About   Help   FAQ
Gene Expression Data
Assay Details
Assay
Reference: J:228563 Koscielny G, et al., The International Mouse Phenotyping Consortium Web Portal, a unified point of access for knockout mice and related phenotyping data. Nucleic Acids Res. 2014 Jan;42(Database issue):D802-9
Assay type: In situ reporter (knock in)
MGI Accession ID: MGI:6691820
Gene symbol: Mpzl1
Gene name: myelin protein zero-like 1
Reporter: lacZ
Direct Detection
Results
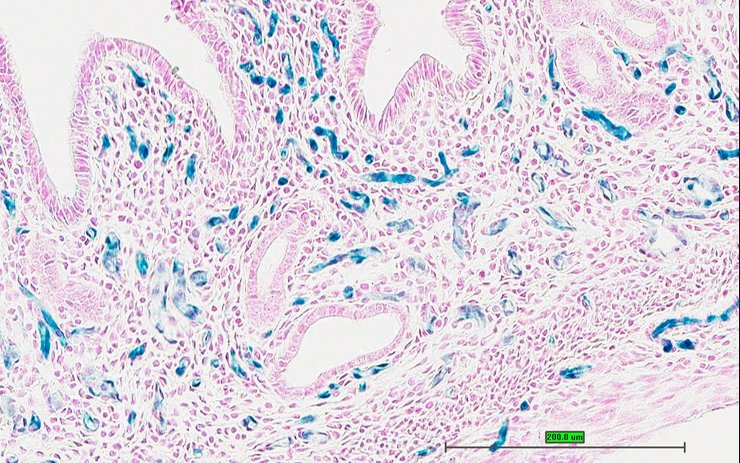
Specimen UC Davis_1877744: postnatal adult; Mpzl1tm1.1(KOMP)Vlcg/Mpzl1+ (more )
Structure Level Pattern Image Note
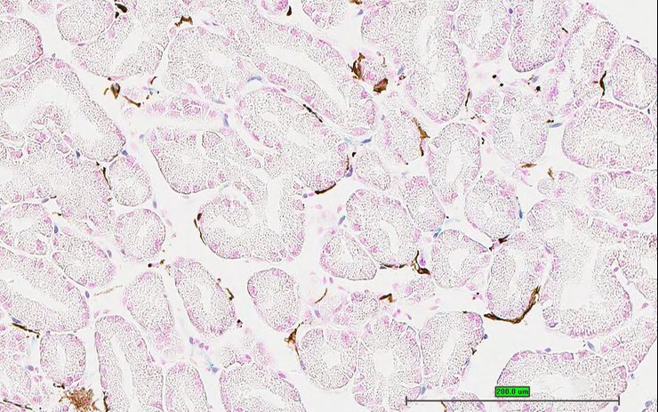
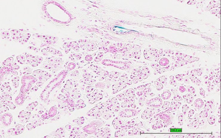
TS28: submandibular gland Present UC Davis_1877744

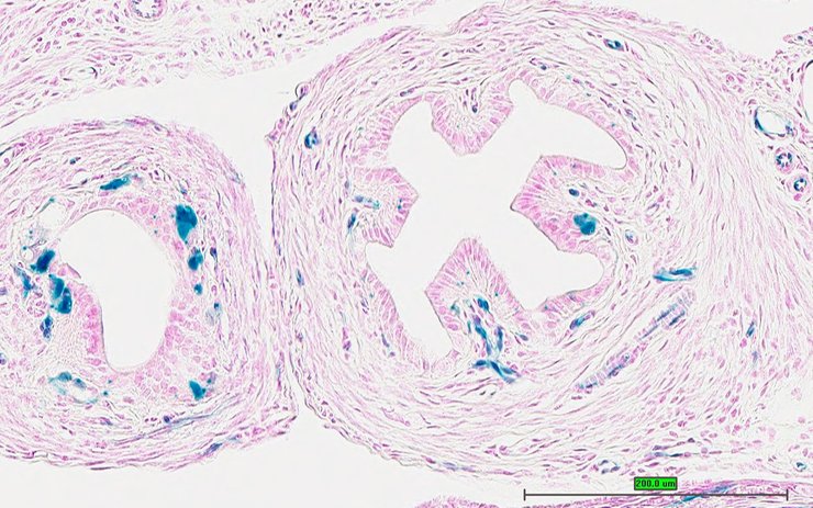
Specimen UC Davis_1877745: postnatal adult; Mpzl1tm1.1(KOMP)Vlcg/Mpzl1+ (more )
Structure Level Pattern Image Note
TS28: sublingual gland Present UC Davis_1877745

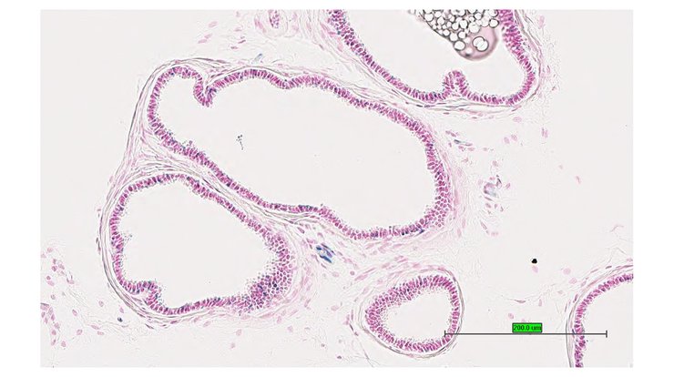
Specimen UC Davis_1877749: postnatal adult; Mpzl1tm1.1(KOMP)Vlcg/Mpzl1+ (more )
Structure Level Pattern Image Note
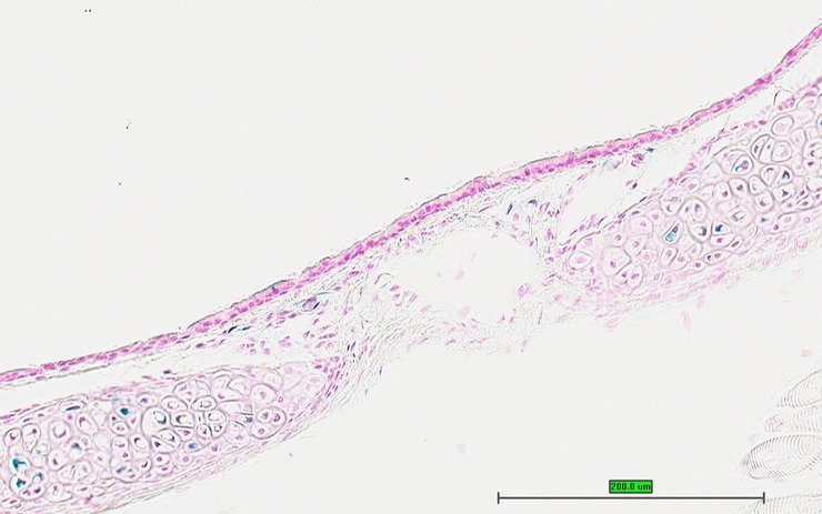
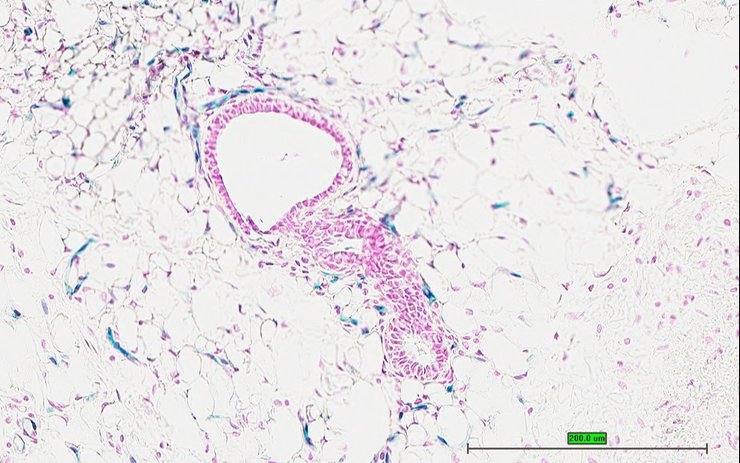
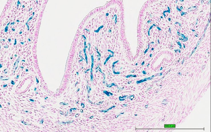
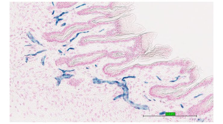
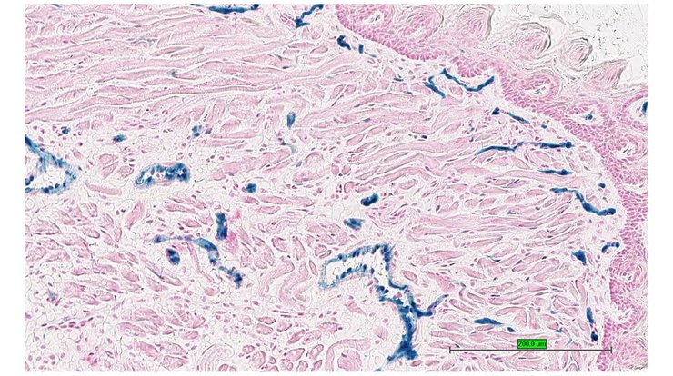
TS28: trachea Present UC Davis_1877749

