About   Help   FAQ
Gene Expression Data
Assay Details
Assay
Reference: J:228563 Koscielny G, et al., The International Mouse Phenotyping Consortium Web Portal, a unified point of access for knockout mice and related phenotyping data. Nucleic Acids Res. 2014 Jan;42(Database issue):D802-9
Assay type: In situ reporter (knock in)
MGI Accession ID: MGI:6691833
Gene symbol: Rgp1
Gene name: RAB6A GEF compex partner 1
Reporter: lacZ
Direct Detection
Results
Specimen JAX_1469550: embryonic day 12.5; Rgp1tm1.1(KOMP)Vlcg/Rgp1+ (more )
Structure Level Pattern Image Note
TS20: embryo Present JAX_1469550

Specimen JAX_1469551: embryonic day 12.5; Rgp1tm1.1(KOMP)Vlcg/Rgp1+ (more )
Structure Level Pattern Image Note
TS20: embryo Present JAX_1469551

Specimen JAX_1469552: embryonic day 12.5; Rgp1tm1.1(KOMP)Vlcg/Rgp1+ (more )
Structure Level Pattern Image Note
TS20: embryo Present JAX_1469552

Specimen JAX_1469553: embryonic day 12.5; Rgp1tm1.1(KOMP)Vlcg/Rgp1+ (more )
Structure Level Pattern Image Note
TS20: embryo Present JAX_1469553

Specimen JAX_619651: embryonic day 12.5; Rgp1tm1.1(KOMP)Vlcg/Rgp1+ (more )
Structure Level Pattern Image Note
TS20: embryo Present JAX_619651

Specimen JAX_619653: embryonic day 12.5; Rgp1tm1.1(KOMP)Vlcg/Rgp1+ (more )
Structure Level Pattern Image Note
TS20: embryo Present JAX_619653

Specimen JAX_619655: embryonic day 12.5; Rgp1tm1.1(KOMP)Vlcg/Rgp1+ (more )
Structure Level Pattern Image Note
TS20: embryo Present JAX_619655

Specimen JAX_619657: embryonic day 12.5; Rgp1tm1.1(KOMP)Vlcg/Rgp1+ (more )
Structure Level Pattern Image Note
TS20: embryo Present JAX_619657

Specimen JAX_619659: embryonic day 12.5; Rgp1tm1.1(KOMP)Vlcg/Rgp1+ (more )
Structure Level Pattern Image Note
TS20: embryo Present JAX_619659

Specimen JAX_619661: embryonic day 12.5; Rgp1tm1.1(KOMP)Vlcg/Rgp1+ (more )
Structure Level Pattern Image Note
TS20: embryo Present JAX_619661

Specimen JAX_619663: embryonic day 12.5; Rgp1tm1.1(KOMP)Vlcg/Rgp1+ (more )
Structure Level Pattern Image Note
TS20: embryo Present JAX_619663

Specimen JAX_619665: embryonic day 12.5; Rgp1tm1.1(KOMP)Vlcg/Rgp1+ (more )
Structure Level Pattern Image Note
TS20: embryo Present JAX_619665

Specimen JAX_1799460: postnatal adult; Rgp1tm1.1(KOMP)Vlcg/Rgp1+ (more )
Structure Level Pattern Image Note
TS28: vascular system Present JAX_1799460

Specimen JAX_1799461: postnatal adult; Rgp1tm1.1(KOMP)Vlcg/Rgp1+ (more )
Structure Level Pattern Image Note
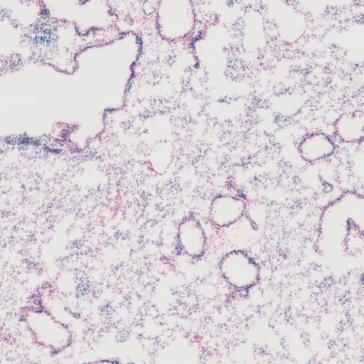
TS28: lung Present JAX_1799461

Specimen JAX_1799462: postnatal adult; Rgp1tm1.1(KOMP)Vlcg/Rgp1+ (more )
Structure Level Pattern Image Note
TS28: esophagus Present JAX_1799462

Specimen JAX_1799463: postnatal adult; Rgp1tm1.1(KOMP)Vlcg/Rgp1+ (more )
Structure Level Pattern Image Note
TS28: uterus Present JAX_1799463

Specimen JAX_1799464: postnatal adult; Rgp1tm1.1(KOMP)Vlcg/Rgp1+ (more )
Structure Level Pattern Image Note
TS28: oviduct Present JAX_1799464

Specimen JAX_1799465: postnatal adult; Rgp1tm1.1(KOMP)Vlcg/Rgp1+ (more )
Structure Level Pattern Image Note
TS28: ovary Present JAX_1799465

