About   Help   FAQ
Gene Expression Data
Assay Details
Assay
Reference: J:228563 Koscielny G, et al., The International Mouse Phenotyping Consortium Web Portal, a unified point of access for knockout mice and related phenotyping data. Nucleic Acids Res. 2014 Jan;42(Database issue):D802-9
Assay type: In situ reporter (knock in)
MGI Accession ID: MGI:6691831
Gene symbol: Slc25a25
Gene name: solute carrier family 25 (mitochondrial carrier, phosphate carrier), member 25
Reporter: lacZ
Direct Detection
Results
Specimen UC Davis_1887437: postnatal adult; Slc25a25tm1b(KOMP)Wtsi/Slc25a25+ (more )
Structure Level Pattern Image Note
TS28: submandibular gland Present UC Davis_1887437

Specimen UC Davis_1887438: postnatal adult; Slc25a25tm1b(KOMP)Wtsi/Slc25a25+ (more )
Structure Level Pattern Image Note
TS28: sublingual gland Present UC Davis_1887438

Specimen UC Davis_1887439: postnatal adult; Slc25a25tm1b(KOMP)Wtsi/Slc25a25+ (more )
Structure Level Pattern Image Note
TS28: sublingual gland Present UC Davis_1887439

Specimen UC Davis_1887440: postnatal adult; Slc25a25tm1b(KOMP)Wtsi/Slc25a25+ (more )
Structure Level Pattern Image Note
TS28: parotid gland Present UC Davis_1887440

Specimen UC Davis_1887441: postnatal adult; Slc25a25tm1b(KOMP)Wtsi/Slc25a25+ (more )
Structure Level Pattern Image Note
TS28: trachea Present UC Davis_1887441

Specimen UC Davis_1887442: postnatal adult; Slc25a25tm1b(KOMP)Wtsi/Slc25a25+ (more )
Structure Level Pattern Image Note
TS28: trachea Present UC Davis_1887442

Specimen UC Davis_1887443: postnatal adult; Slc25a25tm1b(KOMP)Wtsi/Slc25a25+ (more )
Structure Level Pattern Image Note
TS28: esophagus Present UC Davis_1887443

Specimen UC Davis_1887444: postnatal adult; Slc25a25tm1b(KOMP)Wtsi/Slc25a25+ (more )
Structure Level Pattern Image Note
TS28: esophagus Present UC Davis_1887444

Specimen UC Davis_1887445: postnatal adult; Slc25a25tm1b(KOMP)Wtsi/Slc25a25+ (more )
Structure Level Pattern Image Note
TS28: thyroid gland Present UC Davis_1887445

Specimen UC Davis_1887446: postnatal adult; Slc25a25tm1b(KOMP)Wtsi/Slc25a25+ (more )
Structure Level Pattern Image Note
TS28: parathyroid gland Present UC Davis_1887446

Specimen UC Davis_1887449: postnatal adult; Slc25a25tm1b(KOMP)Wtsi/Slc25a25+ (more )
Structure Level Pattern Image Note
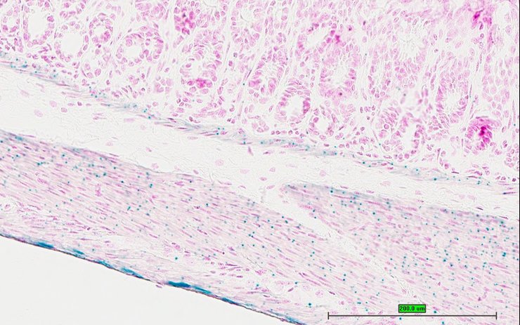
TS28: stomach Present UC Davis_1887449

Specimen UC Davis_1887450: postnatal adult; Slc25a25tm1b(KOMP)Wtsi/Slc25a25+ (more )
Structure Level Pattern Image Note
TS28: stomach Present UC Davis_1887450

