About   Help   FAQ
Gene Expression Data
Assay Details
Assay
Reference: J:228563 Koscielny G, et al., The International Mouse Phenotyping Consortium Web Portal, a unified point of access for knockout mice and related phenotyping data. Nucleic Acids Res. 2014 Jan;42(Database issue):D802-9
Assay type: In situ reporter (knock in)
MGI Accession ID: MGI:6691795
Gene symbol: Tox4
Gene name: TOX high mobility group box family member 4
Reporter: lacZ
Direct Detection
Results
Specimen JAX_1263755: embryonic day 12.5; Tox4tm1b(KOMP)Mbp/Tox4+ (more )
Structure Level Pattern Image Note
TS20: embryo Present JAX_1263755

Specimen JAX_1263757: embryonic day 12.5; Tox4tm1b(KOMP)Mbp/Tox4+ (more )
Structure Level Pattern Image Note
TS20: embryo Present JAX_1263757

Specimen JAX_1263759: embryonic day 12.5; Tox4tm1b(KOMP)Mbp/Tox4+ (more )
Structure Level Pattern Image Note
TS20: embryo Present JAX_1263759

Specimen JAX_1263761: embryonic day 12.5; Tox4tm1b(KOMP)Mbp/Tox4+ (more )
Structure Level Pattern Image Note
TS20: embryo Present JAX_1263761

Specimen JAX_1263739: embryonic day 12.5; Tox4tm1b(KOMP)Mbp/Tox4+ (more )
Structure Level Pattern Image Note
TS20: embryo Present JAX_1263739

Specimen JAX_1263741: embryonic day 12.5; Tox4tm1b(KOMP)Mbp/Tox4+ (more )
Structure Level Pattern Image Note
TS20: embryo Present JAX_1263741

Specimen JAX_1263743: embryonic day 12.5; Tox4tm1b(KOMP)Mbp/Tox4+ (more )
Structure Level Pattern Image Note
TS20: embryo Present JAX_1263743

Specimen JAX_1263745: embryonic day 12.5; Tox4tm1b(KOMP)Mbp/Tox4+ (more )
Structure Level Pattern Image Note
TS20: embryo Present JAX_1263745

Specimen JAX_1632566: postnatal adult; Tox4tm1b(KOMP)Mbp/Tox4+ (more )
Structure Level Pattern Image Note
TS28: thalamus Present JAX_1632566

Specimen JAX_1632567: postnatal adult; Tox4tm1b(KOMP)Mbp/Tox4+ (more )
Structure Level Pattern Image Note
TS28: vascular system Present JAX_1632567

Specimen JAX_1632568: postnatal adult; Tox4tm1b(KOMP)Mbp/Tox4+ (more )
Structure Level Pattern Image Note
TS28: bladder Present JAX_1632568

Specimen JAX_1632569: postnatal adult; Tox4tm1b(KOMP)Mbp/Tox4+ (more )
Structure Level Pattern Image Note
TS28: peripheral nervous system Present JAX_1632569

Specimen JAX_1632570: postnatal adult; Tox4tm1b(KOMP)Mbp/Tox4+ (more )
Structure Level Pattern Image Note
TS28: hypothalamus Present JAX_1632570

Specimen JAX_1632571: postnatal adult; Tox4tm1b(KOMP)Mbp/Tox4+ (more )
Structure Level Pattern Image Note
TS28: hippocampus Present JAX_1632571

Specimen JAX_1632572: postnatal adult; Tox4tm1b(KOMP)Mbp/Tox4+ (more )
Structure Level Pattern Image Note
TS28: cartilage Present JAX_1632572

Specimen JAX_1632573: postnatal adult; Tox4tm1b(KOMP)Mbp/Tox4+ (more )
Structure Level Pattern Image Note
TS28: brainstem Present JAX_1632573

Specimen JAX_1632574: postnatal adult; Tox4tm1b(KOMP)Mbp/Tox4+ (more )
Structure Level Pattern Image Note
TS28: lung Present JAX_1632574

Specimen JAX_1632575: postnatal adult; Tox4tm1b(KOMP)Mbp/Tox4+ (more )
Structure Level Pattern Image Note
TS28: white fat Present JAX_1632575

Specimen JAX_1632576: postnatal adult; Tox4tm1b(KOMP)Mbp/Tox4+ (more )
Structure Level Pattern Image Note
TS28: thyroid gland Present JAX_1632576

Specimen JAX_1632577: postnatal adult; Tox4tm1b(KOMP)Mbp/Tox4+ (more )
Structure Level Pattern Image Note
TS28: spinal cord Present JAX_1632577

