About   Help   FAQ
Gene Expression Data
Assay Details
Assay
Reference: J:228563 Koscielny G, et al., The International Mouse Phenotyping Consortium Web Portal, a unified point of access for knockout mice and related phenotyping data. Nucleic Acids Res. 2014 Jan;42(Database issue):D802-9
Assay type: In situ reporter (knock in)
MGI Accession ID: MGI:6691814
Gene symbol: Ccdc88c
Gene name: coiled-coil domain containing 88C
Reporter: lacZ
Direct Detection
Results
Specimen UC Davis_1868483: postnatal adult; Ccdc88ctm1.1(KOMP)Mbp/Ccdc88c+ (more )
Note: The IMPC refers to this as a tm1b allele; when using standard nomenclature conventions, however, it is a tm1.1 allele.
Structure Level Pattern Image Note
TS28: submandibular gland Present UC Davis_1868483

Specimen UC Davis_1868484: postnatal adult; Ccdc88ctm1.1(KOMP)Mbp/Ccdc88c+ (more )
Note: The IMPC refers to this as a tm1b allele; when using standard nomenclature conventions, however, it is a tm1.1 allele.
Structure Level Pattern Image Note
TS28: trachea Absent UC Davis_1868484

Specimen UC Davis_1868485: postnatal adult; Ccdc88ctm1.1(KOMP)Mbp/Ccdc88c+ (more )
Note: The IMPC refers to this as a tm1b allele; when using standard nomenclature conventions, however, it is a tm1.1 allele.
Structure Level Pattern Image Note
TS28: trachea Absent UC Davis_1868485

Specimen UC Davis_1868486: postnatal adult; Ccdc88ctm1.1(KOMP)Mbp/Ccdc88c+ (more )
Note: The IMPC refers to this as a tm1b allele; when using standard nomenclature conventions, however, it is a tm1.1 allele.
Structure Level Pattern Image Note
TS28: lung Present UC Davis_1868486

Specimen UC Davis_1868487: postnatal adult; Ccdc88ctm1.1(KOMP)Mbp/Ccdc88c+ (more )
Note: The IMPC refers to this as a tm1b allele; when using standard nomenclature conventions, however, it is a tm1.1 allele.
Structure Level Pattern Image Note
TS28: lung Present UC Davis_1868487

Specimen UC Davis_1868488: postnatal adult; Ccdc88ctm1.1(KOMP)Mbp/Ccdc88c+ (more )
Note: The IMPC refers to this as a tm1b allele; when using standard nomenclature conventions, however, it is a tm1.1 allele.
Structure Level Pattern Image Note
TS28: stomach Present UC Davis_1868488

Specimen UC Davis_1868489: postnatal adult; Ccdc88ctm1.1(KOMP)Mbp/Ccdc88c+ (more )
Note: The IMPC refers to this as a tm1b allele; when using standard nomenclature conventions, however, it is a tm1.1 allele.
Structure Level Pattern Image Note
TS28: ileum Present UC Davis_1868489

Specimen UC Davis_1868490: postnatal adult; Ccdc88ctm1.1(KOMP)Mbp/Ccdc88c+ (more )
Note: The IMPC refers to this as a tm1b allele; when using standard nomenclature conventions, however, it is a tm1.1 allele.
Structure Level Pattern Image Note
TS28: pancreas Present UC Davis_1868490

Specimen UC Davis_1868491: postnatal adult; Ccdc88ctm1.1(KOMP)Mbp/Ccdc88c+ (more )
Note: The IMPC refers to this as a tm1b allele; when using standard nomenclature conventions, however, it is a tm1.1 allele.
Structure Level Pattern Image Note
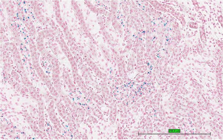
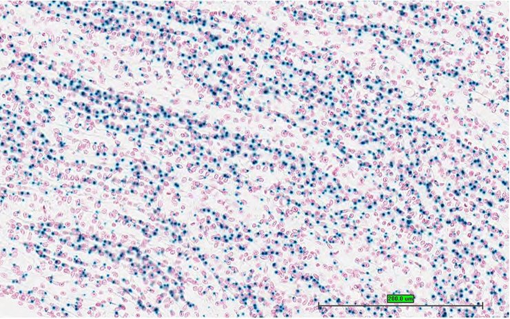
TS28: metanephros Present UC Davis_1868491 kidney

