About   Help   FAQ
Gene Expression Data
Assay Details
Assay
Reference: J:228563 Koscielny G, et al., The International Mouse Phenotyping Consortium Web Portal, a unified point of access for knockout mice and related phenotyping data. Nucleic Acids Res. 2014 Jan;42(Database issue):D802-9
Assay type: In situ reporter (knock in)
MGI Accession ID: MGI:6691899
Gene symbol: Spink2
Gene name: serine peptidase inhibitor, Kazal type 2
Reporter: lacZ
Direct Detection
Results
Specimen UC Davis_1876541: postnatal adult; Spink2tm1.1(KOMP)Vlcg/Spink2+ (more )
Structure Level Pattern Image Note
TS28: jejunum Present UC Davis_1876541

Specimen UC Davis_1876542: postnatal adult; Spink2tm1.1(KOMP)Vlcg/Spink2+ (more )
Structure Level Pattern Image Note
TS28: jejunum Present UC Davis_1876542

Specimen UC Davis_1876543: postnatal adult; Spink2tm1.1(KOMP)Vlcg/Spink2+ (more )
Structure Level Pattern Image Note
TS28: ileum Present UC Davis_1876543

Specimen UC Davis_1876544: postnatal adult; Spink2tm1.1(KOMP)Vlcg/Spink2+ (more )
Structure Level Pattern Image Note
TS28: ileum Present UC Davis_1876544

Specimen UC Davis_1876545: postnatal adult; Spink2tm1.1(KOMP)Vlcg/Spink2+ (more )
Structure Level Pattern Image Note
TS28: tongue Present UC Davis_1876545

Specimen UC Davis_1876546: postnatal adult; Spink2tm1.1(KOMP)Vlcg/Spink2+ (more )
Structure Level Pattern Image Note
TS28: tongue Present UC Davis_1876546

Specimen UC Davis_1876547: postnatal adult; Spink2tm1.1(KOMP)Vlcg/Spink2+ (more )
Structure Level Pattern Image Note
TS28: tongue Present UC Davis_1876547

Specimen UC Davis_1876548: postnatal adult; Spink2tm1.1(KOMP)Vlcg/Spink2+ (more )
Structure Level Pattern Image Note
TS28: skin Present UC Davis_1876548

Specimen UC Davis_1876549: postnatal adult; Spink2tm1.1(KOMP)Vlcg/Spink2+ (more )
Structure Level Pattern Image Note
TS28: skin Present UC Davis_1876549

Specimen UC Davis_1876550: postnatal adult; Spink2tm1.1(KOMP)Vlcg/Spink2+ (more )
Structure Level Pattern Image Note
TS28: skin Present UC Davis_1876550

Specimen UC Davis_1876551: postnatal adult; Spink2tm1.1(KOMP)Vlcg/Spink2+ (more )
Structure Level Pattern Image Note
TS28: skin Present UC Davis_1876551

Specimen UC Davis_1876552: postnatal adult; Spink2tm1.1(KOMP)Vlcg/Spink2+ (more )
Structure Level Pattern Image Note
TS28: oviduct Present UC Davis_1876552

Specimen UC Davis_1876522: postnatal adult; Spink2tm1.1(KOMP)Vlcg/Spink2+ (more )
Structure Level Pattern Image Note
TS28: ileum Present UC Davis_1876522

Specimen UC Davis_1876523: postnatal adult; Spink2tm1.1(KOMP)Vlcg/Spink2+ (more )
Structure Level Pattern Image Note
TS28: ileum Present UC Davis_1876523

Specimen UC Davis_1876524: postnatal adult; Spink2tm1.1(KOMP)Vlcg/Spink2+ (more )
Structure Level Pattern Image Note
TS28: ileum Present UC Davis_1876524

Specimen UC Davis_1876525: postnatal adult; Spink2tm1.1(KOMP)Vlcg/Spink2+ (more )
Structure Level Pattern Image Note
TS28: colon Present UC Davis_1876525

Specimen UC Davis_1876526: postnatal adult; Spink2tm1.1(KOMP)Vlcg/Spink2+ (more )
Structure Level Pattern Image Note
TS28: cecum Present UC Davis_1876526

