About   Help   FAQ
Gene Expression Data
Assay Details
Assay
Reference: J:228563 Koscielny G, et al., The International Mouse Phenotyping Consortium Web Portal, a unified point of access for knockout mice and related phenotyping data. Nucleic Acids Res. 2014 Jan;42(Database issue):D802-9
Assay type: In situ reporter (knock in)
MGI Accession ID: MGI:6691836
Gene symbol: Cfap68
Gene name: cilia and flagella associated protein 68
Reporter: lacZ
Direct Detection
Results
Specimen UC Davis_1879657: postnatal adult; Cfap68tm1.1(KOMP)Vlcg/Cfap68tm1.1(KOMP)Vlcg (more )
Structure Level Pattern Image Note
TS28: submandibular gland Present UC Davis_1879657

Specimen UC Davis_1879658: postnatal adult; Cfap68tm1.1(KOMP)Vlcg/Cfap68tm1.1(KOMP)Vlcg (more )
Structure Level Pattern Image Note
TS28: submandibular gland Present UC Davis_1879658

Specimen UC Davis_1879659: postnatal adult; Cfap68tm1.1(KOMP)Vlcg/Cfap68tm1.1(KOMP)Vlcg (more )
Structure Level Pattern Image Note
TS28: sublingual gland Present UC Davis_1879659

Specimen UC Davis_1879660: postnatal adult; Cfap68tm1.1(KOMP)Vlcg/Cfap68tm1.1(KOMP)Vlcg (more )
Structure Level Pattern Image Note
TS28: sublingual gland Present UC Davis_1879660

Specimen UC Davis_1879661: postnatal adult; Cfap68tm1.1(KOMP)Vlcg/Cfap68tm1.1(KOMP)Vlcg (more )
Structure Level Pattern Image Note
TS28: parotid gland Present UC Davis_1879661

Specimen UC Davis_1879662: postnatal adult; Cfap68tm1.1(KOMP)Vlcg/Cfap68tm1.1(KOMP)Vlcg (more )
Structure Level Pattern Image Note
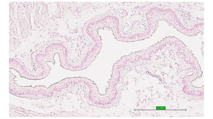
TS28: trachea Present UC Davis_1879662

Specimen UC Davis_1879663: postnatal adult; Cfap68tm1.1(KOMP)Vlcg/Cfap68tm1.1(KOMP)Vlcg (more )
Structure Level Pattern Image Note
TS28: trachea Present UC Davis_1879663

Specimen UC Davis_1879664: postnatal adult; Cfap68tm1.1(KOMP)Vlcg/Cfap68tm1.1(KOMP)Vlcg (more )
Structure Level Pattern Image Note
TS28: trachea Present UC Davis_1879664

Specimen UC Davis_1879665: postnatal adult; Cfap68tm1.1(KOMP)Vlcg/Cfap68tm1.1(KOMP)Vlcg (more )
Structure Level Pattern Image Note
TS28: trachea Present UC Davis_1879665

Specimen UC Davis_1879666: postnatal adult; Cfap68tm1.1(KOMP)Vlcg/Cfap68tm1.1(KOMP)Vlcg (more )
Structure Level Pattern Image Note
TS28: esophagus Present UC Davis_1879666

Specimen UC Davis_1879667: postnatal adult; Cfap68tm1.1(KOMP)Vlcg/Cfap68tm1.1(KOMP)Vlcg (more )
Structure Level Pattern Image Note
TS28: aorta Present UC Davis_1879667

Specimen UC Davis_1879668: postnatal adult; Cfap68tm1.1(KOMP)Vlcg/Cfap68tm1.1(KOMP)Vlcg (more )
Structure Level Pattern Image Note
TS28: lung Present UC Davis_1879668

Specimen UC Davis_1879669: postnatal adult; Cfap68tm1.1(KOMP)Vlcg/Cfap68tm1.1(KOMP)Vlcg (more )
Structure Level Pattern Image Note
TS28: lung Present UC Davis_1879669

Specimen UC Davis_1879670: postnatal adult; Cfap68tm1.1(KOMP)Vlcg/Cfap68tm1.1(KOMP)Vlcg (more )
Structure Level Pattern Image Note
TS28: thymus Present UC Davis_1879670

Specimen UC Davis_1879671: postnatal adult; Cfap68tm1.1(KOMP)Vlcg/Cfap68tm1.1(KOMP)Vlcg (more )
Structure Level Pattern Image Note
TS28: thymus Present UC Davis_1879671