Specimen UC Davis_1877750: postnatal adult; Mpzl1tm1.1(KOMP)Vlcg/Mpzl1+ (more )
Structure Level Pattern Image Note
TS28: trachea Present UC Davis_1877750

Specimen UC Davis_1877751: postnatal adult; Mpzl1tm1.1(KOMP)Vlcg/Mpzl1+ (more )
Structure Level Pattern Image Note
TS28: esophagus Present UC Davis_1877751

Specimen UC Davis_1877752: postnatal adult; Mpzl1tm1.1(KOMP)Vlcg/Mpzl1+ (more )
Structure Level Pattern Image Note
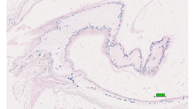
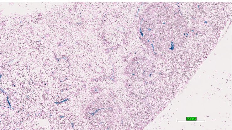
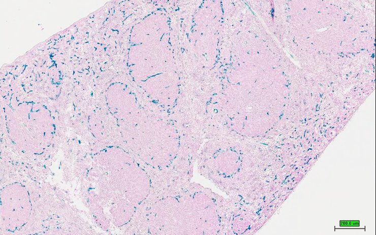
TS28: mesenteric lymph node Present UC Davis_1877752

Specimen UC Davis_1877753: postnatal adult; Mpzl1tm1.1(KOMP)Vlcg/Mpzl1+ (more )
Structure Level Pattern Image Note
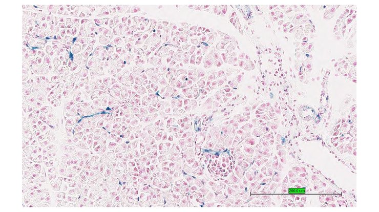
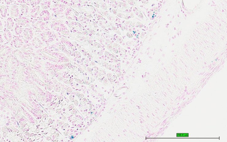
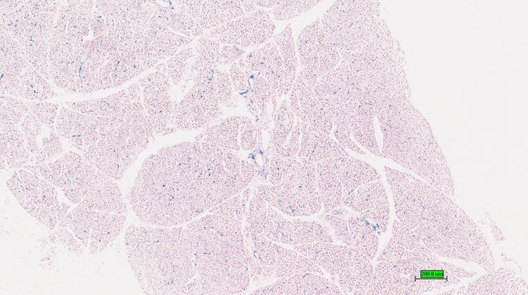
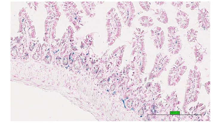
TS28: stomach Present UC Davis_1877753

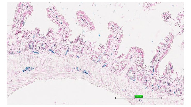
Specimen UC Davis_1877754: postnatal adult; Mpzl1tm1.1(KOMP)Vlcg/Mpzl1+ (more )
Structure Level Pattern Image Note
TS28: stomach Present UC Davis_1877754

Specimen UC Davis_1877755: postnatal adult; Mpzl1tm1.1(KOMP)Vlcg/Mpzl1+ (more )
Structure Level Pattern Image Note
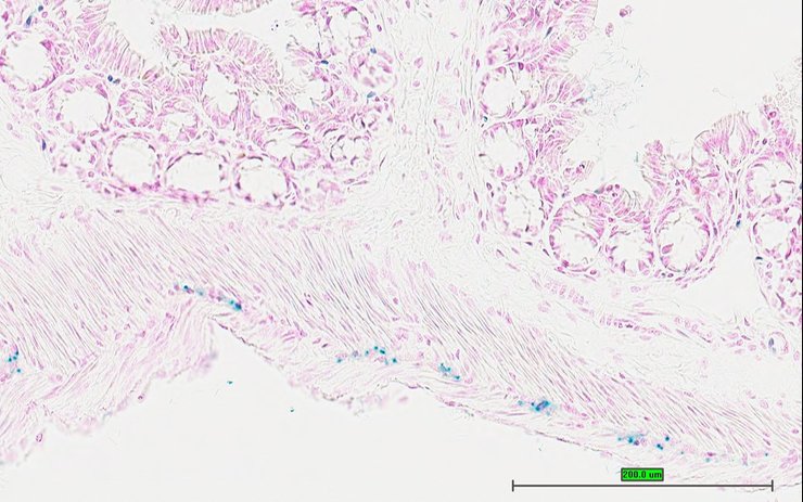
TS28: ileum Present UC Davis_1877755

Specimen UC Davis_1877756: postnatal adult; Mpzl1tm1.1(KOMP)Vlcg/Mpzl1+ (more )
Structure Level Pattern Image Note
TS28: colon Present UC Davis_1877756

Specimen UC Davis_1877757: postnatal adult; Mpzl1tm1.1(KOMP)Vlcg/Mpzl1+ (more )
Structure Level Pattern Image Note
TS28: colon Present UC Davis_1877757

Specimen UC Davis_1877758: postnatal adult; Mpzl1tm1.1(KOMP)Vlcg/Mpzl1+ (more )
Structure Level Pattern Image Note
TS28: cecum Present UC Davis_1877758

