About   Help   FAQ
Gene Expression Data
Assay Details
Assay
Reference: J:228563 Koscielny G, et al., The International Mouse Phenotyping Consortium Web Portal, a unified point of access for knockout mice and related phenotyping data. Nucleic Acids Res. 2014 Jan;42(Database issue):D802-9
Assay type: In situ reporter (knock in)
MGI Accession ID: MGI:6691846
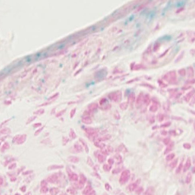
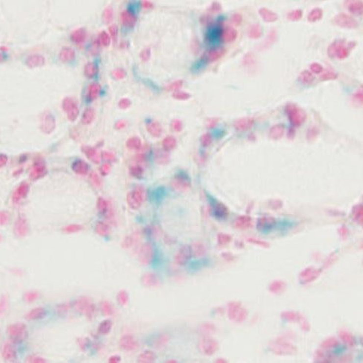
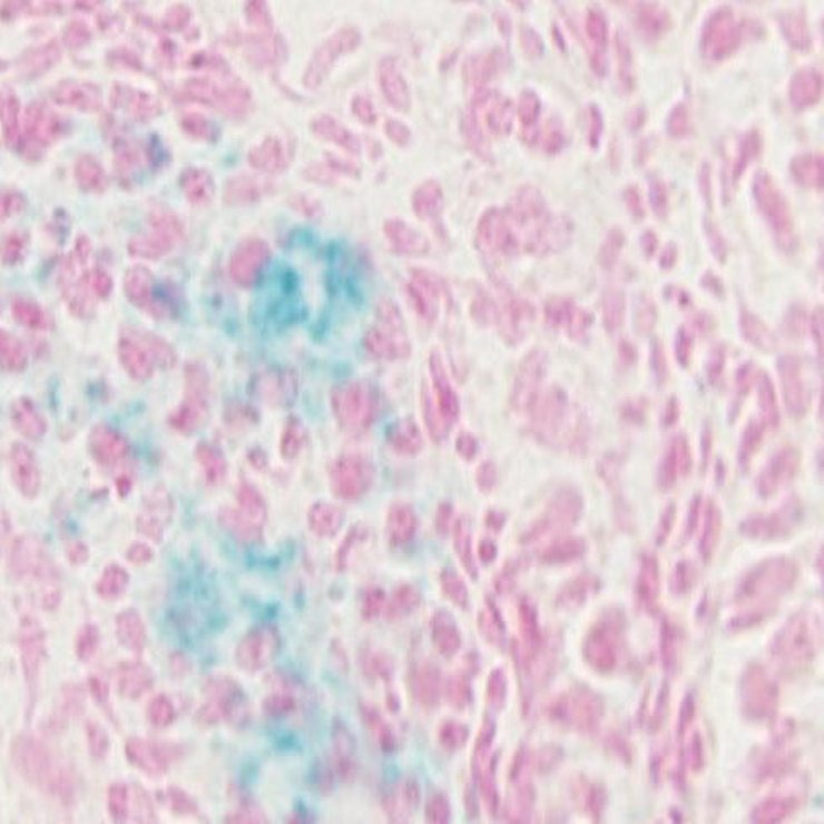
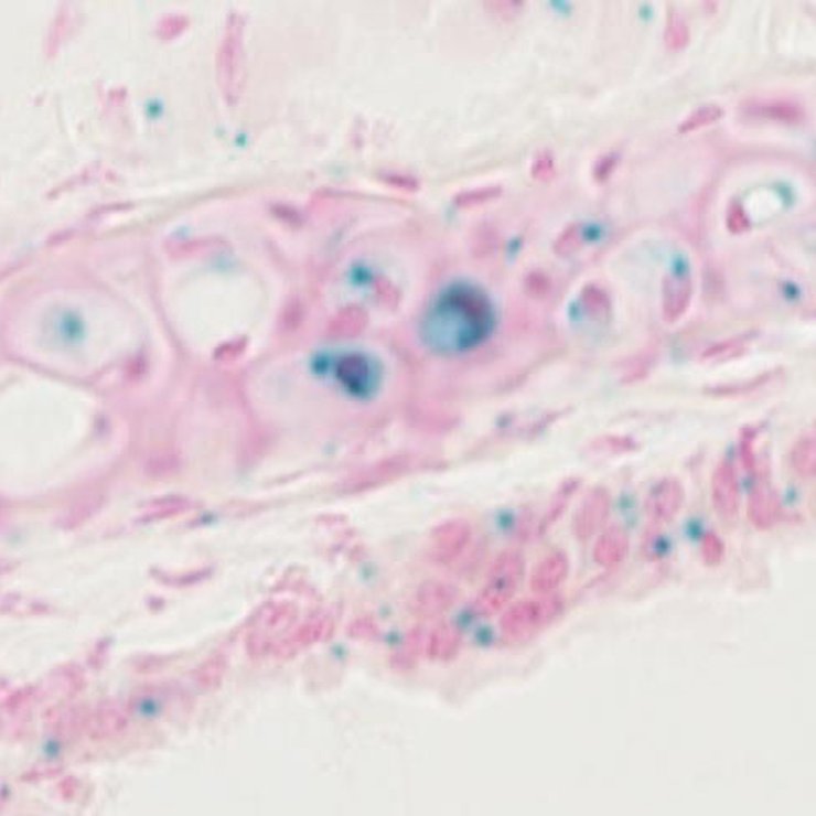
Gene symbol: Eif1b
Gene name: eukaryotic translation initiation factor 1B
Reporter: lacZ
Direct Detection
Results
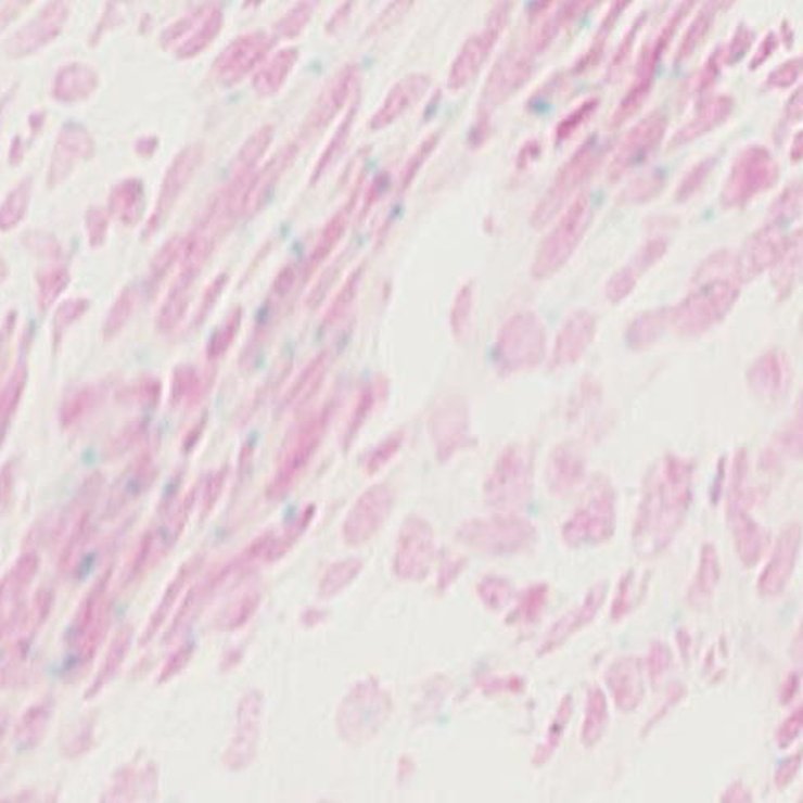
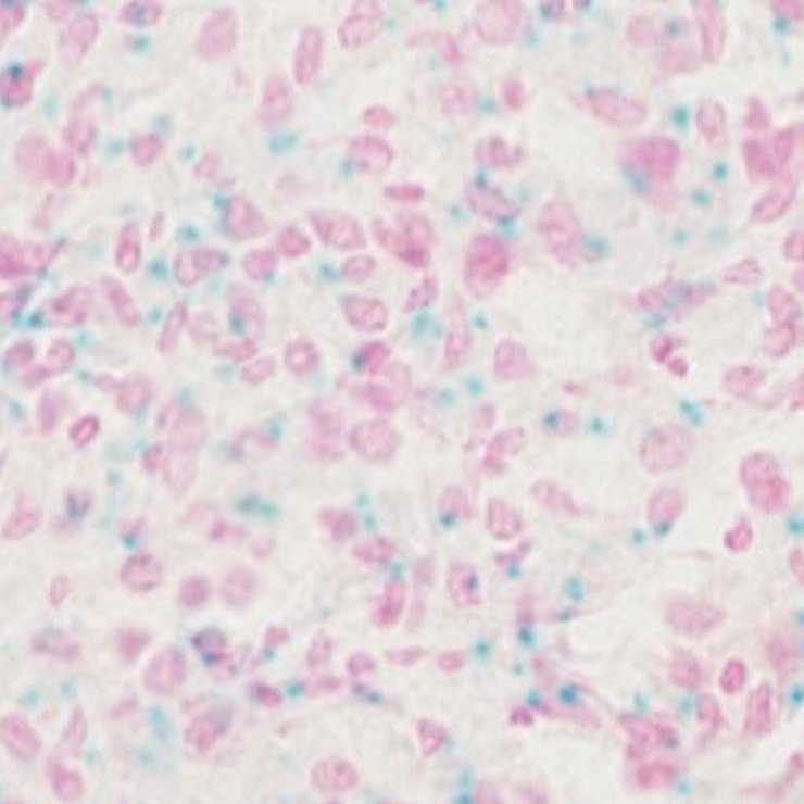
Specimen JAX_1470180: embryonic day 12.5; Eif1btm1.1(KOMP)Vlcg/Eif1b+ (more )
Structure Level Pattern Image Note
TS20: embryo Present JAX_1470180

