About   Help   FAQ
Gene Expression Data
Assay Details
Assay
Reference: J:228563 Koscielny G, et al., The International Mouse Phenotyping Consortium Web Portal, a unified point of access for knockout mice and related phenotyping data. Nucleic Acids Res. 2014 Jan;42(Database issue):D802-9
Assay type: In situ reporter (knock in)
MGI Accession ID: MGI:6691785
Gene symbol: Gnpda2
Gene name: glucosamine-6-phosphate deaminase 2
Reporter: lacZ
Direct Detection
Results
Specimen UC Davis_1852580: postnatal adult; Gnpda2tm1.1(KOMP)Vlcg/Gnpda2+ (more )
Structure Level Pattern Image Note
TS28: sublingual gland Present UC Davis_1852580

Specimen UC Davis_1852581: postnatal adult; Gnpda2tm1.1(KOMP)Vlcg/Gnpda2+ (more )
Structure Level Pattern Image Note
TS28: trachea Present UC Davis_1852581

Specimen UC Davis_1852582: postnatal adult; Gnpda2tm1.1(KOMP)Vlcg/Gnpda2+ (more )
Structure Level Pattern Image Note
TS28: esophagus Present UC Davis_1852582

Specimen UC Davis_1852583: postnatal adult; Gnpda2tm1.1(KOMP)Vlcg/Gnpda2+ (more )
Structure Level Pattern Image Note
TS28: esophagus Present UC Davis_1852583

Specimen UC Davis_1852584: postnatal adult; Gnpda2tm1.1(KOMP)Vlcg/Gnpda2+ (more )
Structure Level Pattern Image Note
TS28: parathyroid gland Present UC Davis_1852584

Specimen UC Davis_1852585: postnatal adult; Gnpda2tm1.1(KOMP)Vlcg/Gnpda2+ (more )
Structure Level Pattern Image Note
TS28: thymus Present UC Davis_1852585

Specimen UC Davis_1852589: postnatal adult; Gnpda2tm1.1(KOMP)Vlcg/Gnpda2+ (more )
Structure Level Pattern Image Note
TS28: ileum Present UC Davis_1852589

Specimen UC Davis_1852590: postnatal adult; Gnpda2tm1.1(KOMP)Vlcg/Gnpda2+ (more )
Structure Level Pattern Image Note
TS28: ileum Present UC Davis_1852590

Specimen UC Davis_1852591: postnatal adult; Gnpda2tm1.1(KOMP)Vlcg/Gnpda2+ (more )
Structure Level Pattern Image Note
TS28: metanephros Present UC Davis_1852591 kidney

Specimen UC Davis_1852592: postnatal adult; Gnpda2tm1.1(KOMP)Vlcg/Gnpda2+ (more )
Structure Level Pattern Image Note
TS28: metanephros Present UC Davis_1852592 kidney

Specimen UC Davis_1852593: postnatal adult; Gnpda2tm1.1(KOMP)Vlcg/Gnpda2+ (more )
Structure Level Pattern Image Note
TS28: metanephros Present UC Davis_1852593 kidney

Specimen UC Davis_1852594: postnatal adult; Gnpda2tm1.1(KOMP)Vlcg/Gnpda2+ (more )
Structure Level Pattern Image Note
TS28: adrenal gland Present UC Davis_1852594

Specimen UC Davis_1852595: postnatal adult; Gnpda2tm1.1(KOMP)Vlcg/Gnpda2+ (more )
Structure Level Pattern Image Note
TS28: pituitary gland Present UC Davis_1852595

Specimen UC Davis_1852596: postnatal adult; Gnpda2tm1.1(KOMP)Vlcg/Gnpda2+ (more )
Structure Level Pattern Image Note
TS28: pituitary gland Present UC Davis_1852596

Specimen UC Davis_1852597: postnatal adult; Gnpda2tm1.1(KOMP)Vlcg/Gnpda2+ (more )
Structure Level Pattern Image Note
TS28: pituitary gland Present UC Davis_1852597

