About   Help   FAQ
Gene Expression Data
Assay Details
Assay
Reference: J:228563 Koscielny G, et al., The International Mouse Phenotyping Consortium Web Portal, a unified point of access for knockout mice and related phenotyping data. Nucleic Acids Res. 2014 Jan;42(Database issue):D802-9
Assay type: In situ reporter (knock in)
MGI Accession ID: MGI:6691786
Gene symbol: Bambi
Gene name: BMP and activin membrane-bound inhibitor
Reporter: lacZ
Direct Detection
Results
Specimen UC Davis_1872874: postnatal adult; Bambitm1.1(KOMP)Vlcg/Bambi+ (more )
Structure Level Pattern Image Note
TS28: trachea Present UC Davis_1872874

Specimen UC Davis_1872875: postnatal adult; Bambitm1.1(KOMP)Vlcg/Bambi+ (more )
Structure Level Pattern Image Note
TS28: aorta Present UC Davis_1872875

Specimen UC Davis_1872876: postnatal adult; Bambitm1.1(KOMP)Vlcg/Bambi+ (more )
Structure Level Pattern Image Note
TS28: aorta Present UC Davis_1872876

Specimen UC Davis_1872879: postnatal adult; Bambitm1.1(KOMP)Vlcg/Bambi+ (more )
Structure Level Pattern Image Note
TS28: jejunum Present UC Davis_1872879

Specimen UC Davis_1872880: postnatal adult; Bambitm1.1(KOMP)Vlcg/Bambi+ (more )
Structure Level Pattern Image Note
TS28: jejunum Present UC Davis_1872880

Specimen UC Davis_1872881: postnatal adult; Bambitm1.1(KOMP)Vlcg/Bambi+ (more )
Structure Level Pattern Image Note
TS28: ileum Present UC Davis_1872881

Specimen UC Davis_1872882: postnatal adult; Bambitm1.1(KOMP)Vlcg/Bambi+ (more )
Structure Level Pattern Image Note
TS28: ileum Present UC Davis_1872882

Specimen UC Davis_1872883: postnatal adult; Bambitm1.1(KOMP)Vlcg/Bambi+ (more )
Structure Level Pattern Image Note
TS28: spleen Present UC Davis_1872883

Specimen UC Davis_1872884: postnatal adult; Bambitm1.1(KOMP)Vlcg/Bambi+ (more )
Structure Level Pattern Image Note
TS28: spleen Present UC Davis_1872884

Specimen UC Davis_1872885: postnatal adult; Bambitm1.1(KOMP)Vlcg/Bambi+ (more )
Structure Level Pattern Image Note
TS28: tongue Present UC Davis_1872885

Specimen UC Davis_1872886: postnatal adult; Bambitm1.1(KOMP)Vlcg/Bambi+ (more )
Structure Level Pattern Image Note
TS28: tongue Present UC Davis_1872886

Specimen UC Davis_1872887: postnatal adult; Bambitm1.1(KOMP)Vlcg/Bambi+ (more )
Structure Level Pattern Image Note
TS28: tongue Present UC Davis_1872887

Specimen UC Davis_1872888: postnatal adult; Bambitm1.1(KOMP)Vlcg/Bambi+ (more )
Structure Level Pattern Image Note
TS28: pituitary gland Present UC Davis_1872888

Specimen UC Davis_1872889: postnatal adult; Bambitm1.1(KOMP)Vlcg/Bambi+ (more )
Structure Level Pattern Image Note
TS28: eye Present UC Davis_1872889

Specimen UC Davis_1872890: postnatal adult; Bambitm1.1(KOMP)Vlcg/Bambi+ (more )
Structure Level Pattern Image Note
TS28: skin Present UC Davis_1872890

Specimen UC Davis_1872891: postnatal adult; Bambitm1.1(KOMP)Vlcg/Bambi+ (more )
Structure Level Pattern Image Note
TS28: skin Present UC Davis_1872891