Specimen UC Davis_1877759: postnatal adult; Mpzl1tm1.1(KOMP)Vlcg/Mpzl1+ (more )
Structure Level Pattern Image Note
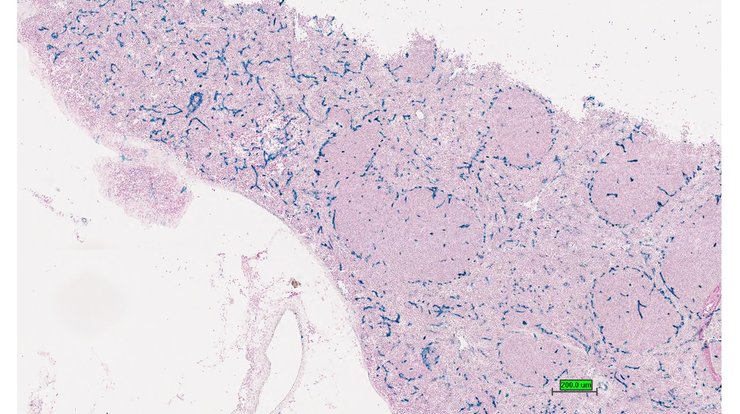
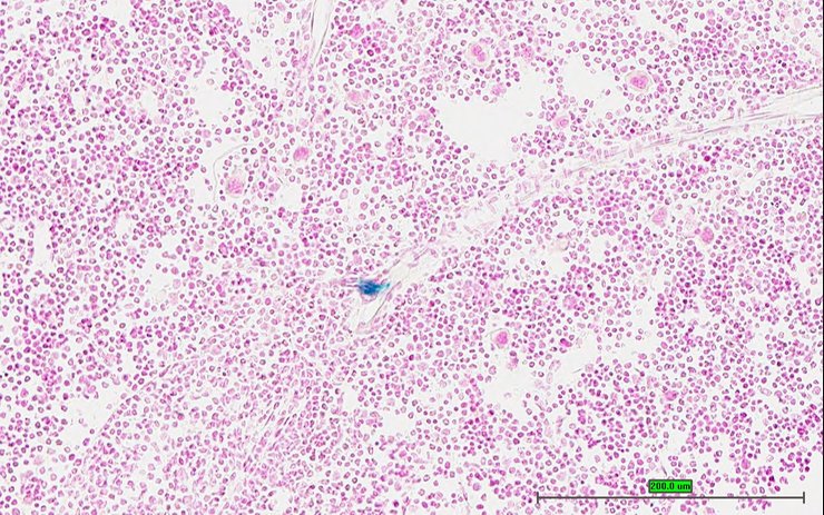
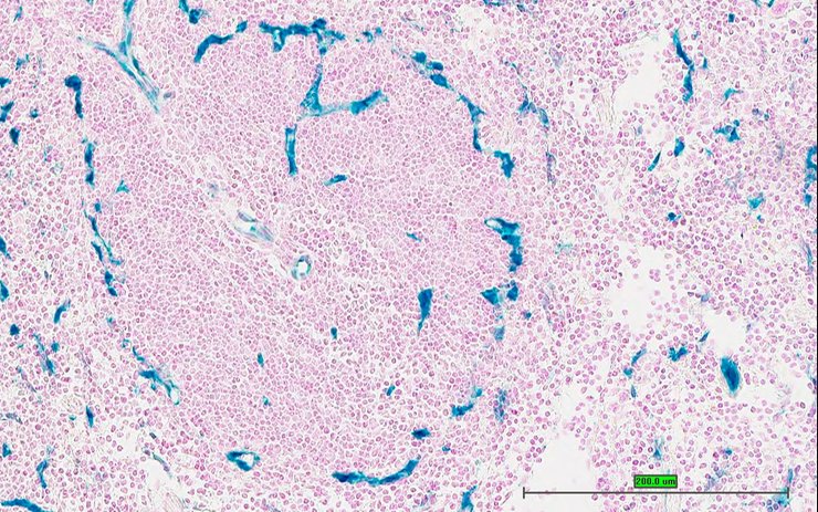
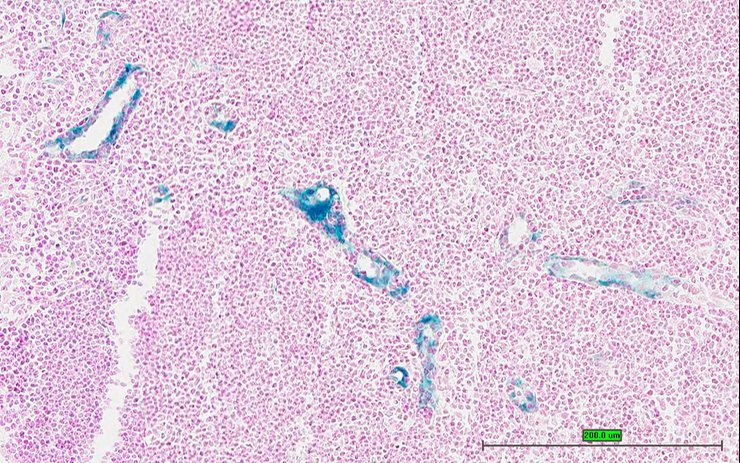
TS28: spleen Present UC Davis_1877759

Specimen UC Davis_1877760: postnatal adult; Mpzl1tm1.1(KOMP)Vlcg/Mpzl1+ (more )
Structure Level Pattern Image Note
TS28: spleen Present UC Davis_1877760

Specimen UC Davis_1877761: postnatal adult; Mpzl1tm1.1(KOMP)Vlcg/Mpzl1+ (more )
Structure Level Pattern Image Note
TS28: spleen Present UC Davis_1877761

Specimen UC Davis_1877762: postnatal adult; Mpzl1tm1.1(KOMP)Vlcg/Mpzl1+ (more )
Structure Level Pattern Image Note
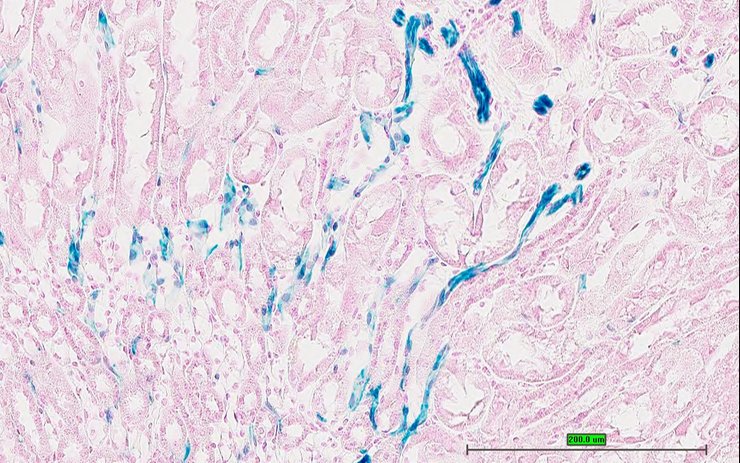
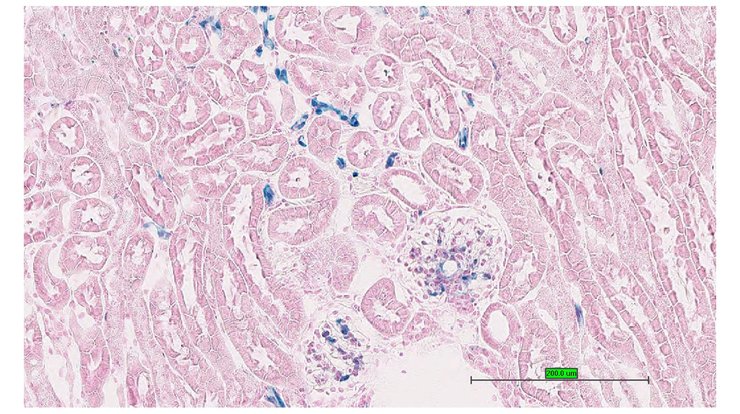
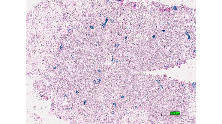
TS28: metanephros Present UC Davis_1877762 kidney

Specimen UC Davis_1877763: postnatal adult; Mpzl1tm1.1(KOMP)Vlcg/Mpzl1+ (more )
Structure Level Pattern Image Note
TS28: metanephros Present UC Davis_1877763 kidney

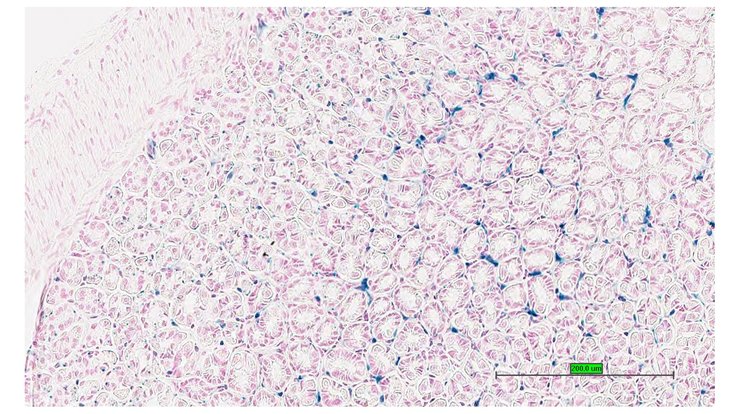
Specimen UC Davis_1877764: postnatal adult; Mpzl1tm1.1(KOMP)Vlcg/Mpzl1+ (more )
Structure Level Pattern Image Note
TS28: metanephros Present UC Davis_1877764 kidney

Specimen UC Davis_1877765: postnatal adult; Mpzl1tm1.1(KOMP)Vlcg/Mpzl1+ (more )
Structure Level Pattern Image Note
TS28: metanephros Present UC Davis_1877765 kidney