Specimen UC Davis_1887451: postnatal adult; Slc25a25tm1b(KOMP)Wtsi/Slc25a25+ (more )
Structure Level Pattern Image Note
TS28: stomach Present UC Davis_1887451

Specimen UC Davis_1887452: postnatal adult; Slc25a25tm1b(KOMP)Wtsi/Slc25a25+ (more )
Structure Level Pattern Image Note
TS28: ileum Present UC Davis_1887452

Specimen UC Davis_1887453: postnatal adult; Slc25a25tm1b(KOMP)Wtsi/Slc25a25+ (more )
Structure Level Pattern Image Note
TS28: colon Present UC Davis_1887453

Specimen UC Davis_1887454: postnatal adult; Slc25a25tm1b(KOMP)Wtsi/Slc25a25+ (more )
Structure Level Pattern Image Note
TS28: colon Present UC Davis_1887454

Specimen UC Davis_1887455: postnatal adult; Slc25a25tm1b(KOMP)Wtsi/Slc25a25+ (more )
Structure Level Pattern Image Note
TS28: metanephros Present UC Davis_1887455 kidney

Specimen UC Davis_1887456: postnatal adult; Slc25a25tm1b(KOMP)Wtsi/Slc25a25+ (more )
Structure Level Pattern Image Note
TS28: metanephros Present UC Davis_1887456 kidney

Specimen UC Davis_1887457: postnatal adult; Slc25a25tm1b(KOMP)Wtsi/Slc25a25+ (more )
Structure Level Pattern Image Note
TS28: metanephros Present UC Davis_1887457 kidney

Specimen UC Davis_1887458: postnatal adult; Slc25a25tm1b(KOMP)Wtsi/Slc25a25+ (more )
Structure Level Pattern Image Note
TS28: tongue Present UC Davis_1887458

Specimen UC Davis_1887459: postnatal adult; Slc25a25tm1b(KOMP)Wtsi/Slc25a25+ (more )
Structure Level Pattern Image Note
TS28: tongue Present UC Davis_1887459

Specimen UC Davis_1887460: postnatal adult; Slc25a25tm1b(KOMP)Wtsi/Slc25a25+ (more )
Structure Level Pattern Image Note
TS28: tongue Present UC Davis_1887460

Specimen UC Davis_1887461: postnatal adult; Slc25a25tm1b(KOMP)Wtsi/Slc25a25+ (more )
Structure Level Pattern Image Note
TS28: tongue Present UC Davis_1887461

Specimen UC Davis_1887462: postnatal adult; Slc25a25tm1b(KOMP)Wtsi/Slc25a25+ (more )
Structure Level Pattern Image Note
TS28: adrenal gland Present UC Davis_1887462

Specimen UC Davis_1887463: postnatal adult; Slc25a25tm1b(KOMP)Wtsi/Slc25a25+ (more )
Structure Level Pattern Image Note
TS28: pituitary gland Present UC Davis_1887463

Specimen UC Davis_1887464: postnatal adult; Slc25a25tm1b(KOMP)Wtsi/Slc25a25+ (more )
Structure Level Pattern Image Note
TS28: spinal cord Present UC Davis_1887464

Specimen UC Davis_1887465: postnatal adult; Slc25a25tm1b(KOMP)Wtsi/Slc25a25+ (more )
Structure Level Pattern Image Note
TS28: eye Present UC Davis_1887465

Specimen UC Davis_1887468: postnatal adult; Slc25a25tm1b(KOMP)Wtsi/Slc25a25+ (more )
Structure Level Pattern Image Note
TS28: Harderian gland Present UC Davis_1887468

Specimen UC Davis_1887469: postnatal adult; Slc25a25tm1b(KOMP)Wtsi/Slc25a25+ (more )
Structure Level Pattern Image Note
TS28: Harderian gland Present UC Davis_1887469

Specimen UC Davis_1887470: postnatal adult; Slc25a25tm1b(KOMP)Wtsi/Slc25a25+ (more )
Structure Level Pattern Image Note
TS28: gonadal fat pad Present UC Davis_1887470