Specimen UC Davis_1868492: postnatal adult; Ccdc88ctm1.1(KOMP)Mbp/Ccdc88c+ (more )
Note: The IMPC refers to this as a tm1b allele; when using standard nomenclature conventions, however, it is a tm1.1 allele.
Structure Level Pattern Image Note
TS28: ovary Present UC Davis_1868492

Specimen UC Davis_1868493: postnatal adult; Ccdc88ctm1.1(KOMP)Mbp/Ccdc88c+ (more )
Note: The IMPC refers to this as a tm1b allele; when using standard nomenclature conventions, however, it is a tm1.1 allele.
Structure Level Pattern Image Note
TS28: oviduct Present UC Davis_1868493

Specimen UC Davis_1868494: postnatal adult; Ccdc88ctm1.1(KOMP)Mbp/Ccdc88c+ (more )
Note: The IMPC refers to this as a tm1b allele; when using standard nomenclature conventions, however, it is a tm1.1 allele.
Structure Level Pattern Image Note
TS28: uterus Present UC Davis_1868494

Specimen UC Davis_1868495: postnatal adult; Ccdc88ctm1.1(KOMP)Mbp/Ccdc88c+ (more )
Note: The IMPC refers to this as a tm1b allele; when using standard nomenclature conventions, however, it is a tm1.1 allele.
Structure Level Pattern Image Note
TS28: uterus Present UC Davis_1868495

Specimen UC Davis_1868496: postnatal adult; Ccdc88ctm1.1(KOMP)Mbp/Ccdc88c+ (more )
Note: The IMPC refers to this as a tm1b allele; when using standard nomenclature conventions, however, it is a tm1.1 allele.
Structure Level Pattern Image Note
TS28: uterus Present UC Davis_1868496

Specimen UC Davis_1868497: postnatal adult; Ccdc88ctm1.1(KOMP)Mbp/Ccdc88c+ (more )
Note: The IMPC refers to this as a tm1b allele; when using standard nomenclature conventions, however, it is a tm1.1 allele.
Structure Level Pattern Image Note
TS28: vagina Present UC Davis_1868497

Specimen UC Davis_1868500: postnatal adult; Ccdc88ctm1.1(KOMP)Mbp/Ccdc88c+ (more )
Note: The IMPC refers to this as a tm1b allele; when using standard nomenclature conventions, however, it is a tm1.1 allele.
Structure Level Pattern Image Note
TS28: submandibular gland Present UC Davis_1868500

Specimen UC Davis_1868501: postnatal adult; Ccdc88ctm1.1(KOMP)Mbp/Ccdc88c+ (more )
Note: The IMPC refers to this as a tm1b allele; when using standard nomenclature conventions, however, it is a tm1.1 allele.
Structure Level Pattern Image Note
TS28: submandibular gland Present UC Davis_1868501

Specimen UC Davis_1868502: postnatal adult; Ccdc88ctm1.1(KOMP)Mbp/Ccdc88c+ (more )
Note: The IMPC refers to this as a tm1b allele; when using standard nomenclature conventions, however, it is a tm1.1 allele.
Structure Level Pattern Image Note
TS28: trachea Present UC Davis_1868502

Specimen UC Davis_1868503: postnatal adult; Ccdc88ctm1.1(KOMP)Mbp/Ccdc88c+ (more )
Note: The IMPC refers to this as a tm1b allele; when using standard nomenclature conventions, however, it is a tm1.1 allele.
Structure Level Pattern Image Note
TS28: esophagus Present UC Davis_1868503

Specimen UC Davis_1868504: postnatal adult; Ccdc88ctm1.1(KOMP)Mbp/Ccdc88c+ (more )
Note: The IMPC refers to this as a tm1b allele; when using standard nomenclature conventions, however, it is a tm1.1 allele.
Structure Level Pattern Image Note
TS28: esophagus Present UC Davis_1868504

Specimen UC Davis_1868506: postnatal adult; Ccdc88ctm1.1(KOMP)Mbp/Ccdc88c+ (more )
Note: The IMPC refers to this as a tm1b allele; when using standard nomenclature conventions, however, it is a tm1.1 allele.
Structure Level Pattern Image Note
TS28: aorta Present UC Davis_1868506

Specimen UC Davis_1868507: postnatal adult; Ccdc88ctm1.1(KOMP)Mbp/Ccdc88c+ (more )
Note: The IMPC refers to this as a tm1b allele; when using standard nomenclature conventions, however, it is a tm1.1 allele.
Structure Level Pattern Image Note
TS28: aorta Present UC Davis_1868507