Specimen UC Davis_1852598: postnatal adult; Gnpda2tm1.1(KOMP)Vlcg/Gnpda2+ (more )
Structure Level Pattern Image Note
TS28: spinal cord Present UC Davis_1852598

Specimen UC Davis_1852599: postnatal adult; Gnpda2tm1.1(KOMP)Vlcg/Gnpda2+ (more )
Structure Level Pattern Image Note
TS28: spinal cord Present UC Davis_1852599

Specimen UC Davis_1852600: postnatal adult; Gnpda2tm1.1(KOMP)Vlcg/Gnpda2+ (more )
Structure Level Pattern Image Note
TS28: eye Present UC Davis_1852600

Specimen UC Davis_1852601: postnatal adult; Gnpda2tm1.1(KOMP)Vlcg/Gnpda2+ (more )
Structure Level Pattern Image Note
TS28: eye Present UC Davis_1852601

Specimen UC Davis_1852602: postnatal adult; Gnpda2tm1.1(KOMP)Vlcg/Gnpda2+ (more )
Structure Level Pattern Image Note
TS28: eye Present UC Davis_1852602

Specimen UC Davis_1852603: postnatal adult; Gnpda2tm1.1(KOMP)Vlcg/Gnpda2+ (more )
Structure Level Pattern Image Note
TS28: olfactory lobe Present UC Davis_1852603

Specimen UC Davis_1852604: postnatal adult; Gnpda2tm1.1(KOMP)Vlcg/Gnpda2+ (more )
Structure Level Pattern Image Note
TS28: olfactory lobe Present UC Davis_1852604

Specimen UC Davis_1852607: postnatal adult; Gnpda2tm1.1(KOMP)Vlcg/Gnpda2+ (more )
Structure Level Pattern Image Note
TS28: midbrain Present UC Davis_1852607

Specimen UC Davis_1852609: postnatal adult; Gnpda2tm1.1(KOMP)Vlcg/Gnpda2+ (more )
Structure Level Pattern Image Note
TS28: cerebellum Present UC Davis_1852609

Specimen UC Davis_1852610: postnatal adult; Gnpda2tm1.1(KOMP)Vlcg/Gnpda2+ (more )
Structure Level Pattern Image Note
TS28: cerebellum Present UC Davis_1852610

Specimen UC Davis_1852611: postnatal adult; Gnpda2tm1.1(KOMP)Vlcg/Gnpda2+ (more )
Structure Level Pattern Image Note
TS28: trigeminal nerve Present UC Davis_1852611

Specimen UC Davis_1852612: postnatal adult; Gnpda2tm1.1(KOMP)Vlcg/Gnpda2+ (more )
Structure Level Pattern Image Note
TS28: trigeminal nerve Present UC Davis_1852612

Specimen UC Davis_1852613: postnatal adult; Gnpda2tm1.1(KOMP)Vlcg/Gnpda2+ (more )
Structure Level Pattern Image Note
TS28: ovary Present UC Davis_1852613

Specimen UC Davis_1852614: postnatal adult; Gnpda2tm1.1(KOMP)Vlcg/Gnpda2+ (more )
Structure Level Pattern Image Note
TS28: oviduct Present UC Davis_1852614

Specimen UC Davis_1852615: postnatal adult; Gnpda2tm1.1(KOMP)Vlcg/Gnpda2+ (more )
Structure Level Pattern Image Note
TS28: oviduct Present UC Davis_1852615

Specimen UC Davis_1852616: postnatal adult; Gnpda2tm1.1(KOMP)Vlcg/Gnpda2+ (more )
Structure Level Pattern Image Note
TS28: oviduct Present UC Davis_1852616

Specimen UC Davis_1852617: postnatal adult; Gnpda2tm1.1(KOMP)Vlcg/Gnpda2+ (more )
Structure Level Pattern Image Note
TS28: oviduct Present UC Davis_1852617

