About   Help   FAQ
Gene Expression Data
Assay Details
Assay
Reference: J:228563 Koscielny G, et al., The International Mouse Phenotyping Consortium Web Portal, a unified point of access for knockout mice and related phenotyping data. Nucleic Acids Res. 2014 Jan;42(Database issue):D802-9
Assay type: In situ reporter (knock in)
MGI Accession ID: MGI:6691942
Gene symbol: Zfp689
Gene name: zinc finger protein 689
Reporter: lacZ
Direct Detection
Results
Specimen JAX_1124355: embryonic day 12.5; Zfp689tm1.1(KOMP)Vlcg/Zfp689+ (more )
Structure Level Pattern Image Note
TS20: embryo Present JAX_1124355

Specimen JAX_1124357: embryonic day 12.5; Zfp689tm1.1(KOMP)Vlcg/Zfp689+ (more )
Structure Level Pattern Image Note
TS20: embryo Present JAX_1124357

Specimen JAX_1124359: embryonic day 12.5; Zfp689tm1.1(KOMP)Vlcg/Zfp689+ (more )
Structure Level Pattern Image Note
TS20: embryo Present JAX_1124359

Specimen JAX_1124361: embryonic day 12.5; Zfp689tm1.1(KOMP)Vlcg/Zfp689+ (more )
Structure Level Pattern Image Note
TS20: embryo Present JAX_1124361

Specimen JAX_1124363: embryonic day 12.5; Zfp689tm1.1(KOMP)Vlcg/Zfp689+ (more )
Structure Level Pattern Image Note
TS20: embryo Absent JAX_1124363

Specimen JAX_1124365: embryonic day 12.5; Zfp689tm1.1(KOMP)Vlcg/Zfp689+ (more )
Structure Level Pattern Image Note
TS20: embryo Absent JAX_1124365

Specimen JAX_1124367: embryonic day 12.5; Zfp689tm1.1(KOMP)Vlcg/Zfp689+ (more )
Structure Level Pattern Image Note
TS20: embryo Absent JAX_1124367

Specimen JAX_1124369: embryonic day 12.5; Zfp689tm1.1(KOMP)Vlcg/Zfp689+ (more )
Structure Level Pattern Image Note
TS20: embryo Absent JAX_1124369

Specimen JAX_1804168: postnatal adult; Zfp689tm1.1(KOMP)Vlcg/Zfp689+ (more )
Structure Level Pattern Image Note
TS28: pancreas Present JAX_1804168

Specimen JAX_1804169: postnatal adult; Zfp689tm1.1(KOMP)Vlcg/Zfp689+ (more )
Structure Level Pattern Image Note
TS28: pituitary gland Present JAX_1804169

Specimen JAX_1804170: postnatal adult; Zfp689tm1.1(KOMP)Vlcg/Zfp689+ (more )
Structure Level Pattern Image Note
TS28: spinal cord Present JAX_1804170

Specimen JAX_1804171: postnatal adult; Zfp689tm1.1(KOMP)Vlcg/Zfp689+ (more )
Structure Level Pattern Image Note
TS28: large intestine Present JAX_1804171

Specimen JAX_1804172: postnatal adult; Zfp689tm1.1(KOMP)Vlcg/Zfp689+ (more )
Structure Level Pattern Image Note
TS28: uterus Present JAX_1804172

Specimen JAX_1804173: postnatal adult; Zfp689tm1.1(KOMP)Vlcg/Zfp689+ (more )
Structure Level Pattern Image Note
TS28: ovary Present JAX_1804173

Specimen JAX_1804174: postnatal adult; Zfp689tm1.1(KOMP)Vlcg/Zfp689+ (more )
Structure Level Pattern Image Note
TS28: metanephros Present JAX_1804174 kidney

Specimen JAX_1804175: postnatal adult; Zfp689tm1.1(KOMP)Vlcg/Zfp689+ (more )
Structure Level Pattern Image Note
TS28: eye Present JAX_1804175

Specimen JAX_1804176: postnatal adult; Zfp689tm1.1(KOMP)Vlcg/Zfp689+ (more )
Structure Level Pattern Image Note
TS28: adrenal gland Present JAX_1804176

Specimen JAX_1804177: postnatal adult; Zfp689tm1.1(KOMP)Vlcg/Zfp689+ (more )
Structure Level Pattern Image Note
TS28: thalamus Present JAX_1804177

Specimen JAX_1804178: postnatal adult; Zfp689tm1.1(KOMP)Vlcg/Zfp689+ (more )
Structure Level Pattern Image Note
TS28: midbrain Present JAX_1804178

Specimen JAX_1804179: postnatal adult; Zfp689tm1.1(KOMP)Vlcg/Zfp689+ (more )
Structure Level Pattern Image Note
TS28: epididymis Present JAX_1804179

Specimen JAX_1804180: postnatal adult; Zfp689tm1.1(KOMP)Vlcg/Zfp689+ (more )
Structure Level Pattern Image Note
TS28: submandibular gland Present JAX_1804180

Specimen JAX_1804181: postnatal adult; Zfp689tm1.1(KOMP)Vlcg/Zfp689+ (more )
Structure Level Pattern Image Note
TS28: corpus striatum Present JAX_1804181

Specimen JAX_1804182: postnatal adult; Zfp689tm1.1(KOMP)Vlcg/Zfp689+ (more )
Structure Level Pattern Image Note
TS28: olfactory lobe Present JAX_1804182