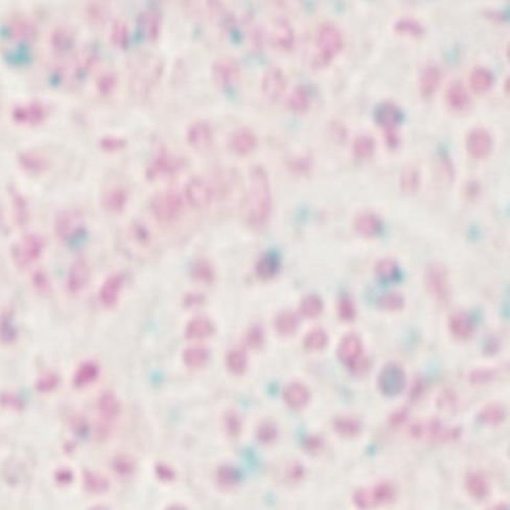
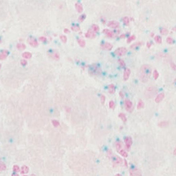
Specimen JAX_1470181: embryonic day 12.5; Eif1btm1.1(KOMP)Vlcg/Eif1b+ (more )
Structure Level Pattern Image Note
TS20: embryo Present JAX_1470181

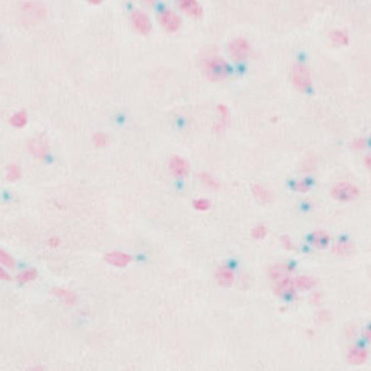
Specimen JAX_1470182: embryonic day 12.5; Eif1btm1.1(KOMP)Vlcg/Eif1b+ (more )
Structure Level Pattern Image Note
TS20: embryo Present JAX_1470182

