About   Help   FAQ
Gene Expression Data
Assay Details
Assay
Reference: J:228563 Koscielny G, et al., The International Mouse Phenotyping Consortium Web Portal, a unified point of access for knockout mice and related phenotyping data. Nucleic Acids Res. 2014 Jan;42(Database issue):D802-9
Assay type: In situ reporter (knock in)
MGI Accession ID: MGI:6691896
Gene symbol: Tspan18
Gene name: tetraspanin 18
Reporter: lacZ
Direct Detection
Results
Specimen JAX_1469421: embryonic day 12.5; Tspan18tm1.1(KOMP)Vlcg/Tspan18+ (more )
Structure Level Pattern Image Note
TS20: embryo Present JAX_1469421

Specimen JAX_1469422: embryonic day 12.5; Tspan18tm1.1(KOMP)Vlcg/Tspan18+ (more )
Structure Level Pattern Image Note
TS20: embryo Present JAX_1469422

Specimen JAX_1469423: embryonic day 12.5; Tspan18tm1.1(KOMP)Vlcg/Tspan18+ (more )
Structure Level Pattern Image Note
TS20: embryo Present JAX_1469423

Specimen JAX_1469424: embryonic day 12.5; Tspan18tm1.1(KOMP)Vlcg/Tspan18+ (more )
Structure Level Pattern Image Note
TS20: embryo Present JAX_1469424

Specimen JAX_266525: embryonic day 12.5; Tspan18tm1.1(KOMP)Vlcg/Tspan18+ (more )
Structure Level Pattern Image Note
TS20: embryo Present JAX_266525

Specimen JAX_266527: embryonic day 12.5; Tspan18tm1.1(KOMP)Vlcg/Tspan18+ (more )
Structure Level Pattern Image Note
TS20: embryo Present JAX_266527

Specimen JAX_266529: embryonic day 12.5; Tspan18tm1.1(KOMP)Vlcg/Tspan18+ (more )
Structure Level Pattern Image Note
TS20: embryo Present JAX_266529

Specimen JAX_266531: embryonic day 12.5; Tspan18tm1.1(KOMP)Vlcg/Tspan18+ (more )
Structure Level Pattern Image Note
TS20: embryo Present JAX_266531

Specimen JAX_1798322: postnatal adult; Tspan18tm1.1(KOMP)Vlcg/Tspan18+ (more )
Structure Level Pattern Image Note
TS28: thalamus Present JAX_1798322

Specimen JAX_1798323: postnatal adult; Tspan18tm1.1(KOMP)Vlcg/Tspan18+ (more )
Structure Level Pattern Image Note
TS28: midbrain Present JAX_1798323

Specimen JAX_1798324: postnatal adult; Tspan18tm1.1(KOMP)Vlcg/Tspan18+ (more )
Structure Level Pattern Image Note
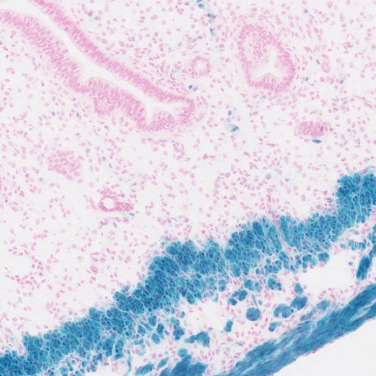
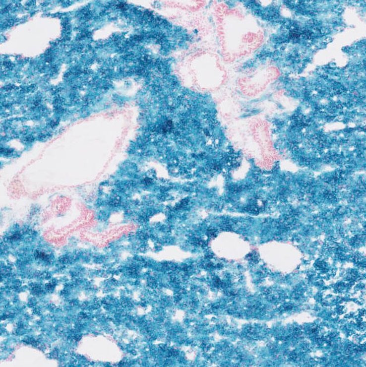
TS28: submandibular gland Present JAX_1798324

Specimen JAX_1798325: postnatal adult; Tspan18tm1.1(KOMP)Vlcg/Tspan18+ (more )
Structure Level Pattern Image Note
TS28: brown fat Present JAX_1798325

Specimen JAX_1798326: postnatal adult; Tspan18tm1.1(KOMP)Vlcg/Tspan18+ (more )
Structure Level Pattern Image Note
TS28: corpus striatum Present JAX_1798326

Specimen JAX_1798327: postnatal adult; Tspan18tm1.1(KOMP)Vlcg/Tspan18+ (more )
Structure Level Pattern Image Note
TS28: olfactory lobe Present JAX_1798327

Specimen JAX_1798328: postnatal adult; Tspan18tm1.1(KOMP)Vlcg/Tspan18+ (more )
Structure Level Pattern Image Note
TS28: hypothalamus Present JAX_1798328

