About   Help   FAQ
Gene Expression Data
Assay Details
Assay
Reference: J:228563 Koscielny G, et al., The International Mouse Phenotyping Consortium Web Portal, a unified point of access for knockout mice and related phenotyping data. Nucleic Acids Res. 2014 Jan;42(Database issue):D802-9
Assay type: In situ reporter (knock in)
MGI Accession ID: MGI:6691776
Gene symbol: Dcxr
Gene name: dicarbonyl L-xylulose reductase
Reporter: lacZ
Direct Detection
Results
Specimen UC Davis_1875432: postnatal adult; Dcxrtm1.1(KOMP)Vlcg/Dcxr+ (more )
Structure Level Pattern Image Note
TS28: submandibular gland Present UC Davis_1875432

Specimen UC Davis_1875433: postnatal adult; Dcxrtm1.1(KOMP)Vlcg/Dcxr+ (more )
Structure Level Pattern Image Note
TS28: submandibular gland Present UC Davis_1875433

Specimen UC Davis_1875434: postnatal adult; Dcxrtm1.1(KOMP)Vlcg/Dcxr+ (more )
Structure Level Pattern Image Note
TS28: sublingual gland Present UC Davis_1875434

Specimen UC Davis_1875435: postnatal adult; Dcxrtm1.1(KOMP)Vlcg/Dcxr+ (more )
Structure Level Pattern Image Note
TS28: parotid gland Present UC Davis_1875435

Specimen UC Davis_1875436: postnatal adult; Dcxrtm1.1(KOMP)Vlcg/Dcxr+ (more )
Structure Level Pattern Image Note
TS28: trachea Present UC Davis_1875436

Specimen UC Davis_1875437: postnatal adult; Dcxrtm1.1(KOMP)Vlcg/Dcxr+ (more )
Structure Level Pattern Image Note
TS28: trachea Present UC Davis_1875437

Specimen UC Davis_1875438: postnatal adult; Dcxrtm1.1(KOMP)Vlcg/Dcxr+ (more )
Structure Level Pattern Image Note
TS28: esophagus Present UC Davis_1875438

Specimen UC Davis_1875439: postnatal adult; Dcxrtm1.1(KOMP)Vlcg/Dcxr+ (more )
Structure Level Pattern Image Note
TS28: esophagus Present UC Davis_1875439

Specimen UC Davis_1875440: postnatal adult; Dcxrtm1.1(KOMP)Vlcg/Dcxr+ (more )
Structure Level Pattern Image Note
TS28: thyroid gland Present UC Davis_1875440

Specimen UC Davis_1875441: postnatal adult; Dcxrtm1.1(KOMP)Vlcg/Dcxr+ (more )
Structure Level Pattern Image Note
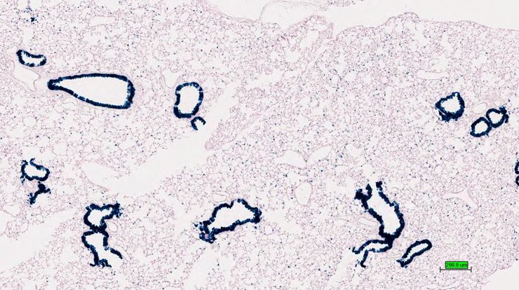
TS28: lung Present UC Davis_1875441

Specimen UC Davis_1875442: postnatal adult; Dcxrtm1.1(KOMP)Vlcg/Dcxr+ (more )
Structure Level Pattern Image Note
TS28: lung Present UC Davis_1875442

Specimen UC Davis_1875443: postnatal adult; Dcxrtm1.1(KOMP)Vlcg/Dcxr+ (more )
Structure Level Pattern Image Note
TS28: lung Present UC Davis_1875443

Specimen UC Davis_1875444: postnatal adult; Dcxrtm1.1(KOMP)Vlcg/Dcxr+ (more )
Structure Level Pattern Image Note
TS28: thymus Present UC Davis_1875444