Specimen UC Davis_1872892: postnatal adult; Bambitm1.1(KOMP)Vlcg/Bambi+ (more )
Structure Level Pattern Image Note
TS28: skin Present UC Davis_1872892

Specimen UC Davis_1872893: postnatal adult; Bambitm1.1(KOMP)Vlcg/Bambi+ (more )
Structure Level Pattern Image Note
TS28: olfactory lobe Present UC Davis_1872893

Specimen UC Davis_1872895: postnatal adult; Bambitm1.1(KOMP)Vlcg/Bambi+ (more )
Structure Level Pattern Image Note
TS28: ovary Present UC Davis_1872895

Specimen UC Davis_1872896: postnatal adult; Bambitm1.1(KOMP)Vlcg/Bambi+ (more )
Structure Level Pattern Image Note
TS28: ovary Present UC Davis_1872896

Specimen UC Davis_1872897: postnatal adult; Bambitm1.1(KOMP)Vlcg/Bambi+ (more )
Structure Level Pattern Image Note
TS28: oviduct Present UC Davis_1872897

Specimen UC Davis_1872898: postnatal adult; Bambitm1.1(KOMP)Vlcg/Bambi+ (more )
Structure Level Pattern Image Note
TS28: oviduct Present UC Davis_1872898

Specimen UC Davis_1872899: postnatal adult; Bambitm1.1(KOMP)Vlcg/Bambi+ (more )
Structure Level Pattern Image Note
TS28: uterus Present UC Davis_1872899

Specimen UC Davis_1872900: postnatal adult; Bambitm1.1(KOMP)Vlcg/Bambi+ (more )
Structure Level Pattern Image Note
TS28: uterus Present UC Davis_1872900

Specimen UC Davis_1872901: postnatal adult; Bambitm1.1(KOMP)Vlcg/Bambi+ (more )
Structure Level Pattern Image Note
TS28: uterus Present UC Davis_1872901

Specimen UC Davis_1872902: postnatal adult; Bambitm1.1(KOMP)Vlcg/Bambi+ (more )
Structure Level Pattern Image Note
TS28: bladder Present UC Davis_1872902

Specimen UC Davis_1872828: postnatal adult; Bambitm1.1(KOMP)Vlcg/Bambi+ (more )
Structure Level Pattern Image Note
TS28: aorta Present UC Davis_1872828

Specimen UC Davis_1872829: postnatal adult; Bambitm1.1(KOMP)Vlcg/Bambi+ (more )
Structure Level Pattern Image Note
TS28: aorta Present UC Davis_1872829

Specimen UC Davis_1872830: postnatal adult; Bambitm1.1(KOMP)Vlcg/Bambi+ (more )
Structure Level Pattern Image Note
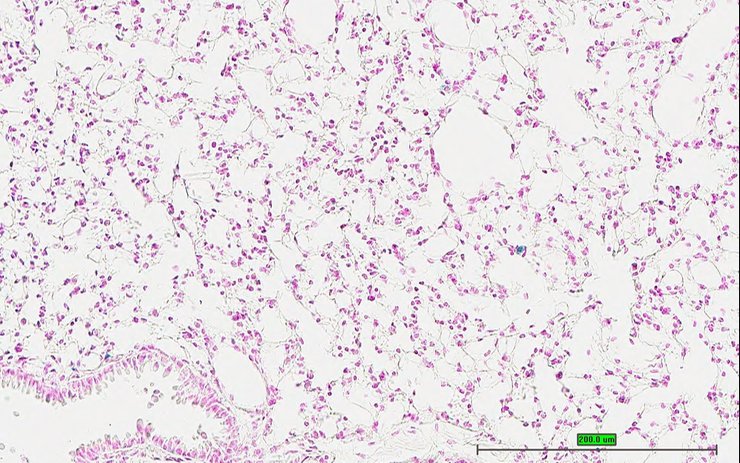
TS28: lung Present UC Davis_1872830

Specimen UC Davis_1872831: postnatal adult; Bambitm1.1(KOMP)Vlcg/Bambi+ (more )
Structure Level Pattern Image Note
TS28: lung Present UC Davis_1872831

