About   Help   FAQ
Gene Expression Data
Assay Details
Assay
Reference: J:228563 Koscielny G, et al., The International Mouse Phenotyping Consortium Web Portal, a unified point of access for knockout mice and related phenotyping data. Nucleic Acids Res. 2014 Jan;42(Database issue):D802-9
Assay type: In situ reporter (knock in)
MGI Accession ID: MGI:6691824
Gene symbol: Ecscr
Gene name: endothelial cell surface expressed chemotaxis and apoptosis regulator
Reporter: lacZ
Direct Detection
Results
Specimen UC Davis_1870025: postnatal adult; Ecscrtm1.1(KOMP)Vlcg/Ecscr+ (more )
Structure Level Pattern Image Note
TS28: trachea Present UC Davis_1870025

Specimen UC Davis_1870026: postnatal adult; Ecscrtm1.1(KOMP)Vlcg/Ecscr+ (more )
Structure Level Pattern Image Note
TS28: trachea Present UC Davis_1870026

Specimen UC Davis_1870027: postnatal adult; Ecscrtm1.1(KOMP)Vlcg/Ecscr+ (more )
Structure Level Pattern Image Note
TS28: thymus Present UC Davis_1870027

Specimen UC Davis_1870028: postnatal adult; Ecscrtm1.1(KOMP)Vlcg/Ecscr+ (more )
Structure Level Pattern Image Note
TS28: thymus Present UC Davis_1870028

Specimen UC Davis_1870029: postnatal adult; Ecscrtm1.1(KOMP)Vlcg/Ecscr+ (more )
Structure Level Pattern Image Note
TS28: metanephros Present UC Davis_1870029 kidney

Specimen UC Davis_1870030: postnatal adult; Ecscrtm1.1(KOMP)Vlcg/Ecscr+ (more )
Structure Level Pattern Image Note
TS28: metanephros Present UC Davis_1870030 kidney

Specimen UC Davis_1870031: postnatal adult; Ecscrtm1.1(KOMP)Vlcg/Ecscr+ (more )
Structure Level Pattern Image Note
TS28: tongue Present UC Davis_1870031

Specimen UC Davis_1870032: postnatal adult; Ecscrtm1.1(KOMP)Vlcg/Ecscr+ (more )
Structure Level Pattern Image Note
TS28: tongue Present UC Davis_1870032

Specimen UC Davis_1870033: postnatal adult; Ecscrtm1.1(KOMP)Vlcg/Ecscr+ (more )
Structure Level Pattern Image Note
TS28: tongue Present UC Davis_1870033

Specimen UC Davis_1870034: postnatal adult; Ecscrtm1.1(KOMP)Vlcg/Ecscr+ (more )
Structure Level Pattern Image Note
TS28: skin Present UC Davis_1870034

Specimen UC Davis_1870035: postnatal adult; Ecscrtm1.1(KOMP)Vlcg/Ecscr+ (more )
Structure Level Pattern Image Note
TS28: skin Present UC Davis_1870035

Specimen UC Davis_1870036: postnatal adult; Ecscrtm1.1(KOMP)Vlcg/Ecscr+ (more )
Structure Level Pattern Image Note
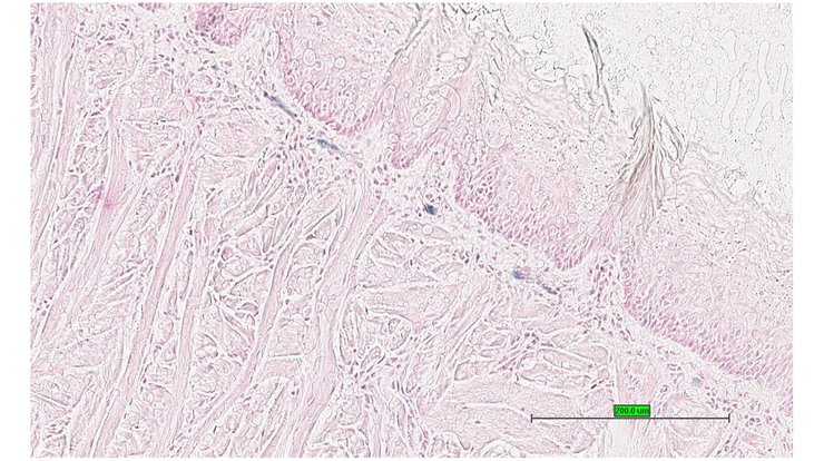
TS28: esophagus Present UC Davis_1870036

