About   Help   FAQ
Gene Expression Data
Assay Details
Assay
Reference: J:228563 Koscielny G, et al., The International Mouse Phenotyping Consortium Web Portal, a unified point of access for knockout mice and related phenotyping data. Nucleic Acids Res. 2014 Jan;42(Database issue):D802-9
Assay type: In situ reporter (knock in)
MGI Accession ID: MGI:6691864
Gene symbol: Ptms
Gene name: parathymosin
Reporter: lacZ
Direct Detection
Results
Specimen JAX_1469815: embryonic day 12.5; Ptmstm1.1(KOMP)Wtsi/Ptms+ (more )
Structure Level Pattern Image Note
TS20: embryo Present JAX_1469815

Specimen JAX_1469816: embryonic day 12.5; Ptmstm1.1(KOMP)Wtsi/Ptms+ (more )
Structure Level Pattern Image Note
TS20: embryo Present JAX_1469816

Specimen JAX_1469817: embryonic day 12.5; Ptmstm1.1(KOMP)Wtsi/Ptms+ (more )
Structure Level Pattern Image Note
TS20: embryo Present JAX_1469817

Specimen JAX_1469818: embryonic day 12.5; Ptmstm1.1(KOMP)Wtsi/Ptms+ (more )
Structure Level Pattern Image Note
TS20: embryo Present JAX_1469818

Specimen JAX_1261527: embryonic day 12.5; Ptmstm1.1(KOMP)Wtsi/Ptms+ (more )
Structure Level Pattern Image Note
TS20: embryo Present JAX_1261527

Specimen JAX_1261529: embryonic day 12.5; Ptmstm1.1(KOMP)Wtsi/Ptms+ (more )
Structure Level Pattern Image Note
TS20: embryo Present JAX_1261529

Specimen JAX_1261531: embryonic day 12.5; Ptmstm1.1(KOMP)Wtsi/Ptms+ (more )
Structure Level Pattern Image Note
TS20: embryo Present JAX_1261531

Specimen JAX_1261533: embryonic day 12.5; Ptmstm1.1(KOMP)Wtsi/Ptms+ (more )
Structure Level Pattern Image Note
TS20: embryo Present JAX_1261533

Specimen JAX_1803499: postnatal adult; Ptmstm1.1(KOMP)Wtsi/Ptms+ (more )
Structure Level Pattern Image Note
TS28: thalamus Present JAX_1803499

Specimen JAX_1803500: postnatal adult; Ptmstm1.1(KOMP)Wtsi/Ptms+ (more )
Structure Level Pattern Image Note
TS28: midbrain Present JAX_1803500

Specimen JAX_1803501: postnatal adult; Ptmstm1.1(KOMP)Wtsi/Ptms+ (more )
Structure Level Pattern Image Note
TS28: vascular system Present JAX_1803501

Specimen JAX_1803502: postnatal adult; Ptmstm1.1(KOMP)Wtsi/Ptms+ (more )
Structure Level Pattern Image Note
TS28: brown fat Present JAX_1803502

Specimen JAX_1803503: postnatal adult; Ptmstm1.1(KOMP)Wtsi/Ptms+ (more )
Structure Level Pattern Image Note
TS28: bone Present JAX_1803503

Specimen JAX_1803504: postnatal adult; Ptmstm1.1(KOMP)Wtsi/Ptms+ (more )
Structure Level Pattern Image Note
TS28: bladder Present JAX_1803504

Specimen JAX_1803505: postnatal adult; Ptmstm1.1(KOMP)Wtsi/Ptms+ (more )
Structure Level Pattern Image Note
TS28: corpus striatum Present JAX_1803505

Specimen JAX_1803506: postnatal adult; Ptmstm1.1(KOMP)Wtsi/Ptms+ (more )
Structure Level Pattern Image Note
TS28: Peyer's patch Present JAX_1803506

Specimen JAX_1803507: postnatal adult; Ptmstm1.1(KOMP)Wtsi/Ptms+ (more )
Structure Level Pattern Image Note
TS28: peripheral nervous system Present JAX_1803507

Specimen JAX_1803508: postnatal adult; Ptmstm1.1(KOMP)Wtsi/Ptms+ (more )
Structure Level Pattern Image Note
TS28: olfactory lobe Present JAX_1803508

Specimen JAX_1803509: postnatal adult; Ptmstm1.1(KOMP)Wtsi/Ptms+ (more )
Structure Level Pattern Image Note
TS28: hypothalamus Present JAX_1803509

