About   Help   FAQ
Gene Expression Data
Assay Details
Assay
Reference: J:228563 Koscielny G, et al., The International Mouse Phenotyping Consortium Web Portal, a unified point of access for knockout mice and related phenotyping data. Nucleic Acids Res. 2014 Jan;42(Database issue):D802-9
Assay type: In situ reporter (knock in)
MGI Accession ID: MGI:6691859
Gene symbol: Cnppd1
Gene name: cyclin Pas1/PHO80 domain containing 1
Reporter: lacZ
Direct Detection
Results
Specimen JAX_1314519: embryonic day 12.5; Cnppd1tm1.1(KOMP)Vlcg/Cnppd1+ (more )
Structure Level Pattern Image Note
TS20: embryo Present JAX_1314519

Specimen JAX_1314520: embryonic day 12.5; Cnppd1tm1.1(KOMP)Vlcg/Cnppd1+ (more )
Structure Level Pattern Image Note
TS20: embryo Present JAX_1314520

Specimen JAX_1314521: embryonic day 12.5; Cnppd1tm1.1(KOMP)Vlcg/Cnppd1+ (more )
Structure Level Pattern Image Note
TS20: embryo Present JAX_1314521

Specimen JAX_1314522: embryonic day 12.5; Cnppd1tm1.1(KOMP)Vlcg/Cnppd1+ (more )
Structure Level Pattern Image Note
TS20: embryo Present JAX_1314522

Specimen JAX_1314523: embryonic day 12.5; Cnppd1tm1.1(KOMP)Vlcg/Cnppd1+ (more )
Structure Level Pattern Image Note
TS20: embryo Present JAX_1314523

Specimen JAX_1314524: embryonic day 12.5; Cnppd1tm1.1(KOMP)Vlcg/Cnppd1+ (more )
Structure Level Pattern Image Note
TS20: embryo Present JAX_1314524

Specimen JAX_1314525: embryonic day 12.5; Cnppd1tm1.1(KOMP)Vlcg/Cnppd1+ (more )
Structure Level Pattern Image Note
TS20: embryo Present JAX_1314525

Specimen JAX_1314526: embryonic day 12.5; Cnppd1tm1.1(KOMP)Vlcg/Cnppd1+ (more )
Structure Level Pattern Image Note
TS20: embryo Present JAX_1314526

Specimen JAX_1522231: postnatal adult; Cnppd1tm1.1(KOMP)Vlcg/Cnppd1+ (more )
Structure Level Pattern Image Note
TS28: peripheral nervous system Present JAX_1522231

Specimen JAX_1522232: postnatal adult; Cnppd1tm1.1(KOMP)Vlcg/Cnppd1+ (more )
Structure Level Pattern Image Note
TS28: esophagus Present JAX_1522232

Specimen JAX_1522233: postnatal adult; Cnppd1tm1.1(KOMP)Vlcg/Cnppd1+ (more )
Structure Level Pattern Image Note
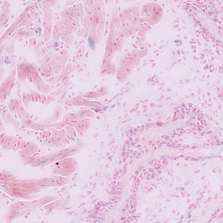
TS28: uterus Present JAX_1522233

Specimen JAX_1522234: postnatal adult; Cnppd1tm1.1(KOMP)Vlcg/Cnppd1+ (more )
Structure Level Pattern Image Note
TS28: oviduct Present JAX_1522234

Specimen JAX_1522235: postnatal adult; Cnppd1tm1.1(KOMP)Vlcg/Cnppd1+ (more )
Structure Level Pattern Image Note
TS28: ovary Present JAX_1522235

Specimen JAX_1522236: postnatal adult; Cnppd1tm1.1(KOMP)Vlcg/Cnppd1+ (more )
Structure Level Pattern Image Note
TS28: mammary gland Present JAX_1522236

Specimen JAX_1522237: postnatal adult; Cnppd1tm1.1(KOMP)Vlcg/Cnppd1+ (more )
Structure Level Pattern Image Note
TS28: adrenal gland Present JAX_1522237