Specimen UC Davis_1872832: postnatal adult; Bambitm1.1(KOMP)Vlcg/Bambi+ (more )
Structure Level Pattern Image Note
TS28: lung Present UC Davis_1872832

Specimen UC Davis_1872833: postnatal adult; Bambitm1.1(KOMP)Vlcg/Bambi+ (more )
Structure Level Pattern Image Note
TS28: lung Present UC Davis_1872833

Specimen UC Davis_1872839: postnatal adult; Bambitm1.1(KOMP)Vlcg/Bambi+ (more )
Structure Level Pattern Image Note
TS28: ileum Present UC Davis_1872839

Specimen UC Davis_1872840: postnatal adult; Bambitm1.1(KOMP)Vlcg/Bambi+ (more )
Structure Level Pattern Image Note
TS28: ileum Present UC Davis_1872840

Specimen UC Davis_1872841: postnatal adult; Bambitm1.1(KOMP)Vlcg/Bambi+ (more )
Structure Level Pattern Image Note
TS28: colon Present UC Davis_1872841

Specimen UC Davis_1872842: postnatal adult; Bambitm1.1(KOMP)Vlcg/Bambi+ (more )
Structure Level Pattern Image Note
TS28: spleen Present UC Davis_1872842

Specimen UC Davis_1872843: postnatal adult; Bambitm1.1(KOMP)Vlcg/Bambi+ (more )
Structure Level Pattern Image Note
TS28: spleen Present UC Davis_1872843

Specimen UC Davis_1872844: postnatal adult; Bambitm1.1(KOMP)Vlcg/Bambi+ (more )
Structure Level Pattern Image Note
TS28: pancreas Present UC Davis_1872844

Specimen UC Davis_1872845: postnatal adult; Bambitm1.1(KOMP)Vlcg/Bambi+ (more )
Structure Level Pattern Image Note
TS28: liver Present UC Davis_1872845

Specimen UC Davis_1872846: postnatal adult; Bambitm1.1(KOMP)Vlcg/Bambi+ (more )
Structure Level Pattern Image Note
TS28: liver Present UC Davis_1872846

Specimen UC Davis_1872847: postnatal adult; Bambitm1.1(KOMP)Vlcg/Bambi+ (more )
Structure Level Pattern Image Note
TS28: metanephros Present UC Davis_1872847 kidney

Specimen UC Davis_1872848: postnatal adult; Bambitm1.1(KOMP)Vlcg/Bambi+ (more )
Structure Level Pattern Image Note
TS28: tongue Present UC Davis_1872848

Specimen UC Davis_1872849: postnatal adult; Bambitm1.1(KOMP)Vlcg/Bambi+ (more )
Structure Level Pattern Image Note
TS28: tongue Present UC Davis_1872849

Specimen UC Davis_1872850: postnatal adult; Bambitm1.1(KOMP)Vlcg/Bambi+ (more )
Structure Level Pattern Image Note
TS28: pituitary gland Present UC Davis_1872850

Specimen UC Davis_1872851: postnatal adult; Bambitm1.1(KOMP)Vlcg/Bambi+ (more )
Structure Level Pattern Image Note
TS28: pituitary gland Present UC Davis_1872851

Specimen UC Davis_1872852: postnatal adult; Bambitm1.1(KOMP)Vlcg/Bambi+ (more )
Structure Level Pattern Image Note
TS28: eye Present UC Davis_1872852

Specimen UC Davis_1872853: postnatal adult; Bambitm1.1(KOMP)Vlcg/Bambi+ (more )
Structure Level Pattern Image Note
TS28: eye Present UC Davis_1872853

Specimen UC Davis_1872854: postnatal adult; Bambitm1.1(KOMP)Vlcg/Bambi+ (more )
Structure Level Pattern Image Note
TS28: skin Present UC Davis_1872854

Specimen UC Davis_1872855: postnatal adult; Bambitm1.1(KOMP)Vlcg/Bambi+ (more )
Structure Level Pattern Image Note
TS28: skin Present UC Davis_1872855