Specimen UC Davis_1868508: postnatal adult; Ccdc88ctm1.1(KOMP)Mbp/Ccdc88c+ (more )
Note: The IMPC refers to this as a tm1b allele; when using standard nomenclature conventions, however, it is a tm1.1 allele.
Structure Level Pattern Image Note
TS28: lung Present UC Davis_1868508

Specimen UC Davis_1868509: postnatal adult; Ccdc88ctm1.1(KOMP)Mbp/Ccdc88c+ (more )
Note: The IMPC refers to this as a tm1b allele; when using standard nomenclature conventions, however, it is a tm1.1 allele.
Structure Level Pattern Image Note
TS28: lung Present UC Davis_1868509

Specimen UC Davis_1868510: postnatal adult; Ccdc88ctm1.1(KOMP)Mbp/Ccdc88c+ (more )
Note: The IMPC refers to this as a tm1b allele; when using standard nomenclature conventions, however, it is a tm1.1 allele.
Structure Level Pattern Image Note
TS28: thymus Present UC Davis_1868510

Specimen UC Davis_1868511: postnatal adult; Ccdc88ctm1.1(KOMP)Mbp/Ccdc88c+ (more )
Note: The IMPC refers to this as a tm1b allele; when using standard nomenclature conventions, however, it is a tm1.1 allele.
Structure Level Pattern Image Note
TS28: stomach Present UC Davis_1868511

Specimen UC Davis_1868512: postnatal adult; Ccdc88ctm1.1(KOMP)Mbp/Ccdc88c+ (more )
Note: The IMPC refers to this as a tm1b allele; when using standard nomenclature conventions, however, it is a tm1.1 allele.
Structure Level Pattern Image Note
TS28: stomach Present UC Davis_1868512

Specimen UC Davis_1868513: postnatal adult; Ccdc88ctm1.1(KOMP)Mbp/Ccdc88c+ (more )
Note: The IMPC refers to this as a tm1b allele; when using standard nomenclature conventions, however, it is a tm1.1 allele.
Structure Level Pattern Image Note
TS28: stomach Present UC Davis_1868513

Specimen UC Davis_1868514: postnatal adult; Ccdc88ctm1.1(KOMP)Mbp/Ccdc88c+ (more )
Note: The IMPC refers to this as a tm1b allele; when using standard nomenclature conventions, however, it is a tm1.1 allele.
Structure Level Pattern Image Note
TS28: duodenum Present UC Davis_1868514

Specimen UC Davis_1868515: postnatal adult; Ccdc88ctm1.1(KOMP)Mbp/Ccdc88c+ (more )
Note: The IMPC refers to this as a tm1b allele; when using standard nomenclature conventions, however, it is a tm1.1 allele.
Structure Level Pattern Image Note
TS28: duodenum Present UC Davis_1868515

Specimen UC Davis_1868516: postnatal adult; Ccdc88ctm1.1(KOMP)Mbp/Ccdc88c+ (more )
Note: The IMPC refers to this as a tm1b allele; when using standard nomenclature conventions, however, it is a tm1.1 allele.
Structure Level Pattern Image Note
TS28: colon Present UC Davis_1868516

Specimen UC Davis_1868517: postnatal adult; Ccdc88ctm1.1(KOMP)Mbp/Ccdc88c+ (more )
Note: The IMPC refers to this as a tm1b allele; when using standard nomenclature conventions, however, it is a tm1.1 allele.
Structure Level Pattern Image Note
TS28: spleen Present UC Davis_1868517

Specimen UC Davis_1868518: postnatal adult; Ccdc88ctm1.1(KOMP)Mbp/Ccdc88c+ (more )
Note: The IMPC refers to this as a tm1b allele; when using standard nomenclature conventions, however, it is a tm1.1 allele.
Structure Level Pattern Image Note
TS28: spleen Present UC Davis_1868518

Specimen UC Davis_1868519: postnatal adult; Ccdc88ctm1.1(KOMP)Mbp/Ccdc88c+ (more )
Note: The IMPC refers to this as a tm1b allele; when using standard nomenclature conventions, however, it is a tm1.1 allele.
Structure Level Pattern Image Note
TS28: pancreas Present UC Davis_1868519

