About   Help   FAQ
Gene Expression Data
Assay Details
Assay
Reference: J:228563 Koscielny G, et al., The International Mouse Phenotyping Consortium Web Portal, a unified point of access for knockout mice and related phenotyping data. Nucleic Acids Res. 2014 Jan;42(Database issue):D802-9
Assay type: In situ reporter (knock in)
MGI Accession ID: MGI:6691796
Gene symbol: Herpud2
Gene name: HERPUD family member 2
Reporter: lacZ
Direct Detection
Results
Specimen UC Davis_1882046: postnatal adult; Herpud2tm1.1(KOMP)Vlcg/Herpud2+ (more )
Structure Level Pattern Image Note
TS28: submandibular gland Present UC Davis_1882046

Specimen UC Davis_1882047: postnatal adult; Herpud2tm1.1(KOMP)Vlcg/Herpud2+ (more )
Structure Level Pattern Image Note
TS28: sublingual gland Present UC Davis_1882047

Specimen UC Davis_1882048: postnatal adult; Herpud2tm1.1(KOMP)Vlcg/Herpud2+ (more )
Structure Level Pattern Image Note
TS28: parotid gland Present UC Davis_1882048

Specimen UC Davis_1882049: postnatal adult; Herpud2tm1.1(KOMP)Vlcg/Herpud2+ (more )
Structure Level Pattern Image Note
TS28: trachea Present UC Davis_1882049

Specimen UC Davis_1882050: postnatal adult; Herpud2tm1.1(KOMP)Vlcg/Herpud2+ (more )
Structure Level Pattern Image Note
TS28: esophagus Present UC Davis_1882050

Specimen UC Davis_1882051: postnatal adult; Herpud2tm1.1(KOMP)Vlcg/Herpud2+ (more )
Structure Level Pattern Image Note
TS28: esophagus Present UC Davis_1882051

Specimen UC Davis_1882052: postnatal adult; Herpud2tm1.1(KOMP)Vlcg/Herpud2+ (more )
Structure Level Pattern Image Note
TS28: thyroid gland Present UC Davis_1882052

Specimen UC Davis_1882053: postnatal adult; Herpud2tm1.1(KOMP)Vlcg/Herpud2+ (more )
Structure Level Pattern Image Note
TS28: parathyroid gland Present UC Davis_1882053

Specimen UC Davis_1882054: postnatal adult; Herpud2tm1.1(KOMP)Vlcg/Herpud2+ (more )
Structure Level Pattern Image Note
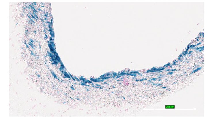
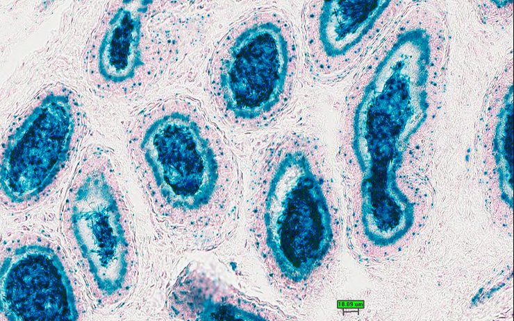
TS28: aorta Present UC Davis_1882054

Specimen UC Davis_1882055: postnatal adult; Herpud2tm1.1(KOMP)Vlcg/Herpud2+ (more )
Structure Level Pattern Image Note
TS28: aorta Present UC Davis_1882055

Specimen UC Davis_1882056: postnatal adult; Herpud2tm1.1(KOMP)Vlcg/Herpud2+ (more )
Structure Level Pattern Image Note
TS28: lung Present UC Davis_1882056

Specimen UC Davis_1882057: postnatal adult; Herpud2tm1.1(KOMP)Vlcg/Herpud2+ (more )
Structure Level Pattern Image Note
TS28: lung Present UC Davis_1882057

Specimen UC Davis_1882058: postnatal adult; Herpud2tm1.1(KOMP)Vlcg/Herpud2+ (more )
Structure Level Pattern Image Note
TS28: thymus Present UC Davis_1882058