Specimen JAX_1799466: postnatal adult; Rgp1tm1.1(KOMP)Vlcg/Rgp1+ (more )
Structure Level Pattern Image Note
TS28: mammary gland Present JAX_1799466

Specimen JAX_1799467: postnatal adult; Rgp1tm1.1(KOMP)Vlcg/Rgp1+ (more )
Structure Level Pattern Image Note
TS28: lymph node Present JAX_1799467

Specimen JAX_1799422: postnatal adult; Rgp1tm1.1(KOMP)Vlcg/Rgp1+ (more )
Structure Level Pattern Image Note
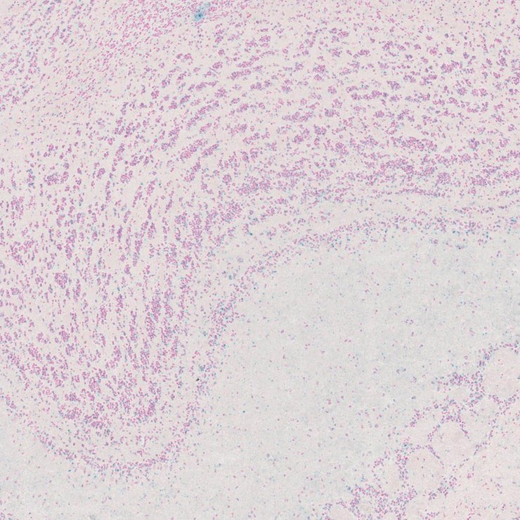
TS28: thalamus Present JAX_1799422

Specimen JAX_1799423: postnatal adult; Rgp1tm1.1(KOMP)Vlcg/Rgp1+ (more )
Structure Level Pattern Image Note
TS28: midbrain Present JAX_1799423

Specimen JAX_1799424: postnatal adult; Rgp1tm1.1(KOMP)Vlcg/Rgp1+ (more )
Structure Level Pattern Image Note
TS28: epididymis Present JAX_1799424

Specimen JAX_1799425: postnatal adult; Rgp1tm1.1(KOMP)Vlcg/Rgp1+ (more )
Structure Level Pattern Image Note
TS28: submandibular gland Present JAX_1799425

Specimen JAX_1799426: postnatal adult; Rgp1tm1.1(KOMP)Vlcg/Rgp1+ (more )
Structure Level Pattern Image Note
TS28: brown fat Present JAX_1799426

Specimen JAX_1799427: postnatal adult; Rgp1tm1.1(KOMP)Vlcg/Rgp1+ (more )
Structure Level Pattern Image Note
TS28: bone marrow Present JAX_1799427

Specimen JAX_1799428: postnatal adult; Rgp1tm1.1(KOMP)Vlcg/Rgp1+ (more )
Structure Level Pattern Image Note
TS28: bladder Present JAX_1799428

Specimen JAX_1799429: postnatal adult; Rgp1tm1.1(KOMP)Vlcg/Rgp1+ (more )
Structure Level Pattern Image Note
TS28: corpus striatum Present JAX_1799429

Specimen JAX_1799430: postnatal adult; Rgp1tm1.1(KOMP)Vlcg/Rgp1+ (more )
Structure Level Pattern Image Note
TS28: Peyer's patch Present JAX_1799430

Specimen JAX_1799431: postnatal adult; Rgp1tm1.1(KOMP)Vlcg/Rgp1+ (more )
Structure Level Pattern Image Note
TS28: peripheral nervous system Present JAX_1799431

Specimen JAX_1799432: postnatal adult; Rgp1tm1.1(KOMP)Vlcg/Rgp1+ (more )
Structure Level Pattern Image Note
TS28: olfactory lobe Present JAX_1799432

Specimen JAX_1799433: postnatal adult; Rgp1tm1.1(KOMP)Vlcg/Rgp1+ (more )
Structure Level Pattern Image Note
TS28: hypothalamus Present JAX_1799433

Specimen JAX_1799434: postnatal adult; Rgp1tm1.1(KOMP)Vlcg/Rgp1+ (more )
Structure Level Pattern Image Note
TS28: hippocampus Present JAX_1799434

Specimen JAX_1799435: postnatal adult; Rgp1tm1.1(KOMP)Vlcg/Rgp1+ (more )
Structure Level Pattern Image Note
TS28: cerebellum Present JAX_1799435

Specimen JAX_1799436: postnatal adult; Rgp1tm1.1(KOMP)Vlcg/Rgp1+ (more )
Structure Level Pattern Image Note
TS28: cerebral cortex Present JAX_1799436

Specimen JAX_1799437: postnatal adult; Rgp1tm1.1(KOMP)Vlcg/Rgp1+ (more )
Structure Level Pattern Image Note
TS28: cartilage Present JAX_1799437