Specimen UC Davis_1868520: postnatal adult; Ccdc88ctm1.1(KOMP)Mbp/Ccdc88c+ (more )
Note: The IMPC refers to this as a tm1b allele; when using standard nomenclature conventions, however, it is a tm1.1 allele.
Structure Level Pattern Image Note
TS28: pancreas Present UC Davis_1868520

Specimen UC Davis_1868521: postnatal adult; Ccdc88ctm1.1(KOMP)Mbp/Ccdc88c+ (more )
Note: The IMPC refers to this as a tm1b allele; when using standard nomenclature conventions, however, it is a tm1.1 allele.
Structure Level Pattern Image Note
TS28: metanephros Present UC Davis_1868521 kidney

Specimen UC Davis_1868522: postnatal adult; Ccdc88ctm1.1(KOMP)Mbp/Ccdc88c+ (more )
Note: The IMPC refers to this as a tm1b allele; when using standard nomenclature conventions, however, it is a tm1.1 allele.
Structure Level Pattern Image Note
TS28: metanephros Present UC Davis_1868522 kidney

Specimen UC Davis_1868523: postnatal adult; Ccdc88ctm1.1(KOMP)Mbp/Ccdc88c+ (more )
Note: The IMPC refers to this as a tm1b allele; when using standard nomenclature conventions, however, it is a tm1.1 allele.
Structure Level Pattern Image Note
TS28: metanephros Present UC Davis_1868523 kidney

Specimen UC Davis_1868524: postnatal adult; Ccdc88ctm1.1(KOMP)Mbp/Ccdc88c+ (more )
Note: The IMPC refers to this as a tm1b allele; when using standard nomenclature conventions, however, it is a tm1.1 allele.
Structure Level Pattern Image Note
TS28: metanephros Present UC Davis_1868524 kidney

Specimen UC Davis_1868525: postnatal adult; Ccdc88ctm1.1(KOMP)Mbp/Ccdc88c+ (more )
Note: The IMPC refers to this as a tm1b allele; when using standard nomenclature conventions, however, it is a tm1.1 allele.
Structure Level Pattern Image Note
TS28: metanephros Present UC Davis_1868525 kidney

Specimen UC Davis_1868526: postnatal adult; Ccdc88ctm1.1(KOMP)Mbp/Ccdc88c+ (more )
Note: The IMPC refers to this as a tm1b allele; when using standard nomenclature conventions, however, it is a tm1.1 allele.
Structure Level Pattern Image Note
TS28: tongue Present UC Davis_1868526

Specimen UC Davis_1868527: postnatal adult; Ccdc88ctm1.1(KOMP)Mbp/Ccdc88c+ (more )
Note: The IMPC refers to this as a tm1b allele; when using standard nomenclature conventions, however, it is a tm1.1 allele.
Structure Level Pattern Image Note
TS28: tongue Present UC Davis_1868527

Specimen UC Davis_1868528: postnatal adult; Ccdc88ctm1.1(KOMP)Mbp/Ccdc88c+ (more )
Note: The IMPC refers to this as a tm1b allele; when using standard nomenclature conventions, however, it is a tm1.1 allele.
Structure Level Pattern Image Note
TS28: spinal cord Present UC Davis_1868528

Specimen UC Davis_1868529: postnatal adult; Ccdc88ctm1.1(KOMP)Mbp/Ccdc88c+ (more )
Note: The IMPC refers to this as a tm1b allele; when using standard nomenclature conventions, however, it is a tm1.1 allele.
Structure Level Pattern Image Note
TS28: spinal cord Present UC Davis_1868529

Specimen UC Davis_1868530: postnatal adult; Ccdc88ctm1.1(KOMP)Mbp/Ccdc88c+ (more )
Note: The IMPC refers to this as a tm1b allele; when using standard nomenclature conventions, however, it is a tm1.1 allele.
Structure Level Pattern Image Note
TS28: skin Present UC Davis_1868530

Specimen UC Davis_1868531: postnatal adult; Ccdc88ctm1.1(KOMP)Mbp/Ccdc88c+ (more )
Note: The IMPC refers to this as a tm1b allele; when using standard nomenclature conventions, however, it is a tm1.1 allele.
Structure Level Pattern Image Note
TS28: skin Present UC Davis_1868531

Specimen UC Davis_1868534: postnatal adult; Ccdc88ctm1.1(KOMP)Mbp/Ccdc88c+ (more )
Note: The IMPC refers to this as a tm1b allele; when using standard nomenclature conventions, however, it is a tm1.1 allele.
Structure Level Pattern Image Note
TS28: midbrain Present UC Davis_1868534

