About   Help   FAQ
Gene Expression Data
Assay Details
Assay
Reference: J:228563 Koscielny G, et al., The International Mouse Phenotyping Consortium Web Portal, a unified point of access for knockout mice and related phenotyping data. Nucleic Acids Res. 2014 Jan;42(Database issue):D802-9
Assay type: In situ reporter (knock in)
MGI Accession ID: MGI:6691827
Gene symbol: Tmed10
Gene name: transmembrane p24 trafficking protein 10
Reporter: lacZ
Direct Detection
Results
Specimen UC Davis_1866120: postnatal adult; Tmed10tm1.1(KOMP)Vlcg/Tmed10+ (more )
Structure Level Pattern Image Note
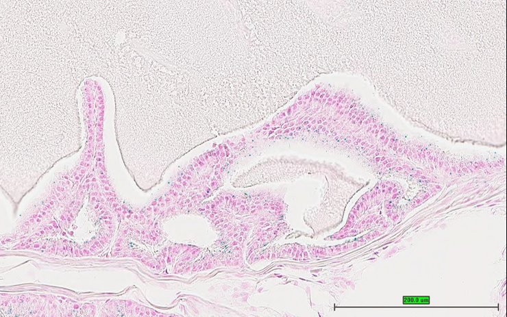
TS28: submandibular gland Present UC Davis_1866120

Specimen UC Davis_1866121: postnatal adult; Tmed10tm1.1(KOMP)Vlcg/Tmed10+ (more )
Structure Level Pattern Image Note
TS28: sublingual gland Present UC Davis_1866121

Specimen UC Davis_1866122: postnatal adult; Tmed10tm1.1(KOMP)Vlcg/Tmed10+ (more )
Structure Level Pattern Image Note
TS28: trachea Present UC Davis_1866122

Specimen UC Davis_1866123: postnatal adult; Tmed10tm1.1(KOMP)Vlcg/Tmed10+ (more )
Structure Level Pattern Image Note
TS28: esophagus Present UC Davis_1866123

Specimen UC Davis_1866124: postnatal adult; Tmed10tm1.1(KOMP)Vlcg/Tmed10+ (more )
Structure Level Pattern Image Note
TS28: aorta Present UC Davis_1866124

Specimen UC Davis_1866125: postnatal adult; Tmed10tm1.1(KOMP)Vlcg/Tmed10+ (more )
Structure Level Pattern Image Note
TS28: lung Present UC Davis_1866125

Specimen UC Davis_1866126: postnatal adult; Tmed10tm1.1(KOMP)Vlcg/Tmed10+ (more )
Structure Level Pattern Image Note
TS28: lung Present UC Davis_1866126

Specimen UC Davis_1866127: postnatal adult; Tmed10tm1.1(KOMP)Vlcg/Tmed10+ (more )
Structure Level Pattern Image Note
TS28: lung Present UC Davis_1866127

Specimen UC Davis_1866128: postnatal adult; Tmed10tm1.1(KOMP)Vlcg/Tmed10+ (more )
Structure Level Pattern Image Note
TS28: thymus Present UC Davis_1866128

Specimen UC Davis_1866131: postnatal adult; Tmed10tm1.1(KOMP)Vlcg/Tmed10+ (more )
Structure Level Pattern Image Note
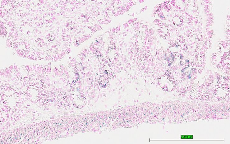
TS28: stomach Present UC Davis_1866131

Specimen UC Davis_1866132: postnatal adult; Tmed10tm1.1(KOMP)Vlcg/Tmed10+ (more )
Structure Level Pattern Image Note
TS28: stomach Present UC Davis_1866132

Specimen UC Davis_1866133: postnatal adult; Tmed10tm1.1(KOMP)Vlcg/Tmed10+ (more )
Structure Level Pattern Image Note
TS28: stomach Present UC Davis_1866133

Specimen UC Davis_1866134: postnatal adult; Tmed10tm1.1(KOMP)Vlcg/Tmed10+ (more )
Structure Level Pattern Image Note
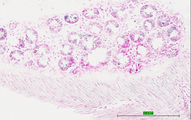
TS28: duodenum Present UC Davis_1866134

Specimen UC Davis_1866135: postnatal adult; Tmed10tm1.1(KOMP)Vlcg/Tmed10+ (more )
Structure Level Pattern Image Note
TS28: ileum Present UC Davis_1866135