Specimen UC Davis_1877766: postnatal adult; Mpzl1tm1.1(KOMP)Vlcg/Mpzl1+ (more )
Structure Level Pattern Image Note
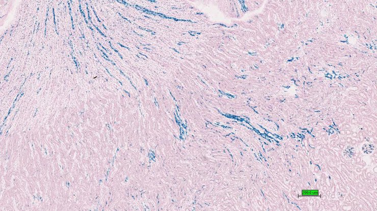
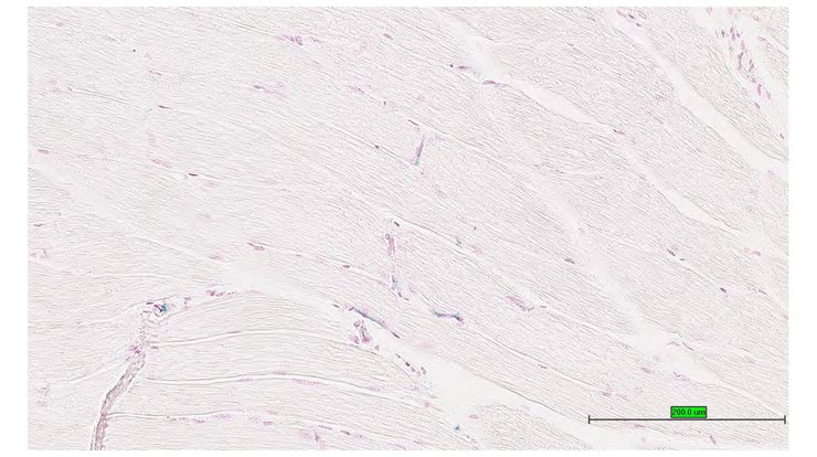
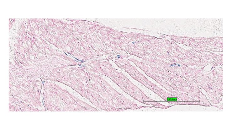
TS28: quadriceps femoris muscle Present UC Davis_1877766

Specimen UC Davis_1877767: postnatal adult; Mpzl1tm1.1(KOMP)Vlcg/Mpzl1+ (more )
Structure Level Pattern Image Note
TS28: quadriceps femoris muscle Present UC Davis_1877767

Specimen UC Davis_1877768: postnatal adult; Mpzl1tm1.1(KOMP)Vlcg/Mpzl1+ (more )
Structure Level Pattern Image Note
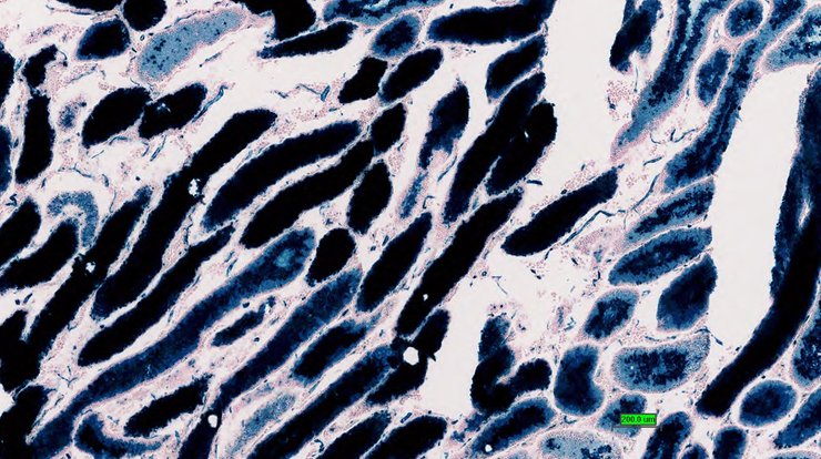
TS28: sciatic nerve Present UC Davis_1877768

Specimen UC Davis_1877769: postnatal adult; Mpzl1tm1.1(KOMP)Vlcg/Mpzl1+ (more )
Structure Level Pattern Image Note
TS28: sciatic nerve Present UC Davis_1877769

Specimen UC Davis_1877770: postnatal adult; Mpzl1tm1.1(KOMP)Vlcg/Mpzl1+ (more )
Structure Level Pattern Image Note
TS28: tongue Present UC Davis_1877770

Specimen UC Davis_1877771: postnatal adult; Mpzl1tm1.1(KOMP)Vlcg/Mpzl1+ (more )
Structure Level Pattern Image Note
TS28: tongue Present UC Davis_1877771

Specimen UC Davis_1877772: postnatal adult; Mpzl1tm1.1(KOMP)Vlcg/Mpzl1+ (more )
Structure Level Pattern Image Note
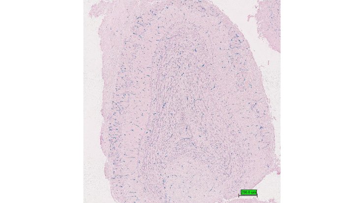
TS28: spinal cord Present UC Davis_1877772

Specimen UC Davis_1877773: postnatal adult; Mpzl1tm1.1(KOMP)Vlcg/Mpzl1+ (more )
Structure Level Pattern Image Note
TS28: spinal cord Present UC Davis_1877773

Specimen UC Davis_1877774: postnatal adult; Mpzl1tm1.1(KOMP)Vlcg/Mpzl1+ (more )
Structure Level Pattern Image Note
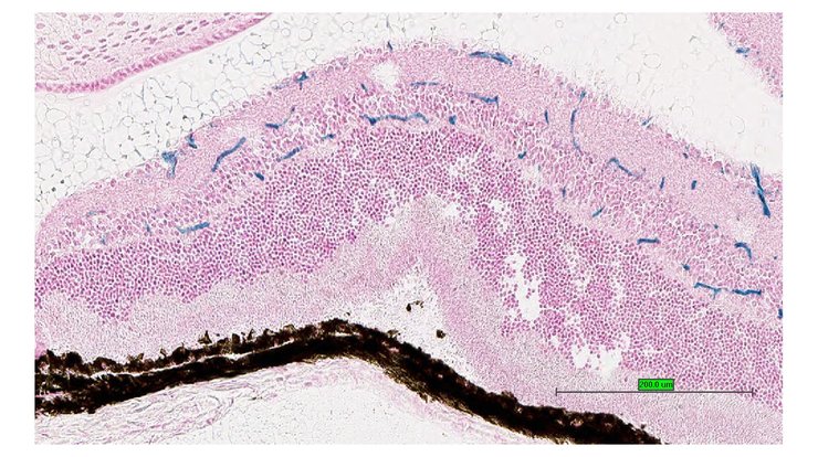
TS28: eye Present UC Davis_1877774

Specimen UC Davis_1877775: postnatal adult; Mpzl1tm1.1(KOMP)Vlcg/Mpzl1+ (more )
Structure Level Pattern Image Note
TS28: eye Present UC Davis_1877775

Specimen UC Davis_1877777: postnatal adult; Mpzl1tm1.1(KOMP)Vlcg/Mpzl1+ (more )
Structure Level Pattern Image Note
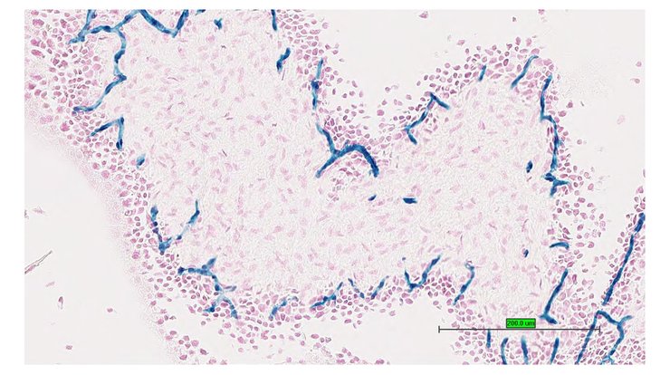
TS28: Harderian gland Present UC Davis_1877777

Specimen UC Davis_1877778: postnatal adult; Mpzl1tm1.1(KOMP)Vlcg/Mpzl1+ (more )
Structure Level Pattern Image Note
TS28: Harderian gland Present UC Davis_1877778

Specimen UC Davis_1877779: postnatal adult; Mpzl1tm1.1(KOMP)Vlcg/Mpzl1+ (more )
Structure Level Pattern Image Note
TS28: gonadal fat pad Present UC Davis_1877779

Specimen UC Davis_1877780: postnatal adult; Mpzl1tm1.1(KOMP)Vlcg/Mpzl1+ (more )
Structure Level Pattern Image Note
TS28: mesenteric adipose tissue Present UC Davis_1877780