Specimen UC Davis_1868535: postnatal adult; Ccdc88ctm1.1(KOMP)Mbp/Ccdc88c+ (more )
Note: The IMPC refers to this as a tm1b allele; when using standard nomenclature conventions, however, it is a tm1.1 allele.
Structure Level Pattern Image Note
TS28: bladder Present UC Davis_1868535

Specimen UC Davis_1868536: postnatal adult; Ccdc88ctm1.1(KOMP)Mbp/Ccdc88c+ (more )
Note: The IMPC refers to this as a tm1b allele; when using standard nomenclature conventions, however, it is a tm1.1 allele.
Structure Level Pattern Image Note
TS28: bladder Present UC Davis_1868536

Specimen UC Davis_1868537: postnatal adult; Ccdc88ctm1.1(KOMP)Mbp/Ccdc88c+ (more )
Note: The IMPC refers to this as a tm1b allele; when using standard nomenclature conventions, however, it is a tm1.1 allele.
Structure Level Pattern Image Note
TS28: testis Present UC Davis_1868537

Specimen UC Davis_1868538: postnatal adult; Ccdc88ctm1.1(KOMP)Mbp/Ccdc88c+ (more )
Note: The IMPC refers to this as a tm1b allele; when using standard nomenclature conventions, however, it is a tm1.1 allele.
Structure Level Pattern Image Note
TS28: testis Present UC Davis_1868538

Specimen UC Davis_1868539: postnatal adult; Ccdc88ctm1.1(KOMP)Mbp/Ccdc88c+ (more )
Note: The IMPC refers to this as a tm1b allele; when using standard nomenclature conventions, however, it is a tm1.1 allele.
Structure Level Pattern Image Note
TS28: testis Present UC Davis_1868539

Specimen UC Davis_1868540: postnatal adult; Ccdc88ctm1.1(KOMP)Mbp/Ccdc88c+ (more )
Note: The IMPC refers to this as a tm1b allele; when using standard nomenclature conventions, however, it is a tm1.1 allele.
Structure Level Pattern Image Note
TS28: epididymis Present UC Davis_1868540

Specimen UC Davis_1868541: postnatal adult; Ccdc88ctm1.1(KOMP)Mbp/Ccdc88c+ (more )
Note: The IMPC refers to this as a tm1b allele; when using standard nomenclature conventions, however, it is a tm1.1 allele.
Structure Level Pattern Image Note
TS28: prostate gland Present UC Davis_1868541

Specimen UC Davis_1868542: postnatal adult; Ccdc88ctm1.1(KOMP)Mbp/Ccdc88c+ (more )
Note: The IMPC refers to this as a tm1b allele; when using standard nomenclature conventions, however, it is a tm1.1 allele.
Structure Level Pattern Image Note
TS28: penis Present UC Davis_1868542

Specimen UC Davis_1868543: postnatal adult; Ccdc88ctm1.1(KOMP)Mbp/Ccdc88c+ (more )
Note: The IMPC refers to this as a tm1b allele; when using standard nomenclature conventions, however, it is a tm1.1 allele.
Structure Level Pattern Image Note
TS28: penis Present UC Davis_1868543

Specimen UC Davis_1868544: postnatal adult; Ccdc88ctm1.1(KOMP)Mbp/Ccdc88c+ (more )
Note: The IMPC refers to this as a tm1b allele; when using standard nomenclature conventions, however, it is a tm1.1 allele.
Structure Level Pattern Image Note
TS28: ductus deferens Present UC Davis_1868544 vas deferens

Specimen UC Davis_1868549: postnatal adult; Ccdc88ctm1.1(KOMP)Mbp/Ccdc88c+ (more )
Note: The IMPC refers to this as a tm1b allele; when using standard nomenclature conventions, however, it is a tm1.1 allele.
Structure Level Pattern Image Note
TS28: seminal vesicle Present UC Davis_1868549 vesicular gland


Contributing Projects:
Mouse Genome Database (MGD), Gene Expression Database (GXD), Mouse Models of Human Cancer database (MMHCdb) (formerly Mouse Tumor Biology (MTB)), Gene Ontology (GO)
Citing These Resources
Funding Information
Warranty Disclaimer, Privacy Notice, Licensing, & Copyright
Send questions and comments to User Support.
last database update
01/20/2026
MGI 6.24
The Jackson Laboratory