About   Help   FAQ
Gene Expression Data
Assay Details
Assay
Reference: J:228563 Koscielny G, et al., The International Mouse Phenotyping Consortium Web Portal, a unified point of access for knockout mice and related phenotyping data. Nucleic Acids Res. 2014 Jan;42(Database issue):D802-9
Assay type: In situ reporter (knock in)
MGI Accession ID: MGI:6691912
Gene symbol: Inf2
Gene name: inverted formin, FH2 and WH2 domain containing
Reporter: lacZ
Direct Detection
Results
Specimen UC Davis_1853763: postnatal adult; Inf2tm1.1(KOMP)Vlcg/Inf2+ (more )
Structure Level Pattern Image Note
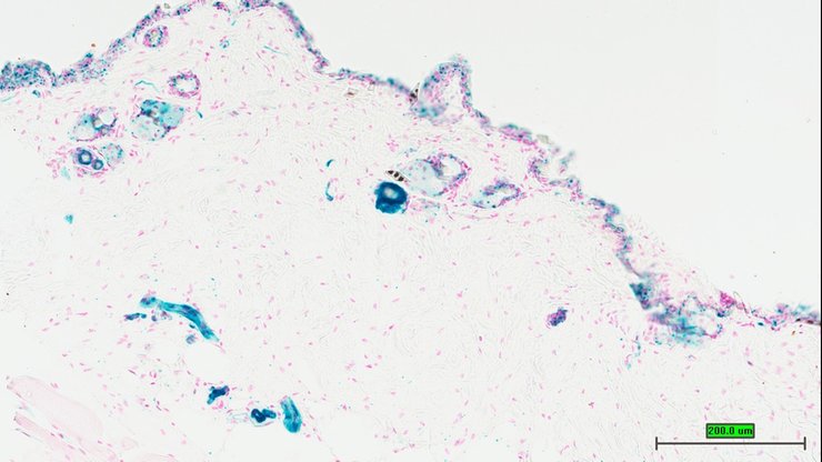
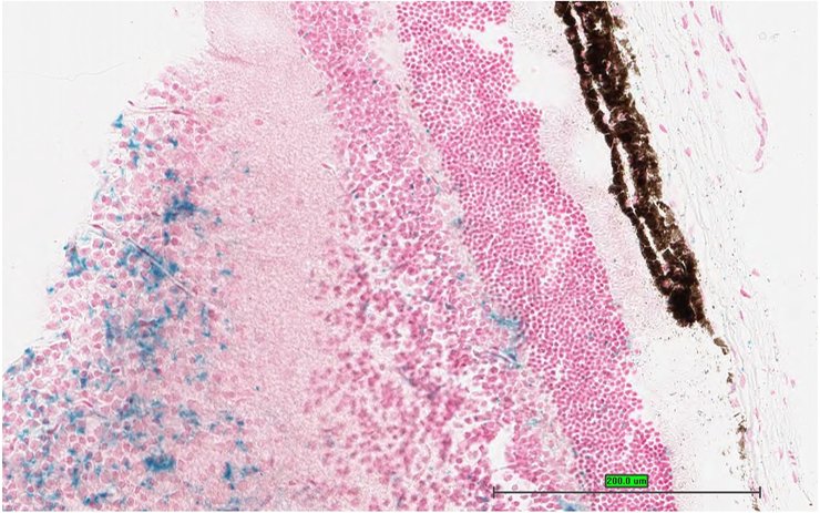
TS28: trachea Present UC Davis_1853763

Specimen UC Davis_1853764: postnatal adult; Inf2tm1.1(KOMP)Vlcg/Inf2+ (more )
Structure Level Pattern Image Note
TS28: trachea Present UC Davis_1853764

Specimen UC Davis_1853765: postnatal adult; Inf2tm1.1(KOMP)Vlcg/Inf2+ (more )
Structure Level Pattern Image Note
TS28: esophagus Present UC Davis_1853765

Specimen UC Davis_1853766: postnatal adult; Inf2tm1.1(KOMP)Vlcg/Inf2+ (more )
Structure Level Pattern Image Note
TS28: esophagus Present UC Davis_1853766

Specimen UC Davis_1853767: postnatal adult; Inf2tm1.1(KOMP)Vlcg/Inf2+ (more )
Structure Level Pattern Image Note
TS28: esophagus Present UC Davis_1853767

Specimen UC Davis_1853768: postnatal adult; Inf2tm1.1(KOMP)Vlcg/Inf2+ (more )
Structure Level Pattern Image Note
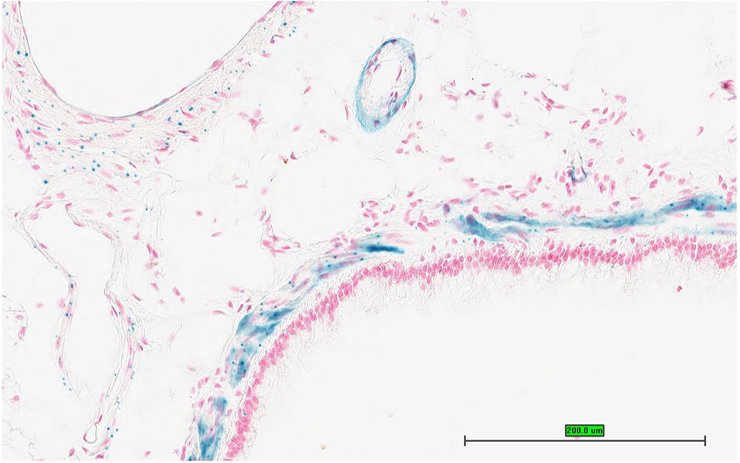
TS28: aorta Present UC Davis_1853768

Specimen UC Davis_1853769: postnatal adult; Inf2tm1.1(KOMP)Vlcg/Inf2+ (more )
Structure Level Pattern Image Note
TS28: lung Present UC Davis_1853769

Specimen UC Davis_1853770: postnatal adult; Inf2tm1.1(KOMP)Vlcg/Inf2+ (more )
Structure Level Pattern Image Note
TS28: lung Present UC Davis_1853770

Specimen UC Davis_1853771: postnatal adult; Inf2tm1.1(KOMP)Vlcg/Inf2+ (more )
Structure Level Pattern Image Note
TS28: thymus Present UC Davis_1853771

Specimen UC Davis_1853772: postnatal adult; Inf2tm1.1(KOMP)Vlcg/Inf2+ (more )
Structure Level Pattern Image Note
TS28: thymus Present UC Davis_1853772

Specimen UC Davis_1853776: postnatal adult; Inf2tm1.1(KOMP)Vlcg/Inf2+ (more )
Structure Level Pattern Image Note
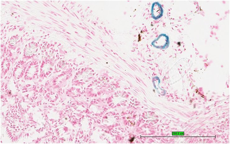
TS28: stomach Present UC Davis_1853776

Specimen UC Davis_1853777: postnatal adult; Inf2tm1.1(KOMP)Vlcg/Inf2+ (more )
Structure Level Pattern Image Note
TS28: jejunum Present UC Davis_1853777

Specimen UC Davis_1853778: postnatal adult; Inf2tm1.1(KOMP)Vlcg/Inf2+ (more )
Structure Level Pattern Image Note
TS28: colon Present UC Davis_1853778

Specimen UC Davis_1853779: postnatal adult; Inf2tm1.1(KOMP)Vlcg/Inf2+ (more )
Structure Level Pattern Image Note
TS28: cecum Present UC Davis_1853779

Specimen UC Davis_1853780: postnatal adult; Inf2tm1.1(KOMP)Vlcg/Inf2+ (more )
Structure Level Pattern Image Note
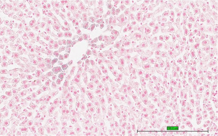
TS28: liver Present UC Davis_1853780

Specimen UC Davis_1853781: postnatal adult; Inf2tm1.1(KOMP)Vlcg/Inf2+ (more )
Structure Level Pattern Image Note
TS28: liver Present UC Davis_1853781

Specimen UC Davis_1853782: postnatal adult; Inf2tm1.1(KOMP)Vlcg/Inf2+ (more )
Structure Level Pattern Image Note
TS28: liver Present UC Davis_1853782

Specimen UC Davis_1853783: postnatal adult; Inf2tm1.1(KOMP)Vlcg/Inf2+ (more )
Structure Level Pattern Image Note
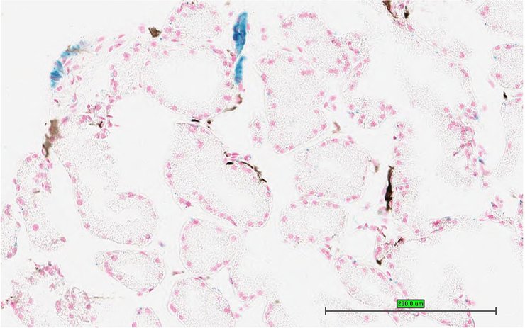
TS28: metanephros Present UC Davis_1853783 kidney

Specimen UC Davis_1853784: postnatal adult; Inf2tm1.1(KOMP)Vlcg/Inf2+ (more )
Structure Level Pattern Image Note
TS28: metanephros Present UC Davis_1853784 kidney

Specimen UC Davis_1853785: postnatal adult; Inf2tm1.1(KOMP)Vlcg/Inf2+ (more )
Structure Level Pattern Image Note
TS28: metanephros Present UC Davis_1853785 kidney

Specimen UC Davis_1853786: postnatal adult; Inf2tm1.1(KOMP)Vlcg/Inf2+ (more )
Structure Level Pattern Image Note
TS28: metanephros Present UC Davis_1853786 kidney

Specimen UC Davis_1853787: postnatal adult; Inf2tm1.1(KOMP)Vlcg/Inf2+ (more )
Structure Level Pattern Image Note
TS28: quadriceps femoris muscle Present UC Davis_1853787

Specimen UC Davis_1853788: postnatal adult; Inf2tm1.1(KOMP)Vlcg/Inf2+ (more )
Structure Level Pattern Image Note
TS28: quadriceps femoris muscle Present UC Davis_1853788

Specimen UC Davis_1853789: postnatal adult; Inf2tm1.1(KOMP)Vlcg/Inf2+ (more )
Structure Level Pattern Image Note
TS28: sciatic nerve Present UC Davis_1853789

Specimen UC Davis_1853790: postnatal adult; Inf2tm1.1(KOMP)Vlcg/Inf2+ (more )
Structure Level Pattern Image Note
TS28: tongue Present UC Davis_1853790

Specimen UC Davis_1853791: postnatal adult; Inf2tm1.1(KOMP)Vlcg/Inf2+ (more )
Structure Level Pattern Image Note
TS28: tongue Present UC Davis_1853791

Specimen UC Davis_1853792: postnatal adult; Inf2tm1.1(KOMP)Vlcg/Inf2+ (more )
Structure Level Pattern Image Note
TS28: tongue Present UC Davis_1853792