Specimen UC Davis_1852618: postnatal adult; Gnpda2tm1.1(KOMP)Vlcg/Gnpda2+ (more )
Structure Level Pattern Image Note
TS28: oviduct Present UC Davis_1852618

Specimen UC Davis_1852642: postnatal adult; Gnpda2tm1.1(KOMP)Vlcg/Gnpda2+ (more )
Structure Level Pattern Image Note
TS28: pancreas Present UC Davis_1852642

Specimen UC Davis_1852643: postnatal adult; Gnpda2tm1.1(KOMP)Vlcg/Gnpda2+ (more )
Structure Level Pattern Image Note
TS28: adrenal gland Present UC Davis_1852643

Specimen UC Davis_1852644: postnatal adult; Gnpda2tm1.1(KOMP)Vlcg/Gnpda2+ (more )
Structure Level Pattern Image Note
TS28: stomach Present UC Davis_1852644

Specimen UC Davis_1852645: postnatal adult; Gnpda2tm1.1(KOMP)Vlcg/Gnpda2+ (more )
Structure Level Pattern Image Note
TS28: ovary Present UC Davis_1852645

Specimen UC Davis_1852646: postnatal adult; Gnpda2tm1.1(KOMP)Vlcg/Gnpda2+ (more )
Structure Level Pattern Image Note
TS28: oviduct Present UC Davis_1852646

Specimen UC Davis_1852647: postnatal adult; Gnpda2tm1.1(KOMP)Vlcg/Gnpda2+ (more )
Structure Level Pattern Image Note
TS28: uterus Present UC Davis_1852647

Specimen UC Davis_1852648: postnatal adult; Gnpda2tm1.1(KOMP)Vlcg/Gnpda2+ (more )
Structure Level Pattern Image Note
TS28: vagina Present UC Davis_1852648

Specimen UC Davis_1852496: postnatal adult; Gnpda2tm1.1(KOMP)Vlcg/Gnpda2+ (more )
Structure Level Pattern Image Note
TS28: sublingual gland Present UC Davis_1852496

Specimen UC Davis_1852497: postnatal adult; Gnpda2tm1.1(KOMP)Vlcg/Gnpda2+ (more )
Structure Level Pattern Image Note
TS28: sublingual gland Present UC Davis_1852497

Specimen UC Davis_1852498: postnatal adult; Gnpda2tm1.1(KOMP)Vlcg/Gnpda2+ (more )
Structure Level Pattern Image Note
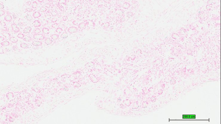
TS28: parotid gland Present UC Davis_1852498

Specimen UC Davis_1852499: postnatal adult; Gnpda2tm1.1(KOMP)Vlcg/Gnpda2+ (more )
Structure Level Pattern Image Note
TS28: parotid gland Present UC Davis_1852499

Specimen UC Davis_1852500: postnatal adult; Gnpda2tm1.1(KOMP)Vlcg/Gnpda2+ (more )
Structure Level Pattern Image Note
TS28: trachea Present UC Davis_1852500

Specimen UC Davis_1852501: postnatal adult; Gnpda2tm1.1(KOMP)Vlcg/Gnpda2+ (more )
Structure Level Pattern Image Note
TS28: esophagus Present UC Davis_1852501

Specimen UC Davis_1852503: postnatal adult; Gnpda2tm1.1(KOMP)Vlcg/Gnpda2+ (more )
Structure Level Pattern Image Note
TS28: aorta Present UC Davis_1852503

Specimen UC Davis_1852504: postnatal adult; Gnpda2tm1.1(KOMP)Vlcg/Gnpda2+ (more )
Structure Level Pattern Image Note
TS28: lung Present UC Davis_1852504

Specimen UC Davis_1852505: postnatal adult; Gnpda2tm1.1(KOMP)Vlcg/Gnpda2+ (more )
Structure Level Pattern Image Note
TS28: lung Present UC Davis_1852505

Specimen UC Davis_1852506: postnatal adult; Gnpda2tm1.1(KOMP)Vlcg/Gnpda2+ (more )
Structure Level Pattern Image Note
TS28: lung Present UC Davis_1852506

