About   Help   FAQ
Gene Expression Data
Assay Details
Assay
Reference: J:228563 Koscielny G, et al., The International Mouse Phenotyping Consortium Web Portal, a unified point of access for knockout mice and related phenotyping data. Nucleic Acids Res. 2014 Jan;42(Database issue):D802-9
Assay type: In situ reporter (knock in)
MGI Accession ID: MGI:6691782
Gene symbol: Spata6
Gene name: spermatogenesis associated 6
Reporter: lacZ
Direct Detection
Results
Specimen UC Davis_1856571: postnatal adult; Spata6tm1b(KOMP)Wtsi/Spata6+ (more )
Structure Level Pattern Image Note
TS28: esophagus Present UC Davis_1856571

Specimen UC Davis_1856598: postnatal adult; Spata6tm1b(KOMP)Wtsi/Spata6+ (more )
Structure Level Pattern Image Note
TS28: brain Present UC Davis_1856598

Specimen UC Davis_1856599: postnatal adult; Spata6tm1b(KOMP)Wtsi/Spata6+ (more )
Structure Level Pattern Image Note
TS28: adrenal gland Present UC Davis_1856599

Specimen UC Davis_1856600: postnatal adult; Spata6tm1b(KOMP)Wtsi/Spata6+ (more )
Structure Level Pattern Image Note
TS28: oviduct Present UC Davis_1856600

Specimen UC Davis_1856601: postnatal adult; Spata6tm1b(KOMP)Wtsi/Spata6+ (more )
Structure Level Pattern Image Note
TS28: uterus Present UC Davis_1856601

Specimen UC Davis_1856559: postnatal adult; Spata6tm1b(KOMP)Wtsi/Spata6+ (more )
Structure Level Pattern Image Note
TS28: stomach Present UC Davis_1856559

Specimen UC Davis_1856560: postnatal adult; Spata6tm1b(KOMP)Wtsi/Spata6+ (more )
Structure Level Pattern Image Note
TS28: colon Present UC Davis_1856560

Specimen UC Davis_1856561: postnatal adult; Spata6tm1b(KOMP)Wtsi/Spata6+ (more )
Structure Level Pattern Image Note
TS28: cecum Present UC Davis_1856561

Specimen UC Davis_1856562: postnatal adult; Spata6tm1b(KOMP)Wtsi/Spata6+ (more )
Structure Level Pattern Image Note
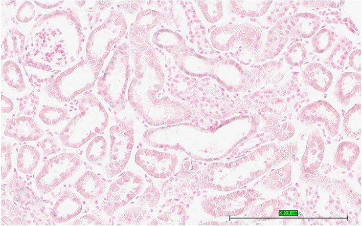
TS28: metanephros Present UC Davis_1856562 kidney

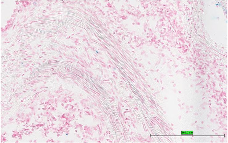
Specimen UC Davis_1856563: postnatal adult; Spata6tm1b(KOMP)Wtsi/Spata6+ (more )
Structure Level Pattern Image Note
TS28: metanephros Present UC Davis_1856563 kidney

Specimen UC Davis_1856564: postnatal adult; Spata6tm1b(KOMP)Wtsi/Spata6+ (more )
Structure Level Pattern Image Note
TS28: metanephros Present UC Davis_1856564 kidney

Specimen UC Davis_1856565: postnatal adult; Spata6tm1b(KOMP)Wtsi/Spata6+ (more )
Structure Level Pattern Image Note
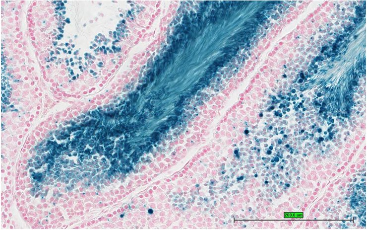
TS28: testis Present UC Davis_1856565

Specimen UC Davis_1856566: postnatal adult; Spata6tm1b(KOMP)Wtsi/Spata6+ (more )
Structure Level Pattern Image Note
TS28: testis Present UC Davis_1856566

Specimen UC Davis_1856567: postnatal adult; Spata6tm1b(KOMP)Wtsi/Spata6+ (more )
Structure Level Pattern Image Note
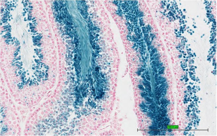
TS28: epididymis Present UC Davis_1856567

Specimen UC Davis_1856568: postnatal adult; Spata6tm1b(KOMP)Wtsi/Spata6+ (more )
Structure Level Pattern Image Note
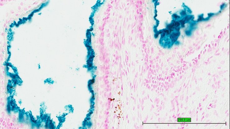
TS28: penis Present UC Davis_1856568

Specimen UC Davis_1856569: postnatal adult; Spata6tm1b(KOMP)Wtsi/Spata6+ (more )
Structure Level Pattern Image Note
TS28: penis Present UC Davis_1856569

Specimen UC Davis_1856570: postnatal adult; Spata6tm1b(KOMP)Wtsi/Spata6+ (more )
Structure Level Pattern Image Note
TS28: ductus deferens Present UC Davis_1856570 vas deferens