Specimen UC Davis_1877781: postnatal adult; Mpzl1tm1.1(KOMP)Vlcg/Mpzl1+ (more )
Structure Level Pattern Image Note
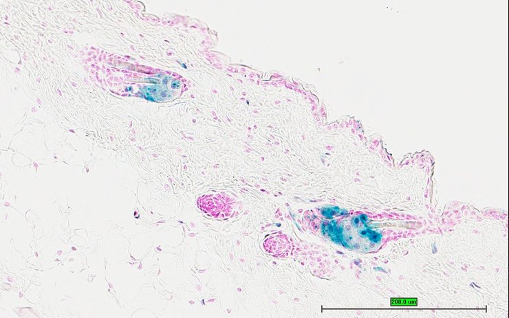
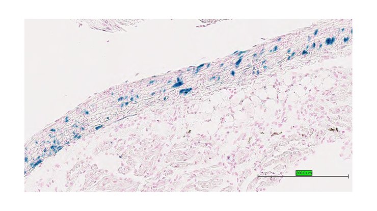
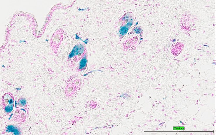
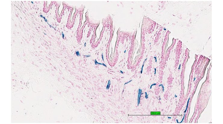
TS28: skin Present UC Davis_1877781

Specimen UC Davis_1877782: postnatal adult; Mpzl1tm1.1(KOMP)Vlcg/Mpzl1+ (more )
Structure Level Pattern Image Note
TS28: skin Present UC Davis_1877782

Specimen UC Davis_1877783: postnatal adult; Mpzl1tm1.1(KOMP)Vlcg/Mpzl1+ (more )
Structure Level Pattern Image Note
TS28: skin Present UC Davis_1877783

Specimen UC Davis_1877784: postnatal adult; Mpzl1tm1.1(KOMP)Vlcg/Mpzl1+ (more )
Structure Level Pattern Image Note
TS28: olfactory lobe Present UC Davis_1877784

Specimen UC Davis_1877788: postnatal adult; Mpzl1tm1.1(KOMP)Vlcg/Mpzl1+ (more )
Structure Level Pattern Image Note
TS28: midbrain Present UC Davis_1877788

Specimen UC Davis_1877790: postnatal adult; Mpzl1tm1.1(KOMP)Vlcg/Mpzl1+ (more )
Structure Level Pattern Image Note
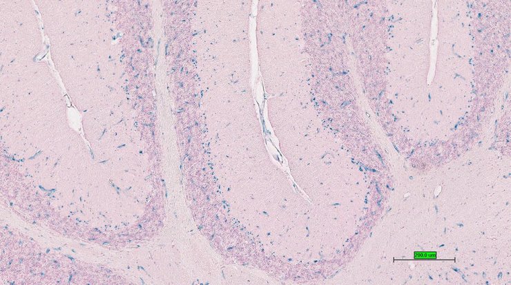
TS28: cerebellum Present UC Davis_1877790

Specimen UC Davis_1877791: postnatal adult; Mpzl1tm1.1(KOMP)Vlcg/Mpzl1+ (more )
Structure Level Pattern Image Note
TS28: trigeminal nerve Present UC Davis_1877791

Specimen UC Davis_1877792: postnatal adult; Mpzl1tm1.1(KOMP)Vlcg/Mpzl1+ (more )
Structure Level Pattern Image Note
TS28: trigeminal nerve Present UC Davis_1877792

Specimen UC Davis_1877793: postnatal adult; Mpzl1tm1.1(KOMP)Vlcg/Mpzl1+ (more )
Structure Level Pattern Image Note
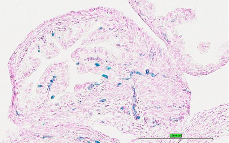
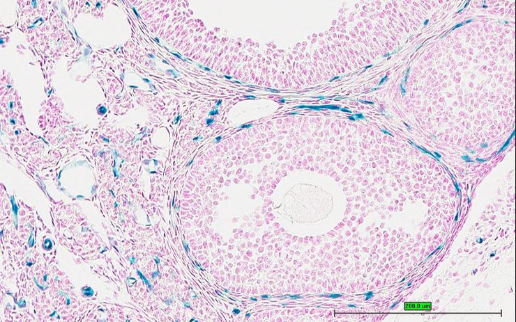
TS28: ovary Present UC Davis_1877793

Specimen UC Davis_1877794: postnatal adult; Mpzl1tm1.1(KOMP)Vlcg/Mpzl1+ (more )
Structure Level Pattern Image Note
TS28: ovary Present UC Davis_1877794

Specimen UC Davis_1877795: postnatal adult; Mpzl1tm1.1(KOMP)Vlcg/Mpzl1+ (more )
Structure Level Pattern Image Note
TS28: ovary Present UC Davis_1877795

Specimen UC Davis_1877796: postnatal adult; Mpzl1tm1.1(KOMP)Vlcg/Mpzl1+ (more )
Structure Level Pattern Image Note
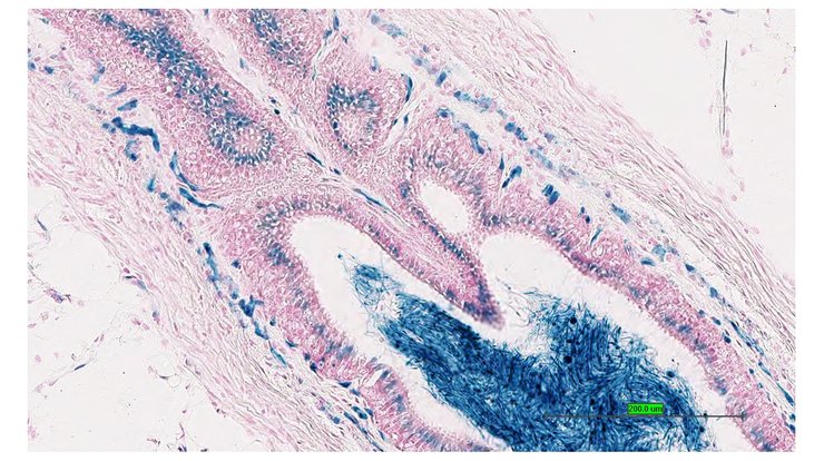
TS28: oviduct Present UC Davis_1877796

Specimen UC Davis_1877797: postnatal adult; Mpzl1tm1.1(KOMP)Vlcg/Mpzl1+ (more )
Structure Level Pattern Image Note
TS28: oviduct Present UC Davis_1877797

Specimen UC Davis_1877798: postnatal adult; Mpzl1tm1.1(KOMP)Vlcg/Mpzl1+ (more )
Structure Level Pattern Image Note
TS28: uterus Present UC Davis_1877798

Specimen UC Davis_1877799: postnatal adult; Mpzl1tm1.1(KOMP)Vlcg/Mpzl1+ (more )
Structure Level Pattern Image Note
TS28: uterus Present UC Davis_1877799

Specimen UC Davis_1877800: postnatal adult; Mpzl1tm1.1(KOMP)Vlcg/Mpzl1+ (more )
Structure Level Pattern Image Note
TS28: vagina Present UC Davis_1877800

Specimen UC Davis_1877801: postnatal adult; Mpzl1tm1.1(KOMP)Vlcg/Mpzl1+ (more )
Structure Level Pattern Image Note
TS28: bladder Present UC Davis_1877801

Specimen UC Davis_1877802: postnatal adult; Mpzl1tm1.1(KOMP)Vlcg/Mpzl1+ (more )
Structure Level Pattern Image Note
TS28: bladder Present UC Davis_1877802

Specimen UC Davis_1877803: postnatal adult; Mpzl1tm1.1(KOMP)Vlcg/Mpzl1+ (more )
Structure Level Pattern Image Note
TS28: bone marrow Absent UC Davis_1877803

Specimen UC Davis_1877804: postnatal adult; Mpzl1tm1.1(KOMP)Vlcg/Mpzl1+ (more )
Structure Level Pattern Image Note
TS28: mammary gland Present UC Davis_1877804

Specimen UC Davis_1877805: postnatal adult; Mpzl1tm1.1(KOMP)Vlcg/Mpzl1+ (more )
Structure Level Pattern Image Note
TS28: mammary gland Present UC Davis_1877805