Specimen JAX_1799438: postnatal adult; Rgp1tm1.1(KOMP)Vlcg/Rgp1+ (more )
Structure Level Pattern Image Note
TS28: brainstem Present JAX_1799438

Specimen JAX_1799439: postnatal adult; Rgp1tm1.1(KOMP)Vlcg/Rgp1+ (more )
Structure Level Pattern Image Note
TS28: spleen Present JAX_1799439

Specimen JAX_1799440: postnatal adult; Rgp1tm1.1(KOMP)Vlcg/Rgp1+ (more )
Structure Level Pattern Image Note
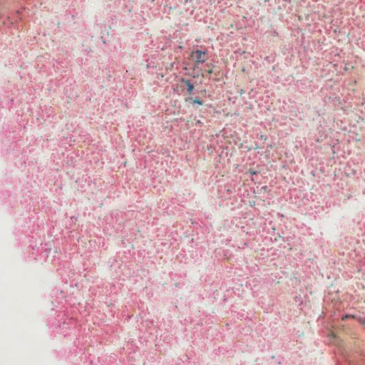
TS28: pancreas Present JAX_1799440

Specimen JAX_1799441: postnatal adult; Rgp1tm1.1(KOMP)Vlcg/Rgp1+ (more )
Structure Level Pattern Image Note
TS28: aorta Present JAX_1799441

Specimen JAX_1799442: postnatal adult; Rgp1tm1.1(KOMP)Vlcg/Rgp1+ (more )
Structure Level Pattern Image Note
TS28: white fat Present JAX_1799442

Specimen JAX_1799443: postnatal adult; Rgp1tm1.1(KOMP)Vlcg/Rgp1+ (more )
Structure Level Pattern Image Note
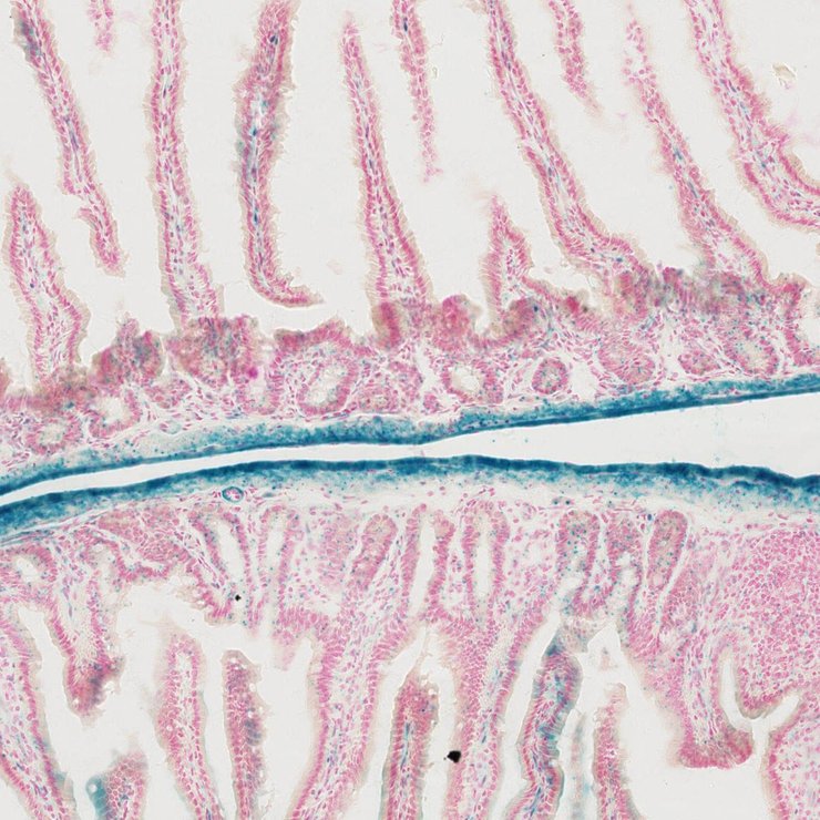
TS28: small intestine Present JAX_1799443

Specimen JAX_1799444: postnatal adult; Rgp1tm1.1(KOMP)Vlcg/Rgp1+ (more )
Structure Level Pattern Image Note
TS28: skeletal muscle tissue Present JAX_1799444

Specimen JAX_1799445: postnatal adult; Rgp1tm1.1(KOMP)Vlcg/Rgp1+ (more )
Structure Level Pattern Image Note
TS28: pituitary gland Present JAX_1799445

Specimen JAX_1799446: postnatal adult; Rgp1tm1.1(KOMP)Vlcg/Rgp1+ (more )
Structure Level Pattern Image Note
TS28: thyroid gland Present JAX_1799446

Specimen JAX_1799447: postnatal adult; Rgp1tm1.1(KOMP)Vlcg/Rgp1+ (more )
Structure Level Pattern Image Note
TS28: spinal cord Present JAX_1799447

