About   Help   FAQ
Gene Expression Data
Assay Details
Assay
Reference: J:228563 Koscielny G, et al., The International Mouse Phenotyping Consortium Web Portal, a unified point of access for knockout mice and related phenotyping data. Nucleic Acids Res. 2014 Jan;42(Database issue):D802-9
Assay type: In situ reporter (knock in)
MGI Accession ID: MGI:6691851
Gene symbol: Isca1
Gene name: iron-sulfur cluster assembly 1
Reporter: lacZ
Direct Detection
Results
Specimen JAX_1261667: embryonic day 12.5; Isca1tm1b(KOMP)Wtsi/Isca1+ (more )
Structure Level Pattern Image Note
TS20: embryo Present JAX_1261667

Specimen JAX_1261669: embryonic day 12.5; Isca1tm1b(KOMP)Wtsi/Isca1+ (more )
Structure Level Pattern Image Note
TS20: embryo Present JAX_1261669

Specimen JAX_1261671: embryonic day 12.5; Isca1tm1b(KOMP)Wtsi/Isca1+ (more )
Structure Level Pattern Image Note
TS20: embryo Present JAX_1261671

Specimen JAX_1261673: embryonic day 12.5; Isca1tm1b(KOMP)Wtsi/Isca1+ (more )
Structure Level Pattern Image Note
TS20: embryo Present JAX_1261673

Specimen JAX_1000943: embryonic day 12.5; Isca1tm1b(KOMP)Wtsi/Isca1+ (more )
Structure Level Pattern Image Note
TS20: embryo Present JAX_1000943

Specimen JAX_1000945: embryonic day 12.5; Isca1tm1b(KOMP)Wtsi/Isca1+ (more )
Structure Level Pattern Image Note
TS20: embryo Present JAX_1000945

Specimen JAX_1000947: embryonic day 12.5; Isca1tm1b(KOMP)Wtsi/Isca1+ (more )
Structure Level Pattern Image Note
TS20: embryo Present JAX_1000947

Specimen JAX_1000949: embryonic day 12.5; Isca1tm1b(KOMP)Wtsi/Isca1+ (more )
Structure Level Pattern Image Note
TS20: embryo Present JAX_1000949

Specimen JAX_1000951: embryonic day 12.5; Isca1tm1b(KOMP)Wtsi/Isca1+ (more )
Structure Level Pattern Image Note
TS20: embryo Present JAX_1000951

Specimen JAX_1000953: embryonic day 12.5; Isca1tm1b(KOMP)Wtsi/Isca1+ (more )
Structure Level Pattern Image Note
TS20: embryo Present JAX_1000953

Specimen JAX_1000955: embryonic day 12.5; Isca1tm1b(KOMP)Wtsi/Isca1+ (more )
Structure Level Pattern Image Note
TS20: embryo Present JAX_1000955

Specimen JAX_1000957: embryonic day 12.5; Isca1tm1b(KOMP)Wtsi/Isca1+ (more )
Structure Level Pattern Image Note
TS20: embryo Present JAX_1000957

Specimen JAX_900655: postnatal adult; Isca1tm1b(KOMP)Wtsi/Isca1+ (more )
Structure Level Pattern Image Note
TS28: thalamus Present JAX_900655

Specimen JAX_900657: postnatal adult; Isca1tm1b(KOMP)Wtsi/Isca1+ (more )
Structure Level Pattern Image Note
TS28: midbrain Present JAX_900657

Specimen JAX_900659: postnatal adult; Isca1tm1b(KOMP)Wtsi/Isca1+ (more )
Structure Level Pattern Image Note
TS28: vascular system Present JAX_900659

Specimen JAX_900661: postnatal adult; Isca1tm1b(KOMP)Wtsi/Isca1+ (more )
Structure Level Pattern Image Note
TS28: brown fat Present JAX_900661

Specimen JAX_900663: postnatal adult; Isca1tm1b(KOMP)Wtsi/Isca1+ (more )
Structure Level Pattern Image Note
TS28: bladder Present JAX_900663

Specimen JAX_900665: postnatal adult; Isca1tm1b(KOMP)Wtsi/Isca1+ (more )
Structure Level Pattern Image Note
TS28: corpus striatum Present JAX_900665

Specimen JAX_900667: postnatal adult; Isca1tm1b(KOMP)Wtsi/Isca1+ (more )
Structure Level Pattern Image Note
TS28: Peyer's patch Present JAX_900667

Specimen JAX_900669: postnatal adult; Isca1tm1b(KOMP)Wtsi/Isca1+ (more )
Structure Level Pattern Image Note
TS28: olfactory lobe Present JAX_900669