Specimen UC Davis_1887471: postnatal adult; Slc25a25tm1b(KOMP)Wtsi/Slc25a25+ (more )
Structure Level Pattern Image Note
TS28: gonadal fat pad Present UC Davis_1887471

Specimen UC Davis_1887472: postnatal adult; Slc25a25tm1b(KOMP)Wtsi/Slc25a25+ (more )
Structure Level Pattern Image Note
TS28: skin Present UC Davis_1887472

Specimen UC Davis_1887473: postnatal adult; Slc25a25tm1b(KOMP)Wtsi/Slc25a25+ (more )
Structure Level Pattern Image Note
TS28: olfactory lobe Present UC Davis_1887473

Specimen UC Davis_1887476: postnatal adult; Slc25a25tm1b(KOMP)Wtsi/Slc25a25+ (more )
Structure Level Pattern Image Note
TS28: midbrain Present UC Davis_1887476

Specimen UC Davis_1887479: postnatal adult; Slc25a25tm1b(KOMP)Wtsi/Slc25a25+ (more )
Structure Level Pattern Image Note
TS28: trigeminal nerve Present UC Davis_1887479

Specimen UC Davis_1887480: postnatal adult; Slc25a25tm1b(KOMP)Wtsi/Slc25a25+ (more )
Structure Level Pattern Image Note
TS28: trigeminal nerve Present UC Davis_1887480

Specimen UC Davis_1887481: postnatal adult; Slc25a25tm1b(KOMP)Wtsi/Slc25a25+ (more )
Structure Level Pattern Image Note
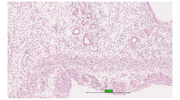
TS28: oviduct Present UC Davis_1887481

Specimen UC Davis_1887482: postnatal adult; Slc25a25tm1b(KOMP)Wtsi/Slc25a25+ (more )
Structure Level Pattern Image Note
TS28: uterus Present UC Davis_1887482

Specimen UC Davis_1887483: postnatal adult; Slc25a25tm1b(KOMP)Wtsi/Slc25a25+ (more )
Structure Level Pattern Image Note
TS28: uterus Present UC Davis_1887483

Specimen UC Davis_1887484: postnatal adult; Slc25a25tm1b(KOMP)Wtsi/Slc25a25+ (more )
Structure Level Pattern Image Note
TS28: vagina Present UC Davis_1887484

Specimen UC Davis_1887485: postnatal adult; Slc25a25tm1b(KOMP)Wtsi/Slc25a25+ (more )
Structure Level Pattern Image Note
TS28: vagina Present UC Davis_1887485

Specimen UC Davis_1887486: postnatal adult; Slc25a25tm1b(KOMP)Wtsi/Slc25a25+ (more )
Structure Level Pattern Image Note
TS28: bladder Present UC Davis_1887486

Specimen UC Davis_1887487: postnatal adult; Slc25a25tm1b(KOMP)Wtsi/Slc25a25+ (more )
Structure Level Pattern Image Note
TS28: bladder Present UC Davis_1887487

Specimen UC Davis_1887488: postnatal adult; Slc25a25tm1b(KOMP)Wtsi/Slc25a25+ (more )
Structure Level Pattern Image Note
TS28: bladder Present UC Davis_1887488

Specimen UC Davis_1887376: postnatal adult; Slc25a25tm1b(KOMP)Wtsi/Slc25a25+ (more )
Structure Level Pattern Image Note
TS28: submandibular gland Present UC Davis_1887376

Specimen UC Davis_1887377: postnatal adult; Slc25a25tm1b(KOMP)Wtsi/Slc25a25+ (more )
Structure Level Pattern Image Note
TS28: submandibular gland Present UC Davis_1887377

Specimen UC Davis_1887378: postnatal adult; Slc25a25tm1b(KOMP)Wtsi/Slc25a25+ (more )
Structure Level Pattern Image Note
TS28: sublingual gland Present UC Davis_1887378

