About   Help   FAQ
Gene Expression Data
Assay Details
Assay
Reference: J:228563 Koscielny G, et al., The International Mouse Phenotyping Consortium Web Portal, a unified point of access for knockout mice and related phenotyping data. Nucleic Acids Res. 2014 Jan;42(Database issue):D802-9
Assay type: In situ reporter (knock in)
MGI Accession ID: MGI:6691879
Gene symbol: Arhgef12
Gene name: Rho guanine nucleotide exchange factor 12
Reporter: lacZ
Direct Detection
Results
Specimen UC Davis_1886797: postnatal adult; Arhgef12tm1b(KOMP)Wtsi/Arhgef12+ (more )
Structure Level Pattern Image Note
TS28: submandibular gland Present UC Davis_1886797

Specimen UC Davis_1886798: postnatal adult; Arhgef12tm1b(KOMP)Wtsi/Arhgef12+ (more )
Structure Level Pattern Image Note
TS28: submandibular gland Present UC Davis_1886798

Specimen UC Davis_1886799: postnatal adult; Arhgef12tm1b(KOMP)Wtsi/Arhgef12+ (more )
Structure Level Pattern Image Note
TS28: sublingual gland Present UC Davis_1886799

Specimen UC Davis_1886800: postnatal adult; Arhgef12tm1b(KOMP)Wtsi/Arhgef12+ (more )
Structure Level Pattern Image Note
TS28: parotid gland Present UC Davis_1886800

Specimen UC Davis_1886801: postnatal adult; Arhgef12tm1b(KOMP)Wtsi/Arhgef12+ (more )
Structure Level Pattern Image Note
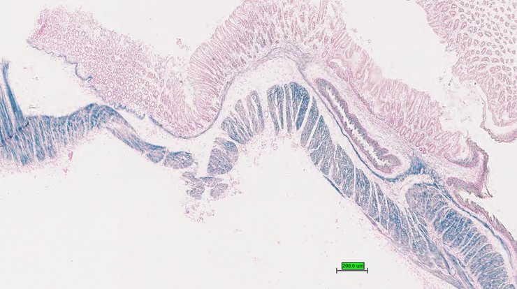
TS28: esophagus Present UC Davis_1886801

Specimen UC Davis_1886802: postnatal adult; Arhgef12tm1b(KOMP)Wtsi/Arhgef12+ (more )
Structure Level Pattern Image Note
TS28: esophagus Present UC Davis_1886802

Specimen UC Davis_1886803: postnatal adult; Arhgef12tm1b(KOMP)Wtsi/Arhgef12+ (more )
Structure Level Pattern Image Note
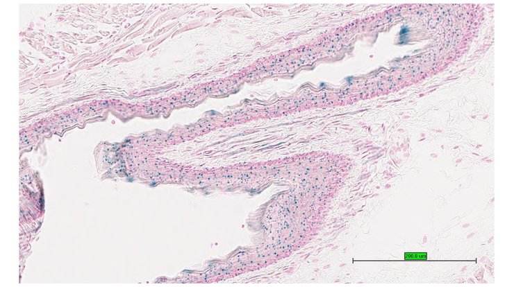
TS28: aorta Present UC Davis_1886803

Specimen UC Davis_1886804: postnatal adult; Arhgef12tm1b(KOMP)Wtsi/Arhgef12+ (more )
Structure Level Pattern Image Note
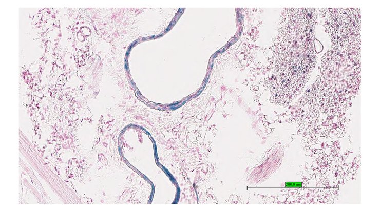
TS28: lung Present UC Davis_1886804

Specimen UC Davis_1886805: postnatal adult; Arhgef12tm1b(KOMP)Wtsi/Arhgef12+ (more )
Structure Level Pattern Image Note
TS28: lung Present UC Davis_1886805