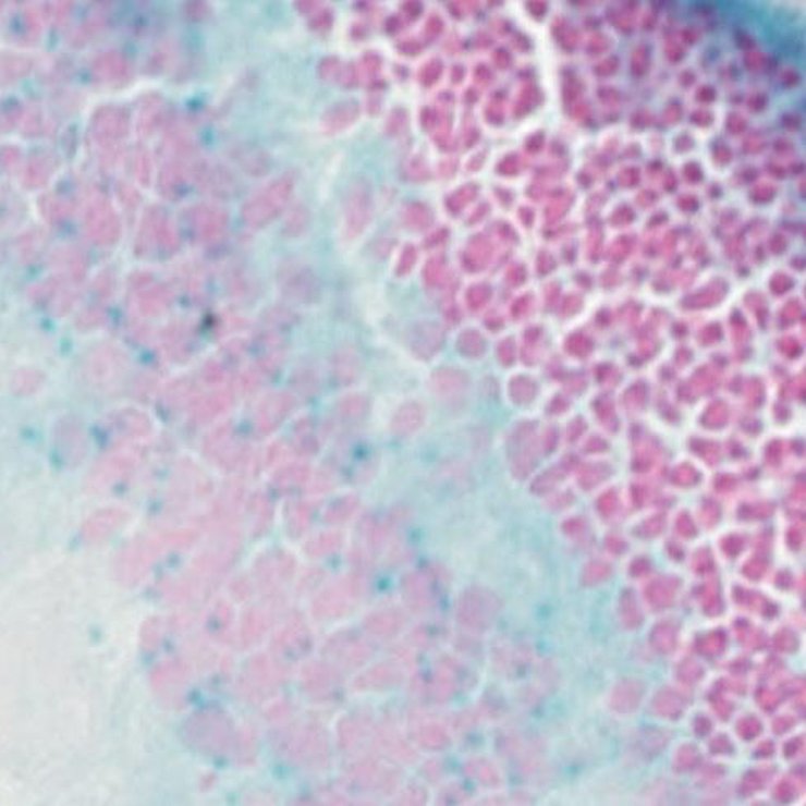
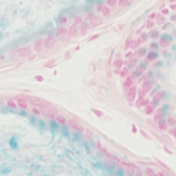
Specimen JAX_1470183: embryonic day 12.5; Eif1btm1.1(KOMP)Vlcg/Eif1b+ (more )
Structure Level Pattern Image Note
TS20: embryo Present JAX_1470183

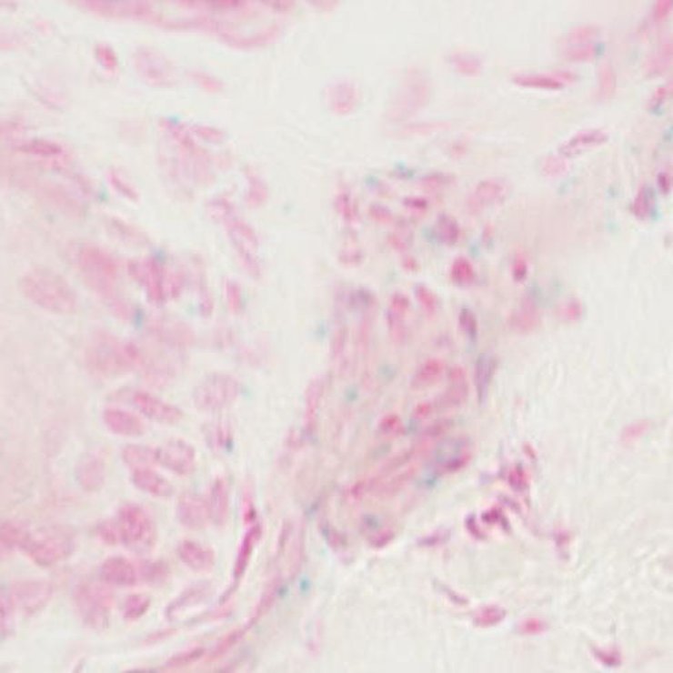
Specimen JAX_955005: embryonic day 12.5; Eif1btm1.1(KOMP)Vlcg/Eif1b+ (more )
Structure Level Pattern Image Note
TS20: embryo Present JAX_955005

Specimen JAX_955007: embryonic day 12.5; Eif1btm1.1(KOMP)Vlcg/Eif1b+ (more )
Structure Level Pattern Image Note
TS20: embryo Present JAX_955007

Specimen JAX_955009: embryonic day 12.5; Eif1btm1.1(KOMP)Vlcg/Eif1b+ (more )
Structure Level Pattern Image Note
TS20: embryo Present JAX_955009

Specimen JAX_955011: embryonic day 12.5; Eif1btm1.1(KOMP)Vlcg/Eif1b+ (more )
Structure Level Pattern Image Note
TS20: embryo Present JAX_955011