Specimen UC Davis_1882062: postnatal adult; Herpud2tm1.1(KOMP)Vlcg/Herpud2+ (more )
Structure Level Pattern Image Note
TS28: stomach Present UC Davis_1882062

Specimen UC Davis_1882063: postnatal adult; Herpud2tm1.1(KOMP)Vlcg/Herpud2+ (more )
Structure Level Pattern Image Note
TS28: stomach Present UC Davis_1882063

Specimen UC Davis_1882064: postnatal adult; Herpud2tm1.1(KOMP)Vlcg/Herpud2+ (more )
Structure Level Pattern Image Note
TS28: stomach Present UC Davis_1882064

Specimen UC Davis_1882065: postnatal adult; Herpud2tm1.1(KOMP)Vlcg/Herpud2+ (more )
Structure Level Pattern Image Note
TS28: ileum Present UC Davis_1882065

Specimen UC Davis_1882066: postnatal adult; Herpud2tm1.1(KOMP)Vlcg/Herpud2+ (more )
Structure Level Pattern Image Note
TS28: colon Present UC Davis_1882066

Specimen UC Davis_1882067: postnatal adult; Herpud2tm1.1(KOMP)Vlcg/Herpud2+ (more )
Structure Level Pattern Image Note
TS28: spleen Present UC Davis_1882067

Specimen UC Davis_1882068: postnatal adult; Herpud2tm1.1(KOMP)Vlcg/Herpud2+ (more )
Structure Level Pattern Image Note
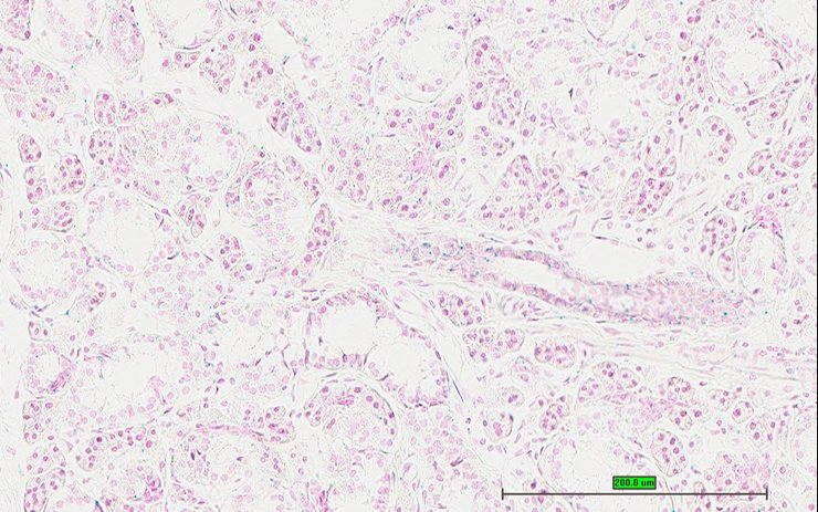
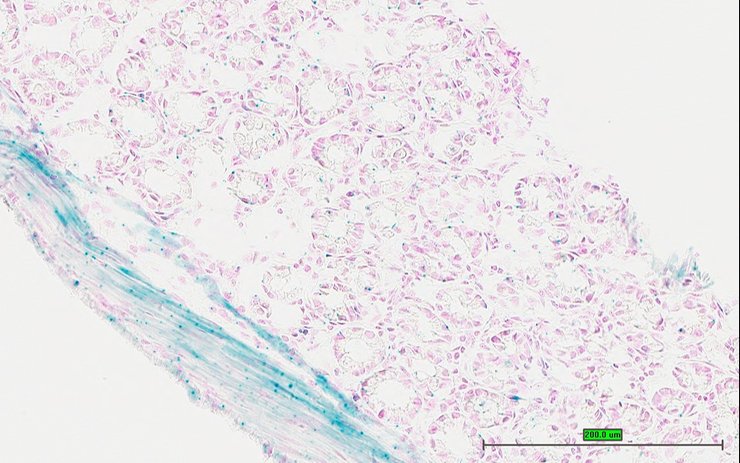
TS28: pancreas Present UC Davis_1882068