Specimen UC Davis_1879672: postnatal adult; Cfap68tm1.1(KOMP)Vlcg/Cfap68tm1.1(KOMP)Vlcg (more )
Structure Level Pattern Image Note
TS28: thymus Present UC Davis_1879672

Specimen UC Davis_1879675: postnatal adult; Cfap68tm1.1(KOMP)Vlcg/Cfap68tm1.1(KOMP)Vlcg (more )
Structure Level Pattern Image Note
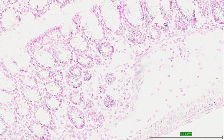
TS28: stomach Present UC Davis_1879675

Specimen UC Davis_1879676: postnatal adult; Cfap68tm1.1(KOMP)Vlcg/Cfap68tm1.1(KOMP)Vlcg (more )
Structure Level Pattern Image Note
TS28: stomach Present UC Davis_1879676

Specimen UC Davis_1879677: postnatal adult; Cfap68tm1.1(KOMP)Vlcg/Cfap68tm1.1(KOMP)Vlcg (more )
Structure Level Pattern Image Note
TS28: duodenum Present UC Davis_1879677

Specimen UC Davis_1879678: postnatal adult; Cfap68tm1.1(KOMP)Vlcg/Cfap68tm1.1(KOMP)Vlcg (more )
Structure Level Pattern Image Note
TS28: jejunum Present UC Davis_1879678

Specimen UC Davis_1879679: postnatal adult; Cfap68tm1.1(KOMP)Vlcg/Cfap68tm1.1(KOMP)Vlcg (more )
Structure Level Pattern Image Note
TS28: jejunum Present UC Davis_1879679

Specimen UC Davis_1879680: postnatal adult; Cfap68tm1.1(KOMP)Vlcg/Cfap68tm1.1(KOMP)Vlcg (more )
Structure Level Pattern Image Note
TS28: ileum Present UC Davis_1879680

Specimen UC Davis_1879681: postnatal adult; Cfap68tm1.1(KOMP)Vlcg/Cfap68tm1.1(KOMP)Vlcg (more )
Structure Level Pattern Image Note
TS28: ileum Present UC Davis_1879681

Specimen UC Davis_1879682: postnatal adult; Cfap68tm1.1(KOMP)Vlcg/Cfap68tm1.1(KOMP)Vlcg (more )
Structure Level Pattern Image Note
TS28: colon Present UC Davis_1879682

Specimen UC Davis_1879683: postnatal adult; Cfap68tm1.1(KOMP)Vlcg/Cfap68tm1.1(KOMP)Vlcg (more )
Structure Level Pattern Image Note
TS28: cecum Present UC Davis_1879683

Specimen UC Davis_1879684: postnatal adult; Cfap68tm1.1(KOMP)Vlcg/Cfap68tm1.1(KOMP)Vlcg (more )
Structure Level Pattern Image Note
TS28: cecum Present UC Davis_1879684

Specimen UC Davis_1879685: postnatal adult; Cfap68tm1.1(KOMP)Vlcg/Cfap68tm1.1(KOMP)Vlcg (more )
Structure Level Pattern Image Note
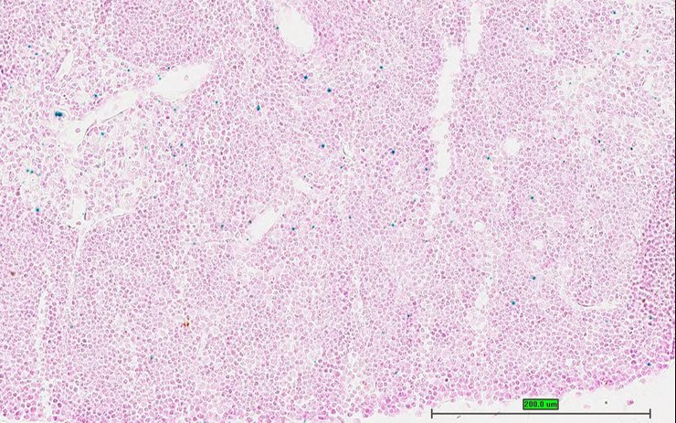
TS28: spleen Present UC Davis_1879685

Specimen UC Davis_1879686: postnatal adult; Cfap68tm1.1(KOMP)Vlcg/Cfap68tm1.1(KOMP)Vlcg (more )
Structure Level Pattern Image Note
TS28: spleen Present UC Davis_1879686