Specimen JAX_1306013: postnatal adult; Eif1btm1.1(KOMP)Vlcg/Eif1b+ (more )
Structure Level Pattern Image Note
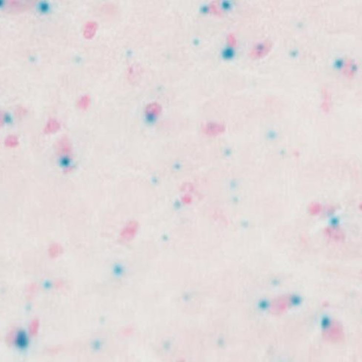
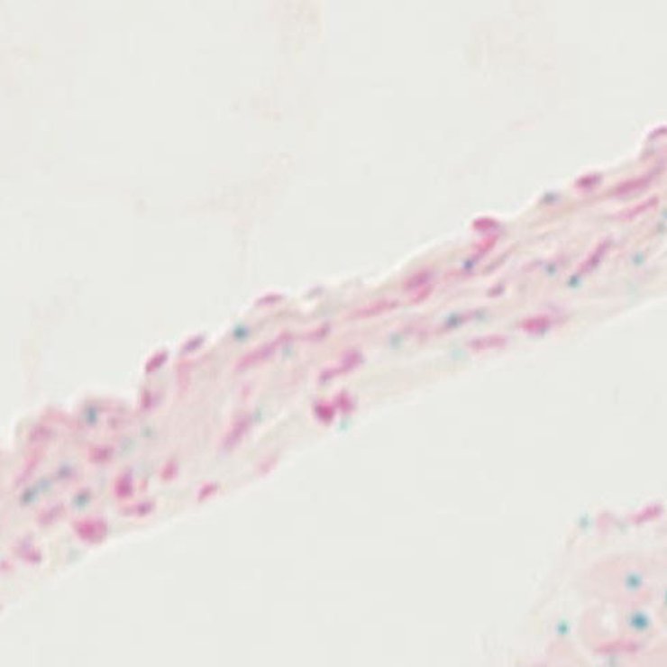
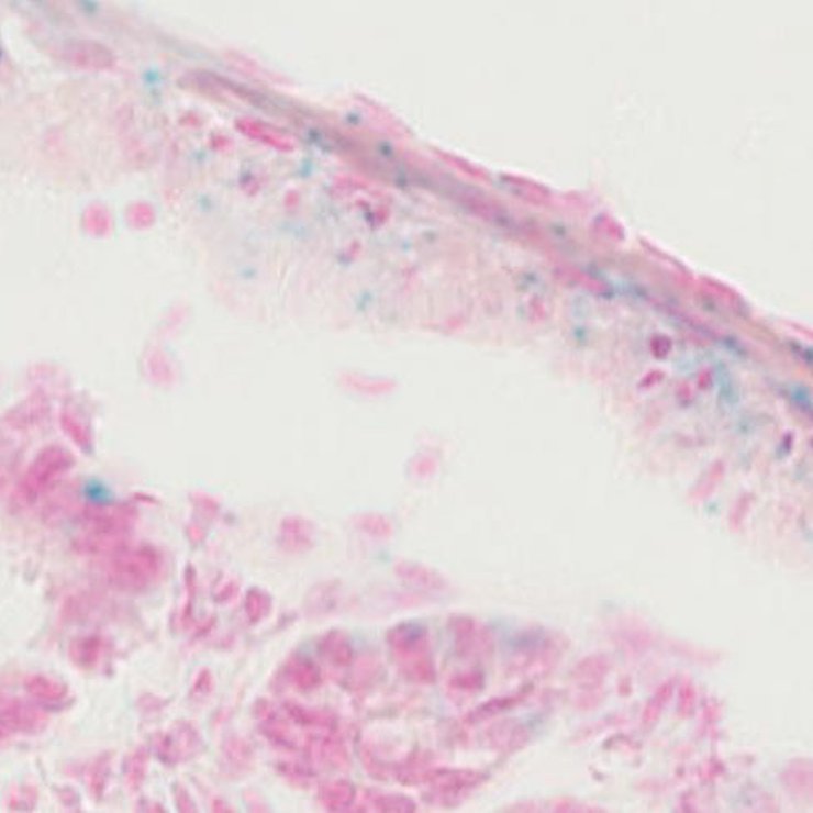
TS28: vascular system Present JAX_1306013

