About   Help   FAQ
Gene Expression Data
Assay Details
Assay
Reference: J:228563 Koscielny G, et al., The International Mouse Phenotyping Consortium Web Portal, a unified point of access for knockout mice and related phenotyping data. Nucleic Acids Res. 2014 Jan;42(Database issue):D802-9
Assay type: In situ reporter (knock in)
MGI Accession ID: MGI:6691886
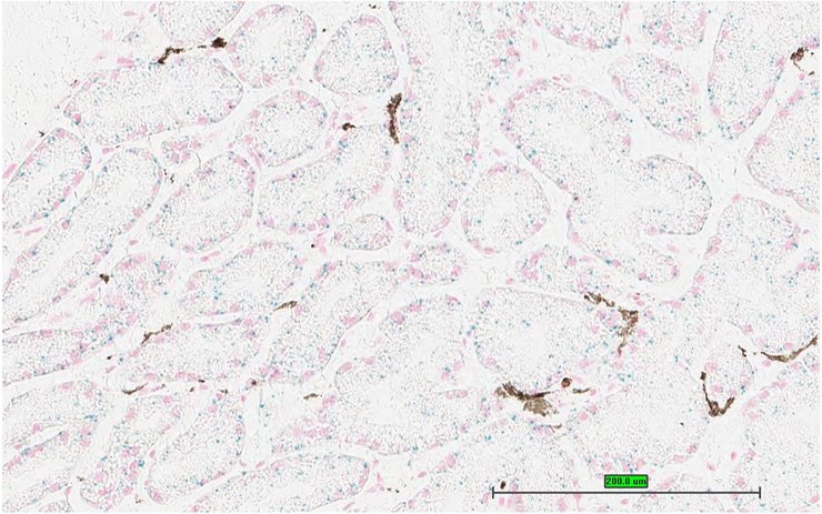
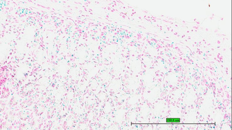
Gene symbol: Arap1
Gene name: ArfGAP with RhoGAP domain, ankyrin repeat and PH domain 1
Reporter: lacZ
Direct Detection
Results
Specimen UC Davis_1862393: postnatal adult; Arap1tm1b(EUCOMM)Wtsi/Arap1+ (more )
Structure Level Pattern Image Note
TS28: submandibular gland Present UC Davis_1862393

Specimen UC Davis_1862394: postnatal adult; Arap1tm1b(EUCOMM)Wtsi/Arap1+ (more )
Structure Level Pattern Image Note
TS28: sublingual gland Present UC Davis_1862394

Specimen UC Davis_1862395: postnatal adult; Arap1tm1b(EUCOMM)Wtsi/Arap1+ (more )
Structure Level Pattern Image Note
TS28: parotid gland Present UC Davis_1862395

Specimen UC Davis_1862396: postnatal adult; Arap1tm1b(EUCOMM)Wtsi/Arap1+ (more )
Structure Level Pattern Image Note
TS28: trachea Present UC Davis_1862396

Specimen UC Davis_1862397: postnatal adult; Arap1tm1b(EUCOMM)Wtsi/Arap1+ (more )
Structure Level Pattern Image Note
TS28: esophagus Present UC Davis_1862397

Specimen UC Davis_1862398: postnatal adult; Arap1tm1b(EUCOMM)Wtsi/Arap1+ (more )
Structure Level Pattern Image Note
TS28: lung Present UC Davis_1862398

Specimen UC Davis_1862399: postnatal adult; Arap1tm1b(EUCOMM)Wtsi/Arap1+ (more )
Structure Level Pattern Image Note
TS28: lung Present UC Davis_1862399

Specimen UC Davis_1862400: postnatal adult; Arap1tm1b(EUCOMM)Wtsi/Arap1+ (more )
Structure Level Pattern Image Note
TS28: lung Present UC Davis_1862400

Specimen UC Davis_1862401: postnatal adult; Arap1tm1b(EUCOMM)Wtsi/Arap1+ (more )
Structure Level Pattern Image Note
TS28: thymus Present UC Davis_1862401

Specimen UC Davis_1862402: postnatal adult; Arap1tm1b(EUCOMM)Wtsi/Arap1+ (more )
Structure Level Pattern Image Note
TS28: thymus Present UC Davis_1862402

Specimen UC Davis_1862405: postnatal adult; Arap1tm1b(EUCOMM)Wtsi/Arap1+ (more )
Structure Level Pattern Image Note
TS28: stomach Present UC Davis_1862405

Specimen UC Davis_1862406: postnatal adult; Arap1tm1b(EUCOMM)Wtsi/Arap1+ (more )
Structure Level Pattern Image Note
TS28: stomach Present UC Davis_1862406

Specimen UC Davis_1862407: postnatal adult; Arap1tm1b(EUCOMM)Wtsi/Arap1+ (more )
Structure Level Pattern Image Note
TS28: stomach Present UC Davis_1862407

Specimen UC Davis_1862408: postnatal adult; Arap1tm1b(EUCOMM)Wtsi/Arap1+ (more )
Structure Level Pattern Image Note
TS28: stomach Present UC Davis_1862408