Specimen UC Davis_1882069: postnatal adult; Herpud2tm1.1(KOMP)Vlcg/Herpud2+ (more )
Structure Level Pattern Image Note
TS28: pancreas Present UC Davis_1882069

Specimen UC Davis_1882070: postnatal adult; Herpud2tm1.1(KOMP)Vlcg/Herpud2+ (more )
Structure Level Pattern Image Note
TS28: liver Present UC Davis_1882070

Specimen UC Davis_1882071: postnatal adult; Herpud2tm1.1(KOMP)Vlcg/Herpud2+ (more )
Structure Level Pattern Image Note
TS28: metanephros Present UC Davis_1882071 kidney

Specimen UC Davis_1882072: postnatal adult; Herpud2tm1.1(KOMP)Vlcg/Herpud2+ (more )
Structure Level Pattern Image Note
TS28: metanephros Present UC Davis_1882072 kidney

Specimen UC Davis_1882073: postnatal adult; Herpud2tm1.1(KOMP)Vlcg/Herpud2+ (more )
Structure Level Pattern Image Note
TS28: metanephros Present UC Davis_1882073 kidney

Specimen UC Davis_1882074: postnatal adult; Herpud2tm1.1(KOMP)Vlcg/Herpud2+ (more )
Structure Level Pattern Image Note
TS28: metanephros Present UC Davis_1882074 kidney

Specimen UC Davis_1882075: postnatal adult; Herpud2tm1.1(KOMP)Vlcg/Herpud2+ (more )
Structure Level Pattern Image Note
TS28: quadriceps femoris muscle Present UC Davis_1882075

Specimen UC Davis_1882076: postnatal adult; Herpud2tm1.1(KOMP)Vlcg/Herpud2+ (more )
Structure Level Pattern Image Note
TS28: tongue Present UC Davis_1882076

Specimen UC Davis_1882077: postnatal adult; Herpud2tm1.1(KOMP)Vlcg/Herpud2+ (more )
Structure Level Pattern Image Note
TS28: tongue Present UC Davis_1882077

Specimen UC Davis_1882078: postnatal adult; Herpud2tm1.1(KOMP)Vlcg/Herpud2+ (more )
Structure Level Pattern Image Note
TS28: tongue Present UC Davis_1882078

Specimen UC Davis_1882079: postnatal adult; Herpud2tm1.1(KOMP)Vlcg/Herpud2+ (more )
Structure Level Pattern Image Note
TS28: diaphragm Absent UC Davis_1882079

Specimen UC Davis_1882080: postnatal adult; Herpud2tm1.1(KOMP)Vlcg/Herpud2+ (more )
Structure Level Pattern Image Note
TS28: adrenal gland Present UC Davis_1882080

Specimen UC Davis_1882081: postnatal adult; Herpud2tm1.1(KOMP)Vlcg/Herpud2+ (more )
Structure Level Pattern Image Note
TS28: adrenal gland Present UC Davis_1882081

Specimen UC Davis_1882082: postnatal adult; Herpud2tm1.1(KOMP)Vlcg/Herpud2+ (more )
Structure Level Pattern Image Note
TS28: adrenal gland Present UC Davis_1882082

Specimen UC Davis_1882083: postnatal adult; Herpud2tm1.1(KOMP)Vlcg/Herpud2+ (more )
Structure Level Pattern Image Note
TS28: adrenal gland Present UC Davis_1882083

Specimen UC Davis_1882084: postnatal adult; Herpud2tm1.1(KOMP)Vlcg/Herpud2+ (more )
Structure Level Pattern Image Note
TS28: pituitary gland Present UC Davis_1882084

Specimen UC Davis_1882085: postnatal adult; Herpud2tm1.1(KOMP)Vlcg/Herpud2+ (more )
Structure Level Pattern Image Note
TS28: spinal cord Present UC Davis_1882085

Specimen UC Davis_1882086: postnatal adult; Herpud2tm1.1(KOMP)Vlcg/Herpud2+ (more )
Structure Level Pattern Image Note
TS28: spinal cord Present UC Davis_1882086

Specimen UC Davis_1882087: postnatal adult; Herpud2tm1.1(KOMP)Vlcg/Herpud2+ (more )
Structure Level Pattern Image Note
TS28: eye Present UC Davis_1882087