Specimen JAX_1306014: postnatal adult; Eif1btm1.1(KOMP)Vlcg/Eif1b+ (more )
Structure Level Pattern Image Note
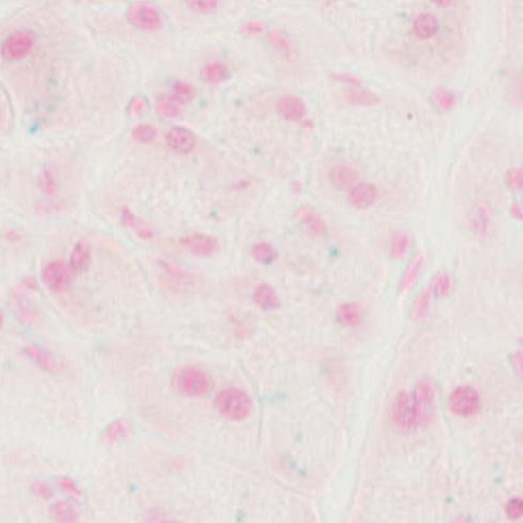
TS28: hypothalamus Present JAX_1306014

Specimen JAX_1306015: postnatal adult; Eif1btm1.1(KOMP)Vlcg/Eif1b+ (more )
Structure Level Pattern Image Note
TS28: hippocampus Present JAX_1306015

Specimen JAX_1306016: postnatal adult; Eif1btm1.1(KOMP)Vlcg/Eif1b+ (more )
Structure Level Pattern Image Note
TS28: cerebellum Present JAX_1306016

Specimen JAX_1306017: postnatal adult; Eif1btm1.1(KOMP)Vlcg/Eif1b+ (more )
Structure Level Pattern Image Note
TS28: brainstem Present JAX_1306017

Specimen JAX_1306018: postnatal adult; Eif1btm1.1(KOMP)Vlcg/Eif1b+ (more )
Structure Level Pattern Image Note
TS28: aorta Present JAX_1306018

Specimen JAX_1306019: postnatal adult; Eif1btm1.1(KOMP)Vlcg/Eif1b+ (more )
Structure Level Pattern Image Note
TS28: thyroid gland Present JAX_1306019

Specimen JAX_1306020: postnatal adult; Eif1btm1.1(KOMP)Vlcg/Eif1b+ (more )
Structure Level Pattern Image Note
TS28: large intestine Present JAX_1306020

Specimen JAX_1306021: postnatal adult; Eif1btm1.1(KOMP)Vlcg/Eif1b+ (more )
Structure Level Pattern Image Note
TS28: uterus Present JAX_1306021

Specimen JAX_1306022: postnatal adult; Eif1btm1.1(KOMP)Vlcg/Eif1b+ (more )
Structure Level Pattern Image Note
TS28: stomach Present JAX_1306022

Specimen JAX_1306023: postnatal adult; Eif1btm1.1(KOMP)Vlcg/Eif1b+ (more )
Structure Level Pattern Image Note
TS28: oviduct Present JAX_1306023

Specimen JAX_1306024: postnatal adult; Eif1btm1.1(KOMP)Vlcg/Eif1b+ (more )
Structure Level Pattern Image Note
TS28: ovary Present JAX_1306024

Specimen JAX_1306025: postnatal adult; Eif1btm1.1(KOMP)Vlcg/Eif1b+ (more )
Structure Level Pattern Image Note
TS28: brain Present JAX_1306025

Specimen JAX_1306026: postnatal adult; Eif1btm1.1(KOMP)Vlcg/Eif1b+ (more )
Structure Level Pattern Image Note
TS28: adrenal gland Present JAX_1306026

Specimen JAX_1305990: postnatal adult; Eif1btm1.1(KOMP)Vlcg/Eif1b+ (more )
Structure Level Pattern Image Note
TS28: thalamus Present JAX_1305990

Specimen JAX_1305991: postnatal adult; Eif1btm1.1(KOMP)Vlcg/Eif1b+ (more )
Structure Level Pattern Image Note
TS28: midbrain Present JAX_1305991

Specimen JAX_1305992: postnatal adult; Eif1btm1.1(KOMP)Vlcg/Eif1b+ (more )
Structure Level Pattern Image Note
TS28: epididymis Present JAX_1305992

Specimen JAX_1305993: postnatal adult; Eif1btm1.1(KOMP)Vlcg/Eif1b+ (more )
Structure Level Pattern Image Note
TS28: bladder Present JAX_1305993

Specimen JAX_1305994: postnatal adult; Eif1btm1.1(KOMP)Vlcg/Eif1b+ (more )
Structure Level Pattern Image Note
TS28: corpus striatum Present JAX_1305994