Specimen UC Davis_1862409: postnatal adult; Arap1tm1b(EUCOMM)Wtsi/Arap1+ (more )
Structure Level Pattern Image Note
TS28: duodenum Present UC Davis_1862409

Specimen UC Davis_1862410: postnatal adult; Arap1tm1b(EUCOMM)Wtsi/Arap1+ (more )
Structure Level Pattern Image Note
TS28: ileum Present UC Davis_1862410

Specimen UC Davis_1862411: postnatal adult; Arap1tm1b(EUCOMM)Wtsi/Arap1+ (more )
Structure Level Pattern Image Note
TS28: ileum Present UC Davis_1862411

Specimen UC Davis_1862412: postnatal adult; Arap1tm1b(EUCOMM)Wtsi/Arap1+ (more )
Structure Level Pattern Image Note
TS28: colon Present UC Davis_1862412

Specimen UC Davis_1862413: postnatal adult; Arap1tm1b(EUCOMM)Wtsi/Arap1+ (more )
Structure Level Pattern Image Note
TS28: spleen Present UC Davis_1862413

Specimen UC Davis_1862414: postnatal adult; Arap1tm1b(EUCOMM)Wtsi/Arap1+ (more )
Structure Level Pattern Image Note
TS28: spleen Present UC Davis_1862414

Specimen UC Davis_1862415: postnatal adult; Arap1tm1b(EUCOMM)Wtsi/Arap1+ (more )
Structure Level Pattern Image Note
TS28: pancreas Present UC Davis_1862415

Specimen UC Davis_1862416: postnatal adult; Arap1tm1b(EUCOMM)Wtsi/Arap1+ (more )
Structure Level Pattern Image Note
TS28: pancreas Present UC Davis_1862416

Specimen UC Davis_1862417: postnatal adult; Arap1tm1b(EUCOMM)Wtsi/Arap1+ (more )
Structure Level Pattern Image Note
TS28: pancreas Present UC Davis_1862417

Specimen UC Davis_1862418: postnatal adult; Arap1tm1b(EUCOMM)Wtsi/Arap1+ (more )
Structure Level Pattern Image Note
TS28: liver Present UC Davis_1862418

Specimen UC Davis_1862419: postnatal adult; Arap1tm1b(EUCOMM)Wtsi/Arap1+ (more )
Structure Level Pattern Image Note
TS28: liver Present UC Davis_1862419

Specimen UC Davis_1862420: postnatal adult; Arap1tm1b(EUCOMM)Wtsi/Arap1+ (more )
Structure Level Pattern Image Note
TS28: liver Present UC Davis_1862420

Specimen UC Davis_1862421: postnatal adult; Arap1tm1b(EUCOMM)Wtsi/Arap1+ (more )
Structure Level Pattern Image Note
TS28: metanephros Present UC Davis_1862421 kidney

Specimen UC Davis_1862422: postnatal adult; Arap1tm1b(EUCOMM)Wtsi/Arap1+ (more )
Structure Level Pattern Image Note
TS28: metanephros Present UC Davis_1862422 kidney

Specimen UC Davis_1862423: postnatal adult; Arap1tm1b(EUCOMM)Wtsi/Arap1+ (more )
Structure Level Pattern Image Note
TS28: metanephros Present UC Davis_1862423 kidney

Specimen UC Davis_1862424: postnatal adult; Arap1tm1b(EUCOMM)Wtsi/Arap1+ (more )
Structure Level Pattern Image Note
TS28: tongue Present UC Davis_1862424

Specimen UC Davis_1862425: postnatal adult; Arap1tm1b(EUCOMM)Wtsi/Arap1+ (more )
Structure Level Pattern Image Note
TS28: pituitary gland Present UC Davis_1862425

Specimen UC Davis_1862426: postnatal adult; Arap1tm1b(EUCOMM)Wtsi/Arap1+ (more )
Structure Level Pattern Image Note
TS28: pituitary gland Present UC Davis_1862426

Specimen UC Davis_1862427: postnatal adult; Arap1tm1b(EUCOMM)Wtsi/Arap1+ (more )
Structure Level Pattern Image Note
TS28: spinal cord Present UC Davis_1862427

Specimen UC Davis_1862428: postnatal adult; Arap1tm1b(EUCOMM)Wtsi/Arap1+ (more )
Structure Level Pattern Image Note
TS28: spinal cord Present UC Davis_1862428

Specimen UC Davis_1862429: postnatal adult; Arap1tm1b(EUCOMM)Wtsi/Arap1+ (more )
Structure Level Pattern Image Note
TS28: eye Present UC Davis_1862429

Specimen UC Davis_1862430: postnatal adult; Arap1tm1b(EUCOMM)Wtsi/Arap1+ (more )
Structure Level Pattern Image Note
TS28: eye Present UC Davis_1862430

Specimen UC Davis_1862431: postnatal adult; Arap1tm1b(EUCOMM)Wtsi/Arap1+ (more )
Structure Level Pattern Image Note
TS28: Harderian gland Present UC Davis_1862431