Specimen UC Davis_1879687: postnatal adult; Cfap68tm1.1(KOMP)Vlcg/Cfap68tm1.1(KOMP)Vlcg (more )
Structure Level Pattern Image Note
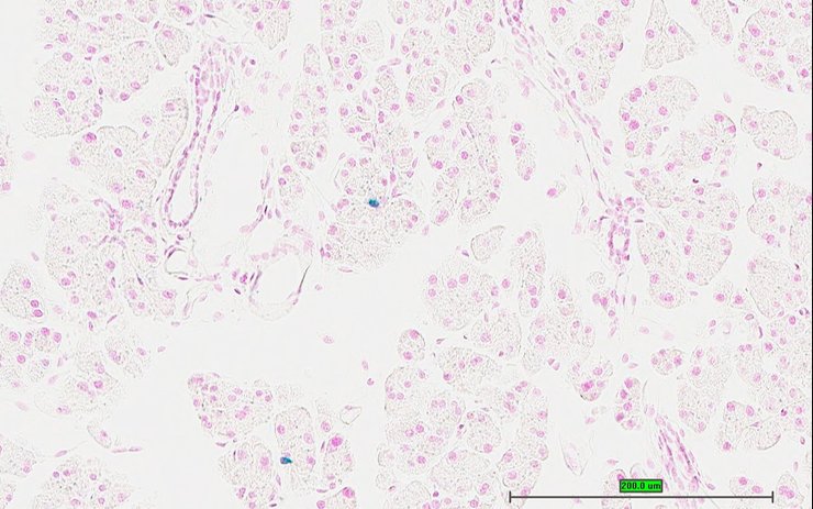
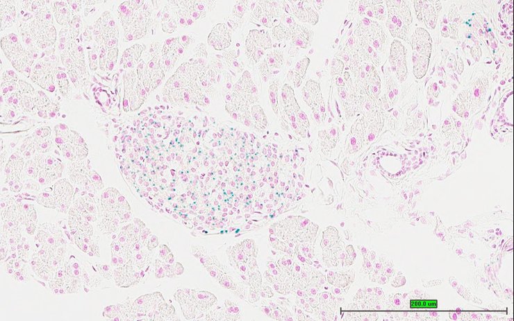
TS28: pancreas Present UC Davis_1879687

Specimen UC Davis_1879688: postnatal adult; Cfap68tm1.1(KOMP)Vlcg/Cfap68tm1.1(KOMP)Vlcg (more )
Structure Level Pattern Image Note
TS28: pancreas Present UC Davis_1879688

Specimen UC Davis_1879689: postnatal adult; Cfap68tm1.1(KOMP)Vlcg/Cfap68tm1.1(KOMP)Vlcg (more )
Structure Level Pattern Image Note
TS28: liver Present UC Davis_1879689

Specimen UC Davis_1879690: postnatal adult; Cfap68tm1.1(KOMP)Vlcg/Cfap68tm1.1(KOMP)Vlcg (more )
Structure Level Pattern Image Note
TS28: metanephros Present UC Davis_1879690 kidney

Specimen UC Davis_1879691: postnatal adult; Cfap68tm1.1(KOMP)Vlcg/Cfap68tm1.1(KOMP)Vlcg (more )
Structure Level Pattern Image Note
TS28: metanephros Present UC Davis_1879691 kidney

Specimen UC Davis_1879692: postnatal adult; Cfap68tm1.1(KOMP)Vlcg/Cfap68tm1.1(KOMP)Vlcg (more )
Structure Level Pattern Image Note
TS28: metanephros Present UC Davis_1879692 kidney

Specimen UC Davis_1879693: postnatal adult; Cfap68tm1.1(KOMP)Vlcg/Cfap68tm1.1(KOMP)Vlcg (more )
Structure Level Pattern Image Note
TS28: quadriceps femoris muscle Present UC Davis_1879693

Specimen UC Davis_1879694: postnatal adult; Cfap68tm1.1(KOMP)Vlcg/Cfap68tm1.1(KOMP)Vlcg (more )
Structure Level Pattern Image Note
TS28: quadriceps femoris muscle Present UC Davis_1879694

Specimen UC Davis_1879695: postnatal adult; Cfap68tm1.1(KOMP)Vlcg/Cfap68tm1.1(KOMP)Vlcg (more )
Structure Level Pattern Image Note
TS28: tongue Present UC Davis_1879695

Specimen UC Davis_1879696: postnatal adult; Cfap68tm1.1(KOMP)Vlcg/Cfap68tm1.1(KOMP)Vlcg (more )
Structure Level Pattern Image Note
TS28: tongue Present UC Davis_1879696