Specimen UC Davis_1856572: postnatal adult; Spata6tm1b(KOMP)Wtsi/Spata6+ (more )
Structure Level Pattern Image Note
TS28: olfactory lobe Present UC Davis_1856572

Specimen UC Davis_1856575: postnatal adult; Spata6tm1b(KOMP)Wtsi/Spata6+ (more )
Structure Level Pattern Image Note
TS28: midbrain Present UC Davis_1856575

Specimen UC Davis_1856577: postnatal adult; Spata6tm1b(KOMP)Wtsi/Spata6+ (more )
Structure Level Pattern Image Note
TS28: cerebellum Present UC Davis_1856577

Specimen UC Davis_1856578: postnatal adult; Spata6tm1b(KOMP)Wtsi/Spata6+ (more )
Structure Level Pattern Image Note
TS28: brain Present UC Davis_1856578

Specimen UC Davis_1856579: postnatal adult; Spata6tm1b(KOMP)Wtsi/Spata6+ (more )
Structure Level Pattern Image Note
TS28: lung Present UC Davis_1856579

Specimen UC Davis_1856580: postnatal adult; Spata6tm1b(KOMP)Wtsi/Spata6+ (more )
Structure Level Pattern Image Note
TS28: aorta Present UC Davis_1856580

Specimen UC Davis_1856581: postnatal adult; Spata6tm1b(KOMP)Wtsi/Spata6+ (more )
Structure Level Pattern Image Note
TS28: thymus Present UC Davis_1856581

Specimen UC Davis_1856582: postnatal adult; Spata6tm1b(KOMP)Wtsi/Spata6+ (more )
Structure Level Pattern Image Note
TS28: metanephros Present UC Davis_1856582 kidney

Specimen UC Davis_1856583: postnatal adult; Spata6tm1b(KOMP)Wtsi/Spata6+ (more )
Structure Level Pattern Image Note
TS28: trachea Present UC Davis_1856583

Specimen UC Davis_1856585: postnatal adult; Spata6tm1b(KOMP)Wtsi/Spata6+ (more )
Structure Level Pattern Image Note
TS28: spinal cord Present UC Davis_1856585

Specimen UC Davis_1856586: postnatal adult; Spata6tm1b(KOMP)Wtsi/Spata6+ (more )
Structure Level Pattern Image Note
TS28: pituitary gland Present UC Davis_1856586

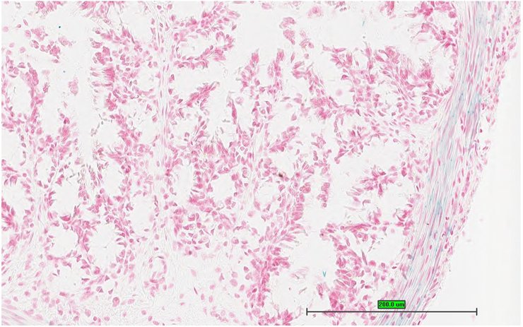
Specimen UC Davis_1856587: postnatal adult; Spata6tm1b(KOMP)Wtsi/Spata6+ (more )
Structure Level Pattern Image Note
TS28: stomach Present UC Davis_1856587

Specimen UC Davis_1856588: postnatal adult; Spata6tm1b(KOMP)Wtsi/Spata6+ (more )
Structure Level Pattern Image Note
TS28: bladder Present UC Davis_1856588

Specimen UC Davis_1856589: postnatal adult; Spata6tm1b(KOMP)Wtsi/Spata6+ (more )
Structure Level Pattern Image Note
TS28: testis Present UC Davis_1856589

Specimen UC Davis_1856590: postnatal adult; Spata6tm1b(KOMP)Wtsi/Spata6+ (more )
Structure Level Pattern Image Note
TS28: epididymis Present UC Davis_1856590

Specimen UC Davis_1856591: postnatal adult; Spata6tm1b(KOMP)Wtsi/Spata6+ (more )
Structure Level Pattern Image Note
TS28: ductus deferens Present UC Davis_1856591 vas deferens

Specimen UC Davis_1856592: postnatal adult; Spata6tm1b(KOMP)Wtsi/Spata6+ (more )
Structure Level Pattern Image Note
TS28: gallbladder Present UC Davis_1856592

Specimen UC Davis_1856594: postnatal adult; Spata6tm1b(KOMP)Wtsi/Spata6+ (more )
Structure Level Pattern Image Note
TS28: thoracic segment skeleton Present UC Davis_1856594 chest bone

Specimen UC Davis_1856595: postnatal adult; Spata6tm1b(KOMP)Wtsi/Spata6+ (more )
Structure Level Pattern Image Note
TS28: parathyroid gland Present UC Davis_1856595


Contributing Projects:
Mouse Genome Database (MGD), Gene Expression Database (GXD), Mouse Models of Human Cancer database (MMHCdb) (formerly Mouse Tumor Biology (MTB)), Gene Ontology (GO)
Citing These Resources
Funding Information
Warranty Disclaimer, Privacy Notice, Licensing, & Copyright
Send questions and comments to User Support.
last database update
12/30/2025
MGI 6.24
The Jackson Laboratory