Specimen UC Davis_1862432: postnatal adult; Arap1tm1b(EUCOMM)Wtsi/Arap1+ (more )
Structure Level Pattern Image Note
TS28: Harderian gland Present UC Davis_1862432

Specimen UC Davis_1862433: postnatal adult; Arap1tm1b(EUCOMM)Wtsi/Arap1+ (more )
Structure Level Pattern Image Note
TS28: olfactory lobe Present UC Davis_1862433

Specimen UC Davis_1862434: postnatal adult; Arap1tm1b(EUCOMM)Wtsi/Arap1+ (more )
Structure Level Pattern Image Note
TS28: olfactory lobe Present UC Davis_1862434

Specimen UC Davis_1862438: postnatal adult; Arap1tm1b(EUCOMM)Wtsi/Arap1+ (more )
Structure Level Pattern Image Note
TS28: midbrain Present UC Davis_1862438

Specimen UC Davis_1862439: postnatal adult; Arap1tm1b(EUCOMM)Wtsi/Arap1+ (more )
Structure Level Pattern Image Note
TS28: midbrain Present UC Davis_1862439

Specimen UC Davis_1862442: postnatal adult; Arap1tm1b(EUCOMM)Wtsi/Arap1+ (more )
Structure Level Pattern Image Note
TS28: cerebellum Present UC Davis_1862442

Specimen UC Davis_1862443: postnatal adult; Arap1tm1b(EUCOMM)Wtsi/Arap1+ (more )
Structure Level Pattern Image Note
TS28: cerebellum Present UC Davis_1862443

Specimen UC Davis_1862444: postnatal adult; Arap1tm1b(EUCOMM)Wtsi/Arap1+ (more )
Structure Level Pattern Image Note
TS28: ovary Present UC Davis_1862444

Specimen UC Davis_1862445: postnatal adult; Arap1tm1b(EUCOMM)Wtsi/Arap1+ (more )
Structure Level Pattern Image Note
TS28: ovary Present UC Davis_1862445

Specimen UC Davis_1862446: postnatal adult; Arap1tm1b(EUCOMM)Wtsi/Arap1+ (more )
Structure Level Pattern Image Note
TS28: oviduct Present UC Davis_1862446

Specimen UC Davis_1862447: postnatal adult; Arap1tm1b(EUCOMM)Wtsi/Arap1+ (more )
Structure Level Pattern Image Note
TS28: uterus Present UC Davis_1862447

Specimen UC Davis_1862448: postnatal adult; Arap1tm1b(EUCOMM)Wtsi/Arap1+ (more )
Structure Level Pattern Image Note
TS28: uterus Present UC Davis_1862448

Specimen UC Davis_1862449: postnatal adult; Arap1tm1b(EUCOMM)Wtsi/Arap1+ (more )
Structure Level Pattern Image Note
TS28: uterus Present UC Davis_1862449

Specimen UC Davis_1862450: postnatal adult; Arap1tm1b(EUCOMM)Wtsi/Arap1+ (more )
Structure Level Pattern Image Note
TS28: vagina Present UC Davis_1862450

Specimen UC Davis_1862537: postnatal adult; Arap1tm1b(EUCOMM)Wtsi/Arap1+ (more )
Structure Level Pattern Image Note
TS28: tongue Present UC Davis_1862537

Specimen UC Davis_1862538: postnatal adult; Arap1tm1b(EUCOMM)Wtsi/Arap1+ (more )
Structure Level Pattern Image Note
TS28: spleen Present UC Davis_1862538

Specimen UC Davis_1862539: postnatal adult; Arap1tm1b(EUCOMM)Wtsi/Arap1+ (more )
Structure Level Pattern Image Note
TS28: pancreas Present UC Davis_1862539

Specimen UC Davis_1862540: postnatal adult; Arap1tm1b(EUCOMM)Wtsi/Arap1+ (more )
Structure Level Pattern Image Note
TS28: quadriceps femoris muscle Present UC Davis_1862540

Specimen UC Davis_1862541: postnatal adult; Arap1tm1b(EUCOMM)Wtsi/Arap1+ (more )
Structure Level Pattern Image Note
TS28: olfactory lobe Present UC Davis_1862541

Specimen UC Davis_1862542: postnatal adult; Arap1tm1b(EUCOMM)Wtsi/Arap1+ (more )
Structure Level Pattern Image Note
TS28: olfactory lobe Present UC Davis_1862542

Specimen UC Davis_1862543: postnatal adult; Arap1tm1b(EUCOMM)Wtsi/Arap1+ (more )
Structure Level Pattern Image Note
TS28: olfactory lobe Present UC Davis_1862543

Specimen UC Davis_1862545: postnatal adult; Arap1tm1b(EUCOMM)Wtsi/Arap1+ (more )
Structure Level Pattern Image Note
TS28: midbrain Present UC Davis_1862545

Specimen UC Davis_1862547: postnatal adult; Arap1tm1b(EUCOMM)Wtsi/Arap1+ (more )
Structure Level Pattern Image Note
TS28: cerebellum Present UC Davis_1862547