Specimen UC Davis_1882088: postnatal adult; Herpud2tm1.1(KOMP)Vlcg/Herpud2+ (more )
Structure Level Pattern Image Note
TS28: eye Present UC Davis_1882088

Specimen UC Davis_1882090: postnatal adult; Herpud2tm1.1(KOMP)Vlcg/Herpud2+ (more )
Structure Level Pattern Image Note
TS28: Harderian gland Present UC Davis_1882090

Specimen UC Davis_1882091: postnatal adult; Herpud2tm1.1(KOMP)Vlcg/Herpud2+ (more )
Structure Level Pattern Image Note
TS28: gonadal fat pad Present UC Davis_1882091

Specimen UC Davis_1882092: postnatal adult; Herpud2tm1.1(KOMP)Vlcg/Herpud2+ (more )
Structure Level Pattern Image Note
TS28: gonadal fat pad Present UC Davis_1882092

Specimen UC Davis_1882093: postnatal adult; Herpud2tm1.1(KOMP)Vlcg/Herpud2+ (more )
Structure Level Pattern Image Note
TS28: mesenteric adipose tissue Present UC Davis_1882093

Specimen UC Davis_1882094: postnatal adult; Herpud2tm1.1(KOMP)Vlcg/Herpud2+ (more )
Structure Level Pattern Image Note
TS28: skin Present UC Davis_1882094

Specimen UC Davis_1882095: postnatal adult; Herpud2tm1.1(KOMP)Vlcg/Herpud2+ (more )
Structure Level Pattern Image Note
TS28: skin Present UC Davis_1882095

Specimen UC Davis_1882096: postnatal adult; Herpud2tm1.1(KOMP)Vlcg/Herpud2+ (more )
Structure Level Pattern Image Note
TS28: brown fat Present UC Davis_1882096

Specimen UC Davis_1882097: postnatal adult; Herpud2tm1.1(KOMP)Vlcg/Herpud2+ (more )
Structure Level Pattern Image Note
TS28: brown fat Present UC Davis_1882097

Specimen UC Davis_1882098: postnatal adult; Herpud2tm1.1(KOMP)Vlcg/Herpud2+ (more )
Structure Level Pattern Image Note
TS28: olfactory lobe Present UC Davis_1882098

Specimen UC Davis_1882101: postnatal adult; Herpud2tm1.1(KOMP)Vlcg/Herpud2+ (more )
Structure Level Pattern Image Note
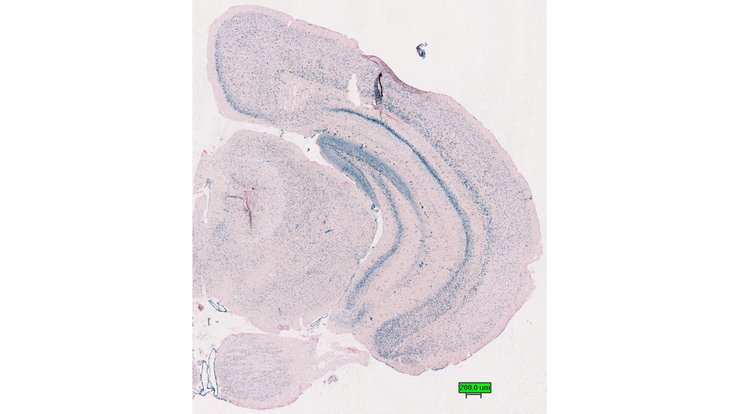
TS28: midbrain Present UC Davis_1882101

Specimen UC Davis_1882103: postnatal adult; Herpud2tm1.1(KOMP)Vlcg/Herpud2+ (more )
Structure Level Pattern Image Note
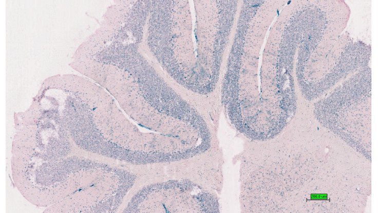
TS28: cerebellum Present UC Davis_1882103