Specimen UC Davis_1853793: postnatal adult; Inf2tm1.1(KOMP)Vlcg/Inf2+ (more )
Structure Level Pattern Image Note
TS28: tongue Present UC Davis_1853793

Specimen UC Davis_1853794: postnatal adult; Inf2tm1.1(KOMP)Vlcg/Inf2+ (more )
Structure Level Pattern Image Note
TS28: adrenal gland Present UC Davis_1853794

Specimen UC Davis_1853795: postnatal adult; Inf2tm1.1(KOMP)Vlcg/Inf2+ (more )
Structure Level Pattern Image Note
TS28: adrenal gland Present UC Davis_1853795

Specimen UC Davis_1853796: postnatal adult; Inf2tm1.1(KOMP)Vlcg/Inf2+ (more )
Structure Level Pattern Image Note
TS28: adrenal gland Present UC Davis_1853796

Specimen UC Davis_1853797: postnatal adult; Inf2tm1.1(KOMP)Vlcg/Inf2+ (more )
Structure Level Pattern Image Note
TS28: spinal cord Present UC Davis_1853797

Specimen UC Davis_1853798: postnatal adult; Inf2tm1.1(KOMP)Vlcg/Inf2+ (more )
Structure Level Pattern Image Note
TS28: spinal cord Present UC Davis_1853798

Specimen UC Davis_1853799: postnatal adult; Inf2tm1.1(KOMP)Vlcg/Inf2+ (more )
Structure Level Pattern Image Note
TS28: gonadal fat pad Present UC Davis_1853799

Specimen UC Davis_1853800: postnatal adult; Inf2tm1.1(KOMP)Vlcg/Inf2+ (more )
Structure Level Pattern Image Note
TS28: gonadal fat pad Present UC Davis_1853800

Specimen UC Davis_1853801: postnatal adult; Inf2tm1.1(KOMP)Vlcg/Inf2+ (more )
Structure Level Pattern Image Note
TS28: skin Present UC Davis_1853801

Specimen UC Davis_1853802: postnatal adult; Inf2tm1.1(KOMP)Vlcg/Inf2+ (more )
Structure Level Pattern Image Note
TS28: skin Present UC Davis_1853802

Specimen UC Davis_1853803: postnatal adult; Inf2tm1.1(KOMP)Vlcg/Inf2+ (more )
Structure Level Pattern Image Note
TS28: skin Present UC Davis_1853803

Specimen UC Davis_1853804: postnatal adult; Inf2tm1.1(KOMP)Vlcg/Inf2+ (more )
Structure Level Pattern Image Note
TS28: brown fat Present UC Davis_1853804

Specimen UC Davis_1853805: postnatal adult; Inf2tm1.1(KOMP)Vlcg/Inf2+ (more )
Structure Level Pattern Image Note
TS28: olfactory lobe Present UC Davis_1853805

Specimen UC Davis_1853808: postnatal adult; Inf2tm1.1(KOMP)Vlcg/Inf2+ (more )
Structure Level Pattern Image Note
TS28: midbrain Present UC Davis_1853808

Specimen UC Davis_1853811: postnatal adult; Inf2tm1.1(KOMP)Vlcg/Inf2+ (more )
Structure Level Pattern Image Note
TS28: cerebellum Present UC Davis_1853811

Specimen UC Davis_1853812: postnatal adult; Inf2tm1.1(KOMP)Vlcg/Inf2+ (more )
Structure Level Pattern Image Note
TS28: cerebellum Present UC Davis_1853812

Specimen UC Davis_1853813: postnatal adult; Inf2tm1.1(KOMP)Vlcg/Inf2+ (more )
Structure Level Pattern Image Note
TS28: trigeminal nerve Present UC Davis_1853813

Specimen UC Davis_1853814: postnatal adult; Inf2tm1.1(KOMP)Vlcg/Inf2+ (more )
Structure Level Pattern Image Note
TS28: ovary Present UC Davis_1853814

Specimen UC Davis_1853815: postnatal adult; Inf2tm1.1(KOMP)Vlcg/Inf2+ (more )
Structure Level Pattern Image Note
TS28: ovary Present UC Davis_1853815

Specimen UC Davis_1853816: postnatal adult; Inf2tm1.1(KOMP)Vlcg/Inf2+ (more )
Structure Level Pattern Image Note
TS28: ovary Present UC Davis_1853816

Specimen UC Davis_1853817: postnatal adult; Inf2tm1.1(KOMP)Vlcg/Inf2+ (more )
Structure Level Pattern Image Note
TS28: ovary Present UC Davis_1853817

Specimen UC Davis_1853818: postnatal adult; Inf2tm1.1(KOMP)Vlcg/Inf2+ (more )
Structure Level Pattern Image Note
TS28: oviduct Present UC Davis_1853818

Specimen UC Davis_1853819: postnatal adult; Inf2tm1.1(KOMP)Vlcg/Inf2+ (more )
Structure Level Pattern Image Note
TS28: uterus Present UC Davis_1853819

Specimen UC Davis_1853820: postnatal adult; Inf2tm1.1(KOMP)Vlcg/Inf2+ (more )
Structure Level Pattern Image Note
TS28: uterus Present UC Davis_1853820

Specimen UC Davis_1853821: postnatal adult; Inf2tm1.1(KOMP)Vlcg/Inf2+ (more )
Structure Level Pattern Image Note
TS28: vagina Present UC Davis_1853821

Specimen UC Davis_1853822: postnatal adult; Inf2tm1.1(KOMP)Vlcg/Inf2+ (more )
Structure Level Pattern Image Note
TS28: vagina Present UC Davis_1853822

Specimen UC Davis_1853823: postnatal adult; Inf2tm1.1(KOMP)Vlcg/Inf2+ (more )
Structure Level Pattern Image Note
TS28: vagina Present UC Davis_1853823

Specimen UC Davis_1853824: postnatal adult; Inf2tm1.1(KOMP)Vlcg/Inf2+ (more )
Structure Level Pattern Image Note
TS28: bladder Present UC Davis_1853824

Specimen UC Davis_1853825: postnatal adult; Inf2tm1.1(KOMP)Vlcg/Inf2+ (more )
Structure Level Pattern Image Note
TS28: bladder Present UC Davis_1853825

Specimen UC Davis_1853644: postnatal adult; Inf2tm1.1(KOMP)Vlcg/Inf2+ (more )
Structure Level Pattern Image Note
TS28: submandibular gland Present UC Davis_1853644

Specimen UC Davis_1853645: postnatal adult; Inf2tm1.1(KOMP)Vlcg/Inf2+ (more )
Structure Level Pattern Image Note
TS28: submandibular gland Present UC Davis_1853645

Specimen UC Davis_1853646: postnatal adult; Inf2tm1.1(KOMP)Vlcg/Inf2+ (more )
Structure Level Pattern Image Note
TS28: submandibular gland Present UC Davis_1853646

Specimen UC Davis_1853647: postnatal adult; Inf2tm1.1(KOMP)Vlcg/Inf2+ (more )
Structure Level Pattern Image Note
TS28: parotid gland Present UC Davis_1853647

Specimen UC Davis_1853648: postnatal adult; Inf2tm1.1(KOMP)Vlcg/Inf2+ (more )
Structure Level Pattern Image Note
TS28: parotid gland Present UC Davis_1853648

Specimen UC Davis_1853649: postnatal adult; Inf2tm1.1(KOMP)Vlcg/Inf2+ (more )
Structure Level Pattern Image Note
TS28: trachea Present UC Davis_1853649

Specimen UC Davis_1853650: postnatal adult; Inf2tm1.1(KOMP)Vlcg/Inf2+ (more )
Structure Level Pattern Image Note
TS28: thyroid gland Present UC Davis_1853650

Specimen UC Davis_1853651: postnatal adult; Inf2tm1.1(KOMP)Vlcg/Inf2+ (more )
Structure Level Pattern Image Note
TS28: thyroid gland Present UC Davis_1853651

Specimen UC Davis_1853652: postnatal adult; Inf2tm1.1(KOMP)Vlcg/Inf2+ (more )
Structure Level Pattern Image Note
TS28: thyroid gland Present UC Davis_1853652

Specimen UC Davis_1853656: postnatal adult; Inf2tm1.1(KOMP)Vlcg/Inf2+ (more )
Structure Level Pattern Image Note
TS28: aorta Present UC Davis_1853656

Specimen UC Davis_1853657: postnatal adult; Inf2tm1.1(KOMP)Vlcg/Inf2+ (more )
Structure Level Pattern Image Note
TS28: aorta Present UC Davis_1853657

Specimen UC Davis_1853658: postnatal adult; Inf2tm1.1(KOMP)Vlcg/Inf2+ (more )
Structure Level Pattern Image Note
TS28: aorta Present UC Davis_1853658

Specimen UC Davis_1853659: postnatal adult; Inf2tm1.1(KOMP)Vlcg/Inf2+ (more )
Structure Level Pattern Image Note
TS28: lung Present UC Davis_1853659

Specimen UC Davis_1853660: postnatal adult; Inf2tm1.1(KOMP)Vlcg/Inf2+ (more )
Structure Level Pattern Image Note
TS28: lung Present UC Davis_1853660

Specimen UC Davis_1853661: postnatal adult; Inf2tm1.1(KOMP)Vlcg/Inf2+ (more )
Structure Level Pattern Image Note
TS28: lung Present UC Davis_1853661

Specimen UC Davis_1853662: postnatal adult; Inf2tm1.1(KOMP)Vlcg/Inf2+ (more )
Structure Level Pattern Image Note
TS28: thymus Present UC Davis_1853662

Specimen UC Davis_1853663: postnatal adult; Inf2tm1.1(KOMP)Vlcg/Inf2+ (more )
Structure Level Pattern Image Note
TS28: thymus Present UC Davis_1853663

Specimen UC Davis_1853664: postnatal adult; Inf2tm1.1(KOMP)Vlcg/Inf2+ (more )
Structure Level Pattern Image Note
TS28: thymus Present UC Davis_1853664

Specimen UC Davis_1853670: postnatal adult; Inf2tm1.1(KOMP)Vlcg/Inf2+ (more )
Structure Level Pattern Image Note
TS28: mesenteric lymph node Present UC Davis_1853670

Specimen UC Davis_1853671: postnatal adult; Inf2tm1.1(KOMP)Vlcg/Inf2+ (more )
Structure Level Pattern Image Note
TS28: mesenteric lymph node Present UC Davis_1853671

Specimen UC Davis_1853672: postnatal adult; Inf2tm1.1(KOMP)Vlcg/Inf2+ (more )
Structure Level Pattern Image Note
TS28: mesenteric lymph node Present UC Davis_1853672

Specimen UC Davis_1853673: postnatal adult; Inf2tm1.1(KOMP)Vlcg/Inf2+ (more )
Structure Level Pattern Image Note
TS28: stomach Present UC Davis_1853673

Specimen UC Davis_1853674: postnatal adult; Inf2tm1.1(KOMP)Vlcg/Inf2+ (more )
Structure Level Pattern Image Note
TS28: stomach Present UC Davis_1853674