Specimen UC Davis_1862548: postnatal adult; Arap1tm1b(EUCOMM)Wtsi/Arap1+ (more )
Structure Level Pattern Image Note
TS28: brain Present UC Davis_1862548

Specimen UC Davis_1862550: postnatal adult; Arap1tm1b(EUCOMM)Wtsi/Arap1+ (more )
Structure Level Pattern Image Note
TS28: lung Present UC Davis_1862550

Specimen UC Davis_1862551: postnatal adult; Arap1tm1b(EUCOMM)Wtsi/Arap1+ (more )
Structure Level Pattern Image Note
TS28: lung Present UC Davis_1862551

Specimen UC Davis_1862553: postnatal adult; Arap1tm1b(EUCOMM)Wtsi/Arap1+ (more )
Structure Level Pattern Image Note
TS28: thymus Present UC Davis_1862553

Specimen UC Davis_1862554: postnatal adult; Arap1tm1b(EUCOMM)Wtsi/Arap1+ (more )
Structure Level Pattern Image Note
TS28: metanephros Present UC Davis_1862554 kidney

Specimen UC Davis_1862555: postnatal adult; Arap1tm1b(EUCOMM)Wtsi/Arap1+ (more )
Structure Level Pattern Image Note
TS28: metanephros Present UC Davis_1862555 kidney

Specimen UC Davis_1862556: postnatal adult; Arap1tm1b(EUCOMM)Wtsi/Arap1+ (more )
Structure Level Pattern Image Note
TS28: adrenal gland Present UC Davis_1862556

Specimen UC Davis_1862557: postnatal adult; Arap1tm1b(EUCOMM)Wtsi/Arap1+ (more )
Structure Level Pattern Image Note
TS28: liver Present UC Davis_1862557

Specimen UC Davis_1862558: postnatal adult; Arap1tm1b(EUCOMM)Wtsi/Arap1+ (more )
Structure Level Pattern Image Note
TS28: liver Present UC Davis_1862558

Specimen UC Davis_1862561: postnatal adult; Arap1tm1b(EUCOMM)Wtsi/Arap1+ (more )
Structure Level Pattern Image Note
TS28: spinal cord Present UC Davis_1862561

Specimen UC Davis_1862562: postnatal adult; Arap1tm1b(EUCOMM)Wtsi/Arap1+ (more )
Structure Level Pattern Image Note
TS28: spinal cord Present UC Davis_1862562

Specimen UC Davis_1862563: postnatal adult; Arap1tm1b(EUCOMM)Wtsi/Arap1+ (more )
Structure Level Pattern Image Note
TS28: spinal cord Present UC Davis_1862563

Specimen UC Davis_1862564: postnatal adult; Arap1tm1b(EUCOMM)Wtsi/Arap1+ (more )
Structure Level Pattern Image Note
TS28: spinal cord Present UC Davis_1862564

Specimen UC Davis_1862565: postnatal adult; Arap1tm1b(EUCOMM)Wtsi/Arap1+ (more )
Structure Level Pattern Image Note
TS28: eye Present UC Davis_1862565

Specimen UC Davis_1862566: postnatal adult; Arap1tm1b(EUCOMM)Wtsi/Arap1+ (more )
Structure Level Pattern Image Note
TS28: Harderian gland Present UC Davis_1862566

Specimen UC Davis_1862567: postnatal adult; Arap1tm1b(EUCOMM)Wtsi/Arap1+ (more )
Structure Level Pattern Image Note
TS28: stomach Present UC Davis_1862567

Specimen UC Davis_1862568: postnatal adult; Arap1tm1b(EUCOMM)Wtsi/Arap1+ (more )
Structure Level Pattern Image Note
TS28: duodenum Present UC Davis_1862568

Specimen UC Davis_1862569: postnatal adult; Arap1tm1b(EUCOMM)Wtsi/Arap1+ (more )
Structure Level Pattern Image Note
TS28: duodenum Present UC Davis_1862569

Specimen UC Davis_1862570: postnatal adult; Arap1tm1b(EUCOMM)Wtsi/Arap1+ (more )
Structure Level Pattern Image Note
TS28: jejunum Present UC Davis_1862570

Specimen UC Davis_1862571: postnatal adult; Arap1tm1b(EUCOMM)Wtsi/Arap1+ (more )
Structure Level Pattern Image Note
TS28: ileum Present UC Davis_1862571

Specimen UC Davis_1862572: postnatal adult; Arap1tm1b(EUCOMM)Wtsi/Arap1+ (more )
Structure Level Pattern Image Note
TS28: cecum Present UC Davis_1862572

Specimen UC Davis_1862573: postnatal adult; Arap1tm1b(EUCOMM)Wtsi/Arap1+ (more )
Structure Level Pattern Image Note
TS28: colon Present UC Davis_1862573

Specimen UC Davis_1862574: postnatal adult; Arap1tm1b(EUCOMM)Wtsi/Arap1+ (more )
Structure Level Pattern Image Note
TS28: mesenteric lymph node Present UC Davis_1862574

