About   Help   FAQ
Gene Expression Data
Assay Details
Assay
Reference: J:228563 Koscielny G, et al., The International Mouse Phenotyping Consortium Web Portal, a unified point of access for knockout mice and related phenotyping data. Nucleic Acids Res. 2014 Jan;42(Database issue):D802-9
Assay type: In situ reporter (knock in)
MGI Accession ID: MGI:6691930
Gene symbol: Nsun7
Gene name: NOL1/NOP2/Sun domain family, member 7
Reporter: lacZ
Direct Detection
Results
Specimen JAX_1123409: embryonic day 12.5; Nsun7tm1.1(KOMP)Vlcg/Nsun7+ (more )
Structure Level Pattern Image Note
TS20: embryo Present JAX_1123409

Specimen JAX_1123411: embryonic day 12.5; Nsun7tm1.1(KOMP)Vlcg/Nsun7+ (more )
Structure Level Pattern Image Note
TS20: embryo Present JAX_1123411

Specimen JAX_1123413: embryonic day 12.5; Nsun7tm1.1(KOMP)Vlcg/Nsun7+ (more )
Structure Level Pattern Image Note
TS20: embryo Present JAX_1123413

Specimen JAX_1123415: embryonic day 12.5; Nsun7tm1.1(KOMP)Vlcg/Nsun7+ (more )
Structure Level Pattern Image Note
TS20: embryo Present JAX_1123415

Specimen JAX_1123417: embryonic day 12.5; Nsun7tm1.1(KOMP)Vlcg/Nsun7+ (more )
Structure Level Pattern Image Note
TS20: embryo Present JAX_1123417

Specimen JAX_1123419: embryonic day 12.5; Nsun7tm1.1(KOMP)Vlcg/Nsun7+ (more )
Structure Level Pattern Image Note
TS20: embryo Present JAX_1123419

Specimen JAX_1123421: embryonic day 12.5; Nsun7tm1.1(KOMP)Vlcg/Nsun7+ (more )
Structure Level Pattern Image Note
TS20: embryo Present JAX_1123421

Specimen JAX_1123423: embryonic day 12.5; Nsun7tm1.1(KOMP)Vlcg/Nsun7+ (more )
Structure Level Pattern Image Note
TS20: embryo Present JAX_1123423

Specimen JAX_1803127: postnatal adult; Nsun7tm1.1(KOMP)Vlcg/Nsun7+ (more )
Structure Level Pattern Image Note
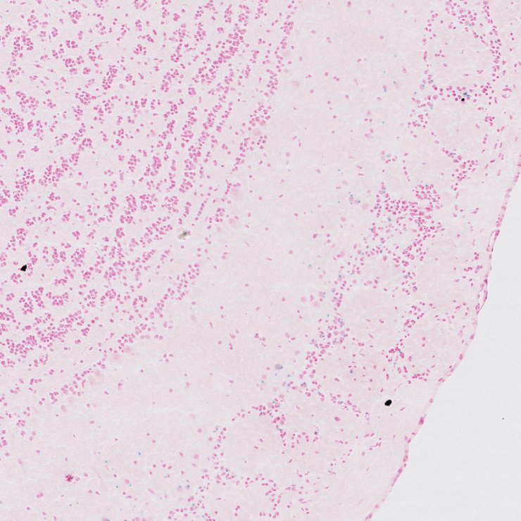
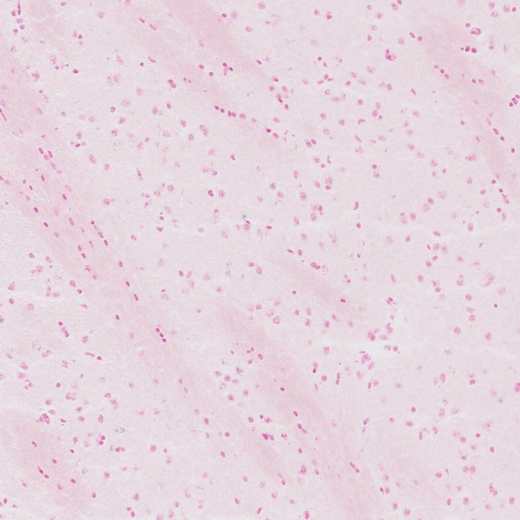
TS28: midbrain Present JAX_1803127

Specimen JAX_1803128: postnatal adult; Nsun7tm1.1(KOMP)Vlcg/Nsun7+ (more )
Structure Level Pattern Image Note
TS28: corpus striatum Present JAX_1803128

Specimen JAX_1803129: postnatal adult; Nsun7tm1.1(KOMP)Vlcg/Nsun7+ (more )
Structure Level Pattern Image Note
TS28: olfactory lobe Present JAX_1803129

Specimen JAX_1803130: postnatal adult; Nsun7tm1.1(KOMP)Vlcg/Nsun7+ (more )
Structure Level Pattern Image Note
TS28: hypothalamus Present JAX_1803130

Specimen JAX_1803131: postnatal adult; Nsun7tm1.1(KOMP)Vlcg/Nsun7+ (more )
Structure Level Pattern Image Note
TS28: hippocampus Present JAX_1803131

Specimen JAX_1803132: postnatal adult; Nsun7tm1.1(KOMP)Vlcg/Nsun7+ (more )
Structure Level Pattern Image Note
TS28: cerebellum Present JAX_1803132

