About   Help   FAQ
Gene Expression Data
Assay Details
Assay
Reference: J:228563 Koscielny G, et al., The International Mouse Phenotyping Consortium Web Portal, a unified point of access for knockout mice and related phenotyping data. Nucleic Acids Res. 2014 Jan;42(Database issue):D802-9
Assay type: In situ reporter (knock in)
MGI Accession ID: MGI:6691869
Gene symbol: Dcps
Gene name: decapping enzyme, scavenger
Reporter: lacZ
Direct Detection
Results
Specimen JAX_1469666: embryonic day 12.5; Dcpstm1b(EUCOMM)Hmgu/Dcps+ (more )
Structure Level Pattern Image Note
TS20: embryo Present JAX_1469666

Specimen JAX_1469667: embryonic day 12.5; Dcpstm1b(EUCOMM)Hmgu/Dcps+ (more )
Structure Level Pattern Image Note
TS20: embryo Present JAX_1469667

Specimen JAX_1469668: embryonic day 12.5; Dcpstm1b(EUCOMM)Hmgu/Dcps+ (more )
Structure Level Pattern Image Note
TS20: embryo Present JAX_1469668

Specimen JAX_1469669: embryonic day 12.5; Dcpstm1b(EUCOMM)Hmgu/Dcps+ (more )
Structure Level Pattern Image Note
TS20: embryo Present JAX_1469669

Specimen JAX_1801314: postnatal adult; Dcpstm1b(EUCOMM)Hmgu/Dcps+ (more )
Structure Level Pattern Image Note
TS28: thalamus Present JAX_1801314

Specimen JAX_1801315: postnatal adult; Dcpstm1b(EUCOMM)Hmgu/Dcps+ (more )
Structure Level Pattern Image Note
TS28: midbrain Present JAX_1801315

Specimen JAX_1801316: postnatal adult; Dcpstm1b(EUCOMM)Hmgu/Dcps+ (more )
Structure Level Pattern Image Note
TS28: vascular system Present JAX_1801316

Specimen JAX_1801317: postnatal adult; Dcpstm1b(EUCOMM)Hmgu/Dcps+ (more )
Structure Level Pattern Image Note
TS28: corpus striatum Present JAX_1801317

Specimen JAX_1801318: postnatal adult; Dcpstm1b(EUCOMM)Hmgu/Dcps+ (more )
Structure Level Pattern Image Note
TS28: olfactory lobe Present JAX_1801318

Specimen JAX_1801319: postnatal adult; Dcpstm1b(EUCOMM)Hmgu/Dcps+ (more )
Structure Level Pattern Image Note
TS28: hypothalamus Present JAX_1801319

Specimen JAX_1801320: postnatal adult; Dcpstm1b(EUCOMM)Hmgu/Dcps+ (more )
Structure Level Pattern Image Note
TS28: hippocampus Present JAX_1801320

Specimen JAX_1801321: postnatal adult; Dcpstm1b(EUCOMM)Hmgu/Dcps+ (more )
Structure Level Pattern Image Note
TS28: cerebellum Present JAX_1801321

Specimen JAX_1801322: postnatal adult; Dcpstm1b(EUCOMM)Hmgu/Dcps+ (more )
Structure Level Pattern Image Note
TS28: cerebral cortex Present JAX_1801322

Specimen JAX_1801323: postnatal adult; Dcpstm1b(EUCOMM)Hmgu/Dcps+ (more )
Structure Level Pattern Image Note
TS28: brainstem Present JAX_1801323

Specimen JAX_1801324: postnatal adult; Dcpstm1b(EUCOMM)Hmgu/Dcps+ (more )
Structure Level Pattern Image Note
TS28: aorta Present JAX_1801324

Specimen JAX_1801325: postnatal adult; Dcpstm1b(EUCOMM)Hmgu/Dcps+ (more )
Structure Level Pattern Image Note
TS28: lung Present JAX_1801325