Specimen UC Davis_1862575: postnatal adult; Arap1tm1b(EUCOMM)Wtsi/Arap1+ (more )
Structure Level Pattern Image Note
TS28: bladder Present UC Davis_1862575

Specimen UC Davis_1862576: postnatal adult; Arap1tm1b(EUCOMM)Wtsi/Arap1+ (more )
Structure Level Pattern Image Note
TS28: gonadal fat pad Present UC Davis_1862576

Specimen UC Davis_1862577: postnatal adult; Arap1tm1b(EUCOMM)Wtsi/Arap1+ (more )
Structure Level Pattern Image Note
TS28: ovary Present UC Davis_1862577

Specimen UC Davis_1862578: postnatal adult; Arap1tm1b(EUCOMM)Wtsi/Arap1+ (more )
Structure Level Pattern Image Note
TS28: ovary Present UC Davis_1862578

Specimen UC Davis_1862579: postnatal adult; Arap1tm1b(EUCOMM)Wtsi/Arap1+ (more )
Structure Level Pattern Image Note
TS28: oviduct Present UC Davis_1862579

Specimen UC Davis_1862580: postnatal adult; Arap1tm1b(EUCOMM)Wtsi/Arap1+ (more )
Structure Level Pattern Image Note
TS28: oviduct Present UC Davis_1862580

Specimen UC Davis_1862581: postnatal adult; Arap1tm1b(EUCOMM)Wtsi/Arap1+ (more )
Structure Level Pattern Image Note
TS28: uterus Present UC Davis_1862581

Specimen UC Davis_1862582: postnatal adult; Arap1tm1b(EUCOMM)Wtsi/Arap1+ (more )
Structure Level Pattern Image Note
TS28: uterus Present UC Davis_1862582

Specimen UC Davis_1862583: postnatal adult; Arap1tm1b(EUCOMM)Wtsi/Arap1+ (more )
Structure Level Pattern Image Note
TS28: gallbladder Present UC Davis_1862583

Specimen UC Davis_1862588: postnatal adult; Arap1tm1b(EUCOMM)Wtsi/Arap1+ (more )
Structure Level Pattern Image Note
TS28: thoracic segment skeleton Present UC Davis_1862588 chest bone

Specimen UC Davis_1862451: postnatal adult; Arap1tm1b(EUCOMM)Wtsi/Arap1+ (more )
Structure Level Pattern Image Note
TS28: submandibular gland Present UC Davis_1862451

Specimen UC Davis_1862452: postnatal adult; Arap1tm1b(EUCOMM)Wtsi/Arap1+ (more )
Structure Level Pattern Image Note
TS28: submandibular gland Present UC Davis_1862452

Specimen UC Davis_1862453: postnatal adult; Arap1tm1b(EUCOMM)Wtsi/Arap1+ (more )
Structure Level Pattern Image Note
TS28: submandibular gland Present UC Davis_1862453

Specimen UC Davis_1862454: postnatal adult; Arap1tm1b(EUCOMM)Wtsi/Arap1+ (more )
Structure Level Pattern Image Note
TS28: sublingual gland Present UC Davis_1862454

Specimen UC Davis_1862455: postnatal adult; Arap1tm1b(EUCOMM)Wtsi/Arap1+ (more )
Structure Level Pattern Image Note
TS28: sublingual gland Present UC Davis_1862455

Specimen UC Davis_1862456: postnatal adult; Arap1tm1b(EUCOMM)Wtsi/Arap1+ (more )
Structure Level Pattern Image Note
TS28: sublingual gland Present UC Davis_1862456

Specimen UC Davis_1862457: postnatal adult; Arap1tm1b(EUCOMM)Wtsi/Arap1+ (more )
Structure Level Pattern Image Note
TS28: parotid gland Present UC Davis_1862457

Specimen UC Davis_1862458: postnatal adult; Arap1tm1b(EUCOMM)Wtsi/Arap1+ (more )
Structure Level Pattern Image Note
TS28: parotid gland Present UC Davis_1862458

Specimen UC Davis_1862459: postnatal adult; Arap1tm1b(EUCOMM)Wtsi/Arap1+ (more )
Structure Level Pattern Image Note
TS28: parotid gland Present UC Davis_1862459

Specimen UC Davis_1862460: postnatal adult; Arap1tm1b(EUCOMM)Wtsi/Arap1+ (more )
Structure Level Pattern Image Note
TS28: trachea Present UC Davis_1862460

Specimen UC Davis_1862461: postnatal adult; Arap1tm1b(EUCOMM)Wtsi/Arap1+ (more )
Structure Level Pattern Image Note
TS28: trachea Present UC Davis_1862461

Specimen UC Davis_1862462: postnatal adult; Arap1tm1b(EUCOMM)Wtsi/Arap1+ (more )
Structure Level Pattern Image Note
TS28: trachea Present UC Davis_1862462

Specimen UC Davis_1862463: postnatal adult; Arap1tm1b(EUCOMM)Wtsi/Arap1+ (more )
Structure Level Pattern Image Note
TS28: esophagus Present UC Davis_1862463