Specimen UC Davis_1853675: postnatal adult; Inf2tm1.1(KOMP)Vlcg/Inf2+ (more )
Structure Level Pattern Image Note
TS28: stomach Present UC Davis_1853675

Specimen UC Davis_1853676: postnatal adult; Inf2tm1.1(KOMP)Vlcg/Inf2+ (more )
Structure Level Pattern Image Note
TS28: stomach Present UC Davis_1853676

Specimen UC Davis_1853677: postnatal adult; Inf2tm1.1(KOMP)Vlcg/Inf2+ (more )
Structure Level Pattern Image Note
TS28: stomach Present UC Davis_1853677

Specimen UC Davis_1853678: postnatal adult; Inf2tm1.1(KOMP)Vlcg/Inf2+ (more )
Structure Level Pattern Image Note
TS28: stomach Present UC Davis_1853678

Specimen UC Davis_1853679: postnatal adult; Inf2tm1.1(KOMP)Vlcg/Inf2+ (more )
Structure Level Pattern Image Note
TS28: jejunum Present UC Davis_1853679

Specimen UC Davis_1853680: postnatal adult; Inf2tm1.1(KOMP)Vlcg/Inf2+ (more )
Structure Level Pattern Image Note
TS28: jejunum Present UC Davis_1853680

Specimen UC Davis_1853681: postnatal adult; Inf2tm1.1(KOMP)Vlcg/Inf2+ (more )
Structure Level Pattern Image Note
TS28: ileum Present UC Davis_1853681

Specimen UC Davis_1853682: postnatal adult; Inf2tm1.1(KOMP)Vlcg/Inf2+ (more )
Structure Level Pattern Image Note
TS28: ileum Present UC Davis_1853682

Specimen UC Davis_1853683: postnatal adult; Inf2tm1.1(KOMP)Vlcg/Inf2+ (more )
Structure Level Pattern Image Note
TS28: colon Present UC Davis_1853683

Specimen UC Davis_1853684: postnatal adult; Inf2tm1.1(KOMP)Vlcg/Inf2+ (more )
Structure Level Pattern Image Note
TS28: colon Present UC Davis_1853684

Specimen UC Davis_1853685: postnatal adult; Inf2tm1.1(KOMP)Vlcg/Inf2+ (more )
Structure Level Pattern Image Note
TS28: colon Present UC Davis_1853685

Specimen UC Davis_1853686: postnatal adult; Inf2tm1.1(KOMP)Vlcg/Inf2+ (more )
Structure Level Pattern Image Note
TS28: colon Present UC Davis_1853686

Specimen UC Davis_1853687: postnatal adult; Inf2tm1.1(KOMP)Vlcg/Inf2+ (more )
Structure Level Pattern Image Note
TS28: colon Present UC Davis_1853687

Specimen UC Davis_1853688: postnatal adult; Inf2tm1.1(KOMP)Vlcg/Inf2+ (more )
Structure Level Pattern Image Note
TS28: colon Present UC Davis_1853688

Specimen UC Davis_1853689: postnatal adult; Inf2tm1.1(KOMP)Vlcg/Inf2+ (more )
Structure Level Pattern Image Note
TS28: colon Present UC Davis_1853689

Specimen UC Davis_1853690: postnatal adult; Inf2tm1.1(KOMP)Vlcg/Inf2+ (more )
Structure Level Pattern Image Note
TS28: cecum Present UC Davis_1853690

Specimen UC Davis_1853691: postnatal adult; Inf2tm1.1(KOMP)Vlcg/Inf2+ (more )
Structure Level Pattern Image Note
TS28: cecum Present UC Davis_1853691

Specimen UC Davis_1853692: postnatal adult; Inf2tm1.1(KOMP)Vlcg/Inf2+ (more )
Structure Level Pattern Image Note
TS28: cecum Present UC Davis_1853692

Specimen UC Davis_1853693: postnatal adult; Inf2tm1.1(KOMP)Vlcg/Inf2+ (more )
Structure Level Pattern Image Note
TS28: spleen Present UC Davis_1853693

Specimen UC Davis_1853694: postnatal adult; Inf2tm1.1(KOMP)Vlcg/Inf2+ (more )
Structure Level Pattern Image Note
TS28: spleen Present UC Davis_1853694

Specimen UC Davis_1853695: postnatal adult; Inf2tm1.1(KOMP)Vlcg/Inf2+ (more )
Structure Level Pattern Image Note
TS28: spleen Present UC Davis_1853695

Specimen UC Davis_1853696: postnatal adult; Inf2tm1.1(KOMP)Vlcg/Inf2+ (more )
Structure Level Pattern Image Note
TS28: pancreas Present UC Davis_1853696

Specimen UC Davis_1853697: postnatal adult; Inf2tm1.1(KOMP)Vlcg/Inf2+ (more )
Structure Level Pattern Image Note
TS28: pancreas Present UC Davis_1853697

Specimen UC Davis_1853698: postnatal adult; Inf2tm1.1(KOMP)Vlcg/Inf2+ (more )
Structure Level Pattern Image Note
TS28: pancreas Present UC Davis_1853698

Specimen UC Davis_1853699: postnatal adult; Inf2tm1.1(KOMP)Vlcg/Inf2+ (more )
Structure Level Pattern Image Note
TS28: liver Present UC Davis_1853699

Specimen UC Davis_1853700: postnatal adult; Inf2tm1.1(KOMP)Vlcg/Inf2+ (more )
Structure Level Pattern Image Note
TS28: liver Present UC Davis_1853700

Specimen UC Davis_1853701: postnatal adult; Inf2tm1.1(KOMP)Vlcg/Inf2+ (more )
Structure Level Pattern Image Note
TS28: liver Present UC Davis_1853701

Specimen UC Davis_1853702: postnatal adult; Inf2tm1.1(KOMP)Vlcg/Inf2+ (more )
Structure Level Pattern Image Note
TS28: metanephros Present UC Davis_1853702 kidney

Specimen UC Davis_1853703: postnatal adult; Inf2tm1.1(KOMP)Vlcg/Inf2+ (more )
Structure Level Pattern Image Note
TS28: metanephros Present UC Davis_1853703 kidney

Specimen UC Davis_1853704: postnatal adult; Inf2tm1.1(KOMP)Vlcg/Inf2+ (more )
Structure Level Pattern Image Note
TS28: metanephros Present UC Davis_1853704 kidney

Specimen UC Davis_1853705: postnatal adult; Inf2tm1.1(KOMP)Vlcg/Inf2+ (more )
Structure Level Pattern Image Note
TS28: metanephros Present UC Davis_1853705 kidney

Specimen UC Davis_1853706: postnatal adult; Inf2tm1.1(KOMP)Vlcg/Inf2+ (more )
Structure Level Pattern Image Note
TS28: quadriceps femoris muscle Present UC Davis_1853706

Specimen UC Davis_1853707: postnatal adult; Inf2tm1.1(KOMP)Vlcg/Inf2+ (more )
Structure Level Pattern Image Note
TS28: quadriceps femoris muscle Present UC Davis_1853707

Specimen UC Davis_1853708: postnatal adult; Inf2tm1.1(KOMP)Vlcg/Inf2+ (more )
Structure Level Pattern Image Note
TS28: quadriceps femoris muscle Present UC Davis_1853708

Specimen UC Davis_1853709: postnatal adult; Inf2tm1.1(KOMP)Vlcg/Inf2+ (more )
Structure Level Pattern Image Note
TS28: sciatic nerve Present UC Davis_1853709

Specimen UC Davis_1853710: postnatal adult; Inf2tm1.1(KOMP)Vlcg/Inf2+ (more )
Structure Level Pattern Image Note
TS28: sciatic nerve Present UC Davis_1853710

Specimen UC Davis_1853711: postnatal adult; Inf2tm1.1(KOMP)Vlcg/Inf2+ (more )
Structure Level Pattern Image Note
TS28: tongue Present UC Davis_1853711

Specimen UC Davis_1853712: postnatal adult; Inf2tm1.1(KOMP)Vlcg/Inf2+ (more )
Structure Level Pattern Image Note
TS28: tongue Present UC Davis_1853712

Specimen UC Davis_1853713: postnatal adult; Inf2tm1.1(KOMP)Vlcg/Inf2+ (more )
Structure Level Pattern Image Note
TS28: tongue Present UC Davis_1853713

Specimen UC Davis_1853714: postnatal adult; Inf2tm1.1(KOMP)Vlcg/Inf2+ (more )
Structure Level Pattern Image Note
TS28: tongue Present UC Davis_1853714

Specimen UC Davis_1853715: postnatal adult; Inf2tm1.1(KOMP)Vlcg/Inf2+ (more )
Structure Level Pattern Image Note
TS28: tongue Present UC Davis_1853715

Specimen UC Davis_1853716: postnatal adult; Inf2tm1.1(KOMP)Vlcg/Inf2+ (more )
Structure Level Pattern Image Note
TS28: diaphragm Present UC Davis_1853716

Specimen UC Davis_1853717: postnatal adult; Inf2tm1.1(KOMP)Vlcg/Inf2+ (more )
Structure Level Pattern Image Note
TS28: diaphragm Present UC Davis_1853717

Specimen UC Davis_1853718: postnatal adult; Inf2tm1.1(KOMP)Vlcg/Inf2+ (more )
Structure Level Pattern Image Note
TS28: diaphragm Present UC Davis_1853718

Specimen UC Davis_1853719: postnatal adult; Inf2tm1.1(KOMP)Vlcg/Inf2+ (more )
Structure Level Pattern Image Note
TS28: adrenal gland Present UC Davis_1853719

Specimen UC Davis_1853720: postnatal adult; Inf2tm1.1(KOMP)Vlcg/Inf2+ (more )
Structure Level Pattern Image Note
TS28: adrenal gland Present UC Davis_1853720

Specimen UC Davis_1853721: postnatal adult; Inf2tm1.1(KOMP)Vlcg/Inf2+ (more )
Structure Level Pattern Image Note
TS28: adrenal gland Present UC Davis_1853721

Specimen UC Davis_1853722: postnatal adult; Inf2tm1.1(KOMP)Vlcg/Inf2+ (more )
Structure Level Pattern Image Note
TS28: spinal cord Present UC Davis_1853722

Specimen UC Davis_1853723: postnatal adult; Inf2tm1.1(KOMP)Vlcg/Inf2+ (more )
Structure Level Pattern Image Note
TS28: spinal cord Present UC Davis_1853723

Specimen UC Davis_1853724: postnatal adult; Inf2tm1.1(KOMP)Vlcg/Inf2+ (more )
Structure Level Pattern Image Note
TS28: spinal cord Present UC Davis_1853724

Specimen UC Davis_1853725: postnatal adult; Inf2tm1.1(KOMP)Vlcg/Inf2+ (more )
Structure Level Pattern Image Note
TS28: eye Absent UC Davis_1853725

Specimen UC Davis_1853726: postnatal adult; Inf2tm1.1(KOMP)Vlcg/Inf2+ (more )
Structure Level Pattern Image Note
TS28: eye Absent UC Davis_1853726