Specimen UC Davis_1887379: postnatal adult; Slc25a25tm1b(KOMP)Wtsi/Slc25a25+ (more )
Structure Level Pattern Image Note
TS28: parotid gland Present UC Davis_1887379

Specimen UC Davis_1887380: postnatal adult; Slc25a25tm1b(KOMP)Wtsi/Slc25a25+ (more )
Structure Level Pattern Image Note
TS28: esophagus Present UC Davis_1887380

Specimen UC Davis_1887383: postnatal adult; Slc25a25tm1b(KOMP)Wtsi/Slc25a25+ (more )
Structure Level Pattern Image Note
TS28: aorta Present UC Davis_1887383

Specimen UC Davis_1887384: postnatal adult; Slc25a25tm1b(KOMP)Wtsi/Slc25a25+ (more )
Structure Level Pattern Image Note
TS28: lung Present UC Davis_1887384

Specimen UC Davis_1887385: postnatal adult; Slc25a25tm1b(KOMP)Wtsi/Slc25a25+ (more )
Structure Level Pattern Image Note
TS28: thymus Present UC Davis_1887385

Specimen UC Davis_1887388: postnatal adult; Slc25a25tm1b(KOMP)Wtsi/Slc25a25+ (more )
Structure Level Pattern Image Note
TS28: stomach Present UC Davis_1887388

Specimen UC Davis_1887389: postnatal adult; Slc25a25tm1b(KOMP)Wtsi/Slc25a25+ (more )
Structure Level Pattern Image Note
TS28: stomach Present UC Davis_1887389

Specimen UC Davis_1887390: postnatal adult; Slc25a25tm1b(KOMP)Wtsi/Slc25a25+ (more )
Structure Level Pattern Image Note
TS28: duodenum Present UC Davis_1887390

Specimen UC Davis_1887391: postnatal adult; Slc25a25tm1b(KOMP)Wtsi/Slc25a25+ (more )
Structure Level Pattern Image Note
TS28: jejunum Present UC Davis_1887391

Specimen UC Davis_1887392: postnatal adult; Slc25a25tm1b(KOMP)Wtsi/Slc25a25+ (more )
Structure Level Pattern Image Note
TS28: ileum Present UC Davis_1887392

Specimen UC Davis_1887393: postnatal adult; Slc25a25tm1b(KOMP)Wtsi/Slc25a25+ (more )
Structure Level Pattern Image Note
TS28: ileum Present UC Davis_1887393

Specimen UC Davis_1887394: postnatal adult; Slc25a25tm1b(KOMP)Wtsi/Slc25a25+ (more )
Structure Level Pattern Image Note
TS28: spleen Present UC Davis_1887394

Specimen UC Davis_1887395: postnatal adult; Slc25a25tm1b(KOMP)Wtsi/Slc25a25+ (more )
Structure Level Pattern Image Note
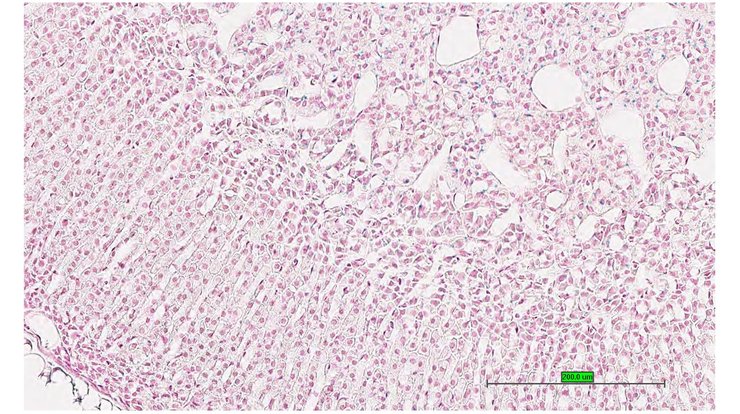
TS28: pancreas Present UC Davis_1887395