Specimen JAX_1305995: postnatal adult; Eif1btm1.1(KOMP)Vlcg/Eif1b+ (more )
Structure Level Pattern Image Note
TS28: peripheral nervous system Present JAX_1305995

Specimen JAX_1305996: postnatal adult; Eif1btm1.1(KOMP)Vlcg/Eif1b+ (more )
Structure Level Pattern Image Note
TS28: olfactory lobe Present JAX_1305996

Specimen JAX_1305997: postnatal adult; Eif1btm1.1(KOMP)Vlcg/Eif1b+ (more )
Structure Level Pattern Image Note
TS28: cerebral cortex Present JAX_1305997

Specimen JAX_1305998: postnatal adult; Eif1btm1.1(KOMP)Vlcg/Eif1b+ (more )
Structure Level Pattern Image Note
TS28: cartilage Present JAX_1305998

Specimen JAX_1305999: postnatal adult; Eif1btm1.1(KOMP)Vlcg/Eif1b+ (more )
Structure Level Pattern Image Note
TS28: spleen Present JAX_1305999

Specimen JAX_1306000: postnatal adult; Eif1btm1.1(KOMP)Vlcg/Eif1b+ (more )
Structure Level Pattern Image Note
TS28: pancreas Present JAX_1306000

Specimen JAX_1306001: postnatal adult; Eif1btm1.1(KOMP)Vlcg/Eif1b+ (more )
Structure Level Pattern Image Note
TS28: lung Present JAX_1306001

Specimen JAX_1306002: postnatal adult; Eif1btm1.1(KOMP)Vlcg/Eif1b+ (more )
Structure Level Pattern Image Note
TS28: small intestine Present JAX_1306002

Specimen JAX_1306003: postnatal adult; Eif1btm1.1(KOMP)Vlcg/Eif1b+ (more )
Structure Level Pattern Image Note
TS28: skeletal muscle tissue Present JAX_1306003

Specimen JAX_1306004: postnatal adult; Eif1btm1.1(KOMP)Vlcg/Eif1b+ (more )
Structure Level Pattern Image Note
TS28: pituitary gland Present JAX_1306004

Specimen JAX_1306005: postnatal adult; Eif1btm1.1(KOMP)Vlcg/Eif1b+ (more )
Structure Level Pattern Image Note
TS28: spinal cord Present JAX_1306005

Specimen JAX_1306006: postnatal adult; Eif1btm1.1(KOMP)Vlcg/Eif1b+ (more )
Structure Level Pattern Image Note
TS28: esophagus Present JAX_1306006

Specimen JAX_1306007: postnatal adult; Eif1btm1.1(KOMP)Vlcg/Eif1b+ (more )
Structure Level Pattern Image Note
TS28: trachea Present JAX_1306007

Specimen JAX_1306008: postnatal adult; Eif1btm1.1(KOMP)Vlcg/Eif1b+ (more )
Structure Level Pattern Image Note
TS28: thymus Present JAX_1306008

Specimen JAX_1306009: postnatal adult; Eif1btm1.1(KOMP)Vlcg/Eif1b+ (more )
Structure Level Pattern Image Note
TS28: testis Present JAX_1306009

Specimen JAX_1306010: postnatal adult; Eif1btm1.1(KOMP)Vlcg/Eif1b+ (more )
Structure Level Pattern Image Note
TS28: metanephros Present JAX_1306010 kidney

Specimen JAX_1306011: postnatal adult; Eif1btm1.1(KOMP)Vlcg/Eif1b+ (more )
Structure Level Pattern Image Note
TS28: heart Present JAX_1306011

Specimen JAX_1306012: postnatal adult; Eif1btm1.1(KOMP)Vlcg/Eif1b+ (more )
Structure Level Pattern Image Note
TS28: eye Present JAX_1306012


Contributing Projects:
Mouse Genome Database (MGD), Gene Expression Database (GXD), Mouse Models of Human Cancer database (MMHCdb) (formerly Mouse Tumor Biology (MTB)), Gene Ontology (GO)
Citing These Resources
Funding Information
Warranty Disclaimer, Privacy Notice, Licensing, & Copyright
Send questions and comments to User Support.
last database update
12/30/2025
MGI 6.24
The Jackson Laboratory