Specimen UC Davis_1866136: postnatal adult; Tmed10tm1.1(KOMP)Vlcg/Tmed10+ (more )
Structure Level Pattern Image Note
TS28: colon Present UC Davis_1866136

Specimen UC Davis_1866137: postnatal adult; Tmed10tm1.1(KOMP)Vlcg/Tmed10+ (more )
Structure Level Pattern Image Note
TS28: cecum Present UC Davis_1866137

Specimen UC Davis_1866138: postnatal adult; Tmed10tm1.1(KOMP)Vlcg/Tmed10+ (more )
Structure Level Pattern Image Note
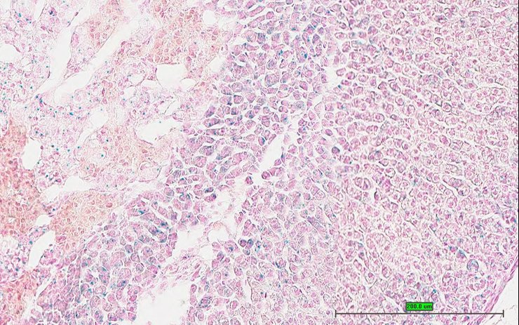
TS28: liver Present UC Davis_1866138

Specimen UC Davis_1866139: postnatal adult; Tmed10tm1.1(KOMP)Vlcg/Tmed10+ (more )
Structure Level Pattern Image Note
TS28: metanephros Present UC Davis_1866139 kidney

Specimen UC Davis_1866140: postnatal adult; Tmed10tm1.1(KOMP)Vlcg/Tmed10+ (more )
Structure Level Pattern Image Note
TS28: metanephros Present UC Davis_1866140 kidney

Specimen UC Davis_1866141: postnatal adult; Tmed10tm1.1(KOMP)Vlcg/Tmed10+ (more )
Structure Level Pattern Image Note
TS28: metanephros Present UC Davis_1866141 kidney

Specimen UC Davis_1866142: postnatal adult; Tmed10tm1.1(KOMP)Vlcg/Tmed10+ (more )
Structure Level Pattern Image Note
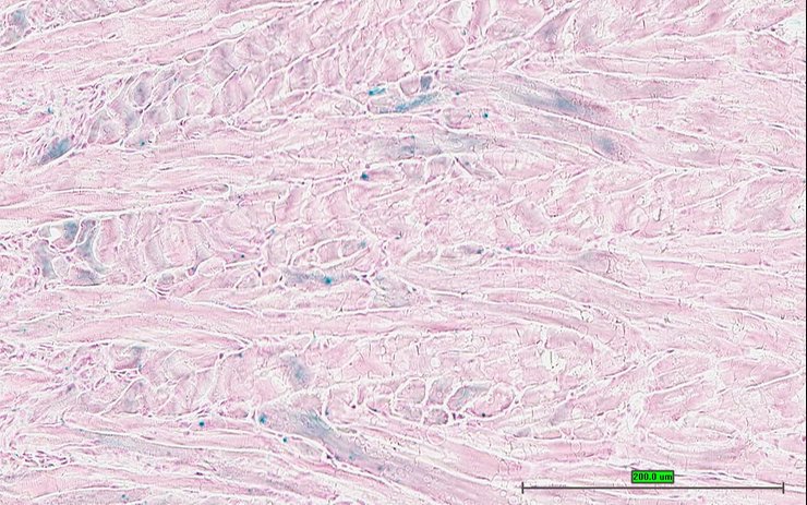
TS28: quadriceps femoris muscle Present UC Davis_1866142

Specimen UC Davis_1866143: postnatal adult; Tmed10tm1.1(KOMP)Vlcg/Tmed10+ (more )
Structure Level Pattern Image Note
TS28: quadriceps femoris muscle Present UC Davis_1866143

Specimen UC Davis_1866144: postnatal adult; Tmed10tm1.1(KOMP)Vlcg/Tmed10+ (more )
Structure Level Pattern Image Note
TS28: tongue Present UC Davis_1866144

Specimen UC Davis_1866145: postnatal adult; Tmed10tm1.1(KOMP)Vlcg/Tmed10+ (more )
Structure Level Pattern Image Note
TS28: tongue Present UC Davis_1866145

Specimen UC Davis_1866146: postnatal adult; Tmed10tm1.1(KOMP)Vlcg/Tmed10+ (more )
Structure Level Pattern Image Note
TS28: adrenal gland Present UC Davis_1866146