Specimen JAX_1803510: postnatal adult; Ptmstm1.1(KOMP)Wtsi/Ptms+ (more )
Structure Level Pattern Image Note
TS28: hippocampus Present JAX_1803510

Specimen JAX_1803511: postnatal adult; Ptmstm1.1(KOMP)Wtsi/Ptms+ (more )
Structure Level Pattern Image Note
TS28: cerebellum Present JAX_1803511

Specimen JAX_1803512: postnatal adult; Ptmstm1.1(KOMP)Wtsi/Ptms+ (more )
Structure Level Pattern Image Note
TS28: cerebral cortex Present JAX_1803512

Specimen JAX_1803513: postnatal adult; Ptmstm1.1(KOMP)Wtsi/Ptms+ (more )
Structure Level Pattern Image Note
TS28: brainstem Present JAX_1803513

Specimen JAX_1803514: postnatal adult; Ptmstm1.1(KOMP)Wtsi/Ptms+ (more )
Structure Level Pattern Image Note
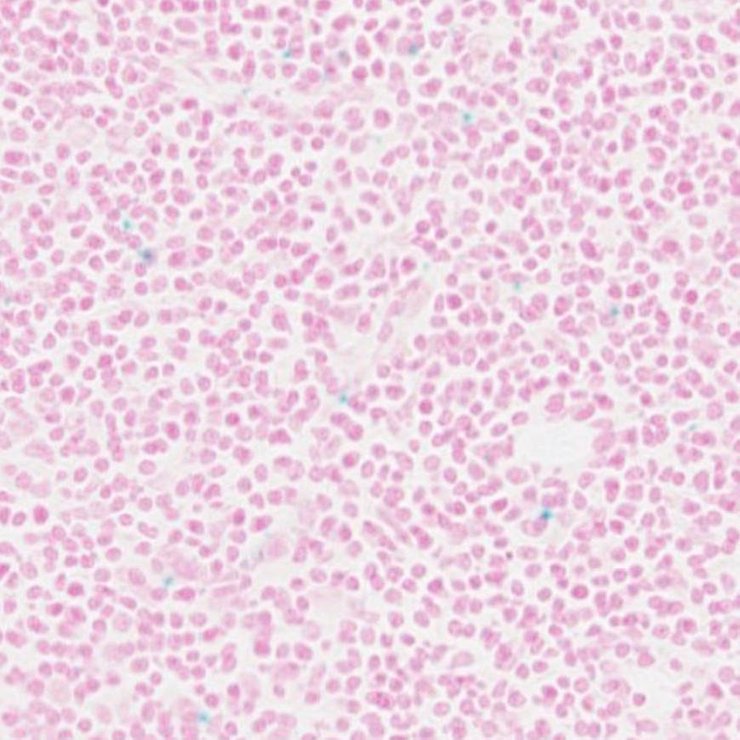
TS28: spleen Present JAX_1803514

Specimen JAX_1803515: postnatal adult; Ptmstm1.1(KOMP)Wtsi/Ptms+ (more )
Structure Level Pattern Image Note
TS28: pancreas Present JAX_1803515

Specimen JAX_1803516: postnatal adult; Ptmstm1.1(KOMP)Wtsi/Ptms+ (more )
Structure Level Pattern Image Note
TS28: aorta Present JAX_1803516

Specimen JAX_1803517: postnatal adult; Ptmstm1.1(KOMP)Wtsi/Ptms+ (more )
Structure Level Pattern Image Note
TS28: lung Present JAX_1803517

Specimen JAX_1803518: postnatal adult; Ptmstm1.1(KOMP)Wtsi/Ptms+ (more )
Structure Level Pattern Image Note
TS28: white fat Present JAX_1803518

Specimen JAX_1803519: postnatal adult; Ptmstm1.1(KOMP)Wtsi/Ptms+ (more )
Structure Level Pattern Image Note
TS28: small intestine Present JAX_1803519

Specimen JAX_1803520: postnatal adult; Ptmstm1.1(KOMP)Wtsi/Ptms+ (more )
Structure Level Pattern Image Note
TS28: spinal cord Present JAX_1803520

Specimen JAX_1803521: postnatal adult; Ptmstm1.1(KOMP)Wtsi/Ptms+ (more )
Structure Level Pattern Image Note
TS28: esophagus Present JAX_1803521

Specimen JAX_1803522: postnatal adult; Ptmstm1.1(KOMP)Wtsi/Ptms+ (more )
Structure Level Pattern Image Note
TS28: large intestine Present JAX_1803522

Specimen JAX_1803523: postnatal adult; Ptmstm1.1(KOMP)Wtsi/Ptms+ (more )
Structure Level Pattern Image Note
TS28: uterus Present JAX_1803523