Specimen UC Davis_1875445: postnatal adult; Dcxrtm1.1(KOMP)Vlcg/Dcxr+ (more )
Structure Level Pattern Image Note
TS28: stomach Present UC Davis_1875445

Specimen UC Davis_1875446: postnatal adult; Dcxrtm1.1(KOMP)Vlcg/Dcxr+ (more )
Structure Level Pattern Image Note
TS28: duodenum Present UC Davis_1875446

Specimen UC Davis_1875447: postnatal adult; Dcxrtm1.1(KOMP)Vlcg/Dcxr+ (more )
Structure Level Pattern Image Note
TS28: jejunum Present UC Davis_1875447

Specimen UC Davis_1875448: postnatal adult; Dcxrtm1.1(KOMP)Vlcg/Dcxr+ (more )
Structure Level Pattern Image Note
TS28: ileum Present UC Davis_1875448

Specimen UC Davis_1875449: postnatal adult; Dcxrtm1.1(KOMP)Vlcg/Dcxr+ (more )
Structure Level Pattern Image Note
TS28: colon Present UC Davis_1875449

Specimen UC Davis_1875450: postnatal adult; Dcxrtm1.1(KOMP)Vlcg/Dcxr+ (more )
Structure Level Pattern Image Note
TS28: colon Present UC Davis_1875450

Specimen UC Davis_1875451: postnatal adult; Dcxrtm1.1(KOMP)Vlcg/Dcxr+ (more )
Structure Level Pattern Image Note
TS28: metanephros Present UC Davis_1875451 kidney

Specimen UC Davis_1875452: postnatal adult; Dcxrtm1.1(KOMP)Vlcg/Dcxr+ (more )
Structure Level Pattern Image Note
TS28: metanephros Present UC Davis_1875452 kidney

Specimen UC Davis_1875453: postnatal adult; Dcxrtm1.1(KOMP)Vlcg/Dcxr+ (more )
Structure Level Pattern Image Note
TS28: metanephros Present UC Davis_1875453 kidney

Specimen UC Davis_1875454: postnatal adult; Dcxrtm1.1(KOMP)Vlcg/Dcxr+ (more )
Structure Level Pattern Image Note
TS28: metanephros Present UC Davis_1875454 kidney

Specimen UC Davis_1875455: postnatal adult; Dcxrtm1.1(KOMP)Vlcg/Dcxr+ (more )
Structure Level Pattern Image Note
TS28: tongue Present UC Davis_1875455

Specimen UC Davis_1875456: postnatal adult; Dcxrtm1.1(KOMP)Vlcg/Dcxr+ (more )
Structure Level Pattern Image Note
TS28: adrenal gland Present UC Davis_1875456

Specimen UC Davis_1875457: postnatal adult; Dcxrtm1.1(KOMP)Vlcg/Dcxr+ (more )
Structure Level Pattern Image Note
TS28: adrenal gland Present UC Davis_1875457

Specimen UC Davis_1875461: postnatal adult; Dcxrtm1.1(KOMP)Vlcg/Dcxr+ (more )
Structure Level Pattern Image Note
TS28: uterus Present UC Davis_1875461

Specimen UC Davis_1875462: postnatal adult; Dcxrtm1.1(KOMP)Vlcg/Dcxr+ (more )
Structure Level Pattern Image Note
TS28: uterus Present UC Davis_1875462

Specimen UC Davis_1875463: postnatal adult; Dcxrtm1.1(KOMP)Vlcg/Dcxr+ (more )
Structure Level Pattern Image Note
TS28: uterus Present UC Davis_1875463

Specimen UC Davis_1875464: postnatal adult; Dcxrtm1.1(KOMP)Vlcg/Dcxr+ (more )
Structure Level Pattern Image Note
TS28: vagina Present UC Davis_1875464