Specimen UC Davis_1887396: postnatal adult; Slc25a25tm1b(KOMP)Wtsi/Slc25a25+ (more )
Structure Level Pattern Image Note
TS28: pancreas Present UC Davis_1887396

Specimen UC Davis_1887397: postnatal adult; Slc25a25tm1b(KOMP)Wtsi/Slc25a25+ (more )
Structure Level Pattern Image Note
TS28: liver Present UC Davis_1887397

Specimen UC Davis_1887398: postnatal adult; Slc25a25tm1b(KOMP)Wtsi/Slc25a25+ (more )
Structure Level Pattern Image Note
TS28: metanephros Present UC Davis_1887398 kidney

Specimen UC Davis_1887399: postnatal adult; Slc25a25tm1b(KOMP)Wtsi/Slc25a25+ (more )
Structure Level Pattern Image Note
TS28: metanephros Present UC Davis_1887399 kidney

Specimen UC Davis_1887400: postnatal adult; Slc25a25tm1b(KOMP)Wtsi/Slc25a25+ (more )
Structure Level Pattern Image Note
TS28: metanephros Present UC Davis_1887400 kidney

Specimen UC Davis_1887401: postnatal adult; Slc25a25tm1b(KOMP)Wtsi/Slc25a25+ (more )
Structure Level Pattern Image Note
TS28: quadriceps femoris muscle Present UC Davis_1887401

Specimen UC Davis_1887402: postnatal adult; Slc25a25tm1b(KOMP)Wtsi/Slc25a25+ (more )
Structure Level Pattern Image Note
TS28: tongue Present UC Davis_1887402

Specimen UC Davis_1887403: postnatal adult; Slc25a25tm1b(KOMP)Wtsi/Slc25a25+ (more )
Structure Level Pattern Image Note
TS28: tongue Present UC Davis_1887403

Specimen UC Davis_1887404: postnatal adult; Slc25a25tm1b(KOMP)Wtsi/Slc25a25+ (more )
Structure Level Pattern Image Note
TS28: tongue Present UC Davis_1887404

Specimen UC Davis_1887405: postnatal adult; Slc25a25tm1b(KOMP)Wtsi/Slc25a25+ (more )
Structure Level Pattern Image Note
TS28: adrenal gland Present UC Davis_1887405

Specimen UC Davis_1887406: postnatal adult; Slc25a25tm1b(KOMP)Wtsi/Slc25a25+ (more )
Structure Level Pattern Image Note
TS28: pituitary gland Present UC Davis_1887406

Specimen UC Davis_1887407: postnatal adult; Slc25a25tm1b(KOMP)Wtsi/Slc25a25+ (more )
Structure Level Pattern Image Note
TS28: spinal cord Present UC Davis_1887407

Specimen UC Davis_1887408: postnatal adult; Slc25a25tm1b(KOMP)Wtsi/Slc25a25+ (more )
Structure Level Pattern Image Note
TS28: spinal cord Present UC Davis_1887408

Specimen UC Davis_1887409: postnatal adult; Slc25a25tm1b(KOMP)Wtsi/Slc25a25+ (more )
Structure Level Pattern Image Note
TS28: eye Present UC Davis_1887409

Specimen UC Davis_1887410: postnatal adult; Slc25a25tm1b(KOMP)Wtsi/Slc25a25+ (more )
Structure Level Pattern Image Note
TS28: eye Present UC Davis_1887410

Specimen UC Davis_1887411: postnatal adult; Slc25a25tm1b(KOMP)Wtsi/Slc25a25+ (more )
Structure Level Pattern Image Note
TS28: eye Present UC Davis_1887411

Specimen UC Davis_1887413: postnatal adult; Slc25a25tm1b(KOMP)Wtsi/Slc25a25+ (more )
Structure Level Pattern Image Note
TS28: Harderian gland Present UC Davis_1887413

Specimen UC Davis_1887414: postnatal adult; Slc25a25tm1b(KOMP)Wtsi/Slc25a25+ (more )
Structure Level Pattern Image Note
TS28: olfactory lobe Present UC Davis_1887414

