About   Help   FAQ
Gene Expression Data
Assay Details
Assay
Reference: J:228563 Koscielny G, et al., The International Mouse Phenotyping Consortium Web Portal, a unified point of access for knockout mice and related phenotyping data. Nucleic Acids Res. 2014 Jan;42(Database issue):D802-9
Assay type: In situ reporter (knock in)
MGI Accession ID: MGI:6691793
Gene symbol: Dnajc9
Gene name: DnaJ heat shock protein family (Hsp40) member C9
Reporter: lacZ
Direct Detection
Results
Specimen JAX_1329847: embryonic day 12.5; Dnajc9tm1.1(KOMP)Vlcg/Dnajc9+ (more )
Structure Level Pattern Image Note
TS20: embryo Present JAX_1329847

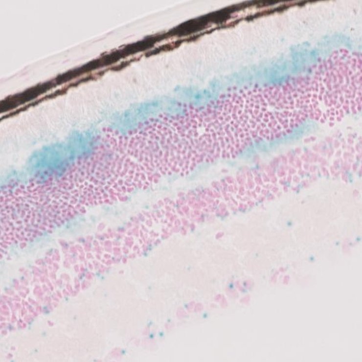
Specimen JAX_1329848: embryonic day 12.5; Dnajc9tm1.1(KOMP)Vlcg/Dnajc9+ (more )
Structure Level Pattern Image Note
TS20: embryo Present JAX_1329848

Specimen JAX_1329849: embryonic day 12.5; Dnajc9tm1.1(KOMP)Vlcg/Dnajc9+ (more )
Structure Level Pattern Image Note
TS20: embryo Present JAX_1329849

Specimen JAX_1329850: embryonic day 12.5; Dnajc9tm1.1(KOMP)Vlcg/Dnajc9+ (more )
Structure Level Pattern Image Note
TS20: embryo Present JAX_1329850

Specimen JAX_900395: embryonic day 12.5; Dnajc9tm1.1(KOMP)Vlcg/Dnajc9+ (more )
Structure Level Pattern Image Note
TS20: embryo Present JAX_900395

Specimen JAX_900397: embryonic day 12.5; Dnajc9tm1.1(KOMP)Vlcg/Dnajc9+ (more )
Structure Level Pattern Image Note
TS20: embryo Present JAX_900397

Specimen JAX_900399: embryonic day 12.5; Dnajc9tm1.1(KOMP)Vlcg/Dnajc9+ (more )
Structure Level Pattern Image Note
TS20: embryo Present JAX_900399

Specimen JAX_900401: embryonic day 12.5; Dnajc9tm1.1(KOMP)Vlcg/Dnajc9+ (more )
Structure Level Pattern Image Note
TS20: embryo Present JAX_900401

Specimen JAX_1799126: postnatal adult; Dnajc9tm1.1(KOMP)Vlcg/Dnajc9+ (more )
Structure Level Pattern Image Note
TS28: small intestine Present JAX_1799126

Specimen JAX_1799127: postnatal adult; Dnajc9tm1.1(KOMP)Vlcg/Dnajc9+ (more )
Structure Level Pattern Image Note
TS28: pituitary gland Present JAX_1799127

Specimen JAX_1799128: postnatal adult; Dnajc9tm1.1(KOMP)Vlcg/Dnajc9+ (more )
Structure Level Pattern Image Note
TS28: large intestine Present JAX_1799128

Specimen JAX_1799129: postnatal adult; Dnajc9tm1.1(KOMP)Vlcg/Dnajc9+ (more )
Structure Level Pattern Image Note
TS28: stomach Present JAX_1799129

Specimen JAX_1799130: postnatal adult; Dnajc9tm1.1(KOMP)Vlcg/Dnajc9+ (more )
Structure Level Pattern Image Note
TS28: thalamus Present JAX_1799130

Specimen JAX_1799131: postnatal adult; Dnajc9tm1.1(KOMP)Vlcg/Dnajc9+ (more )
Structure Level Pattern Image Note
TS28: midbrain Present JAX_1799131