Specimen UC Davis_1853727: postnatal adult; Inf2tm1.1(KOMP)Vlcg/Inf2+ (more )
Structure Level Pattern Image Note
TS28: eye Absent UC Davis_1853727

Specimen UC Davis_1853728: postnatal adult; Inf2tm1.1(KOMP)Vlcg/Inf2+ (more )
Structure Level Pattern Image Note
TS28: eye Absent UC Davis_1853728

Specimen UC Davis_1853729: postnatal adult; Inf2tm1.1(KOMP)Vlcg/Inf2+ (more )
Structure Level Pattern Image Note
TS28: Harderian gland Present UC Davis_1853729

Specimen UC Davis_1853730: postnatal adult; Inf2tm1.1(KOMP)Vlcg/Inf2+ (more )
Structure Level Pattern Image Note
TS28: Harderian gland Present UC Davis_1853730

Specimen UC Davis_1853731: postnatal adult; Inf2tm1.1(KOMP)Vlcg/Inf2+ (more )
Structure Level Pattern Image Note
TS28: Harderian gland Present UC Davis_1853731

Specimen UC Davis_1853732: postnatal adult; Inf2tm1.1(KOMP)Vlcg/Inf2+ (more )
Structure Level Pattern Image Note
TS28: skin Present UC Davis_1853732

Specimen UC Davis_1853733: postnatal adult; Inf2tm1.1(KOMP)Vlcg/Inf2+ (more )
Structure Level Pattern Image Note
TS28: skin Present UC Davis_1853733

Specimen UC Davis_1853734: postnatal adult; Inf2tm1.1(KOMP)Vlcg/Inf2+ (more )
Structure Level Pattern Image Note
TS28: skin Present UC Davis_1853734

Specimen UC Davis_1853735: postnatal adult; Inf2tm1.1(KOMP)Vlcg/Inf2+ (more )
Structure Level Pattern Image Note
TS28: brown fat Present UC Davis_1853735

Specimen UC Davis_1853736: postnatal adult; Inf2tm1.1(KOMP)Vlcg/Inf2+ (more )
Structure Level Pattern Image Note
TS28: brown fat Present UC Davis_1853736

Specimen UC Davis_1853737: postnatal adult; Inf2tm1.1(KOMP)Vlcg/Inf2+ (more )
Structure Level Pattern Image Note
TS28: brown fat Present UC Davis_1853737

Specimen UC Davis_1853738: postnatal adult; Inf2tm1.1(KOMP)Vlcg/Inf2+ (more )
Structure Level Pattern Image Note
TS28: trigeminal nerve Present UC Davis_1853738

Specimen UC Davis_1853739: postnatal adult; Inf2tm1.1(KOMP)Vlcg/Inf2+ (more )
Structure Level Pattern Image Note
TS28: trigeminal nerve Present UC Davis_1853739

Specimen UC Davis_1853740: postnatal adult; Inf2tm1.1(KOMP)Vlcg/Inf2+ (more )
Structure Level Pattern Image Note
TS28: trigeminal nerve Present UC Davis_1853740

Specimen UC Davis_1853741: postnatal adult; Inf2tm1.1(KOMP)Vlcg/Inf2+ (more )
Structure Level Pattern Image Note
TS28: bladder Absent UC Davis_1853741

Specimen UC Davis_1853742: postnatal adult; Inf2tm1.1(KOMP)Vlcg/Inf2+ (more )
Structure Level Pattern Image Note
TS28: bladder Absent UC Davis_1853742

Specimen UC Davis_1853743: postnatal adult; Inf2tm1.1(KOMP)Vlcg/Inf2+ (more )
Structure Level Pattern Image Note
TS28: bladder Absent UC Davis_1853743

Specimen UC Davis_1853744: postnatal adult; Inf2tm1.1(KOMP)Vlcg/Inf2+ (more )
Structure Level Pattern Image Note
TS28: testis Absent UC Davis_1853744

Specimen UC Davis_1853745: postnatal adult; Inf2tm1.1(KOMP)Vlcg/Inf2+ (more )
Structure Level Pattern Image Note
TS28: epididymis Present UC Davis_1853745

Specimen UC Davis_1853746: postnatal adult; Inf2tm1.1(KOMP)Vlcg/Inf2+ (more )
Structure Level Pattern Image Note
TS28: epididymis Present UC Davis_1853746

Specimen UC Davis_1853747: postnatal adult; Inf2tm1.1(KOMP)Vlcg/Inf2+ (more )
Structure Level Pattern Image Note
TS28: epididymis Present UC Davis_1853747

Specimen UC Davis_1853748: postnatal adult; Inf2tm1.1(KOMP)Vlcg/Inf2+ (more )
Structure Level Pattern Image Note
TS28: prostate gland Present UC Davis_1853748

Specimen UC Davis_1853749: postnatal adult; Inf2tm1.1(KOMP)Vlcg/Inf2+ (more )
Structure Level Pattern Image Note
TS28: penis Present UC Davis_1853749

Specimen UC Davis_1853750: postnatal adult; Inf2tm1.1(KOMP)Vlcg/Inf2+ (more )
Structure Level Pattern Image Note
TS28: penis Present UC Davis_1853750

Specimen UC Davis_1853751: postnatal adult; Inf2tm1.1(KOMP)Vlcg/Inf2+ (more )
Structure Level Pattern Image Note
TS28: penis Present UC Davis_1853751

Specimen UC Davis_1853752: postnatal adult; Inf2tm1.1(KOMP)Vlcg/Inf2+ (more )
Structure Level Pattern Image Note
TS28: penis Present UC Davis_1853752

Specimen UC Davis_1853753: postnatal adult; Inf2tm1.1(KOMP)Vlcg/Inf2+ (more )
Structure Level Pattern Image Note
TS28: ductus deferens Present UC Davis_1853753 vas deferens

Specimen UC Davis_1853754: postnatal adult; Inf2tm1.1(KOMP)Vlcg/Inf2+ (more )
Structure Level Pattern Image Note
TS28: ductus deferens Present UC Davis_1853754 vas deferens

Specimen UC Davis_1853755: postnatal adult; Inf2tm1.1(KOMP)Vlcg/Inf2+ (more )
Structure Level Pattern Image Note
TS28: ductus deferens Present UC Davis_1853755 vas deferens

Specimen UC Davis_1853760: postnatal adult; Inf2tm1.1(KOMP)Vlcg/Inf2+ (more )
Structure Level Pattern Image Note
TS28: seminal vesicle Present UC Davis_1853760 vesicular gland

Specimen UC Davis_1853761: postnatal adult; Inf2tm1.1(KOMP)Vlcg/Inf2+ (more )
Structure Level Pattern Image Note
TS28: seminal vesicle Present UC Davis_1853761 vesicular gland

Specimen UC Davis_1853762: postnatal adult; Inf2tm1.1(KOMP)Vlcg/Inf2+ (more )
Structure Level Pattern Image Note
TS28: seminal vesicle Present UC Davis_1853762 vesicular gland

Specimen UC Davis_1853827: postnatal adult; Inf2tm1.1(KOMP)Vlcg/Inf2+ (more )
Structure Level Pattern Image Note
TS28: submandibular gland Present UC Davis_1853827

Specimen UC Davis_1853828: postnatal adult; Inf2tm1.1(KOMP)Vlcg/Inf2+ (more )
Structure Level Pattern Image Note
TS28: submandibular gland Present UC Davis_1853828

Specimen UC Davis_1853829: postnatal adult; Inf2tm1.1(KOMP)Vlcg/Inf2+ (more )
Structure Level Pattern Image Note
TS28: sublingual gland Present UC Davis_1853829

Specimen UC Davis_1853830: postnatal adult; Inf2tm1.1(KOMP)Vlcg/Inf2+ (more )
Structure Level Pattern Image Note
TS28: parotid gland Present UC Davis_1853830

Specimen UC Davis_1853833: postnatal adult; Inf2tm1.1(KOMP)Vlcg/Inf2+ (more )
Structure Level Pattern Image Note
TS28: trachea Present UC Davis_1853833

Specimen UC Davis_1853834: postnatal adult; Inf2tm1.1(KOMP)Vlcg/Inf2+ (more )
Structure Level Pattern Image Note
TS28: trachea Present UC Davis_1853834

Specimen UC Davis_1853835: postnatal adult; Inf2tm1.1(KOMP)Vlcg/Inf2+ (more )
Structure Level Pattern Image Note
TS28: esophagus Present UC Davis_1853835

Specimen UC Davis_1853836: postnatal adult; Inf2tm1.1(KOMP)Vlcg/Inf2+ (more )
Structure Level Pattern Image Note
TS28: thyroid gland Present UC Davis_1853836

Specimen UC Davis_1853838: postnatal adult; Inf2tm1.1(KOMP)Vlcg/Inf2+ (more )
Structure Level Pattern Image Note
TS28: aorta Present UC Davis_1853838

Specimen UC Davis_1853839: postnatal adult; Inf2tm1.1(KOMP)Vlcg/Inf2+ (more )
Structure Level Pattern Image Note
TS28: lung Present UC Davis_1853839

Specimen UC Davis_1853840: postnatal adult; Inf2tm1.1(KOMP)Vlcg/Inf2+ (more )
Structure Level Pattern Image Note
TS28: lung Present UC Davis_1853840

Specimen UC Davis_1853841: postnatal adult; Inf2tm1.1(KOMP)Vlcg/Inf2+ (more )
Structure Level Pattern Image Note
TS28: lung Present UC Davis_1853841

Specimen UC Davis_1853842: postnatal adult; Inf2tm1.1(KOMP)Vlcg/Inf2+ (more )
Structure Level Pattern Image Note
TS28: lung Present UC Davis_1853842

Specimen UC Davis_1853843: postnatal adult; Inf2tm1.1(KOMP)Vlcg/Inf2+ (more )
Structure Level Pattern Image Note
TS28: thymus Present UC Davis_1853843

Specimen UC Davis_1853844: postnatal adult; Inf2tm1.1(KOMP)Vlcg/Inf2+ (more )
Structure Level Pattern Image Note
TS28: thymus Present UC Davis_1853844

Specimen UC Davis_1853845: postnatal adult; Inf2tm1.1(KOMP)Vlcg/Inf2+ (more )
Structure Level Pattern Image Note
TS28: thymus Present UC Davis_1853845

Specimen UC Davis_1853850: postnatal adult; Inf2tm1.1(KOMP)Vlcg/Inf2+ (more )
Structure Level Pattern Image Note
TS28: stomach Present UC Davis_1853850

Specimen UC Davis_1853851: postnatal adult; Inf2tm1.1(KOMP)Vlcg/Inf2+ (more )
Structure Level Pattern Image Note
TS28: stomach Present UC Davis_1853851

Specimen UC Davis_1853852: postnatal adult; Inf2tm1.1(KOMP)Vlcg/Inf2+ (more )
Structure Level Pattern Image Note
TS28: stomach Present UC Davis_1853852