Specimen UC Davis_1852507: postnatal adult; Gnpda2tm1.1(KOMP)Vlcg/Gnpda2+ (more )
Structure Level Pattern Image Note
TS28: thymus Present UC Davis_1852507

Specimen UC Davis_1852508: postnatal adult; Gnpda2tm1.1(KOMP)Vlcg/Gnpda2+ (more )
Structure Level Pattern Image Note
TS28: thymus Present UC Davis_1852508

Specimen UC Davis_1852511: postnatal adult; Gnpda2tm1.1(KOMP)Vlcg/Gnpda2+ (more )
Structure Level Pattern Image Note
TS28: stomach Present UC Davis_1852511

Specimen UC Davis_1852512: postnatal adult; Gnpda2tm1.1(KOMP)Vlcg/Gnpda2+ (more )
Structure Level Pattern Image Note
TS28: stomach Present UC Davis_1852512

Specimen UC Davis_1852513: postnatal adult; Gnpda2tm1.1(KOMP)Vlcg/Gnpda2+ (more )
Structure Level Pattern Image Note
TS28: stomach Present UC Davis_1852513

Specimen UC Davis_1852514: postnatal adult; Gnpda2tm1.1(KOMP)Vlcg/Gnpda2+ (more )
Structure Level Pattern Image Note
TS28: stomach Present UC Davis_1852514

Specimen UC Davis_1852515: postnatal adult; Gnpda2tm1.1(KOMP)Vlcg/Gnpda2+ (more )
Structure Level Pattern Image Note
TS28: stomach Present UC Davis_1852515

Specimen UC Davis_1852516: postnatal adult; Gnpda2tm1.1(KOMP)Vlcg/Gnpda2+ (more )
Structure Level Pattern Image Note
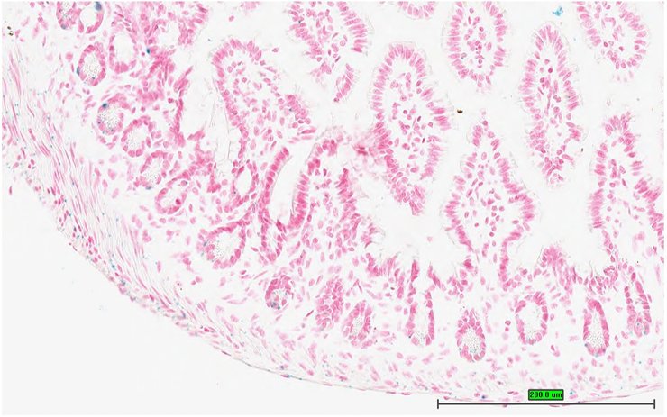
TS28: duodenum Present UC Davis_1852516

Specimen UC Davis_1852517: postnatal adult; Gnpda2tm1.1(KOMP)Vlcg/Gnpda2+ (more )
Structure Level Pattern Image Note
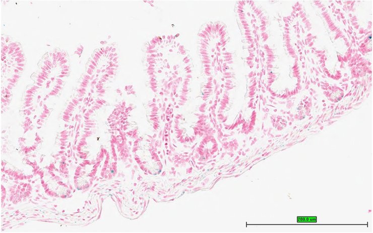
TS28: ileum Present UC Davis_1852517

Specimen UC Davis_1852518: postnatal adult; Gnpda2tm1.1(KOMP)Vlcg/Gnpda2+ (more )
Structure Level Pattern Image Note
TS28: ileum Present UC Davis_1852518

Specimen UC Davis_1852519: postnatal adult; Gnpda2tm1.1(KOMP)Vlcg/Gnpda2+ (more )
Structure Level Pattern Image Note
TS28: colon Present UC Davis_1852519

Specimen UC Davis_1852520: postnatal adult; Gnpda2tm1.1(KOMP)Vlcg/Gnpda2+ (more )
Structure Level Pattern Image Note
TS28: colon Present UC Davis_1852520