Specimen JAX_1798329: postnatal adult; Tspan18tm1.1(KOMP)Vlcg/Tspan18+ (more )
Structure Level Pattern Image Note
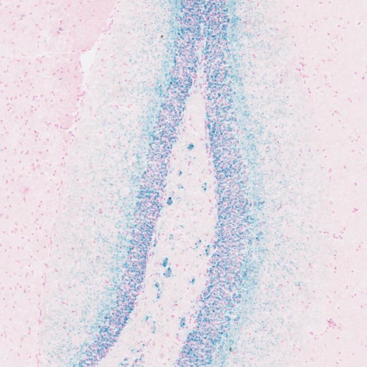
TS28: hippocampus Present JAX_1798329

Specimen JAX_1798330: postnatal adult; Tspan18tm1.1(KOMP)Vlcg/Tspan18+ (more )
Structure Level Pattern Image Note
TS28: cerebral cortex Present JAX_1798330

Specimen JAX_1798331: postnatal adult; Tspan18tm1.1(KOMP)Vlcg/Tspan18+ (more )
Structure Level Pattern Image Note
TS28: cartilage Present JAX_1798331

Specimen JAX_1798332: postnatal adult; Tspan18tm1.1(KOMP)Vlcg/Tspan18+ (more )
Structure Level Pattern Image Note
TS28: brainstem Present JAX_1798332

Specimen JAX_1798333: postnatal adult; Tspan18tm1.1(KOMP)Vlcg/Tspan18+ (more )
Structure Level Pattern Image Note
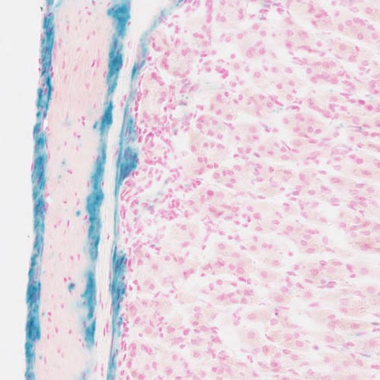
TS28: aorta Present JAX_1798333

Specimen JAX_1798334: postnatal adult; Tspan18tm1.1(KOMP)Vlcg/Tspan18+ (more )
Structure Level Pattern Image Note
TS28: white fat Present JAX_1798334

Specimen JAX_1798335: postnatal adult; Tspan18tm1.1(KOMP)Vlcg/Tspan18+ (more )
Structure Level Pattern Image Note
TS28: pituitary gland Present JAX_1798335

Specimen JAX_1798336: postnatal adult; Tspan18tm1.1(KOMP)Vlcg/Tspan18+ (more )
Structure Level Pattern Image Note
TS28: uterus Present JAX_1798336

Specimen JAX_1798337: postnatal adult; Tspan18tm1.1(KOMP)Vlcg/Tspan18+ (more )
Structure Level Pattern Image Note
TS28: trachea Present JAX_1798337

Specimen JAX_1798338: postnatal adult; Tspan18tm1.1(KOMP)Vlcg/Tspan18+ (more )
Structure Level Pattern Image Note
TS28: thymus Present JAX_1798338

Specimen JAX_1798339: postnatal adult; Tspan18tm1.1(KOMP)Vlcg/Tspan18+ (more )
Structure Level Pattern Image Note
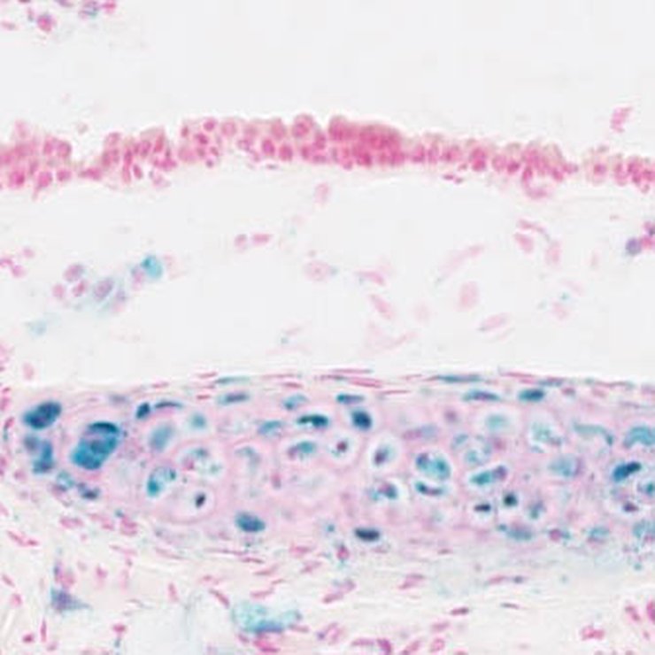
TS28: skin Present JAX_1798339

