )
Structure Level Pattern Image Note
TS28: metanephros Present JAX_1371135 kidney

Specimen JAX_1371136: postnatal adult; Ppp6r2tm1.1(KOMP)Vlcg/Ppp6r2+ (more )
Structure Level Pattern Image Note
TS28: heart Present JAX_1371136

Specimen JAX_1371137: postnatal adult; Ppp6r2tm1.1(KOMP)Vlcg/Ppp6r2+ (more )
Structure Level Pattern Image Note
TS28: eye Present JAX_1371137

Specimen JAX_1371138: postnatal adult; Ppp6r2tm1.1(KOMP)Vlcg/Ppp6r2+ (more )
Structure Level Pattern Image Note
TS28: brain Present JAX_1371138

Specimen JAX_1371100: postnatal adult; Ppp6r2tm1.1(KOMP)Vlcg/Ppp6r2+ (more )
Structure Level Pattern Image Note
TS28: vascular system Present JAX_1371100

Specimen JAX_1371101: postnatal adult; Ppp6r2tm1.1(KOMP)Vlcg/Ppp6r2+ (more )
Structure Level Pattern Image Note
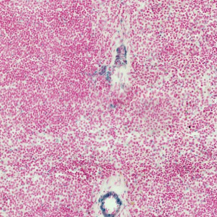
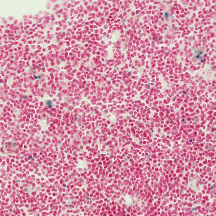
TS28: spleen Present JAX_1371101

Specimen JAX_1371102: postnatal adult; Ppp6r2tm1.1(KOMP)Vlcg/Ppp6r2+ (more )
Structure Level Pattern Image Note
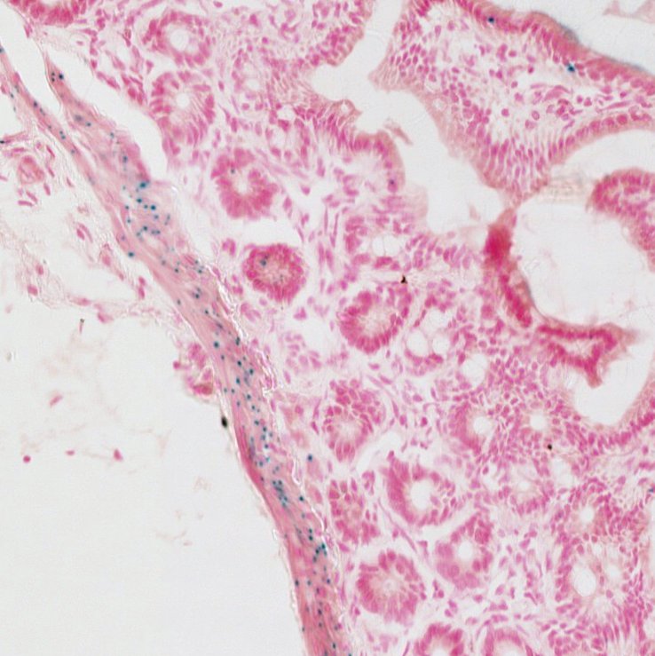
TS28: small intestine Present JAX_1371102

Specimen JAX_1371103: postnatal adult; Ppp6r2tm1.1(KOMP)Vlcg/Ppp6r2+ (more )
Structure Level Pattern Image Note
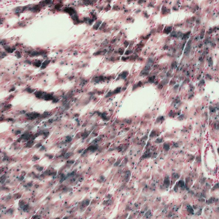
TS28: skeletal muscle tissue Present JAX_1371103

Specimen JAX_1371104: postnatal adult; Ppp6r2tm1.1(KOMP)Vlcg/Ppp6r2+ (more )
Structure Level Pattern Image Note
TS28: large intestine Present JAX_1371104

Specimen JAX_1371105: postnatal adult; Ppp6r2tm1.1(KOMP)Vlcg/Ppp6r2+ (more )
Structure Level Pattern Image Note
TS28: trachea Present JAX_1371105

Specimen JAX_1371106: postnatal adult; Ppp6r2tm1.1(KOMP)Vlcg/Ppp6r2+ (more )
Structure Level Pattern Image Note
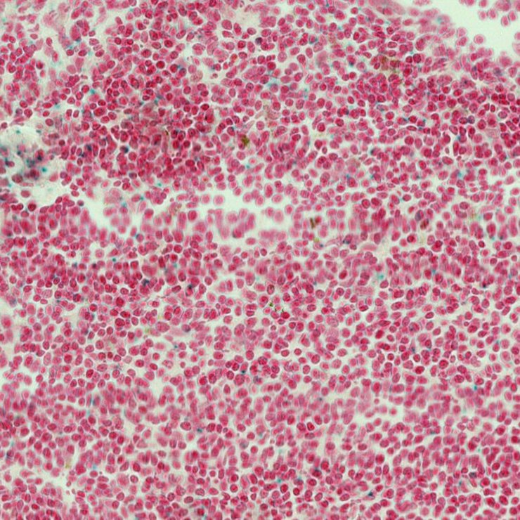
TS28: thymus Present JAX_1371106