Specimen UC Davis_1866147: postnatal adult; Tmed10tm1.1(KOMP)Vlcg/Tmed10+ (more )
Structure Level Pattern Image Note
TS28: adrenal gland Present UC Davis_1866147

Specimen UC Davis_1866148: postnatal adult; Tmed10tm1.1(KOMP)Vlcg/Tmed10+ (more )
Structure Level Pattern Image Note
TS28: pituitary gland Present UC Davis_1866148

Specimen UC Davis_1866149: postnatal adult; Tmed10tm1.1(KOMP)Vlcg/Tmed10+ (more )
Structure Level Pattern Image Note
TS28: pituitary gland Present UC Davis_1866149

Specimen UC Davis_1866150: postnatal adult; Tmed10tm1.1(KOMP)Vlcg/Tmed10+ (more )
Structure Level Pattern Image Note
TS28: spinal cord Present UC Davis_1866150

Specimen UC Davis_1866151: postnatal adult; Tmed10tm1.1(KOMP)Vlcg/Tmed10+ (more )
Structure Level Pattern Image Note
TS28: spinal cord Present UC Davis_1866151

Specimen UC Davis_1866152: postnatal adult; Tmed10tm1.1(KOMP)Vlcg/Tmed10+ (more )
Structure Level Pattern Image Note
TS28: eye Present UC Davis_1866152

Specimen UC Davis_1866153: postnatal adult; Tmed10tm1.1(KOMP)Vlcg/Tmed10+ (more )
Structure Level Pattern Image Note
TS28: eye Present UC Davis_1866153

Specimen UC Davis_1866155: postnatal adult; Tmed10tm1.1(KOMP)Vlcg/Tmed10+ (more )
Structure Level Pattern Image Note
TS28: Harderian gland Present UC Davis_1866155

Specimen UC Davis_1866156: postnatal adult; Tmed10tm1.1(KOMP)Vlcg/Tmed10+ (more )
Structure Level Pattern Image Note
TS28: skin Present UC Davis_1866156

Specimen UC Davis_1866157: postnatal adult; Tmed10tm1.1(KOMP)Vlcg/Tmed10+ (more )
Structure Level Pattern Image Note
TS28: skin Present UC Davis_1866157

Specimen UC Davis_1866158: postnatal adult; Tmed10tm1.1(KOMP)Vlcg/Tmed10+ (more )
Structure Level Pattern Image Note
TS28: olfactory lobe Present UC Davis_1866158

Specimen UC Davis_1866161: postnatal adult; Tmed10tm1.1(KOMP)Vlcg/Tmed10+ (more )
Structure Level Pattern Image Note
TS28: midbrain Present UC Davis_1866161

Specimen UC Davis_1866163: postnatal adult; Tmed10tm1.1(KOMP)Vlcg/Tmed10+ (more )
Structure Level Pattern Image Note
TS28: cerebellum Present UC Davis_1866163

Specimen UC Davis_1866164: postnatal adult; Tmed10tm1.1(KOMP)Vlcg/Tmed10+ (more )
Structure Level Pattern Image Note
TS28: trigeminal nerve Present UC Davis_1866164

Specimen UC Davis_1866165: postnatal adult; Tmed10tm1.1(KOMP)Vlcg/Tmed10+ (more )
Structure Level Pattern Image Note
TS28: ovary Present UC Davis_1866165

Specimen UC Davis_1866166: postnatal adult; Tmed10tm1.1(KOMP)Vlcg/Tmed10+ (more )
Structure Level Pattern Image Note
TS28: uterus Present UC Davis_1866166

Specimen UC Davis_1866167: postnatal adult; Tmed10tm1.1(KOMP)Vlcg/Tmed10+ (more )
Structure Level Pattern Image Note
TS28: uterus Present UC Davis_1866167

Specimen UC Davis_1866168: postnatal adult; Tmed10tm1.1(KOMP)Vlcg/Tmed10+ (more )
Structure Level Pattern Image Note
TS28: vagina Present UC Davis_1866168

Specimen UC Davis_1866169: postnatal adult; Tmed10tm1.1(KOMP)Vlcg/Tmed10+ (more )
Structure Level Pattern Image Note
TS28: bladder Present UC Davis_1866169

Specimen UC Davis_1866170: postnatal adult; Tmed10tm1.1(KOMP)Vlcg/Tmed10+ (more )
Structure Level Pattern Image Note
TS28: bladder Present UC Davis_1866170