Specimen UC Davis_1879697: postnatal adult; Cfap68tm1.1(KOMP)Vlcg/Cfap68tm1.1(KOMP)Vlcg (more )
Structure Level Pattern Image Note
TS28: diaphragm Present UC Davis_1879697

Specimen UC Davis_1879698: postnatal adult; Cfap68tm1.1(KOMP)Vlcg/Cfap68tm1.1(KOMP)Vlcg (more )
Structure Level Pattern Image Note
TS28: diaphragm Present UC Davis_1879698

Specimen UC Davis_1879699: postnatal adult; Cfap68tm1.1(KOMP)Vlcg/Cfap68tm1.1(KOMP)Vlcg (more )
Structure Level Pattern Image Note
TS28: adrenal gland Present UC Davis_1879699

Specimen UC Davis_1879700: postnatal adult; Cfap68tm1.1(KOMP)Vlcg/Cfap68tm1.1(KOMP)Vlcg (more )
Structure Level Pattern Image Note
TS28: pituitary gland Present UC Davis_1879700

Specimen UC Davis_1879701: postnatal adult; Cfap68tm1.1(KOMP)Vlcg/Cfap68tm1.1(KOMP)Vlcg (more )
Structure Level Pattern Image Note
TS28: spinal cord Present UC Davis_1879701

Specimen UC Davis_1879702: postnatal adult; Cfap68tm1.1(KOMP)Vlcg/Cfap68tm1.1(KOMP)Vlcg (more )
Structure Level Pattern Image Note
TS28: spinal cord Present UC Davis_1879702

Specimen UC Davis_1879703: postnatal adult; Cfap68tm1.1(KOMP)Vlcg/Cfap68tm1.1(KOMP)Vlcg (more )
Structure Level Pattern Image Note
TS28: eye Present UC Davis_1879703

Specimen UC Davis_1879704: postnatal adult; Cfap68tm1.1(KOMP)Vlcg/Cfap68tm1.1(KOMP)Vlcg (more )
Structure Level Pattern Image Note
TS28: eye Present UC Davis_1879704

Specimen UC Davis_1879705: postnatal adult; Cfap68tm1.1(KOMP)Vlcg/Cfap68tm1.1(KOMP)Vlcg (more )
Structure Level Pattern Image Note
TS28: eye Present UC Davis_1879705

Specimen UC Davis_1879706: postnatal adult; Cfap68tm1.1(KOMP)Vlcg/Cfap68tm1.1(KOMP)Vlcg (more )
Structure Level Pattern Image Note
TS28: Harderian gland Present UC Davis_1879706

Specimen UC Davis_1879707: postnatal adult; Cfap68tm1.1(KOMP)Vlcg/Cfap68tm1.1(KOMP)Vlcg (more )
Structure Level Pattern Image Note
TS28: Harderian gland Present UC Davis_1879707

Specimen UC Davis_1879708: postnatal adult; Cfap68tm1.1(KOMP)Vlcg/Cfap68tm1.1(KOMP)Vlcg (more )
Structure Level Pattern Image Note
TS28: skin Present UC Davis_1879708

Specimen UC Davis_1879709: postnatal adult; Cfap68tm1.1(KOMP)Vlcg/Cfap68tm1.1(KOMP)Vlcg (more )
Structure Level Pattern Image Note
TS28: skin Present UC Davis_1879709

Specimen UC Davis_1879710: postnatal adult; Cfap68tm1.1(KOMP)Vlcg/Cfap68tm1.1(KOMP)Vlcg (more )
Structure Level Pattern Image Note
TS28: olfactory lobe Present UC Davis_1879710

Specimen UC Davis_1879713: postnatal adult; Cfap68tm1.1(KOMP)Vlcg/Cfap68tm1.1(KOMP)Vlcg (more )
Structure Level Pattern Image Note
TS28: midbrain Present UC Davis_1879713