Specimen JAX_1371107: postnatal adult; Ppp6r2tm1.1(KOMP)Vlcg/Ppp6r2+ (more )
Structure Level Pattern Image Note
TS28: testis Present JAX_1371107

Specimen JAX_1371108: postnatal adult; Ppp6r2tm1.1(KOMP)Vlcg/Ppp6r2+ (more )
Structure Level Pattern Image Note
TS28: skin Present JAX_1371108

Specimen JAX_1371109: postnatal adult; Ppp6r2tm1.1(KOMP)Vlcg/Ppp6r2+ (more )
Structure Level Pattern Image Note
TS28: lymph node Present JAX_1371109

Specimen JAX_1371110: postnatal adult; Ppp6r2tm1.1(KOMP)Vlcg/Ppp6r2+ (more )
Structure Level Pattern Image Note
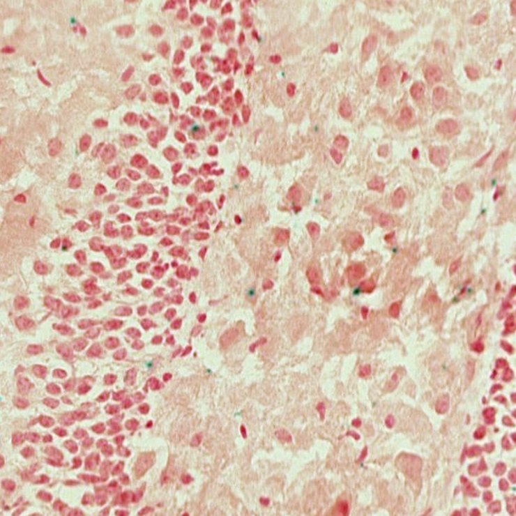
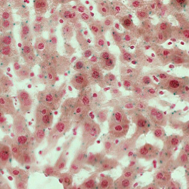
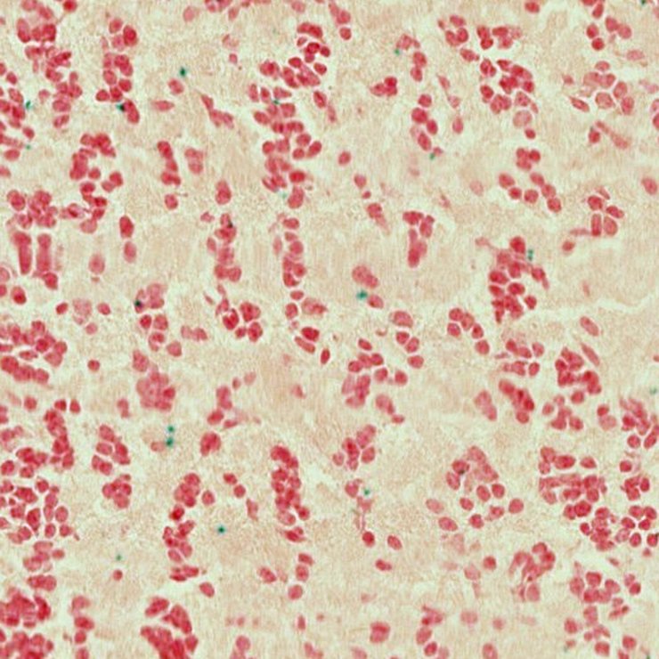
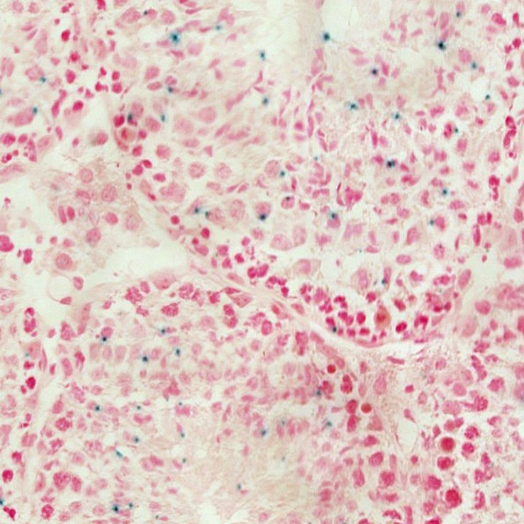
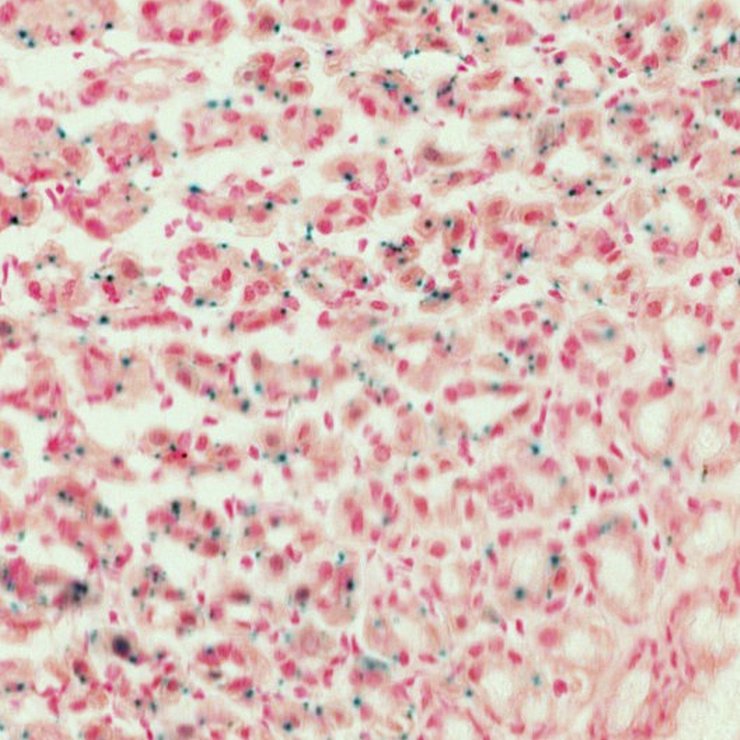
TS28: liver Present JAX_1371110