Specimen UC Davis_1877661: postnatal adult; Mpzl1tm1.1(KOMP)Vlcg/Mpzl1+ (more )
Structure Level Pattern Image Note
TS28: submandibular gland Present UC Davis_1877661

Specimen UC Davis_1877662: postnatal adult; Mpzl1tm1.1(KOMP)Vlcg/Mpzl1+ (more )
Structure Level Pattern Image Note
TS28: submandibular gland Present UC Davis_1877662

Specimen UC Davis_1877663: postnatal adult; Mpzl1tm1.1(KOMP)Vlcg/Mpzl1+ (more )
Structure Level Pattern Image Note
TS28: sublingual gland Present UC Davis_1877663

Specimen UC Davis_1877664: postnatal adult; Mpzl1tm1.1(KOMP)Vlcg/Mpzl1+ (more )
Structure Level Pattern Image Note
TS28: sublingual gland Present UC Davis_1877664

Specimen UC Davis_1877665: postnatal adult; Mpzl1tm1.1(KOMP)Vlcg/Mpzl1+ (more )
Structure Level Pattern Image Note
TS28: parotid gland Present UC Davis_1877665

Specimen UC Davis_1877666: postnatal adult; Mpzl1tm1.1(KOMP)Vlcg/Mpzl1+ (more )
Structure Level Pattern Image Note
TS28: trachea Present UC Davis_1877666

Specimen UC Davis_1877667: postnatal adult; Mpzl1tm1.1(KOMP)Vlcg/Mpzl1+ (more )
Structure Level Pattern Image Note
TS28: trachea Present UC Davis_1877667

Specimen UC Davis_1877668: postnatal adult; Mpzl1tm1.1(KOMP)Vlcg/Mpzl1+ (more )
Structure Level Pattern Image Note
TS28: esophagus Present UC Davis_1877668

Specimen UC Davis_1877669: postnatal adult; Mpzl1tm1.1(KOMP)Vlcg/Mpzl1+ (more )
Structure Level Pattern Image Note
TS28: esophagus Present UC Davis_1877669

Specimen UC Davis_1877670: postnatal adult; Mpzl1tm1.1(KOMP)Vlcg/Mpzl1+ (more )
Structure Level Pattern Image Note
TS28: thyroid gland Present UC Davis_1877670

Specimen UC Davis_1877672: postnatal adult; Mpzl1tm1.1(KOMP)Vlcg/Mpzl1+ (more )
Structure Level Pattern Image Note
TS28: aorta Present UC Davis_1877672

Specimen UC Davis_1877673: postnatal adult; Mpzl1tm1.1(KOMP)Vlcg/Mpzl1+ (more )
Structure Level Pattern Image Note
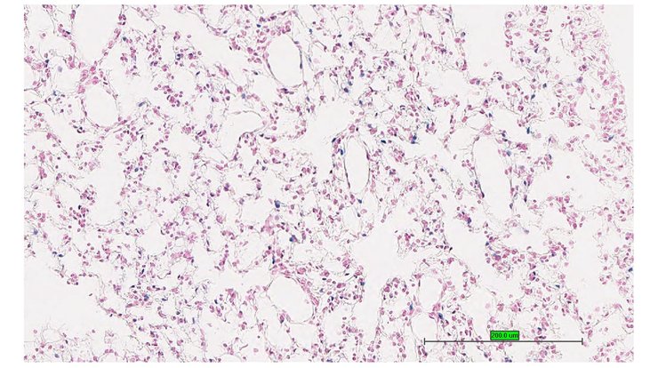
TS28: lung Present UC Davis_1877673

Specimen UC Davis_1877674: postnatal adult; Mpzl1tm1.1(KOMP)Vlcg/Mpzl1+ (more )
Structure Level Pattern Image Note
TS28: thymus Present UC Davis_1877674

Specimen UC Davis_1877675: postnatal adult; Mpzl1tm1.1(KOMP)Vlcg/Mpzl1+ (more )
Structure Level Pattern Image Note
TS28: thymus Present UC Davis_1877675

Specimen UC Davis_1877681: postnatal adult; Mpzl1tm1.1(KOMP)Vlcg/Mpzl1+ (more )
Structure Level Pattern Image Note
TS28: mesenteric lymph node Present UC Davis_1877681

Specimen UC Davis_1877682: postnatal adult; Mpzl1tm1.1(KOMP)Vlcg/Mpzl1+ (more )
Structure Level Pattern Image Note
TS28: mesenteric lymph node Present UC Davis_1877682

Specimen UC Davis_1877683: postnatal adult; Mpzl1tm1.1(KOMP)Vlcg/Mpzl1+ (more )
Structure Level Pattern Image Note
TS28: mesenteric lymph node Present UC Davis_1877683

Specimen UC Davis_1877684: postnatal adult; Mpzl1tm1.1(KOMP)Vlcg/Mpzl1+ (more )
Structure Level Pattern Image Note
TS28: stomach Present UC Davis_1877684

Specimen UC Davis_1877685: postnatal adult; Mpzl1tm1.1(KOMP)Vlcg/Mpzl1+ (more )
Structure Level Pattern Image Note
TS28: stomach Present UC Davis_1877685

Specimen UC Davis_1877686: postnatal adult; Mpzl1tm1.1(KOMP)Vlcg/Mpzl1+ (more )
Structure Level Pattern Image Note
TS28: duodenum Present UC Davis_1877686

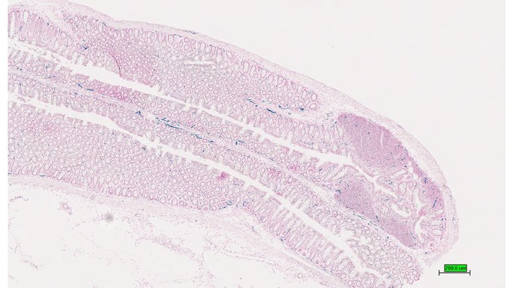
Specimen UC Davis_1877687: postnatal adult; Mpzl1tm1.1(KOMP)Vlcg/Mpzl1+ (more )
Structure Level Pattern Image Note
TS28: jejunum Present UC Davis_1877687

Specimen UC Davis_1877688: postnatal adult; Mpzl1tm1.1(KOMP)Vlcg/Mpzl1+ (more )
Structure Level Pattern Image Note
TS28: ileum Present UC Davis_1877688

Specimen UC Davis_1877689: postnatal adult; Mpzl1tm1.1(KOMP)Vlcg/Mpzl1+ (more )
Structure Level Pattern Image Note
TS28: ileum Present UC Davis_1877689

Specimen UC Davis_1877690: postnatal adult; Mpzl1tm1.1(KOMP)Vlcg/Mpzl1+ (more )
Structure Level Pattern Image Note
TS28: colon Present UC Davis_1877690

Specimen UC Davis_1877691: postnatal adult; Mpzl1tm1.1(KOMP)Vlcg/Mpzl1+ (more )
Structure Level Pattern Image Note
TS28: colon Present UC Davis_1877691

Specimen UC Davis_1877692: postnatal adult; Mpzl1tm1.1(KOMP)Vlcg/Mpzl1+ (more )
Structure Level Pattern Image Note
TS28: cecum Present UC Davis_1877692

Specimen UC Davis_1877693: postnatal adult; Mpzl1tm1.1(KOMP)Vlcg/Mpzl1+ (more )
Structure Level Pattern Image Note
TS28: spleen Present UC Davis_1877693

Specimen UC Davis_1877694: postnatal adult; Mpzl1tm1.1(KOMP)Vlcg/Mpzl1+ (more )
Structure Level Pattern Image Note
TS28: spleen Present UC Davis_1877694