Specimen UC Davis_1876527: postnatal adult; Spink2tm1.1(KOMP)Vlcg/Spink2+ (more )
Structure Level Pattern Image Note
TS28: tongue Present UC Davis_1876527

Specimen UC Davis_1876528: postnatal adult; Spink2tm1.1(KOMP)Vlcg/Spink2+ (more )
Structure Level Pattern Image Note
TS28: tongue Present UC Davis_1876528

Specimen UC Davis_1876529: postnatal adult; Spink2tm1.1(KOMP)Vlcg/Spink2+ (more )
Structure Level Pattern Image Note
TS28: tongue Present UC Davis_1876529

Specimen UC Davis_1876530: postnatal adult; Spink2tm1.1(KOMP)Vlcg/Spink2+ (more )
Structure Level Pattern Image Note
TS28: skin Present UC Davis_1876530

Specimen UC Davis_1876531: postnatal adult; Spink2tm1.1(KOMP)Vlcg/Spink2+ (more )
Structure Level Pattern Image Note
TS28: skin Present UC Davis_1876531

Specimen UC Davis_1876532: postnatal adult; Spink2tm1.1(KOMP)Vlcg/Spink2+ (more )
Structure Level Pattern Image Note
TS28: skin Present UC Davis_1876532

Specimen UC Davis_1876533: postnatal adult; Spink2tm1.1(KOMP)Vlcg/Spink2+ (more )
Structure Level Pattern Image Note
TS28: testis Present UC Davis_1876533

Specimen UC Davis_1876534: postnatal adult; Spink2tm1.1(KOMP)Vlcg/Spink2+ (more )
Structure Level Pattern Image Note
TS28: testis Present UC Davis_1876534

Specimen UC Davis_1876535: postnatal adult; Spink2tm1.1(KOMP)Vlcg/Spink2+ (more )
Structure Level Pattern Image Note
TS28: testis Present UC Davis_1876535

Specimen UC Davis_1876536: postnatal adult; Spink2tm1.1(KOMP)Vlcg/Spink2+ (more )
Structure Level Pattern Image Note
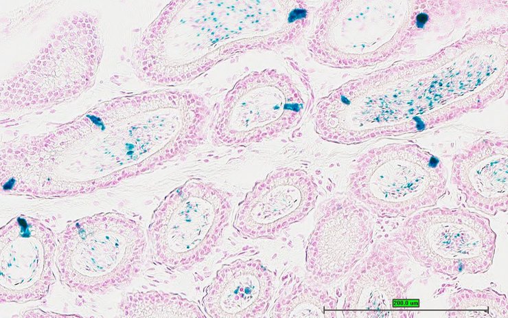
TS28: epididymis Present UC Davis_1876536

Specimen UC Davis_1876537: postnatal adult; Spink2tm1.1(KOMP)Vlcg/Spink2+ (more )
Structure Level Pattern Image Note
TS28: epididymis Present UC Davis_1876537

Specimen UC Davis_1876538: postnatal adult; Spink2tm1.1(KOMP)Vlcg/Spink2+ (more )
Structure Level Pattern Image Note
TS28: penis Present UC Davis_1876538

Specimen UC Davis_1876539: postnatal adult; Spink2tm1.1(KOMP)Vlcg/Spink2+ (more )
Structure Level Pattern Image Note
TS28: penis Present UC Davis_1876539

Specimen UC Davis_1876540: postnatal adult; Spink2tm1.1(KOMP)Vlcg/Spink2+ (more )
Structure Level Pattern Image Note
TS28: ductus deferens Present UC Davis_1876540 vas deferens


Contributing Projects:
Mouse Genome Database (MGD), Gene Expression Database (GXD), Mouse Models of Human Cancer database (MMHCdb) (formerly Mouse Tumor Biology (MTB)), Gene Ontology (GO)
Citing These Resources
Funding Information
Warranty Disclaimer, Privacy Notice, Licensing, & Copyright
Send questions and comments to User Support.
last database update
01/20/2026
MGI 6.24
The Jackson Laboratory