About   Help   FAQ
Gene Expression Data
Assay Details
Assay
Reference: J:228563 Koscielny G, et al., The International Mouse Phenotyping Consortium Web Portal, a unified point of access for knockout mice and related phenotyping data. Nucleic Acids Res. 2014 Jan;42(Database issue):D802-9
Assay type: In situ reporter (knock in)
MGI Accession ID: MGI:6691937
Gene symbol: Nemf
Gene name: nuclear export mediator factor
Reporter: lacZ
Direct Detection
Results
Specimen JAX_266549: embryonic day 12.5; Nemftm1b(EUCOMM)Hmgu/Nemf+ (more )
Structure Level Pattern Image Note
TS20: embryo Present JAX_266549

Specimen JAX_266551: embryonic day 12.5; Nemftm1b(EUCOMM)Hmgu/Nemf+ (more )
Structure Level Pattern Image Note
TS20: embryo Present JAX_266551

Specimen JAX_266553: embryonic day 12.5; Nemftm1b(EUCOMM)Hmgu/Nemf+ (more )
Structure Level Pattern Image Note
TS20: embryo Present JAX_266553

Specimen JAX_266555: embryonic day 12.5; Nemftm1b(EUCOMM)Hmgu/Nemf+ (more )
Structure Level Pattern Image Note
TS20: embryo Present JAX_266555

Specimen JAX_1799055: postnatal adult; Nemftm1b(EUCOMM)Hmgu/Nemf+ (more )
Structure Level Pattern Image Note
TS28: midbrain Present JAX_1799055

Specimen JAX_1799056: postnatal adult; Nemftm1b(EUCOMM)Hmgu/Nemf+ (more )
Structure Level Pattern Image Note
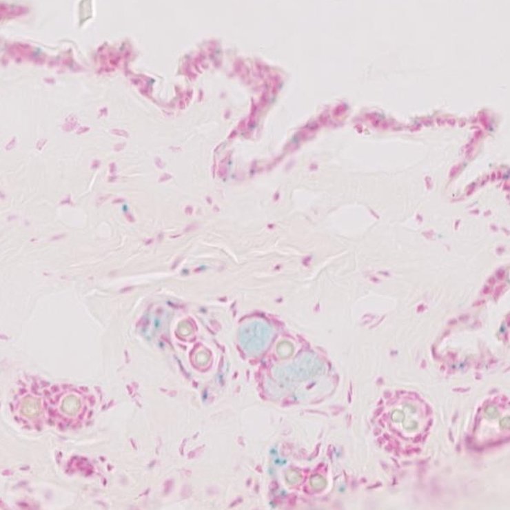
TS28: vascular system Present JAX_1799056

Specimen JAX_1799057: postnatal adult; Nemftm1b(EUCOMM)Hmgu/Nemf+ (more )
Structure Level Pattern Image Note
TS28: submandibular gland Present JAX_1799057

Specimen JAX_1799058: postnatal adult; Nemftm1b(EUCOMM)Hmgu/Nemf+ (more )
Structure Level Pattern Image Note
TS28: bladder Present JAX_1799058

Specimen JAX_1799059: postnatal adult; Nemftm1b(EUCOMM)Hmgu/Nemf+ (more )
Structure Level Pattern Image Note
TS28: corpus striatum Present JAX_1799059

Specimen JAX_1799060: postnatal adult; Nemftm1b(EUCOMM)Hmgu/Nemf+ (more )
Structure Level Pattern Image Note
TS28: cartilage Present JAX_1799060

Specimen JAX_1799061: postnatal adult; Nemftm1b(EUCOMM)Hmgu/Nemf+ (more )
Structure Level Pattern Image Note
TS28: spleen Present JAX_1799061

Specimen JAX_1799062: postnatal adult; Nemftm1b(EUCOMM)Hmgu/Nemf+ (more )
Structure Level Pattern Image Note
TS28: pancreas Present JAX_1799062

Specimen JAX_1799063: postnatal adult; Nemftm1b(EUCOMM)Hmgu/Nemf+ (more )
Structure Level Pattern Image Note
TS28: small intestine Present JAX_1799063

Specimen JAX_1799064: postnatal adult; Nemftm1b(EUCOMM)Hmgu/Nemf+ (more )
Structure Level Pattern Image Note
TS28: pituitary gland Present JAX_1799064

Specimen JAX_1799065: postnatal adult; Nemftm1b(EUCOMM)Hmgu/Nemf+ (more )
Structure Level Pattern Image Note
TS28: thyroid gland Present JAX_1799065

Specimen JAX_1799066: postnatal adult; Nemftm1b(EUCOMM)Hmgu/Nemf+ (more )
Structure Level Pattern Image Note
TS28: large intestine Present JAX_1799066

Specimen JAX_1799067: postnatal adult; Nemftm1b(EUCOMM)Hmgu/Nemf+ (more )
Structure Level Pattern Image Note
TS28: uterus Present JAX_1799067

Specimen JAX_1799068: postnatal adult; Nemftm1b(EUCOMM)Hmgu/Nemf+ (more )
Structure Level Pattern Image Note
TS28: trachea Present JAX_1799068

Specimen JAX_1799069: postnatal adult; Nemftm1b(EUCOMM)Hmgu/Nemf+ (more )
Structure Level Pattern Image Note
TS28: stomach Present JAX_1799069

Specimen JAX_1799070: postnatal adult; Nemftm1b(EUCOMM)Hmgu/Nemf+ (more )
Structure Level Pattern Image Note
TS28: skin Present JAX_1799070