Specimen UC Davis_1886806: postnatal adult; Arhgef12tm1b(KOMP)Wtsi/Arhgef12+ (more )
Structure Level Pattern Image Note
TS28: lung Present UC Davis_1886806

Specimen UC Davis_1886807: postnatal adult; Arhgef12tm1b(KOMP)Wtsi/Arhgef12+ (more )
Structure Level Pattern Image Note
TS28: lung Present UC Davis_1886807

Specimen UC Davis_1886808: postnatal adult; Arhgef12tm1b(KOMP)Wtsi/Arhgef12+ (more )
Structure Level Pattern Image Note
TS28: thymus Present UC Davis_1886808

Specimen UC Davis_1886812: postnatal adult; Arhgef12tm1b(KOMP)Wtsi/Arhgef12+ (more )
Structure Level Pattern Image Note
TS28: stomach Present UC Davis_1886812

Specimen UC Davis_1886813: postnatal adult; Arhgef12tm1b(KOMP)Wtsi/Arhgef12+ (more )
Structure Level Pattern Image Note
TS28: stomach Present UC Davis_1886813

Specimen UC Davis_1886814: postnatal adult; Arhgef12tm1b(KOMP)Wtsi/Arhgef12+ (more )
Structure Level Pattern Image Note
TS28: stomach Present UC Davis_1886814

Specimen UC Davis_1886815: postnatal adult; Arhgef12tm1b(KOMP)Wtsi/Arhgef12+ (more )
Structure Level Pattern Image Note
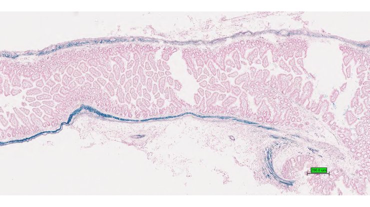
TS28: duodenum Present UC Davis_1886815

Specimen UC Davis_1886816: postnatal adult; Arhgef12tm1b(KOMP)Wtsi/Arhgef12+ (more )
Structure Level Pattern Image Note
TS28: jejunum Present UC Davis_1886816

Specimen UC Davis_1886817: postnatal adult; Arhgef12tm1b(KOMP)Wtsi/Arhgef12+ (more )
Structure Level Pattern Image Note
TS28: jejunum Present UC Davis_1886817

Specimen UC Davis_1886818: postnatal adult; Arhgef12tm1b(KOMP)Wtsi/Arhgef12+ (more )
Structure Level Pattern Image Note
TS28: jejunum Present UC Davis_1886818

Specimen UC Davis_1886819: postnatal adult; Arhgef12tm1b(KOMP)Wtsi/Arhgef12+ (more )
Structure Level Pattern Image Note
TS28: ileum Present UC Davis_1886819

Specimen UC Davis_1886820: postnatal adult; Arhgef12tm1b(KOMP)Wtsi/Arhgef12+ (more )
Structure Level Pattern Image Note
TS28: colon Present UC Davis_1886820

Specimen UC Davis_1886821: postnatal adult; Arhgef12tm1b(KOMP)Wtsi/Arhgef12+ (more )
Structure Level Pattern Image Note
TS28: colon Present UC Davis_1886821

Specimen UC Davis_1886822: postnatal adult; Arhgef12tm1b(KOMP)Wtsi/Arhgef12+ (more )
Structure Level Pattern Image Note
TS28: cecum Present UC Davis_1886822

Specimen UC Davis_1886823: postnatal adult; Arhgef12tm1b(KOMP)Wtsi/Arhgef12+ (more )
Structure Level Pattern Image Note
TS28: spleen Present UC Davis_1886823

Specimen UC Davis_1886824: postnatal adult; Arhgef12tm1b(KOMP)Wtsi/Arhgef12+ (more )
Structure Level Pattern Image Note
TS28: spleen Present UC Davis_1886824

Specimen UC Davis_1886825: postnatal adult; Arhgef12tm1b(KOMP)Wtsi/Arhgef12+ (more )
Structure Level Pattern Image Note
TS28: pancreas Present UC Davis_1886825