Specimen UC Davis_1875465: postnatal adult; Dcxrtm1.1(KOMP)Vlcg/Dcxr+ (more )
Structure Level Pattern Image Note
TS28: bladder Present UC Davis_1875465

Specimen UC Davis_1875404: postnatal adult; Dcxrtm1.1(KOMP)Vlcg/Dcxr+ (more )
Structure Level Pattern Image Note
TS28: submandibular gland Present UC Davis_1875404

Specimen UC Davis_1875405: postnatal adult; Dcxrtm1.1(KOMP)Vlcg/Dcxr+ (more )
Structure Level Pattern Image Note
TS28: submandibular gland Present UC Davis_1875405

Specimen UC Davis_1875406: postnatal adult; Dcxrtm1.1(KOMP)Vlcg/Dcxr+ (more )
Structure Level Pattern Image Note
TS28: sublingual gland Present UC Davis_1875406

Specimen UC Davis_1875407: postnatal adult; Dcxrtm1.1(KOMP)Vlcg/Dcxr+ (more )
Structure Level Pattern Image Note
TS28: sublingual gland Present UC Davis_1875407

Specimen UC Davis_1875408: postnatal adult; Dcxrtm1.1(KOMP)Vlcg/Dcxr+ (more )
Structure Level Pattern Image Note
TS28: sublingual gland Present UC Davis_1875408

Specimen UC Davis_1875409: postnatal adult; Dcxrtm1.1(KOMP)Vlcg/Dcxr+ (more )
Structure Level Pattern Image Note
TS28: parotid gland Present UC Davis_1875409

Specimen UC Davis_1875410: postnatal adult; Dcxrtm1.1(KOMP)Vlcg/Dcxr+ (more )
Structure Level Pattern Image Note
TS28: trachea Present UC Davis_1875410

Specimen UC Davis_1875411: postnatal adult; Dcxrtm1.1(KOMP)Vlcg/Dcxr+ (more )
Structure Level Pattern Image Note
TS28: trachea Present UC Davis_1875411

Specimen UC Davis_1875413: postnatal adult; Dcxrtm1.1(KOMP)Vlcg/Dcxr+ (more )
Structure Level Pattern Image Note
TS28: lung Present UC Davis_1875413

Specimen UC Davis_1875414: postnatal adult; Dcxrtm1.1(KOMP)Vlcg/Dcxr+ (more )
Structure Level Pattern Image Note
TS28: lung Present UC Davis_1875414

Specimen UC Davis_1875415: postnatal adult; Dcxrtm1.1(KOMP)Vlcg/Dcxr+ (more )
Structure Level Pattern Image Note
TS28: lung Present UC Davis_1875415

Specimen UC Davis_1875416: postnatal adult; Dcxrtm1.1(KOMP)Vlcg/Dcxr+ (more )
Structure Level Pattern Image Note
TS28: thymus Present UC Davis_1875416

Specimen UC Davis_1875417: postnatal adult; Dcxrtm1.1(KOMP)Vlcg/Dcxr+ (more )
Structure Level Pattern Image Note
TS28: thymus Present UC Davis_1875417

Specimen UC Davis_1875418: postnatal adult; Dcxrtm1.1(KOMP)Vlcg/Dcxr+ (more )
Structure Level Pattern Image Note
TS28: ileum Present UC Davis_1875418

Specimen UC Davis_1875419: postnatal adult; Dcxrtm1.1(KOMP)Vlcg/Dcxr+ (more )
Structure Level Pattern Image Note
TS28: ileum Present UC Davis_1875419

Specimen UC Davis_1875420: postnatal adult; Dcxrtm1.1(KOMP)Vlcg/Dcxr+ (more )
Structure Level Pattern Image Note
TS28: metanephros Present UC Davis_1875420 kidney