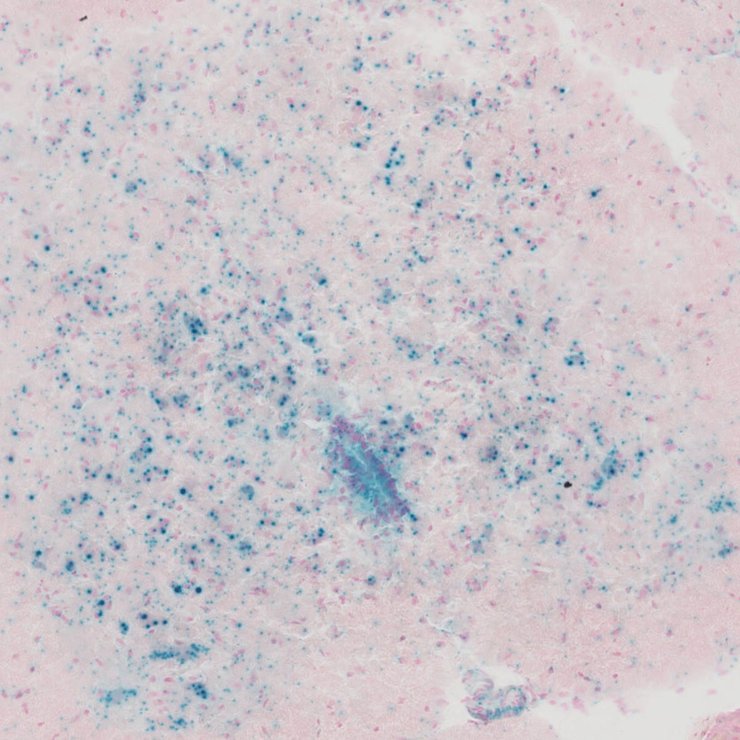
Specimen JAX_900671: postnatal adult; Isca1tm1b(KOMP)Wtsi/Isca1+ (more )
Structure Level Pattern Image Note
TS28: hypothalamus Present JAX_900671

Specimen JAX_900673: postnatal adult; Isca1tm1b(KOMP)Wtsi/Isca1+ (more )
Structure Level Pattern Image Note
TS28: hippocampus Present JAX_900673

Specimen JAX_900675: postnatal adult; Isca1tm1b(KOMP)Wtsi/Isca1+ (more )
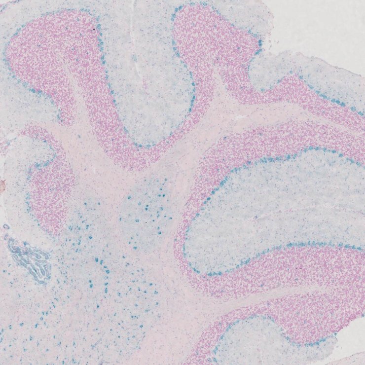
Structure Level Pattern Image Note
TS28: cerebellum Present JAX_900675

Specimen JAX_900677: postnatal adult; Isca1tm1b(KOMP)Wtsi/Isca1+ (more )
Structure Level Pattern Image Note
TS28: cerebral cortex Present JAX_900677

Specimen JAX_900679: postnatal adult; Isca1tm1b(KOMP)Wtsi/Isca1+ (more )
Structure Level Pattern Image Note
TS28: brainstem Present JAX_900679

Specimen JAX_900681: postnatal adult; Isca1tm1b(KOMP)Wtsi/Isca1+ (more )
Structure Level Pattern Image Note
TS28: spleen Present JAX_900681

Specimen JAX_900683: postnatal adult; Isca1tm1b(KOMP)Wtsi/Isca1+ (more )
Structure Level Pattern Image Note
TS28: pancreas Present JAX_900683

Specimen JAX_900685: postnatal adult; Isca1tm1b(KOMP)Wtsi/Isca1+ (more )
Structure Level Pattern Image Note
TS28: aorta Present JAX_900685

Specimen JAX_900687: postnatal adult; Isca1tm1b(KOMP)Wtsi/Isca1+ (more )
Structure Level Pattern Image Note
TS28: lung Present JAX_900687

Specimen JAX_900689: postnatal adult; Isca1tm1b(KOMP)Wtsi/Isca1+ (more )
Structure Level Pattern Image Note
TS28: white fat Present JAX_900689

Specimen JAX_900691: postnatal adult; Isca1tm1b(KOMP)Wtsi/Isca1+ (more )
Structure Level Pattern Image Note
TS28: small intestine Present JAX_900691

Specimen JAX_900693: postnatal adult; Isca1tm1b(KOMP)Wtsi/Isca1+ (more )
Structure Level Pattern Image Note
TS28: skeletal muscle tissue Present JAX_900693

Specimen JAX_900695: postnatal adult; Isca1tm1b(KOMP)Wtsi/Isca1+ (more )
Structure Level Pattern Image Note
TS28: pituitary gland Present JAX_900695

Specimen JAX_900697: postnatal adult; Isca1tm1b(KOMP)Wtsi/Isca1+ (more )
Structure Level Pattern Image Note
TS28: spinal cord Present JAX_900697