Specimen JAX_1804183: postnatal adult; Zfp689tm1.1(KOMP)Vlcg/Zfp689+ (more )
Structure Level Pattern Image Note
TS28: hypothalamus Present JAX_1804183

Specimen JAX_1804184: postnatal adult; Zfp689tm1.1(KOMP)Vlcg/Zfp689+ (more )
Structure Level Pattern Image Note
TS28: hippocampus Present JAX_1804184

Specimen JAX_1804185: postnatal adult; Zfp689tm1.1(KOMP)Vlcg/Zfp689+ (more )
Structure Level Pattern Image Note
TS28: cerebellum Present JAX_1804185

Specimen JAX_1804186: postnatal adult; Zfp689tm1.1(KOMP)Vlcg/Zfp689+ (more )
Structure Level Pattern Image Note
TS28: cerebral cortex Present JAX_1804186

Specimen JAX_1804187: postnatal adult; Zfp689tm1.1(KOMP)Vlcg/Zfp689+ (more )
Structure Level Pattern Image Note
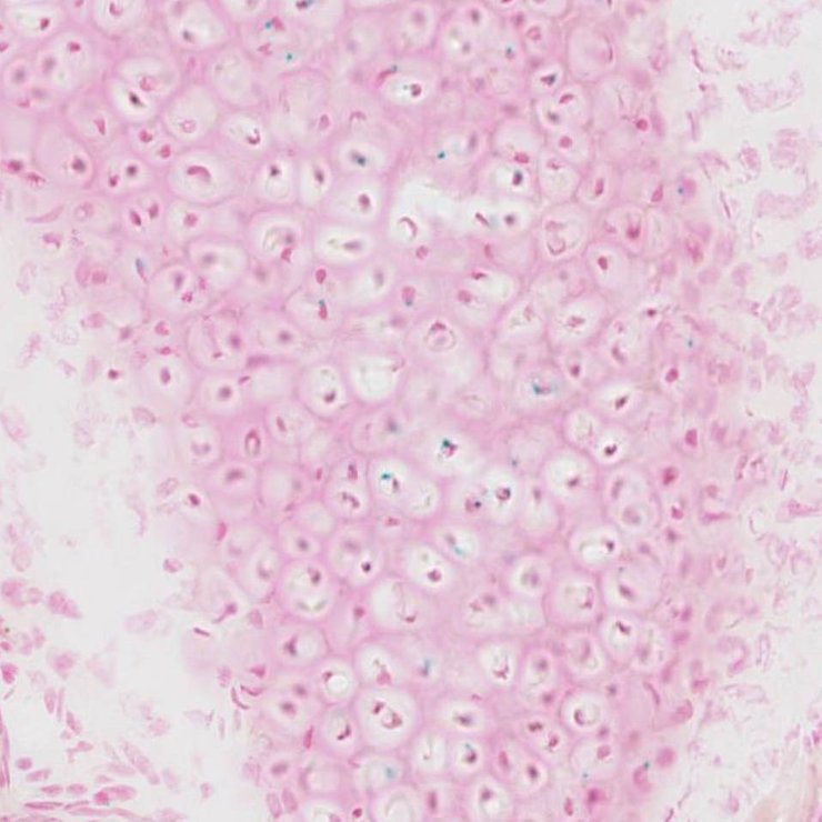
TS28: cartilage Present JAX_1804187

Specimen JAX_1804188: postnatal adult; Zfp689tm1.1(KOMP)Vlcg/Zfp689+ (more )
Structure Level Pattern Image Note
TS28: brainstem Present JAX_1804188

Specimen JAX_1804189: postnatal adult; Zfp689tm1.1(KOMP)Vlcg/Zfp689+ (more )
Structure Level Pattern Image Note
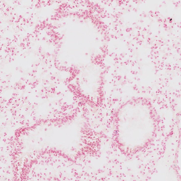
TS28: lung Present JAX_1804189

Specimen JAX_1804190: postnatal adult; Zfp689tm1.1(KOMP)Vlcg/Zfp689+ (more )
Structure Level Pattern Image Note
TS28: small intestine Present JAX_1804190

Specimen JAX_1804191: postnatal adult; Zfp689tm1.1(KOMP)Vlcg/Zfp689+ (more )
Structure Level Pattern Image Note
TS28: trachea Present JAX_1804191

Specimen JAX_1804192: postnatal adult; Zfp689tm1.1(KOMP)Vlcg/Zfp689+ (more )
Structure Level Pattern Image Note
TS28: testis Present JAX_1804192

Specimen JAX_1804193: postnatal adult; Zfp689tm1.1(KOMP)Vlcg/Zfp689+ (more )
Structure Level Pattern Image Note
TS28: stomach Present JAX_1804193

Specimen JAX_1804194: postnatal adult; Zfp689tm1.1(KOMP)Vlcg/Zfp689+ (more )
Structure Level Pattern Image Note
TS28: brain Present JAX_1804194


Contributing Projects:
Mouse Genome Database (MGD), Gene Expression Database (GXD), Mouse Models of Human Cancer database (MMHCdb) (formerly Mouse Tumor Biology (MTB)), Gene Ontology (GO)
Citing These Resources
Funding Information
Warranty Disclaimer, Privacy Notice, Licensing, & Copyright
Send questions and comments to User Support.
last database update
01/20/2026
MGI 6.24
The Jackson Laboratory