Specimen UC Davis_1879715: postnatal adult; Cfap68tm1.1(KOMP)Vlcg/Cfap68tm1.1(KOMP)Vlcg (more )
Structure Level Pattern Image Note
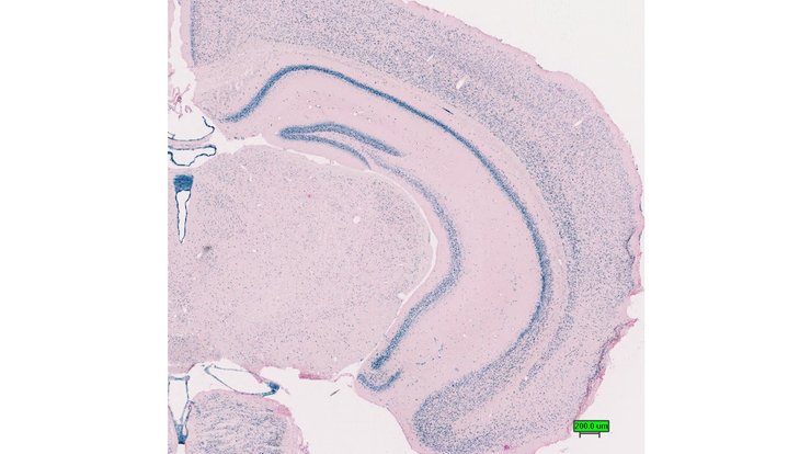
TS28: cerebellum Present UC Davis_1879715

Specimen UC Davis_1879716: postnatal adult; Cfap68tm1.1(KOMP)Vlcg/Cfap68tm1.1(KOMP)Vlcg (more )
Structure Level Pattern Image Note
TS28: trigeminal nerve Present UC Davis_1879716

Specimen UC Davis_1879717: postnatal adult; Cfap68tm1.1(KOMP)Vlcg/Cfap68tm1.1(KOMP)Vlcg (more )
Structure Level Pattern Image Note
TS28: ovary Present UC Davis_1879717

Specimen UC Davis_1879718: postnatal adult; Cfap68tm1.1(KOMP)Vlcg/Cfap68tm1.1(KOMP)Vlcg (more )
Structure Level Pattern Image Note
TS28: oviduct Present UC Davis_1879718

Specimen UC Davis_1879719: postnatal adult; Cfap68tm1.1(KOMP)Vlcg/Cfap68tm1.1(KOMP)Vlcg (more )
Structure Level Pattern Image Note
TS28: uterus Present UC Davis_1879719

Specimen UC Davis_1879720: postnatal adult; Cfap68tm1.1(KOMP)Vlcg/Cfap68tm1.1(KOMP)Vlcg (more )
Structure Level Pattern Image Note
TS28: uterus Present UC Davis_1879720

Specimen UC Davis_1879721: postnatal adult; Cfap68tm1.1(KOMP)Vlcg/Cfap68tm1.1(KOMP)Vlcg (more )
Structure Level Pattern Image Note
TS28: vagina Present UC Davis_1879721

Specimen UC Davis_1879722: postnatal adult; Cfap68tm1.1(KOMP)Vlcg/Cfap68tm1.1(KOMP)Vlcg (more )
Structure Level Pattern Image Note
TS28: bladder Present UC Davis_1879722

Specimen UC Davis_1879723: postnatal adult; Cfap68tm1.1(KOMP)Vlcg/Cfap68tm1.1(KOMP)Vlcg (more )
Structure Level Pattern Image Note
TS28: bladder Present UC Davis_1879723

Specimen UC Davis_1879727: postnatal adult; Cfap68tm1.1(KOMP)Vlcg/Cfap68tm1.1(KOMP)Vlcg (more )
Structure Level Pattern Image Note
TS28: mammary gland Present UC Davis_1879727

Specimen UC Davis_1879730: postnatal adult; Cfap68tm1.1(KOMP)Vlcg/Cfap68+ (more )
Structure Level Pattern Image Note
TS28: submandibular gland Present UC Davis_1879730

Specimen UC Davis_1879731: postnatal adult; Cfap68tm1.1(KOMP)Vlcg/Cfap68+ (more )
Structure Level Pattern Image Note
TS28: sublingual gland Present UC Davis_1879731

Specimen UC Davis_1879732: postnatal adult; Cfap68tm1.1(KOMP)Vlcg/Cfap68+ (more )
Structure Level Pattern Image Note
TS28: parotid gland Present UC Davis_1879732

Specimen UC Davis_1879733: postnatal adult; Cfap68tm1.1(KOMP)Vlcg/Cfap68+ (more )
Structure Level Pattern Image Note
TS28: trachea Present UC Davis_1879733

Specimen UC Davis_1879734: postnatal adult; Cfap68tm1.1(KOMP)Vlcg/Cfap68+ (more )
Structure Level Pattern Image Note
TS28: trachea Present UC Davis_1879734

Specimen UC Davis_1879735: postnatal adult; Cfap68tm1.1(KOMP)Vlcg/Cfap68+ (more )
Structure Level Pattern Image Note
TS28: esophagus Present UC Davis_1879735