Specimen JAX_1371111: postnatal adult; Ppp6r2tm1.1(KOMP)Vlcg/Ppp6r2+ (more )
Structure Level Pattern Image Note
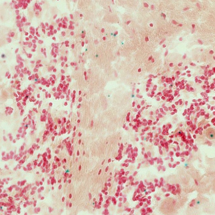
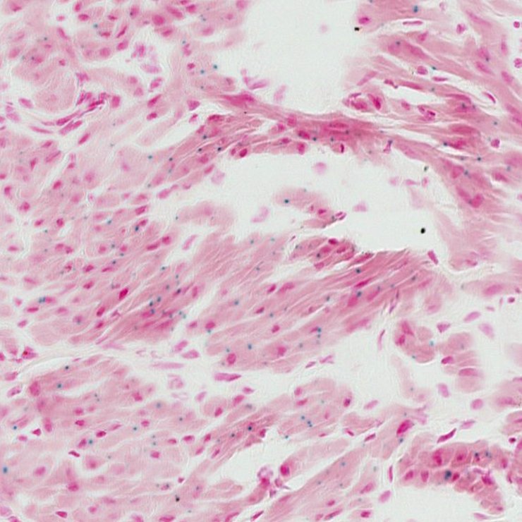
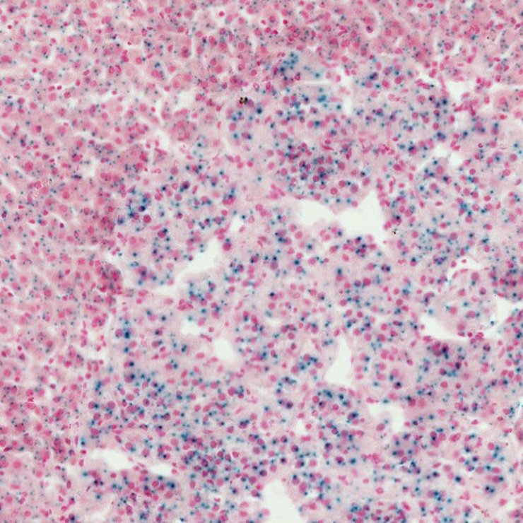
TS28: adrenal gland Present JAX_1371111


Contributing Projects:
Mouse Genome Database (MGD), Gene Expression Database (GXD), Mouse Models of Human Cancer database (MMHCdb) (formerly Mouse Tumor Biology (MTB)), Gene Ontology (GO)
Citing These Resources
Funding Information
Warranty Disclaimer, Privacy Notice, Licensing, & Copyright
Send questions and comments to User Support.
last database update
01/20/2026
MGI 6.24
The Jackson Laboratory