Specimen JAX_1522238: postnatal adult; Cnppd1tm1.1(KOMP)Vlcg/Cnppd1+ (more )
Structure Level Pattern Image Note
TS28: thalamus Present JAX_1522238

Specimen JAX_1522239: postnatal adult; Cnppd1tm1.1(KOMP)Vlcg/Cnppd1+ (more )
Structure Level Pattern Image Note
TS28: midbrain Present JAX_1522239

Specimen JAX_1522240: postnatal adult; Cnppd1tm1.1(KOMP)Vlcg/Cnppd1+ (more )
Structure Level Pattern Image Note
TS28: vascular system Present JAX_1522240

Specimen JAX_1522241: postnatal adult; Cnppd1tm1.1(KOMP)Vlcg/Cnppd1+ (more )
Structure Level Pattern Image Note
TS28: epididymis Present JAX_1522241

Specimen JAX_1522242: postnatal adult; Cnppd1tm1.1(KOMP)Vlcg/Cnppd1+ (more )
Structure Level Pattern Image Note
TS28: brown fat Present JAX_1522242

Specimen JAX_1522243: postnatal adult; Cnppd1tm1.1(KOMP)Vlcg/Cnppd1+ (more )
Structure Level Pattern Image Note
TS28: bladder Present JAX_1522243

Specimen JAX_1522244: postnatal adult; Cnppd1tm1.1(KOMP)Vlcg/Cnppd1+ (more )
Structure Level Pattern Image Note
TS28: corpus striatum Present JAX_1522244

Specimen JAX_1522245: postnatal adult; Cnppd1tm1.1(KOMP)Vlcg/Cnppd1+ (more )
Structure Level Pattern Image Note
TS28: Peyer's patch Present JAX_1522245

Specimen JAX_1522246: postnatal adult; Cnppd1tm1.1(KOMP)Vlcg/Cnppd1+ (more )
Structure Level Pattern Image Note
TS28: olfactory lobe Present JAX_1522246

Specimen JAX_1522247: postnatal adult; Cnppd1tm1.1(KOMP)Vlcg/Cnppd1+ (more )
Structure Level Pattern Image Note
TS28: hypothalamus Present JAX_1522247

Specimen JAX_1522248: postnatal adult; Cnppd1tm1.1(KOMP)Vlcg/Cnppd1+ (more )
Structure Level Pattern Image Note
TS28: hippocampus Present JAX_1522248

Specimen JAX_1522249: postnatal adult; Cnppd1tm1.1(KOMP)Vlcg/Cnppd1+ (more )
Structure Level Pattern Image Note
TS28: cerebellum Present JAX_1522249

Specimen JAX_1522250: postnatal adult; Cnppd1tm1.1(KOMP)Vlcg/Cnppd1+ (more )
Structure Level Pattern Image Note
TS28: cerebral cortex Present JAX_1522250

Specimen JAX_1522251: postnatal adult; Cnppd1tm1.1(KOMP)Vlcg/Cnppd1+ (more )
Structure Level Pattern Image Note
TS28: cartilage Present JAX_1522251

Specimen JAX_1522252: postnatal adult; Cnppd1tm1.1(KOMP)Vlcg/Cnppd1+ (more )
Structure Level Pattern Image Note
TS28: brainstem Present JAX_1522252

Specimen JAX_1522253: postnatal adult; Cnppd1tm1.1(KOMP)Vlcg/Cnppd1+ (more )
Structure Level Pattern Image Note
TS28: spleen Present JAX_1522253

Specimen JAX_1522254: postnatal adult; Cnppd1tm1.1(KOMP)Vlcg/Cnppd1+ (more )
Structure Level Pattern Image Note
TS28: pancreas Present JAX_1522254

Specimen JAX_1522255: postnatal adult; Cnppd1tm1.1(KOMP)Vlcg/Cnppd1+ (more )
Structure Level Pattern Image Note
TS28: aorta Present JAX_1522255