Specimen UC Davis_1879736: postnatal adult; Cfap68tm1.1(KOMP)Vlcg/Cfap68+ (more )
Structure Level Pattern Image Note
TS28: thyroid gland Present UC Davis_1879736

Specimen UC Davis_1879738: postnatal adult; Cfap68tm1.1(KOMP)Vlcg/Cfap68+ (more )
Structure Level Pattern Image Note
TS28: aorta Present UC Davis_1879738

Specimen UC Davis_1879739: postnatal adult; Cfap68tm1.1(KOMP)Vlcg/Cfap68+ (more )
Structure Level Pattern Image Note
TS28: lung Present UC Davis_1879739

Specimen UC Davis_1879740: postnatal adult; Cfap68tm1.1(KOMP)Vlcg/Cfap68+ (more )
Structure Level Pattern Image Note
TS28: lung Present UC Davis_1879740

Specimen UC Davis_1879741: postnatal adult; Cfap68tm1.1(KOMP)Vlcg/Cfap68+ (more )
Structure Level Pattern Image Note
TS28: thymus Present UC Davis_1879741

Specimen UC Davis_1879742: postnatal adult; Cfap68tm1.1(KOMP)Vlcg/Cfap68+ (more )
Structure Level Pattern Image Note
TS28: thymus Present UC Davis_1879742

Specimen UC Davis_1879745: postnatal adult; Cfap68tm1.1(KOMP)Vlcg/Cfap68+ (more )
Structure Level Pattern Image Note
TS28: stomach Present UC Davis_1879745

Specimen UC Davis_1879746: postnatal adult; Cfap68tm1.1(KOMP)Vlcg/Cfap68+ (more )
Structure Level Pattern Image Note
TS28: stomach Present UC Davis_1879746

Specimen UC Davis_1879747: postnatal adult; Cfap68tm1.1(KOMP)Vlcg/Cfap68+ (more )
Structure Level Pattern Image Note
TS28: duodenum Present UC Davis_1879747

Specimen UC Davis_1879748: postnatal adult; Cfap68tm1.1(KOMP)Vlcg/Cfap68+ (more )
Structure Level Pattern Image Note
TS28: duodenum Present UC Davis_1879748

Specimen UC Davis_1879749: postnatal adult; Cfap68tm1.1(KOMP)Vlcg/Cfap68+ (more )
Structure Level Pattern Image Note
TS28: jejunum Present UC Davis_1879749

Specimen UC Davis_1879750: postnatal adult; Cfap68tm1.1(KOMP)Vlcg/Cfap68+ (more )
Structure Level Pattern Image Note
TS28: ileum Present UC Davis_1879750

Specimen UC Davis_1879751: postnatal adult; Cfap68tm1.1(KOMP)Vlcg/Cfap68+ (more )
Structure Level Pattern Image Note
TS28: colon Present UC Davis_1879751

Specimen UC Davis_1879752: postnatal adult; Cfap68tm1.1(KOMP)Vlcg/Cfap68+ (more )
Structure Level Pattern Image Note
TS28: colon Present UC Davis_1879752

Specimen UC Davis_1879753: postnatal adult; Cfap68tm1.1(KOMP)Vlcg/Cfap68+ (more )
Structure Level Pattern Image Note
TS28: cecum Present UC Davis_1879753

Specimen UC Davis_1879754: postnatal adult; Cfap68tm1.1(KOMP)Vlcg/Cfap68+ (more )
Structure Level Pattern Image Note
TS28: spleen Present UC Davis_1879754

Specimen UC Davis_1879755: postnatal adult; Cfap68tm1.1(KOMP)Vlcg/Cfap68+ (more )
Structure Level Pattern Image Note
TS28: pancreas Present UC Davis_1879755

Specimen UC Davis_1879756: postnatal adult; Cfap68tm1.1(KOMP)Vlcg/Cfap68+ (more )
Structure Level Pattern Image Note
TS28: pancreas Present UC Davis_1879756

Specimen UC Davis_1879757: postnatal adult; Cfap68tm1.1(KOMP)Vlcg/Cfap68+ (more )
Structure Level Pattern Image Note
TS28: pancreas Present UC Davis_1879757

Specimen UC Davis_1879758: postnatal adult; Cfap68tm1.1(KOMP)Vlcg/Cfap68+ (more )
Structure Level Pattern Image Note
TS28: liver Present UC Davis_1879758

Specimen UC Davis_1879759: postnatal adult; Cfap68tm1.1(KOMP)Vlcg/Cfap68+ (more )
Structure Level Pattern Image Note
TS28: metanephros Present UC Davis_1879759 kidney