Specimen JAX_1799132: postnatal adult; Dnajc9tm1.1(KOMP)Vlcg/Dnajc9+ (more )
Structure Level Pattern Image Note
TS28: vascular system Present JAX_1799132

Specimen JAX_1799133: postnatal adult; Dnajc9tm1.1(KOMP)Vlcg/Dnajc9+ (more )
Structure Level Pattern Image Note
TS28: epididymis Present JAX_1799133

Specimen JAX_1799134: postnatal adult; Dnajc9tm1.1(KOMP)Vlcg/Dnajc9+ (more )
Structure Level Pattern Image Note
TS28: submandibular gland Present JAX_1799134

Specimen JAX_1799135: postnatal adult; Dnajc9tm1.1(KOMP)Vlcg/Dnajc9+ (more )
Structure Level Pattern Image Note
TS28: brown fat Present JAX_1799135

Specimen JAX_1799136: postnatal adult; Dnajc9tm1.1(KOMP)Vlcg/Dnajc9+ (more )
Structure Level Pattern Image Note
TS28: bone marrow Present JAX_1799136

Specimen JAX_1799137: postnatal adult; Dnajc9tm1.1(KOMP)Vlcg/Dnajc9+ (more )
Structure Level Pattern Image Note
TS28: bladder Present JAX_1799137

Specimen JAX_1799138: postnatal adult; Dnajc9tm1.1(KOMP)Vlcg/Dnajc9+ (more )
Structure Level Pattern Image Note
TS28: corpus striatum Present JAX_1799138

Specimen JAX_1799139: postnatal adult; Dnajc9tm1.1(KOMP)Vlcg/Dnajc9+ (more )
Structure Level Pattern Image Note
TS28: peripheral nervous system Present JAX_1799139

Specimen JAX_1799140: postnatal adult; Dnajc9tm1.1(KOMP)Vlcg/Dnajc9+ (more )
Structure Level Pattern Image Note
TS28: olfactory lobe Present JAX_1799140

Specimen JAX_1799141: postnatal adult; Dnajc9tm1.1(KOMP)Vlcg/Dnajc9+ (more )
Structure Level Pattern Image Note
TS28: hypothalamus Present JAX_1799141

Specimen JAX_1799142: postnatal adult; Dnajc9tm1.1(KOMP)Vlcg/Dnajc9+ (more )
Structure Level Pattern Image Note
TS28: hippocampus Present JAX_1799142

Specimen JAX_1799143: postnatal adult; Dnajc9tm1.1(KOMP)Vlcg/Dnajc9+ (more )
Structure Level Pattern Image Note
TS28: cerebellum Present JAX_1799143

Specimen JAX_1799144: postnatal adult; Dnajc9tm1.1(KOMP)Vlcg/Dnajc9+ (more )
Structure Level Pattern Image Note
TS28: cerebral cortex Present JAX_1799144

Specimen JAX_1799145: postnatal adult; Dnajc9tm1.1(KOMP)Vlcg/Dnajc9+ (more )
Structure Level Pattern Image Note
TS28: cartilage Present JAX_1799145

Specimen JAX_1799146: postnatal adult; Dnajc9tm1.1(KOMP)Vlcg/Dnajc9+ (more )
Structure Level Pattern Image Note
TS28: brainstem Present JAX_1799146

Specimen JAX_1799147: postnatal adult; Dnajc9tm1.1(KOMP)Vlcg/Dnajc9+ (more )
Structure Level Pattern Image Note
TS28: spleen Present JAX_1799147

Specimen JAX_1799148: postnatal adult; Dnajc9tm1.1(KOMP)Vlcg/Dnajc9+ (more )
Structure Level Pattern Image Note
TS28: pancreas Present JAX_1799148

Specimen JAX_1799149: postnatal adult; Dnajc9tm1.1(KOMP)Vlcg/Dnajc9+ (more )
Structure Level Pattern Image Note
TS28: aorta Present JAX_1799149