Specimen UC Davis_1875421: postnatal adult; Dcxrtm1.1(KOMP)Vlcg/Dcxr+ (more )
Structure Level Pattern Image Note
TS28: metanephros Present UC Davis_1875421 kidney

Specimen UC Davis_1875422: postnatal adult; Dcxrtm1.1(KOMP)Vlcg/Dcxr+ (more )
Structure Level Pattern Image Note
TS28: metanephros Present UC Davis_1875422 kidney

Specimen UC Davis_1875423: postnatal adult; Dcxrtm1.1(KOMP)Vlcg/Dcxr+ (more )
Structure Level Pattern Image Note
TS28: tongue Present UC Davis_1875423

Specimen UC Davis_1875424: postnatal adult; Dcxrtm1.1(KOMP)Vlcg/Dcxr+ (more )
Structure Level Pattern Image Note
TS28: tongue Present UC Davis_1875424

Specimen UC Davis_1875425: postnatal adult; Dcxrtm1.1(KOMP)Vlcg/Dcxr+ (more )
Structure Level Pattern Image Note
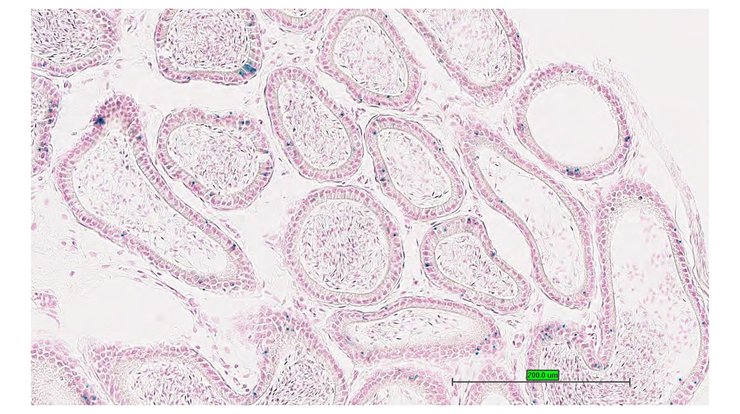
TS28: testis Present UC Davis_1875425

Specimen UC Davis_1875426: postnatal adult; Dcxrtm1.1(KOMP)Vlcg/Dcxr+ (more )
Structure Level Pattern Image Note
TS28: epididymis Present UC Davis_1875426

Specimen UC Davis_1875427: postnatal adult; Dcxrtm1.1(KOMP)Vlcg/Dcxr+ (more )
Structure Level Pattern Image Note
TS28: epididymis Present UC Davis_1875427

Specimen UC Davis_1875428: postnatal adult; Dcxrtm1.1(KOMP)Vlcg/Dcxr+ (more )
Structure Level Pattern Image Note
TS28: prostate gland Present UC Davis_1875428

Specimen UC Davis_1875429: postnatal adult; Dcxrtm1.1(KOMP)Vlcg/Dcxr+ (more )
Structure Level Pattern Image Note
TS28: prostate gland Present UC Davis_1875429

Specimen UC Davis_1875430: postnatal adult; Dcxrtm1.1(KOMP)Vlcg/Dcxr+ (more )
Structure Level Pattern Image Note
TS28: ductus deferens Present UC Davis_1875430 vas deferens

Specimen UC Davis_1875431: postnatal adult; Dcxrtm1.1(KOMP)Vlcg/Dcxr+ (more )
Structure Level Pattern Image Note
TS28: seminal vesicle Present UC Davis_1875431 vesicular gland


Contributing Projects:
Mouse Genome Database (MGD), Gene Expression Database (GXD), Mouse Models of Human Cancer database (MMHCdb) (formerly Mouse Tumor Biology (MTB)), Gene Ontology (GO)
Citing These Resources
Funding Information
Warranty Disclaimer, Privacy Notice, Licensing, & Copyright
Send questions and comments to User Support.
last database update
12/30/2025
MGI 6.24
The Jackson Laboratory