Specimen UC Davis_1862464: postnatal adult; Arap1tm1b(EUCOMM)Wtsi/Arap1+ (more )
Structure Level Pattern Image Note
TS28: esophagus Present UC Davis_1862464

Specimen UC Davis_1862465: postnatal adult; Arap1tm1b(EUCOMM)Wtsi/Arap1+ (more )
Structure Level Pattern Image Note
TS28: esophagus Present UC Davis_1862465

Specimen UC Davis_1862470: postnatal adult; Arap1tm1b(EUCOMM)Wtsi/Arap1+ (more )
Structure Level Pattern Image Note
TS28: aorta Present UC Davis_1862470

Specimen UC Davis_1862471: postnatal adult; Arap1tm1b(EUCOMM)Wtsi/Arap1+ (more )
Structure Level Pattern Image Note
TS28: lung Present UC Davis_1862471

Specimen UC Davis_1862472: postnatal adult; Arap1tm1b(EUCOMM)Wtsi/Arap1+ (more )
Structure Level Pattern Image Note
TS28: lung Present UC Davis_1862472

Specimen UC Davis_1862473: postnatal adult; Arap1tm1b(EUCOMM)Wtsi/Arap1+ (more )
Structure Level Pattern Image Note
TS28: thymus Present UC Davis_1862473

Specimen UC Davis_1862479: postnatal adult; Arap1tm1b(EUCOMM)Wtsi/Arap1+ (more )
Structure Level Pattern Image Note
TS28: stomach Present UC Davis_1862479

Specimen UC Davis_1862480: postnatal adult; Arap1tm1b(EUCOMM)Wtsi/Arap1+ (more )
Structure Level Pattern Image Note
TS28: stomach Present UC Davis_1862480

Specimen UC Davis_1862481: postnatal adult; Arap1tm1b(EUCOMM)Wtsi/Arap1+ (more )
Structure Level Pattern Image Note
TS28: stomach Present UC Davis_1862481

Specimen UC Davis_1862482: postnatal adult; Arap1tm1b(EUCOMM)Wtsi/Arap1+ (more )
Structure Level Pattern Image Note
TS28: jejunum Present UC Davis_1862482

Specimen UC Davis_1862483: postnatal adult; Arap1tm1b(EUCOMM)Wtsi/Arap1+ (more )
Structure Level Pattern Image Note
TS28: colon Present UC Davis_1862483

Specimen UC Davis_1862484: postnatal adult; Arap1tm1b(EUCOMM)Wtsi/Arap1+ (more )
Structure Level Pattern Image Note
TS28: colon Present UC Davis_1862484

Specimen UC Davis_1862485: postnatal adult; Arap1tm1b(EUCOMM)Wtsi/Arap1+ (more )
Structure Level Pattern Image Note
TS28: colon Present UC Davis_1862485

Specimen UC Davis_1862486: postnatal adult; Arap1tm1b(EUCOMM)Wtsi/Arap1+ (more )
Structure Level Pattern Image Note
TS28: spleen Present UC Davis_1862486

Specimen UC Davis_1862487: postnatal adult; Arap1tm1b(EUCOMM)Wtsi/Arap1+ (more )
Structure Level Pattern Image Note
TS28: spleen Present UC Davis_1862487

Specimen UC Davis_1862488: postnatal adult; Arap1tm1b(EUCOMM)Wtsi/Arap1+ (more )
Structure Level Pattern Image Note
TS28: pancreas Present UC Davis_1862488

Specimen UC Davis_1862489: postnatal adult; Arap1tm1b(EUCOMM)Wtsi/Arap1+ (more )
Structure Level Pattern Image Note
TS28: liver Present UC Davis_1862489

Specimen UC Davis_1862490: postnatal adult; Arap1tm1b(EUCOMM)Wtsi/Arap1+ (more )
Structure Level Pattern Image Note
TS28: metanephros Present UC Davis_1862490 kidney

Specimen UC Davis_1862491: postnatal adult; Arap1tm1b(EUCOMM)Wtsi/Arap1+ (more )
Structure Level Pattern Image Note
TS28: metanephros Present UC Davis_1862491 kidney

Specimen UC Davis_1862492: postnatal adult; Arap1tm1b(EUCOMM)Wtsi/Arap1+ (more )
Structure Level Pattern Image Note
TS28: metanephros Present UC Davis_1862492 kidney

Specimen UC Davis_1862493: postnatal adult; Arap1tm1b(EUCOMM)Wtsi/Arap1+ (more )
Structure Level Pattern Image Note
TS28: metanephros Present UC Davis_1862493 kidney

Specimen UC Davis_1862494: postnatal adult; Arap1tm1b(EUCOMM)Wtsi/Arap1+ (more )
Structure Level Pattern Image Note
TS28: adrenal gland Present UC Davis_1862494

Specimen UC Davis_1862495: postnatal adult; Arap1tm1b(EUCOMM)Wtsi/Arap1+ (more )
Structure Level Pattern Image Note
TS28: adrenal gland Present UC Davis_1862495