Specimen UC Davis_1882104: postnatal adult; Herpud2tm1.1(KOMP)Vlcg/Herpud2+ (more )
Structure Level Pattern Image Note
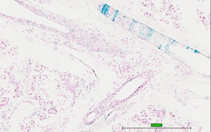
TS28: trigeminal nerve Present UC Davis_1882104

Specimen UC Davis_1882105: postnatal adult; Herpud2tm1.1(KOMP)Vlcg/Herpud2+ (more )
Structure Level Pattern Image Note
TS28: ovary Present UC Davis_1882105

Specimen UC Davis_1882106: postnatal adult; Herpud2tm1.1(KOMP)Vlcg/Herpud2+ (more )
Structure Level Pattern Image Note
TS28: ovary Present UC Davis_1882106

Specimen UC Davis_1882107: postnatal adult; Herpud2tm1.1(KOMP)Vlcg/Herpud2+ (more )
Structure Level Pattern Image Note
TS28: oviduct Present UC Davis_1882107

Specimen UC Davis_1882108: postnatal adult; Herpud2tm1.1(KOMP)Vlcg/Herpud2+ (more )
Structure Level Pattern Image Note
TS28: oviduct Present UC Davis_1882108

Specimen UC Davis_1882109: postnatal adult; Herpud2tm1.1(KOMP)Vlcg/Herpud2+ (more )
Structure Level Pattern Image Note
TS28: uterus Present UC Davis_1882109

Specimen UC Davis_1882110: postnatal adult; Herpud2tm1.1(KOMP)Vlcg/Herpud2+ (more )
Structure Level Pattern Image Note
TS28: uterus Present UC Davis_1882110

Specimen UC Davis_1882111: postnatal adult; Herpud2tm1.1(KOMP)Vlcg/Herpud2+ (more )
Structure Level Pattern Image Note
TS28: vagina Present UC Davis_1882111

Specimen UC Davis_1882112: postnatal adult; Herpud2tm1.1(KOMP)Vlcg/Herpud2+ (more )
Structure Level Pattern Image Note
TS28: vagina Present UC Davis_1882112

Specimen UC Davis_1882113: postnatal adult; Herpud2tm1.1(KOMP)Vlcg/Herpud2+ (more )
Structure Level Pattern Image Note
TS28: bladder Present UC Davis_1882113

Specimen UC Davis_1882114: postnatal adult; Herpud2tm1.1(KOMP)Vlcg/Herpud2+ (more )
Structure Level Pattern Image Note
TS28: bladder Present UC Davis_1882114

Specimen UC Davis_1882115: postnatal adult; Herpud2tm1.1(KOMP)Vlcg/Herpud2+ (more )
Structure Level Pattern Image Note
TS28: mammary gland Present UC Davis_1882115

Specimen UC Davis_1882116: postnatal adult; Herpud2tm1.1(KOMP)Vlcg/Herpud2+ (more )
Structure Level Pattern Image Note
TS28: submandibular gland Present UC Davis_1882116

Specimen UC Davis_1882117: postnatal adult; Herpud2tm1.1(KOMP)Vlcg/Herpud2+ (more )
Structure Level Pattern Image Note
TS28: submandibular gland Present UC Davis_1882117

Specimen UC Davis_1882118: postnatal adult; Herpud2tm1.1(KOMP)Vlcg/Herpud2+ (more )
Structure Level Pattern Image Note
TS28: sublingual gland Present UC Davis_1882118

Specimen UC Davis_1882119: postnatal adult; Herpud2tm1.1(KOMP)Vlcg/Herpud2+ (more )
Structure Level Pattern Image Note
TS28: parotid gland Present UC Davis_1882119

Specimen UC Davis_1882120: postnatal adult; Herpud2tm1.1(KOMP)Vlcg/Herpud2+ (more )
Structure Level Pattern Image Note
TS28: trachea Present UC Davis_1882120

Specimen UC Davis_1882121: postnatal adult; Herpud2tm1.1(KOMP)Vlcg/Herpud2+ (more )
Structure Level Pattern Image Note
TS28: esophagus Present UC Davis_1882121