Specimen JAX_1632578: postnatal adult; Tox4tm1b(KOMP)Mbp/Tox4+ (more )
Structure Level Pattern Image Note
TS28: esophagus Present JAX_1632578

Specimen JAX_1632579: postnatal adult; Tox4tm1b(KOMP)Mbp/Tox4+ (more )
Structure Level Pattern Image Note
TS28: uterus Present JAX_1632579

Specimen JAX_1632580: postnatal adult; Tox4tm1b(KOMP)Mbp/Tox4+ (more )
Structure Level Pattern Image Note
TS28: trachea Present JAX_1632580

Specimen JAX_1632581: postnatal adult; Tox4tm1b(KOMP)Mbp/Tox4+ (more )
Structure Level Pattern Image Note
TS28: oviduct Present JAX_1632581

Specimen JAX_1632582: postnatal adult; Tox4tm1b(KOMP)Mbp/Tox4+ (more )
Structure Level Pattern Image Note
TS28: ovary Present JAX_1632582

Specimen JAX_1632583: postnatal adult; Tox4tm1b(KOMP)Mbp/Tox4+ (more )
Structure Level Pattern Image Note
TS28: mammary gland Present JAX_1632583

Specimen JAX_1632584: postnatal adult; Tox4tm1b(KOMP)Mbp/Tox4+ (more )
Structure Level Pattern Image Note
TS28: brain Present JAX_1632584

Specimen JAX_1632585: postnatal adult; Tox4tm1b(KOMP)Mbp/Tox4+ (more )
Structure Level Pattern Image Note
TS28: adrenal gland Present JAX_1632585

Specimen JAX_1632586: postnatal adult; Tox4tm1b(KOMP)Mbp/Tox4+ (more )
Structure Level Pattern Image Note
TS28: midbrain Present JAX_1632586

Specimen JAX_1632587: postnatal adult; Tox4tm1b(KOMP)Mbp/Tox4+ (more )
Structure Level Pattern Image Note
TS28: epididymis Present JAX_1632587

Specimen JAX_1632588: postnatal adult; Tox4tm1b(KOMP)Mbp/Tox4+ (more )
Structure Level Pattern Image Note
TS28: submandibular gland Present JAX_1632588

Specimen JAX_1632589: postnatal adult; Tox4tm1b(KOMP)Mbp/Tox4+ (more )
Structure Level Pattern Image Note
TS28: corpus striatum Present JAX_1632589

Specimen JAX_1632590: postnatal adult; Tox4tm1b(KOMP)Mbp/Tox4+ (more )
Structure Level Pattern Image Note
TS28: olfactory lobe Present JAX_1632590

Specimen JAX_1632591: postnatal adult; Tox4tm1b(KOMP)Mbp/Tox4+ (more )
Structure Level Pattern Image Note
TS28: cerebellum Present JAX_1632591

Specimen JAX_1632592: postnatal adult; Tox4tm1b(KOMP)Mbp/Tox4+ (more )
Structure Level Pattern Image Note
TS28: cerebral cortex Present JAX_1632592

Specimen JAX_1632593: postnatal adult; Tox4tm1b(KOMP)Mbp/Tox4+ (more )
Structure Level Pattern Image Note
TS28: spleen Present JAX_1632593

Specimen JAX_1632594: postnatal adult; Tox4tm1b(KOMP)Mbp/Tox4+ (more )
Structure Level Pattern Image Note
TS28: pancreas Present JAX_1632594

Specimen JAX_1632595: postnatal adult; Tox4tm1b(KOMP)Mbp/Tox4+ (more )
Structure Level Pattern Image Note
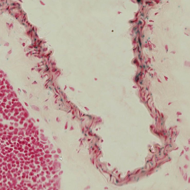
TS28: aorta Present JAX_1632595

Specimen JAX_1632596: postnatal adult; Tox4tm1b(KOMP)Mbp/Tox4+ (more )
Structure Level Pattern Image Note
TS28: small intestine Present JAX_1632596

Specimen JAX_1632597: postnatal adult; Tox4tm1b(KOMP)Mbp/Tox4+ (more )
Structure Level Pattern Image Note
TS28: pituitary gland Present JAX_1632597

Specimen JAX_1632598: postnatal adult; Tox4tm1b(KOMP)Mbp/Tox4+ (more )
Structure Level Pattern Image Note
TS28: large intestine Present JAX_1632598

Specimen JAX_1632599: postnatal adult; Tox4tm1b(KOMP)Mbp/Tox4+ (more )
Structure Level Pattern Image Note
TS28: thymus Present JAX_1632599