Specimen UC Davis_1879760: postnatal adult; Cfap68tm1.1(KOMP)Vlcg/Cfap68+ (more )
Structure Level Pattern Image Note
TS28: metanephros Present UC Davis_1879760 kidney

Specimen UC Davis_1879761: postnatal adult; Cfap68tm1.1(KOMP)Vlcg/Cfap68+ (more )
Structure Level Pattern Image Note
TS28: metanephros Present UC Davis_1879761 kidney

Specimen UC Davis_1879762: postnatal adult; Cfap68tm1.1(KOMP)Vlcg/Cfap68+ (more )
Structure Level Pattern Image Note
TS28: quadriceps femoris muscle Present UC Davis_1879762

Specimen UC Davis_1879763: postnatal adult; Cfap68tm1.1(KOMP)Vlcg/Cfap68+ (more )
Structure Level Pattern Image Note
TS28: quadriceps femoris muscle Present UC Davis_1879763

Specimen UC Davis_1879764: postnatal adult; Cfap68tm1.1(KOMP)Vlcg/Cfap68+ (more )
Structure Level Pattern Image Note
TS28: quadriceps femoris muscle Present UC Davis_1879764

Specimen UC Davis_1879765: postnatal adult; Cfap68tm1.1(KOMP)Vlcg/Cfap68+ (more )
Structure Level Pattern Image Note
TS28: tongue Present UC Davis_1879765

Specimen UC Davis_1879766: postnatal adult; Cfap68tm1.1(KOMP)Vlcg/Cfap68+ (more )
Structure Level Pattern Image Note
TS28: tongue Present UC Davis_1879766

Specimen UC Davis_1879767: postnatal adult; Cfap68tm1.1(KOMP)Vlcg/Cfap68+ (more )
Structure Level Pattern Image Note
TS28: tongue Present UC Davis_1879767

Specimen UC Davis_1879768: postnatal adult; Cfap68tm1.1(KOMP)Vlcg/Cfap68+ (more )
Structure Level Pattern Image Note
TS28: diaphragm Present UC Davis_1879768

Specimen UC Davis_1879769: postnatal adult; Cfap68tm1.1(KOMP)Vlcg/Cfap68+ (more )
Structure Level Pattern Image Note
TS28: adrenal gland Present UC Davis_1879769

Specimen UC Davis_1879770: postnatal adult; Cfap68tm1.1(KOMP)Vlcg/Cfap68+ (more )
Structure Level Pattern Image Note
TS28: pituitary gland Present UC Davis_1879770

Specimen UC Davis_1879771: postnatal adult; Cfap68tm1.1(KOMP)Vlcg/Cfap68+ (more )
Structure Level Pattern Image Note
TS28: spinal cord Present UC Davis_1879771

Specimen UC Davis_1879772: postnatal adult; Cfap68tm1.1(KOMP)Vlcg/Cfap68+ (more )
Structure Level Pattern Image Note
TS28: spinal cord Present UC Davis_1879772

Specimen UC Davis_1879773: postnatal adult; Cfap68tm1.1(KOMP)Vlcg/Cfap68+ (more )
Structure Level Pattern Image Note
TS28: eye Present UC Davis_1879773

Specimen UC Davis_1879774: postnatal adult; Cfap68tm1.1(KOMP)Vlcg/Cfap68+ (more )
Structure Level Pattern Image Note
TS28: eye Present UC Davis_1879774

Specimen UC Davis_1879775: postnatal adult; Cfap68tm1.1(KOMP)Vlcg/Cfap68+ (more )
Structure Level Pattern Image Note
TS28: eye Present UC Davis_1879775

Specimen UC Davis_1879776: postnatal adult; Cfap68tm1.1(KOMP)Vlcg/Cfap68+ (more )
Structure Level Pattern Image Note
TS28: eye Present UC Davis_1879776

Specimen UC Davis_1879778: postnatal adult; Cfap68tm1.1(KOMP)Vlcg/Cfap68+ (more )
Structure Level Pattern Image Note
TS28: Harderian gland Present UC Davis_1879778

Specimen UC Davis_1879779: postnatal adult; Cfap68tm1.1(KOMP)Vlcg/Cfap68+ (more )
Structure Level Pattern Image Note
TS28: gonadal fat pad Present UC Davis_1879779

Specimen UC Davis_1879780: postnatal adult; Cfap68tm1.1(KOMP)Vlcg/Cfap68+ (more )
Structure Level Pattern Image Note
TS28: mesenteric adipose tissue Present UC Davis_1879780