Specimen UC Davis_1872856: postnatal adult; Bambitm1.1(KOMP)Vlcg/Bambi+ (more )
Structure Level Pattern Image Note
TS28: olfactory lobe Present UC Davis_1872856

Specimen UC Davis_1872860: postnatal adult; Bambitm1.1(KOMP)Vlcg/Bambi+ (more )
Structure Level Pattern Image Note
TS28: midbrain Present UC Davis_1872860

Specimen UC Davis_1872862: postnatal adult; Bambitm1.1(KOMP)Vlcg/Bambi+ (more )
Structure Level Pattern Image Note
TS28: cerebellum Present UC Davis_1872862

Specimen UC Davis_1872863: postnatal adult; Bambitm1.1(KOMP)Vlcg/Bambi+ (more )
Structure Level Pattern Image Note
TS28: cerebellum Present UC Davis_1872863

Specimen UC Davis_1872864: postnatal adult; Bambitm1.1(KOMP)Vlcg/Bambi+ (more )
Structure Level Pattern Image Note
TS28: bladder Present UC Davis_1872864

Specimen UC Davis_1872865: postnatal adult; Bambitm1.1(KOMP)Vlcg/Bambi+ (more )
Structure Level Pattern Image Note
TS28: bladder Present UC Davis_1872865

Specimen UC Davis_1872866: postnatal adult; Bambitm1.1(KOMP)Vlcg/Bambi+ (more )
Structure Level Pattern Image Note
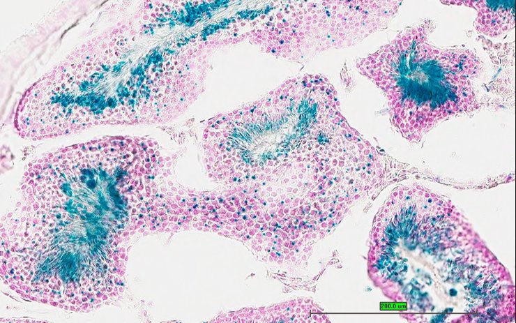
TS28: testis Present UC Davis_1872866

Specimen UC Davis_1872867: postnatal adult; Bambitm1.1(KOMP)Vlcg/Bambi+ (more )
Structure Level Pattern Image Note
TS28: testis Present UC Davis_1872867

Specimen UC Davis_1872868: postnatal adult; Bambitm1.1(KOMP)Vlcg/Bambi+ (more )
Structure Level Pattern Image Note
TS28: penis Present UC Davis_1872868

Specimen UC Davis_1872869: postnatal adult; Bambitm1.1(KOMP)Vlcg/Bambi+ (more )
Structure Level Pattern Image Note
TS28: penis Present UC Davis_1872869

Specimen UC Davis_1872870: postnatal adult; Bambitm1.1(KOMP)Vlcg/Bambi+ (more )
Structure Level Pattern Image Note
TS28: ductus deferens Present UC Davis_1872870 vas deferens

Specimen UC Davis_1872872: postnatal adult; Bambitm1.1(KOMP)Vlcg/Bambi+ (more )
Structure Level Pattern Image Note
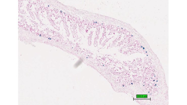
TS28: seminal vesicle Present UC Davis_1872872 vesicular gland

Specimen UC Davis_1872873: postnatal adult; Bambitm1.1(KOMP)Vlcg/Bambi+ (more )
Structure Level Pattern Image Note
TS28: seminal vesicle Present UC Davis_1872873 vesicular gland


Contributing Projects:
Mouse Genome Database (MGD), Gene Expression Database (GXD), Mouse Models of Human Cancer database (MMHCdb) (formerly Mouse Tumor Biology (MTB)), Gene Ontology (GO)
Citing These Resources
Funding Information
Warranty Disclaimer, Privacy Notice, Licensing, & Copyright
Send questions and comments to User Support.
last database update
01/20/2026
MGI 6.24
The Jackson Laboratory