Specimen UC Davis_1866171: postnatal adult; Tmed10tm1.1(KOMP)Vlcg/Tmed10+ (more )
Structure Level Pattern Image Note
TS28: submandibular gland Present UC Davis_1866171

Specimen UC Davis_1866172: postnatal adult; Tmed10tm1.1(KOMP)Vlcg/Tmed10+ (more )
Structure Level Pattern Image Note
TS28: sublingual gland Present UC Davis_1866172

Specimen UC Davis_1866173: postnatal adult; Tmed10tm1.1(KOMP)Vlcg/Tmed10+ (more )
Structure Level Pattern Image Note
TS28: parotid gland Present UC Davis_1866173

Specimen UC Davis_1866174: postnatal adult; Tmed10tm1.1(KOMP)Vlcg/Tmed10+ (more )
Structure Level Pattern Image Note
TS28: trachea Present UC Davis_1866174

Specimen UC Davis_1866175: postnatal adult; Tmed10tm1.1(KOMP)Vlcg/Tmed10+ (more )
Structure Level Pattern Image Note
TS28: esophagus Present UC Davis_1866175

Specimen UC Davis_1866177: postnatal adult; Tmed10tm1.1(KOMP)Vlcg/Tmed10+ (more )
Structure Level Pattern Image Note
TS28: lung Present UC Davis_1866177

Specimen UC Davis_1866178: postnatal adult; Tmed10tm1.1(KOMP)Vlcg/Tmed10+ (more )
Structure Level Pattern Image Note
TS28: thymus Present UC Davis_1866178

Specimen UC Davis_1866182: postnatal adult; Tmed10tm1.1(KOMP)Vlcg/Tmed10+ (more )
Structure Level Pattern Image Note
TS28: stomach Present UC Davis_1866182

Specimen UC Davis_1866183: postnatal adult; Tmed10tm1.1(KOMP)Vlcg/Tmed10+ (more )
Structure Level Pattern Image Note
TS28: stomach Present UC Davis_1866183

Specimen UC Davis_1866184: postnatal adult; Tmed10tm1.1(KOMP)Vlcg/Tmed10+ (more )
Structure Level Pattern Image Note
TS28: stomach Present UC Davis_1866184

Specimen UC Davis_1866185: postnatal adult; Tmed10tm1.1(KOMP)Vlcg/Tmed10+ (more )
Structure Level Pattern Image Note
TS28: ileum Present UC Davis_1866185

Specimen UC Davis_1866186: postnatal adult; Tmed10tm1.1(KOMP)Vlcg/Tmed10+ (more )
Structure Level Pattern Image Note
TS28: ileum Present UC Davis_1866186

Specimen UC Davis_1866187: postnatal adult; Tmed10tm1.1(KOMP)Vlcg/Tmed10+ (more )
Structure Level Pattern Image Note
TS28: colon Present UC Davis_1866187

Specimen UC Davis_1866188: postnatal adult; Tmed10tm1.1(KOMP)Vlcg/Tmed10+ (more )
Structure Level Pattern Image Note
TS28: colon Present UC Davis_1866188

Specimen UC Davis_1866189: postnatal adult; Tmed10tm1.1(KOMP)Vlcg/Tmed10+ (more )
Structure Level Pattern Image Note
TS28: cecum Present UC Davis_1866189

Specimen UC Davis_1866190: postnatal adult; Tmed10tm1.1(KOMP)Vlcg/Tmed10+ (more )
Structure Level Pattern Image Note
TS28: spleen Present UC Davis_1866190

Specimen UC Davis_1866191: postnatal adult; Tmed10tm1.1(KOMP)Vlcg/Tmed10+ (more )
Structure Level Pattern Image Note
TS28: spleen Present UC Davis_1866191

Specimen UC Davis_1866192: postnatal adult; Tmed10tm1.1(KOMP)Vlcg/Tmed10+ (more )
Structure Level Pattern Image Note
TS28: pancreas Present UC Davis_1866192

Specimen UC Davis_1866193: postnatal adult; Tmed10tm1.1(KOMP)Vlcg/Tmed10+ (more )
Structure Level Pattern Image Note
TS28: pancreas Present UC Davis_1866193

Specimen UC Davis_1866194: postnatal adult; Tmed10tm1.1(KOMP)Vlcg/Tmed10+ (more )
Structure Level Pattern Image Note
TS28: liver Present UC Davis_1866194