Specimen UC Davis_1862496: postnatal adult; Arap1tm1b(EUCOMM)Wtsi/Arap1+ (more )
Structure Level Pattern Image Note
TS28: pituitary gland Present UC Davis_1862496

Specimen UC Davis_1862497: postnatal adult; Arap1tm1b(EUCOMM)Wtsi/Arap1+ (more )
Structure Level Pattern Image Note
TS28: pituitary gland Present UC Davis_1862497

Specimen UC Davis_1862498: postnatal adult; Arap1tm1b(EUCOMM)Wtsi/Arap1+ (more )
Structure Level Pattern Image Note
TS28: pituitary gland Present UC Davis_1862498

Specimen UC Davis_1862499: postnatal adult; Arap1tm1b(EUCOMM)Wtsi/Arap1+ (more )
Structure Level Pattern Image Note
TS28: spinal cord Present UC Davis_1862499

Specimen UC Davis_1862500: postnatal adult; Arap1tm1b(EUCOMM)Wtsi/Arap1+ (more )
Structure Level Pattern Image Note
TS28: spinal cord Present UC Davis_1862500

Specimen UC Davis_1862501: postnatal adult; Arap1tm1b(EUCOMM)Wtsi/Arap1+ (more )
Structure Level Pattern Image Note
TS28: Harderian gland Present UC Davis_1862501

Specimen UC Davis_1862502: postnatal adult; Arap1tm1b(EUCOMM)Wtsi/Arap1+ (more )
Structure Level Pattern Image Note
TS28: Harderian gland Present UC Davis_1862502

Specimen UC Davis_1862503: postnatal adult; Arap1tm1b(EUCOMM)Wtsi/Arap1+ (more )
Structure Level Pattern Image Note
TS28: Harderian gland Present UC Davis_1862503

Specimen UC Davis_1862504: postnatal adult; Arap1tm1b(EUCOMM)Wtsi/Arap1+ (more )
Structure Level Pattern Image Note
TS28: olfactory lobe Present UC Davis_1862504

Specimen UC Davis_1862505: postnatal adult; Arap1tm1b(EUCOMM)Wtsi/Arap1+ (more )
Structure Level Pattern Image Note
TS28: olfactory lobe Present UC Davis_1862505

Specimen UC Davis_1862508: postnatal adult; Arap1tm1b(EUCOMM)Wtsi/Arap1+ (more )
Structure Level Pattern Image Note
TS28: midbrain Present UC Davis_1862508

Specimen UC Davis_1862509: postnatal adult; Arap1tm1b(EUCOMM)Wtsi/Arap1+ (more )
Structure Level Pattern Image Note
TS28: midbrain Present UC Davis_1862509

Specimen UC Davis_1862510: postnatal adult; Arap1tm1b(EUCOMM)Wtsi/Arap1+ (more )
Structure Level Pattern Image Note
TS28: midbrain Present UC Davis_1862510

Specimen UC Davis_1862513: postnatal adult; Arap1tm1b(EUCOMM)Wtsi/Arap1+ (more )
Structure Level Pattern Image Note
TS28: cerebellum Present UC Davis_1862513

Specimen UC Davis_1862514: postnatal adult; Arap1tm1b(EUCOMM)Wtsi/Arap1+ (more )
Structure Level Pattern Image Note
TS28: cerebellum Present UC Davis_1862514

Specimen UC Davis_1862515: postnatal adult; Arap1tm1b(EUCOMM)Wtsi/Arap1+ (more )
Structure Level Pattern Image Note
TS28: bladder Present UC Davis_1862515

Specimen UC Davis_1862516: postnatal adult; Arap1tm1b(EUCOMM)Wtsi/Arap1+ (more )
Structure Level Pattern Image Note
TS28: bladder Present UC Davis_1862516

Specimen UC Davis_1862517: postnatal adult; Arap1tm1b(EUCOMM)Wtsi/Arap1+ (more )
Structure Level Pattern Image Note
TS28: testis Present UC Davis_1862517

Specimen UC Davis_1862518: postnatal adult; Arap1tm1b(EUCOMM)Wtsi/Arap1+ (more )
Structure Level Pattern Image Note
TS28: testis Present UC Davis_1862518

Specimen UC Davis_1862519: postnatal adult; Arap1tm1b(EUCOMM)Wtsi/Arap1+ (more )
Structure Level Pattern Image Note
TS28: epididymis Present UC Davis_1862519

Specimen UC Davis_1862520: postnatal adult; Arap1tm1b(EUCOMM)Wtsi/Arap1+ (more )
Structure Level Pattern Image Note
TS28: epididymis Present UC Davis_1862520

Specimen UC Davis_1862521: postnatal adult; Arap1tm1b(EUCOMM)Wtsi/Arap1+ (more )
Structure Level Pattern Image Note
TS28: epididymis Present UC Davis_1862521

Specimen UC Davis_1862522: postnatal adult; Arap1tm1b(EUCOMM)Wtsi/Arap1+ (more )
Structure Level Pattern Image Note
TS28: prostate gland Present UC Davis_1862522