Specimen UC Davis_1853853: postnatal adult; Inf2tm1.1(KOMP)Vlcg/Inf2+ (more )
Structure Level Pattern Image Note
TS28: duodenum Present UC Davis_1853853

Specimen UC Davis_1853854: postnatal adult; Inf2tm1.1(KOMP)Vlcg/Inf2+ (more )
Structure Level Pattern Image Note
TS28: duodenum Present UC Davis_1853854

Specimen UC Davis_1853855: postnatal adult; Inf2tm1.1(KOMP)Vlcg/Inf2+ (more )
Structure Level Pattern Image Note
TS28: jejunum Present UC Davis_1853855

Specimen UC Davis_1853856: postnatal adult; Inf2tm1.1(KOMP)Vlcg/Inf2+ (more )
Structure Level Pattern Image Note
TS28: ileum Present UC Davis_1853856

Specimen UC Davis_1853857: postnatal adult; Inf2tm1.1(KOMP)Vlcg/Inf2+ (more )
Structure Level Pattern Image Note
TS28: ileum Present UC Davis_1853857

Specimen UC Davis_1853858: postnatal adult; Inf2tm1.1(KOMP)Vlcg/Inf2+ (more )
Structure Level Pattern Image Note
TS28: ileum Present UC Davis_1853858

Specimen UC Davis_1853859: postnatal adult; Inf2tm1.1(KOMP)Vlcg/Inf2+ (more )
Structure Level Pattern Image Note
TS28: colon Present UC Davis_1853859

Specimen UC Davis_1853860: postnatal adult; Inf2tm1.1(KOMP)Vlcg/Inf2+ (more )
Structure Level Pattern Image Note
TS28: cecum Present UC Davis_1853860

Specimen UC Davis_1853861: postnatal adult; Inf2tm1.1(KOMP)Vlcg/Inf2+ (more )
Structure Level Pattern Image Note
TS28: spleen Present UC Davis_1853861

Specimen UC Davis_1853862: postnatal adult; Inf2tm1.1(KOMP)Vlcg/Inf2+ (more )
Structure Level Pattern Image Note
TS28: spleen Present UC Davis_1853862

Specimen UC Davis_1853863: postnatal adult; Inf2tm1.1(KOMP)Vlcg/Inf2+ (more )
Structure Level Pattern Image Note
TS28: spleen Present UC Davis_1853863

Specimen UC Davis_1853864: postnatal adult; Inf2tm1.1(KOMP)Vlcg/Inf2+ (more )
Structure Level Pattern Image Note
TS28: pancreas Present UC Davis_1853864

Specimen UC Davis_1853865: postnatal adult; Inf2tm1.1(KOMP)Vlcg/Inf2+ (more )
Structure Level Pattern Image Note
TS28: pancreas Present UC Davis_1853865

Specimen UC Davis_1853866: postnatal adult; Inf2tm1.1(KOMP)Vlcg/Inf2+ (more )
Structure Level Pattern Image Note
TS28: liver Present UC Davis_1853866

Specimen UC Davis_1853867: postnatal adult; Inf2tm1.1(KOMP)Vlcg/Inf2+ (more )
Structure Level Pattern Image Note
TS28: liver Present UC Davis_1853867

Specimen UC Davis_1853868: postnatal adult; Inf2tm1.1(KOMP)Vlcg/Inf2+ (more )
Structure Level Pattern Image Note
TS28: liver Present UC Davis_1853868

Specimen UC Davis_1853869: postnatal adult; Inf2tm1.1(KOMP)Vlcg/Inf2+ (more )
Structure Level Pattern Image Note
TS28: metanephros Present UC Davis_1853869 kidney

Specimen UC Davis_1853870: postnatal adult; Inf2tm1.1(KOMP)Vlcg/Inf2+ (more )
Structure Level Pattern Image Note
TS28: metanephros Present UC Davis_1853870 kidney

Specimen UC Davis_1853871: postnatal adult; Inf2tm1.1(KOMP)Vlcg/Inf2+ (more )
Structure Level Pattern Image Note
TS28: metanephros Present UC Davis_1853871 kidney

Specimen UC Davis_1853872: postnatal adult; Inf2tm1.1(KOMP)Vlcg/Inf2+ (more )
Structure Level Pattern Image Note
TS28: metanephros Present UC Davis_1853872 kidney

Specimen UC Davis_1853873: postnatal adult; Inf2tm1.1(KOMP)Vlcg/Inf2+ (more )
Structure Level Pattern Image Note
TS28: metanephros Present UC Davis_1853873 kidney

Specimen UC Davis_1853874: postnatal adult; Inf2tm1.1(KOMP)Vlcg/Inf2+ (more )
Structure Level Pattern Image Note
TS28: quadriceps femoris muscle Present UC Davis_1853874

Specimen UC Davis_1853875: postnatal adult; Inf2tm1.1(KOMP)Vlcg/Inf2+ (more )
Structure Level Pattern Image Note
TS28: quadriceps femoris muscle Present UC Davis_1853875

Specimen UC Davis_1853876: postnatal adult; Inf2tm1.1(KOMP)Vlcg/Inf2+ (more )
Structure Level Pattern Image Note
TS28: quadriceps femoris muscle Present UC Davis_1853876

Specimen UC Davis_1853877: postnatal adult; Inf2tm1.1(KOMP)Vlcg/Inf2+ (more )
Structure Level Pattern Image Note
TS28: sciatic nerve Present UC Davis_1853877

Specimen UC Davis_1853878: postnatal adult; Inf2tm1.1(KOMP)Vlcg/Inf2+ (more )
Structure Level Pattern Image Note
TS28: sciatic nerve Present UC Davis_1853878

Specimen UC Davis_1853879: postnatal adult; Inf2tm1.1(KOMP)Vlcg/Inf2+ (more )
Structure Level Pattern Image Note
TS28: sciatic nerve Present UC Davis_1853879

Specimen UC Davis_1853880: postnatal adult; Inf2tm1.1(KOMP)Vlcg/Inf2+ (more )
Structure Level Pattern Image Note
TS28: tongue Present UC Davis_1853880

Specimen UC Davis_1853881: postnatal adult; Inf2tm1.1(KOMP)Vlcg/Inf2+ (more )
Structure Level Pattern Image Note
TS28: tongue Present UC Davis_1853881

Specimen UC Davis_1853882: postnatal adult; Inf2tm1.1(KOMP)Vlcg/Inf2+ (more )
Structure Level Pattern Image Note
TS28: tongue Present UC Davis_1853882

Specimen UC Davis_1853883: postnatal adult; Inf2tm1.1(KOMP)Vlcg/Inf2+ (more )
Structure Level Pattern Image Note
TS28: diaphragm Present UC Davis_1853883

Specimen UC Davis_1853884: postnatal adult; Inf2tm1.1(KOMP)Vlcg/Inf2+ (more )
Structure Level Pattern Image Note
TS28: diaphragm Present UC Davis_1853884

Specimen UC Davis_1853885: postnatal adult; Inf2tm1.1(KOMP)Vlcg/Inf2+ (more )
Structure Level Pattern Image Note
TS28: adrenal gland Present UC Davis_1853885

Specimen UC Davis_1853886: postnatal adult; Inf2tm1.1(KOMP)Vlcg/Inf2+ (more )
Structure Level Pattern Image Note
TS28: adrenal gland Present UC Davis_1853886

Specimen UC Davis_1853887: postnatal adult; Inf2tm1.1(KOMP)Vlcg/Inf2+ (more )
Structure Level Pattern Image Note
TS28: spinal cord Present UC Davis_1853887

Specimen UC Davis_1853888: postnatal adult; Inf2tm1.1(KOMP)Vlcg/Inf2+ (more )
Structure Level Pattern Image Note
TS28: spinal cord Present UC Davis_1853888

Specimen UC Davis_1853889: postnatal adult; Inf2tm1.1(KOMP)Vlcg/Inf2+ (more )
Structure Level Pattern Image Note
TS28: spinal cord Present UC Davis_1853889

Specimen UC Davis_1853890: postnatal adult; Inf2tm1.1(KOMP)Vlcg/Inf2+ (more )
Structure Level Pattern Image Note
TS28: eye Present UC Davis_1853890

Specimen UC Davis_1853891: postnatal adult; Inf2tm1.1(KOMP)Vlcg/Inf2+ (more )
Structure Level Pattern Image Note
TS28: eye Present UC Davis_1853891

Specimen UC Davis_1853892: postnatal adult; Inf2tm1.1(KOMP)Vlcg/Inf2+ (more )
Structure Level Pattern Image Note
TS28: eye Present UC Davis_1853892

Specimen UC Davis_1853893: postnatal adult; Inf2tm1.1(KOMP)Vlcg/Inf2+ (more )
Structure Level Pattern Image Note
TS28: eye Present UC Davis_1853893

Specimen UC Davis_1853895: postnatal adult; Inf2tm1.1(KOMP)Vlcg/Inf2+ (more )
Structure Level Pattern Image Note
TS28: Harderian gland Present UC Davis_1853895

Specimen UC Davis_1853896: postnatal adult; Inf2tm1.1(KOMP)Vlcg/Inf2+ (more )
Structure Level Pattern Image Note
TS28: Harderian gland Present UC Davis_1853896

Specimen UC Davis_1853897: postnatal adult; Inf2tm1.1(KOMP)Vlcg/Inf2+ (more )
Structure Level Pattern Image Note
TS28: Harderian gland Present UC Davis_1853897

Specimen UC Davis_1853898: postnatal adult; Inf2tm1.1(KOMP)Vlcg/Inf2+ (more )
Structure Level Pattern Image Note
TS28: gonadal fat pad Present UC Davis_1853898

Specimen UC Davis_1853899: postnatal adult; Inf2tm1.1(KOMP)Vlcg/Inf2+ (more )
Structure Level Pattern Image Note
TS28: gonadal fat pad Present UC Davis_1853899

Specimen UC Davis_1853900: postnatal adult; Inf2tm1.1(KOMP)Vlcg/Inf2+ (more )
Structure Level Pattern Image Note
TS28: mesenteric adipose tissue Present UC Davis_1853900

Specimen UC Davis_1853901: postnatal adult; Inf2tm1.1(KOMP)Vlcg/Inf2+ (more )
Structure Level Pattern Image Note
TS28: mesenteric adipose tissue Present UC Davis_1853901

Specimen UC Davis_1853902: postnatal adult; Inf2tm1.1(KOMP)Vlcg/Inf2+ (more )
Structure Level Pattern Image Note
TS28: mesenteric adipose tissue Present UC Davis_1853902

Specimen UC Davis_1853903: postnatal adult; Inf2tm1.1(KOMP)Vlcg/Inf2+ (more )
Structure Level Pattern Image Note
TS28: skin Present UC Davis_1853903

Specimen UC Davis_1853904: postnatal adult; Inf2tm1.1(KOMP)Vlcg/Inf2+ (more )
Structure Level Pattern Image Note
TS28: skin Present UC Davis_1853904