Specimen UC Davis_1866195: postnatal adult; Tmed10tm1.1(KOMP)Vlcg/Tmed10+ (more )
Structure Level Pattern Image Note
TS28: liver Present UC Davis_1866195

Specimen UC Davis_1866196: postnatal adult; Tmed10tm1.1(KOMP)Vlcg/Tmed10+ (more )
Structure Level Pattern Image Note
TS28: metanephros Present UC Davis_1866196 kidney

Specimen UC Davis_1866197: postnatal adult; Tmed10tm1.1(KOMP)Vlcg/Tmed10+ (more )
Structure Level Pattern Image Note
TS28: metanephros Present UC Davis_1866197 kidney

Specimen UC Davis_1866198: postnatal adult; Tmed10tm1.1(KOMP)Vlcg/Tmed10+ (more )
Structure Level Pattern Image Note
TS28: metanephros Present UC Davis_1866198 kidney

Specimen UC Davis_1866199: postnatal adult; Tmed10tm1.1(KOMP)Vlcg/Tmed10+ (more )
Structure Level Pattern Image Note
TS28: quadriceps femoris muscle Present UC Davis_1866199

Specimen UC Davis_1866200: postnatal adult; Tmed10tm1.1(KOMP)Vlcg/Tmed10+ (more )
Structure Level Pattern Image Note
TS28: tongue Present UC Davis_1866200

Specimen UC Davis_1866201: postnatal adult; Tmed10tm1.1(KOMP)Vlcg/Tmed10+ (more )
Structure Level Pattern Image Note
TS28: tongue Present UC Davis_1866201

Specimen UC Davis_1866202: postnatal adult; Tmed10tm1.1(KOMP)Vlcg/Tmed10+ (more )
Structure Level Pattern Image Note
TS28: tongue Present UC Davis_1866202

Specimen UC Davis_1866203: postnatal adult; Tmed10tm1.1(KOMP)Vlcg/Tmed10+ (more )
Structure Level Pattern Image Note
TS28: tongue Present UC Davis_1866203

Specimen UC Davis_1866204: postnatal adult; Tmed10tm1.1(KOMP)Vlcg/Tmed10+ (more )
Structure Level Pattern Image Note
TS28: diaphragm Present UC Davis_1866204

Specimen UC Davis_1866205: postnatal adult; Tmed10tm1.1(KOMP)Vlcg/Tmed10+ (more )
Structure Level Pattern Image Note
TS28: adrenal gland Present UC Davis_1866205

Specimen UC Davis_1866206: postnatal adult; Tmed10tm1.1(KOMP)Vlcg/Tmed10+ (more )
Structure Level Pattern Image Note
TS28: adrenal gland Present UC Davis_1866206

Specimen UC Davis_1866207: postnatal adult; Tmed10tm1.1(KOMP)Vlcg/Tmed10+ (more )
Structure Level Pattern Image Note
TS28: pituitary gland Present UC Davis_1866207

Specimen UC Davis_1866208: postnatal adult; Tmed10tm1.1(KOMP)Vlcg/Tmed10+ (more )
Structure Level Pattern Image Note
TS28: pituitary gland Present UC Davis_1866208

Specimen UC Davis_1866209: postnatal adult; Tmed10tm1.1(KOMP)Vlcg/Tmed10+ (more )
Structure Level Pattern Image Note
TS28: spinal cord Present UC Davis_1866209

Specimen UC Davis_1866210: postnatal adult; Tmed10tm1.1(KOMP)Vlcg/Tmed10+ (more )
Structure Level Pattern Image Note
TS28: spinal cord Present UC Davis_1866210

Specimen UC Davis_1866211: postnatal adult; Tmed10tm1.1(KOMP)Vlcg/Tmed10+ (more )
Structure Level Pattern Image Note
TS28: eye Present UC Davis_1866211

Specimen UC Davis_1866212: postnatal adult; Tmed10tm1.1(KOMP)Vlcg/Tmed10+ (more )
Structure Level Pattern Image Note
TS28: eye Present UC Davis_1866212

Specimen UC Davis_1866213: postnatal adult; Tmed10tm1.1(KOMP)Vlcg/Tmed10+ (more )
Structure Level Pattern Image Note
TS28: eye Present UC Davis_1866213

Specimen UC Davis_1866215: postnatal adult; Tmed10tm1.1(KOMP)Vlcg/Tmed10+ (more )
Structure Level Pattern Image Note
TS28: Harderian gland Present UC Davis_1866215