Specimen JAX_1803524: postnatal adult; Ptmstm1.1(KOMP)Wtsi/Ptms+ (more )
Structure Level Pattern Image Note
TS28: thymus Present JAX_1803524

Specimen JAX_1803525: postnatal adult; Ptmstm1.1(KOMP)Wtsi/Ptms+ (more )
Structure Level Pattern Image Note
TS28: stomach Present JAX_1803525

Specimen JAX_1803526: postnatal adult; Ptmstm1.1(KOMP)Wtsi/Ptms+ (more )
Structure Level Pattern Image Note
TS28: skin Present JAX_1803526

Specimen JAX_1803527: postnatal adult; Ptmstm1.1(KOMP)Wtsi/Ptms+ (more )
Structure Level Pattern Image Note
TS28: oviduct Present JAX_1803527

Specimen JAX_1803528: postnatal adult; Ptmstm1.1(KOMP)Wtsi/Ptms+ (more )
Structure Level Pattern Image Note
TS28: ovary Present JAX_1803528

Specimen JAX_1803529: postnatal adult; Ptmstm1.1(KOMP)Wtsi/Ptms+ (more )
Structure Level Pattern Image Note
TS28: mammary gland Present JAX_1803529

Specimen JAX_1803530: postnatal adult; Ptmstm1.1(KOMP)Wtsi/Ptms+ (more )
Structure Level Pattern Image Note
TS28: liver Present JAX_1803530

Specimen JAX_1803531: postnatal adult; Ptmstm1.1(KOMP)Wtsi/Ptms+ (more )
Structure Level Pattern Image Note
TS28: metanephros Present JAX_1803531 kidney

Specimen JAX_1803532: postnatal adult; Ptmstm1.1(KOMP)Wtsi/Ptms+ (more )
Structure Level Pattern Image Note
TS28: heart Present JAX_1803532

Specimen JAX_1803533: postnatal adult; Ptmstm1.1(KOMP)Wtsi/Ptms+ (more )
Structure Level Pattern Image Note
TS28: eye Present JAX_1803533

Specimen JAX_1803534: postnatal adult; Ptmstm1.1(KOMP)Wtsi/Ptms+ (more )
Structure Level Pattern Image Note
TS28: brain Present JAX_1803534

Specimen JAX_1803535: postnatal adult; Ptmstm1.1(KOMP)Wtsi/Ptms+ (more )
Structure Level Pattern Image Note
TS28: adrenal gland Present JAX_1803535

Specimen JAX_1803492: postnatal adult; Ptmstm1.1(KOMP)Wtsi/Ptms+ (more )
Structure Level Pattern Image Note
TS28: epididymis Present JAX_1803492

Specimen JAX_1803493: postnatal adult; Ptmstm1.1(KOMP)Wtsi/Ptms+ (more )
Structure Level Pattern Image Note
TS28: submandibular gland Present JAX_1803493

Specimen JAX_1803494: postnatal adult; Ptmstm1.1(KOMP)Wtsi/Ptms+ (more )
Structure Level Pattern Image Note
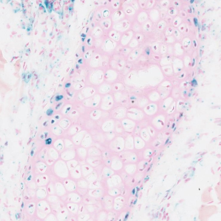
TS28: cartilage Present JAX_1803494

Specimen JAX_1803495: postnatal adult; Ptmstm1.1(KOMP)Wtsi/Ptms+ (more )
Structure Level Pattern Image Note
TS28: pituitary gland Present JAX_1803495

Specimen JAX_1803496: postnatal adult; Ptmstm1.1(KOMP)Wtsi/Ptms+ (more )
Structure Level Pattern Image Note
TS28: trachea Present JAX_1803496

Specimen JAX_1803497: postnatal adult; Ptmstm1.1(KOMP)Wtsi/Ptms+ (more )
Structure Level Pattern Image Note
TS28: testis Present JAX_1803497

Specimen JAX_1803498: postnatal adult; Ptmstm1.1(KOMP)Wtsi/Ptms+ (more )
Structure Level Pattern Image Note
TS28: lymph node Present JAX_1803498


Contributing Projects:
Mouse Genome Database (MGD), Gene Expression Database (GXD), Mouse Models of Human Cancer database (MMHCdb) (formerly Mouse Tumor Biology (MTB)), Gene Ontology (GO)
Citing These Resources
Funding Information
Warranty Disclaimer, Privacy Notice, Licensing, & Copyright
Send questions and comments to User Support.
last database update
01/06/2026
MGI 6.24
The Jackson Laboratory