Specimen JAX_1799448: postnatal adult; Rgp1tm1.1(KOMP)Vlcg/Rgp1+ (more )
Structure Level Pattern Image Note
TS28: large intestine Present JAX_1799448

Specimen JAX_1799449: postnatal adult; Rgp1tm1.1(KOMP)Vlcg/Rgp1+ (more )
Structure Level Pattern Image Note
TS28: trachea Present JAX_1799449

Specimen JAX_1799450: postnatal adult; Rgp1tm1.1(KOMP)Vlcg/Rgp1+ (more )
Structure Level Pattern Image Note
TS28: thymus Present JAX_1799450

Specimen JAX_1799451: postnatal adult; Rgp1tm1.1(KOMP)Vlcg/Rgp1+ (more )
Structure Level Pattern Image Note
TS28: testis Present JAX_1799451

Specimen JAX_1799452: postnatal adult; Rgp1tm1.1(KOMP)Vlcg/Rgp1+ (more )
Structure Level Pattern Image Note
TS28: stomach Present JAX_1799452

Specimen JAX_1799453: postnatal adult; Rgp1tm1.1(KOMP)Vlcg/Rgp1+ (more )
Structure Level Pattern Image Note
TS28: skin Present JAX_1799453

Specimen JAX_1799454: postnatal adult; Rgp1tm1.1(KOMP)Vlcg/Rgp1+ (more )
Structure Level Pattern Image Note
TS28: liver Present JAX_1799454

Specimen JAX_1799455: postnatal adult; Rgp1tm1.1(KOMP)Vlcg/Rgp1+ (more )
Structure Level Pattern Image Note
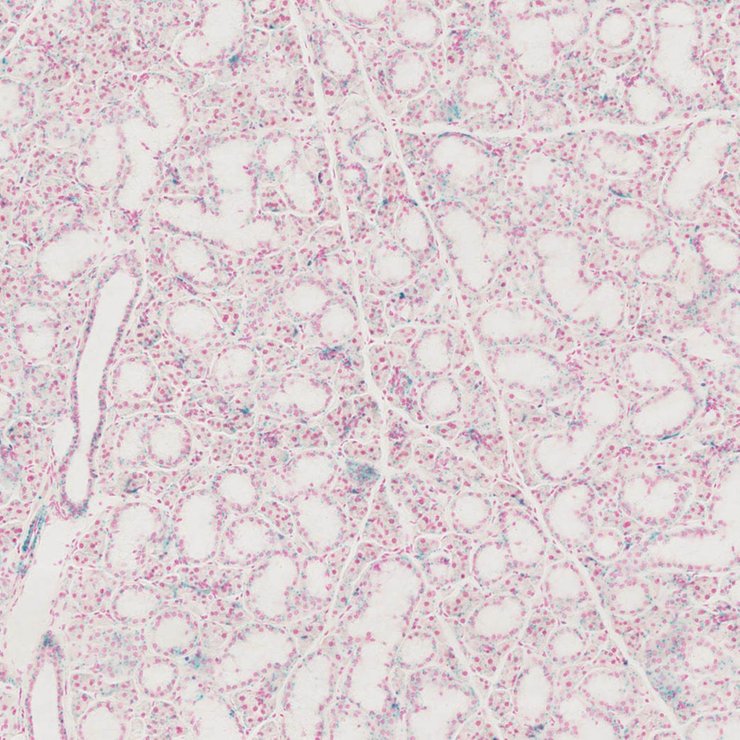
TS28: metanephros Present JAX_1799455 kidney

Specimen JAX_1799456: postnatal adult; Rgp1tm1.1(KOMP)Vlcg/Rgp1+ (more )
Structure Level Pattern Image Note
TS28: heart Present JAX_1799456

Specimen JAX_1799457: postnatal adult; Rgp1tm1.1(KOMP)Vlcg/Rgp1+ (more )
Structure Level Pattern Image Note
TS28: eye Present JAX_1799457

Specimen JAX_1799458: postnatal adult; Rgp1tm1.1(KOMP)Vlcg/Rgp1+ (more )
Structure Level Pattern Image Note
TS28: brain Present JAX_1799458

Specimen JAX_1799459: postnatal adult; Rgp1tm1.1(KOMP)Vlcg/Rgp1+ (more )
Structure Level Pattern Image Note
TS28: adrenal gland Present JAX_1799459


Contributing Projects:
Mouse Genome Database (MGD), Gene Expression Database (GXD), Mouse Models of Human Cancer database (MMHCdb) (formerly Mouse Tumor Biology (MTB)), Gene Ontology (GO)
Citing These Resources
Funding Information
Warranty Disclaimer, Privacy Notice, Licensing, & Copyright
Send questions and comments to User Support.
last database update
01/06/2026
MGI 6.24
The Jackson Laboratory