Specimen JAX_1798340: postnatal adult; Tspan18tm1.1(KOMP)Vlcg/Tspan18+ (more )
Structure Level Pattern Image Note
TS28: oviduct Present JAX_1798340

Specimen JAX_1798341: postnatal adult; Tspan18tm1.1(KOMP)Vlcg/Tspan18+ (more )
Structure Level Pattern Image Note
TS28: ovary Present JAX_1798341

Specimen JAX_1798342: postnatal adult; Tspan18tm1.1(KOMP)Vlcg/Tspan18+ (more )
Structure Level Pattern Image Note
TS28: mammary gland Present JAX_1798342

Specimen JAX_1798343: postnatal adult; Tspan18tm1.1(KOMP)Vlcg/Tspan18+ (more )
Structure Level Pattern Image Note
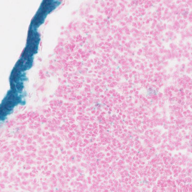
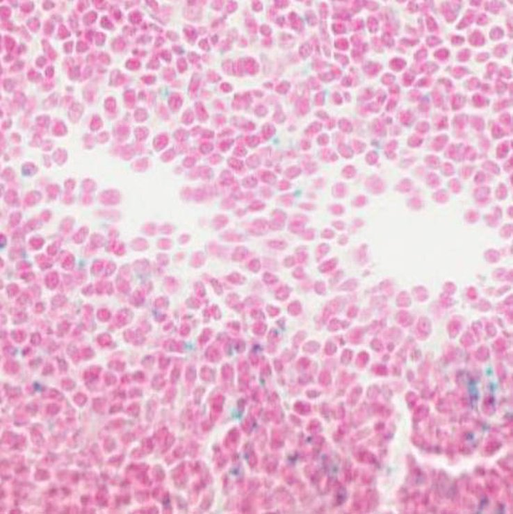
TS28: lymph node Present JAX_1798343

Specimen JAX_1798344: postnatal adult; Tspan18tm1.1(KOMP)Vlcg/Tspan18+ (more )
Structure Level Pattern Image Note
TS28: heart Present JAX_1798344

Specimen JAX_1798345: postnatal adult; Tspan18tm1.1(KOMP)Vlcg/Tspan18+ (more )
Structure Level Pattern Image Note
TS28: eye Present JAX_1798345

Specimen JAX_1798346: postnatal adult; Tspan18tm1.1(KOMP)Vlcg/Tspan18+ (more )
Structure Level Pattern Image Note
TS28: brain Present JAX_1798346

Specimen JAX_1798306: postnatal adult; Tspan18tm1.1(KOMP)Vlcg/Tspan18+ (more )
Structure Level Pattern Image Note
TS28: epididymis Present JAX_1798306

Specimen JAX_1798307: postnatal adult; Tspan18tm1.1(KOMP)Vlcg/Tspan18+ (more )
Structure Level Pattern Image Note
TS28: bone marrow Present JAX_1798307

Specimen JAX_1798308: postnatal adult; Tspan18tm1.1(KOMP)Vlcg/Tspan18+ (more )
Structure Level Pattern Image Note
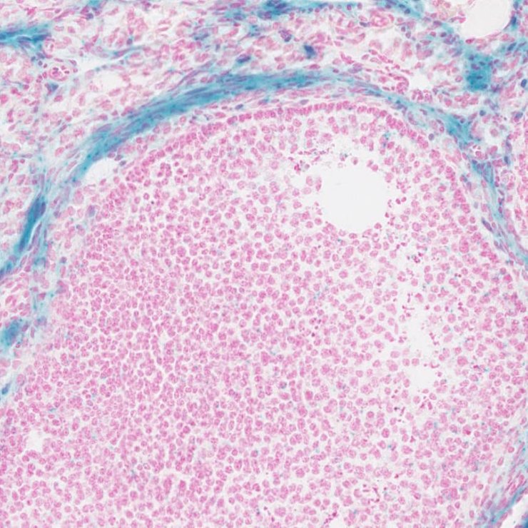
TS28: Peyer's patch Present JAX_1798308

Specimen JAX_1798309: postnatal adult; Tspan18tm1.1(KOMP)Vlcg/Tspan18+ (more )
Structure Level Pattern Image Note
TS28: peripheral nervous system Present JAX_1798309