Specimen UC Davis_1853905: postnatal adult; Inf2tm1.1(KOMP)Vlcg/Inf2+ (more )
Structure Level Pattern Image Note
TS28: skin Present UC Davis_1853905

Specimen UC Davis_1853906: postnatal adult; Inf2tm1.1(KOMP)Vlcg/Inf2+ (more )
Structure Level Pattern Image Note
TS28: brown fat Present UC Davis_1853906

Specimen UC Davis_1853907: postnatal adult; Inf2tm1.1(KOMP)Vlcg/Inf2+ (more )
Structure Level Pattern Image Note
TS28: brown fat Present UC Davis_1853907

Specimen UC Davis_1853908: postnatal adult; Inf2tm1.1(KOMP)Vlcg/Inf2+ (more )
Structure Level Pattern Image Note
TS28: brown fat Present UC Davis_1853908

Specimen UC Davis_1853909: postnatal adult; Inf2tm1.1(KOMP)Vlcg/Inf2+ (more )
Structure Level Pattern Image Note
TS28: olfactory lobe Present UC Davis_1853909

Specimen UC Davis_1853913: postnatal adult; Inf2tm1.1(KOMP)Vlcg/Inf2+ (more )
Structure Level Pattern Image Note
TS28: midbrain Present UC Davis_1853913

Specimen UC Davis_1853915: postnatal adult; Inf2tm1.1(KOMP)Vlcg/Inf2+ (more )
Structure Level Pattern Image Note
TS28: cerebellum Present UC Davis_1853915

Specimen UC Davis_1853916: postnatal adult; Inf2tm1.1(KOMP)Vlcg/Inf2+ (more )
Structure Level Pattern Image Note
TS28: cerebellum Present UC Davis_1853916

Specimen UC Davis_1853917: postnatal adult; Inf2tm1.1(KOMP)Vlcg/Inf2+ (more )
Structure Level Pattern Image Note
TS28: trigeminal nerve Present UC Davis_1853917

Specimen UC Davis_1853918: postnatal adult; Inf2tm1.1(KOMP)Vlcg/Inf2+ (more )
Structure Level Pattern Image Note
TS28: bladder Present UC Davis_1853918

Specimen UC Davis_1853919: postnatal adult; Inf2tm1.1(KOMP)Vlcg/Inf2+ (more )
Structure Level Pattern Image Note
TS28: bladder Present UC Davis_1853919

Specimen UC Davis_1853920: postnatal adult; Inf2tm1.1(KOMP)Vlcg/Inf2+ (more )
Structure Level Pattern Image Note
TS28: testis Present UC Davis_1853920

Specimen UC Davis_1853921: postnatal adult; Inf2tm1.1(KOMP)Vlcg/Inf2+ (more )
Structure Level Pattern Image Note
TS28: testis Present UC Davis_1853921

Specimen UC Davis_1853922: postnatal adult; Inf2tm1.1(KOMP)Vlcg/Inf2+ (more )
Structure Level Pattern Image Note
TS28: epididymis Present UC Davis_1853922

Specimen UC Davis_1853923: postnatal adult; Inf2tm1.1(KOMP)Vlcg/Inf2+ (more )
Structure Level Pattern Image Note
TS28: epididymis Present UC Davis_1853923

Specimen UC Davis_1853924: postnatal adult; Inf2tm1.1(KOMP)Vlcg/Inf2+ (more )
Structure Level Pattern Image Note
TS28: prostate gland Present UC Davis_1853924

Specimen UC Davis_1853925: postnatal adult; Inf2tm1.1(KOMP)Vlcg/Inf2+ (more )
Structure Level Pattern Image Note
TS28: penis Present UC Davis_1853925

Specimen UC Davis_1853926: postnatal adult; Inf2tm1.1(KOMP)Vlcg/Inf2+ (more )
Structure Level Pattern Image Note
TS28: penis Present UC Davis_1853926

Specimen UC Davis_1853927: postnatal adult; Inf2tm1.1(KOMP)Vlcg/Inf2+ (more )
Structure Level Pattern Image Note
TS28: penis Present UC Davis_1853927

Specimen UC Davis_1853928: postnatal adult; Inf2tm1.1(KOMP)Vlcg/Inf2+ (more )
Structure Level Pattern Image Note
TS28: blood Present UC Davis_1853928

Specimen UC Davis_1853929: postnatal adult; Inf2tm1.1(KOMP)Vlcg/Inf2+ (more )
Structure Level Pattern Image Note
TS28: blood Present UC Davis_1853929

Specimen UC Davis_1853930: postnatal adult; Inf2tm1.1(KOMP)Vlcg/Inf2+ (more )
Structure Level Pattern Image Note
TS28: ductus deferens Present UC Davis_1853930 vas deferens

Specimen UC Davis_1853931: postnatal adult; Inf2tm1.1(KOMP)Vlcg/Inf2+ (more )
Structure Level Pattern Image Note
TS28: ductus deferens Present UC Davis_1853931 vas deferens

Specimen UC Davis_1853933: postnatal adult; Inf2tm1.1(KOMP)Vlcg/Inf2+ (more )
Structure Level Pattern Image Note
TS28: seminal vesicle Present UC Davis_1853933 vesicular gland

Specimen UC Davis_1853934: postnatal adult; Inf2tm1.1(KOMP)Vlcg/Inf2+ (more )
Structure Level Pattern Image Note
TS28: seminal vesicle Present UC Davis_1853934 vesicular gland

Specimen UC Davis_1853935: postnatal adult; Inf2tm1.1(KOMP)Vlcg/Inf2+ (more )
Structure Level Pattern Image Note
TS28: submandibular gland Present UC Davis_1853935

Specimen UC Davis_1853936: postnatal adult; Inf2tm1.1(KOMP)Vlcg/Inf2+ (more )
Structure Level Pattern Image Note
TS28: submandibular gland Present UC Davis_1853936

Specimen UC Davis_1853937: postnatal adult; Inf2tm1.1(KOMP)Vlcg/Inf2+ (more )
Structure Level Pattern Image Note
TS28: submandibular gland Present UC Davis_1853937

Specimen UC Davis_1853938: postnatal adult; Inf2tm1.1(KOMP)Vlcg/Inf2+ (more )
Structure Level Pattern Image Note
TS28: sublingual gland Present UC Davis_1853938

Specimen UC Davis_1853939: postnatal adult; Inf2tm1.1(KOMP)Vlcg/Inf2+ (more )
Structure Level Pattern Image Note
TS28: sublingual gland Present UC Davis_1853939

Specimen UC Davis_1853940: postnatal adult; Inf2tm1.1(KOMP)Vlcg/Inf2+ (more )
Structure Level Pattern Image Note
TS28: parotid gland Present UC Davis_1853940

Specimen UC Davis_1853942: postnatal adult; Inf2tm1.1(KOMP)Vlcg/Inf2+ (more )
Structure Level Pattern Image Note
TS28: trachea Present UC Davis_1853942

Specimen UC Davis_1853943: postnatal adult; Inf2tm1.1(KOMP)Vlcg/Inf2+ (more )
Structure Level Pattern Image Note
TS28: esophagus Present UC Davis_1853943

Specimen UC Davis_1853944: postnatal adult; Inf2tm1.1(KOMP)Vlcg/Inf2+ (more )
Structure Level Pattern Image Note
TS28: esophagus Present UC Davis_1853944

Specimen UC Davis_1853945: postnatal adult; Inf2tm1.1(KOMP)Vlcg/Inf2+ (more )
Structure Level Pattern Image Note
TS28: esophagus Present UC Davis_1853945

Specimen UC Davis_1853946: postnatal adult; Inf2tm1.1(KOMP)Vlcg/Inf2+ (more )
Structure Level Pattern Image Note
TS28: thyroid gland Present UC Davis_1853946

Specimen UC Davis_1853947: postnatal adult; Inf2tm1.1(KOMP)Vlcg/Inf2+ (more )
Structure Level Pattern Image Note
TS28: thyroid gland Present UC Davis_1853947

Specimen UC Davis_1853950: postnatal adult; Inf2tm1.1(KOMP)Vlcg/Inf2+ (more )
Structure Level Pattern Image Note
TS28: aorta Present UC Davis_1853950

Specimen UC Davis_1853951: postnatal adult; Inf2tm1.1(KOMP)Vlcg/Inf2+ (more )
Structure Level Pattern Image Note
TS28: thymus Present UC Davis_1853951

Specimen UC Davis_1853952: postnatal adult; Inf2tm1.1(KOMP)Vlcg/Inf2+ (more )
Structure Level Pattern Image Note
TS28: thymus Present UC Davis_1853952

Specimen UC Davis_1853953: postnatal adult; Inf2tm1.1(KOMP)Vlcg/Inf2+ (more )
Structure Level Pattern Image Note
TS28: thymus Present UC Davis_1853953

Specimen UC Davis_1853954: postnatal adult; Inf2tm1.1(KOMP)Vlcg/Inf2+ (more )
Structure Level Pattern Image Note
TS28: thymus Present UC Davis_1853954

Specimen UC Davis_1853958: postnatal adult; Inf2tm1.1(KOMP)Vlcg/Inf2+ (more )
Structure Level Pattern Image Note
TS28: stomach Present UC Davis_1853958

Specimen UC Davis_1853959: postnatal adult; Inf2tm1.1(KOMP)Vlcg/Inf2+ (more )
Structure Level Pattern Image Note
TS28: stomach Present UC Davis_1853959

Specimen UC Davis_1853960: postnatal adult; Inf2tm1.1(KOMP)Vlcg/Inf2+ (more )
Structure Level Pattern Image Note
TS28: stomach Present UC Davis_1853960

Specimen UC Davis_1853961: postnatal adult; Inf2tm1.1(KOMP)Vlcg/Inf2+ (more )
Structure Level Pattern Image Note
TS28: stomach Present UC Davis_1853961

Specimen UC Davis_1853962: postnatal adult; Inf2tm1.1(KOMP)Vlcg/Inf2+ (more )
Structure Level Pattern Image Note
TS28: colon Present UC Davis_1853962

Specimen UC Davis_1853963: postnatal adult; Inf2tm1.1(KOMP)Vlcg/Inf2+ (more )
Structure Level Pattern Image Note
TS28: colon Present UC Davis_1853963

Specimen UC Davis_1853964: postnatal adult; Inf2tm1.1(KOMP)Vlcg/Inf2+ (more )
Structure Level Pattern Image Note
TS28: colon Present UC Davis_1853964

Specimen UC Davis_1853965: postnatal adult; Inf2tm1.1(KOMP)Vlcg/Inf2+ (more )
Structure Level Pattern Image Note
TS28: cecum Present UC Davis_1853965

Specimen UC Davis_1853966: postnatal adult; Inf2tm1.1(KOMP)Vlcg/Inf2+ (more )
Structure Level Pattern Image Note
TS28: spleen Present UC Davis_1853966

Specimen UC Davis_1853967: postnatal adult; Inf2tm1.1(KOMP)Vlcg/Inf2+ (more )
Structure Level Pattern Image Note
TS28: spleen Present UC Davis_1853967