Specimen UC Davis_1886826: postnatal adult; Arhgef12tm1b(KOMP)Wtsi/Arhgef12+ (more )
Structure Level Pattern Image Note
TS28: metanephros Present UC Davis_1886826 kidney

Specimen UC Davis_1886827: postnatal adult; Arhgef12tm1b(KOMP)Wtsi/Arhgef12+ (more )
Structure Level Pattern Image Note
TS28: metanephros Present UC Davis_1886827 kidney

Specimen UC Davis_1886828: postnatal adult; Arhgef12tm1b(KOMP)Wtsi/Arhgef12+ (more )
Structure Level Pattern Image Note
TS28: adrenal gland Present UC Davis_1886828

Specimen UC Davis_1886829: postnatal adult; Arhgef12tm1b(KOMP)Wtsi/Arhgef12+ (more )
Structure Level Pattern Image Note
TS28: adrenal gland Present UC Davis_1886829

Specimen UC Davis_1886830: postnatal adult; Arhgef12tm1b(KOMP)Wtsi/Arhgef12+ (more )
Structure Level Pattern Image Note
TS28: pituitary gland Present UC Davis_1886830

Specimen UC Davis_1886831: postnatal adult; Arhgef12tm1b(KOMP)Wtsi/Arhgef12+ (more )
Structure Level Pattern Image Note
TS28: spinal cord Present UC Davis_1886831

Specimen UC Davis_1886832: postnatal adult; Arhgef12tm1b(KOMP)Wtsi/Arhgef12+ (more )
Structure Level Pattern Image Note
TS28: eye Present UC Davis_1886832

Specimen UC Davis_1886833: postnatal adult; Arhgef12tm1b(KOMP)Wtsi/Arhgef12+ (more )
Structure Level Pattern Image Note
TS28: eye Present UC Davis_1886833

Specimen UC Davis_1886834: postnatal adult; Arhgef12tm1b(KOMP)Wtsi/Arhgef12+ (more )
Structure Level Pattern Image Note
TS28: Harderian gland Present UC Davis_1886834

Specimen UC Davis_1886835: postnatal adult; Arhgef12tm1b(KOMP)Wtsi/Arhgef12+ (more )
Structure Level Pattern Image Note
TS28: gonadal fat pad Present UC Davis_1886835

Specimen UC Davis_1886836: postnatal adult; Arhgef12tm1b(KOMP)Wtsi/Arhgef12+ (more )
Structure Level Pattern Image Note
TS28: gonadal fat pad Present UC Davis_1886836

Specimen UC Davis_1886837: postnatal adult; Arhgef12tm1b(KOMP)Wtsi/Arhgef12+ (more )
Structure Level Pattern Image Note
TS28: gonadal fat pad Present UC Davis_1886837

Specimen UC Davis_1886838: postnatal adult; Arhgef12tm1b(KOMP)Wtsi/Arhgef12+ (more )
Structure Level Pattern Image Note
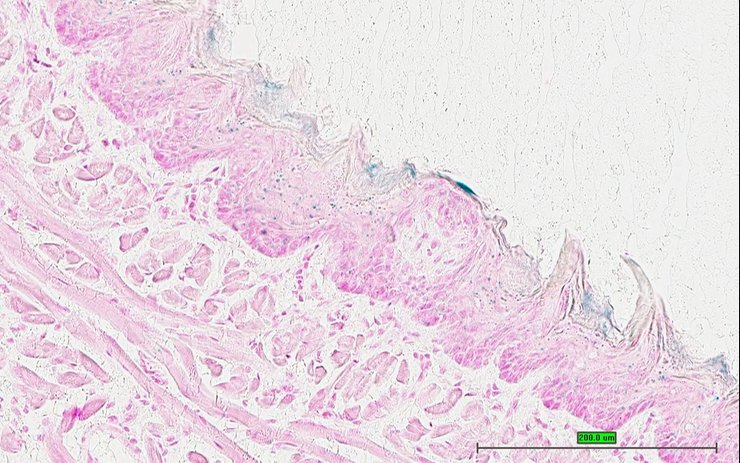
TS28: skin Present UC Davis_1886838