Specimen JAX_900699: postnatal adult; Isca1tm1b(KOMP)Wtsi/Isca1+ (more )
Structure Level Pattern Image Note
TS28: esophagus Present JAX_900699

Specimen JAX_900701: postnatal adult; Isca1tm1b(KOMP)Wtsi/Isca1+ (more )
Structure Level Pattern Image Note
TS28: uterus Present JAX_900701

Specimen JAX_900703: postnatal adult; Isca1tm1b(KOMP)Wtsi/Isca1+ (more )
Structure Level Pattern Image Note
TS28: thymus Present JAX_900703

Specimen JAX_900705: postnatal adult; Isca1tm1b(KOMP)Wtsi/Isca1+ (more )
Structure Level Pattern Image Note
TS28: stomach Present JAX_900705

Specimen JAX_900707: postnatal adult; Isca1tm1b(KOMP)Wtsi/Isca1+ (more )
Structure Level Pattern Image Note
TS28: skin Present JAX_900707

Specimen JAX_900709: postnatal adult; Isca1tm1b(KOMP)Wtsi/Isca1+ (more )
Structure Level Pattern Image Note
TS28: oviduct Present JAX_900709

Specimen JAX_900711: postnatal adult; Isca1tm1b(KOMP)Wtsi/Isca1+ (more )
Structure Level Pattern Image Note
TS28: ovary Present JAX_900711

Specimen JAX_900713: postnatal adult; Isca1tm1b(KOMP)Wtsi/Isca1+ (more )
Structure Level Pattern Image Note
TS28: mammary gland Present JAX_900713

Specimen JAX_900715: postnatal adult; Isca1tm1b(KOMP)Wtsi/Isca1+ (more )
Structure Level Pattern Image Note
TS28: liver Present JAX_900715

Specimen JAX_900717: postnatal adult; Isca1tm1b(KOMP)Wtsi/Isca1+ (more )
Structure Level Pattern Image Note
TS28: metanephros Present JAX_900717 kidney

Specimen JAX_900719: postnatal adult; Isca1tm1b(KOMP)Wtsi/Isca1+ (more )
Structure Level Pattern Image Note
TS28: heart Present JAX_900719

Specimen JAX_900721: postnatal adult; Isca1tm1b(KOMP)Wtsi/Isca1+ (more )
Structure Level Pattern Image Note
TS28: eye Present JAX_900721

Specimen JAX_900723: postnatal adult; Isca1tm1b(KOMP)Wtsi/Isca1+ (more )
Structure Level Pattern Image Note
TS28: brain Present JAX_900723

Specimen JAX_900725: postnatal adult; Isca1tm1b(KOMP)Wtsi/Isca1+ (more )
Structure Level Pattern Image Note
TS28: adrenal gland Present JAX_900725

Specimen JAX_900639: postnatal adult; Isca1tm1b(KOMP)Wtsi/Isca1+ (more )
Structure Level Pattern Image Note
TS28: epididymis Present JAX_900639

Specimen JAX_900641: postnatal adult; Isca1tm1b(KOMP)Wtsi/Isca1+ (more )
Structure Level Pattern Image Note
TS28: submandibular gland Present JAX_900641

Specimen JAX_900643: postnatal adult; Isca1tm1b(KOMP)Wtsi/Isca1+ (more )
Structure Level Pattern Image Note
TS28: peripheral nervous system Present JAX_900643

Specimen JAX_900645: postnatal adult; Isca1tm1b(KOMP)Wtsi/Isca1+ (more )
Structure Level Pattern Image Note
TS28: cartilage Present JAX_900645

Specimen JAX_900647: postnatal adult; Isca1tm1b(KOMP)Wtsi/Isca1+ (more )
Structure Level Pattern Image Note
TS28: thyroid gland Present JAX_900647

Specimen JAX_900649: postnatal adult; Isca1tm1b(KOMP)Wtsi/Isca1+ (more )
Structure Level Pattern Image Note
TS28: large intestine Present JAX_900649

Specimen JAX_900651: postnatal adult; Isca1tm1b(KOMP)Wtsi/Isca1+ (more )
Structure Level Pattern Image Note
TS28: trachea Absent JAX_900651

Specimen JAX_900653: postnatal adult; Isca1tm1b(KOMP)Wtsi/Isca1+ (more )
Structure Level Pattern Image Note
TS28: testis Present JAX_900653


Contributing Projects:
Mouse Genome Database (MGD), Gene Expression Database (GXD), Mouse Models of Human Cancer database (MMHCdb) (formerly Mouse Tumor Biology (MTB)), Gene Ontology (GO)
Citing These Resources
Funding Information
Warranty Disclaimer, Privacy Notice, Licensing, & Copyright
Send questions and comments to User Support.
last database update
01/06/2026
MGI 6.24
The Jackson Laboratory