About   Help   FAQ
Gene Expression Data
Assay Details
Assay
Reference: J:228563 Koscielny G, et al., The International Mouse Phenotyping Consortium Web Portal, a unified point of access for knockout mice and related phenotyping data. Nucleic Acids Res. 2014 Jan;42(Database issue):D802-9
Assay type: In situ reporter (knock in)
MGI Accession ID: MGI:6691837
Gene symbol: Mrps18c
Gene name: mitochondrial ribosomal protein S18C
Reporter: lacZ
Direct Detection
Results
Specimen JAX_1314419: embryonic day 12.5; Mrps18ctm1.1(KOMP)Vlcg/Mrps18c+ (more )
Structure Level Pattern Image Note
TS20: embryo Present JAX_1314419

Specimen JAX_1314420: embryonic day 12.5; Mrps18ctm1.1(KOMP)Vlcg/Mrps18c+ (more )
Structure Level Pattern Image Note
TS20: embryo Present JAX_1314420

Specimen JAX_1314421: embryonic day 12.5; Mrps18ctm1.1(KOMP)Vlcg/Mrps18c+ (more )
Structure Level Pattern Image Note
TS20: embryo Present JAX_1314421

Specimen JAX_1314422: embryonic day 12.5; Mrps18ctm1.1(KOMP)Vlcg/Mrps18c+ (more )
Structure Level Pattern Image Note
TS20: embryo Present JAX_1314422

Specimen JAX_1314423: embryonic day 12.5; Mrps18ctm1.1(KOMP)Vlcg/Mrps18c+ (more )
Structure Level Pattern Image Note
TS20: embryo Present JAX_1314423

Specimen JAX_1314424: embryonic day 12.5; Mrps18ctm1.1(KOMP)Vlcg/Mrps18c+ (more )
Structure Level Pattern Image Note
TS20: embryo Present JAX_1314424

Specimen JAX_1314425: embryonic day 12.5; Mrps18ctm1.1(KOMP)Vlcg/Mrps18c+ (more )
Structure Level Pattern Image Note
TS20: embryo Present JAX_1314425

Specimen JAX_1314426: embryonic day 12.5; Mrps18ctm1.1(KOMP)Vlcg/Mrps18c+ (more )
Structure Level Pattern Image Note
TS20: embryo Present JAX_1314426

Specimen JAX_1373021: postnatal adult; Mrps18ctm1.1(KOMP)Vlcg/Mrps18c+ (more )
Structure Level Pattern Image Note
TS28: thalamus Present JAX_1373021

Specimen JAX_1373022: postnatal adult; Mrps18ctm1.1(KOMP)Vlcg/Mrps18c+ (more )
Structure Level Pattern Image Note
TS28: midbrain Present JAX_1373022

Specimen JAX_1373023: postnatal adult; Mrps18ctm1.1(KOMP)Vlcg/Mrps18c+ (more )
Structure Level Pattern Image Note
TS28: vascular system Present JAX_1373023

Specimen JAX_1373024: postnatal adult; Mrps18ctm1.1(KOMP)Vlcg/Mrps18c+ (more )
Structure Level Pattern Image Note
TS28: submandibular gland Present JAX_1373024

Specimen JAX_1373025: postnatal adult; Mrps18ctm1.1(KOMP)Vlcg/Mrps18c+ (more )
Structure Level Pattern Image Note
TS28: bladder Present JAX_1373025

Specimen JAX_1373026: postnatal adult; Mrps18ctm1.1(KOMP)Vlcg/Mrps18c+ (more )
Structure Level Pattern Image Note
TS28: corpus striatum Present JAX_1373026

Specimen JAX_1373027: postnatal adult; Mrps18ctm1.1(KOMP)Vlcg/Mrps18c+ (more )
Structure Level Pattern Image Note
TS28: Peyer's patch Present JAX_1373027

Specimen JAX_1373028: postnatal adult; Mrps18ctm1.1(KOMP)Vlcg/Mrps18c+ (more )
Structure Level Pattern Image Note
TS28: peripheral nervous system Present JAX_1373028

Specimen JAX_1373029: postnatal adult; Mrps18ctm1.1(KOMP)Vlcg/Mrps18c+ (more )
Structure Level Pattern Image Note
TS28: olfactory lobe Present JAX_1373029