Specimen UC Davis_1877695: postnatal adult; Mpzl1tm1.1(KOMP)Vlcg/Mpzl1+ (more )
Structure Level Pattern Image Note
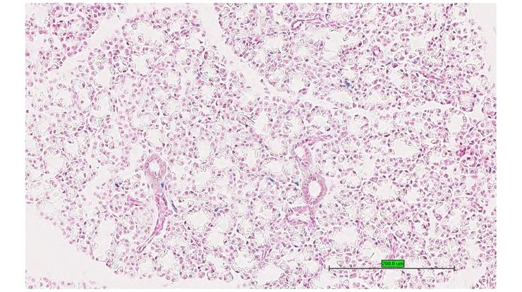
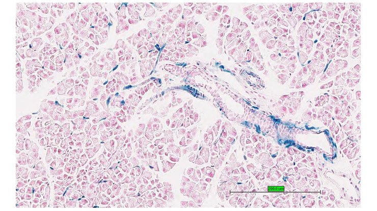
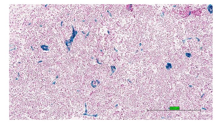
TS28: pancreas Present UC Davis_1877695

Specimen UC Davis_1877696: postnatal adult; Mpzl1tm1.1(KOMP)Vlcg/Mpzl1+ (more )
Structure Level Pattern Image Note
TS28: pancreas Present UC Davis_1877696

Specimen UC Davis_1877697: postnatal adult; Mpzl1tm1.1(KOMP)Vlcg/Mpzl1+ (more )
Structure Level Pattern Image Note
TS28: pancreas Present UC Davis_1877697

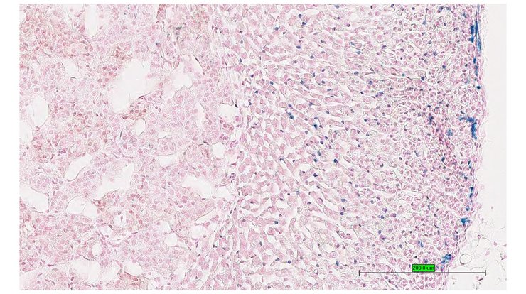
Specimen UC Davis_1877698: postnatal adult; Mpzl1tm1.1(KOMP)Vlcg/Mpzl1+ (more )
Structure Level Pattern Image Note
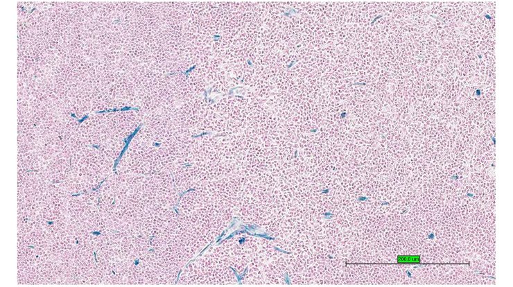
TS28: liver Present UC Davis_1877698

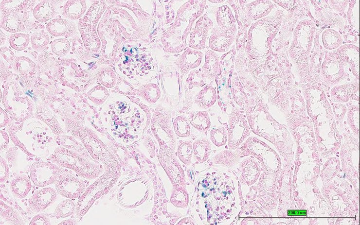
Specimen UC Davis_1877699: postnatal adult; Mpzl1tm1.1(KOMP)Vlcg/Mpzl1+ (more )
Structure Level Pattern Image Note
TS28: metanephros Present UC Davis_1877699 kidney

Specimen UC Davis_1877700: postnatal adult; Mpzl1tm1.1(KOMP)Vlcg/Mpzl1+ (more )
Structure Level Pattern Image Note
TS28: metanephros Present UC Davis_1877700 kidney

Specimen UC Davis_1877701: postnatal adult; Mpzl1tm1.1(KOMP)Vlcg/Mpzl1+ (more )
Structure Level Pattern Image Note
TS28: metanephros Present UC Davis_1877701 kidney

Specimen UC Davis_1877702: postnatal adult; Mpzl1tm1.1(KOMP)Vlcg/Mpzl1+ (more )
Structure Level Pattern Image Note
TS28: quadriceps femoris muscle Present UC Davis_1877702

Specimen UC Davis_1877703: postnatal adult; Mpzl1tm1.1(KOMP)Vlcg/Mpzl1+ (more )
Structure Level Pattern Image Note
TS28: tongue Present UC Davis_1877703

Specimen UC Davis_1877704: postnatal adult; Mpzl1tm1.1(KOMP)Vlcg/Mpzl1+ (more )
Structure Level Pattern Image Note
TS28: tongue Present UC Davis_1877704

Specimen UC Davis_1877705: postnatal adult; Mpzl1tm1.1(KOMP)Vlcg/Mpzl1+ (more )
Structure Level Pattern Image Note
TS28: diaphragm Present UC Davis_1877705

Specimen UC Davis_1877706: postnatal adult; Mpzl1tm1.1(KOMP)Vlcg/Mpzl1+ (more )
Structure Level Pattern Image Note
TS28: adrenal gland Present UC Davis_1877706

Specimen UC Davis_1877707: postnatal adult; Mpzl1tm1.1(KOMP)Vlcg/Mpzl1+ (more )
Structure Level Pattern Image Note
TS28: spinal cord Present UC Davis_1877707

Specimen UC Davis_1877708: postnatal adult; Mpzl1tm1.1(KOMP)Vlcg/Mpzl1+ (more )
Structure Level Pattern Image Note
TS28: spinal cord Present UC Davis_1877708

Specimen UC Davis_1877709: postnatal adult; Mpzl1tm1.1(KOMP)Vlcg/Mpzl1+ (more )
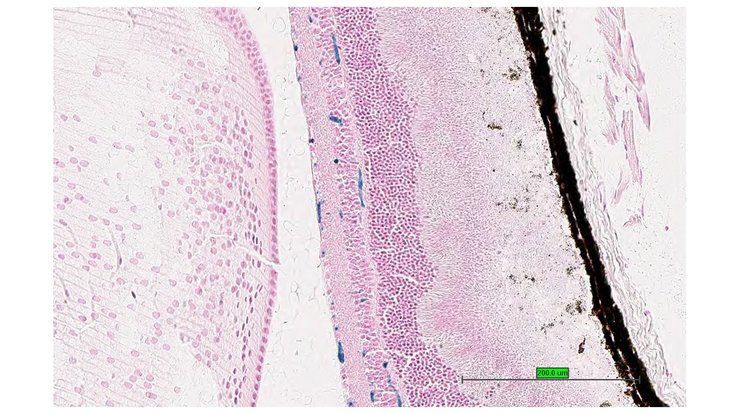
Structure Level Pattern Image Note
TS28: eye Present UC Davis_1877709

Specimen UC Davis_1877710: postnatal adult; Mpzl1tm1.1(KOMP)Vlcg/Mpzl1+ (more )
Structure Level Pattern Image Note
TS28: eye Present UC Davis_1877710

Specimen UC Davis_1877711: postnatal adult; Mpzl1tm1.1(KOMP)Vlcg/Mpzl1+ (more )
Structure Level Pattern Image Note
TS28: Harderian gland Present UC Davis_1877711

Specimen UC Davis_1877712: postnatal adult; Mpzl1tm1.1(KOMP)Vlcg/Mpzl1+ (more )
Structure Level Pattern Image Note
TS28: Harderian gland Present UC Davis_1877712

Specimen UC Davis_1877713: postnatal adult; Mpzl1tm1.1(KOMP)Vlcg/Mpzl1+ (more )
Structure Level Pattern Image Note
TS28: skin Present UC Davis_1877713

Specimen UC Davis_1877714: postnatal adult; Mpzl1tm1.1(KOMP)Vlcg/Mpzl1+ (more )
Structure Level Pattern Image Note
TS28: skin Present UC Davis_1877714

Specimen UC Davis_1877715: postnatal adult; Mpzl1tm1.1(KOMP)Vlcg/Mpzl1+ (more )
Structure Level Pattern Image Note
TS28: brown fat Present UC Davis_1877715

Specimen UC Davis_1877716: postnatal adult; Mpzl1tm1.1(KOMP)Vlcg/Mpzl1+ (more )
Structure Level Pattern Image Note
TS28: olfactory lobe Present UC Davis_1877716

Specimen UC Davis_1877717: postnatal adult; Mpzl1tm1.1(KOMP)Vlcg/Mpzl1+ (more )
Structure Level Pattern Image Note
TS28: olfactory lobe Present UC Davis_1877717

Specimen UC Davis_1877720: postnatal adult; Mpzl1tm1.1(KOMP)Vlcg/Mpzl1+ (more )
Structure Level Pattern Image Note
TS28: midbrain Present UC Davis_1877720