Specimen UC Davis_1853968: postnatal adult; Inf2tm1.1(KOMP)Vlcg/Inf2+ (more )
Structure Level Pattern Image Note
TS28: spleen Present UC Davis_1853968

Specimen UC Davis_1853969: postnatal adult; Inf2tm1.1(KOMP)Vlcg/Inf2+ (more )
Structure Level Pattern Image Note
TS28: pancreas Present UC Davis_1853969

Specimen UC Davis_1853970: postnatal adult; Inf2tm1.1(KOMP)Vlcg/Inf2+ (more )
Structure Level Pattern Image Note
TS28: pancreas Present UC Davis_1853970

Specimen UC Davis_1853971: postnatal adult; Inf2tm1.1(KOMP)Vlcg/Inf2+ (more )
Structure Level Pattern Image Note
TS28: liver Present UC Davis_1853971

Specimen UC Davis_1853972: postnatal adult; Inf2tm1.1(KOMP)Vlcg/Inf2+ (more )
Structure Level Pattern Image Note
TS28: liver Present UC Davis_1853972

Specimen UC Davis_1853973: postnatal adult; Inf2tm1.1(KOMP)Vlcg/Inf2+ (more )
Structure Level Pattern Image Note
TS28: liver Present UC Davis_1853973

Specimen UC Davis_1853974: postnatal adult; Inf2tm1.1(KOMP)Vlcg/Inf2+ (more )
Structure Level Pattern Image Note
TS28: metanephros Present UC Davis_1853974 kidney

Specimen UC Davis_1853975: postnatal adult; Inf2tm1.1(KOMP)Vlcg/Inf2+ (more )
Structure Level Pattern Image Note
TS28: metanephros Present UC Davis_1853975 kidney

Specimen UC Davis_1853976: postnatal adult; Inf2tm1.1(KOMP)Vlcg/Inf2+ (more )
Structure Level Pattern Image Note
TS28: metanephros Present UC Davis_1853976 kidney

Specimen UC Davis_1853977: postnatal adult; Inf2tm1.1(KOMP)Vlcg/Inf2+ (more )
Structure Level Pattern Image Note
TS28: metanephros Present UC Davis_1853977 kidney

Specimen UC Davis_1853978: postnatal adult; Inf2tm1.1(KOMP)Vlcg/Inf2+ (more )
Structure Level Pattern Image Note
TS28: quadriceps femoris muscle Present UC Davis_1853978

Specimen UC Davis_1853979: postnatal adult; Inf2tm1.1(KOMP)Vlcg/Inf2+ (more )
Structure Level Pattern Image Note
TS28: quadriceps femoris muscle Present UC Davis_1853979

Specimen UC Davis_1853980: postnatal adult; Inf2tm1.1(KOMP)Vlcg/Inf2+ (more )
Structure Level Pattern Image Note
TS28: quadriceps femoris muscle Present UC Davis_1853980

Specimen UC Davis_1853981: postnatal adult; Inf2tm1.1(KOMP)Vlcg/Inf2+ (more )
Structure Level Pattern Image Note
TS28: tongue Present UC Davis_1853981

Specimen UC Davis_1853982: postnatal adult; Inf2tm1.1(KOMP)Vlcg/Inf2+ (more )
Structure Level Pattern Image Note
TS28: tongue Present UC Davis_1853982

Specimen UC Davis_1853983: postnatal adult; Inf2tm1.1(KOMP)Vlcg/Inf2+ (more )
Structure Level Pattern Image Note
TS28: tongue Present UC Davis_1853983

Specimen UC Davis_1853984: postnatal adult; Inf2tm1.1(KOMP)Vlcg/Inf2+ (more )
Structure Level Pattern Image Note
TS28: tongue Present UC Davis_1853984

Specimen UC Davis_1853985: postnatal adult; Inf2tm1.1(KOMP)Vlcg/Inf2+ (more )
Structure Level Pattern Image Note
TS28: tongue Present UC Davis_1853985

Specimen UC Davis_1853986: postnatal adult; Inf2tm1.1(KOMP)Vlcg/Inf2+ (more )
Structure Level Pattern Image Note
TS28: diaphragm Present UC Davis_1853986

Specimen UC Davis_1853987: postnatal adult; Inf2tm1.1(KOMP)Vlcg/Inf2+ (more )
Structure Level Pattern Image Note
TS28: diaphragm Present UC Davis_1853987

Specimen UC Davis_1853988: postnatal adult; Inf2tm1.1(KOMP)Vlcg/Inf2+ (more )
Structure Level Pattern Image Note
TS28: adrenal gland Present UC Davis_1853988

Specimen UC Davis_1853989: postnatal adult; Inf2tm1.1(KOMP)Vlcg/Inf2+ (more )
Structure Level Pattern Image Note
TS28: adrenal gland Present UC Davis_1853989

Specimen UC Davis_1853990: postnatal adult; Inf2tm1.1(KOMP)Vlcg/Inf2+ (more )
Structure Level Pattern Image Note
TS28: spinal cord Present UC Davis_1853990

Specimen UC Davis_1853991: postnatal adult; Inf2tm1.1(KOMP)Vlcg/Inf2+ (more )
Structure Level Pattern Image Note
TS28: spinal cord Present UC Davis_1853991

Specimen UC Davis_1853992: postnatal adult; Inf2tm1.1(KOMP)Vlcg/Inf2+ (more )
Structure Level Pattern Image Note
TS28: eye Present UC Davis_1853992

Specimen UC Davis_1853993: postnatal adult; Inf2tm1.1(KOMP)Vlcg/Inf2+ (more )
Structure Level Pattern Image Note
TS28: eye Present UC Davis_1853993

Specimen UC Davis_1853994: postnatal adult; Inf2tm1.1(KOMP)Vlcg/Inf2+ (more )
Structure Level Pattern Image Note
TS28: eye Present UC Davis_1853994

Specimen UC Davis_1853995: postnatal adult; Inf2tm1.1(KOMP)Vlcg/Inf2+ (more )
Structure Level Pattern Image Note
TS28: eye Present UC Davis_1853995

Specimen UC Davis_1853996: postnatal adult; Inf2tm1.1(KOMP)Vlcg/Inf2+ (more )
Structure Level Pattern Image Note
TS28: eye Present UC Davis_1853996

Specimen UC Davis_1853997: postnatal adult; Inf2tm1.1(KOMP)Vlcg/Inf2+ (more )
Structure Level Pattern Image Note
TS28: Harderian gland Present UC Davis_1853997

Specimen UC Davis_1853998: postnatal adult; Inf2tm1.1(KOMP)Vlcg/Inf2+ (more )
Structure Level Pattern Image Note
TS28: gonadal fat pad Present UC Davis_1853998

Specimen UC Davis_1853999: postnatal adult; Inf2tm1.1(KOMP)Vlcg/Inf2+ (more )
Structure Level Pattern Image Note
TS28: mesenteric adipose tissue Present UC Davis_1853999

Specimen UC Davis_1854000: postnatal adult; Inf2tm1.1(KOMP)Vlcg/Inf2+ (more )
Structure Level Pattern Image Note
TS28: skin Present UC Davis_1854000

Specimen UC Davis_1854001: postnatal adult; Inf2tm1.1(KOMP)Vlcg/Inf2+ (more )
Structure Level Pattern Image Note
TS28: skin Present UC Davis_1854001

Specimen UC Davis_1854002: postnatal adult; Inf2tm1.1(KOMP)Vlcg/Inf2+ (more )
Structure Level Pattern Image Note
TS28: brown fat Present UC Davis_1854002

Specimen UC Davis_1854003: postnatal adult; Inf2tm1.1(KOMP)Vlcg/Inf2+ (more )
Structure Level Pattern Image Note
TS28: brown fat Present UC Davis_1854003

Specimen UC Davis_1854004: postnatal adult; Inf2tm1.1(KOMP)Vlcg/Inf2+ (more )
Structure Level Pattern Image Note
TS28: olfactory lobe Present UC Davis_1854004

Specimen UC Davis_1854010: postnatal adult; Inf2tm1.1(KOMP)Vlcg/Inf2+ (more )
Structure Level Pattern Image Note
TS28: midbrain Present UC Davis_1854010

Specimen UC Davis_1854012: postnatal adult; Inf2tm1.1(KOMP)Vlcg/Inf2+ (more )
Structure Level Pattern Image Note
TS28: cerebellum Present UC Davis_1854012

Specimen UC Davis_1854013: postnatal adult; Inf2tm1.1(KOMP)Vlcg/Inf2+ (more )
Structure Level Pattern Image Note
TS28: cerebellum Present UC Davis_1854013

Specimen UC Davis_1854014: postnatal adult; Inf2tm1.1(KOMP)Vlcg/Inf2+ (more )
Structure Level Pattern Image Note
TS28: cerebellum Present UC Davis_1854014

Specimen UC Davis_1854015: postnatal adult; Inf2tm1.1(KOMP)Vlcg/Inf2+ (more )
Structure Level Pattern Image Note
TS28: trigeminal nerve Present UC Davis_1854015

Specimen UC Davis_1854016: postnatal adult; Inf2tm1.1(KOMP)Vlcg/Inf2+ (more )
Structure Level Pattern Image Note
TS28: trigeminal nerve Present UC Davis_1854016

Specimen UC Davis_1854017: postnatal adult; Inf2tm1.1(KOMP)Vlcg/Inf2+ (more )
Structure Level Pattern Image Note
TS28: bladder Present UC Davis_1854017

Specimen UC Davis_1854018: postnatal adult; Inf2tm1.1(KOMP)Vlcg/Inf2+ (more )
Structure Level Pattern Image Note
TS28: bladder Present UC Davis_1854018

Specimen UC Davis_1854019: postnatal adult; Inf2tm1.1(KOMP)Vlcg/Inf2+ (more )
Structure Level Pattern Image Note
TS28: testis Present UC Davis_1854019

Specimen UC Davis_1854020: postnatal adult; Inf2tm1.1(KOMP)Vlcg/Inf2+ (more )
Structure Level Pattern Image Note
TS28: testis Present UC Davis_1854020

Specimen UC Davis_1854021: postnatal adult; Inf2tm1.1(KOMP)Vlcg/Inf2+ (more )
Structure Level Pattern Image Note
TS28: testis Present UC Davis_1854021

Specimen UC Davis_1854022: postnatal adult; Inf2tm1.1(KOMP)Vlcg/Inf2+ (more )
Structure Level Pattern Image Note
TS28: epididymis Present UC Davis_1854022

Specimen UC Davis_1854023: postnatal adult; Inf2tm1.1(KOMP)Vlcg/Inf2+ (more )
Structure Level Pattern Image Note
TS28: epididymis Present UC Davis_1854023

Specimen UC Davis_1854024: postnatal adult; Inf2tm1.1(KOMP)Vlcg/Inf2+ (more )
Structure Level Pattern Image Note
TS28: prostate gland Present UC Davis_1854024