Specimen UC Davis_1882122: postnatal adult; Herpud2tm1.1(KOMP)Vlcg/Herpud2+ (more )
Structure Level Pattern Image Note
TS28: thyroid gland Present UC Davis_1882122

Specimen UC Davis_1882124: postnatal adult; Herpud2tm1.1(KOMP)Vlcg/Herpud2+ (more )
Structure Level Pattern Image Note
TS28: parathyroid gland Present UC Davis_1882124

Specimen UC Davis_1882125: postnatal adult; Herpud2tm1.1(KOMP)Vlcg/Herpud2+ (more )
Structure Level Pattern Image Note
TS28: aorta Present UC Davis_1882125

Specimen UC Davis_1882126: postnatal adult; Herpud2tm1.1(KOMP)Vlcg/Herpud2+ (more )
Structure Level Pattern Image Note
TS28: lung Present UC Davis_1882126

Specimen UC Davis_1882127: postnatal adult; Herpud2tm1.1(KOMP)Vlcg/Herpud2+ (more )
Structure Level Pattern Image Note
TS28: lung Present UC Davis_1882127

Specimen UC Davis_1882128: postnatal adult; Herpud2tm1.1(KOMP)Vlcg/Herpud2+ (more )
Structure Level Pattern Image Note
TS28: thymus Present UC Davis_1882128

Specimen UC Davis_1882129: postnatal adult; Herpud2tm1.1(KOMP)Vlcg/Herpud2+ (more )
Structure Level Pattern Image Note
TS28: thymus Present UC Davis_1882129

Specimen UC Davis_1882132: postnatal adult; Herpud2tm1.1(KOMP)Vlcg/Herpud2+ (more )
Structure Level Pattern Image Note
TS28: stomach Present UC Davis_1882132

Specimen UC Davis_1882133: postnatal adult; Herpud2tm1.1(KOMP)Vlcg/Herpud2+ (more )
Structure Level Pattern Image Note
TS28: stomach Present UC Davis_1882133

Specimen UC Davis_1882134: postnatal adult; Herpud2tm1.1(KOMP)Vlcg/Herpud2+ (more )
Structure Level Pattern Image Note
TS28: duodenum Present UC Davis_1882134

Specimen UC Davis_1882135: postnatal adult; Herpud2tm1.1(KOMP)Vlcg/Herpud2+ (more )
Structure Level Pattern Image Note
TS28: duodenum Present UC Davis_1882135

Specimen UC Davis_1882136: postnatal adult; Herpud2tm1.1(KOMP)Vlcg/Herpud2+ (more )
Structure Level Pattern Image Note
TS28: ileum Present UC Davis_1882136

Specimen UC Davis_1882137: postnatal adult; Herpud2tm1.1(KOMP)Vlcg/Herpud2+ (more )
Structure Level Pattern Image Note
TS28: colon Present UC Davis_1882137

Specimen UC Davis_1882138: postnatal adult; Herpud2tm1.1(KOMP)Vlcg/Herpud2+ (more )
Structure Level Pattern Image Note
TS28: colon Present UC Davis_1882138

Specimen UC Davis_1882139: postnatal adult; Herpud2tm1.1(KOMP)Vlcg/Herpud2+ (more )
Structure Level Pattern Image Note
TS28: spleen Present UC Davis_1882139

Specimen UC Davis_1882140: postnatal adult; Herpud2tm1.1(KOMP)Vlcg/Herpud2+ (more )
Structure Level Pattern Image Note
TS28: spleen Present UC Davis_1882140

Specimen UC Davis_1882141: postnatal adult; Herpud2tm1.1(KOMP)Vlcg/Herpud2+ (more )
Structure Level Pattern Image Note
TS28: pancreas Present UC Davis_1882141

Specimen UC Davis_1882142: postnatal adult; Herpud2tm1.1(KOMP)Vlcg/Herpud2+ (more )
Structure Level Pattern Image Note
TS28: liver Present UC Davis_1882142

Specimen UC Davis_1882143: postnatal adult; Herpud2tm1.1(KOMP)Vlcg/Herpud2+ (more )
Structure Level Pattern Image Note
TS28: metanephros Present UC Davis_1882143 kidney