Specimen JAX_1801326: postnatal adult; Dcpstm1b(EUCOMM)Hmgu/Dcps+ (more )
Structure Level Pattern Image Note
TS28: small intestine Present JAX_1801326

Specimen JAX_1801327: postnatal adult; Dcpstm1b(EUCOMM)Hmgu/Dcps+ (more )
Structure Level Pattern Image Note
TS28: pituitary gland Present JAX_1801327

Specimen JAX_1801328: postnatal adult; Dcpstm1b(EUCOMM)Hmgu/Dcps+ (more )
Structure Level Pattern Image Note
TS28: large intestine Present JAX_1801328

Specimen JAX_1801329: postnatal adult; Dcpstm1b(EUCOMM)Hmgu/Dcps+ (more )
Structure Level Pattern Image Note
TS28: uterus Present JAX_1801329

Specimen JAX_1801330: postnatal adult; Dcpstm1b(EUCOMM)Hmgu/Dcps+ (more )
Structure Level Pattern Image Note
TS28: stomach Present JAX_1801330

Specimen JAX_1801331: postnatal adult; Dcpstm1b(EUCOMM)Hmgu/Dcps+ (more )
Structure Level Pattern Image Note
TS28: oviduct Present JAX_1801331

Specimen JAX_1801332: postnatal adult; Dcpstm1b(EUCOMM)Hmgu/Dcps+ (more )
Structure Level Pattern Image Note
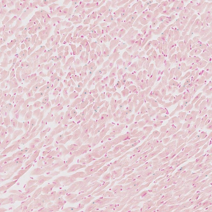
TS28: heart Present JAX_1801332

Specimen JAX_1801333: postnatal adult; Dcpstm1b(EUCOMM)Hmgu/Dcps+ (more )
Structure Level Pattern Image Note
TS28: eye Present JAX_1801333

Specimen JAX_1801334: postnatal adult; Dcpstm1b(EUCOMM)Hmgu/Dcps+ (more )
Structure Level Pattern Image Note
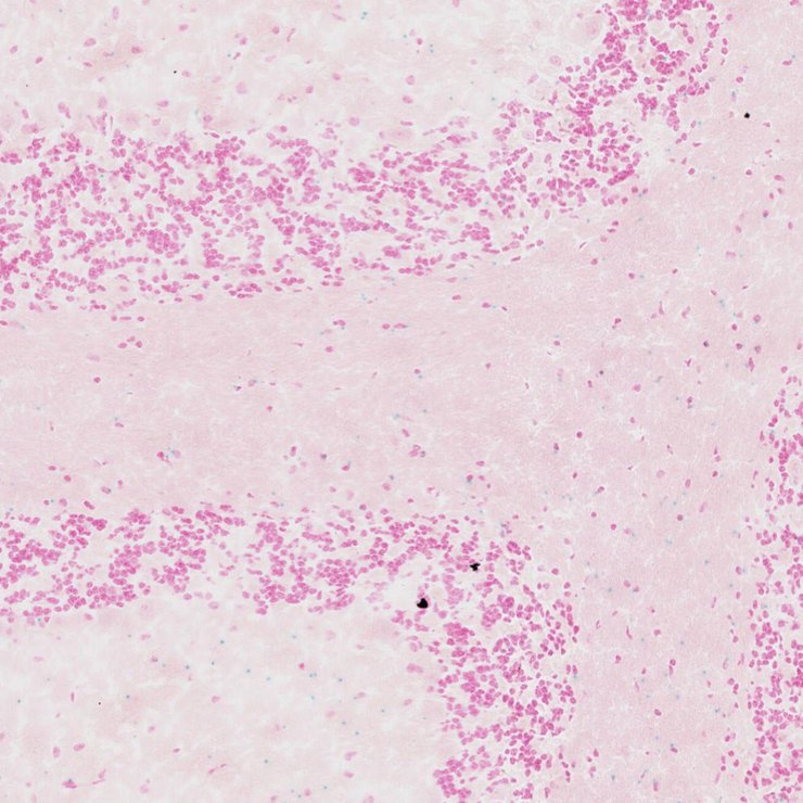
TS28: brain Present JAX_1801334