Specimen UC Davis_1886839: postnatal adult; Arhgef12tm1b(KOMP)Wtsi/Arhgef12+ (more )
Structure Level Pattern Image Note
TS28: skin Present UC Davis_1886839

Specimen UC Davis_1886840: postnatal adult; Arhgef12tm1b(KOMP)Wtsi/Arhgef12+ (more )
Structure Level Pattern Image Note
TS28: skin Present UC Davis_1886840

Specimen UC Davis_1886841: postnatal adult; Arhgef12tm1b(KOMP)Wtsi/Arhgef12+ (more )
Structure Level Pattern Image Note
TS28: skin Present UC Davis_1886841

Specimen UC Davis_1886842: postnatal adult; Arhgef12tm1b(KOMP)Wtsi/Arhgef12+ (more )
Structure Level Pattern Image Note
TS28: skin Present UC Davis_1886842

Specimen UC Davis_1886843: postnatal adult; Arhgef12tm1b(KOMP)Wtsi/Arhgef12+ (more )
Structure Level Pattern Image Note
TS28: brown fat Present UC Davis_1886843

Specimen UC Davis_1886844: postnatal adult; Arhgef12tm1b(KOMP)Wtsi/Arhgef12+ (more )
Structure Level Pattern Image Note
TS28: brown fat Present UC Davis_1886844

Specimen UC Davis_1886845: postnatal adult; Arhgef12tm1b(KOMP)Wtsi/Arhgef12+ (more )
Structure Level Pattern Image Note
TS28: olfactory lobe Present UC Davis_1886845

Specimen UC Davis_1886849: postnatal adult; Arhgef12tm1b(KOMP)Wtsi/Arhgef12+ (more )
Structure Level Pattern Image Note
TS28: midbrain Present UC Davis_1886849

Specimen UC Davis_1886851: postnatal adult; Arhgef12tm1b(KOMP)Wtsi/Arhgef12+ (more )
Structure Level Pattern Image Note
TS28: cerebellum Present UC Davis_1886851

Specimen UC Davis_1886852: postnatal adult; Arhgef12tm1b(KOMP)Wtsi/Arhgef12+ (more )
Structure Level Pattern Image Note
TS28: trigeminal nerve Present UC Davis_1886852

Specimen UC Davis_1886853: postnatal adult; Arhgef12tm1b(KOMP)Wtsi/Arhgef12+ (more )
Structure Level Pattern Image Note
TS28: ovary Present UC Davis_1886853

Specimen UC Davis_1886854: postnatal adult; Arhgef12tm1b(KOMP)Wtsi/Arhgef12+ (more )
Structure Level Pattern Image Note
TS28: ovary Present UC Davis_1886854

Specimen UC Davis_1886855: postnatal adult; Arhgef12tm1b(KOMP)Wtsi/Arhgef12+ (more )
Structure Level Pattern Image Note
TS28: oviduct Present UC Davis_1886855

Specimen UC Davis_1886856: postnatal adult; Arhgef12tm1b(KOMP)Wtsi/Arhgef12+ (more )
Structure Level Pattern Image Note
TS28: oviduct Present UC Davis_1886856

Specimen UC Davis_1886857: postnatal adult; Arhgef12tm1b(KOMP)Wtsi/Arhgef12+ (more )
Structure Level Pattern Image Note
TS28: uterus Present UC Davis_1886857

Specimen UC Davis_1886858: postnatal adult; Arhgef12tm1b(KOMP)Wtsi/Arhgef12+ (more )
Structure Level Pattern Image Note
TS28: uterus Present UC Davis_1886858

Specimen UC Davis_1886859: postnatal adult; Arhgef12tm1b(KOMP)Wtsi/Arhgef12+ (more )
Structure Level Pattern Image Note
TS28: vagina Present UC Davis_1886859