Specimen UC Davis_1877722: postnatal adult; Mpzl1tm1.1(KOMP)Vlcg/Mpzl1+ (more )
Structure Level Pattern Image Note
TS28: cerebellum Present UC Davis_1877722

Specimen UC Davis_1877723: postnatal adult; Mpzl1tm1.1(KOMP)Vlcg/Mpzl1+ (more )
Structure Level Pattern Image Note
TS28: trigeminal nerve Present UC Davis_1877723

Specimen UC Davis_1877724: postnatal adult; Mpzl1tm1.1(KOMP)Vlcg/Mpzl1+ (more )
Structure Level Pattern Image Note
TS28: trigeminal nerve Present UC Davis_1877724

Specimen UC Davis_1877725: postnatal adult; Mpzl1tm1.1(KOMP)Vlcg/Mpzl1+ (more )
Structure Level Pattern Image Note
TS28: trigeminal nerve Present UC Davis_1877725

Specimen UC Davis_1877726: postnatal adult; Mpzl1tm1.1(KOMP)Vlcg/Mpzl1+ (more )
Structure Level Pattern Image Note
TS28: bladder Present UC Davis_1877726

Specimen UC Davis_1877727: postnatal adult; Mpzl1tm1.1(KOMP)Vlcg/Mpzl1+ (more )
Structure Level Pattern Image Note
TS28: bladder Present UC Davis_1877727

Specimen UC Davis_1877728: postnatal adult; Mpzl1tm1.1(KOMP)Vlcg/Mpzl1+ (more )
Structure Level Pattern Image Note
TS28: bladder Present UC Davis_1877728

Specimen UC Davis_1877729: postnatal adult; Mpzl1tm1.1(KOMP)Vlcg/Mpzl1+ (more )
Structure Level Pattern Image Note
TS28: bladder Present UC Davis_1877729

Specimen UC Davis_1877730: postnatal adult; Mpzl1tm1.1(KOMP)Vlcg/Mpzl1+ (more )
Structure Level Pattern Image Note
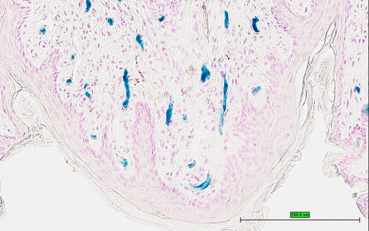
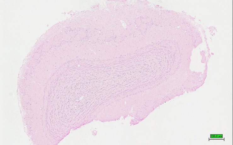
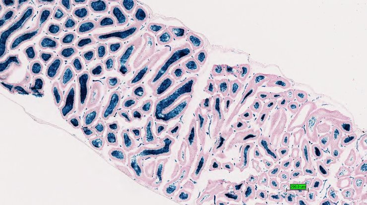
TS28: testis Present UC Davis_1877730

Specimen UC Davis_1877731: postnatal adult; Mpzl1tm1.1(KOMP)Vlcg/Mpzl1+ (more )
Structure Level Pattern Image Note
TS28: testis Present UC Davis_1877731

Specimen UC Davis_1877732: postnatal adult; Mpzl1tm1.1(KOMP)Vlcg/Mpzl1+ (more )
Structure Level Pattern Image Note
TS28: testis Present UC Davis_1877732

Specimen UC Davis_1877733: postnatal adult; Mpzl1tm1.1(KOMP)Vlcg/Mpzl1+ (more )
Structure Level Pattern Image Note
TS28: epididymis Present UC Davis_1877733

Specimen UC Davis_1877734: postnatal adult; Mpzl1tm1.1(KOMP)Vlcg/Mpzl1+ (more )
Structure Level Pattern Image Note
TS28: epididymis Present UC Davis_1877734

Specimen UC Davis_1877735: postnatal adult; Mpzl1tm1.1(KOMP)Vlcg/Mpzl1+ (more )
Structure Level Pattern Image Note
TS28: prostate gland Present UC Davis_1877735

Specimen UC Davis_1877736: postnatal adult; Mpzl1tm1.1(KOMP)Vlcg/Mpzl1+ (more )
Structure Level Pattern Image Note
TS28: penis Present UC Davis_1877736

Specimen UC Davis_1877737: postnatal adult; Mpzl1tm1.1(KOMP)Vlcg/Mpzl1+ (more )
Structure Level Pattern Image Note
TS28: penis Present UC Davis_1877737

Specimen UC Davis_1877738: postnatal adult; Mpzl1tm1.1(KOMP)Vlcg/Mpzl1+ (more )
Structure Level Pattern Image Note
TS28: penis Present UC Davis_1877738

Specimen UC Davis_1877739: postnatal adult; Mpzl1tm1.1(KOMP)Vlcg/Mpzl1+ (more )
Structure Level Pattern Image Note
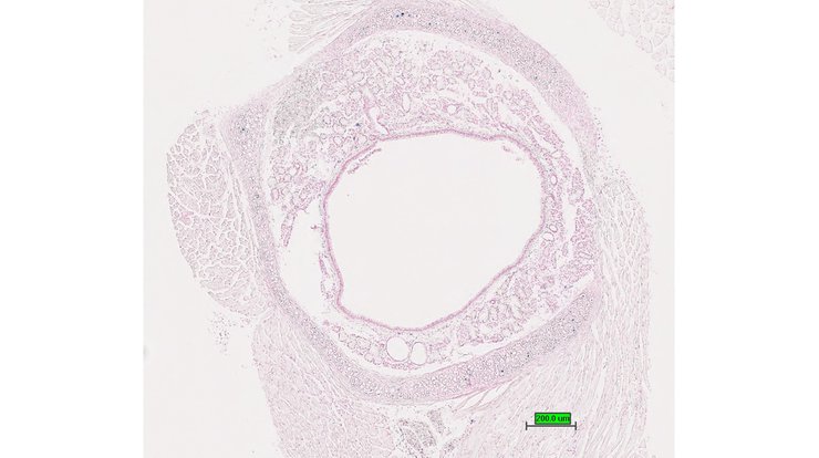
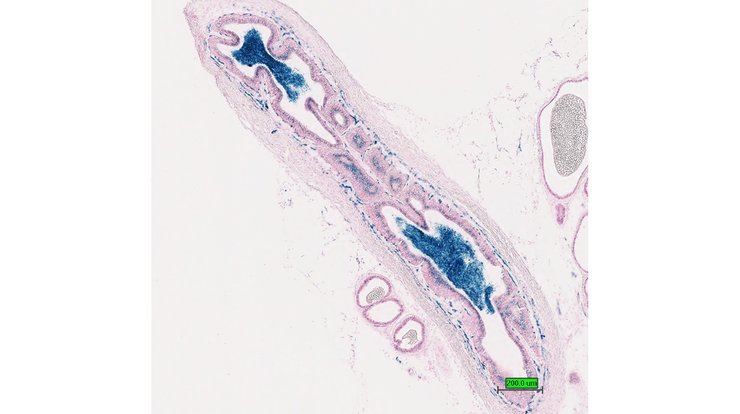
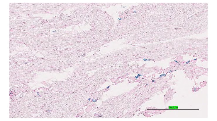
TS28: ductus deferens Present UC Davis_1877739 vas deferens

Specimen UC Davis_1877740: postnatal adult; Mpzl1tm1.1(KOMP)Vlcg/Mpzl1+ (more )
Structure Level Pattern Image Note
TS28: ductus deferens Present UC Davis_1877740 vas deferens

Specimen UC Davis_1877743: postnatal adult; Mpzl1tm1.1(KOMP)Vlcg/Mpzl1+ (more )
Structure Level Pattern Image Note
TS28: seminal vesicle Present UC Davis_1877743 vesicular gland


Contributing Projects:
Mouse Genome Database (MGD), Gene Expression Database (GXD), Mouse Models of Human Cancer database (MMHCdb) (formerly Mouse Tumor Biology (MTB)), Gene Ontology (GO)
Citing These Resources
Funding Information
Warranty Disclaimer, Privacy Notice, Licensing, & Copyright
Send questions and comments to User Support.
last database update
03/24/2026
MGI 6.24
The Jackson Laboratory