Specimen JAX_1798310: postnatal adult; Tspan18tm1.1(KOMP)Vlcg/Tspan18+ (more )
Structure Level Pattern Image Note
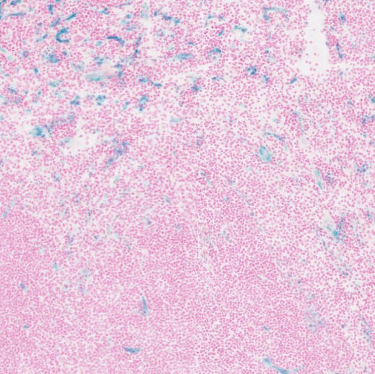
TS28: spleen Present JAX_1798310

Specimen JAX_1798311: postnatal adult; Tspan18tm1.1(KOMP)Vlcg/Tspan18+ (more )
Structure Level Pattern Image Note
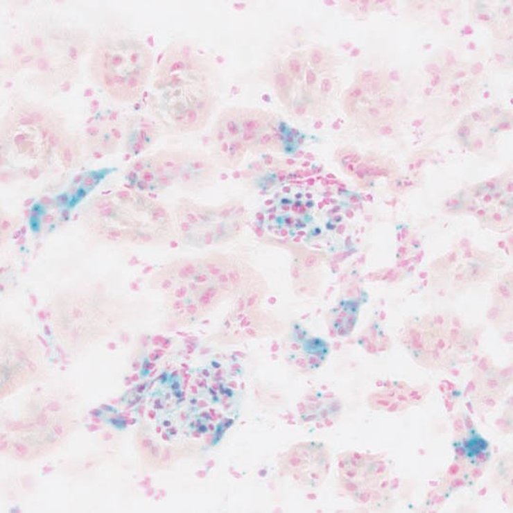
TS28: pancreas Present JAX_1798311

Specimen JAX_1798312: postnatal adult; Tspan18tm1.1(KOMP)Vlcg/Tspan18+ (more )
Structure Level Pattern Image Note
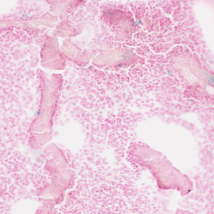
TS28: lung Present JAX_1798312

Specimen JAX_1798313: postnatal adult; Tspan18tm1.1(KOMP)Vlcg/Tspan18+ (more )
Structure Level Pattern Image Note
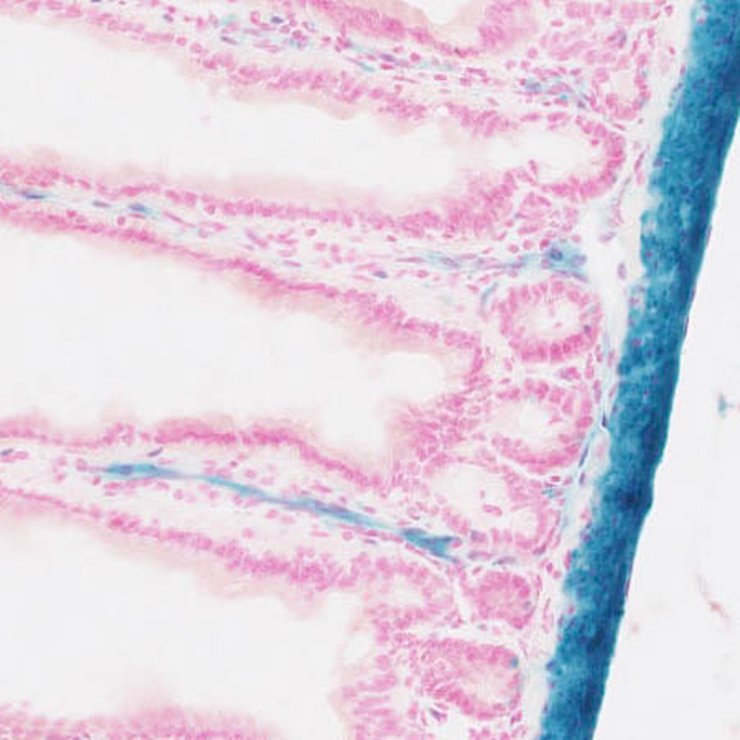
TS28: small intestine Present JAX_1798313

Specimen JAX_1798314: postnatal adult; Tspan18tm1.1(KOMP)Vlcg/Tspan18+ (more )
Structure Level Pattern Image Note
TS28: spinal cord Present JAX_1798314

Specimen JAX_1798315: postnatal adult; Tspan18tm1.1(KOMP)Vlcg/Tspan18+ (more )
Structure Level Pattern Image Note
TS28: esophagus Present JAX_1798315