Specimen UC Davis_1852521: postnatal adult; Gnpda2tm1.1(KOMP)Vlcg/Gnpda2+ (more )
Structure Level Pattern Image Note
TS28: cecum Present UC Davis_1852521

Specimen UC Davis_1852522: postnatal adult; Gnpda2tm1.1(KOMP)Vlcg/Gnpda2+ (more )
Structure Level Pattern Image Note
TS28: cecum Present UC Davis_1852522

Specimen UC Davis_1852523: postnatal adult; Gnpda2tm1.1(KOMP)Vlcg/Gnpda2+ (more )
Structure Level Pattern Image Note
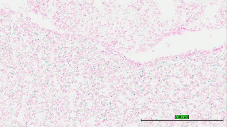
TS28: spleen Present UC Davis_1852523

Specimen UC Davis_1852524: postnatal adult; Gnpda2tm1.1(KOMP)Vlcg/Gnpda2+ (more )
Structure Level Pattern Image Note
TS28: metanephros Present UC Davis_1852524 kidney

Specimen UC Davis_1852525: postnatal adult; Gnpda2tm1.1(KOMP)Vlcg/Gnpda2+ (more )
Structure Level Pattern Image Note
TS28: metanephros Present UC Davis_1852525 kidney

Specimen UC Davis_1852526: postnatal adult; Gnpda2tm1.1(KOMP)Vlcg/Gnpda2+ (more )
Structure Level Pattern Image Note
TS28: metanephros Present UC Davis_1852526 kidney

Specimen UC Davis_1852527: postnatal adult; Gnpda2tm1.1(KOMP)Vlcg/Gnpda2+ (more )
Structure Level Pattern Image Note
TS28: quadriceps femoris muscle Present UC Davis_1852527

Specimen UC Davis_1852528: postnatal adult; Gnpda2tm1.1(KOMP)Vlcg/Gnpda2+ (more )
Structure Level Pattern Image Note
TS28: quadriceps femoris muscle Present UC Davis_1852528

Specimen UC Davis_1852529: postnatal adult; Gnpda2tm1.1(KOMP)Vlcg/Gnpda2+ (more )
Structure Level Pattern Image Note
TS28: quadriceps femoris muscle Present UC Davis_1852529

Specimen UC Davis_1852530: postnatal adult; Gnpda2tm1.1(KOMP)Vlcg/Gnpda2+ (more )
Structure Level Pattern Image Note
TS28: sciatic nerve Present UC Davis_1852530

Specimen UC Davis_1852531: postnatal adult; Gnpda2tm1.1(KOMP)Vlcg/Gnpda2+ (more )
Structure Level Pattern Image Note
TS28: sciatic nerve Present UC Davis_1852531

Specimen UC Davis_1852532: postnatal adult; Gnpda2tm1.1(KOMP)Vlcg/Gnpda2+ (more )
Structure Level Pattern Image Note
TS28: sciatic nerve Present UC Davis_1852532

Specimen UC Davis_1852533: postnatal adult; Gnpda2tm1.1(KOMP)Vlcg/Gnpda2+ (more )
Structure Level Pattern Image Note
TS28: tongue Present UC Davis_1852533

Specimen UC Davis_1852534: postnatal adult; Gnpda2tm1.1(KOMP)Vlcg/Gnpda2+ (more )
Structure Level Pattern Image Note
TS28: tongue Present UC Davis_1852534

Specimen UC Davis_1852535: postnatal adult; Gnpda2tm1.1(KOMP)Vlcg/Gnpda2+ (more )
Structure Level Pattern Image Note
TS28: adrenal gland Present UC Davis_1852535

Specimen UC Davis_1852536: postnatal adult; Gnpda2tm1.1(KOMP)Vlcg/Gnpda2+ (more )
Structure Level Pattern Image Note
TS28: adrenal gland Present UC Davis_1852536