Specimen UC Davis_1887418: postnatal adult; Slc25a25tm1b(KOMP)Wtsi/Slc25a25+ (more )
Structure Level Pattern Image Note
TS28: midbrain Present UC Davis_1887418

Specimen UC Davis_1887420: postnatal adult; Slc25a25tm1b(KOMP)Wtsi/Slc25a25+ (more )
Structure Level Pattern Image Note
TS28: cerebellum Present UC Davis_1887420

Specimen UC Davis_1887421: postnatal adult; Slc25a25tm1b(KOMP)Wtsi/Slc25a25+ (more )
Structure Level Pattern Image Note
TS28: trigeminal nerve Present UC Davis_1887421

Specimen UC Davis_1887422: postnatal adult; Slc25a25tm1b(KOMP)Wtsi/Slc25a25+ (more )
Structure Level Pattern Image Note
TS28: bladder Present UC Davis_1887422

Specimen UC Davis_1887423: postnatal adult; Slc25a25tm1b(KOMP)Wtsi/Slc25a25+ (more )
Structure Level Pattern Image Note
TS28: testis Present UC Davis_1887423

Specimen UC Davis_1887424: postnatal adult; Slc25a25tm1b(KOMP)Wtsi/Slc25a25+ (more )
Structure Level Pattern Image Note
TS28: testis Present UC Davis_1887424

Specimen UC Davis_1887425: postnatal adult; Slc25a25tm1b(KOMP)Wtsi/Slc25a25+ (more )
Structure Level Pattern Image Note
TS28: epididymis Present UC Davis_1887425

Specimen UC Davis_1887426: postnatal adult; Slc25a25tm1b(KOMP)Wtsi/Slc25a25+ (more )
Structure Level Pattern Image Note
TS28: epididymis Present UC Davis_1887426

Specimen UC Davis_1887427: postnatal adult; Slc25a25tm1b(KOMP)Wtsi/Slc25a25+ (more )
Structure Level Pattern Image Note
TS28: prostate gland Present UC Davis_1887427

Specimen UC Davis_1887428: postnatal adult; Slc25a25tm1b(KOMP)Wtsi/Slc25a25+ (more )
Structure Level Pattern Image Note
TS28: prostate gland Present UC Davis_1887428

Specimen UC Davis_1887429: postnatal adult; Slc25a25tm1b(KOMP)Wtsi/Slc25a25+ (more )
Structure Level Pattern Image Note
TS28: penis Present UC Davis_1887429

Specimen UC Davis_1887430: postnatal adult; Slc25a25tm1b(KOMP)Wtsi/Slc25a25+ (more )
Structure Level Pattern Image Note
TS28: penis Present UC Davis_1887430

Specimen UC Davis_1887431: postnatal adult; Slc25a25tm1b(KOMP)Wtsi/Slc25a25+ (more )
Structure Level Pattern Image Note
TS28: penis Present UC Davis_1887431

Specimen UC Davis_1887432: postnatal adult; Slc25a25tm1b(KOMP)Wtsi/Slc25a25+ (more )
Structure Level Pattern Image Note
TS28: ductus deferens Present UC Davis_1887432 vas deferens

Specimen UC Davis_1887436: postnatal adult; Slc25a25tm1b(KOMP)Wtsi/Slc25a25+ (more )
Structure Level Pattern Image Note
TS28: seminal vesicle Present UC Davis_1887436 vesicular gland


Contributing Projects:
Mouse Genome Database (MGD), Gene Expression Database (GXD), Mouse Models of Human Cancer database (MMHCdb) (formerly Mouse Tumor Biology (MTB)), Gene Ontology (GO)
Citing These Resources
Funding Information
Warranty Disclaimer, Privacy Notice, Licensing, & Copyright
Send questions and comments to User Support.
last database update
12/30/2025
MGI 6.24
The Jackson Laboratory