Specimen UC Davis_1882144: postnatal adult; Herpud2tm1.1(KOMP)Vlcg/Herpud2+ (more )
Structure Level Pattern Image Note
TS28: quadriceps femoris muscle Present UC Davis_1882144

Specimen UC Davis_1882145: postnatal adult; Herpud2tm1.1(KOMP)Vlcg/Herpud2+ (more )
Structure Level Pattern Image Note
TS28: tongue Present UC Davis_1882145

Specimen UC Davis_1882146: postnatal adult; Herpud2tm1.1(KOMP)Vlcg/Herpud2+ (more )
Structure Level Pattern Image Note
TS28: tongue Present UC Davis_1882146

Specimen UC Davis_1882147: postnatal adult; Herpud2tm1.1(KOMP)Vlcg/Herpud2+ (more )
Structure Level Pattern Image Note
TS28: tongue Present UC Davis_1882147

Specimen UC Davis_1882148: postnatal adult; Herpud2tm1.1(KOMP)Vlcg/Herpud2+ (more )
Structure Level Pattern Image Note
TS28: diaphragm Present UC Davis_1882148

Specimen UC Davis_1882149: postnatal adult; Herpud2tm1.1(KOMP)Vlcg/Herpud2+ (more )
Structure Level Pattern Image Note
TS28: adrenal gland Present UC Davis_1882149

Specimen UC Davis_1882150: postnatal adult; Herpud2tm1.1(KOMP)Vlcg/Herpud2+ (more )
Structure Level Pattern Image Note
TS28: adrenal gland Present UC Davis_1882150

Specimen UC Davis_1882151: postnatal adult; Herpud2tm1.1(KOMP)Vlcg/Herpud2+ (more )
Structure Level Pattern Image Note
TS28: pituitary gland Present UC Davis_1882151

Specimen UC Davis_1882152: postnatal adult; Herpud2tm1.1(KOMP)Vlcg/Herpud2+ (more )
Structure Level Pattern Image Note
TS28: spinal cord Present UC Davis_1882152

Specimen UC Davis_1882153: postnatal adult; Herpud2tm1.1(KOMP)Vlcg/Herpud2+ (more )
Structure Level Pattern Image Note
TS28: spinal cord Present UC Davis_1882153

Specimen UC Davis_1882154: postnatal adult; Herpud2tm1.1(KOMP)Vlcg/Herpud2+ (more )
Structure Level Pattern Image Note
TS28: eye Present UC Davis_1882154

Specimen UC Davis_1882155: postnatal adult; Herpud2tm1.1(KOMP)Vlcg/Herpud2+ (more )
Structure Level Pattern Image Note
TS28: eye Present UC Davis_1882155

Specimen UC Davis_1882156: postnatal adult; Herpud2tm1.1(KOMP)Vlcg/Herpud2+ (more )
Structure Level Pattern Image Note
TS28: eye Present UC Davis_1882156

Specimen UC Davis_1882157: postnatal adult; Herpud2tm1.1(KOMP)Vlcg/Herpud2+ (more )
Structure Level Pattern Image Note
TS28: eye Present UC Davis_1882157

Specimen UC Davis_1882158: postnatal adult; Herpud2tm1.1(KOMP)Vlcg/Herpud2+ (more )
Structure Level Pattern Image Note
TS28: Harderian gland Present UC Davis_1882158

Specimen UC Davis_1882159: postnatal adult; Herpud2tm1.1(KOMP)Vlcg/Herpud2+ (more )
Structure Level Pattern Image Note
TS28: mesenteric adipose tissue Present UC Davis_1882159

Specimen UC Davis_1882160: postnatal adult; Herpud2tm1.1(KOMP)Vlcg/Herpud2+ (more )
Structure Level Pattern Image Note
TS28: mesenteric adipose tissue Present UC Davis_1882160

Specimen UC Davis_1882161: postnatal adult; Herpud2tm1.1(KOMP)Vlcg/Herpud2+ (more )
Structure Level Pattern Image Note
TS28: skin Present UC Davis_1882161

Specimen UC Davis_1882162: postnatal adult; Herpud2tm1.1(KOMP)Vlcg/Herpud2+ (more )
Structure Level Pattern Image Note
TS28: brown fat Present UC Davis_1882162