Specimen JAX_1803133: postnatal adult; Nsun7tm1.1(KOMP)Vlcg/Nsun7+ (more )
Structure Level Pattern Image Note
TS28: cerebral cortex Present JAX_1803133

Specimen JAX_1803134: postnatal adult; Nsun7tm1.1(KOMP)Vlcg/Nsun7+ (more )
Structure Level Pattern Image Note
TS28: brainstem Present JAX_1803134

Specimen JAX_1803135: postnatal adult; Nsun7tm1.1(KOMP)Vlcg/Nsun7+ (more )
Structure Level Pattern Image Note
TS28: pancreas Present JAX_1803135

Specimen JAX_1803136: postnatal adult; Nsun7tm1.1(KOMP)Vlcg/Nsun7+ (more )
Structure Level Pattern Image Note
TS28: lung Present JAX_1803136

Specimen JAX_1803137: postnatal adult; Nsun7tm1.1(KOMP)Vlcg/Nsun7+ (more )
Structure Level Pattern Image Note
TS28: pituitary gland Present JAX_1803137

Specimen JAX_1803138: postnatal adult; Nsun7tm1.1(KOMP)Vlcg/Nsun7+ (more )
Structure Level Pattern Image Note
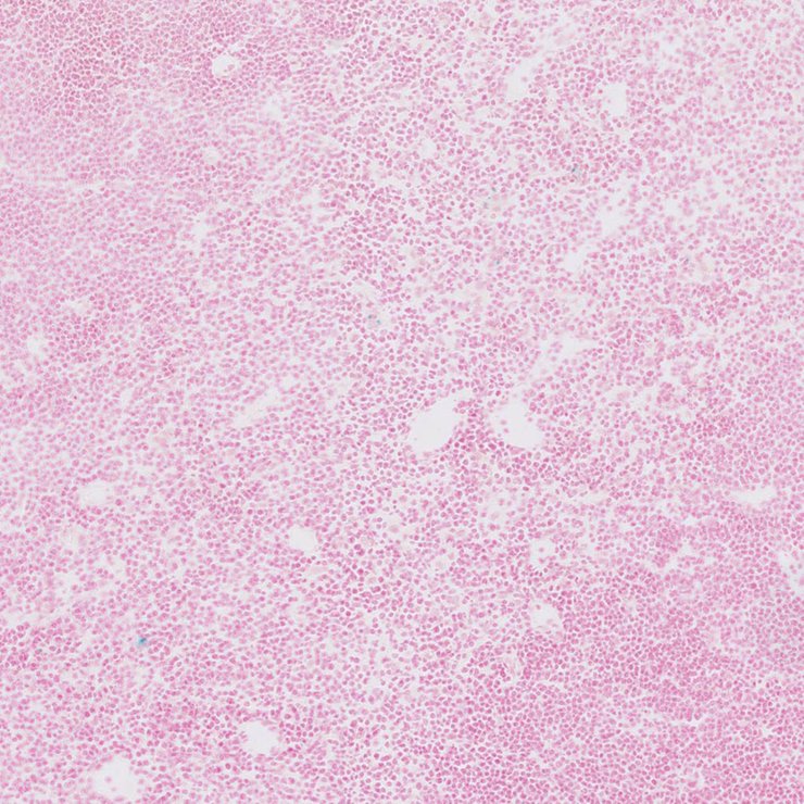
TS28: thymus Present JAX_1803138

Specimen JAX_1803139: postnatal adult; Nsun7tm1.1(KOMP)Vlcg/Nsun7+ (more )
Structure Level Pattern Image Note
TS28: metanephros Present JAX_1803139 kidney

Specimen JAX_1803140: postnatal adult; Nsun7tm1.1(KOMP)Vlcg/Nsun7+ (more )
Structure Level Pattern Image Note
TS28: eye Present JAX_1803140

Specimen JAX_1803141: postnatal adult; Nsun7tm1.1(KOMP)Vlcg/Nsun7+ (more )
Structure Level Pattern Image Note
TS28: brain Present JAX_1803141

Specimen JAX_1803142: postnatal adult; Nsun7tm1.1(KOMP)Vlcg/Nsun7+ (more )
Structure Level Pattern Image Note
TS28: adrenal gland Present JAX_1803142

Specimen JAX_1803143: postnatal adult; Nsun7tm1.1(KOMP)Vlcg/Nsun7+ (more )
Structure Level Pattern Image Note
TS28: epididymis Present JAX_1803143

Specimen JAX_1803144: postnatal adult; Nsun7tm1.1(KOMP)Vlcg/Nsun7+ (more )
Structure Level Pattern Image Note
TS28: submandibular gland Present JAX_1803144

Specimen JAX_1803145: postnatal adult; Nsun7tm1.1(KOMP)Vlcg/Nsun7+ (more )
Structure Level Pattern Image Note
TS28: trachea Present JAX_1803145

Specimen JAX_1803146: postnatal adult; Nsun7tm1.1(KOMP)Vlcg/Nsun7+ (more )
Structure Level Pattern Image Note
TS28: testis Present JAX_1803146


Contributing Projects:
Mouse Genome Database (MGD), Gene Expression Database (GXD), Mouse Models of Human Cancer database (MMHCdb) (formerly Mouse Tumor Biology (MTB)), Gene Ontology (GO)
Citing These Resources
Funding Information
Warranty Disclaimer, Privacy Notice, Licensing, & Copyright
Send questions and comments to User Support.
last database update
01/20/2026
MGI 6.24
The Jackson Laboratory