Specimen UC Davis_1870037: postnatal adult; Ecscrtm1.1(KOMP)Vlcg/Ecscr+ (more )
Structure Level Pattern Image Note
TS28: thymus Present UC Davis_1870037

Specimen UC Davis_1870038: postnatal adult; Ecscrtm1.1(KOMP)Vlcg/Ecscr+ (more )
Structure Level Pattern Image Note
TS28: thymus Present UC Davis_1870038

Specimen UC Davis_1870039: postnatal adult; Ecscrtm1.1(KOMP)Vlcg/Ecscr+ (more )
Structure Level Pattern Image Note
TS28: ileum Present UC Davis_1870039

Specimen UC Davis_1870040: postnatal adult; Ecscrtm1.1(KOMP)Vlcg/Ecscr+ (more )
Structure Level Pattern Image Note
TS28: colon Present UC Davis_1870040

Specimen UC Davis_1870041: postnatal adult; Ecscrtm1.1(KOMP)Vlcg/Ecscr+ (more )
Structure Level Pattern Image Note
TS28: colon Present UC Davis_1870041

Specimen UC Davis_1870042: postnatal adult; Ecscrtm1.1(KOMP)Vlcg/Ecscr+ (more )
Structure Level Pattern Image Note
TS28: colon Present UC Davis_1870042

Specimen UC Davis_1870043: postnatal adult; Ecscrtm1.1(KOMP)Vlcg/Ecscr+ (more )
Structure Level Pattern Image Note
TS28: colon Present UC Davis_1870043

Specimen UC Davis_1870044: postnatal adult; Ecscrtm1.1(KOMP)Vlcg/Ecscr+ (more )
Structure Level Pattern Image Note
TS28: metanephros Present UC Davis_1870044 kidney

Specimen UC Davis_1870045: postnatal adult; Ecscrtm1.1(KOMP)Vlcg/Ecscr+ (more )
Structure Level Pattern Image Note
TS28: tongue Present UC Davis_1870045

Specimen UC Davis_1870046: postnatal adult; Ecscrtm1.1(KOMP)Vlcg/Ecscr+ (more )
Structure Level Pattern Image Note
TS28: tongue Present UC Davis_1870046

Specimen UC Davis_1870047: postnatal adult; Ecscrtm1.1(KOMP)Vlcg/Ecscr+ (more )
Structure Level Pattern Image Note
TS28: testis Present UC Davis_1870047

Specimen UC Davis_1870048: postnatal adult; Ecscrtm1.1(KOMP)Vlcg/Ecscr+ (more )
Structure Level Pattern Image Note
TS28: epididymis Present UC Davis_1870048

Specimen UC Davis_1870049: postnatal adult; Ecscrtm1.1(KOMP)Vlcg/Ecscr+ (more )
Structure Level Pattern Image Note
TS28: penis Present UC Davis_1870049

Specimen UC Davis_1870050: postnatal adult; Ecscrtm1.1(KOMP)Vlcg/Ecscr+ (more )
Structure Level Pattern Image Note
TS28: penis Present UC Davis_1870050

Specimen UC Davis_1870051: postnatal adult; Ecscrtm1.1(KOMP)Vlcg/Ecscr+ (more )
Structure Level Pattern Image Note
TS28: ductus deferens Present UC Davis_1870051 vas deferens


Contributing Projects:
Mouse Genome Database (MGD), Gene Expression Database (GXD), Mouse Models of Human Cancer database (MMHCdb) (formerly Mouse Tumor Biology (MTB)), Gene Ontology (GO)
Citing These Resources
Funding Information
Warranty Disclaimer, Privacy Notice, Licensing, & Copyright
Send questions and comments to User Support.
last database update
12/30/2025
MGI 6.24
The Jackson Laboratory