About   Help   FAQ
Gene Expression Data
Assay Details
Assay
Reference: J:228563 Koscielny G, et al., The International Mouse Phenotyping Consortium Web Portal, a unified point of access for knockout mice and related phenotyping data. Nucleic Acids Res. 2014 Jan;42(Database issue):D802-9
Assay type: In situ reporter (knock in)
MGI Accession ID: MGI:6691850
Gene symbol: Snx15
Gene name: sorting nexin 15
Reporter: lacZ
Direct Detection
Results
Specimen JAX_1370697: postnatal adult; Snx15tm1.1(KOMP)Vlcg/Snx15+ (more )
Structure Level Pattern Image Note
TS28: bone marrow Present JAX_1370697

Specimen JAX_1370698: postnatal adult; Snx15tm1.1(KOMP)Vlcg/Snx15+ (more )
Structure Level Pattern Image Note
TS28: pancreas Present JAX_1370698

Specimen JAX_1370699: postnatal adult; Snx15tm1.1(KOMP)Vlcg/Snx15+ (more )
Structure Level Pattern Image Note
TS28: lung Present JAX_1370699

Specimen JAX_1370700: postnatal adult; Snx15tm1.1(KOMP)Vlcg/Snx15+ (more )
Structure Level Pattern Image Note
TS28: small intestine Present JAX_1370700

Specimen JAX_1370701: postnatal adult; Snx15tm1.1(KOMP)Vlcg/Snx15+ (more )
Structure Level Pattern Image Note
TS28: spinal cord Present JAX_1370701

Specimen JAX_1370702: postnatal adult; Snx15tm1.1(KOMP)Vlcg/Snx15+ (more )
Structure Level Pattern Image Note
TS28: esophagus Present JAX_1370702

Specimen JAX_1370703: postnatal adult; Snx15tm1.1(KOMP)Vlcg/Snx15+ (more )
Structure Level Pattern Image Note
TS28: thymus Present JAX_1370703

Specimen JAX_1370704: postnatal adult; Snx15tm1.1(KOMP)Vlcg/Snx15+ (more )
Structure Level Pattern Image Note
TS28: stomach Present JAX_1370704

Specimen JAX_1370705: postnatal adult; Snx15tm1.1(KOMP)Vlcg/Snx15+ (more )
Structure Level Pattern Image Note
TS28: skin Present JAX_1370705

Specimen JAX_1370706: postnatal adult; Snx15tm1.1(KOMP)Vlcg/Snx15+ (more )
Structure Level Pattern Image Note
TS28: oviduct Present JAX_1370706

Specimen JAX_1370707: postnatal adult; Snx15tm1.1(KOMP)Vlcg/Snx15+ (more )
Structure Level Pattern Image Note
TS28: ovary Present JAX_1370707

Specimen JAX_1370708: postnatal adult; Snx15tm1.1(KOMP)Vlcg/Snx15+ (more )
Structure Level Pattern Image Note
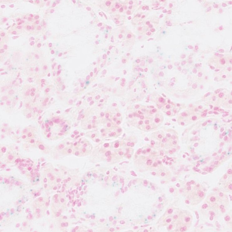
TS28: metanephros Present JAX_1370708 kidney

Specimen JAX_1370709: postnatal adult; Snx15tm1.1(KOMP)Vlcg/Snx15+ (more )
Structure Level Pattern Image Note
TS28: thalamus Present JAX_1370709

Specimen JAX_1370710: postnatal adult; Snx15tm1.1(KOMP)Vlcg/Snx15+ (more )
Structure Level Pattern Image Note
TS28: midbrain Present JAX_1370710

Specimen JAX_1370711: postnatal adult; Snx15tm1.1(KOMP)Vlcg/Snx15+ (more )
Structure Level Pattern Image Note
TS28: epididymis Present JAX_1370711

Specimen JAX_1370712: postnatal adult; Snx15tm1.1(KOMP)Vlcg/Snx15+ (more )
Structure Level Pattern Image Note
TS28: submandibular gland Present JAX_1370712

Specimen JAX_1370713: postnatal adult; Snx15tm1.1(KOMP)Vlcg/Snx15+ (more )
Structure Level Pattern Image Note
TS28: corpus striatum Present JAX_1370713

Specimen JAX_1370714: postnatal adult; Snx15tm1.1(KOMP)Vlcg/Snx15+ (more )
Structure Level Pattern Image Note
TS28: olfactory lobe Present JAX_1370714

Specimen JAX_1370715: postnatal adult; Snx15tm1.1(KOMP)Vlcg/Snx15+ (more )
Structure Level Pattern Image Note
TS28: hypothalamus Present JAX_1370715

Specimen JAX_1370716: postnatal adult; Snx15tm1.1(KOMP)Vlcg/Snx15+ (more )
Structure Level Pattern Image Note
TS28: hippocampus Present JAX_1370716

Specimen JAX_1370717: postnatal adult; Snx15tm1.1(KOMP)Vlcg/Snx15+ (more )
Structure Level Pattern Image Note
TS28: cerebellum Present JAX_1370717

Specimen JAX_1370718: postnatal adult; Snx15tm1.1(KOMP)Vlcg/Snx15+ (more )
Structure Level Pattern Image Note
TS28: cerebral cortex Present JAX_1370718

Specimen JAX_1370719: postnatal adult; Snx15tm1.1(KOMP)Vlcg/Snx15+ (more )
Structure Level Pattern Image Note
TS28: brainstem Present JAX_1370719

Specimen JAX_1370720: postnatal adult; Snx15tm1.1(KOMP)Vlcg/Snx15+ (more )
Structure Level Pattern Image Note
TS28: spleen Present JAX_1370720

Specimen JAX_1370721: postnatal adult; Snx15tm1.1(KOMP)Vlcg/Snx15+ (more )
Structure Level Pattern Image Note
TS28: trachea Present JAX_1370721

Specimen JAX_1370722: postnatal adult; Snx15tm1.1(KOMP)Vlcg/Snx15+ (more )
Structure Level Pattern Image Note
TS28: testis Present JAX_1370722

Specimen JAX_1370723: postnatal adult; Snx15tm1.1(KOMP)Vlcg/Snx15+ (more )
Structure Level Pattern Image Note
TS28: eye Present JAX_1370723

Specimen JAX_1370724: postnatal adult; Snx15tm1.1(KOMP)Vlcg/Snx15+ (more )
Structure Level Pattern Image Note
TS28: brain Present JAX_1370724

Specimen JAX_1370725: postnatal adult; Snx15tm1.1(KOMP)Vlcg/Snx15+ (more )
Structure Level Pattern Image Note
TS28: adrenal gland Present JAX_1370725


Contributing Projects:
Mouse Genome Database (MGD), Gene Expression Database (GXD), Mouse Models of Human Cancer database (MMHCdb) (formerly Mouse Tumor Biology (MTB)), Gene Ontology (GO)
Citing These Resources
Funding Information
Warranty Disclaimer, Privacy Notice, Licensing, & Copyright
Send questions and comments to User Support.
last database update
01/28/2026
MGI 6.24
The Jackson Laboratory