Specimen UC Davis_1886860: postnatal adult; Arhgef12tm1b(KOMP)Wtsi/Arhgef12+ (more )
Structure Level Pattern Image Note
TS28: vagina Present UC Davis_1886860

Specimen UC Davis_1886861: postnatal adult; Arhgef12tm1b(KOMP)Wtsi/Arhgef12+ (more )
Structure Level Pattern Image Note
TS28: bladder Present UC Davis_1886861

Specimen UC Davis_1886862: postnatal adult; Arhgef12tm1b(KOMP)Wtsi/Arhgef12+ (more )
Structure Level Pattern Image Note
TS28: bladder Present UC Davis_1886862

Specimen UC Davis_1886863: postnatal adult; Arhgef12tm1b(KOMP)Wtsi/Arhgef12+ (more )
Structure Level Pattern Image Note
TS28: submandibular gland Present UC Davis_1886863

Specimen UC Davis_1886864: postnatal adult; Arhgef12tm1b(KOMP)Wtsi/Arhgef12+ (more )
Structure Level Pattern Image Note
TS28: submandibular gland Present UC Davis_1886864

Specimen UC Davis_1886865: postnatal adult; Arhgef12tm1b(KOMP)Wtsi/Arhgef12+ (more )
Structure Level Pattern Image Note
TS28: sublingual gland Present UC Davis_1886865

Specimen UC Davis_1886866: postnatal adult; Arhgef12tm1b(KOMP)Wtsi/Arhgef12+ (more )
Structure Level Pattern Image Note
TS28: parotid gland Present UC Davis_1886866

Specimen UC Davis_1886867: postnatal adult; Arhgef12tm1b(KOMP)Wtsi/Arhgef12+ (more )
Structure Level Pattern Image Note
TS28: trachea Present UC Davis_1886867

Specimen UC Davis_1886868: postnatal adult; Arhgef12tm1b(KOMP)Wtsi/Arhgef12+ (more )
Structure Level Pattern Image Note
TS28: esophagus Present UC Davis_1886868

Specimen UC Davis_1886869: postnatal adult; Arhgef12tm1b(KOMP)Wtsi/Arhgef12+ (more )
Structure Level Pattern Image Note
TS28: thyroid gland Present UC Davis_1886869

Specimen UC Davis_1886871: postnatal adult; Arhgef12tm1b(KOMP)Wtsi/Arhgef12+ (more )
Structure Level Pattern Image Note
TS28: aorta Present UC Davis_1886871

Specimen UC Davis_1886872: postnatal adult; Arhgef12tm1b(KOMP)Wtsi/Arhgef12+ (more )
Structure Level Pattern Image Note
TS28: aorta Present UC Davis_1886872

Specimen UC Davis_1886873: postnatal adult; Arhgef12tm1b(KOMP)Wtsi/Arhgef12+ (more )
Structure Level Pattern Image Note
TS28: lung Present UC Davis_1886873

Specimen UC Davis_1886874: postnatal adult; Arhgef12tm1b(KOMP)Wtsi/Arhgef12+ (more )
Structure Level Pattern Image Note
TS28: lung Present UC Davis_1886874

Specimen UC Davis_1886875: postnatal adult; Arhgef12tm1b(KOMP)Wtsi/Arhgef12+ (more )
Structure Level Pattern Image Note
TS28: thymus Present UC Davis_1886875

Specimen UC Davis_1886879: postnatal adult; Arhgef12tm1b(KOMP)Wtsi/Arhgef12+ (more )
Structure Level Pattern Image Note
TS28: stomach Present UC Davis_1886879

Specimen UC Davis_1886880: postnatal adult; Arhgef12tm1b(KOMP)Wtsi/Arhgef12+ (more )
Structure Level Pattern Image Note
TS28: stomach Present UC Davis_1886880

Specimen UC Davis_1886881: postnatal adult; Arhgef12tm1b(KOMP)Wtsi/Arhgef12+ (more )
Structure Level Pattern Image Note
TS28: duodenum Present UC Davis_1886881