Specimen JAX_1799150: postnatal adult; Dnajc9tm1.1(KOMP)Vlcg/Dnajc9+ (more )
Structure Level Pattern Image Note
TS28: lung Present JAX_1799150

Specimen JAX_1799151: postnatal adult; Dnajc9tm1.1(KOMP)Vlcg/Dnajc9+ (more )
Structure Level Pattern Image Note
TS28: white fat Present JAX_1799151

Specimen JAX_1799152: postnatal adult; Dnajc9tm1.1(KOMP)Vlcg/Dnajc9+ (more )
Structure Level Pattern Image Note
TS28: skeletal muscle tissue Present JAX_1799152

Specimen JAX_1799153: postnatal adult; Dnajc9tm1.1(KOMP)Vlcg/Dnajc9+ (more )
Structure Level Pattern Image Note
TS28: thyroid gland Present JAX_1799153

Specimen JAX_1799154: postnatal adult; Dnajc9tm1.1(KOMP)Vlcg/Dnajc9+ (more )
Structure Level Pattern Image Note
TS28: spinal cord Present JAX_1799154

Specimen JAX_1799155: postnatal adult; Dnajc9tm1.1(KOMP)Vlcg/Dnajc9+ (more )
Structure Level Pattern Image Note
TS28: esophagus Present JAX_1799155

Specimen JAX_1799156: postnatal adult; Dnajc9tm1.1(KOMP)Vlcg/Dnajc9+ (more )
Structure Level Pattern Image Note
TS28: trachea Present JAX_1799156

Specimen JAX_1799157: postnatal adult; Dnajc9tm1.1(KOMP)Vlcg/Dnajc9+ (more )
Structure Level Pattern Image Note
TS28: thymus Present JAX_1799157

Specimen JAX_1799158: postnatal adult; Dnajc9tm1.1(KOMP)Vlcg/Dnajc9+ (more )
Structure Level Pattern Image Note
TS28: testis Present JAX_1799158

Specimen JAX_1799159: postnatal adult; Dnajc9tm1.1(KOMP)Vlcg/Dnajc9+ (more )
Structure Level Pattern Image Note
TS28: skin Present JAX_1799159

Specimen JAX_1799160: postnatal adult; Dnajc9tm1.1(KOMP)Vlcg/Dnajc9+ (more )
Structure Level Pattern Image Note
TS28: lymph node Present JAX_1799160

Specimen JAX_1799161: postnatal adult; Dnajc9tm1.1(KOMP)Vlcg/Dnajc9+ (more )
Structure Level Pattern Image Note
TS28: liver Present JAX_1799161

Specimen JAX_1799162: postnatal adult; Dnajc9tm1.1(KOMP)Vlcg/Dnajc9+ (more )
Structure Level Pattern Image Note
TS28: metanephros Present JAX_1799162 kidney

Specimen JAX_1799163: postnatal adult; Dnajc9tm1.1(KOMP)Vlcg/Dnajc9+ (more )
Structure Level Pattern Image Note
TS28: heart Present JAX_1799163

Specimen JAX_1799164: postnatal adult; Dnajc9tm1.1(KOMP)Vlcg/Dnajc9+ (more )
Structure Level Pattern Image Note
TS28: eye Present JAX_1799164

Specimen JAX_1799165: postnatal adult; Dnajc9tm1.1(KOMP)Vlcg/Dnajc9+ (more )
Structure Level Pattern Image Note
TS28: brain Present JAX_1799165

Specimen JAX_1799166: postnatal adult; Dnajc9tm1.1(KOMP)Vlcg/Dnajc9+ (more )
Structure Level Pattern Image Note
TS28: adrenal gland Present JAX_1799166


Contributing Projects:
Mouse Genome Database (MGD), Gene Expression Database (GXD), Mouse Models of Human Cancer database (MMHCdb) (formerly Mouse Tumor Biology (MTB)), Gene Ontology (GO)
Citing These Resources
Funding Information
Warranty Disclaimer, Privacy Notice, Licensing, & Copyright
Send questions and comments to User Support.
last database update
12/30/2025
MGI 6.24
The Jackson Laboratory