About   Help   FAQ
Gene Expression Data
Assay Details
Assay
Reference: J:228563 Koscielny G, et al., The International Mouse Phenotyping Consortium Web Portal, a unified point of access for knockout mice and related phenotyping data. Nucleic Acids Res. 2014 Jan;42(Database issue):D802-9
Assay type: In situ reporter (knock in)
MGI Accession ID: MGI:6691853
Gene symbol: Adamts9
Gene name: ADAM metallopeptidase with thrombospondin type 1 motif 9
Reporter: lacZ
Direct Detection
Results
Specimen UC Davis_1870212: postnatal adult; Adamts9tm1b(KOMP)Wtsi/Adamts9+ (more )
Structure Level Pattern Image Note
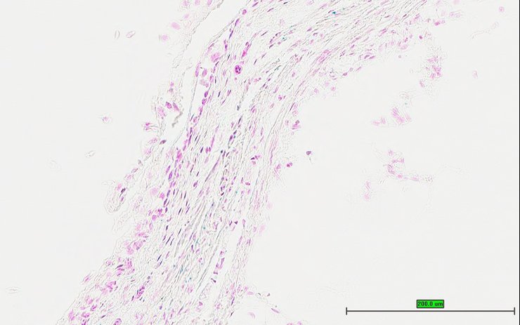
TS28: thyroid gland Present UC Davis_1870212

Specimen UC Davis_1870213: postnatal adult; Adamts9tm1b(KOMP)Wtsi/Adamts9+ (more )
Structure Level Pattern Image Note
TS28: thyroid gland Present UC Davis_1870213

Specimen UC Davis_1870214: postnatal adult; Adamts9tm1b(KOMP)Wtsi/Adamts9+ (more )
Structure Level Pattern Image Note
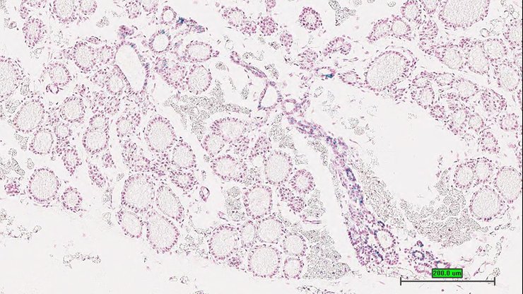
TS28: jejunum Present UC Davis_1870214

Specimen UC Davis_1870215: postnatal adult; Adamts9tm1b(KOMP)Wtsi/Adamts9+ (more )
Structure Level Pattern Image Note
TS28: ileum Present UC Davis_1870215

Specimen UC Davis_1870216: postnatal adult; Adamts9tm1b(KOMP)Wtsi/Adamts9+ (more )
Structure Level Pattern Image Note
TS28: metanephros Present UC Davis_1870216 kidney

Specimen UC Davis_1870217: postnatal adult; Adamts9tm1b(KOMP)Wtsi/Adamts9+ (more )
Structure Level Pattern Image Note
TS28: metanephros Present UC Davis_1870217 kidney

Specimen UC Davis_1870218: postnatal adult; Adamts9tm1b(KOMP)Wtsi/Adamts9+ (more )
Structure Level Pattern Image Note
TS28: ovary Present UC Davis_1870218

Specimen UC Davis_1870219: postnatal adult; Adamts9tm1b(KOMP)Wtsi/Adamts9+ (more )
Structure Level Pattern Image Note
TS28: ovary Present UC Davis_1870219

Specimen UC Davis_1870220: postnatal adult; Adamts9tm1b(KOMP)Wtsi/Adamts9+ (more )
Structure Level Pattern Image Note
TS28: esophagus Present UC Davis_1870220

Specimen UC Davis_1870221: postnatal adult; Adamts9tm1b(KOMP)Wtsi/Adamts9+ (more )
Structure Level Pattern Image Note
TS28: stomach Present UC Davis_1870221

Specimen UC Davis_1870222: postnatal adult; Adamts9tm1b(KOMP)Wtsi/Adamts9+ (more )
Structure Level Pattern Image Note
TS28: stomach Present UC Davis_1870222

Specimen UC Davis_1870223: postnatal adult; Adamts9tm1b(KOMP)Wtsi/Adamts9+ (more )
Structure Level Pattern Image Note
TS28: duodenum Present UC Davis_1870223

Specimen UC Davis_1870224: postnatal adult; Adamts9tm1b(KOMP)Wtsi/Adamts9+ (more )
Structure Level Pattern Image Note
TS28: colon Present UC Davis_1870224

Specimen UC Davis_1870225: postnatal adult; Adamts9tm1b(KOMP)Wtsi/Adamts9+ (more )
Structure Level Pattern Image Note
TS28: metanephros Present UC Davis_1870225 kidney

Specimen UC Davis_1870226: postnatal adult; Adamts9tm1b(KOMP)Wtsi/Adamts9+ (more )
Structure Level Pattern Image Note
TS28: bladder Present UC Davis_1870226

Specimen UC Davis_1870227: postnatal adult; Adamts9tm1b(KOMP)Wtsi/Adamts9+ (more )
Structure Level Pattern Image Note
TS28: testis Present UC Davis_1870227

Specimen UC Davis_1870228: postnatal adult; Adamts9tm1b(KOMP)Wtsi/Adamts9+ (more )
Structure Level Pattern Image Note
TS28: epididymis Present UC Davis_1870228

Specimen UC Davis_1870229: postnatal adult; Adamts9tm1b(KOMP)Wtsi/Adamts9+ (more )
Structure Level Pattern Image Note
TS28: epididymis Present UC Davis_1870229

Specimen UC Davis_1870230: postnatal adult; Adamts9tm1b(KOMP)Wtsi/Adamts9+ (more )
Structure Level Pattern Image Note
TS28: prostate gland Present UC Davis_1870230

Specimen UC Davis_1870231: postnatal adult; Adamts9tm1b(KOMP)Wtsi/Adamts9+ (more )
Structure Level Pattern Image Note
TS28: penis Present UC Davis_1870231

Specimen UC Davis_1870232: postnatal adult; Adamts9tm1b(KOMP)Wtsi/Adamts9+ (more )
Structure Level Pattern Image Note
TS28: penis Present UC Davis_1870232

Specimen UC Davis_1870233: postnatal adult; Adamts9tm1b(KOMP)Wtsi/Adamts9+ (more )
Structure Level Pattern Image Note
TS28: ductus deferens Present UC Davis_1870233 vas deferens


Contributing Projects:
Mouse Genome Database (MGD), Gene Expression Database (GXD), Mouse Models of Human Cancer database (MMHCdb) (formerly Mouse Tumor Biology (MTB)), Gene Ontology (GO)
Citing These Resources
Funding Information
Warranty Disclaimer, Privacy Notice, Licensing, & Copyright
Send questions and comments to User Support.
last database update
01/20/2026
MGI 6.24
The Jackson Laboratory