Specimen UC Davis_1886882: postnatal adult; Arhgef12tm1b(KOMP)Wtsi/Arhgef12+ (more )
Structure Level Pattern Image Note
TS28: jejunum Present UC Davis_1886882

Specimen UC Davis_1886883: postnatal adult; Arhgef12tm1b(KOMP)Wtsi/Arhgef12+ (more )
Structure Level Pattern Image Note
TS28: ileum Present UC Davis_1886883

Specimen UC Davis_1886884: postnatal adult; Arhgef12tm1b(KOMP)Wtsi/Arhgef12+ (more )
Structure Level Pattern Image Note
TS28: colon Present UC Davis_1886884

Specimen UC Davis_1886885: postnatal adult; Arhgef12tm1b(KOMP)Wtsi/Arhgef12+ (more )
Structure Level Pattern Image Note
TS28: cecum Present UC Davis_1886885

Specimen UC Davis_1886886: postnatal adult; Arhgef12tm1b(KOMP)Wtsi/Arhgef12+ (more )
Structure Level Pattern Image Note
TS28: spleen Present UC Davis_1886886

Specimen UC Davis_1886887: postnatal adult; Arhgef12tm1b(KOMP)Wtsi/Arhgef12+ (more )
Structure Level Pattern Image Note
TS28: spleen Present UC Davis_1886887

Specimen UC Davis_1886888: postnatal adult; Arhgef12tm1b(KOMP)Wtsi/Arhgef12+ (more )
Structure Level Pattern Image Note
TS28: spleen Present UC Davis_1886888

Specimen UC Davis_1886889: postnatal adult; Arhgef12tm1b(KOMP)Wtsi/Arhgef12+ (more )
Structure Level Pattern Image Note
TS28: pancreas Present UC Davis_1886889

Specimen UC Davis_1886890: postnatal adult; Arhgef12tm1b(KOMP)Wtsi/Arhgef12+ (more )
Structure Level Pattern Image Note
TS28: pancreas Present UC Davis_1886890

Specimen UC Davis_1886891: postnatal adult; Arhgef12tm1b(KOMP)Wtsi/Arhgef12+ (more )
Structure Level Pattern Image Note
TS28: liver Present UC Davis_1886891

Specimen UC Davis_1886892: postnatal adult; Arhgef12tm1b(KOMP)Wtsi/Arhgef12+ (more )
Structure Level Pattern Image Note
TS28: liver Present UC Davis_1886892

Specimen UC Davis_1886893: postnatal adult; Arhgef12tm1b(KOMP)Wtsi/Arhgef12+ (more )
Structure Level Pattern Image Note
TS28: metanephros Present UC Davis_1886893 kidney

Specimen UC Davis_1886894: postnatal adult; Arhgef12tm1b(KOMP)Wtsi/Arhgef12+ (more )
Structure Level Pattern Image Note
TS28: metanephros Present UC Davis_1886894 kidney

Specimen UC Davis_1886895: postnatal adult; Arhgef12tm1b(KOMP)Wtsi/Arhgef12+ (more )
Structure Level Pattern Image Note
TS28: metanephros Present UC Davis_1886895 kidney

Specimen UC Davis_1886896: postnatal adult; Arhgef12tm1b(KOMP)Wtsi/Arhgef12+ (more )
Structure Level Pattern Image Note
TS28: quadriceps femoris muscle Present UC Davis_1886896

Specimen UC Davis_1886897: postnatal adult; Arhgef12tm1b(KOMP)Wtsi/Arhgef12+ (more )
Structure Level Pattern Image Note
TS28: tongue Present UC Davis_1886897

Specimen UC Davis_1886898: postnatal adult; Arhgef12tm1b(KOMP)Wtsi/Arhgef12+ (more )
Structure Level Pattern Image Note
TS28: diaphragm Present UC Davis_1886898

Specimen UC Davis_1886899: postnatal adult; Arhgef12tm1b(KOMP)Wtsi/Arhgef12+ (more )
Structure Level Pattern Image Note
TS28: adrenal gland Present UC Davis_1886899