Specimen UC Davis_1866216: postnatal adult; Tmed10tm1.1(KOMP)Vlcg/Tmed10+ (more )
Structure Level Pattern Image Note
TS28: skin Present UC Davis_1866216

Specimen UC Davis_1866217: postnatal adult; Tmed10tm1.1(KOMP)Vlcg/Tmed10+ (more )
Structure Level Pattern Image Note
TS28: skin Present UC Davis_1866217

Specimen UC Davis_1866218: postnatal adult; Tmed10tm1.1(KOMP)Vlcg/Tmed10+ (more )
Structure Level Pattern Image Note
TS28: olfactory lobe Present UC Davis_1866218

Specimen UC Davis_1866221: postnatal adult; Tmed10tm1.1(KOMP)Vlcg/Tmed10+ (more )
Structure Level Pattern Image Note
TS28: midbrain Present UC Davis_1866221

Specimen UC Davis_1866223: postnatal adult; Tmed10tm1.1(KOMP)Vlcg/Tmed10+ (more )
Structure Level Pattern Image Note
TS28: cerebellum Present UC Davis_1866223

Specimen UC Davis_1866224: postnatal adult; Tmed10tm1.1(KOMP)Vlcg/Tmed10+ (more )
Structure Level Pattern Image Note
TS28: trigeminal nerve Present UC Davis_1866224

Specimen UC Davis_1866225: postnatal adult; Tmed10tm1.1(KOMP)Vlcg/Tmed10+ (more )
Structure Level Pattern Image Note
TS28: bladder Present UC Davis_1866225

Specimen UC Davis_1866226: postnatal adult; Tmed10tm1.1(KOMP)Vlcg/Tmed10+ (more )
Structure Level Pattern Image Note
TS28: bladder Present UC Davis_1866226

Specimen UC Davis_1866227: postnatal adult; Tmed10tm1.1(KOMP)Vlcg/Tmed10+ (more )
Structure Level Pattern Image Note
TS28: testis Present UC Davis_1866227

Specimen UC Davis_1866228: postnatal adult; Tmed10tm1.1(KOMP)Vlcg/Tmed10+ (more )
Structure Level Pattern Image Note
TS28: testis Present UC Davis_1866228

Specimen UC Davis_1866229: postnatal adult; Tmed10tm1.1(KOMP)Vlcg/Tmed10+ (more )
Structure Level Pattern Image Note
TS28: epididymis Present UC Davis_1866229

Specimen UC Davis_1866230: postnatal adult; Tmed10tm1.1(KOMP)Vlcg/Tmed10+ (more )
Structure Level Pattern Image Note
TS28: prostate gland Present UC Davis_1866230

Specimen UC Davis_1866231: postnatal adult; Tmed10tm1.1(KOMP)Vlcg/Tmed10+ (more )
Structure Level Pattern Image Note
TS28: penis Present UC Davis_1866231

Specimen UC Davis_1866232: postnatal adult; Tmed10tm1.1(KOMP)Vlcg/Tmed10+ (more )
Structure Level Pattern Image Note
TS28: penis Present UC Davis_1866232

Specimen UC Davis_1866233: postnatal adult; Tmed10tm1.1(KOMP)Vlcg/Tmed10+ (more )
Structure Level Pattern Image Note
TS28: penis Present UC Davis_1866233

Specimen UC Davis_1866234: postnatal adult; Tmed10tm1.1(KOMP)Vlcg/Tmed10+ (more )
Structure Level Pattern Image Note
TS28: ductus deferens Present UC Davis_1866234 vas deferens

Specimen UC Davis_1866237: postnatal adult; Tmed10tm1.1(KOMP)Vlcg/Tmed10+ (more )
Structure Level Pattern Image Note
TS28: seminal vesicle Present UC Davis_1866237 vesicular gland

Specimen UC Davis_1866238: postnatal adult; Tmed10tm1.1(KOMP)Vlcg/Tmed10+ (more )
Structure Level Pattern Image Note
TS28: seminal vesicle Present UC Davis_1866238 vesicular gland


Contributing Projects:
Mouse Genome Database (MGD), Gene Expression Database (GXD), Mouse Models of Human Cancer database (MMHCdb) (formerly Mouse Tumor Biology (MTB)), Gene Ontology (GO)
Citing These Resources
Funding Information
Warranty Disclaimer, Privacy Notice, Licensing, & Copyright
Send questions and comments to User Support.
last database update
01/28/2026
MGI 6.24
The Jackson Laboratory