Specimen UC Davis_1882163: postnatal adult; Herpud2tm1.1(KOMP)Vlcg/Herpud2+ (more )
Structure Level Pattern Image Note
TS28: olfactory lobe Present UC Davis_1882163

Specimen UC Davis_1882167: postnatal adult; Herpud2tm1.1(KOMP)Vlcg/Herpud2+ (more )
Structure Level Pattern Image Note
TS28: midbrain Present UC Davis_1882167

Specimen UC Davis_1882169: postnatal adult; Herpud2tm1.1(KOMP)Vlcg/Herpud2+ (more )
Structure Level Pattern Image Note
TS28: cerebellum Present UC Davis_1882169

Specimen UC Davis_1882170: postnatal adult; Herpud2tm1.1(KOMP)Vlcg/Herpud2+ (more )
Structure Level Pattern Image Note
TS28: trigeminal nerve Present UC Davis_1882170

Specimen UC Davis_1882171: postnatal adult; Herpud2tm1.1(KOMP)Vlcg/Herpud2+ (more )
Structure Level Pattern Image Note
TS28: trigeminal nerve Present UC Davis_1882171

Specimen UC Davis_1882172: postnatal adult; Herpud2tm1.1(KOMP)Vlcg/Herpud2+ (more )
Structure Level Pattern Image Note
TS28: bladder Present UC Davis_1882172

Specimen UC Davis_1882173: postnatal adult; Herpud2tm1.1(KOMP)Vlcg/Herpud2+ (more )
Structure Level Pattern Image Note
TS28: testis Present UC Davis_1882173

Specimen UC Davis_1882174: postnatal adult; Herpud2tm1.1(KOMP)Vlcg/Herpud2+ (more )
Structure Level Pattern Image Note
TS28: testis Present UC Davis_1882174

Specimen UC Davis_1882175: postnatal adult; Herpud2tm1.1(KOMP)Vlcg/Herpud2+ (more )
Structure Level Pattern Image Note
TS28: epididymis Present UC Davis_1882175

Specimen UC Davis_1882176: postnatal adult; Herpud2tm1.1(KOMP)Vlcg/Herpud2+ (more )
Structure Level Pattern Image Note
TS28: epididymis Present UC Davis_1882176

Specimen UC Davis_1882177: postnatal adult; Herpud2tm1.1(KOMP)Vlcg/Herpud2+ (more )
Structure Level Pattern Image Note
TS28: prostate gland Present UC Davis_1882177

Specimen UC Davis_1882178: postnatal adult; Herpud2tm1.1(KOMP)Vlcg/Herpud2+ (more )
Structure Level Pattern Image Note
TS28: prostate gland Present UC Davis_1882178

Specimen UC Davis_1882179: postnatal adult; Herpud2tm1.1(KOMP)Vlcg/Herpud2+ (more )
Structure Level Pattern Image Note
TS28: penis Present UC Davis_1882179

Specimen UC Davis_1882180: postnatal adult; Herpud2tm1.1(KOMP)Vlcg/Herpud2+ (more )
Structure Level Pattern Image Note
TS28: penis Present UC Davis_1882180

Specimen UC Davis_1882181: postnatal adult; Herpud2tm1.1(KOMP)Vlcg/Herpud2+ (more )
Structure Level Pattern Image Note
TS28: ductus deferens Present UC Davis_1882181 vas deferens

Specimen UC Davis_1882183: postnatal adult; Herpud2tm1.1(KOMP)Vlcg/Herpud2+ (more )
Structure Level Pattern Image Note
TS28: seminal vesicle Present UC Davis_1882183 vesicular gland


Contributing Projects:
Mouse Genome Database (MGD), Gene Expression Database (GXD), Mouse Models of Human Cancer database (MMHCdb) (formerly Mouse Tumor Biology (MTB)), Gene Ontology (GO)
Citing These Resources
Funding Information
Warranty Disclaimer, Privacy Notice, Licensing, & Copyright
Send questions and comments to User Support.
last database update
12/30/2025
MGI 6.24
The Jackson Laboratory