Specimen JAX_1799071: postnatal adult; Nemftm1b(EUCOMM)Hmgu/Nemf+ (more )
Structure Level Pattern Image Note
TS28: oviduct Present JAX_1799071

Specimen JAX_1799072: postnatal adult; Nemftm1b(EUCOMM)Hmgu/Nemf+ (more )
Structure Level Pattern Image Note
TS28: ovary Present JAX_1799072

Specimen JAX_1799073: postnatal adult; Nemftm1b(EUCOMM)Hmgu/Nemf+ (more )
Structure Level Pattern Image Note
TS28: liver Present JAX_1799073

Specimen JAX_1799074: postnatal adult; Nemftm1b(EUCOMM)Hmgu/Nemf+ (more )
Structure Level Pattern Image Note
TS28: metanephros Present JAX_1799074 kidney

Specimen JAX_1799075: postnatal adult; Nemftm1b(EUCOMM)Hmgu/Nemf+ (more )
Structure Level Pattern Image Note
TS28: heart Present JAX_1799075

Specimen JAX_1799076: postnatal adult; Nemftm1b(EUCOMM)Hmgu/Nemf+ (more )
Structure Level Pattern Image Note
TS28: eye Present JAX_1799076

Specimen JAX_1799077: postnatal adult; Nemftm1b(EUCOMM)Hmgu/Nemf+ (more )
Structure Level Pattern Image Note
TS28: brain Present JAX_1799077

Specimen JAX_1799078: postnatal adult; Nemftm1b(EUCOMM)Hmgu/Nemf+ (more )
Structure Level Pattern Image Note
TS28: adrenal gland Present JAX_1799078

Specimen JAX_1799079: postnatal adult; Nemftm1b(EUCOMM)Hmgu/Nemf+ (more )
Structure Level Pattern Image Note
TS28: epididymis Present JAX_1799079

Specimen JAX_1799080: postnatal adult; Nemftm1b(EUCOMM)Hmgu/Nemf+ (more )
Structure Level Pattern Image Note
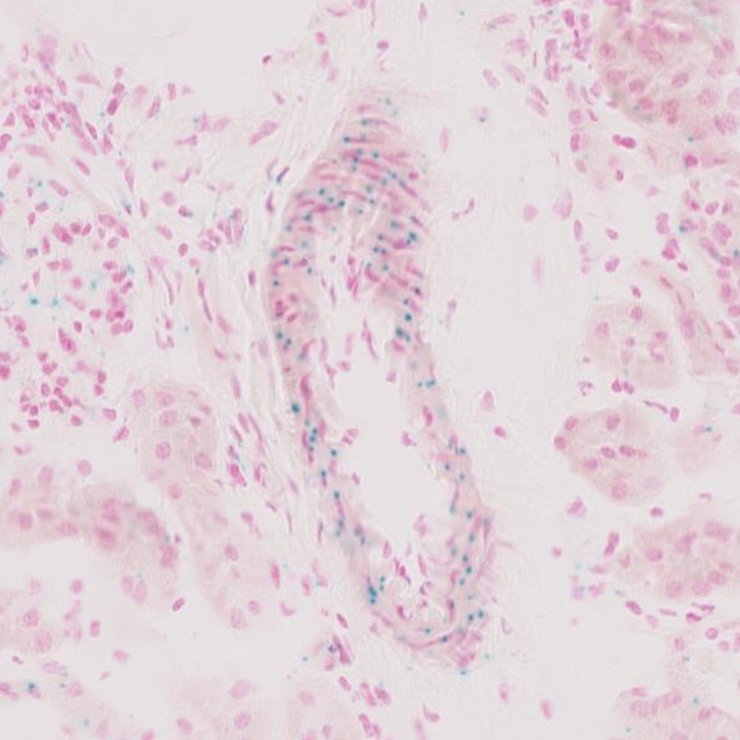
TS28: aorta Present JAX_1799080

Specimen JAX_1799081: postnatal adult; Nemftm1b(EUCOMM)Hmgu/Nemf+ (more )
Structure Level Pattern Image Note
TS28: lung Present JAX_1799081

Specimen JAX_1799082: postnatal adult; Nemftm1b(EUCOMM)Hmgu/Nemf+ (more )
Structure Level Pattern Image Note
TS28: spinal cord Present JAX_1799082

Specimen JAX_1799083: postnatal adult; Nemftm1b(EUCOMM)Hmgu/Nemf+ (more )
Structure Level Pattern Image Note
TS28: esophagus Present JAX_1799083

Specimen JAX_1799084: postnatal adult; Nemftm1b(EUCOMM)Hmgu/Nemf+ (more )
Structure Level Pattern Image Note
TS28: large intestine Present JAX_1799084

Specimen JAX_1799085: postnatal adult; Nemftm1b(EUCOMM)Hmgu/Nemf+ (more )
Structure Level Pattern Image Note
TS28: thymus Present JAX_1799085

Specimen JAX_1799086: postnatal adult; Nemftm1b(EUCOMM)Hmgu/Nemf+ (more )
Structure Level Pattern Image Note
TS28: testis Present JAX_1799086


Contributing Projects:
Mouse Genome Database (MGD), Gene Expression Database (GXD), Mouse Models of Human Cancer database (MMHCdb) (formerly Mouse Tumor Biology (MTB)), Gene Ontology (GO)
Citing These Resources
Funding Information
Warranty Disclaimer, Privacy Notice, Licensing, & Copyright
Send questions and comments to User Support.
last database update
03/24/2026
MGI 6.24
The Jackson Laboratory