Specimen JAX_1373030: postnatal adult; Mrps18ctm1.1(KOMP)Vlcg/Mrps18c+ (more )
Structure Level Pattern Image Note
TS28: hypothalamus Present JAX_1373030

Specimen JAX_1373031: postnatal adult; Mrps18ctm1.1(KOMP)Vlcg/Mrps18c+ (more )
Structure Level Pattern Image Note
TS28: hippocampus Present JAX_1373031

Specimen JAX_1373032: postnatal adult; Mrps18ctm1.1(KOMP)Vlcg/Mrps18c+ (more )
Structure Level Pattern Image Note
TS28: brainstem Present JAX_1373032

Specimen JAX_1373033: postnatal adult; Mrps18ctm1.1(KOMP)Vlcg/Mrps18c+ (more )
Structure Level Pattern Image Note
TS28: aorta Present JAX_1373033

Specimen JAX_1373034: postnatal adult; Mrps18ctm1.1(KOMP)Vlcg/Mrps18c+ (more )
Structure Level Pattern Image Note
TS28: white fat Present JAX_1373034

Specimen JAX_1373035: postnatal adult; Mrps18ctm1.1(KOMP)Vlcg/Mrps18c+ (more )
Structure Level Pattern Image Note
TS28: small intestine Present JAX_1373035

Specimen JAX_1373036: postnatal adult; Mrps18ctm1.1(KOMP)Vlcg/Mrps18c+ (more )
Structure Level Pattern Image Note
TS28: skeletal muscle tissue Present JAX_1373036

Specimen JAX_1373037: postnatal adult; Mrps18ctm1.1(KOMP)Vlcg/Mrps18c+ (more )
Structure Level Pattern Image Note
TS28: pituitary gland Present JAX_1373037

Specimen JAX_1373038: postnatal adult; Mrps18ctm1.1(KOMP)Vlcg/Mrps18c+ (more )
Structure Level Pattern Image Note
TS28: thyroid gland Present JAX_1373038

Specimen JAX_1373039: postnatal adult; Mrps18ctm1.1(KOMP)Vlcg/Mrps18c+ (more )
Structure Level Pattern Image Note
TS28: esophagus Absent JAX_1373039

Specimen JAX_1373040: postnatal adult; Mrps18ctm1.1(KOMP)Vlcg/Mrps18c+ (more )
Structure Level Pattern Image Note
TS28: large intestine Present JAX_1373040

Specimen JAX_1373041: postnatal adult; Mrps18ctm1.1(KOMP)Vlcg/Mrps18c+ (more )
Structure Level Pattern Image Note
TS28: uterus Present JAX_1373041

Specimen JAX_1373042: postnatal adult; Mrps18ctm1.1(KOMP)Vlcg/Mrps18c+ (more )
Structure Level Pattern Image Note
TS28: trachea Present JAX_1373042

Specimen JAX_1373043: postnatal adult; Mrps18ctm1.1(KOMP)Vlcg/Mrps18c+ (more )
Structure Level Pattern Image Note
TS28: oviduct Present JAX_1373043

Specimen JAX_1373044: postnatal adult; Mrps18ctm1.1(KOMP)Vlcg/Mrps18c+ (more )
Structure Level Pattern Image Note
TS28: ovary Present JAX_1373044

Specimen JAX_1373045: postnatal adult; Mrps18ctm1.1(KOMP)Vlcg/Mrps18c+ (more )
Structure Level Pattern Image Note
TS28: lymph node Present JAX_1373045

Specimen JAX_1373046: postnatal adult; Mrps18ctm1.1(KOMP)Vlcg/Mrps18c+ (more )
Structure Level Pattern Image Note
TS28: metanephros Present JAX_1373046 kidney

Specimen JAX_1373047: postnatal adult; Mrps18ctm1.1(KOMP)Vlcg/Mrps18c+ (more )
Structure Level Pattern Image Note
TS28: brain Present JAX_1373047

Specimen JAX_1373048: postnatal adult; Mrps18ctm1.1(KOMP)Vlcg/Mrps18c+ (more )
Structure Level Pattern Image Note
TS28: adrenal gland Present JAX_1373048

Specimen JAX_1373049: postnatal adult; Mrps18ctm1.1(KOMP)Vlcg/Mrps18c+ (more )
Structure Level Pattern Image Note
TS28: epididymis Present JAX_1373049