Specimen UC Davis_1879781: postnatal adult; Cfap68tm1.1(KOMP)Vlcg/Cfap68+ (more )
Structure Level Pattern Image Note
TS28: skin Present UC Davis_1879781

Specimen UC Davis_1879782: postnatal adult; Cfap68tm1.1(KOMP)Vlcg/Cfap68+ (more )
Structure Level Pattern Image Note
TS28: skin Present UC Davis_1879782

Specimen UC Davis_1879783: postnatal adult; Cfap68tm1.1(KOMP)Vlcg/Cfap68+ (more )
Structure Level Pattern Image Note
TS28: brown fat Present UC Davis_1879783

Specimen UC Davis_1879784: postnatal adult; Cfap68tm1.1(KOMP)Vlcg/Cfap68+ (more )
Structure Level Pattern Image Note
TS28: brown fat Present UC Davis_1879784

Specimen UC Davis_1879785: postnatal adult; Cfap68tm1.1(KOMP)Vlcg/Cfap68+ (more )
Structure Level Pattern Image Note
TS28: olfactory lobe Present UC Davis_1879785

Specimen UC Davis_1879789: postnatal adult; Cfap68tm1.1(KOMP)Vlcg/Cfap68+ (more )
Structure Level Pattern Image Note
TS28: midbrain Present UC Davis_1879789

Specimen UC Davis_1879791: postnatal adult; Cfap68tm1.1(KOMP)Vlcg/Cfap68+ (more )
Structure Level Pattern Image Note
TS28: cerebellum Present UC Davis_1879791

Specimen UC Davis_1879792: postnatal adult; Cfap68tm1.1(KOMP)Vlcg/Cfap68+ (more )
Structure Level Pattern Image Note
TS28: trigeminal nerve Present UC Davis_1879792

Specimen UC Davis_1879793: postnatal adult; Cfap68tm1.1(KOMP)Vlcg/Cfap68+ (more )
Structure Level Pattern Image Note
TS28: bladder Present UC Davis_1879793

Specimen UC Davis_1879794: postnatal adult; Cfap68tm1.1(KOMP)Vlcg/Cfap68+ (more )
Structure Level Pattern Image Note
TS28: testis Present UC Davis_1879794

Specimen UC Davis_1879795: postnatal adult; Cfap68tm1.1(KOMP)Vlcg/Cfap68+ (more )
Structure Level Pattern Image Note
TS28: testis Present UC Davis_1879795

Specimen UC Davis_1879796: postnatal adult; Cfap68tm1.1(KOMP)Vlcg/Cfap68+ (more )
Structure Level Pattern Image Note
TS28: epididymis Present UC Davis_1879796

Specimen UC Davis_1879797: postnatal adult; Cfap68tm1.1(KOMP)Vlcg/Cfap68+ (more )
Structure Level Pattern Image Note
TS28: epididymis Present UC Davis_1879797

Specimen UC Davis_1879798: postnatal adult; Cfap68tm1.1(KOMP)Vlcg/Cfap68+ (more )
Structure Level Pattern Image Note
TS28: prostate gland Present UC Davis_1879798

Specimen UC Davis_1879799: postnatal adult; Cfap68tm1.1(KOMP)Vlcg/Cfap68+ (more )
Structure Level Pattern Image Note
TS28: penis Present UC Davis_1879799

Specimen UC Davis_1879800: postnatal adult; Cfap68tm1.1(KOMP)Vlcg/Cfap68+ (more )
Structure Level Pattern Image Note
TS28: penis Present UC Davis_1879800

Specimen UC Davis_1879801: postnatal adult; Cfap68tm1.1(KOMP)Vlcg/Cfap68+ (more )
Structure Level Pattern Image Note
TS28: ductus deferens Present UC Davis_1879801 vas deferens

Specimen UC Davis_1879803: postnatal adult; Cfap68tm1.1(KOMP)Vlcg/Cfap68+ (more )
Structure Level Pattern Image Note
TS28: seminal vesicle Present UC Davis_1879803 vesicular gland


Contributing Projects:
Mouse Genome Database (MGD), Gene Expression Database (GXD), Mouse Models of Human Cancer database (MMHCdb) (formerly Mouse Tumor Biology (MTB)), Gene Ontology (GO)
Citing These Resources
Funding Information
Warranty Disclaimer, Privacy Notice, Licensing, & Copyright
Send questions and comments to User Support.
last database update
01/06/2026
MGI 6.24
The Jackson Laboratory