Specimen UC Davis_1852537: postnatal adult; Gnpda2tm1.1(KOMP)Vlcg/Gnpda2+ (more )
Structure Level Pattern Image Note
TS28: pituitary gland Present UC Davis_1852537

Specimen UC Davis_1852538: postnatal adult; Gnpda2tm1.1(KOMP)Vlcg/Gnpda2+ (more )
Structure Level Pattern Image Note
TS28: pituitary gland Present UC Davis_1852538

Specimen UC Davis_1852539: postnatal adult; Gnpda2tm1.1(KOMP)Vlcg/Gnpda2+ (more )
Structure Level Pattern Image Note
TS28: pituitary gland Present UC Davis_1852539

Specimen UC Davis_1852540: postnatal adult; Gnpda2tm1.1(KOMP)Vlcg/Gnpda2+ (more )
Structure Level Pattern Image Note
TS28: pituitary gland Present UC Davis_1852540

Specimen UC Davis_1852541: postnatal adult; Gnpda2tm1.1(KOMP)Vlcg/Gnpda2+ (more )
Structure Level Pattern Image Note
TS28: spinal cord Present UC Davis_1852541

Specimen UC Davis_1852542: postnatal adult; Gnpda2tm1.1(KOMP)Vlcg/Gnpda2+ (more )
Structure Level Pattern Image Note
TS28: eye Present UC Davis_1852542

Specimen UC Davis_1852543: postnatal adult; Gnpda2tm1.1(KOMP)Vlcg/Gnpda2+ (more )
Structure Level Pattern Image Note
TS28: eye Present UC Davis_1852543

Specimen UC Davis_1852544: postnatal adult; Gnpda2tm1.1(KOMP)Vlcg/Gnpda2+ (more )
Structure Level Pattern Image Note
TS28: eye Present UC Davis_1852544

Specimen UC Davis_1852545: postnatal adult; Gnpda2tm1.1(KOMP)Vlcg/Gnpda2+ (more )
Structure Level Pattern Image Note
TS28: eye Present UC Davis_1852545

Specimen UC Davis_1852546: postnatal adult; Gnpda2tm1.1(KOMP)Vlcg/Gnpda2+ (more )
Structure Level Pattern Image Note
TS28: eye Present UC Davis_1852546

Specimen UC Davis_1852547: postnatal adult; Gnpda2tm1.1(KOMP)Vlcg/Gnpda2+ (more )
Structure Level Pattern Image Note
TS28: Harderian gland Present UC Davis_1852547

Specimen UC Davis_1852548: postnatal adult; Gnpda2tm1.1(KOMP)Vlcg/Gnpda2+ (more )
Structure Level Pattern Image Note
TS28: Harderian gland Present UC Davis_1852548

Specimen UC Davis_1852549: postnatal adult; Gnpda2tm1.1(KOMP)Vlcg/Gnpda2+ (more )
Structure Level Pattern Image Note
TS28: skin Present UC Davis_1852549

Specimen UC Davis_1852550: postnatal adult; Gnpda2tm1.1(KOMP)Vlcg/Gnpda2+ (more )
Structure Level Pattern Image Note
TS28: skin Present UC Davis_1852550

Specimen UC Davis_1852551: postnatal adult; Gnpda2tm1.1(KOMP)Vlcg/Gnpda2+ (more )
Structure Level Pattern Image Note
TS28: skin Present UC Davis_1852551

Specimen UC Davis_1852552: postnatal adult; Gnpda2tm1.1(KOMP)Vlcg/Gnpda2+ (more )
Structure Level Pattern Image Note
TS28: olfactory lobe Present UC Davis_1852552

Specimen UC Davis_1852556: postnatal adult; Gnpda2tm1.1(KOMP)Vlcg/Gnpda2+ (more )
Structure Level Pattern Image Note
TS28: midbrain Present UC Davis_1852556

Specimen UC Davis_1852558: postnatal adult; Gnpda2tm1.1(KOMP)Vlcg/Gnpda2+ (more )
Structure Level Pattern Image Note
TS28: cerebellum Present UC Davis_1852558