Specimen UC Davis_1886900: postnatal adult; Arhgef12tm1b(KOMP)Wtsi/Arhgef12+ (more )
Structure Level Pattern Image Note
TS28: spinal cord Present UC Davis_1886900

Specimen UC Davis_1886901: postnatal adult; Arhgef12tm1b(KOMP)Wtsi/Arhgef12+ (more )
Structure Level Pattern Image Note
TS28: spinal cord Present UC Davis_1886901

Specimen UC Davis_1886902: postnatal adult; Arhgef12tm1b(KOMP)Wtsi/Arhgef12+ (more )
Structure Level Pattern Image Note
TS28: eye Present UC Davis_1886902

Specimen UC Davis_1886903: postnatal adult; Arhgef12tm1b(KOMP)Wtsi/Arhgef12+ (more )
Structure Level Pattern Image Note
TS28: eye Present UC Davis_1886903

Specimen UC Davis_1886904: postnatal adult; Arhgef12tm1b(KOMP)Wtsi/Arhgef12+ (more )
Structure Level Pattern Image Note
TS28: eye Present UC Davis_1886904

Specimen UC Davis_1886905: postnatal adult; Arhgef12tm1b(KOMP)Wtsi/Arhgef12+ (more )
Structure Level Pattern Image Note
TS28: eye Present UC Davis_1886905

Specimen UC Davis_1886907: postnatal adult; Arhgef12tm1b(KOMP)Wtsi/Arhgef12+ (more )
Structure Level Pattern Image Note
TS28: Harderian gland Present UC Davis_1886907

Specimen UC Davis_1886908: postnatal adult; Arhgef12tm1b(KOMP)Wtsi/Arhgef12+ (more )
Structure Level Pattern Image Note
TS28: Harderian gland Present UC Davis_1886908

Specimen UC Davis_1886909: postnatal adult; Arhgef12tm1b(KOMP)Wtsi/Arhgef12+ (more )
Structure Level Pattern Image Note
TS28: gonadal fat pad Present UC Davis_1886909

Specimen UC Davis_1886910: postnatal adult; Arhgef12tm1b(KOMP)Wtsi/Arhgef12+ (more )
Structure Level Pattern Image Note
TS28: mesenteric adipose tissue Present UC Davis_1886910

Specimen UC Davis_1886911: postnatal adult; Arhgef12tm1b(KOMP)Wtsi/Arhgef12+ (more )
Structure Level Pattern Image Note
TS28: skin Present UC Davis_1886911

Specimen UC Davis_1886912: postnatal adult; Arhgef12tm1b(KOMP)Wtsi/Arhgef12+ (more )
Structure Level Pattern Image Note
TS28: skin Present UC Davis_1886912

Specimen UC Davis_1886913: postnatal adult; Arhgef12tm1b(KOMP)Wtsi/Arhgef12+ (more )
Structure Level Pattern Image Note
TS28: brown fat Present UC Davis_1886913

Specimen UC Davis_1886914: postnatal adult; Arhgef12tm1b(KOMP)Wtsi/Arhgef12+ (more )
Structure Level Pattern Image Note
TS28: brown fat Present UC Davis_1886914

Specimen UC Davis_1886918: postnatal adult; Arhgef12tm1b(KOMP)Wtsi/Arhgef12+ (more )
Structure Level Pattern Image Note
TS28: midbrain Present UC Davis_1886918

Specimen UC Davis_1886920: postnatal adult; Arhgef12tm1b(KOMP)Wtsi/Arhgef12+ (more )
Structure Level Pattern Image Note
TS28: cerebellum Present UC Davis_1886920

Specimen UC Davis_1886921: postnatal adult; Arhgef12tm1b(KOMP)Wtsi/Arhgef12+ (more )
Structure Level Pattern Image Note
TS28: trigeminal nerve Present UC Davis_1886921

Specimen UC Davis_1886922: postnatal adult; Arhgef12tm1b(KOMP)Wtsi/Arhgef12+ (more )
Structure Level Pattern Image Note
TS28: bladder Present UC Davis_1886922