Specimen JAX_1373050: postnatal adult; Mrps18ctm1.1(KOMP)Vlcg/Mrps18c+ (more )
Structure Level Pattern Image Note
TS28: cerebellum Present JAX_1373050

Specimen JAX_1373051: postnatal adult; Mrps18ctm1.1(KOMP)Vlcg/Mrps18c+ (more )
Structure Level Pattern Image Note
TS28: cerebral cortex Present JAX_1373051

Specimen JAX_1373052: postnatal adult; Mrps18ctm1.1(KOMP)Vlcg/Mrps18c+ (more )
Structure Level Pattern Image Note
TS28: cartilage Present JAX_1373052

Specimen JAX_1373053: postnatal adult; Mrps18ctm1.1(KOMP)Vlcg/Mrps18c+ (more )
Structure Level Pattern Image Note
TS28: spleen Present JAX_1373053

Specimen JAX_1373054: postnatal adult; Mrps18ctm1.1(KOMP)Vlcg/Mrps18c+ (more )
Structure Level Pattern Image Note
TS28: pancreas Present JAX_1373054

Specimen JAX_1373055: postnatal adult; Mrps18ctm1.1(KOMP)Vlcg/Mrps18c+ (more )
Structure Level Pattern Image Note
TS28: lung Present JAX_1373055

Specimen JAX_1373056: postnatal adult; Mrps18ctm1.1(KOMP)Vlcg/Mrps18c+ (more )
Structure Level Pattern Image Note
TS28: spinal cord Present JAX_1373056

Specimen JAX_1373057: postnatal adult; Mrps18ctm1.1(KOMP)Vlcg/Mrps18c+ (more )
Structure Level Pattern Image Note
TS28: thymus Present JAX_1373057

Specimen JAX_1373058: postnatal adult; Mrps18ctm1.1(KOMP)Vlcg/Mrps18c+ (more )
Structure Level Pattern Image Note
TS28: testis Present JAX_1373058

Specimen JAX_1373059: postnatal adult; Mrps18ctm1.1(KOMP)Vlcg/Mrps18c+ (more )
Structure Level Pattern Image Note
TS28: stomach Present JAX_1373059

Specimen JAX_1373060: postnatal adult; Mrps18ctm1.1(KOMP)Vlcg/Mrps18c+ (more )
Structure Level Pattern Image Note
TS28: skin Present JAX_1373060

Specimen JAX_1373061: postnatal adult; Mrps18ctm1.1(KOMP)Vlcg/Mrps18c+ (more )
Structure Level Pattern Image Note
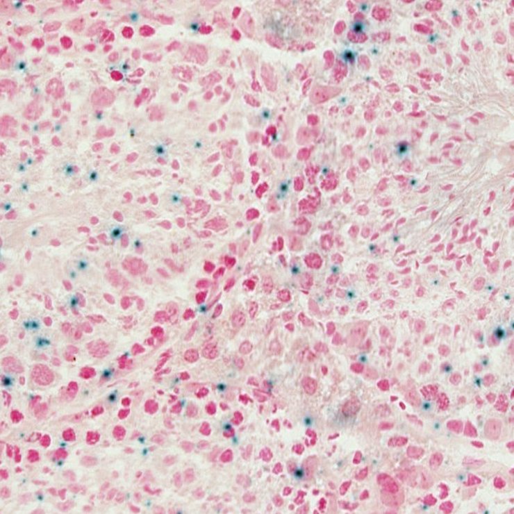
TS28: liver Present JAX_1373061

Specimen JAX_1373062: postnatal adult; Mrps18ctm1.1(KOMP)Vlcg/Mrps18c+ (more )
Structure Level Pattern Image Note
TS28: heart Present JAX_1373062

Specimen JAX_1373063: postnatal adult; Mrps18ctm1.1(KOMP)Vlcg/Mrps18c+ (more )
Structure Level Pattern Image Note
TS28: eye Present JAX_1373063


Contributing Projects:
Mouse Genome Database (MGD), Gene Expression Database (GXD), Mouse Models of Human Cancer database (MMHCdb) (formerly Mouse Tumor Biology (MTB)), Gene Ontology (GO)
Citing These Resources
Funding Information
Warranty Disclaimer, Privacy Notice, Licensing, & Copyright
Send questions and comments to User Support.
last database update
03/24/2026
MGI 6.24
The Jackson Laboratory