Specimen UC Davis_1852559: postnatal adult; Gnpda2tm1.1(KOMP)Vlcg/Gnpda2+ (more )
Structure Level Pattern Image Note
TS28: cerebellum Present UC Davis_1852559

Specimen UC Davis_1852560: postnatal adult; Gnpda2tm1.1(KOMP)Vlcg/Gnpda2+ (more )
Structure Level Pattern Image Note
TS28: cerebellum Present UC Davis_1852560

Specimen UC Davis_1852561: postnatal adult; Gnpda2tm1.1(KOMP)Vlcg/Gnpda2+ (more )
Structure Level Pattern Image Note
TS28: cerebellum Present UC Davis_1852561

Specimen UC Davis_1852562: postnatal adult; Gnpda2tm1.1(KOMP)Vlcg/Gnpda2+ (more )
Structure Level Pattern Image Note
TS28: trigeminal nerve Present UC Davis_1852562

Specimen UC Davis_1852563: postnatal adult; Gnpda2tm1.1(KOMP)Vlcg/Gnpda2+ (more )
Structure Level Pattern Image Note
TS28: trigeminal nerve Present UC Davis_1852563

Specimen UC Davis_1852564: postnatal adult; Gnpda2tm1.1(KOMP)Vlcg/Gnpda2+ (more )
Structure Level Pattern Image Note
TS28: trigeminal nerve Present UC Davis_1852564

Specimen UC Davis_1852565: postnatal adult; Gnpda2tm1.1(KOMP)Vlcg/Gnpda2+ (more )
Structure Level Pattern Image Note
TS28: bladder Present UC Davis_1852565

Specimen UC Davis_1852566: postnatal adult; Gnpda2tm1.1(KOMP)Vlcg/Gnpda2+ (more )
Structure Level Pattern Image Note
TS28: bladder Present UC Davis_1852566

Specimen UC Davis_1852567: postnatal adult; Gnpda2tm1.1(KOMP)Vlcg/Gnpda2+ (more )
Structure Level Pattern Image Note
TS28: testis Present UC Davis_1852567

Specimen UC Davis_1852568: postnatal adult; Gnpda2tm1.1(KOMP)Vlcg/Gnpda2+ (more )
Structure Level Pattern Image Note
TS28: testis Present UC Davis_1852568

Specimen UC Davis_1852569: postnatal adult; Gnpda2tm1.1(KOMP)Vlcg/Gnpda2+ (more )
Structure Level Pattern Image Note
TS28: testis Present UC Davis_1852569

Specimen UC Davis_1852570: postnatal adult; Gnpda2tm1.1(KOMP)Vlcg/Gnpda2+ (more )
Structure Level Pattern Image Note
TS28: epididymis Present UC Davis_1852570

Specimen UC Davis_1852571: postnatal adult; Gnpda2tm1.1(KOMP)Vlcg/Gnpda2+ (more )
Structure Level Pattern Image Note
TS28: epididymis Present UC Davis_1852571

Specimen UC Davis_1852572: postnatal adult; Gnpda2tm1.1(KOMP)Vlcg/Gnpda2+ (more )
Structure Level Pattern Image Note
TS28: penis Present UC Davis_1852572

Specimen UC Davis_1852573: postnatal adult; Gnpda2tm1.1(KOMP)Vlcg/Gnpda2+ (more )
Structure Level Pattern Image Note
TS28: penis Present UC Davis_1852573

Specimen UC Davis_1852574: postnatal adult; Gnpda2tm1.1(KOMP)Vlcg/Gnpda2+ (more )
Structure Level Pattern Image Note
TS28: penis Present UC Davis_1852574

Specimen UC Davis_1852575: postnatal adult; Gnpda2tm1.1(KOMP)Vlcg/Gnpda2+ (more )
Structure Level Pattern Image Note
TS28: penis Present UC Davis_1852575

Specimen UC Davis_1852576: postnatal adult; Gnpda2tm1.1(KOMP)Vlcg/Gnpda2+ (more )
Structure Level Pattern Image Note
TS28: ductus deferens Present UC Davis_1852576 vas deferens