Specimen JAX_1801299: postnatal adult; Dcpstm1b(EUCOMM)Hmgu/Dcps+ (more )
Structure Level Pattern Image Note
TS28: epididymis Present JAX_1801299

Specimen JAX_1801300: postnatal adult; Dcpstm1b(EUCOMM)Hmgu/Dcps+ (more )
Structure Level Pattern Image Note
TS28: submandibular gland Present JAX_1801300

Specimen JAX_1801301: postnatal adult; Dcpstm1b(EUCOMM)Hmgu/Dcps+ (more )
Structure Level Pattern Image Note
TS28: bladder Present JAX_1801301

Specimen JAX_1801302: postnatal adult; Dcpstm1b(EUCOMM)Hmgu/Dcps+ (more )
Structure Level Pattern Image Note
TS28: peripheral nervous system Present JAX_1801302

Specimen JAX_1801303: postnatal adult; Dcpstm1b(EUCOMM)Hmgu/Dcps+ (more )
Structure Level Pattern Image Note
TS28: cartilage Present JAX_1801303

Specimen JAX_1801304: postnatal adult; Dcpstm1b(EUCOMM)Hmgu/Dcps+ (more )
Structure Level Pattern Image Note
TS28: spleen Present JAX_1801304

Specimen JAX_1801305: postnatal adult; Dcpstm1b(EUCOMM)Hmgu/Dcps+ (more )
Structure Level Pattern Image Note
TS28: pancreas Present JAX_1801305

Specimen JAX_1801306: postnatal adult; Dcpstm1b(EUCOMM)Hmgu/Dcps+ (more )
Structure Level Pattern Image Note
TS28: thyroid gland Present JAX_1801306

Specimen JAX_1801307: postnatal adult; Dcpstm1b(EUCOMM)Hmgu/Dcps+ (more )
Structure Level Pattern Image Note
TS28: spinal cord Present JAX_1801307

Specimen JAX_1801308: postnatal adult; Dcpstm1b(EUCOMM)Hmgu/Dcps+ (more )
Structure Level Pattern Image Note
TS28: esophagus Present JAX_1801308

Specimen JAX_1801309: postnatal adult; Dcpstm1b(EUCOMM)Hmgu/Dcps+ (more )
Structure Level Pattern Image Note
TS28: trachea Present JAX_1801309

Specimen JAX_1801310: postnatal adult; Dcpstm1b(EUCOMM)Hmgu/Dcps+ (more )
Structure Level Pattern Image Note
TS28: testis Present JAX_1801310

Specimen JAX_1801311: postnatal adult; Dcpstm1b(EUCOMM)Hmgu/Dcps+ (more )
Structure Level Pattern Image Note
TS28: liver Present JAX_1801311

Specimen JAX_1801312: postnatal adult; Dcpstm1b(EUCOMM)Hmgu/Dcps+ (more )
Structure Level Pattern Image Note
TS28: metanephros Present JAX_1801312 kidney

Specimen JAX_1801313: postnatal adult; Dcpstm1b(EUCOMM)Hmgu/Dcps+ (more )
Structure Level Pattern Image Note
TS28: adrenal gland Present JAX_1801313


Contributing Projects:
Mouse Genome Database (MGD), Gene Expression Database (GXD), Mouse Models of Human Cancer database (MMHCdb) (formerly Mouse Tumor Biology (MTB)), Gene Ontology (GO)
Citing These Resources
Funding Information
Warranty Disclaimer, Privacy Notice, Licensing, & Copyright
Send questions and comments to User Support.
last database update
01/06/2026
MGI 6.24
The Jackson Laboratory