Specimen UC Davis_1862523: postnatal adult; Arap1tm1b(EUCOMM)Wtsi/Arap1+ (more )
Structure Level Pattern Image Note
TS28: prostate gland Present UC Davis_1862523

Specimen UC Davis_1862524: postnatal adult; Arap1tm1b(EUCOMM)Wtsi/Arap1+ (more )
Structure Level Pattern Image Note
TS28: prostate gland Present UC Davis_1862524

Specimen UC Davis_1862525: postnatal adult; Arap1tm1b(EUCOMM)Wtsi/Arap1+ (more )
Structure Level Pattern Image Note
TS28: penis Present UC Davis_1862525

Specimen UC Davis_1862526: postnatal adult; Arap1tm1b(EUCOMM)Wtsi/Arap1+ (more )
Structure Level Pattern Image Note
TS28: penis Present UC Davis_1862526

Specimen UC Davis_1862527: postnatal adult; Arap1tm1b(EUCOMM)Wtsi/Arap1+ (more )
Structure Level Pattern Image Note
TS28: penis Present UC Davis_1862527

Specimen UC Davis_1862528: postnatal adult; Arap1tm1b(EUCOMM)Wtsi/Arap1+ (more )
Structure Level Pattern Image Note
TS28: ductus deferens Present UC Davis_1862528 vas deferens

Specimen UC Davis_1862529: postnatal adult; Arap1tm1b(EUCOMM)Wtsi/Arap1+ (more )
Structure Level Pattern Image Note
TS28: ductus deferens Present UC Davis_1862529 vas deferens

Specimen UC Davis_1862530: postnatal adult; Arap1tm1b(EUCOMM)Wtsi/Arap1+ (more )
Structure Level Pattern Image Note
TS28: ductus deferens Present UC Davis_1862530 vas deferens

Specimen UC Davis_1862535: postnatal adult; Arap1tm1b(EUCOMM)Wtsi/Arap1+ (more )
Structure Level Pattern Image Note
TS28: seminal vesicle Present UC Davis_1862535 vesicular gland

Specimen UC Davis_1862536: postnatal adult; Arap1tm1b(EUCOMM)Wtsi/Arap1+ (more )
Structure Level Pattern Image Note
TS28: seminal vesicle Present UC Davis_1862536 vesicular gland

Specimen UC Davis_1862594: postnatal adult; Arap1tm1b(EUCOMM)Wtsi/Arap1+ (more )
Structure Level Pattern Image Note
TS28: trachea Present UC Davis_1862594

Specimen UC Davis_1862596: postnatal adult; Arap1tm1b(EUCOMM)Wtsi/Arap1+ (more )
Structure Level Pattern Image Note
TS28: thyroid gland Present UC Davis_1862596

Specimen UC Davis_1862597: postnatal adult; Arap1tm1b(EUCOMM)Wtsi/Arap1+ (more )
Structure Level Pattern Image Note
TS28: pituitary gland Present UC Davis_1862597

Specimen UC Davis_1862598: postnatal adult; Arap1tm1b(EUCOMM)Wtsi/Arap1+ (more )
Structure Level Pattern Image Note
TS28: bladder Present UC Davis_1862598

Specimen UC Davis_1862599: postnatal adult; Arap1tm1b(EUCOMM)Wtsi/Arap1+ (more )
Structure Level Pattern Image Note
TS28: gonadal fat pad Present UC Davis_1862599

Specimen UC Davis_1862600: postnatal adult; Arap1tm1b(EUCOMM)Wtsi/Arap1+ (more )
Structure Level Pattern Image Note
TS28: testis Present UC Davis_1862600

Specimen UC Davis_1862601: postnatal adult; Arap1tm1b(EUCOMM)Wtsi/Arap1+ (more )
Structure Level Pattern Image Note
TS28: prostate gland Present UC Davis_1862601

Specimen UC Davis_1862602: postnatal adult; Arap1tm1b(EUCOMM)Wtsi/Arap1+ (more )
Structure Level Pattern Image Note
TS28: seminal vesicle Present UC Davis_1862602 vesicular gland

Specimen UC Davis_1862603: postnatal adult; Arap1tm1b(EUCOMM)Wtsi/Arap1+ (more )
Structure Level Pattern Image Note
TS28: epididymis Present UC Davis_1862603

Specimen UC Davis_1862604: postnatal adult; Arap1tm1b(EUCOMM)Wtsi/Arap1+ (more )
Structure Level Pattern Image Note
TS28: ductus deferens Present UC Davis_1862604 vas deferens


Contributing Projects:
Mouse Genome Database (MGD), Gene Expression Database (GXD), Mouse Models of Human Cancer database (MMHCdb) (formerly Mouse Tumor Biology (MTB)), Gene Ontology (GO)
Citing These Resources
Funding Information
Warranty Disclaimer, Privacy Notice, Licensing, & Copyright
Send questions and comments to User Support.
last database update
10/07/2025
MGI 6.24
The Jackson Laboratory