Specimen UC Davis_1886923: postnatal adult; Arhgef12tm1b(KOMP)Wtsi/Arhgef12+ (more )
Structure Level Pattern Image Note
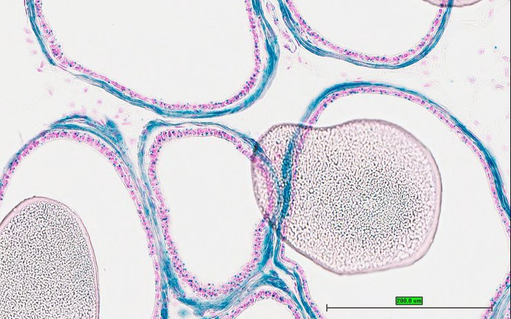
TS28: testis Present UC Davis_1886923

Specimen UC Davis_1886924: postnatal adult; Arhgef12tm1b(KOMP)Wtsi/Arhgef12+ (more )
Structure Level Pattern Image Note
TS28: epididymis Present UC Davis_1886924

Specimen UC Davis_1886925: postnatal adult; Arhgef12tm1b(KOMP)Wtsi/Arhgef12+ (more )
Structure Level Pattern Image Note
TS28: epididymis Present UC Davis_1886925

Specimen UC Davis_1886926: postnatal adult; Arhgef12tm1b(KOMP)Wtsi/Arhgef12+ (more )
Structure Level Pattern Image Note
TS28: prostate gland Present UC Davis_1886926

Specimen UC Davis_1886927: postnatal adult; Arhgef12tm1b(KOMP)Wtsi/Arhgef12+ (more )
Structure Level Pattern Image Note
TS28: prostate gland Present UC Davis_1886927

Specimen UC Davis_1886928: postnatal adult; Arhgef12tm1b(KOMP)Wtsi/Arhgef12+ (more )
Structure Level Pattern Image Note
TS28: penis Present UC Davis_1886928

Specimen UC Davis_1886929: postnatal adult; Arhgef12tm1b(KOMP)Wtsi/Arhgef12+ (more )
Structure Level Pattern Image Note
TS28: penis Present UC Davis_1886929

Specimen UC Davis_1886930: postnatal adult; Arhgef12tm1b(KOMP)Wtsi/Arhgef12+ (more )
Structure Level Pattern Image Note
TS28: penis Present UC Davis_1886930

Specimen UC Davis_1886931: postnatal adult; Arhgef12tm1b(KOMP)Wtsi/Arhgef12+ (more )
Structure Level Pattern Image Note
TS28: blood Present UC Davis_1886931

Specimen UC Davis_1886932: postnatal adult; Arhgef12tm1b(KOMP)Wtsi/Arhgef12+ (more )
Structure Level Pattern Image Note
TS28: blood Present UC Davis_1886932

Specimen UC Davis_1886933: postnatal adult; Arhgef12tm1b(KOMP)Wtsi/Arhgef12+ (more )
Structure Level Pattern Image Note
TS28: blood Present UC Davis_1886933

Specimen UC Davis_1886934: postnatal adult; Arhgef12tm1b(KOMP)Wtsi/Arhgef12+ (more )
Structure Level Pattern Image Note
TS28: ductus deferens Present UC Davis_1886934 vas deferens

Specimen UC Davis_1886936: postnatal adult; Arhgef12tm1b(KOMP)Wtsi/Arhgef12+ (more )
Structure Level Pattern Image Note
TS28: seminal vesicle Present UC Davis_1886936 vesicular gland


Contributing Projects:
Mouse Genome Database (MGD), Gene Expression Database (GXD), Mouse Models of Human Cancer database (MMHCdb) (formerly Mouse Tumor Biology (MTB)), Gene Ontology (GO)
Citing These Resources
Funding Information
Warranty Disclaimer, Privacy Notice, Licensing, & Copyright
Send questions and comments to User Support.
last database update
03/24/2026
MGI 6.24
The Jackson Laboratory