Specimen UC Davis_1854025: postnatal adult; Inf2tm1.1(KOMP)Vlcg/Inf2+ (more )
Structure Level Pattern Image Note
TS28: penis Present UC Davis_1854025

Specimen UC Davis_1854026: postnatal adult; Inf2tm1.1(KOMP)Vlcg/Inf2+ (more )
Structure Level Pattern Image Note
TS28: penis Present UC Davis_1854026

Specimen UC Davis_1854027: postnatal adult; Inf2tm1.1(KOMP)Vlcg/Inf2+ (more )
Structure Level Pattern Image Note
TS28: penis Present UC Davis_1854027

Specimen UC Davis_1854028: postnatal adult; Inf2tm1.1(KOMP)Vlcg/Inf2+ (more )
Structure Level Pattern Image Note
TS28: blood Present UC Davis_1854028

Specimen UC Davis_1854029: postnatal adult; Inf2tm1.1(KOMP)Vlcg/Inf2+ (more )
Structure Level Pattern Image Note
TS28: blood Present UC Davis_1854029

Specimen UC Davis_1854030: postnatal adult; Inf2tm1.1(KOMP)Vlcg/Inf2+ (more )
Structure Level Pattern Image Note
TS28: blood Present UC Davis_1854030

Specimen UC Davis_1854031: postnatal adult; Inf2tm1.1(KOMP)Vlcg/Inf2+ (more )
Structure Level Pattern Image Note
TS28: bone marrow Present UC Davis_1854031

Specimen UC Davis_1854032: postnatal adult; Inf2tm1.1(KOMP)Vlcg/Inf2+ (more )
Structure Level Pattern Image Note
TS28: bone marrow Present UC Davis_1854032

Specimen UC Davis_1854033: postnatal adult; Inf2tm1.1(KOMP)Vlcg/Inf2+ (more )
Structure Level Pattern Image Note
TS28: ductus deferens Present UC Davis_1854033 vas deferens

Specimen UC Davis_1854034: postnatal adult; Inf2tm1.1(KOMP)Vlcg/Inf2+ (more )
Structure Level Pattern Image Note
TS28: ductus deferens Present UC Davis_1854034 vas deferens

Specimen UC Davis_1854035: postnatal adult; Inf2tm1.1(KOMP)Vlcg/Inf2+ (more )
Structure Level Pattern Image Note
TS28: seminal vesicle Present UC Davis_1854035 vesicular gland

Specimen UC Davis_1854036: postnatal adult; Inf2tm1.1(KOMP)Vlcg/Inf2+ (more )
Structure Level Pattern Image Note
TS28: seminal vesicle Present UC Davis_1854036 vesicular gland

Specimen UC Davis_1854037: postnatal adult; Inf2tm1.1(KOMP)Vlcg/Inf2+ (more )
Structure Level Pattern Image Note
TS28: tongue Present UC Davis_1854037

Specimen UC Davis_1854038: postnatal adult; Inf2tm1.1(KOMP)Vlcg/Inf2+ (more )
Structure Level Pattern Image Note
TS28: spleen Present UC Davis_1854038

Specimen UC Davis_1854039: postnatal adult; Inf2tm1.1(KOMP)Vlcg/Inf2+ (more )
Structure Level Pattern Image Note
TS28: pancreas Present UC Davis_1854039

Specimen UC Davis_1854040: postnatal adult; Inf2tm1.1(KOMP)Vlcg/Inf2+ (more )
Structure Level Pattern Image Note
TS28: brown fat Present UC Davis_1854040

Specimen UC Davis_1854041: postnatal adult; Inf2tm1.1(KOMP)Vlcg/Inf2+ (more )
Structure Level Pattern Image Note
TS28: quadriceps femoris muscle Present UC Davis_1854041

Specimen UC Davis_1854042: postnatal adult; Inf2tm1.1(KOMP)Vlcg/Inf2+ (more )
Structure Level Pattern Image Note
TS28: sciatic nerve Present UC Davis_1854042

Specimen UC Davis_1854043: postnatal adult; Inf2tm1.1(KOMP)Vlcg/Inf2+ (more )
Structure Level Pattern Image Note
TS28: olfactory lobe Present UC Davis_1854043

Specimen UC Davis_1854045: postnatal adult; Inf2tm1.1(KOMP)Vlcg/Inf2+ (more )
Structure Level Pattern Image Note
TS28: midbrain Present UC Davis_1854045

Specimen UC Davis_1854047: postnatal adult; Inf2tm1.1(KOMP)Vlcg/Inf2+ (more )
Structure Level Pattern Image Note
TS28: cerebellum Present UC Davis_1854047

Specimen UC Davis_1854048: postnatal adult; Inf2tm1.1(KOMP)Vlcg/Inf2+ (more )
Structure Level Pattern Image Note
TS28: brain Present UC Davis_1854048

Specimen UC Davis_1854050: postnatal adult; Inf2tm1.1(KOMP)Vlcg/Inf2+ (more )
Structure Level Pattern Image Note
TS28: lung Present UC Davis_1854050

Specimen UC Davis_1854051: postnatal adult; Inf2tm1.1(KOMP)Vlcg/Inf2+ (more )
Structure Level Pattern Image Note
TS28: aorta Present UC Davis_1854051

Specimen UC Davis_1854053: postnatal adult; Inf2tm1.1(KOMP)Vlcg/Inf2+ (more )
Structure Level Pattern Image Note
TS28: thymus Present UC Davis_1854053

Specimen UC Davis_1854054: postnatal adult; Inf2tm1.1(KOMP)Vlcg/Inf2+ (more )
Structure Level Pattern Image Note
TS28: metanephros Present UC Davis_1854054 kidney

Specimen UC Davis_1854055: postnatal adult; Inf2tm1.1(KOMP)Vlcg/Inf2+ (more )
Structure Level Pattern Image Note
TS28: adrenal gland Present UC Davis_1854055

Specimen UC Davis_1854056: postnatal adult; Inf2tm1.1(KOMP)Vlcg/Inf2+ (more )
Structure Level Pattern Image Note
TS28: liver Present UC Davis_1854056

Specimen UC Davis_1854057: postnatal adult; Inf2tm1.1(KOMP)Vlcg/Inf2+ (more )
Structure Level Pattern Image Note
TS28: skin Present UC Davis_1854057

Specimen UC Davis_1854059: postnatal adult; Inf2tm1.1(KOMP)Vlcg/Inf2+ (more )
Structure Level Pattern Image Note
TS28: trachea Present UC Davis_1854059

Specimen UC Davis_1854061: postnatal adult; Inf2tm1.1(KOMP)Vlcg/Inf2+ (more )
Structure Level Pattern Image Note
TS28: esophagus Present UC Davis_1854061

Specimen UC Davis_1854062: postnatal adult; Inf2tm1.1(KOMP)Vlcg/Inf2+ (more )
Structure Level Pattern Image Note
TS28: thyroid gland Present UC Davis_1854062

Specimen UC Davis_1854063: postnatal adult; Inf2tm1.1(KOMP)Vlcg/Inf2+ (more )
Structure Level Pattern Image Note
TS28: spinal cord Present UC Davis_1854063

Specimen UC Davis_1854064: postnatal adult; Inf2tm1.1(KOMP)Vlcg/Inf2+ (more )
Structure Level Pattern Image Note
TS28: eye Present UC Davis_1854064

Specimen UC Davis_1854065: postnatal adult; Inf2tm1.1(KOMP)Vlcg/Inf2+ (more )
Structure Level Pattern Image Note
TS28: Harderian gland Present UC Davis_1854065

Specimen UC Davis_1854066: postnatal adult; Inf2tm1.1(KOMP)Vlcg/Inf2+ (more )
Structure Level Pattern Image Note
TS28: stomach Present UC Davis_1854066

Specimen UC Davis_1854067: postnatal adult; Inf2tm1.1(KOMP)Vlcg/Inf2+ (more )
Structure Level Pattern Image Note
TS28: duodenum Present UC Davis_1854067

Specimen UC Davis_1854068: postnatal adult; Inf2tm1.1(KOMP)Vlcg/Inf2+ (more )
Structure Level Pattern Image Note
TS28: jejunum Present UC Davis_1854068

Specimen UC Davis_1854069: postnatal adult; Inf2tm1.1(KOMP)Vlcg/Inf2+ (more )
Structure Level Pattern Image Note
TS28: ileum Present UC Davis_1854069

Specimen UC Davis_1854070: postnatal adult; Inf2tm1.1(KOMP)Vlcg/Inf2+ (more )
Structure Level Pattern Image Note
TS28: colon Present UC Davis_1854070

Specimen UC Davis_1854071: postnatal adult; Inf2tm1.1(KOMP)Vlcg/Inf2+ (more )
Structure Level Pattern Image Note
TS28: mesenteric lymph node Present UC Davis_1854071

Specimen UC Davis_1854072: postnatal adult; Inf2tm1.1(KOMP)Vlcg/Inf2+ (more )
Structure Level Pattern Image Note
TS28: mesenteric adipose tissue Present UC Davis_1854072

Specimen UC Davis_1854073: postnatal adult; Inf2tm1.1(KOMP)Vlcg/Inf2+ (more )
Structure Level Pattern Image Note
TS28: bladder Present UC Davis_1854073

Specimen UC Davis_1854074: postnatal adult; Inf2tm1.1(KOMP)Vlcg/Inf2+ (more )
Structure Level Pattern Image Note
TS28: gonadal fat pad Present UC Davis_1854074

Specimen UC Davis_1854075: postnatal adult; Inf2tm1.1(KOMP)Vlcg/Inf2+ (more )
Structure Level Pattern Image Note
TS28: prostate gland Absent UC Davis_1854075

Specimen UC Davis_1854076: postnatal adult; Inf2tm1.1(KOMP)Vlcg/Inf2+ (more )
Structure Level Pattern Image Note
TS28: seminal vesicle Present UC Davis_1854076 vesicular gland

Specimen UC Davis_1854077: postnatal adult; Inf2tm1.1(KOMP)Vlcg/Inf2+ (more )
Structure Level Pattern Image Note
TS28: gallbladder Present UC Davis_1854077

Specimen UC Davis_1854080: postnatal adult; Inf2tm1.1(KOMP)Vlcg/Inf2+ (more )
Structure Level Pattern Image Note
TS28: thoracic segment skeleton Present UC Davis_1854080 chest bone

Specimen UC Davis_1854083: postnatal adult; Inf2tm1.1(KOMP)Vlcg/Inf2+ (more )
Structure Level Pattern Image Note
TS28: prostate gland Absent UC Davis_1854083


Contributing Projects:
Mouse Genome Database (MGD), Gene Expression Database (GXD), Mouse Models of Human Cancer database (MMHCdb) (formerly Mouse Tumor Biology (MTB)), Gene Ontology (GO)
Citing These Resources
Funding Information
Warranty Disclaimer, Privacy Notice, Licensing, & Copyright
Send questions and comments to User Support.
last database update
01/06/2026
MGI 6.24
The Jackson Laboratory