Specimen UC Davis_1852579: postnatal adult; Gnpda2tm1.1(KOMP)Vlcg/Gnpda2+ (more )
Structure Level Pattern Image Note
TS28: seminal vesicle Present UC Davis_1852579 vesicular gland

Specimen UC Davis_1852621: postnatal adult; Gnpda2tm1.1(KOMP)Vlcg/Gnpda2+ (more )
Structure Level Pattern Image Note
TS28: olfactory lobe Present UC Davis_1852621

Specimen UC Davis_1852623: postnatal adult; Gnpda2tm1.1(KOMP)Vlcg/Gnpda2+ (more )
Structure Level Pattern Image Note
TS28: midbrain Present UC Davis_1852623

Specimen UC Davis_1852625: postnatal adult; Gnpda2tm1.1(KOMP)Vlcg/Gnpda2+ (more )
Structure Level Pattern Image Note
TS28: cerebellum Present UC Davis_1852625

Specimen UC Davis_1852626: postnatal adult; Gnpda2tm1.1(KOMP)Vlcg/Gnpda2+ (more )
Structure Level Pattern Image Note
TS28: brain Present UC Davis_1852626

Specimen UC Davis_1852628: postnatal adult; Gnpda2tm1.1(KOMP)Vlcg/Gnpda2+ (more )
Structure Level Pattern Image Note
TS28: lung Present UC Davis_1852628

Specimen UC Davis_1852630: postnatal adult; Gnpda2tm1.1(KOMP)Vlcg/Gnpda2+ (more )
Structure Level Pattern Image Note
TS28: thymus Present UC Davis_1852630

Specimen UC Davis_1852631: postnatal adult; Gnpda2tm1.1(KOMP)Vlcg/Gnpda2+ (more )
Structure Level Pattern Image Note
TS28: metanephros Present UC Davis_1852631 kidney

Specimen UC Davis_1852632: postnatal adult; Gnpda2tm1.1(KOMP)Vlcg/Gnpda2+ (more )
Structure Level Pattern Image Note
TS28: skin Present UC Davis_1852632

Specimen UC Davis_1852633: postnatal adult; Gnpda2tm1.1(KOMP)Vlcg/Gnpda2+ (more )
Structure Level Pattern Image Note
TS28: trachea Present UC Davis_1852633

Specimen UC Davis_1852634: postnatal adult; Gnpda2tm1.1(KOMP)Vlcg/Gnpda2+ (more )
Structure Level Pattern Image Note
TS28: thyroid gland Present UC Davis_1852634

Specimen UC Davis_1852635: postnatal adult; Gnpda2tm1.1(KOMP)Vlcg/Gnpda2+ (more )
Structure Level Pattern Image Note
TS28: spinal cord Present UC Davis_1852635

Specimen UC Davis_1852636: postnatal adult; Gnpda2tm1.1(KOMP)Vlcg/Gnpda2+ (more )
Structure Level Pattern Image Note
TS28: pituitary gland Present UC Davis_1852636

Specimen UC Davis_1852637: postnatal adult; Gnpda2tm1.1(KOMP)Vlcg/Gnpda2+ (more )
Structure Level Pattern Image Note
TS28: bladder Present UC Davis_1852637

Specimen UC Davis_1852641: postnatal adult; Gnpda2tm1.1(KOMP)Vlcg/Gnpda2+ (more )
Structure Level Pattern Image Note
TS28: parathyroid gland Present UC Davis_1852641


Contributing Projects:
Mouse Genome Database (MGD), Gene Expression Database (GXD), Mouse Models of Human Cancer database (MMHCdb) (formerly Mouse Tumor Biology (MTB)), Gene Ontology (GO)
Citing These Resources
Funding Information
Warranty Disclaimer, Privacy Notice, Licensing, & Copyright
Send questions and comments to User Support.
last database update
01/06/2026
MGI 6.24
The Jackson Laboratory