Specimen JAX_1798316: postnatal adult; Tspan18tm1.1(KOMP)Vlcg/Tspan18+ (more )
Structure Level Pattern Image Note
TS28: large intestine Present JAX_1798316

Specimen JAX_1798317: postnatal adult; Tspan18tm1.1(KOMP)Vlcg/Tspan18+ (more )
Structure Level Pattern Image Note
TS28: testis Present JAX_1798317

Specimen JAX_1798318: postnatal adult; Tspan18tm1.1(KOMP)Vlcg/Tspan18+ (more )
Structure Level Pattern Image Note
TS28: stomach Present JAX_1798318

Specimen JAX_1798319: postnatal adult; Tspan18tm1.1(KOMP)Vlcg/Tspan18+ (more )
Structure Level Pattern Image Note
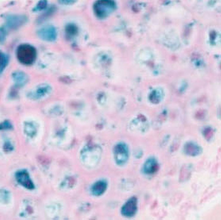
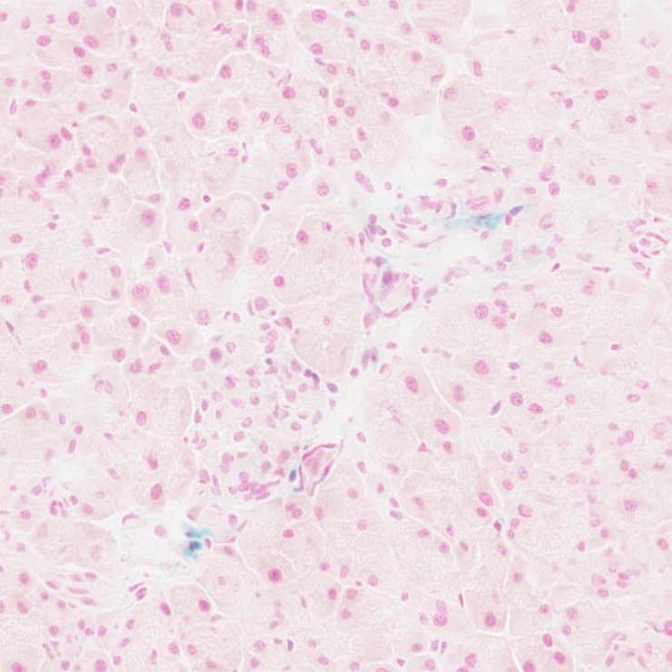
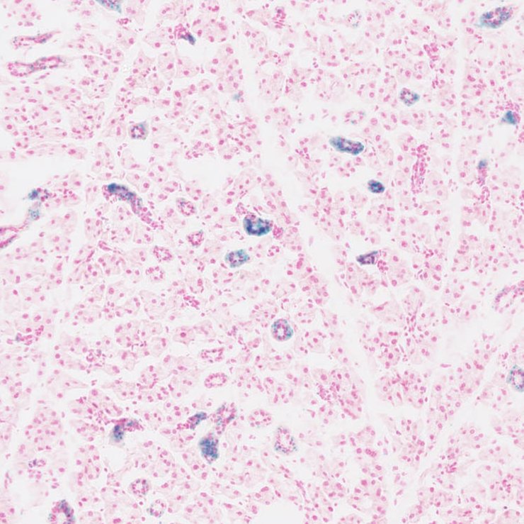
TS28: liver Present JAX_1798319

Specimen JAX_1798320: postnatal adult; Tspan18tm1.1(KOMP)Vlcg/Tspan18+ (more )
Structure Level Pattern Image Note
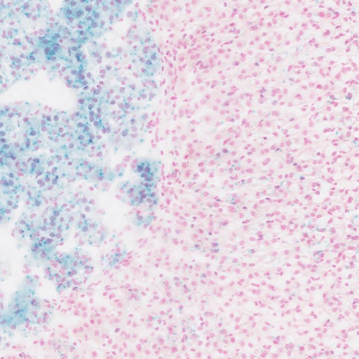
TS28: metanephros Present JAX_1798320 kidney

Specimen JAX_1798321: postnatal adult; Tspan18tm1.1(KOMP)Vlcg/Tspan18+ (more )
Structure Level Pattern Image Note
TS28: adrenal gland Present JAX_1798321


Contributing Projects:
Mouse Genome Database (MGD), Gene Expression Database (GXD), Mouse Models of Human Cancer database (MMHCdb) (formerly Mouse Tumor Biology (MTB)), Gene Ontology (GO)
Citing These Resources
Funding Information
Warranty Disclaimer, Privacy Notice, Licensing, & Copyright
Send questions and comments to User Support.
last database update
12/30/2025
MGI 6.24
The Jackson Laboratory