Specimen JAX_1522256: postnatal adult; Cnppd1tm1.1(KOMP)Vlcg/Cnppd1+ (more )
Structure Level Pattern Image Note
TS28: lung Present JAX_1522256

Specimen JAX_1522257: postnatal adult; Cnppd1tm1.1(KOMP)Vlcg/Cnppd1+ (more )
Structure Level Pattern Image Note
TS28: small intestine Present JAX_1522257

Specimen JAX_1522258: postnatal adult; Cnppd1tm1.1(KOMP)Vlcg/Cnppd1+ (more )
Structure Level Pattern Image Note
TS28: skeletal muscle tissue Present JAX_1522258

Specimen JAX_1522259: postnatal adult; Cnppd1tm1.1(KOMP)Vlcg/Cnppd1+ (more )
Structure Level Pattern Image Note
TS28: pituitary gland Present JAX_1522259

Specimen JAX_1522260: postnatal adult; Cnppd1tm1.1(KOMP)Vlcg/Cnppd1+ (more )
Structure Level Pattern Image Note
TS28: spinal cord Present JAX_1522260

Specimen JAX_1522261: postnatal adult; Cnppd1tm1.1(KOMP)Vlcg/Cnppd1+ (more )
Structure Level Pattern Image Note
TS28: large intestine Present JAX_1522261

Specimen JAX_1522262: postnatal adult; Cnppd1tm1.1(KOMP)Vlcg/Cnppd1+ (more )
Structure Level Pattern Image Note
TS28: trachea Present JAX_1522262

Specimen JAX_1522263: postnatal adult; Cnppd1tm1.1(KOMP)Vlcg/Cnppd1+ (more )
Structure Level Pattern Image Note
TS28: thymus Present JAX_1522263

Specimen JAX_1522264: postnatal adult; Cnppd1tm1.1(KOMP)Vlcg/Cnppd1+ (more )
Structure Level Pattern Image Note
TS28: testis Present JAX_1522264

Specimen JAX_1522265: postnatal adult; Cnppd1tm1.1(KOMP)Vlcg/Cnppd1+ (more )
Structure Level Pattern Image Note
TS28: stomach Present JAX_1522265

Specimen JAX_1522266: postnatal adult; Cnppd1tm1.1(KOMP)Vlcg/Cnppd1+ (more )
Structure Level Pattern Image Note
TS28: skin Present JAX_1522266

Specimen JAX_1522267: postnatal adult; Cnppd1tm1.1(KOMP)Vlcg/Cnppd1+ (more )
Structure Level Pattern Image Note
TS28: lymph node Present JAX_1522267

Specimen JAX_1522268: postnatal adult; Cnppd1tm1.1(KOMP)Vlcg/Cnppd1+ (more )
Structure Level Pattern Image Note
TS28: liver Present JAX_1522268

Specimen JAX_1522269: postnatal adult; Cnppd1tm1.1(KOMP)Vlcg/Cnppd1+ (more )
Structure Level Pattern Image Note
TS28: metanephros Present JAX_1522269 kidney

Specimen JAX_1522270: postnatal adult; Cnppd1tm1.1(KOMP)Vlcg/Cnppd1+ (more )
Structure Level Pattern Image Note
TS28: heart Present JAX_1522270

Specimen JAX_1522271: postnatal adult; Cnppd1tm1.1(KOMP)Vlcg/Cnppd1+ (more )
Structure Level Pattern Image Note
TS28: eye Present JAX_1522271

Specimen JAX_1522272: postnatal adult; Cnppd1tm1.1(KOMP)Vlcg/Cnppd1+ (more )
Structure Level Pattern Image Note
TS28: brain Present JAX_1522272


Contributing Projects:
Mouse Genome Database (MGD), Gene Expression Database (GXD), Mouse Models of Human Cancer database (MMHCdb) (formerly Mouse Tumor Biology (MTB)), Gene Ontology (GO)
Citing These Resources
Funding Information
Warranty Disclaimer, Privacy Notice, Licensing, & Copyright
Send questions and comments to User Support.
last database update
01/20/2026
MGI 6.24
The Jackson Laboratory