Specimen JAX_1632600: postnatal adult; Tox4tm1b(KOMP)Mbp/Tox4+ (more )
Structure Level Pattern Image Note
TS28: testis Present JAX_1632600

Specimen JAX_1632601: postnatal adult; Tox4tm1b(KOMP)Mbp/Tox4+ (more )
Structure Level Pattern Image Note
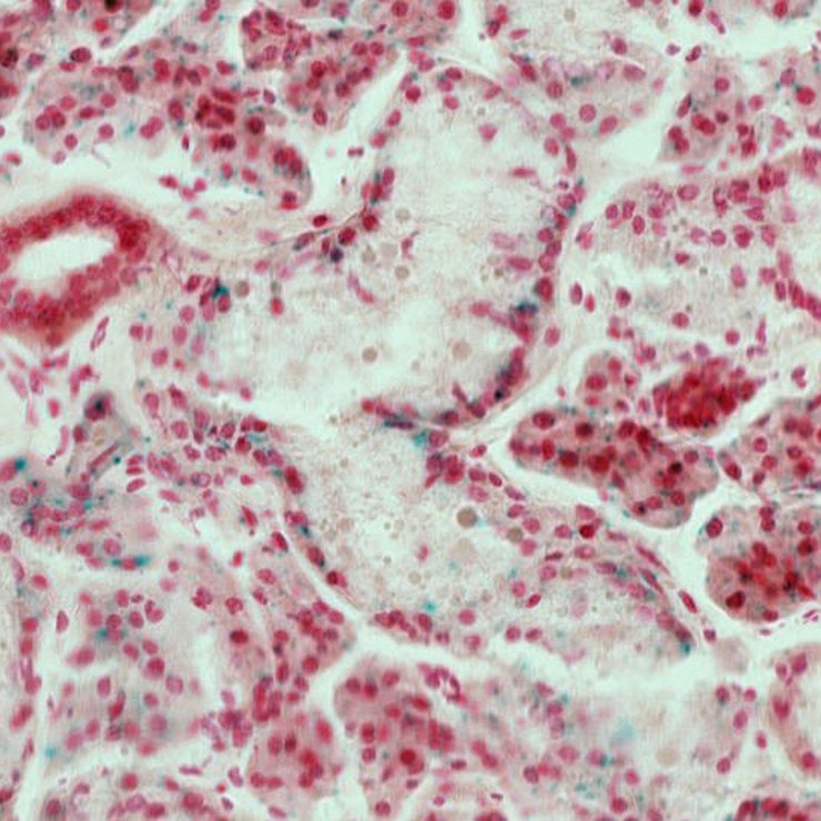
TS28: stomach Present JAX_1632601

Specimen JAX_1632602: postnatal adult; Tox4tm1b(KOMP)Mbp/Tox4+ (more )
Structure Level Pattern Image Note
TS28: skin Present JAX_1632602

Specimen JAX_1632603: postnatal adult; Tox4tm1b(KOMP)Mbp/Tox4+ (more )
Structure Level Pattern Image Note
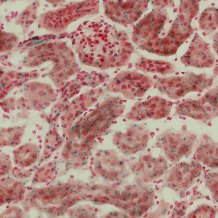
TS28: metanephros Present JAX_1632603 kidney

Specimen JAX_1632604: postnatal adult; Tox4tm1b(KOMP)Mbp/Tox4+ (more )
Structure Level Pattern Image Note
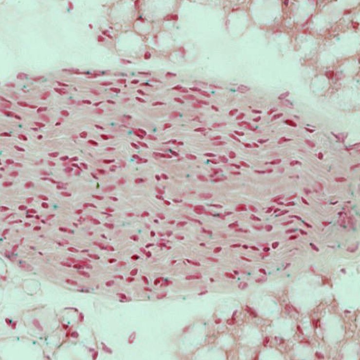
TS28: heart Present JAX_1632604

Specimen JAX_1632605: postnatal adult; Tox4tm1b(KOMP)Mbp/Tox4+ (more )
Structure Level Pattern Image Note
TS28: eye Present JAX_1632605


Contributing Projects:
Mouse Genome Database (MGD), Gene Expression Database (GXD), Mouse Models of Human Cancer database (MMHCdb) (formerly Mouse Tumor Biology (MTB)), Gene Ontology (GO)
Citing These Resources
Funding Information
Warranty Disclaimer, Privacy Notice, Licensing, & Copyright
Send questions and comments to User Support.
last database update
01/20/2026
MGI 6.24
The Jackson Laboratory